A Convolutional Neural Network for COVID-19 Diagnosis: An Analysis of Coronavirus Infections through Chest X-rays
Abstract
1. Introduction
- Human intervention is needed to conduct the procedure successfully, thus increasing the risk of a highly contagious infection such as COVID-19;
- Taking nasal swabs may cause discomfort to the patients;
- The diagnostic test results can take up to 6 h to determine the presence or absence of viral infection;
- Zero to low precision in the diagnosis obtained, thus giving no insights into the severity of the infection;
- Highly inaccurate results were obtained, especially in the initial stages of the infection, where an individual may appear ‘asymptomatic’ and can continue to spread the disease.
2. Materials and Methods
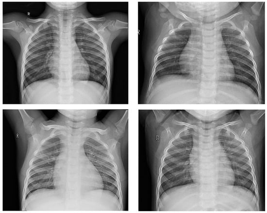
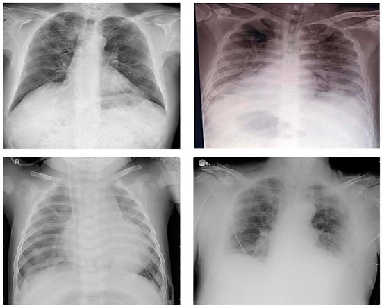
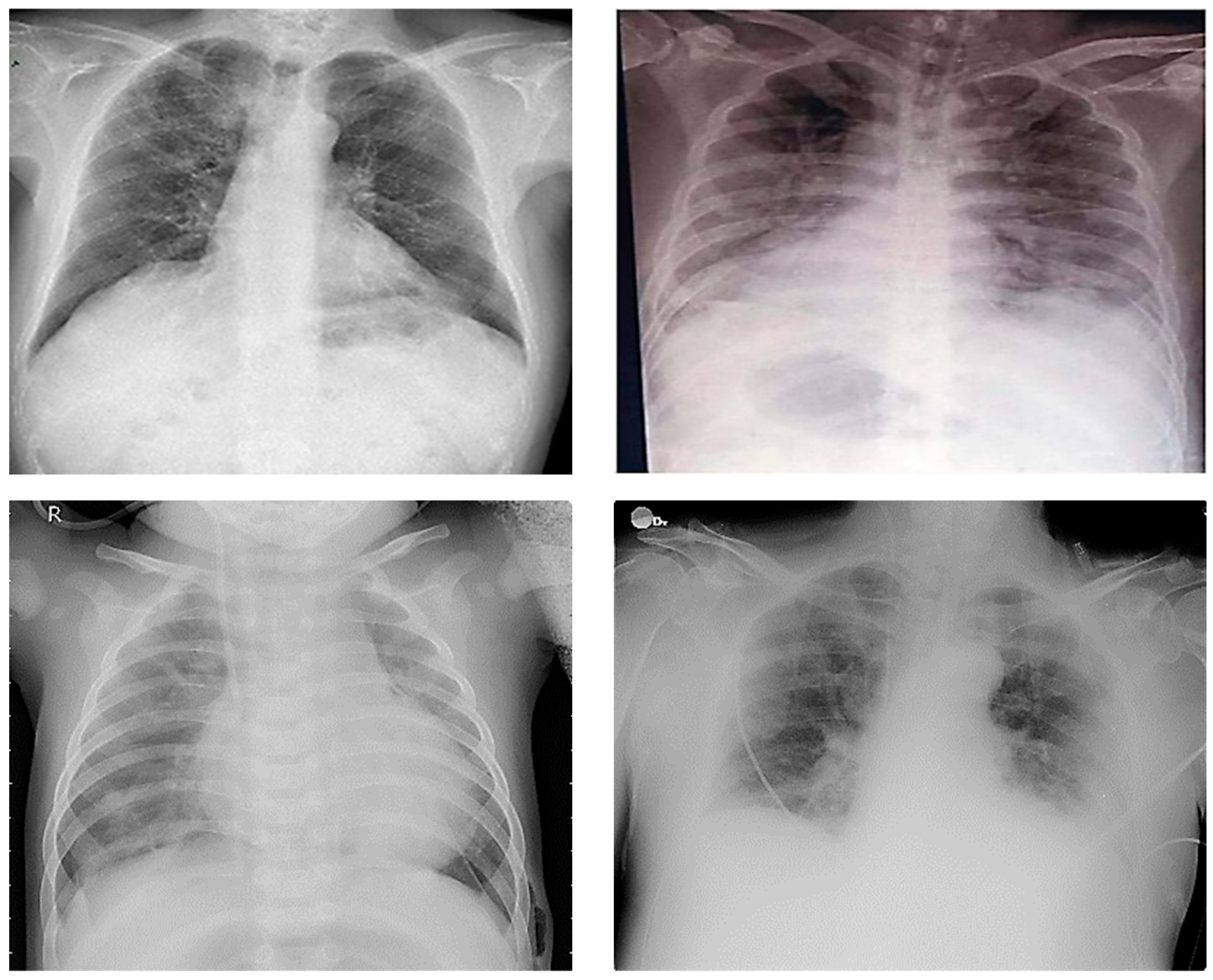
2.1. Data Gathering and Processing
- Ground glass opacities and consolidation;
- Parenchymal abnormalities;
- Interstitial changes;
- Peripheral ground glass opacities;
- Vascular congestion signs;
- Pleural effusion.
- Searing: CXR inputs were tilted by 40% from their standard orientation;
- Horizontal flip: CXR inputs were horizontally flipped by 180;
- Zoom: CXR inputs were zoomed in by 40%.
2.2. Proposed CNN Model Architecture
2.3. Training and Calibrating the CNN Model
- Number of Epochs: The CNN architecture experimented with several epochs. An optimum number was determined by the trial-and-error method by observing the model accuracy and loss trends at the end of the training. The optimum number of epochs for the proposed architecture is forty.
