Abstract
Cytochrome P450 (CYP) enzymes play a key role in the metabolism of foreign compounds and in the biosynthesis and catabolism of endogenous substances, including hormones. The activity of these enzymes can be affected by various xenobiotics, such as pollutants, food constituents, pharmaceuticals, and cosmetic products, which can disrupt the endocrine system by interfering with steroidogenic CYPs. CYP19, also known as aromatase, is a crucial enzyme for testosterone conversion into 17β-estradiol, which is the final step in estrogen biosynthesis. Endocrine disruptors have the potential to inhibit CYP19 activity, leading to an imbalance in estrogen levels in the body. This imbalance can impair reproduction and cause osteoporosis, atherosclerosis, dementia, and some types of cancer. The aim of this study was to assess the effect of commercially available perfumes on testosterone aromatization to 17β-estradiol. For this purpose, we used high-performance liquid chromatography (HPLC) with UV detection and HPLC coupled with mass spectrometry (MS) to examine CYP19 activity with and without perfume. The results showed that all perfumes tested (in a 300-fold dilution) had an inhibitory effect on this enzyme-catalyzed reaction, particularly the Montale® fragrance, ‘Intense Roses Musk’, which decreased 17β-estradiol production by 88% in comparison with the control. Upon exposure to UV light, the inhibitory effect of this perfume did not decrease. But exposure to UV light significantly increased the inhibitory capacity of another perfume with a weak baseline inhibitory effect. To ascertain whether this inhibition was caused by CYP19 interactions with perfumes, we measured the catalytic activity of NADPH:cytochrome P450 oxidoreductase (CYPOR), the CYP reaction partner, with one selected perfume, ‘Intense Roses Musk’ by Montale®, and found no significant CYPOR inhibition. Accordingly, the decrease in testosterone conversion into 17β-estradiol caused by this perfume derives solely from CYP19. Combined, our findings highlight the importance of testing perfumes rather than single ingredients to determine their potential for adverse effects and to ensure consumer safety because their mixtures can interfere with a key enzyme of estrogen biosynthesis.
1. Introduction
Scents have been used for thousands of years in human history. Since ancient cultures, humans have burned various resins and woods to release aromas. This early method led to the term ‘perfume’, which comes from the Latin words ‘per’ meaning ‘through’ and ‘fumus’ meaning ‘smoke’. Early humans also produced natural fragrances from vegetable oils extracted from plant-based materials, such as flowers, leaves, and seeds, and odorants extracted from animal glandular secretions, such as musk, civet, and ambergris. This traditional approach gradually evolved into the perfume industry, which now predominantly relies on synthetic compounds.
Currently, perfumes typically consist of intricate blends of fragrant essential oils extracted from plants and spices, aromatic compounds, fixatives, excipients (including UV filters, antioxidants, and antimicrobials), and solvents [1]. People come into contact with perfumes on a daily basis, either by directly applying them or by using cosmetics and a wide range of other products containing perfumes to impart fragrances. Consequently, the human body is exposed to exogenous chemicals contained in these products.
Humans are exposed to perfume chemicals primarily through two routes. In the first route, perfume chemicals can be inhaled and subsequently reach the bloodstream, whereby they are further distributed throughout the body. This route is common not only when applying perfumes but also when spraying air fresheners, which are a significant source of indoor air pollution in homes, cars, and shops. In the second route, perfume constituents penetrate the skin barrier and either enter the bloodstream and cause systemic exposure in humans, as demonstrated, for example, by detecting synthetic musk compounds in human breast milk [2], or they accumulate in adipose tissue, which applies to lipophilic substances abundant in perfumes [3,4]. Among them, terpenes such as limonene and linalool are also used as penetration enhancers in transdermal delivery of various compounds [5]. A single exposure to perfume compounds may seem negligible, but acute or chronic exposure may have harmful health effects. And while still insufficient, mounting evidence shows that those compounds pose a health risk [6]. Yet, most consumers remain unaware of or poorly informed about the potential risks they take when exposing themselves to compounds contained in personal care products.
Chemical compounds known as ‘endocrine disruptors’ have the potential to interfere with the normal balance of steroid and thyroid hormones, which can adversely affect human development, behavior, and reproduction. Parabens, UV screens, phthalates, and musks are the major groups of such perfume components [7]. A number of endocrine disruptors mimic estrogens, bind to their receptors as agonists or antagonists, and affect normal signal transduction. These endocrine disruptors have been linked to reproductive disorders, such as poor semen quality, testicular malignancies, and congenital developmental defects in males [8]. Estrogenic chemicals, specifically parabens and nitro-musks, may also contribute to breast cancer in women although the evidence of this effect remains unclear [9,10,11].
In light of these disturbing findings about chemicals also contained in personal care products, both perfumes and these products must now undergo rigorous testing for compliance with consumer product safety requirements before being marketed [12]. To meet this demand, in recent decades, a diverse array of tests has been developed and used to assess cosmetic ingredients. As a result, several ingredients, including high-molecular-weight phthalates and nitro-musks, have already been banned, while others, such as parabens and triclosan, have been restricted in cosmetics, in some countries [13]. Furthermore, a wide range of perfume chemicals have been classified as irritants [14].
Another mode of action of endocrine disruptors involves enzymes of the steroidogenesis pathway. Starting with cholesterol, this multistep metabolic cascade can be inhibited by endocrine disruptors, thereby impairing the production of some steroid hormones. Cytochrome P450 19 (CYP19) catalyzes the last, irreversible step of estrogen biosynthesis from androgens and, as such, plays a key role in maintaining the balance between male and female steroid hormones. Also known as ‘aromatase’, CYP19, has several functions, regulating physiological processes in a sex-dependent manner, as estrogens act as important signaling molecules for both men and women, modulate the expression of numerous genes, and are involved in ion transport across cell membranes regulated via estrogen receptors [15].
Aromatase is expressed in various tissues, including the gonads, brain, and adipose tissue, where estrogens serve different functions. For example, estrogens produced locally in the brain drive male and female sex differentiation and behavior [16]. However, CYP19 may also contribute to pathologies, including estrogen-dependent tumor growth in females, which is promoted by extraovarian estrogens [17]. In such cases, aromatase inhibitors are used to treat breast cancer patients, but the side effects of these endocrine disruptors include sexual inactivity and reduced sexual functioning, which persist after discontinuing their administration [18]. Estrogen production in the reproductive tract promotes spermatogonial-stem-cell proliferation and growth, so aromatase activity is desirable in healthy males. Yet, aromatase inhibitors, such as anastrozole and letrozole, are administered to patients suffering from infertility due to testicular dysfunction because they increase endogenous testosterone levels and improve spermatogenesis [19]. In fact, functional CYP19 has been detected in human spermatozoa [20].
