In Vitro and Ex Vivo Investigations on the Tolerance and Safety of a 3 kDa Sodium Hyaluronate for Topical Application
Abstract
1. Introduction
2. Materials and Methods
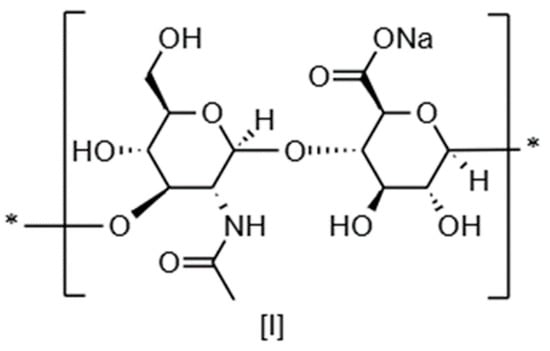
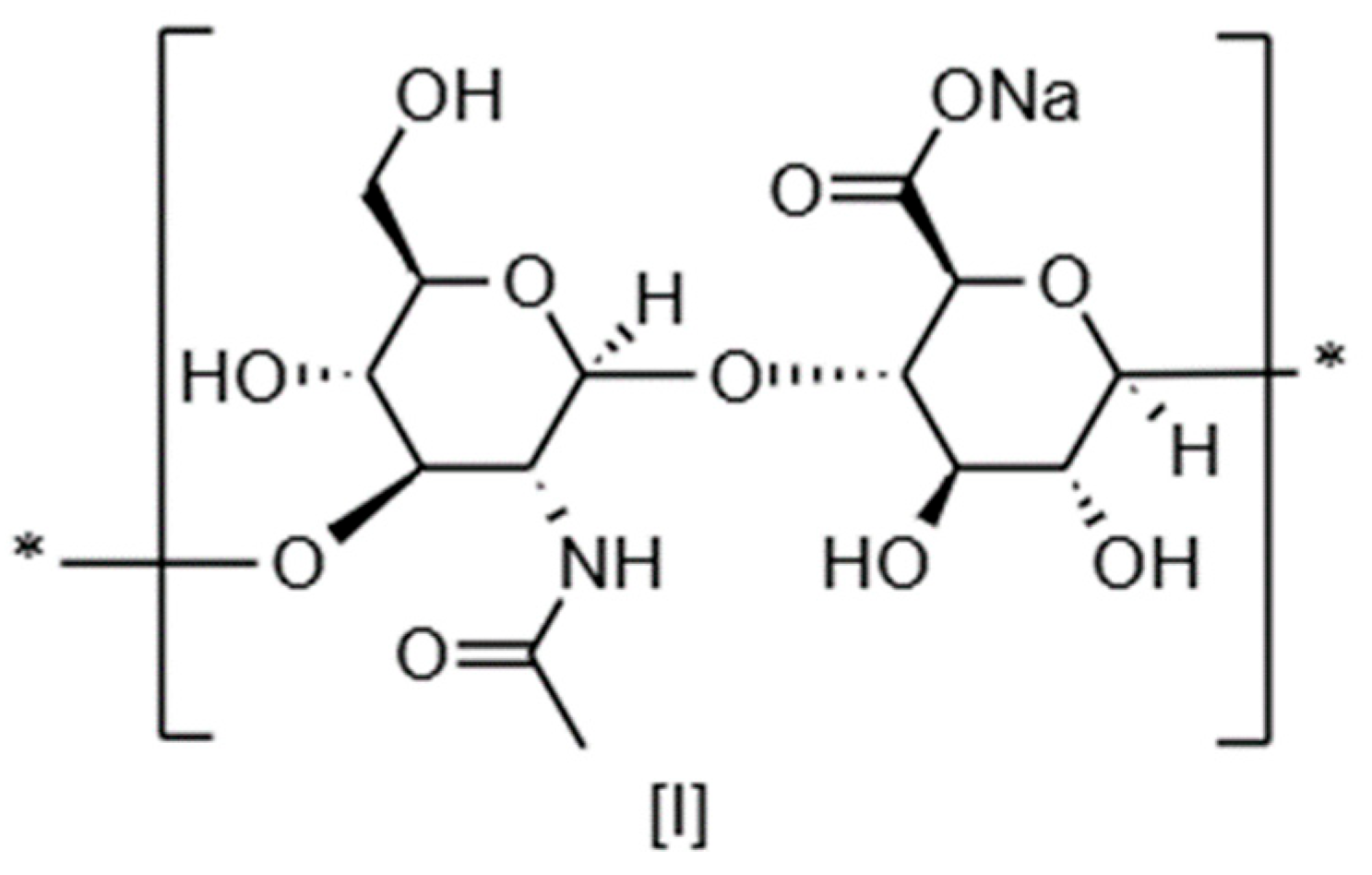
2.1. ExLMW-HA Raw Material
2.2. Skin Penetration Assessment Using Raman Spectroscopy
2.2.1. Skin Explant Culture and Preparation for Raman Spectroscopy
2.2.2. Raman Micro-Imaging
2.3. Ex Vivo Protein Expression of Inflammatory Markers
2.3.1. Skin Explant Culture and Treatment
2.3.2. Cytokine Quantification
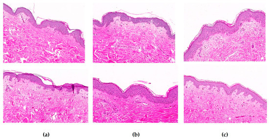
2.4. Histological Analysis
2.5. Skin Sensitization Assessment
2.5.1. Keratinosens™ Assay
2.5.2. Kinetic Direct Peptide Reactivity Assay (kDPRA)
2.6. Bacterial Reverse Mutation Assay (Ames Test)
2.7. Micronucleus Assay in Human Lymphocytes
2.8. Data Analysis/Statistical Analysis
3. Results
3.1. ExLMW-HA Crossed Stratum Corneum and Reached Living Skin Cells
3.2. ExLMW-HA Did Not Induce Cytokine Release in the Culture Medium of Skin Explants
3.3. Histological Study Revealed No Visible Impact of ExLMW-HA on Skin Explants
3.4. ExLMW-HA Is Not Predicted to Be Mutagenic or Pro-Mutagenic
3.5. ExLMW-HA Is Not Predicted to Be Genotoxic
4. Discussion
5. Conclusions
Supplementary Materials
Author Contributions
Funding
Institutional Review Board Statement
Informed Consent Statement
Data Availability Statement
Acknowledgments
Conflicts of Interest
Abbreviations
| ExLMW-HA | Extra-low-molecular-weight hyaluronic acid |
| HA | Hyaluronic acid |
| HMW-HA | High-molecular-weight hyaluronic acid |
| LMW-HA | Low-molecular-weight hyaluronic acid |
| SC | Stratum corneum |
| o-HA | Hyaluronic acid oligosaccharide |
References
- Weissmann, B.; Meyer, K. The Structure of Hyalobiuronic Acid and of Hyaluronic Acid from Umbilical Cord1,2. J. Am. Chem. Soc. 1954, 76, 1753–1757. [Google Scholar] [CrossRef]
- Atkins, E.D.T.; Sheehan, J.K. Structure for Hyaluronic Acid. Nat. New Biol. 1972, 235, 253–254. [Google Scholar] [CrossRef] [PubMed]
- Wang, S.T.; Neo, B.H.; Betts, R.J. Glycosaminoglycans: Sweet as Sugar Targets for Topical Skin Anti-Aging. Clin. Cosmet. Investig. Dermatol. 2021, 14, 1227–1246. [Google Scholar] [CrossRef] [PubMed]
- Laurent, T.C.; Fraser, J.R.E. Hyaluronan. FASEB J. 1992, 6, 2397–2404. [Google Scholar] [CrossRef]