- Variance in the number of layers in the CNN and ANN: To increase the neural network’s learning and enhance backpropagation, the model experimented with a variable number of hidden layers in the CNN and ANN. The proposed model currently uses twelve hidden layers: ten in the CNN structure and two in the ANN.
- Regularization: One of the most significant issues in AI models is overfitting. Several trials were run using varying dropout rates for each hidden layer to overcome overfitting in the proposed model. The current model uses dropout rates between 0.25 and 0.5 for various CNN and ANN layers.
- Loss Function: Since the architecture is based on solving a classification problem and uses a sigmoid activation function at the output, the binary cross entropy loss function was used to reduce the overall loss and increase the learning rate of the neural network.
2.4. Validation of the CNN Model
- True Positive TP: Number of correctly predicted COVID-19 positive cases;
- False Positive FP: Number of incorrectly predicted COVID-19 positive cases;
- True Negative TN: Number of correctly predicted standard cases;
- False Negative FN: Number of incorrectly predicted standard cases.
3. Results
3.1. Training and Learning of the CNN
3.2. Statistical Performance Evaluation of the CNN
- Resizing the input 3D RGB image to (224,224,3);
- Importing the computer vision 2.0 library;
- Rounding off the decimal results to either 0 or 1, the problem statement was depicted as binary classification (0 implying COVID-19 positive, 1 implying COVID-19 negative).
- 155 out of 163 new samples of COVID-19-positive cases;
- 130 out of 138 new samples of COVID-19-negative/normal cases;
- 7 out of 163 new samples of COVID-19-positive cases;
- 8 out of 138 new samples of COVID-19-negative/normal cases.

