A Fast Automatic Reconstruction Method for Panoramic Images Based on Cone Beam Computed Tomography
Abstract
1. Introduction
2. Materials and Methods
2.1. Data Acquisitions
2.2. Methods
2.2.1. Dental Arch Curve Detection
2.2.2. Image Enhancement and Synthesis Algorithms
| Algorithm 1 Image synthesis and enhancement algorithms |
| Input: MPRSets(Psets) |
| Output:P |
| 1: N←Num(Psets) |
| 2: for Pn(i, j) ∈ Pn do |
| 3: if Pn=1→N(i,j) > Y then |
| 4: P0(i,j) = αYln(ePn=1→N(i,j)/Y) |
| 5: else |
| 6: P0(i,j) = ln(ePn=1→N(i,j)/Y) |
| 7: end if |
| 8: end for |
| 9: if P0(i,j) > Y then |
| 10: P(i,j) = βG(P1) |
| 11: else |
| 12: P(i,j) = γG(P0) + (1-γ)W(P0) |
| 13: end if |
| 14: return P |
3. Results and Discussion
3.1. Experimental Environment and Implementation Time
3.2. Dental Arch Detection Effect
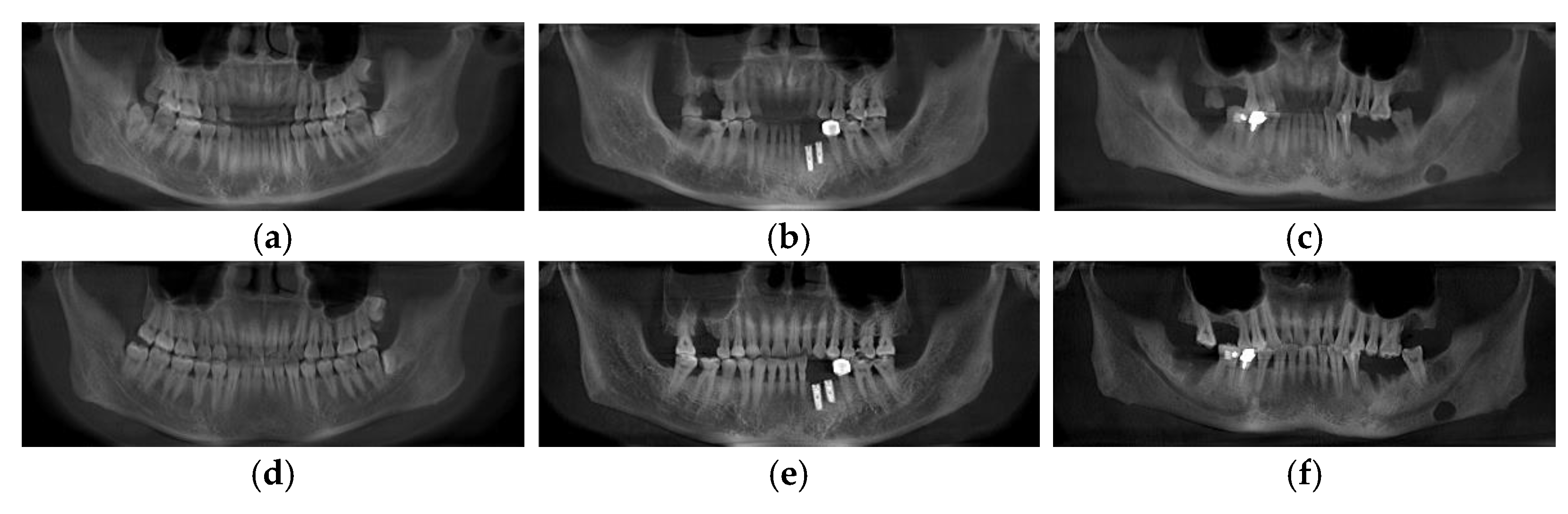
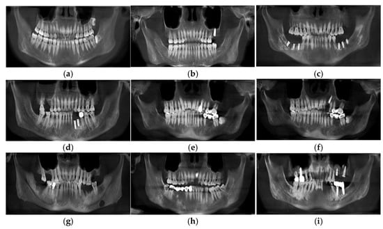
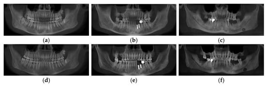
3.3. Different Types of Panoramic Image Effects
3.4. Quality Evaluation of the Panoramic Radiographs
3.5. Limitations
4. Conclusions
Author Contributions
Funding
Institutional Review Board Statement
Informed Consent Statement
Conflicts of Interest
References
- Farman, A.G.; Scarfe, W.C. Historical perspectives on CBCT. In Maxillofacial Cone Beam Computed Tomography; Springer: Cham, Switzerland, 2018; pp. 3–11. [Google Scholar]
- Frederiksen, N.L. Diagnostic imaging in dental implantology. Oral Surg. Oral Med. Oral Pathol. Oral Radiol. Endodontol. 1995, 80, 540–554. [Google Scholar] [CrossRef]
- Fokas, G.; Vaughn, V.M.; Scarfe, W.C.; Bornstein, M.M. Accuracy of linear measurements on CBCT images related to presurgical implant treatment planning: A systematic review. Clin. Oral Implant. Res. 2018, 29, 393–415. [Google Scholar] [CrossRef] [PubMed]
- Guerrero, M.E.; Jacobs, R.; Loubele, M.; Schutyser, F.; Suetens, P.; van Steenberghe, D. State-of-the-art on cone beam CT imaging for preoperative planning of implant placement. Clin. Oral Investig. 2006, 10, 1–7. [Google Scholar] [CrossRef] [PubMed]
- Manavella, V.; Romano, F.; Garrone, F.; Terzini, M.; Bignardi, C.; Aimetti, M. A novel image processing technique for 3D volumetric analysis of severely resorbed alveolar sockets with CBCT. Minerva Stomatol. 2017, 66, 81–90. [Google Scholar] [CrossRef] [PubMed]
- Harris, D.; Horner, K.; Gröndahl, K.; Jacobs, R.; Helmrot, E.; Benic, G.I.; Bornstein, M.M.; Dawood, A.; Quirynen, M. EAO guidelines for the use of diagnostic imaging in implant dentistry 2011. A consensus workshop organized by the European Association for Osseointegration at the Medical University of Warsaw. Clin. Oral Implant. Res. 2012, 23, 1243–1253. [Google Scholar] [CrossRef] [PubMed]
- Çiftçi, M.E.; Aktan, A.M.; İşman, Ö.; Yıldırım, E. Relationship between CBCT and panoramic images of the morphology and angulation of the posterior mandibular jaw bone. Surg. Radiol. Anat. 2016, 38, 313–320. [Google Scholar] [CrossRef] [PubMed]
