Age-Defying and Photoprotective Potential of Geranium/Calendula Essential Oil Encapsulated Vesicular Cream on Biochemical Parameters against UVB Radiation Induced Skin Aging in Rat
Abstract
:1. Introduction
2. Material and Methods
2.1. Ethics Declaration
2.2. Previous Findings
2.3. Cream Formulations
2.4. Evaluation of Photoprotective Potential of Cream Formulation
2.5. Animals and Treatments
2.6. Exposure to UVB Radiation
2.7. Tissue Preparation for Biochemical Study
2.8. Evaluation of Biochemical Parameters
2.8.1. Estimation of Total Protein Content
2.8.2. Estimation of Ascorbic Acid Content
2.8.3. Estimation of Hydroxyproline Content
2.8.4. Estimation of Malondialdehyde (Lipid Peroxidation Assay)
2.8.5. Estimation of Superoxide Dismutase (SOD)
2.8.6. Estimation of Catalase
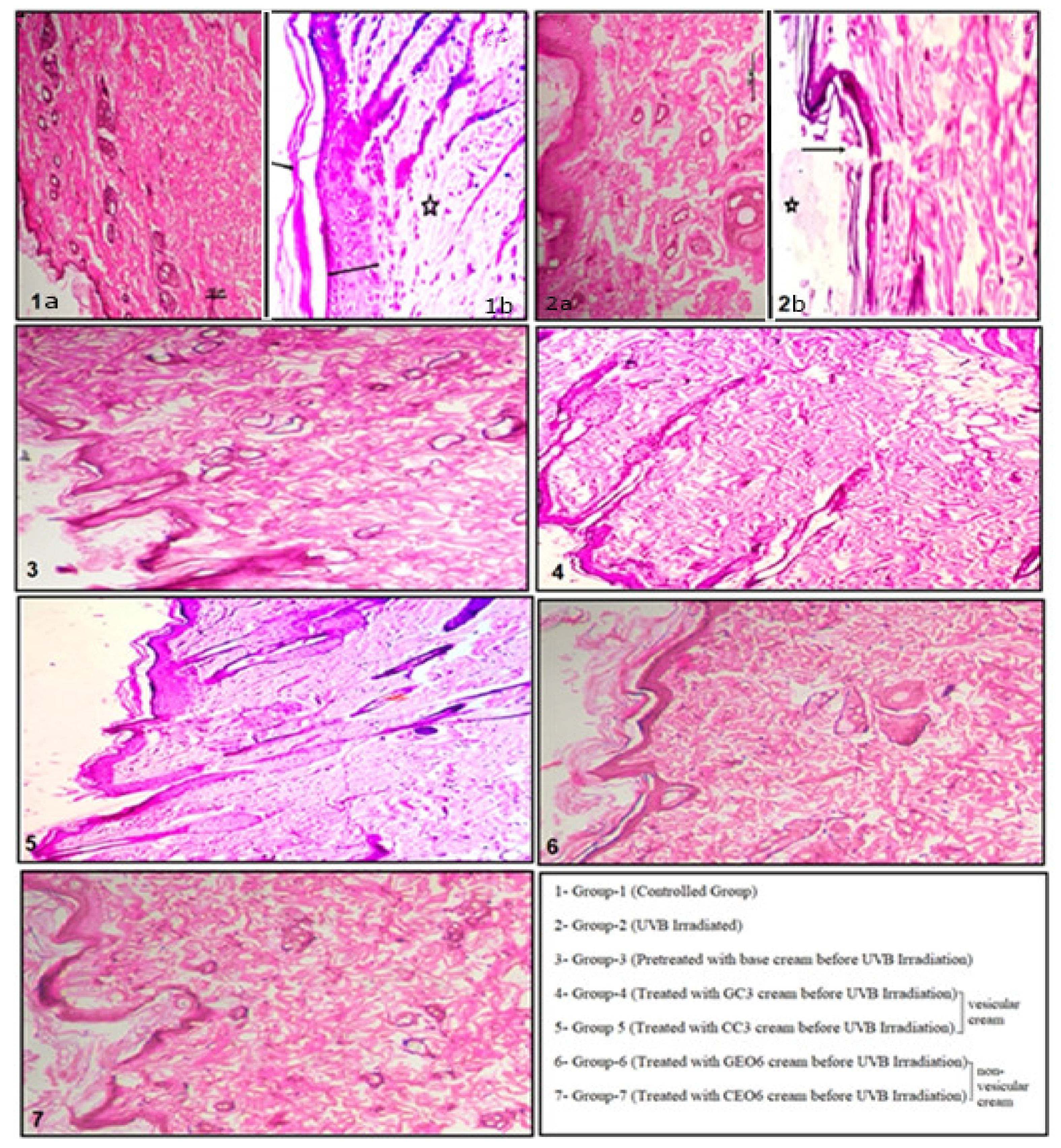
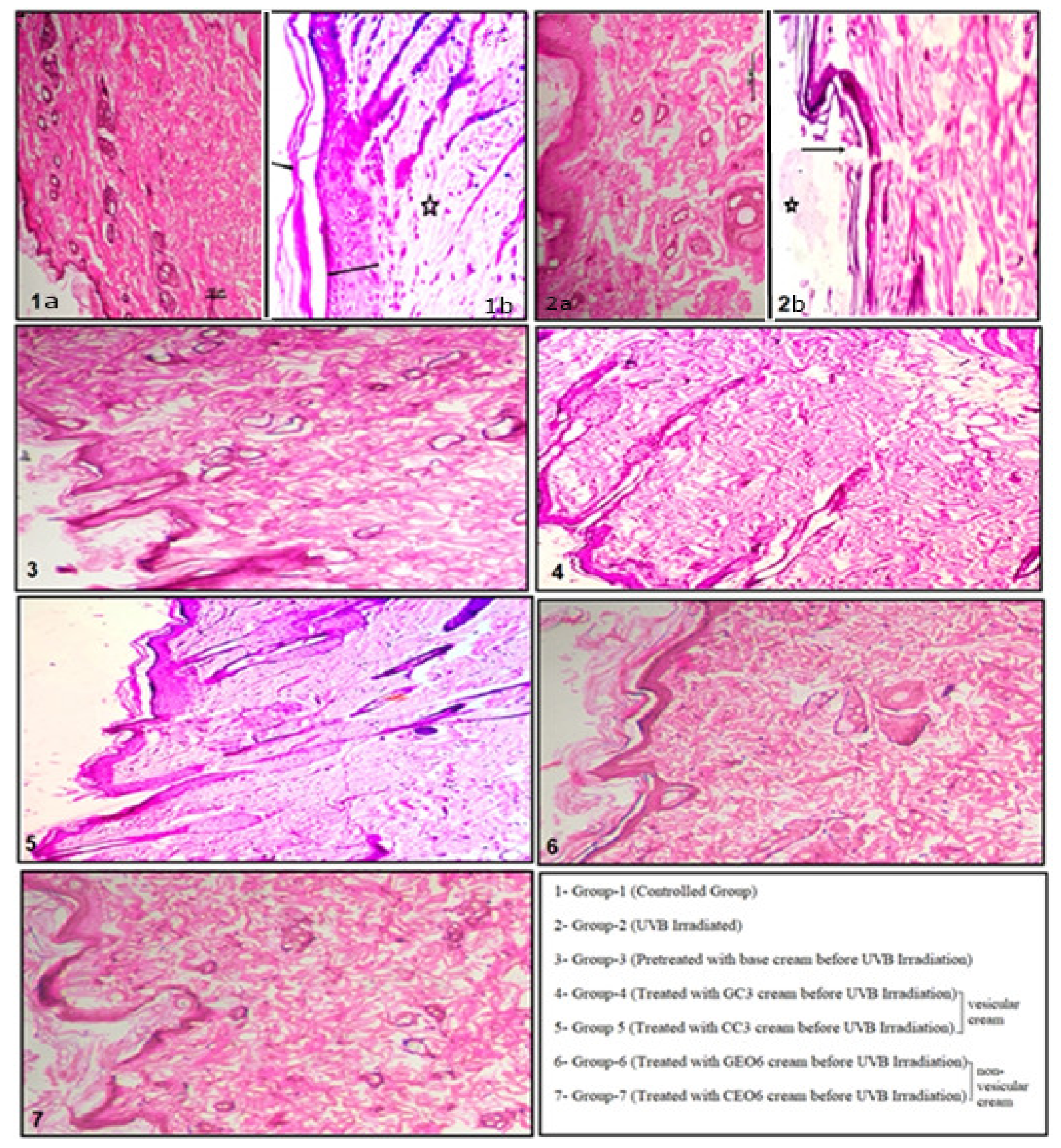
2.9. Histopathology of Skin Tissue
2.10. Statistical Analysis
3. Results and Discussion
3.1. Estimation of Biochemical Parameters
3.1.1. Total Protein Estimation
3.1.2. Estimation of Ascorbic Acid
3.1.3. Estimation of Hydroxyproline
3.1.4. Estimation of Malondialdehyde (Lipid Peroxidation Assay)
3.1.5. Estimation of Superoxide Dismutase (SOD)
3.1.6. Estimation of Catalase
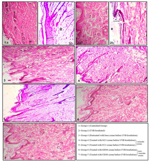
3.2. Histopathology of Skin Tissue
4. Conclusions
Author Contributions
Funding
Institutional Review Board Statement
Informed Consent Statement
Data Availability Statement
Acknowledgments
Conflicts of Interest
References
- Lohani, A.; Verma, A.; Joshi, H.; Yadav, N.; Karki, N. Nanotechnology-Based Cosmeceuticals. Int. Sch. Res. Not. 2014, 2014, 843687. [Google Scholar] [CrossRef] [PubMed]
- Sams, W.M.; Smith, J.G. The Histochemistry of Chronically Sun-Damaged Skin. J. Investig. Dermatol. 1961, 37, 447–453. [Google Scholar] [CrossRef] [PubMed] [Green Version]