- Anderegg, U.; Simon, J.C.; Averbeck, M. More than Just a Filler—The Role of Hyaluronan for Skin Homeostasis. Exp. Dermatol. 2014, 23, 295–303. [Google Scholar] [CrossRef]
- Litwiniuk, M.; Krejner, A.; Speyrer, M.S.; Gauto, A.R.; Grzela, T. Hyaluronic Acid in Inflammation and Tissue Regeneration. Wounds 2016, 28, 78–88. [Google Scholar]
- Ferguson, E.L.; Roberts, J.L.; Moseley, R.; Griffiths, P.C.; Thomas, D.W. Evaluation of the Physical and Biological Properties of Hyaluronan and Hyaluronan Fragments. Int. J. Pharm. 2011, 420, 84–92. [Google Scholar] [CrossRef]
- Cyphert, J.M.; Trempus, C.S.; Garantziotis, S. Size Matters: Molecular Weight Specificity of Hyaluronan Effects in Cell Biology. Int. J. Cell Biol. 2015, 2015, e563818. [Google Scholar] [CrossRef]
- Essendoubi, M.; Gobinet, C.; Reynaud, R.; Angiboust, J.F.; Manfait, M.; Piot, O. Human Skin Penetration of Hyaluronic Acid of Different Molecular Weights as Probed by Raman Spectroscopy. Skin. Res. Technol. 2016, 22, 55–62. [Google Scholar] [CrossRef] [PubMed]
- Kang, Y.; Zhang, F. Image of the Distribution Profile of Targets in Skin by Raman Spectroscopy-Based Multivariate Analysis. Skin. Res. Technol. 2022, 28, 402–409. [Google Scholar] [CrossRef]
- Henry, L.; Delsuc, N.; Laugel, C.; Lambert, F.; Sandt, C.; Hostachy, S.; Bernard, A.-S.; Bertrand, H.C.; Grimaud, L.; Baillet-Guffroy, A.; et al. Labeling of Hyaluronic Acids with a Rhenium-Tricarbonyl Tag and Percutaneous Penetration Studied by Multimodal Imaging. Bioconjug Chem. 2018, 29, 987–991. [Google Scholar] [CrossRef]
- Grégoire, S.; Man, P.D.; Maudet, A.; Le Tertre, M.; Hicham, N.; Changey, F.; Gaëlle, B.-S.; Tran, C.; Laurence, V. Hyaluronic Acid Skin Penetration Evaluated by Tape Stripping Using ELISA Kit Assay. J. Pharm. Biomed. Anal. 2023, 224, 115205. [Google Scholar] [CrossRef]
- Ni, C.; Zhang, Z.; Wang, Y.; Zhang, Z.; Guo, X.; Lv, H. Hyaluronic Acid and HA-Modified Cationic Liposomes for Promoting Skin Penetration and Retention. J. Control Release 2023, 357, 432–443. [Google Scholar] [CrossRef]
- Witting, M.; Boreham, A.; Brodwolf, R.; Vávrová, K.; Alexiev, U.; Friess, W.; Hedtrich, S. Interactions of Hyaluronic Acid with the Skin and Implications for the Dermal Delivery of Biomacromolecules. Mol. Pharm. 2015, 12, 1391–1401. [Google Scholar] [CrossRef]
- Abe, Y.; Seino, S.; Kurihara, H.; Kage, M.; Tokudome, Y. 2-kDa Hyaluronan Ameliorates Human Facial Wrinkles through Increased Dermal Collagen Density Related to Promotion of Collagen Remodeling. J. Cosmet. Dermatol. 2023, 22, 320–327. [Google Scholar] [CrossRef]