- Cui, W.; Zeng, L.; Chong, B.; Zhang, Q. Toothpix: Pixel-Level Tooth Segmentation in Panoramic X-Ray Images based on Generative Adversarial Networks. In Proceedings of the 2021 IEEE 18th International Symposium on Biomedical Imaging (ISBI), Nice, France, 13–16 April 2021; pp. 1346–1350. [Google Scholar] [CrossRef]
- Wei, X.; Wang, Y. Inferior alveolar canal segmentation based on cone-beam computed tomography. Med. Phys. 2021, 48, 7074–7088. [Google Scholar] [CrossRef] [PubMed]
- Warin, K.; Limprasert, W.; Suebnukarn, S.; Inglam, S.; Jantana, S.; Vicharueang, S. Assessment of deep convolutional neural network models for mandibular fracture detection in panoramic radiographs. Int J Oral Maxillofac Surg 2022, 51. [Google Scholar] [CrossRef] [PubMed]
- Song, W.; Liang, Y.; Yang, J.; Wang, K.; He, L. Oral-3d: Reconstructing the 3d structure of oral cavity from panoramic x-ray. In Proceedings of the AAAI Conference on Artificial Intelligence, Virtually, 2–9 February 2021; Volume 35, pp. 566–573. [Google Scholar]
- Kanitsar, A.; Fleischmann, D.; Wegenkittl, R.; Felkel, P.; Groller, E. CPR-Curved Planar Reformation; IEEE: Manhattan, NY, USA, 2002. [Google Scholar]
- Bornstein, M.M.; Horner, K.; Jacobs, R. Use of cone beam computed tomography in implant dentistry: Current concepts, indications and limitations for clinical practice and research. Periodontol. 2000 2017, 73, 51–72. [Google Scholar] [CrossRef] [PubMed]
- Harris, D.; Buser, D.; Dula, K.; Gröndahl, K.; Harris, D.; Jacobs, R.; Lekholm, U.; Nakielny, R.; van Steenberghe, D.; van der Stelt, P. EAO Guidelines for the use of Diagnostic Imaging in Implant Dentistry: A consensus workshop organized by the European Association for Osseointegration in Trinity College Dublin. Clin. Oral Implant. Res. 2002, 13, 566–570. [Google Scholar] [CrossRef] [PubMed]
- Suzuki, S.; Ichikawa, K.; Tamaki, S. Image Quality and Clinical Usefulness of Ray-summation Image Reconstructed from CT Data, Compared with Digital Radiography. Nihon Hoshasen Gijutsu Gakkai Zasshi 2017, 73, 372–381. [Google Scholar] [CrossRef] [PubMed]
- Westenberg, M.A.; Roerdink, J.B.T.M. X-ray volume rendering by hierarchical wavelet splatting. In Proceedings of the 15th International Conference on Pattern Recognition, ICPR-2000, Barcelona, Spain, 3–7 September 2000; IEEE: Manhattan, NY, USA, 2000; Volume 3, pp. 159–162. [Google Scholar]
- Izzetti, R.; Nisi, M.; Aringhieri, G.; Crocetti, L.; Graziani, F.; Nardi, C. Basic knowledge and new advances in panoramic radiography imaging techniques: A narrative review on what dentists and radiologists should know. Appl. Sci. 2021, 11, 7858. [Google Scholar] [CrossRef]
- Chanwimaluang, T.; Sotthivirat, S.; Sinthupinyo, W. Automated dental arch detection using computed tomography images. In Proceedings of the 2008 9th International Conference on Signal Processing, Beijing, China, 6–29 October 2008; IEEE: Manhattan, NY, USA, 2008; pp. 737–740. [Google Scholar]
- Amorim, P.H.; Moraes, T.F.; Silva, J.V.; Pedrini, H.; Ruben, R.B. Reconstruction of panoramic dental images through bézier function optimization. Front. Bioeng. Biotechnol. 2020, 8, 794. [Google Scholar] [CrossRef] [PubMed]
- Zhu, S.; Fang, H.; Zhang, D. An Algorithm for Automatically Extracting Dental Arch curve. J. Phys. Conf. Ser. IOP Publ. 2021, 2082, 012018. [Google Scholar] [CrossRef]