The human adreno-carcinoma cell line H295R has been recently used to screen chemicals for their effect on steroidogenesis—more specifically, for 17β-estradiol and testosterone production [21]. However, these tests are indicative of the properties of only a single chemical at a time, not the complex mixture to which customers are exposed in cosmetic products. Moreover, limited experimental data are available on the potential health effects of chemicals when used in combination [8]. Therefore, in this study, we aimed to bridge this knowledge gap by assessing the effect of commercial perfumes on CYP19 activity.
2. Materials and Methods
2.1. Chemicals
Cytochrome c (from bovine heart), 17α-ethinylestradiol (EE2), 17β-estradiol (E2), NADPH, and phenacetin (PH) were purchased from Sigma Chemical Co (St Louis, MO, USA); methanol and ethylacetate, from Lach-Ner (Neratovice, Czech Republic); testosterone (TS), from Fluka Chemie AG (Buchs, Switzerland); LC–MS-grade acetonitrile and water, from Merck (Darmstadt, Germany); and formic acid, from Merck (Darmstadt, Germany). In addition, CYP19-Supersomes® (microsomes isolated from insect cells transfected with a baculovirus construct containing human CYP19 and CYPOR, which are therefore overexpressed in these microsomes) were purchased from Gentest Corp. (Woburn, MI, USA). The concentration of CYP19 was 1 nmol/mL. CYPOR-Bactosomes® (membrane fractions isolated from E. coli transfected with a human CYPOR cDNA of human CYPOR) were purchased from Cypex (BioDundee, Dundee, UK). The CYPOR concentration was 10.4 nmol/mL. The perfumes (Table A1 in Appendix A), were kindly provided as testers from Sephora (Prague, Czech Republic).
2.2. Methods
2.2.1. Perfume Exposure to UV Light
Direct solar radiation was measured on a sunny summer day (26 June 2023, 1–2 pm) at mid-latitudes (Prague, Czech Republic; 50°05′15″ N 14°25′17″ E) on a Lutron YK-35UV UV light meter in a 290–390 nm wavelength range (Lutron Electronic Enterprise, Taiwan). Using the same instrument, the UV light intensity was measured in the cuvette compartment of the Oriel Photolyser 60100 at a distance of 15 cm from its 100 W mercury arc lamp (Newport Corporation, Irvine, CA, USA). Perfumes (samples 3 and 6) in a quartz cuvette (1 mm optical path) were irradiated by the photolyser for 10 and 60 s before assessing the effect of UV-light-exposed perfumes on CYP19 activity.
2.2.2. Cytochrome c Reduction by CYPOR
CYPOR activity was determined based on cytochrome c reduction, as described by Strobel and Dignam [22]. Incubation mixtures (final volume of 600 µL) consisting of 4.3 nM CYPOR, 0.5 mg/mL oxidized cytochrome c, and either a perfume (from a methanol stock, at a final dilution of 300 times) or methanol, all of which in 300 mM potassium phosphate buffer (pH 7.5), were prepared directly in masked, semi-micro spectrophotometric cuvettes (1 cm optical path). Cytochrome c reduction was initiated by adding 10 μL of 10 mM NADPH and continuously monitored at 550 nm on a spectrophotometer (UV–VIS spectrophotometer Cary 60) at room temperature for 3 min.
2.2.3. CYP19 Activity Assay
The incubation mixtures prepared in 100 mM sodium phosphate buffer (pH 7.4) contained 30 nM CYP19, 50 μM testosterone, 1 mM NADPH, and 300-times-diluted perfumes (5 μL of perfume that has been diluted three times with methanol in advance) in a final volume of 500 μL. The reaction was started by adding NADPH after a 5 min pre-incubation period. Incubations were performed at 37 °C for 30 min in a water bath under shaking. The rate of 17β-estradiol (E2) formation was constant throughout the reaction. Control incubations were performed with an equivalent volume of methanol (5 μL) instead of perfume solution. At the end of the incubation, 5 μL of either 0.5 mM phenacetin in methanol [23] or 0.25 mM 17α-ethinylestradiol (EE2) in methanol was added as internal standard. The reaction was stopped with 2 mL of ethyl acetate, into which the remaining reactants and reaction products, including 17β-estradiol, were extracted by vortexing for 1 min. The organic phase was separated by centrifugation (2500× g, 2 min), and 1.5 mL of ethylacetate extract was collected and split into 0.5 mL aliquots. These aliquots were evaporated to dryness at 37 °C (Acid-Resistant CentriVap Concentrator, Labconco, Kansas City, MO, USA) and stored at −20 °C until further use.
2.2.4. TLC Analysis
A precoated silica gel TLC plate (5 × 10 cm, Silikagel 60 F254 on aluminum, Merck KGaA, Darmstadt, Germany) was activated with a stream of hot air from a hair dryer for 5 min. Then, samples extracted from the aromatase reaction mixture reduced to dryness were dissolved in 20 μL ethylacetate, spotting 10 μL on the plate. The plates were developed with a mobile phase of hexane:diethyl ether (1:4, v/v). To visualize separated hormones, the plate was sprayed with 10% (v/v) sulfuric acid solution and dried with a hair dryer. Subsequently, the plate was heated (60 °C) until the spots were fully visualized.
2.2.5. LC Analysis
Chromatographic separation was performed on an Agilent 1200 LC System with a binary pump (Agilent Technologies, Santa Clara, CA, USA). An aliquot of dried residue extracted from the reaction mixture was resuspended in 500 μL of 0.1% formic acid in 50% acetonitrile, and a portion (30 μL) was loaded onto a reversed-phase column (Nucleosil 100-5 C18 HD, 4 × 250 mm, 5 μm; Macherey-Nagel, Düren, Germany) heated to 45 °C. Analytes were separated using the following mobile-phase gradient: solvent A, 0.1% (v/v) formic acid; solvent B, 0.1% (v/v) formic acid in acetonitrile; gradient (in % of buffer B), 50% (v/v) over 10 min, 50–90% (v/v) over 2 min, 90% (v/v) over 6 min, 90–50% (v/v) over 2 min, 50% (v/v) over 10 min; flow rate, 500 µL/min; detection at 280 nm. A blank was measured after each sample to prevent carryover effect and a standard sample was measured regularly to rule out deterioration in chromatography performance. Data were processed using Agilent Lab Advisor software (Agilent Technologies, Santa Clara, CA, USA). Analytes were assigned to individual chromatographic peaks according to their retention times (6.6 min for phenacetin and 10.2 min for 17β-estradiol), and the quantity of 17β-estradiol was determined as its area under curve (AUC) normalized to the AUC of phenacetin, which served as an internal standard.