- Legouffe, R.; Jeanneton, O.; Gaudin, M.; Tomezyk, A.; Gerstenberg, A.; Dumas, M.; Heusèle, C.; Bonnel, D.; Stauber, J.; Schnebert, S. Hyaluronic Acid Detection and Relative Quantification by Mass Spectrometry Imaging in Human Skin Tissues. Anal. Bioanal. Chem. 2022, 414, 5781–5791. [Google Scholar] [CrossRef]
- Kage, M.; Tokudome, Y.; Hashimoto, F. Permeation of Hyaluronan Tetrasaccharides through Hairless Mouse Skin: An in Vitro and in Vivo Study. Arch. Dermatol. Res. 2013, 305, 69–77. [Google Scholar] [CrossRef] [PubMed]
- Waggett, S.; Lyles, E.; Schlesinger, T. Update on Low-Molecular Weight Hyaluronic Acid in Dermatology: A Scoping Review. EMJ Dermatol. 2024, 12, 134–146. [Google Scholar] [CrossRef]
- Muhammad, P.; Novianto, E.; Setyorini, M.; Legiawati, L.; Yusharyahya, S.N.; Menaldi, S.L.; Budianti, W.K. Effectiveness of Topical Hyaluronic Acid of Different Molecular Weights in Xerosis Cutis Treatment in Elderly: A Double-Blind, Randomized Controlled Trial. Arch. Dermatol. Res. 2024, 316, 329. [Google Scholar] [CrossRef] [PubMed]
- Hashimoto, M.; Maeda, K. New Functions of Low-Molecular-Weight Hyaluronic Acid on Epidermis Filaggrin Production and Degradation. Cosmetics 2021, 8, 118. [Google Scholar] [CrossRef]
- Hu, L.; Nomura, S.; Sato, Y.; Takagi, K.; Ishii, T.; Honma, Y.; Watanabe, K.; Mizukami, Y.; Muto, J. Anti-Inflammatory Effects of Differential Molecular Weight Hyaluronic Acids on UVB-Induced Calprotectin-Mediated Keratinocyte Inflammation. J. Dermatol. Sci. 2022, 107, 24–31. [Google Scholar] [CrossRef] [PubMed]
- Lee, S.G.; Yoon, M.S.; Kim, D.H.; Shin, J.U.; Lee, H.J. Hyaluronan Oligosaccharides Improve Rosacea-Like Phenotype through Anti-Inflammatory and Epidermal Barrier-Improving Effects. Ann. Dermatol. 2020, 32, 189–196. [Google Scholar] [CrossRef] [PubMed]
- Becker, L.C.; Bergfeld, W.F.; Belsito, D.V.; Klaassen, C.D.; Marks, J.G.; Shank, R.C.; Slaga, T.J.; Snyder, P.W.; Cosmetic Ingredient Review Expert Panel; Andersen, F.A. Final Report of the Safety Assessment of Hyaluronic Acid, Potassium Hyaluronate, and Sodium Hyaluronate. Int. J. Toxicol. 2009, 28, 5–67. [Google Scholar] [CrossRef]
- CIR Portal Ingredient Status Report Starter. Available online: https://cir-reports.cir-safety.org/cir-ingredient-status-report/?id=57efb38d-7d49-ed11-bba2-00224824e39e (accessed on 15 March 2025).