- Bae, M.; Park, J.W.; Kim, N. Semi-automatic and robust determination of dental arch form in dental cone-beam CT with B-spline approximation. Comput. Methods Prog. Biomed. 2019, 172, 95–101. [Google Scholar] [CrossRef]
- Akhoondali, H.; Zoroofi, R.A.; Shirani, G. Fully automatic extraction of panoramic dental images from CT-scan volumetric data of the head. J. Appl. Sci. 2009, 9, 2106–2114. [Google Scholar] [CrossRef][Green Version]
- Bing, H.; Liang, C.; Zhen, C.; Fang, P.; Deyu, L.; Shuyu, L.; Yubo, F. An automatic method of synthesizing panoramic radiograph by unwrapping dental CT image. In Proceedings of the 2011 International Conference on Mechatronic Science, Electric Engineering and Computer (MEC), Jilin, China, 19–22 August 2011; IEEE: Manhattan, NY, USA, 2011; pp. 1094–1096. [Google Scholar]
- Papakosta, T.K.; Savva, A.D.; Economopoulos, T.L.; Matsopoulos, G.K.; Gröhndal, H.G. An automatic panoramic image reconstruction scheme from dental computed tomography images. Dentomaxillofacial. Radiol. 2017, 46, 20160225. [Google Scholar] [CrossRef]
- Sa-Ing, V.; Wangkaoom, K.; Thongvigitmanee, S.S. Automatic dental arch detection and panoramic image synthesis from CT images. In Proceedings of the 2013 35th Annual International Conference of the IEEE Engineering in Medicine and Biology Society (EMBC), Osaka, Japan, 3–7 July 2013; IEEE: Manhattan, NY, USA, 2013; pp. 6099–6102. [Google Scholar]
- Luo, T.; Shi, C.; Zhao, X.; Zhao, Y.; Xu, J. Automatic synthesis of panoramic radiographs from dental cone beam computed tomography data. PLoS ONE 2016, 11, e0156976. [Google Scholar] [CrossRef]
- Yun, Z.; Yang, S.; Huang, E.; Zhao, L.; Yang, W.; Feng, Q. Automatic reconstruction method for high-contrast panoramic image from dental cone-beam CT data. Comput. Methods Prog. Biomed. 2019, 175, 205–214. [Google Scholar] [CrossRef]
- Guo, H. A simple algorithm for fitting a Gaussian function [DSP tips and tricks]. IEEE Signal Process. Mag. 2011, 28, 134–137. [Google Scholar] [CrossRef]
- Hall, R.W. Fast parallel thinning algorithms: Parallel speed and connectivity preservation. Commun. ACM 1989, 32, 124–131. [Google Scholar] [CrossRef]
- Wang, P.S.P.; Zhang, Y.Y. A Fast Serial and Parallel Thinning Algorithm Cybernetics and Systems’ 86; Springer: Dordrecht, The Netherlands, 1986; pp. 909–915. [Google Scholar]
- Zhang, T.Y.; Suen, C.Y. A fast parallel algorithm for thinning digital patterns. Commun. ACM 1984, 27, 236–239. [Google Scholar] [CrossRef]
- Amorim, P.H.; de Moraes, T.F.; da Silva, J.V.; Pedrini, H.; Ruben, R.B. Automatic reconstruction of dental CT images using optimization. In Proceedings of the Biodental Engineering III: Proceedings of the 3rd International Conference on Biodental Engineering (BIODENTAL 2014), Porto, Portugal, 22–23 June 2014; Taylor & Francis Books Ltd.: Abingdon, UK, 2014; pp. 57–62. [Google Scholar]
- Gijbels, F.; De Meyer, A.M.; Bou Serhal, C.; Van den Bossche, C.; Declerck, J.; Persoons, M.; Jacobs, R. The subjective image quality of direct digital and conventional panoramic radiography. Clin. Oral Investig. 2000, 4, 162–167. [Google Scholar] [CrossRef] [PubMed]