- D’Orazio, J.; Jarrett, S.; Amaro-Ortiz, A.; Scott, T. UV Radiation and the Skin. Int. J. Mol. Sci. 2013, 14, 12222–12248. [Google Scholar] [CrossRef] [PubMed] [Green Version]
- Mishra, A.K.; Mishra, A.; Verma, A.; Chattopadhyay, P. Effects of calendula essential oil-based cream on biochemical parameters of skin of albino rats against ultraviolet B radiation. Sci. Pharm. 2012, 80, 669–683. [Google Scholar] [CrossRef] [Green Version]
- Yoshimura, T.; Manabe, C.; Inokuchi, Y.; Mutou, C.; Nagahama, T.; Murakami, S. Protective effect of taurine on UVB-induced skin aging in hairless mice. Biomed. Pharmacother. 2021, 141, 111898. [Google Scholar] [CrossRef]
- Meyskens, J.; Farmer, F.L.; Fruehauf, P. Redox regulation in human melanocytes and melanoma. Pigment. Cell. Res. 2001, 14, 148–154. [Google Scholar] [CrossRef] [Green Version]
- Bickers, R.; Athar, M. Oxidative stress in the pathogenesis of skin disease. J. Investig. Dermatol. 2006, 126, 2565–2575. [Google Scholar] [CrossRef] [Green Version]
- Pillai, S.; Oresajo, C.; Hayward, J. Ultraviolet radiation and skin aging: Roles of reactive oxygen species, inflammation and protease activation, and strategies for prevention of inflammation-induced matrix degradation—A review. Int. J. Cosmet. Sci. 2005, 27, 17–34. [Google Scholar] [CrossRef]
- Gilchrest, A. Barbara. Photoaging. J. Investig. Dermatol. 2013, 133, E2–E6. [Google Scholar] [CrossRef] [Green Version]
- Baratta, M.T.; Dorman, H.D.; Deans, S.G.; Figueiredo, A.C.; Barroso, J.G.; Ruberto, G. Antimicrobial and antioxidant properties of some commercial essential oils. Flavour. Fragr. J. 1998, 13, 235–244. [Google Scholar] [CrossRef]
- Lalli, J.; Van Zyl, R.; Van Vuuren, S.; Viljoen, A. In vitro biological activities of South African Pelargonium (Geraniaceae) species. S. Afr. J. Bot. 2008, 74, 153–157. [Google Scholar] [CrossRef] [Green Version]