- Natsch, A.; Emter, R. Nrf2 Activation as a Key Event Triggered by Skin Sensitisers: The Development of the Stable KeratinoSens Reporter Gene Assay. Altern. Lab. Anim. 2016, 44, 443–451. [Google Scholar] [CrossRef]
- KeratinosensTM, Protocol 155:P; kDPRA, Protocol 217:P. Available online: https://jeodpp.jrc.ec.europa.eu/ftp/jrc-opendata/EURL-ECVAM/datasets/DBALM/LATEST/online/DBALM_docs/ (accessed on 17 March 2025).
- Natsch, A.; Emter, R.; Gfeller, H.; Haupt, T.; Ellis, G. Predicting Skin Sensitizer Potency Based on in Vitro Data from KeratinoSens and Kinetic Peptide Binding: Global versus Domain-Based Assessment. Toxicol. Sci. 2015, 143, 319–332. [Google Scholar] [CrossRef]
- Natsch, A.; Gerberick, G.F. Integrated Skin Sensitization Assessment Based on OECD Methods (I): Deriving a Point of Departure for Risk Assessment. ALTEX 2022, 39, 636–646. [Google Scholar] [CrossRef]
- Maron, D.M.; Ames, B.N. Revised Methods for the Salmonella Mutagenicity Test. Mutat. Res. 1983, 113, 173–215. [Google Scholar] [CrossRef]
- Lintzeri, D.A.; Karimian, N.; Blume-Peytavi, U.; Kottner, J. Epidermal Thickness in Healthy Humans: A Systematic Review and Meta--analysis. Acad. Dermatol. Venereol. 2022, 36, 1191–1200. [Google Scholar] [CrossRef]
- Oltulu, P.; Tekecik, M.; Taflioglu Tekecik, Z.; Kilinc, F.; Ince, B. Measurement of Epidermis, Dermis, and Total Skin Thicknesses from Six Different Face Regions. Selcuk Tip Derg. 2022, 38, 210–215. [Google Scholar] [CrossRef]
- Blanc Catala, J.; Zanchetta, C.; François, C.; Chapuis, E.; Joset, N.; Meunier, M.; Loeser, F.; Godbille, S.; Scandolera, A.; Reynaud, R.; et al. Evaluation of the Hydrating Benefits of a Cationic Hyaluronic Acid: From Biological Evaluation to Consumer Home Use Trial. Int. J. Cosmet. Sci. 2024, 46, 795–805. [Google Scholar] [CrossRef]
- De Tollenaere, M.; Meunier, M.; Lapierre, L.; Chapuis, E.; Guilleret, A.; Harrison, I.; Jean, T.; Rannou, A.; Scandolera, A.; Reynaud, R. High Molecular Weight Hyaluronic Acid Vectorised with Clay Provides Long-Term Hydration and Reduces Skin Brightness. Skin. Res. Technol. 2024, 30, e13672. [Google Scholar] [CrossRef]
- Jegasothy, S.M.; Zabolotniaia, V.; Bielfeldt, S. Efficacy of a New Topical Nano-Hyaluronic Acid in Humans. J. Clin. Aesthet. Dermatol. 2014, 7, 27–29. [Google Scholar]
- Meunier, M.; Scandolera, A.; Chapuis, E.; Lapierre, L.; Sandré, J.; Brunner, G.; Lovchik, M.; Reynaud, R. The Anti-Wrinkles Properties of Sodium Acetylated Hyaluronate. J. Cosmet. Dermatol. 2022, 21, 2749–2762. [Google Scholar] [CrossRef]
- Nobile, V.; Buonocore, D.; Michelotti, A.; Marzatico, F. Anti-Aging and Filling Efficacy of Six Types Hyaluronic Acid Based Dermo-Cosmetic Treatment: Double Blind, Randomized Clinical Trial of Efficacy and Safety. J. Cosmet. Dermatol. 2014, 13, 277–287. [Google Scholar] [CrossRef]