- Gamache, C.; English, J.D.; Salas-Lopez, A.M.; Rong, J.; Akyalcin, S. Assessment of image quality in maxillofacial cone-beam computed tomography imaging[C]Seminars in Orthodontics. WB Saunders 2015, 21, 248–253. [Google Scholar]
- Wang, Z.; Bovik, A.C.; Sheikh, H.R.; Simoncelli, E.P. Image quality assessment: From error visibility to structural similarity. IEEE Trans. Image Process. 2004, 13, 600–612. [Google Scholar] [CrossRef]
- Lee, M.S.; Park, C.H.; Kang, M.G. Edge enhancement algorithm for low-dose X-ray fluoroscopic imaging. Comput. Methods Prog. Biomed. 2017, 152, 45–52. [Google Scholar] [CrossRef] [PubMed]
- Zhao, C.; Wang, Z.; Li, H.; Wu, X.; Qiao, S.; Sun, J. A new approach for medical image enhancement based on luminance-level modulation and gradient modulation. Biomed. Signal Process. Control. 2019, 48, 189–196. [Google Scholar] [CrossRef]
- Rahmi-Fajrin, H.; Puspita, S.; Riyadi, S.; Sofiani, E. Dental radiography image enhancement for treatment evaluation through digital image processing. J. Clin. Exp. Dent. 2018, 10, e629. [Google Scholar] [CrossRef] [PubMed]








| Score | Evaluation Content |
|---|---|
| 1 | The differences in brightness and contrast between different regions are too large, and the structures within each region are not visible. |
| 2 | The contrast difference between different regions is not obvious, and the boundaries of each region are not obvious. |
| 3 | Brightness and contrast between different tissues are good. |
| 4 | There is good density and contrast between different tissues. Brightness is uniform across areas, and internal details are visible. |
Publisher’s Note: MDPI stays neutral with regard to jurisdictional claims in published maps and institutional affiliations. |
© 2022 by the authors. Licensee MDPI, Basel, Switzerland. This article is an open access article distributed under the terms and conditions of the Creative Commons Attribution (CC BY) license (https://creativecommons.org/licenses/by/4.0/).
Share and Cite
Zhang, J.; Jiang, Y.; Gao, F.; Zhao, S.; Yang, F.; Song, L. A Fast Automatic Reconstruction Method for Panoramic Images Based on Cone Beam Computed Tomography. Electronics 2022, 11, 2404. https://doi.org/10.3390/electronics11152404
Zhang J, Jiang Y, Gao F, Zhao S, Yang F, Song L. A Fast Automatic Reconstruction Method for Panoramic Images Based on Cone Beam Computed Tomography. Electronics. 2022; 11(15):2404. https://doi.org/10.3390/electronics11152404
Chicago/Turabian StyleZhang, Jianguo, Yichuan Jiang, Fei Gao, Sheng Zhao, Fan Yang, and Liang Song. 2022. "A Fast Automatic Reconstruction Method for Panoramic Images Based on Cone Beam Computed Tomography" Electronics 11, no. 15: 2404. https://doi.org/10.3390/electronics11152404
APA StyleZhang, J., Jiang, Y., Gao, F., Zhao, S., Yang, F., & Song, L. (2022). A Fast Automatic Reconstruction Method for Panoramic Images Based on Cone Beam Computed Tomography. Electronics, 11(15), 2404. https://doi.org/10.3390/electronics11152404