- Dorman, H.J.D.; Deans, S.G. Antimicrobial agents from plants: Antibacterial activity of plant volatile oils. J. Appl. Microbiol. 2000, 88, 308–316. [Google Scholar] [CrossRef] [PubMed]
- Mahboubi, M.; Feizabadi, M.M.; Khamechian, T.; Kazempour, N.; Zadeh, M.R.; Sasani, F.; Bekhradi, M. The Effect of Oliveria Decumbens and Pelargonium Graveolens on Healing of Infected Skin Wounds in Mice. World J. Plast. Surg. 2016, 5, 259–264. [Google Scholar] [PubMed]
- Okoye, E.I. Preliminary phytochemical analysis and antimicrobial activity of seeds of carica papaya. J. Basic Phy. Res. 2011, 1, 66–69. [Google Scholar]
- Lohani, A.; Mishra, A.K.; Verma, A. Cosmeceutical potential of geranium and calendula essential oil: Determination of antioxidant activity and in vitro sun protection factor. J. Cosmet. Dermatol. 2019, 18, 550–557. [Google Scholar] [CrossRef]
- Singh, H.P.; Kaur, S.; Negi, K.; Kumari, S.; Saini, V.; Batish, D.R.; Kohli, R.K. Assessment of in vitro antioxidant activity of essential oil of Eucalyptus citriodora (lemon-scented Eucalypt; Myrtaceae) and its major constituents. LWT-Food Sci. Technol. 2012, 48, 237–241. [Google Scholar] [CrossRef]
- Brito, R.G.; Guimarães, A.G.; Quintans, J.S.S.; Santos, M.R.V.; De Sousa, D.P.; Badaue-Passos, D.; De Lucca, W.; Brito, F.A.; Barreto, E.O.; Oliveira, A.P.; et al. Citronellol, a monoterpene alcohol, reduces nociceptive and inflammatory activities in rodents. J. Nat. Med. 2012, 66, 637–644. [Google Scholar] [CrossRef]
- Maestri, D.M.; Nepote, V.; Lamarque, A.L.; Zygadlo, J.A. Natural products as antioxidants. In Phytochemistry: Advances in Research; Imperato, F., Ed.; Research Signpost: Kerala, India, 2006; pp. 105–135. [Google Scholar]
- Miguel, M.G. Antioxidant and Anti-Inflammatory Activities of Essential Oils: A Short Review. Molecules 2010, 15, 9252–9287. [Google Scholar] [CrossRef] [Green Version]