2.2.6. LC–MS/MS Analysis
Chromatographic separation was performed on an Agilent 1290 Infinity II LC System with a binary pump (Agilent Technologies, Waldbronn, Germany) interfaced with maXis Q-TOF mass spectrometer equipped with an ESI source (Bruker Daltonics, Bremen, Germany). An aliquot of dried residue extracted from the reaction mixture was resuspended in 50 μL of 0.1% formic acid in 50% acetonitrile, and a portion (4 μL) was loaded onto a reversed-phase column (Accucore RP-MS, 2.1 × 150 mm, 2.6 μm; Thermo Scientific, Waltham, MA, USA) heated to 40 °C. Analytes were separated using the following mobile-phase gradient: solvent A, 0.1% (v/v) formic acid; solvent B, 0.1% (v/v) formic acid in acetonitrile; gradient (in % of buffer B), 50% (v/v) over 2 min, 50–90% (v/v) over 4 min, 90% (v/v) over 2 min, 90–50% (v/v) over 1 min, 50% (v/v) over 4 min; flow rate, 200 µL/min. MS1 spectra were acquired in positive mode over a 50–1300 m/z range at a 4 Hz spectral rate. Other parameters of the MS method are provided in Method S1 in Supplementary Materials, and include a list of precursor ions selected for CID fragmentation and adapted from Chabi and Sleno [24] and Wooding et al. [25]. The data were processed using DataAnalysis 4.4 software (Bruker Daltonics, Bremen, Germany). Extracted-ion chromatograms (EICs) were generated for 17β-estradiol (255.18 ± 0.02) and 17α-ethinylestradiol (279.19 ± 0.02), and areas under the respective EIC peaks at retention times 3.45 min for 17β-estradiol and 3.95 min for 17α-ethinylestradiol were used for quantitation.
2.2.7. Statistical Analysis
Numerical data from triplicates are expressed as mean ± SD. These data were analyzed using Student’s t-test in Excel 2013 (Microsoft, Redmond, WA, USA).
3. Results
For this study, 10 perfumes of internationally renowned companies (their full brand names, alongside information on their composition provided by the manufacturer, are outlined in Table A1) were randomly selected to assess their impact on testosterone conversion into 17β-estradiol mediated by aromatase (CYP19). For this purpose, we used human CYP19 enzyme co-expressed with electron-supplying enzyme cytochrome P450:NADPH oxidoreductase (CYPOR) in Supersomes®. For clarity, the consecutive sequence of experimental procedures, their setup, the perfume samples used in each of them, and the conclusions drawn from the key results, described later in this section, are summarized in Supplementary Scheme S1.
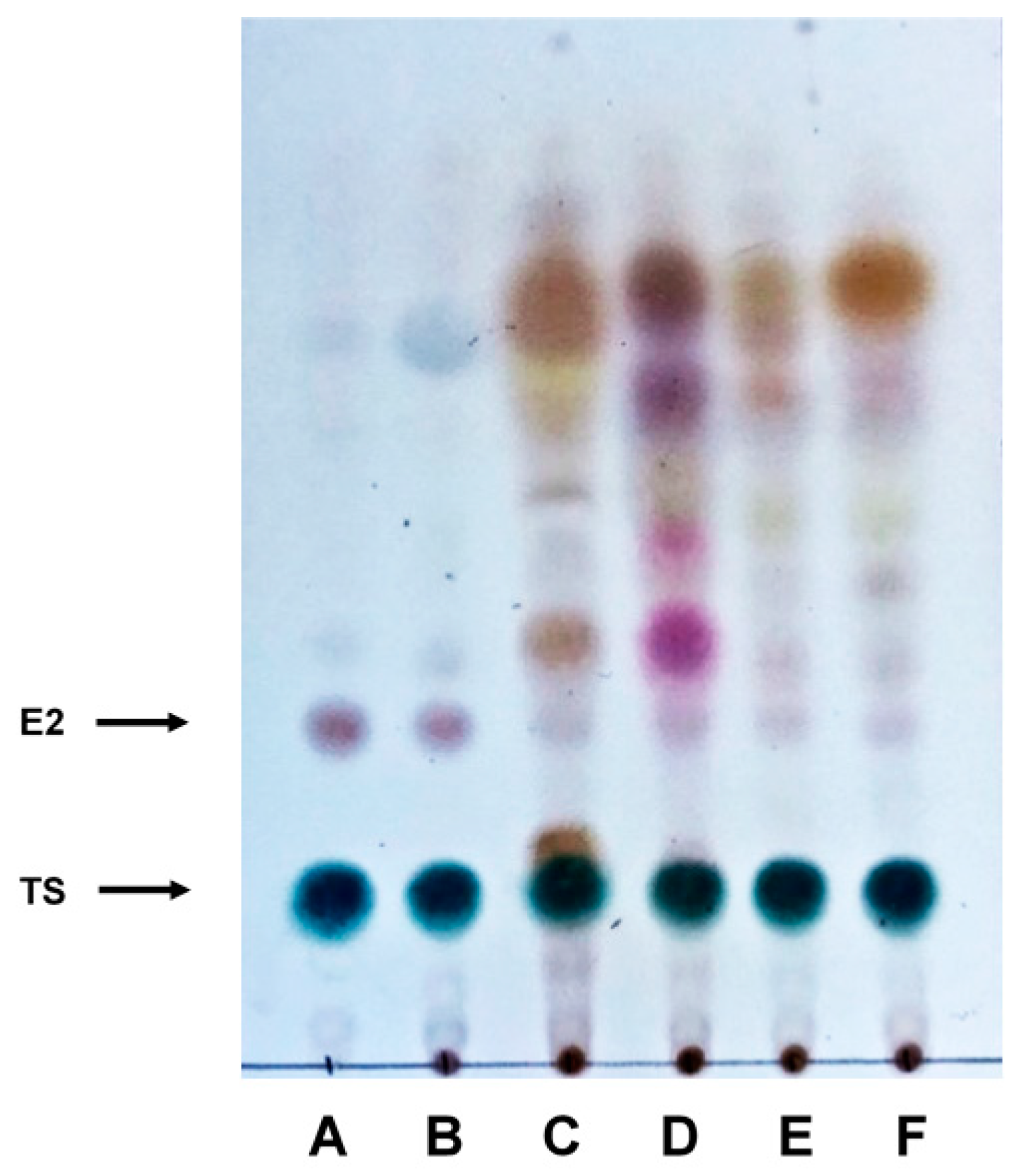
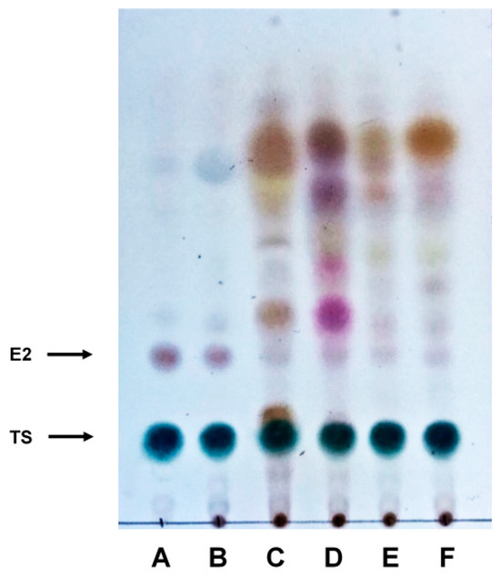
In our pilot experiment, we performed the CYP19-catalyzed reaction, which yielded 17β-estradiol, and developed a procedure to separate and visualize this product from the remaining testosterone in the reaction mixture on TLC plates (Figure 1, lanes A and B). Then, we performed this reaction with selected perfumes (Figure 1, lanes C–F). Even though the sizes of the 17β-estradiol spots varied with the perfume, we disregarded these differences, indicative of the degree of inhibition, because the spot sizes might have also been affected by differences in the extent of co-elution of perfume components.