- Pavicic, T.; Gauglitz, G.G.; Lersch, P.; Schwach-Abdellaoui, K.; Malle, B.; Korting, H.C.; Farwick, M. Efficacy of Cream-Based Novel Formulations of Hyaluronic Acid of Different Molecular Weights in Anti-Wrinkle Treatment. J. Drugs Dermatol. 2011, 10, 990–1000. [Google Scholar]
- Poetschke, J.; Schwaiger, H.; Steckmeier, S.; Ruzicka, T.; Gauglitz, G.G. Anti-wrinkle creams with hyaluronic acid: How effective are they? MMW Fortschr. Med. 2016, 158 (Suppl. 4), 1–6. [Google Scholar] [CrossRef] [PubMed]
- Schlesinger, T.; Rowland Powell, C. Efficacy and Safety of a Low Molecular Weight Hyaluronic Acid Topical Gel in the Treatment of Facial Seborrheic Dermatitis Final Report. J. Clin. Aesthet. Dermatol. 2014, 7, 15–18. [Google Scholar] [PubMed]
- Marcellin, E.; Steen, J.A.; Nielsen, L.K. Insight into Hyaluronic Acid Molecular Weight Control. Appl. Microbiol. Biotechnol. 2014, 98, 6947–6956. [Google Scholar] [CrossRef]
- Pang, B.; Wang, H.; Huang, H.; Liao, L.; Wang, Y.; Wang, M.; Du, G.; Kang, Z. Enzymatic Production of Low-Molecular-Weight Hyaluronan and Its Oligosaccharides: A Review and Prospects. J. Agric. Food Chem. 2022, 70, 14129–14139. [Google Scholar] [CrossRef]
- Qiu, Y.; Ma, Y.; Huang, Y.; Li, S.; Xu, H.; Su, E. Current Advances in the Biosynthesis of Hyaluronic Acid with Variable Molecular Weights. Carbohydr. Polym. 2021, 269, 118320. [Google Scholar] [CrossRef] [PubMed]
- Kaul, A.; Short, W.D.; Keswani, S.G.; Wang, X. Immunologic Roles of Hyaluronan in Dermal Wound Healing. Biomolecules 2021, 11, 1234. [Google Scholar] [CrossRef]
- Avenoso, A.; Bruschetta, G.; D Ascola, A.; Scuruchi, M.; Mandraffino, G.; Saitta, A.; Campo, S.; Campo, G.M. Hyaluronan Fragmentation During Inflammatory Pathologies: A Signal That Empowers Tissue Damage. Mini Rev. Med. Chem. 2020, 20, 54–65. [Google Scholar] [CrossRef]
- Tolg, C.; Messam, B.J.-A.; McCarthy, J.B.; Nelson, A.C.; Turley, E.A. Hyaluronan Functions in Wound Repair That Are Captured to Fuel Breast Cancer Progression. Biomolecules 2021, 11, 1551. [Google Scholar] [CrossRef]
- Dong, Y.; Arif, A.; Olsson, M.; Cali, V.; Hardman, B.; Dosanjh, M.; Lauer, M.; Midura, R.J.; Hascall, V.C.; Brown, K.L.; et al. Endotoxin Free Hyaluronan and Hyaluronan Fragments Do Not Stimulate TNF-α, Interleukin-12 or Upregulate Co-Stimulatory Molecules in Dendritic Cells or Macrophages. Sci. Rep. 2016, 6, 36928. [Google Scholar] [CrossRef]
- Campo, G.M.; Avenoso, A.; Campo, S.; D’Ascola, A.; Nastasi, G.; Calatroni, A. Small Hyaluronan Oligosaccharides Induce Inflammation by Engaging Both Toll-like-4 and CD44 Receptors in Human Chondrocytes. Biochem. Pharmacol. 2010, 80, 480–490. [Google Scholar] [CrossRef]