- Shirazi, M.T.; Gholami, H.; Kavoosi, G.; Rowshan, V.; Tafsiry, A. Chemical composition, antioxidant, antimicrobial and cytotoxic activities of Tagetes minuta and Ocimum basilicum essential oils. Food. Sci. Nutr. 2014, 2, 146–155. [Google Scholar] [CrossRef]
- Martins, M.D.R.; Arantes, S.; Candeias, F.; Tinoco, M.T.; Cruz-Morais, J. Antioxidant, antimicrobial and toxicological properties of Schinus molle L. essential oils. J. Ethnopharmacol. 2014, 151, 485–492. [Google Scholar] [CrossRef] [Green Version]
- Lohani, A.; Verma, A.; Hema, G.; Pathak, K. Topical Delivery of Geranium/Calendula Essential Oil-Entrapped Ethanolic Lipid Vesicular Cream to Combat Skin Aging. BioMed Res. Int. 2021, 2021, 4593759. [Google Scholar] [CrossRef] [PubMed]
- Kaur, C.D.; Saraf, S. Topical vesicular formulations of Curcuma longa extract on recuperating the ultraviolet radiation-damaged skin. J. Cosmet. Dermatol. 2011, 10, 260–265. [Google Scholar] [CrossRef] [PubMed]
- Lorraine, H.K. The ultraviolet-irradiated hairless mouse: A model for photoaging. J. Am. Acad. Dermatol. 1989, 21, 623–631. [Google Scholar]
- Cole, C.A.; Davies, R.E.; Forbes, P.D.; D’Aloisio, L.C. Comparison of Action Spectra for Acute Cutaneous Responses to Ultraviolet Radiation: Man and Albino Hairless Mouse. Photochem. Photobiol. 1983, 37, 623–631. [Google Scholar] [CrossRef]
- Kligman, L.H.; Akin, F.J.; Kligman, A.M. Prevention of Ultraviolet Damage to the Dermis of Hairless Mice by Sunscreens. J. Investig. Dermatol. 1982, 78, 181–189. [Google Scholar] [CrossRef] [Green Version]
- OECD Guidelines for Testing of Chemicals. In-Vitro 3T3 NRU Phototoxicity Test. 432 Adopted 13 April 2014. Available online: https://www.oecd.org/env/ehs/testing/Test%20No.432-2004%20English.pdf (accessed on 21 October 2021).