Figure 1.
Effect of perfumes on the aromatase reaction detected by TLC. Line A—standard containing 50 μM TST, 5 μM ESD, and 30 nM aromatase; line B—unaffected reaction mixture containing 50 μM TST, 30 nM aromatase, 0.5 mM NADPH, and perfume solvent (methanol); lines C–F—3-times-diluted perfumes, samples 1, 3, 4, and 5, present in reaction mixtures, respectively. Spots were visualized with 10% sulphuric acid at 60 °C. TS—testosterone, E2—17β-estradiol.
In the next step, we separated a standard (mixture of testosterone, 17β-estradiol, and phenacetin), a control (aromatase reaction mixture), and the samples (aromatase reaction mixtures with perfumes) by HPLC, with analyte detection at 280 nm, using an LC gradient optimized for baseline separation of standard analytes. Here, we were able to achieve baseline separation of 17β-estradiol and phenacetin (a representative chromatogram is shown in Figure 2a), which was essential to reliably determine inhibition, only for samples 1–3 (Figure 3). In the other samples, some of the perfume components co-eluted with the analytes of interest, which precluded their quantification (a representative chromatogram is shown in Figure 2b).
Figure 2.
Representative HPLC profiles of aromatase reaction mixture and two perfumes. The separations were performed on a C18 column using acetonitrile gradient elution with detection at 280 nm. The aromatase reaction mixture (blue curve) contained 50 μM testosterone, 30 nM CYP19, 1 mM NADPH, and 5 μM phenacetin (internal standard). Perfumes (red curve), and samples 2 (panel (a)) and 8 (panel (b)) were added once the reaction was completed. To show potential perfume interference, two HPLC profiles are superimposed. PH—phenacetin, E2—17β-estradiol, TS—testosterone.
Figure 3.
Effect of perfumes on CYP19 activity based on HPLC. Aromatase inhibition was determined with 300-fold-diluted perfumes (samples 1–3) added to the reaction mixture containing 50 μM testosterone, 30 nM CYP19, and 1 mM NADPH. The remaining activity (%) was calculated relative to 17β-estradiol formation in the control incubation (0) containing methanol instead of perfume.
Primarily, LC analysis was used here to assess the quality of the samples prior to LC–MS analysis. More specifically, LC analysis was used to determine whether any perfume constituent had been retained on the column for a long period, requiring thorough cleaning, or had even damaged the column. None of the above was observed, according to identical chromatograms of standards measured after each set of samples, and no impurities were observed in blank runs measured after each sample. For all analyzed perfume samples, the peak intensities of their components did not exceed the peak intensity of the phenacetin standard by more than two orders of magnitude if the perfumes were diluted at least 300 times in the aromatase-catalyzed reaction. Therefore, this dilution factor was used further.
In this study, HPLC separation combined with mass spectrometric detection was used as the main analytical method for 17β-estradiol (E2) quantitation in complex mixtures. Here, its synthetic analog, 17α-ethinylestradiol (EE2), which had similar chromatographic behavior, physicochemical properties, ionization efficiency, and in-source stability (the last two are shown in Figures S1 and S2), served as an internal standard for MS. The ratio between E2 and EE2 chromatographic peak areas of the control sample (Figure 4) indicated a fully active CYP19, to which we related the E2:EE2 peak area ratios of the samples treated with perfumes. The results suggest that all perfumes reduced the yield of 17β-estradiol to some extent when compared with the unaffected control (Figure 5).
Figure 4.
LC–ESI–qTOF profile of reactants and products after the control aromatase reaction. Traces of individual analytes are shown as extracted ion chromatograms (EICs) of phenacetin (PH, EIC m/z 180.11 ± 0.02), 17β-estradiol (E2, EIC m/z 255.18 ± 0.02), 17α-ethinylestradiol (EE2, EIC m/z 279.19 ± 0.02), and testosterone (TS, EIC m/z 289.23 ± 0.02). The separation was performed on a C18 column using an acetonitrile gradient elution. The reaction mixture contained 50 μM TS, 30 nM CYP19, 1 mM NADPH, 5 μM PH, and 2.5 μM EE2.
Figure 5.
Effect of perfumes on CYP19 activity based on LC–MS analysis. Aromatase inhibition was determined in reaction mixtures containing 50 μM testosterone, 30 nM CYP19, 1 mM NADPH, and 300-fold-diluted perfumes (samples 1–10). The remaining activity (%) was calculated relative to 17β-estradiol formation in the control incubation (0) containing methanol instead of perfumes.
The percentages of inhibition caused by samples 1–3, which were calculated based on the LC–MS results, were higher than those estimated earlier by LC analysis (Figure 3), but the trends observed in the two approaches were similar. The LC–MS values were more accurate because chromatographic peaks of individual analytes could be extracted from the total chromatogram based on their m/z, which effectively overrode potential interferences. In addition, the identity of the analytes was confirmed by the presence of specific ions in CID fragment spectra, which resembled those in fragment spectra of the standards (Figure S2). Another advantage of LC–MS analysis is the sensitivity of this method, which is much higher than that of LC. By LC–MS analysis, we were able to quantify low amounts of target analytes, thereby detecting low enzyme activity.