- Sanchez, B.; Ferraro, S.; Josset-Lamaugarny, A.; Pagnon, A.; Hee, C.K.; Nakab, L.; Sigaudo-Roussel, D.; Fromy, B. Skin Cell and Tissue Responses to Cross-Linked Hyaluronic Acid in Low-Grade Inflammatory Conditions. Int. J. Inflamm. 2023, 2023, 3001080. [Google Scholar] [CrossRef]
- Vistejnova, L.; Safrankova, B.; Nesporova, K.; Slavkovsky, R.; Hermannova, M.; Hosek, P.; Velebny, V.; Kubala, L. Low Molecular Weight Hyaluronan Mediated CD44 Dependent Induction of IL-6 and Chemokines in Human Dermal Fibroblasts Potentiates Innate Immune Response. Cytokine 2014, 70, 97–103. [Google Scholar] [CrossRef] [PubMed]
- Shi, W.; Li, X.; Wang, Z.; Li, C.; Wang, D.; Li, C. CCL3 Promotes Cutaneous Wound Healing Through Recruiting Macrophages in Mice. Cell Transplant. 2024, 33, 09636897241264912. [Google Scholar] [CrossRef] [PubMed]
- Cavalli, G.; Colafrancesco, S.; Emmi, G.; Imazio, M.; Lopalco, G.; Maggio, M.C.; Sota, J.; Dinarello, C.A. Interleukin 1α: A Comprehensive Review on the Role of IL-1α in the Pathogenesis and Treatment of Autoimmune and Inflammatory Diseases. Autoimmun. Rev. 2021, 20, 102763. [Google Scholar] [CrossRef]
- Jones, A.M.; Griffiths, J.L.; Sanders, A.J.; Owen, S.; Ruge, F.; Harding, K.G.; Jiang, W.G. The Clinical Significance and Impact of Interleukin 15 on Keratinocyte Cell Growth and Migration. Int. J. Mol. Med. 2016, 38, 679–686. [Google Scholar] [CrossRef] [PubMed]
- Martin, S.F. New Concepts in Cutaneous Allergy. Contact Dermat. 2015, 72, 2–10. [Google Scholar] [CrossRef] [PubMed]





| S. typhimurium Strains | E. coli Strain | ||||||||||
|---|---|---|---|---|---|---|---|---|---|---|---|
| Dose Level per Plate | TA100 | R | TA98 | R | TA1535 | R | TA1537 | R | WP2P | R | |
| Test 1. No pre-incubation, without metabolic activation | 5000 | 299.3 ± 16.3 | 1.0 | 30.0 ± 2.0 | 1.1 | 15.3 ± 3.1 | 1.0 | 19.0 ± 1.7 | 1.0 | 189.0 ± 3.0 | 0.8 |
| 1600 | 296.7 ± 40.1 | 1.0 | 24.7 ± 6.5 | 0.9 | 14.7 ± 2.3 | 0.9 | 20.3 ± 3.2 | 1.1 | 194.7 ± 8.3 | 0.8 | |
| 500 | 303.3 ± 18.7 | 1.0 | 27.3 ± 4.6 | 1.0 | 17.7 ± 2.1 | 1.1 | 18.7 ± 5.1 | 1.0 | 189.7 ± 17.8 | 0.8 | |
| 160 | 289.7 ± 25.6 | 0.9 | 27.0 ± 3.6 | 1.0 | 17.7 ± 5.5 | 1.1 | 15.3 ± 2.1 | 0.8 | 185.0 ± 6.9 | 0.8 | |
| 50 | 302.7 ± 20.6 | 1.0 | 29.0 ± 1.7 | 1.0 | 16.0 ± 1.7 | 1.0 | 19.7 ± 7.4 | 1.1 | 191.7 ± 15.9 | 0.8 | |
| Water | 308.3 ± 47.1 | - | 27.7 ± 8.1 | - | 15.7 ± 1.5 | - | 18.7 ± 3.1 | - | 233.7 ± 16.5 | - | |
| Untreated control | 247.3 ± 11.6 | - | 31.0 ± 5.2 | - | 15.7 ± 1.5 | - | 16.0 ± 3.6 | - | 213.7 ± 32.0 | - | |
| Positive control | 1804.7 ± 94.9 | - | 1509.3 ± 133.8 | - | 2440.3 ± 61.8 | - | 213.7 ± 100.1 | - | 4665.3 ± 966.1 | - | |