4. Discussion
4.1. Proposed CNN in Comparison with Existing DL Algorithms
4.2. CXR in Comparison to Other Medical Imaging Modalities
- Extended exposure of patients to X-rays, especially children, can be very harmful;
- Limitations in the available CT scans, quality, and accuracy of data—which can be a big hindrance in developing ML-based models that solely rely on the quality and quantity of the inputs;
- Health and safety concerns for the asymptomatic and early-stage patients getting exposed to extended X-ray photons seem to be a rational medical debate.
- Prolonged exposure and interaction between the operator and the patient, thus increasing the spread of a highly contagious infection;
- Lower sensitivity and accuracy as compared to CXR/CT inputs.
4.3. Feasibility Study of the Proposed CNN and Future Prospective
5. Conclusions
Author Contributions
Funding
Institutional Review Board Statement
Informed Consent Statement
Data Availability Statement
Conflicts of Interest
References
- COVID ‘Long Haulers’: Long-Term Effects of COVID-19. Available online: https://www.hopkinsmedicine.org/health/conditions-and-diseases/coronavirus/covid-long-haulers-long-term-effects-of-covid19#:~:text=A%20bad%20case%20of%20COVID,is%20possible%2C%20but%20takes%20time (accessed on 3 March 2022).
- Nabavi, S.; Ejmalian, A.; Moghaddam, M.E.; Abin, A.A.; Frangi, A.F.; Mohammadi, M.; Rad, H.S. Medical Imaging and Computational Image Analysis in COVID-19 Diagnosis: A Review. Comput. Biol. Med. 2021, 135, 104605. [Google Scholar] [CrossRef]
- How Are Diseases Transmitted? Available online: https://www.healthline.com/health/disease-transmission#direct-contact (accessed on 3 March 2022).
- Use and Care of Masks. Available online: https://www.cdc.gov/coronavirus/2019-ncov/prevent-getting-sick/about-face-coverings.html (accessed on 3 March 2022).
- Stewart, E.H.; Davis, B.; Clemans-Taylor, B.L.; Littenberg, B.; Estrada, C.A.; Centor, R.M. Rapid Antigen Group A Streptococcus Test to Diagnose Pharyngitis: A Systematic Review and Meta-Analysis. PLoS ONE 2014, 9, e111727. [Google Scholar] [CrossRef] [PubMed]
- Pascarella, G.; Strumia, A.; Piliego, C.; Bruno, F.; Del Buono, R.; Costa, F.; Scarlata, S.; Agrò, F.E. COVID-19 diagnosis and management: A comprehensive review. J. Intern. Med. 2020, 288, 192–206. [Google Scholar] [CrossRef] [PubMed]
- Wiersinga, W.J.; Rhodes, A.; Cheng, A.C.; Peacock, S.J.; Prescott, H.C. Pathophysiology, Transmission, Diagnosis, and Treatment of Coronavirus Disease 2019 (COVID-19): A Review. JAMA 2020, 324, 782–793. [Google Scholar] [CrossRef] [PubMed]
- Afshar, P.; Heidarian, S.; Naderkhani, F.; Oikonomou, A.; Plataniotis, K.N.; Mohammadi, A. COVID-CAPS: A capsule network-based framework for identification of COVID-19 cases from X-ray images. Pattern Recognit. Lett. 2020, 138, 638–643. [Google Scholar] [CrossRef]
- Abumalloh, R.A.; Nilashi, M.; Ismail, M.Y.; Alhargan, A.; Alghamdi, A.; Alzahrani, A.O.; Saraireh, L.; Osman, R.; Asadi, S. Medical image processing and COVID-19: A literature review and bibliometric analysis. J. Infect. Public Health 2022, 15, 75–93. [Google Scholar] [CrossRef]
- Chest MRI of Patients with COVID-19. Available online: https://pubmed.ncbi.nlm.nih.gov/33727149/ (accessed on 10 March 2022).
- Data Visualization in Python with Matplotlib, Seaborn and Bokeh. Available online: https://machinelearningmastery.com/data-visualization-in-python-with-matplotlib-seaborn-and-bokeh/ (accessed on 10 March 2022).