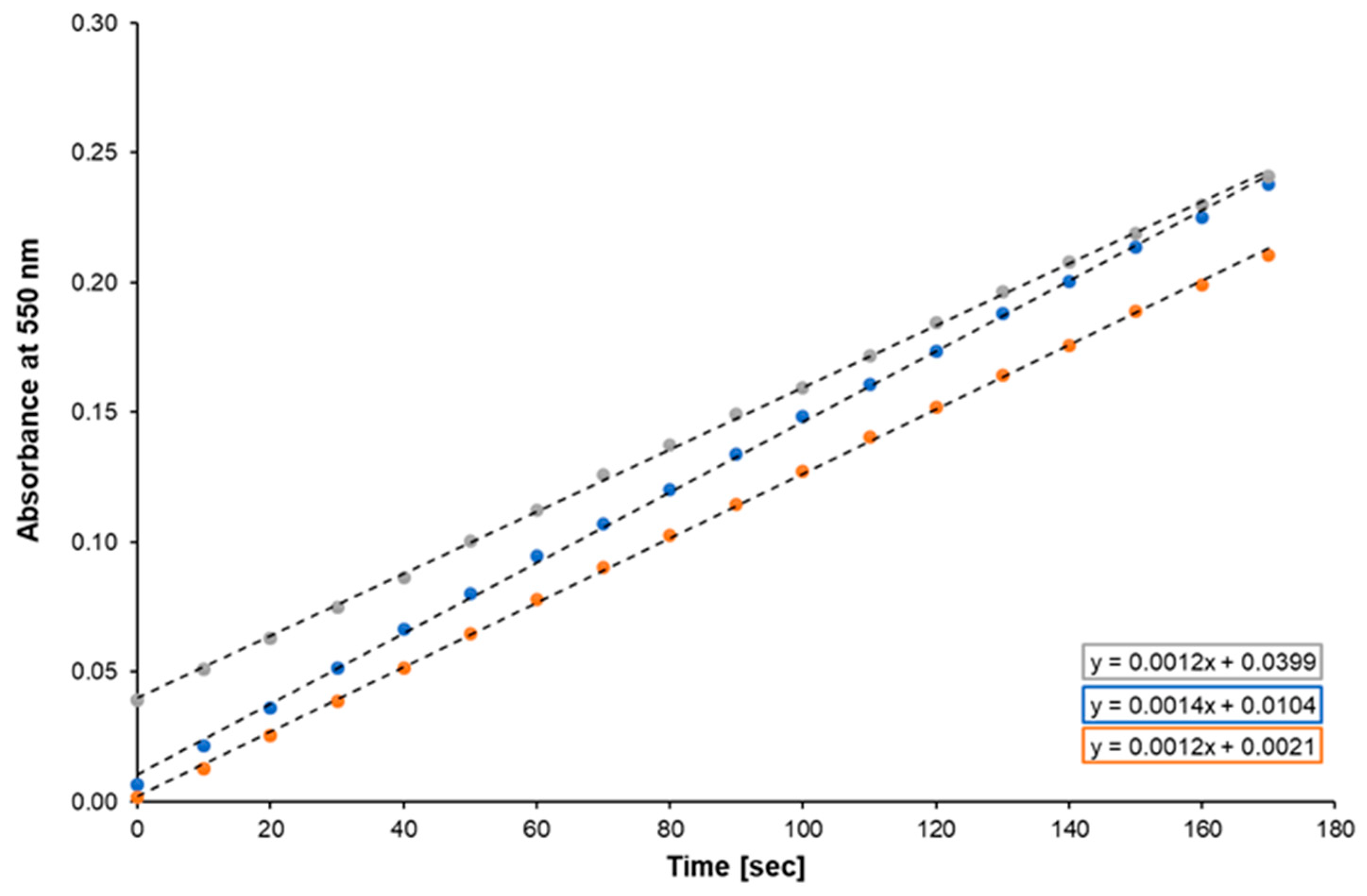
After assessing the inhibitory effects of perfume on the aromatase reaction, we performed a set of reactions without CYP19 to determine which of the two enzymes involved in testosterone metabolism—CYP19 or CYPOR—had been adversely affected in the experiments described above. For this purpose, human CYPOR activity in Bactosomes® was measured with methanol, with perfume, and without either of them by leveraging the ability of this enzyme to transfer electrons to cytochrome c, whose reduction can be followed spectrophotometrically. In this case, we only tested the perfume (sample 3) with the strongest inhibitory effect on 17β-estradiol formation. Figure 6 shows the decrease in CYPOR activity caused by methanol addition to the reaction mixture, but with no other significant drop in activity when replacing methanol with perfume. Based on this observation, we concluded that CYP19 was the enzyme inhibited by one or more perfume components, at least in sample 3. However, the components of the other perfumes varied widely. Moreover, the inhibitory effect of CYPOR on the CYP19-mediated aromatization reaction cannot be completely ruled out for some of them without further testing.
Figure 6.
Effect of perfume on CYPOR activity. CYPOR-mediated cytochrome c reduction manifested as an increase in absorbance at 550 nm over time. Legend: control incubation (blue), incubation with methanol addition (orange), incubation with perfume sample 3 (grey); linear regression was used to fit the measured values (dashed lines).
Perfumes are usually applied on skin areas not covered by clothing and, thus, exposed to sunlight, especially during summer. Therefore, not only perfume constituents but also photoproducts resulting from irradiation of constituents less stable to UV radiation should be considered potential aromatase inhibitors. To test this assumption, we exposed two perfumes—samples 6 and 3, which, respectively, had weak and strong inhibitory effects on the aromatization reaction—to UV light in a photolyser equipped with a high-output light source for 10 s and 60 s prior to testing their effect on CYP19 activity. The shorter period provided irradiation equivalent to a 3 h exposure to the sun during a sunny summer day at mid-latitudes, which was measured as 3–4 mW/cm2 (~1000 times lower intensity than that provided by the photolyser); the longer period was tested to assess whether the effect, if any, became stronger over time. Furthermore, by using a 1 mm quartz cuvette, we were able to expose the perfume to UV light in a thin layer. The effect of UV light on CYP19 activity was related to the effect of the respective unexposed perfume. Figure 7 shows that the inhibitory capacity of UV-irradiated sample 6 significantly increased even though sample 6 initially displayed the lowest inhibition of CYP19 activity. Conversely, irradiating sample 3 did not mitigate its high inhibitory efficacy.
Figure 7.
CYP19 inhibition by UV-irradiated perfumes. By LC–MS, aromatase activity was determined in a reaction mixture containing 50 μM testosterone, 30 nM CYP19, and 1 mM NADPH with a 300-fold diluted perfume, samples 3 or 6, which were either unaffected (A) or irradiated with UV light for 10 s (B) or 60 s (C) in the photolyser. The remaining activity (%) was calculated relative to 17β-estradiol formation in the control incubation (0) with methanol instead of perfume.
Overall, our results suggest that all the perfumes inhibited CYP19 activity to varying degrees under the experimental conditions used in this study and that their inhibitory capacity can be enhanced by UV light irradiation.
4. Discussion
In industrialized countries, people are exposed to a wide range of chemicals of foreign origin (xenobiotics) on a daily basis. Some xenobiotics are pollutants released to the environment, either unintentionally or deliberately, as byproducts of industrial or other processes. In the environment, they can become ubiquitous, and can persist and cause adverse effects long after their production has been banned, as in the case of PCBs [26]. A relatively large group of xenobiotics is also manufactured to meet various personal needs. Among them, pharmaceuticals designed to prevent and/or treat human diseases are strictly controlled for safety and efficacy [27,28].
Personal care products are subject to less stringent safety requirements than pharmaceuticals even though they contain various chemicals. These products are formulated to cleanse, beautify, enhance attractiveness, or alter appearance and, thus, improve the consumer’s quality of life. But their adverse effects on consumer health are usually poorly characterized, and their beneficial effects are not guaranteed either [29]. From this point of view, human exposure to some of their chemicals is potentially harmful [6].