| Test 1. No pre-incubation, with metabolic activation | 5000 | 306.0 ± 18.0 | 1.0 | 34.7 ± 3.1 | 1.0 | 15.0 ± 1.7 | 0.7 | 20.7 ± 3.1 | 0.9 | 241.3 ± 7.5 | 0.9 |
| 1600 | 313.3 ± 53.5 | 1.0 | 39.0 ± 7.0 | 1.1 | 19.0 ± 5.6 | 0.9 | 25.0 ± 5.2 | 1.1 | 250.0 ± 18.0 | 0.9 | |
| 500 | 321.0 ± 10.5 | 1.0 | 35.7 ± 4.5 | 1.0 | 15.0 ±1.7 | 0.7 | 19.0 ± 1.0 | 0.9 | 247.0 ± 6.1 | 0.9 | |
| 160 | 284.7 ± 28.5 | 0.9 | 41.3 ± 0.6 | 1.2 | 16.7 ± 8.1 | 0.8 | 21.0 ± 6.1 | 0.9 | 254.3 ± 9.0 | 0.9 | |
| 50 | 330.7 ± 5.5 | 1.1 | 38.0 ± 8.9 | 1.1 | 20.7 ± 3.2 | 1.0 | 24.0 ± 6.9 | 1.1 | 246.0 ± 13.9 | 0.9 | |
| Water | 314.3 ± 21.1 | - | 34.7 ± 7.4 | - | 21.3 ± 5.0 | - | 22.3 ± 2.5 | - | 279.7 ± 19.9 | - | |
| Untreated control | 277.7 ±54.3 | - | 35.0 ±13.7 | - | 18.0 ± 1.7 | - | 22.7 ±3.2 | - | 264.3 ± 16.4 | - | |
| Positive control | 7149.3 ± 45.5 | - | 6123.3 ± 11.0 | - | 137.3 ± 10.4 | - | 556.0 ± 31.3 | - | 2710.3 ± 33.4 | - | |
| Test 2. With pre-incubation, without metabolic activation | 5000 | 314.3 ± 67.0 | 1.0 | 24.0 ± 6.2 | 1.3 | 17.0 ± 5.6 | 1.2 | 13.7 ± 3.5 | 1.0 | 297.3 ± 22.5 | 1.2 |
| 1600 | 317.7 ± 15.3 | 1.0 | 20.0 ± 6.0 | 1.1 | 15.3 ± 3.2 | 1.1 | 11.0 ± 3.0 | 0.8 | 222.3 ± 5.8 | 0.9 | |
| 500 | 325.0 ± 10.8 | 1.0 | 19.0 ± 3.0 | 1.0 | 18.3 ± 0.6 | 1.3 | 11.7 ± 3.2 | 0.9 | 214.3 ± 25.3 | 0.9 | |
| 160 | 361.3 ± 17.9 | 1.1 | 22.7 ± 6.5 | 1.2 | 13.7 ± 2.5 | 1.0 | 12.3 ± 6.5 | 0.9 | 232.3 ± 23.1 | 0.9 | |
| 50 | 330.7 ± 15.9 | 1.0 | 19.0 ± 5.0 | 1.0 | 17.0 ± 5.0 | 1.2 | 13.0 ± 6.2 | 1.0 | 209.0 ± 25.0 | 0.8 | |
| Water | 325.7 ± 34.4 | - | 18.7 ± 5.0 | - | 14.3 ± 2.9 | - | 13.7 ± 5.9 | - | 250.7 ± 19.5 | - | |
| Untreated control | 302.7 ± 30.5 | - | 21.3 ± 2.3 | - | 15.7 ± 3.5 | - | 13.7 ± 2.1 | - | 220.3 ± 19.7 | - | |
| Positive control | 2509.3 ± 80.2 | - | 1405.7 ± 84.5 | - | 2388.0 ± 214.3 | - | 242.3 ± 50.6 | - | 4231.0 ± 481.8 | - | |
| Test 2. With pre-incubation, with metabolic activation | 5000 | 360.0 ± 14.2 | 1.1 | 31.7 ± 3.5 | 1.4 | 17.0 ± 1.0 | 0.9 | 17.7 ± 1.5 | 1.4 | 235.7 ± 6.5 | 0.9 |
| 1600 | 351.7 ± 4.2 | 1.1 | 26.7 ± 2.9 | 1.2 | 14.0 ± 2.0 | 0.8 | 13.0 ± 1.0 | 1.0 | 240.3 ± 18.0 | 0.9 | |
| 500 | 330.3 ± 44.8 | 1.0 | 25.7 ± 3.5 | 1.1 | 15.3 ± 5.9 | 0.8 | 17.7 ± 2.1 | 1.4 | 260.3 ± 34.2 | 1.0 | |
| 160 | 322.0 ± 3.6 | 1.0 | 30.0 ± 8.7 | 1.3 | 16.3 ± 3.8 | 0.9 | 11.3 ± 3.1 | 0.9 | 234.7 ± 21.2 | 0.9 | |
| 50 | 337.3 ± 20.3 | 1.0 | 25.7 ± 6.8 | 1.1 | 18.0 ± 3.5 | 1.0 | 12.7 ± 3.1 | 1.0 | 235.7 ± 15.0 | 0.9 | |
| Water | 330.7 ± 19.8 | - | 22.7 ± 2.3 | - | 18.7 ± 6.1 | - | 12.7 ± 4.2 | - | 268.7 ± 34.6 | - | |
| Untreated control | 326.7 ± 21.4 | - | 24.0 ± 5.6 | - | 19.3 ±6.4 | - | 13.3 ± 3.2 | - | 236.7 ± 27.0 | - | |
| Positive control | 6213.7 ± 162.0 | - | 5638.0 ± 369.5 | - | 152.3 ± 28.7 | - | 688.7 ± 124.1 | - | 2405.7 ± 169.3 | - | |