- Meenakshi, J.; Jayaraman, V.; Ramakrishnan, K.M.; Babu, M. Ultrastructural differentiation of abnormal scars. Ann. Burn. Fire Disasters 2005, 18, 83–88. [Google Scholar]
- Nandi, A.; Chatterjee, I.B. Assay of superoxide dismutase activity in animal tissues. J. Biosci. 1988, 13, 305–315. [Google Scholar] [CrossRef]
- Lowry, O.H.; Rosebrough, N.J.; Farr, A.L.; Randall, R.J. Protein measurement with the Folin phenol reagent. J. Biol. Chem. 1951, 193, 265–275. [Google Scholar] [CrossRef]
- Eberlein-König, B.; Placzek, M.; Przybilla, B. Protective effect against sunburn of combined systemic ascorbic acid (vitamin C) and d-α-tocopherol (vitamin E). J. Am. Acad. Dermatol. 1998, 38, 45–48. [Google Scholar] [CrossRef]
- Shrivastav, A.; Mishra, A.K.; Ali, S.S.; Abuzinadah, A.A.M.F.; Khan, N.A. In vivo models for assessment of wound healing potential: A systematic review. Wound Med. 2018, 31, 43–53. [Google Scholar] [CrossRef]
- Dische, Z.; Borenfreund, E. A spectrophotometric method for the micro determination of hexosamines. J. Biol. Chem. 1950, 184, 517–522. [Google Scholar] [CrossRef]
- Marklund, S. Involvement of Superoxide anion radical in the autooxidation of pyrogallol and a convenient assay of super oxide dismutase. Eur. J. Biochem. 1974, 47, 469–472. [Google Scholar] [CrossRef] [PubMed]
- Gao, R.; Yuan, Z.; Zhao, Z.; Gao, X. Mechanism of pyrogallol autoxidation and determination of superoxide dismutase enzyme activity. Bioelectrochem. Bioenerg. 1998, 45, 41–45. [Google Scholar] [CrossRef]
- Sinha, A.K. Colorimetric assay of catalase. Anal. Biochem. 1972, 47, 389–394. [Google Scholar] [CrossRef]
- Rukkumani, R.; Aruna, K.; Varma, P.S.; Rajasekaran, K.N.; Menon, V.P. Comparative effects of curcumin and an analog of curcumin on alcohol and PUFA induced oxidative stress. J. Pharm. Pharm. Sci. 2004, 7, 274–283. [Google Scholar] [PubMed]
- Hadwan, M.H. Simple spectrophotometric assay for measuring catalase activity in biological tissues. BMC Biochem. 2018, 19, 7. [Google Scholar] [CrossRef] [PubMed]
- Rasik, A.M.; Shukla, A. Antioxidant status in delayed healing type of wounds. Int. J. Exp. Pathol. 2000, 81, 257–263. [Google Scholar] [CrossRef] [PubMed]
- Panchatcharam, M.; Miriyala, S.; Gayathri, V.S.; Suguna, L. Curcumin improves wound healing by modulating collagen and decreasing reactive oxygen species. Mol. Cell. Biochem. 2006, 290, 87–96. [Google Scholar] [CrossRef]
- Rukkumani, R.L.; Thomson, J.D. Buckley. Protein hydrolysates and tissue repair. Nutr. Res. Rev. 2011, 24, 191–197. [Google Scholar]
- Ravetti, S.; Clemente, C.; Brignone, S.; Hergert, L.; Allemandi, D.; Palma, S. Ascorbic Acid in Skin Health. Cosmetics 2019, 6, 58. [Google Scholar] [CrossRef] [Green Version]
- Darr, D.; Combs, S.; Dunston, S.; Manning, T.; Pinnell, S. Topical vitamin C protects porcine skin from ultraviolet radiation-induced damage. Br. J. Dermatol. 1992, 127, 247–253. [Google Scholar] [CrossRef] [PubMed]