As integral components of almost every personal care product, fragrances are complex mixtures consisting of natural and/or synthetic aromatic compounds and various additives (e.g., UV filters, antioxidants, antimicrobials, fixatives, and solvents) [1]. Voluntarily or involuntarily, the population comes into contact with all of these xenobiotics, which can have several effects on human health. To protect consumers, authorities and regulatory bodies have issued guidelines for testing cosmetic ingredients [13,30].
Most pharmacokinetic and toxicological tests employ in vitro methods using cultured cell lines and tissues or artificial skin. However, these approaches have several shortcomings, such as difficulties in ensuring sufficient bioavailability of lipophilic compounds during testing and in providing a full ADME profile for all chemicals tested, in contrast to animal studies [31]. Moreover, several fragrance compounds are transformed inside or outside the skin. Accordingly, both parent chemicals and their metabolic products must be considered for testing [32].
Cancer cell lines commonly used for testing have a metabolism different from normal cells in specialized tissues, so they are inadequate models for this purpose. Furthermore, these model systems are not suitable for long-term experiments simulating chronic exposure resulting from the regular use of personal care products. Notwithstanding these drawbacks arising from incomplete information on interactions with biological systems, a list of individual chemicals authorized and restricted in personal care products has been published [13], including perfume ingredients that inhibit the aromatase reaction [6,33,34].
Perfumes are not composed of a single compound, though, but rather of various mixtures of substances that may have additive and/or synergistic effects on biological systems [8,29,35]. Yet, our knowledge about mutual interactions of these chemicals in the body remains limited. These interactions may include binding to regulatory or metabolically active proteins or inducing their biosynthesis. There is also little information available on the combined effect of chemicals on human health. One of the few available in vitro methods for assessing the effects of chemicals on steroidogenesis is the H295R screening assay [21]. This assay confirmed the antiestrogenic properties when two substances were used in combination, but not separately [36].
In this study, we examined whether commercial perfumes, which are presented to consumers by manufacturers as safe, interfere with the steroidogenesis pathway—more specifically, with androgen conversion to estrogens catalyzed by CYP19. All ten randomly selected products showed significantly inhibited aromatase activity, especially when the perfume was exposed to UV light. Therefore, all perfumes tested in this study met the criteria of endocrine disrupters [37].
In our study, perfume samples 3 and 6 had the strongest and weakest inhibitory effects on CYP19, respectively. All ingredients of sample 3 listed by the manufacturer (alcohol denat., aqua, citronellol, limonene, geraniol, citral, and linalool) were also found in sample 6. The difference in inhibitory potency may be explained by variations in the concentrations of these perfume ingredients and of other components listed for perfume 6. However, this difference most likely derives from the undisclosed component ‘fragrance (parfum)’, which is a protected trade secret. Perfume manufacturers are not required to disclose the ingredients or quantity of fragrance compounds according to ‘trade secret’ regulations [38]. As a result, customers may be exposed to chemicals such as phthalates, which are not listed on product labels, but carry potential risks for customers.
Lipophilic compounds, such as perfume ingredients, can penetrate the skin barrier [39,40] and accumulate in adipose tissue [3,4,41]. For instance, polycyclic musk (Pearlide®, Parchem HQ, New Rochelle, NY, USA) concentrations reached up to 800 ng/kg of fat in one sample of human adipose tissue [4]. Responsible for producing extraovarian estrogens, CYP19 is expressed in adipose and skin tissue, among others [42], so perfume compounds most likely affect this enzyme in vivo. The results from this study raise the question as to whether the level of exposure to perfumes used in our enzyme assay is comparable to that in daily perfume use. This question is difficult to answer given the lack of experimental data on human subjects. In addition to this, effects on cells and tissues might differ from those observed in vitro. This knowledge gap limits the comprehensive understanding of the potential impact of perfumes applied to the skin.
Perfumes consist of fragrance compounds derived from chemicals that contain multiple unsaturated bonds (terpenes) or benzene rings (eugenol, coumarin, and musks) [1]. These compounds absorb UV light, which can cause structural changes and/or reactions with oxygen and other ingredients in the perfume. To prevent photodegradation, perfumes may also contain compounds, such as benzyl salicylate, ethylhexyl salicylate, ethylhexyl methoxycinnamate, and benzophenone-3 or octocrylene, which act as UV filters and are permitted for use in personal care products, according to Commission Regulation (EU) 2022/1176 [43] and Regulation (EC) No 1223/2009 [13].
We also examined how perfumes affect CYP19 activity after being irradiated by UV light, simulating their exposure to sunshine. We selected perfume samples 3 (with the highest) and 6 (with the lowest) inhibitory potency to determine whether their inhibitory effect decreased or increased after irradiation, respectively. While sample 3 maintained its effect on the aromatase reaction, sample 6 became approximately 20% more inhibitory. According to the list of ingredients (see Table A1 in Appendix A), sample 6, unlike sample 3, should be UV resistant as it contains several of the aforementioned UV filters. The UV absorbers might have undergone photochemical conversion and interacted with other chemicals, which subsequently increased the inhibitory potency of the perfume. This hypothesis is supported by recently published data on butyl methoxydibenzoylmethane, a common UV filter in personal cosmetic products with a similar effect [44]. UV-absorbing compounds may therefore help to preserve perfume stability under light exposure, but they also have the potential to induce adverse effects. For this reason, the mechanism behind this phenomenon merits further research.
5. Conclusions
Commercial perfumes inhibit aromatase catalytic activity to varying degrees. At least for the most inhibitory perfume in this study, the CYP19 enzyme was affected, not CYPOR. The aromatase reaction was inhibited to a greater extent by a perfume irradiated with UV light, as shown with one of the tested perfumes. Although individual ingredients of these perfumes have been tested for consumer safety by their manufacturers, their ingredients act as endocrine disruptors with the potential to affect estrogen biosynthesis when combined in a perfume formulation. Our results indicate that further toxicological studies must be conducted to assess potential risks associated with human exposure to mixtures of ingredients in personal-care products.
Supplementary Materials
The following supporting information can be downloaded at: https://www.mdpi.com/article/10.3390/cosmetics11020033/s1, Figure S1. ESI ionization yield of the standards and their CID-fragmentation; Figure S2. CID fragmentation of the standards; Scheme S1: Methodological steps of the study with the composition of the samples used in each method of analysis and a summary of the main findings; Methods S1. qTOF MS Acquisition Method Parameters.