- Mooney, P. Chest X-ray Images (Pneumonia). Kaggle. 2018. Available online: https://www.kaggle.com/datasets/paultimothymooney/chest-xray-pneumonia (accessed on 21 February 2022).
- Patel, P. Chest X-ray (COVID-19 & Pneumonia). Kaggle. 2020. Available online: https://www.kaggle.com/prashant268/chest-xray-covid19-pneumonia/ (accessed on 18 February 2022).
- Cohen, J.P. IEEE8023/COVID-Chestxray-Dataset: We are Building an Open Database of COVID-19 Cases with Chest X-ray or CT Images. GitHub. 2020. Available online: https://github.com/ieee8023/covid-chestxray-dataset (accessed on 21 January 2022).
- Huang, Y.; Cheng, W.; Zhao, N.; Qu, H.; Tian, J. CT screening for early diagnosis of SARS-CoV-2 infection. Lancet Infect. Dis. 2020, 20, 1010–1011. [Google Scholar] [CrossRef]
- Mondal, M.; Bharati, S.; Podder, P. Diagnosis of COVID-19 Using Machine Learning and Deep Learning: A Review. Curr. Med. Imaging Former. Curr. Med. Imaging Rev. 2021, 17, 1403–1418. [Google Scholar] [CrossRef]
- Majidi, H.; Niksolat, F. Chest CT in patients suspected of COVID-19 infection: A reliable alternative for RT-PCR. Am. J. Emerg. Med. 2020, 38, 2730–2732. [Google Scholar] [CrossRef]
- Borghesi, A.; Zigliani, A.; Golemi, S.; Carapella, N.; Maculotti, P.; Farina, D.; Maroldi, R. Chest X-ray severity index as a predictor of in-hospital mortality in coronavirus disease 2019: A study of 302 patients from Italy. Int. J. Infect. Dis. 2020, 96, 291–293. [Google Scholar] [CrossRef]
- Chua, F.; Armstrong-James, D.; Desai, S.R.; Barnett, J.; Kouranos, V.; Kon, O.M.; Jose, R.; Vancheeswaran, R.; Loebinger, M.R.; Wong, J.; et al. The role of CT in case ascertainment and management of COVID-19 pneumonia in the UK: Insights from high-incidence regions. Lancet Respir. Med. 2020, 8, 438–440. [Google Scholar] [CrossRef]
- Clinical Utility of Perfusion (Q)-Single-Photon Emission Computed Tomography (SPECT)/CT for Diagnosing Pulmonary Embolus (PE) in COVID-19 Patients with a Moderate to High Pre-Test Probability of PE. Available online: https://www.ncbi.nlm.nih.gov/pmc/articles/PMC7505736/ (accessed on 10 March 2022).
- WHO. WHO Coronavirus Disease COVID-19 Dashboard. Available online: https://covid19.who.int (accessed on 15 March 2022).