- Pullar, J.M.; Carr, A.C.; Vissers, M.C.M. The Roles of Vitamin C in Skin Health. Nutrients 2017, 9, 866. [Google Scholar] [CrossRef] [PubMed] [Green Version]
- Das, C.; Olmsted, P.D. The physics of stratum corneum lipid membranes. The physics of stratum corneum lipid membranes. Philos. Trans. R. Soc. 2016, 374, 20150126. [Google Scholar] [CrossRef] [PubMed] [Green Version]
- Ayala, A.; Muñoz, M.F.; Argüelles, S. Lipid peroxidation: Production, metabolism, and signaling mechanisms of malondialdehyde and 4-hydroxy-2-nonenal. Oxid. Med. Cell. Longev. 2014, 2014, 360438. [Google Scholar] [CrossRef]
- Gaschler, M.M.; Stockwell, B.R. Lipid peroxidation in cell death. Biochem. Biophys. Res. Commun. 2017, 482, 419–425. [Google Scholar] [CrossRef]
- Grotto, D.; Maria, L.S.; Valentini, J.; Paniz, C.; Schmitt, G.; Garcia, S.; Pomblum, V.J.; da Rocha, J.B.T.; Farina, M. Importance of the lipid peroxidation biomarkers and methodological aspects FOR malondialdehyde quantification. Química Nova 2009, 32, 169–174. [Google Scholar] [CrossRef] [Green Version]
- Younus, H. Therapeutic potentials of superoxide dismutase. Int. J. Health Sci. 2018, 12, 88–93. [Google Scholar]
- Ighodaro, O.M.; Akinloye, O.A. First line defence antioxidants-superoxide dismutase (SOD), catalase (CAT) and glutathione peroxidase (GPX): Their fundamental role in the entire antioxidant defence grid. Alex. J. Med. 2018, 54, 287–293. [Google Scholar] [CrossRef] [Green Version]
- Nandi, A.; Yan, L.-J.; Jana, C.K.; Das, N. Role of Catalase in Oxidative Stress- and Age-Associated Degenerative Diseases. Oxidative Med. Cell. Longev. 2019, 2019, 9613090. [Google Scholar] [CrossRef] [Green Version]

| Ingredients (% w/w) | Base Cream | GC1 | GC2 | GC3 * | GEO6 * | CC1 | CC2 | CC3 * | CEO6 * |
|---|---|---|---|---|---|---|---|---|---|
| Bees wax | 8 | 8 | 8 | 8 | 8 | 8 | 8 | 8 | 8 |
| Stearic acid | 4 | 4 | 4 | 4 | 4 | 4 | 4 | 4 | 4 |
| Cetyl alcohol | 3 | 3 | 3 | 3 | 3 | 3 | 3 | 3 | 3 |
| Olive oil | 12 | 12 | 12 | 12 | 12 | 12 | 12 | 12 | 12 |
| Coconut oil | 16 | 16 | 16 | 16 | 16 | 16 | 16 | 16 | 16 |
| Span 60 | 1.4 | 1.4 | 1.4 | 1.4 | 1.4 | 1.4 | 1.4 | 1.4 | 1.4 |
| Tween 60 | 1.5 | 1.5 | 1.5 | 1.5 | 1.5 | 1.5 | 1.5 | 1.5 | 1.5 |
| Aloe vera gel | q.s. | q.s. | q.s. | q.s. | q.s. | q.s. | q.s. | q.s. | q.s. |
| GEO loaded in vesicles | ---- | 2 | 4 | 6 | --- | --- | --- | --- | --- |
| CEO loaded in vesicles | --- | --- | --- | --- | --- | 2 | 4 | 6 | --- |
| Free GEO | --- | --- | --- | --- | 6 | --- | --- | --- | --- |
| Free CEO | --- | --- | --- | --- | --- | --- | --- | --- | 6 |
| Groups | Treatment |
|---|---|
| Group 1 | Neither irradiated nor treated with test formulation (maintained at similar conditions and diet) |
| Group 2 | UVB irradiated group |
| Group 3 | Pretreated with Base cream + UVB irradiated |