| Treatment | S9 | Treatment Time (h) | Incidence of Micronucleated Cells (%) | Statistical Significance | |
|---|---|---|---|---|---|
| Negative control | Water | - | 3 | 1.00 | NA |
| ExLMW-HA | 500 µg/mL | 1.05 | NS | ||
| 1000 µg/mL | 0.95 | NS | |||
| 2000 µg/mL | 0.55 | NS | |||
| Negative control | Water | + | 3 | 0.55 | NA |
| ExLMW-HA | 500 µg/mL | 0.6 | NS | ||
| 1000 µg/mL | 0.9 | NS | |||
| 2000 µg/mL | 0.9 | NS | |||
| Cyclophosphamide | 15 µg/mL | 6.25 | *** | ||
| Negative control | Water | - | 31 | 0.85 | NA |
| ExLMW-HA | 500 µg/mL | 0.65 | NS | ||
| 1000 µg/mL | 0.55 | NS | |||
| 2000 µg/mL | 0.60 | NS | |||
| Colchicine | 0.08 µg/mL | 3.05 | *** |
Disclaimer/Publisher’s Note: The statements, opinions and data contained in all publications are solely those of the individual author(s) and contributor(s) and not of MDPI and/or the editor(s). MDPI and/or the editor(s) disclaim responsibility for any injury to people or property resulting from any ideas, methods, instructions or products referred to in the content. |
© 2025 by the authors. Licensee MDPI, Basel, Switzerland. This article is an open access article distributed under the terms and conditions of the Creative Commons Attribution (CC BY) license (https://creativecommons.org/licenses/by/4.0/).
Share and Cite
De Tollenaere, M.; Corriou, A.; Durduret, A.; Bernheim-Dennery, M.; Haupt, T.; Natsch, A.; Tiguemounine, J.; Jaillardon, K.; Merkamm, M.; Auriol, D.; et al. In Vitro and Ex Vivo Investigations on the Tolerance and Safety of a 3 kDa Sodium Hyaluronate for Topical Application. Cosmetics 2025, 12, 266. https://doi.org/10.3390/cosmetics12060266
De Tollenaere M, Corriou A, Durduret A, Bernheim-Dennery M, Haupt T, Natsch A, Tiguemounine J, Jaillardon K, Merkamm M, Auriol D, et al. In Vitro and Ex Vivo Investigations on the Tolerance and Safety of a 3 kDa Sodium Hyaluronate for Topical Application. Cosmetics. 2025; 12(6):266. https://doi.org/10.3390/cosmetics12060266
Chicago/Turabian StyleDe Tollenaere, Morgane, Anne Corriou, Anaïs Durduret, Moencopi Bernheim-Dennery, Tina Haupt, Andreas Natsch, Jean Tiguemounine, Karine Jaillardon, Muriel Merkamm, Daniel Auriol, and et al. 2025. "In Vitro and Ex Vivo Investigations on the Tolerance and Safety of a 3 kDa Sodium Hyaluronate for Topical Application" Cosmetics 12, no. 6: 266. https://doi.org/10.3390/cosmetics12060266
APA StyleDe Tollenaere, M., Corriou, A., Durduret, A., Bernheim-Dennery, M., Haupt, T., Natsch, A., Tiguemounine, J., Jaillardon, K., Merkamm, M., Auriol, D., Scandolera, A., Louis, D., & Reynaud, R. (2025). In Vitro and Ex Vivo Investigations on the Tolerance and Safety of a 3 kDa Sodium Hyaluronate for Topical Application. Cosmetics, 12(6), 266. https://doi.org/10.3390/cosmetics12060266