Author Contributions
Conceptualization, P.H. and T.J.; methodology, P.H. and T.J.; software, T.J.; validation, I.D. and T.J.; formal analysis, P.H. and T.J.; investigation, I.D. and T.J.; resources, P.H.; data curation, P.H. and T.J.; writing—original draft preparation, I.D. and P.H.; writing—review and editing, P.H. and T.J.; visualization, I.D., P.H. and T.J.; supervision, P.H.; project administration, P.H.; funding acquisition, P.H. All authors have read and agreed to the published version of the manuscript.
Funding
This research received no external funding. This work was supported by the Cooperation Program, research area Chemistry, from the Charles University.
Data Availability Statement
Data supporting reported results are not publicly accessible. Please contact the corresponding author.
Acknowledgments
The authors thank Carlos V. Melo for editing the manuscript.
Conflicts of Interest
The authors declare no conflicts of interest.
Appendix A
Table A1.
Ingredients of tested perfumes [45].
Table A1.
Ingredients of tested perfumes [45].
| Perfume Brand Name | Sample | Ingredients |
|---|---|---|
| Bvlgari® Man Wood Essence | #1 | Alcohol denat. (SD alcohol 39-c), parfum (fragrance), aqua (water), benzyl salicylate, coumarin, ethylhexyl methoxycinnamate, benzyl alcohol, limonene, linalool, alpha-isomethyl ionone, butyl methoxydibenzoylmethane, ethylhexyl salicylate, citronellol, geraniol, eugenol, citral, benzyl benzoate, CI 19140 (Yellow 5), BHT, CI 42090 (Blue 1), CI 60730 (Ext. Violet 2) |
| Dolce Gabbana® Q | #2 | Alcohol denat., parfum (fragrance), aqua (water), benzyl salicylate, limonene, hydroxycitronellal, butyl methoxydibenzoylmethane, ethylhexyl salicylate, linalool, citral, alcohol, citronellol, hexyl cinnamal, tris(tetramethylhydroxypiperidinol) citrate, coumarin, benzyl alcohol, pentaerythrityl tetra-di-t-butyl hydroxyhydrocinnamate, eugenol, geraniol, CI 14700 (Red 4), CI 60730 (Ext. Violet 2), CI 19140 (Yellow 5) |
| Montale® Intense Roses Musk | #3 | Parfum/fragrance, alcohol denat., aqua/water, citronellol, limonene, geraniol, citral, linalool |
| Narciso Rodriguez® Pure Musc For Her | #4 | Alcohol, parfum (fragrance), aqua (water), benzyl salicylate, linalool, butyl methoxydibenzoylmethane, ethylhexyl methoxycinnamate, hexyl cinnamal, hydroxycitronellal, cinnamyl alcohol, benzyl alcohol, limonene, isoeugenol, BHT, benzyl benzoate, farnesol |
| Sisley® Soir d’Orient | #5 | Alcohol, fragrance (parfum), water/eau (aqua), tetrasodium EDTA, citronellol, hexyl cinnamal, limonene, alpha-isomethyl ionone, benzyl salicylate, geraniol, linalool, eugenol, citral, benzyl benzoate, benzyl alcohol |
| Karl Lagerfeld® Her | #6 | Alcohol denat. (SD alcohol 39-c), parfum (fragrance), aqua (water), ethylhexyl methoxycinnamate, benzyl salicylate, limonene, hexyl cinnamal, hydroxycitronellal, linalool, ethylhexyl salicylate, butyl methoxydibenzoylmethane, geraniol, alpha-isomethyl ionone, BHT, citral, citronellol, benzyl alcohol, isoeugenol, CI 14700 (Red 4), CI 15985 (Yellow 6), CI 19140 (Yellow 5), CI 60730 (Ext. Violet 2) benzoate, CI 19140 (YELLOW 5), CI 42090 (Blue 1) |
| Marc Jacobs® Daisy Eau So Intense | #7 | Alcohol denat., parfum/fragrance, aqua/water/eau, ethylhexyl methoxycinnamate, butyl methoxydibenzoylmethane, alpha-isomethyl ionone, citronellol, linalool, octocrylene, hydroxycitronellal, limonene, hexyl cinnamal, geraniol, benzyl benzoate, methyl 2-octynoate, BHT, FD&C Yellow no. 5 (CI 19140), FD&C Red no. 4 (CI 14700), FD&C Blue no. 1 (CI 42090) |
| Dior® Sauvage Elixir | #8 | Alcohol, parfum (fragrance), aqua (water), linalool, limonene, coumarin, citronellol, eugenol, butyl methoxydibenzoylmethane, triethyl citrate, pentaerythrityl tetra-di-t-butyl hydroxyhydrocinnamate, geraniol, cinnamal, citral, evernia furfuracea (treemoss) extract, farnesol, isoeugenol, CI 60730 (Ext. Violet 2), CI 19140 (Yellow 5), CI 42090 (Blue 1) |
| Kayali® Invite Only Amber 23 | #9 | Alcohol denat./SD alcohol 40-b, fragrance/parfum, water/aqua/eau, avobenzone/butyl methoxydibenzoylmethane, alcohol, tris (tetramethylhydroxypiperidinol) citrate, alpha-isomethyl ionone, benzyl benzoate, cinnamal, cinnamyl alcohol, coumarin, linalool, citral, citronellol, eugenol, farnesol, geraniol, limonene, benzyl alcohol, Red 4/CI 14700, Blue 1/CI 42090, Ext. Violet 2/CI 60730 |
| Mugler® Aura | #10 | Alcohol, parfum/fragrance, aqua/water/eau, alpha-isomethyl ionone, limonene, ethylhexyl methoxycinnamate, linalool, benzyl salicylate, benzyl alcohol, coumarin, ethylhexyl salicylate, butyl methoxydibenzoylmethane, citronellol, geraniol, hexyl cinnamal, benzyl benzoate, pentaerythrityl |
References
- Calkin, R.R.; Jellinek, J.S. Perfumery: Practice and Principles; John Wiley & Sons: New York, NY, USA, 1994. [Google Scholar]
- Reiner, J.L.; Wong, C.M.; Arcaro, K.F.; Kannan, K. Synthetic musk fragrances in human milk from the United States. Environ. Sci. Technol. 2007, 41, 3815–3820. [Google Scholar] [CrossRef]
- Rimkus, G.G.; Wolf, M. Polycyclic musk fragrances in human adipose tissue and human milk. Chemosphere 1996, 33, 2033–2043. [Google Scholar] [CrossRef] [PubMed]
- Kannan, K.; Reiner, J.L.; Yun, S.H.; Perrotta, E.E.; Tao, L.; Johnson-Restrepo, B.; Rodan, B.D. Polycyclic musk compounds in higher trophic level aquatic organisms and humans from the United States. Chemosphere 2005, 61, 693–700. [Google Scholar] [CrossRef]
- Aqil, M.; Ahad, A.; Sultana, Y.; Ali, A. Status of terpenes as skin penetration enhancers. Drug Discov. Today 2007, 12, 1061–1067. [Google Scholar] [CrossRef]
- Patel, S. Fragrance compounds: The wolves in sheep’s clothings. Med. Hypotheses 2017, 102, 106–111. [Google Scholar] [CrossRef]
- Gomez, E.; Pillon, A.; Fenet, H.; Rosain, D.; Duchesne, M.J.; Nicolas, J.C.; Balaguer, P.; Casellas, C. Estrogenic activity of cosmetic components in reporter cell lines: Parabens; UV screens; and musks. J. Toxicol. Environ. Health A 2005, 68, 239–251. [Google Scholar] [CrossRef] [PubMed]
- Lymperi, S.; Giwercman, A. Endocrine disruptors and testicular function. Metabolism 2018, 86, 79–90. [Google Scholar] [CrossRef]
- Darbre, P.D.; Charles, A.K. Environmental oestrogens and breast cancer: Evidence for combined involvement of dietary; household and cosmetic xenoestrogens. Anticancer. Res. 2010, 30, 815–827. [Google Scholar]
- Harvey, P.W. Parabens, oestrogenicity, underarm cosmetics and breast cancer: A perspective on a hypothesis. J. Appl. Toxicol. 2003, 23, 285–288. [Google Scholar] [CrossRef]
- Taylor, K.M.; Weisskopf, M.; Shine, J. Human exposure to nitro musks and the evaluation of their potential toxicity: An overview. Environ. Health 2014, 13, 14. [Google Scholar] [CrossRef]
- Nohynek, G.J.; Antignac, E.; Re, T.; Toutain, H. Safety assessment of personal care products/cosmetics and their ingredients. Toxicol. Appl. Pharmacol. 2010, 243, 239–259. [Google Scholar] [CrossRef]
- Regulation (EC) No 1223/2009 of the European Parliament and of the Council of 30 November 2009, on Cosmetic Products—ANNEX VI. Available online: https://eur-lex.europa.eu/eli/reg/2009/1223/oj (accessed on 5 January 2024).