- Revel, M.-P.; Parkar, A.P.; Prosch, H.; Silva, M.; Sverzellati, N.; Gleeson, F.; Brady, A. COVID-19 patients and the radiology de-partment–advice from the European society of radiology (ESR) and the European society of thoracic imaging (ESTI). Eur. Radiol. 2020, 30, 4903–4909. [Google Scholar] [CrossRef]
- Rodrigues, J.; Hare, S.; Edey, A.; Devaraj, A.; Jacob, J.; Johnstone, A.; McStay, R.; Nair, A.; Robinson, G. An update on COVID-19 for the radiologist-A British society of Thoracic Imaging statement. Clin. Radiol. 2020, 75, 323–325. [Google Scholar] [CrossRef]
- Nair, A.; Rodrigues, J.; Hare, S.; Edey, A.; Devaraj, A.; Jacob, J.; Johnstone, A.; McStay, R.; Denton, E.; Robinson, G. A British Society of Thoracic Imaging statement: Considerations in designing local imaging diagnostic algorithms for the COVID-19 pandemic. Clin. Radiol. 2020, 75, 329–334. [Google Scholar] [CrossRef]
- Raptis, C.A.; Hammer, M.; Short, R.G.; Shah, A.; Bhalla, S.; Bierhals, A.J.; Filev, P.D.; Hope, M.D.; Jeudy, J.; Kligerman, S.J.; et al. Chest CT and Coronavirus Disease (COVID-19): A Critical Review of the Literature to Date. Am. J. Roentgenol. 2020, 215, 839–842. [Google Scholar] [CrossRef]
- Duan, Y.-N.; Zhu, Y.-Q.; Tang, L.-L.; Qin, J. CT features of novel coronavirus pneumonia (COVID-19) in children. Eur. Radiol. 2020, 30, 4427–4433. [Google Scholar] [CrossRef]
- Nasir, M.U.; Roberts, J.; Muller, N.L.; Macri, F.; Mohammed, M.F.; Akhlaghpoor, S.; Parker, W.; Eftekhari, A.; Rezaei, S.; Mayo, J.; et al. The role of emergency radiology in COVID-19: From preparedness to diagnosis. Can. Assoc. Radiol. J. 2020, 71, 293–300. [Google Scholar] [CrossRef]
- Li, B.; Li, X.; Wang, Y.; Han, Y.; Wang, Y.; Wang, C.; Zhang, G.; Jin, J.; Jia, H.; Fan, F.; et al. Diagnostic value and key features of computed tomography in Coronavirus Disease 2019. Emerg. Microbes Infect. 2020, 9, 787–793. [Google Scholar] [CrossRef]
- Bao, C.; Liu, X.; Zhang, H.; Li, Y.; Liu, J. Coronavirus Disease 2019 (COVID-19) CT Findings: A Systematic Review and Meta-analysis. J. Am. Coll. Radiol. 2020, 17, 701–709. [Google Scholar] [CrossRef]
- Salehi, S.; Abedi, A.; Balakrishnan, S.; Gholamrezanezhad, A. Coronavirus Disease 2019 (COVID-19): A Systematic Review of Imaging Findings in 919 Patients. Am. J. Roentgenol. 2020, 215, 87–93. [Google Scholar] [CrossRef]
- Fan, L.; Li, D.; Xue, H.; Zhang, L.; Liu, Z.; Zhang, B.; Zhang, L.; Yang, W.; Xie, B.; Duan, X.; et al. Progress and prospect on imaging diagnosis of COVID-19. Chin. J. Acad. Radiol. 2020, 3, 4–13. [Google Scholar] [CrossRef] [PubMed]
- Liu, H.; Liu, F.; Li, J.; Zhang, T.; Wang, D.; Lan, W. Clinical and CT imaging features of the COVID-19 pneumonia: Focus on pregnant women and children. J. Infect. 2020, 80, e7–e13. [Google Scholar] [CrossRef] [PubMed]
- Yang, R.; Li, X.; Liu, H.; Zhen, Y.; Zhang, X.; Xiong, Q.; Luo, Y.; Gao, C.; Zeng, W. Chest CT Severity Score: An Imaging Tool for Assessing Severe COVID-19. Radiol. Cardiothorac. Imaging 2020, 2, e200047. [Google Scholar] [CrossRef] [PubMed]











| Input Dataset | Abnormal (COVID +ve) | Normal (COVID −ve) |