| Group 4 | Pretreated with GC3 formulation + UVB irradiated |
| Group 5 | Pretreated with CC3 Formulation + UVB irradiated |
| Group 6 | Pretreated with GEO6 Formulation + UVB irradiated |
| Group 7 | Pretreated with CEO6 Formulation + UVB irradiated |
| Group | Treatment | TP (µg/mL) | AA (mg/100mL) | HyP (mg/gm) | MDA (nmoles/mg Protein) |
Catalase (µmole/min/mg) | SOD (U/mg Protein) |
|---|---|---|---|---|---|---|---|
| 1 | Control Group | 690.02 ± 0.36 | 6.315 ± 0.157 | 4.08 ± 0.224 | 0.282 ± 0.14 | 37.07 ± 0.52 | 1.51 ± 0.003 |
| 2 | UVB irradiated group | 224.73 ± 0.12 | 2.358 ± 0.149 | 1.25 ± 0.048 | 0.961 ± 0.28 | 18.72 ± 0.24 | 0.662 ± 0.01 |
| 3 | Pretreated with base cream + UVB irradiated | 371.40 ± 0.26 | 3.570 ± 0.123 | 2.18 ± 0.137 | 0.704 ± 0.03 | 22.08 ± 0.18 | 0.947 ± 0.01 |
| 4 | Pretreated with GC3 cream + UVB irradiated | 650.95 ± 0.32 | 5.590 ± 0.088 | 3.02 ± 0.122 | 0.407 ± 0.08 | 33.22 ± 0.40 | 1.42 ± 0.44 |
| 5 | Pretreated with CC3 cream + UVB irradiated | 684.30 ± 0.48 | 5.940 ± 0.053 | 3.97 ± 0.179 | 0.310 ± 0.15 | 31.28 ± 0.45 | 1.28 ± 0.04 |
| 6 | Pretreated with GEO6 cream + UVB irradiated | 494.02 ± 0.20 | 4.590 ± 0.226 | 2.49 ± 0.139 | 0.615 ± 0.20 | 28.20 ± 0.28 | 1.16 ± 0.03 |
| 7 | Pretreated with CEO6 cream + UVB irradiated | 528.89 ± 0.22 | 3.820 ± 0.060 | 2.84 ± 0.023 | 0.564 ± 0.24 | 25.12 ± 0.20 | 0.985 ± 0.01 |
Publisher’s Note: MDPI stays neutral with regard to jurisdictional claims in published maps and institutional affiliations. |
© 2022 by the authors. Licensee MDPI, Basel, Switzerland. This article is an open access article distributed under the terms and conditions of the Creative Commons Attribution (CC BY) license (https://creativecommons.org/licenses/by/4.0/).
Share and Cite
Lohani, A.; Morganti, P. Age-Defying and Photoprotective Potential of Geranium/Calendula Essential Oil Encapsulated Vesicular Cream on Biochemical Parameters against UVB Radiation Induced Skin Aging in Rat. Cosmetics 2022, 9, 43. https://doi.org/10.3390/cosmetics9020043
Lohani A, Morganti P. Age-Defying and Photoprotective Potential of Geranium/Calendula Essential Oil Encapsulated Vesicular Cream on Biochemical Parameters against UVB Radiation Induced Skin Aging in Rat. Cosmetics. 2022; 9(2):43. https://doi.org/10.3390/cosmetics9020043
Chicago/Turabian StyleLohani, Alka, and Pierfrancesco Morganti. 2022. "Age-Defying and Photoprotective Potential of Geranium/Calendula Essential Oil Encapsulated Vesicular Cream on Biochemical Parameters against UVB Radiation Induced Skin Aging in Rat" Cosmetics 9, no. 2: 43. https://doi.org/10.3390/cosmetics9020043
APA StyleLohani, A., & Morganti, P. (2022). Age-Defying and Photoprotective Potential of Geranium/Calendula Essential Oil Encapsulated Vesicular Cream on Biochemical Parameters against UVB Radiation Induced Skin Aging in Rat. Cosmetics, 9(2), 43. https://doi.org/10.3390/cosmetics9020043