|---|---|---|
| Training (80%) | 768 samples | 768 samples |
| Testing (20%) | 192 samples | 192 samples |
| Epoch | Time (s) | Train Loss | Train Accuracy | Test Loss | Test Accuracy |
|---|---|---|---|---|---|
| 1 | 82 | 0.6961 | 0.5384 | 0.6929 | 0.5 |
| 2 | 70 | 0.4571 | 0.7852 | 0.2267 | 0.9427 |
| 3 | 70 | 0.266 | 0.9043 | 0.1829 | 0.9479 |
| 4 | 69 | 0.2147 | 0.9271 | 0.1532 | 0.9531 |
| 5 | 69 | 0.2028 | 0.9303 | 0.1509 | 0.9583 |
| 36 | 68 | 0.0579 | 0.9792 | 0.1327 | 0.9479 |
| 37 | 68 | 0.0482 | 0.9844 | 0.1921 | 0.9349 |
| 38 | 68 | 0.0533 | 0.9811 | 0.0937 | 0.9688 |
| 39 | 68 | 0.0699 | 0.9727 | 0.1909 | 0.9193 |
| 40 | 68 | 0.0541 | 0.9824 | 0.14 | 0.9427 |
| Sr. No. | Proposed Model | Number of CXR Inputs | Accuracy (%) | Precision (%) |
|---|---|---|---|---|
| 1 | VGG-19 | N: 8066, C:358 | 83 | 83.1 |
| 2 | ResNet18 | N:50, C:50 | 87.28 | 95.91 |
| 3 | ResNet101 | N:200, C:180 | 87.37 | - |
| 4 | XceptionNet | N: 50, C:50 | 88.74 | 89.18 |
| 5 | 3-class CoroNet | N:500, C:500 | 90.21 | 92 |
| 6 | ResNet50 (Fine Tuning) | N: 200, C:180 | 92.63 | - |
| 7 | InceptionV3 | N:127, C:254 | 90.26 | - |
| 8 | DenseNet201 | N:50, C:50 | 90.56 | 97.85 |
| 9 | Proposed CNN Model | N: 960, C:960 | 95 | 96 |
| 10 | Inceptionresnetv2 | N:50, C:50 | 97.18 | 98.64 |
| 11 | MobileNet V2 | N:365, C:361 | 98 | 97.6 |
| 12 | InstaCovNet-19 | N:365, C:361 | 99.08 | 99 |
| Sr. No. | Imaging Modality | Researcher Comments |
|---|---|---|
| 1 | IRT (Infrared Thermography) |
|
| 2 | SPECT (Single Photon Emission Computerized Tomography) |
|
| 3 | F-FDG PET (Positron Emission Tomography) |
|
| 4 | MRI (Magnetic Resonance Imaging) |
|
Publisher’s Note: MDPI stays neutral with regard to jurisdictional claims in published maps and institutional affiliations. |
© 2022 by the authors. Licensee MDPI, Basel, Switzerland. This article is an open access article distributed under the terms and conditions of the Creative Commons Attribution (CC BY) license (https://creativecommons.org/licenses/by/4.0/).
Share and Cite
Mehta, A.K.; Swarnalatha, R.; Subramoniam, M.; Salunkhe, S. A Convolutional Neural Network for COVID-19 Diagnosis: An Analysis of Coronavirus Infections through Chest X-rays. Electronics 2022, 11, 3975. https://doi.org/10.3390/electronics11233975
Mehta AK, Swarnalatha R, Subramoniam M, Salunkhe S. A Convolutional Neural Network for COVID-19 Diagnosis: An Analysis of Coronavirus Infections through Chest X-rays. Electronics. 2022; 11(23):3975. https://doi.org/10.3390/electronics11233975
Chicago/Turabian StyleMehta, Avani Kirit, R. Swarnalatha, M. Subramoniam, and Sachin Salunkhe. 2022. "A Convolutional Neural Network for COVID-19 Diagnosis: An Analysis of Coronavirus Infections through Chest X-rays" Electronics 11, no. 23: 3975. https://doi.org/10.3390/electronics11233975
APA StyleMehta, A. K., Swarnalatha, R., Subramoniam, M., & Salunkhe, S. (2022). A Convolutional Neural Network for COVID-19 Diagnosis: An Analysis of Coronavirus Infections through Chest X-rays. Electronics, 11(23), 3975. https://doi.org/10.3390/electronics11233975