- ECHA–European Chemicals Agency. Available online: https://echa.europa.eu/ (accessed on 12 January 2024).
- Vrtačnik, P.; Ostanek, B.; Mencej-Bedrač, S.; Marc, J. The many faces of estrogen signaling. Biochem. Med. 2014, 24, 329–342. [Google Scholar] [CrossRef]
- Boon, W.C.; Chow, J.D.; Simpson, E.R. The multiple roles of estrogens and the enzyme aromatase. Prog. Brain Res. 2010, 181, 209–232. [Google Scholar]
- Brodie, A.M. Recent advances in studies on estrogen biosynthesis. J. Endocrinol. Investig. 1979, 2, 445–460. [Google Scholar] [CrossRef]
- Smedsland, S.K.; Vandraas, K.F.; Bøhn, S.K.; Dahl, A.A.; Kiserud, C.E.; Brekke, M.; Falk, R.S.; Reinertsen, K.V. Sexual activity and functioning in long-term breast cancer survivors; exploring associated factors in a nationwide survey. Breast Cancer Res. Treat. 2022, 193, 139–149. [Google Scholar] [CrossRef]
- Del Giudice, F.; Busetto, G.M.; De Berardinis, E.; Sperduti, I.; Ferro, M.; Maggi, M.; Gross, M.S.; Sciarra, A.; Eisenberg, M.L. A systematic review and meta-analysis of clinical trials implementing aromatase inhibitors to treat male infertility. Asian J. Androl. 2020, 22, 360–367. [Google Scholar] [PubMed]
- Rochira, V.; Carani, C. Estrogens, Male Reproduction and Beyond. In Endotext (Internet); Feingold, K.R., Anawalt, B., Blackman, M.R., Boyce, A., Chrousos, G., Corpas, E., de Herder, W.W., Dhatariya, K., Dungan, K., Hofland, J., et al., Eds.; MDText.com, Inc.: South Dartmouth, MA, USA, 2023. [Google Scholar]
- OECD. Test No. 456: H295R Steroidogenesis Assay, OECD Guidelines for the Testing of Chemicals, Section 4; OECD Publishing: Paris, France, 2023. [Google Scholar]
- Strobel, H.W.; Dignam, J.D. Purification and properties of NADPH-cytochrome P-450 reductase. Methods Enzymol. 1978, 52, 89–96. [Google Scholar] [PubMed]
- Šulc, M.; Indra, R.; Moserová, M.; Schmeiser, H.H.; Frei, E.; Arlt, V.M.; Stiborová, M. The impact of individual cytochrome P450 enzymes on oxidative metabolism of benzo[a]pyrene in human livers. Environ. Mol. Mutagen. 2016, 57, 229–235. [Google Scholar] [CrossRef] [PubMed]
- Chabi, K.; Sleno, L. Estradiol, Estrone and Ethinyl Estradiol Metabolism Studied by High Resolution LC-MS/MS Using Stable Isotope Labeling and Trapping of Reactive Metabolites. Metabolites 2022, 12, 931. [Google Scholar] [CrossRef] [PubMed]
- Wooding, K.M.; Hankin, J.A.; Johnson, C.A.; Chosich, J.D.; Baek, S.W.; Bradford, A.P.; Murphy, R.C.; Santoro, N. Measurement of estradiol, estrone, and testosterone in postmenopausal human serum by isotope dilution liquid chromatography tandem mass spectrometry without derivatization. Steroids 2015, 96, 89–94. [Google Scholar] [CrossRef] [PubMed]
- Zarerad, E.; Niksalehi, K.; Armandeh, M.; Sani, M.A.; Ataei, M.; Mousavi, T.; Maghsoudi, A.S.; Hassani, S. Polychlorinated Biphenyls: A Review of Recent Updates on Food Safety and Environmental Monitoring, Health and Toxicological Implications, and Analysis. Mini Rev. Med. Chem. 2023, 23, 1390–1411. [Google Scholar]
- FDA–U.S. Food and Drug Administration. Development & Approval Process|Drugs. 2022. Available online: https://www.fda.gov/drugs/development-approval-process-drugs (accessed on 5 January 2024).
- EMA–European Medicines Agency. Authorisation of Medicines. 2020. Available online: https://www.ema.europa.eu/en/about-us/what-we-do/authorisation-medicines (accessed on 5 January 2024).
- Batke, M.; Damm, G.; Foth, H.; Freyberger, A.; Gebel, T.; Gundert-Remy, U.; Hengstler, J.; Mangerich, A.; Partosch, F.; Röhl, C.; et al. The EU chemicals strategy for sustainability: Critical reflections on proposed regulatory changes for endocrine disruptors and mixture toxicity. Arch. Toxicol. 2022, 96, 1133–1135. [Google Scholar] [CrossRef] [PubMed]
- FDA–U.S. Federal Food; Drug; and Cosmetic Act. 2013. Available online: https://www.fda.gov/Cosmetics/GuidanceRegulation/LawsRegulations (accessed on 5 January 2024).
- Lilienblum, W.; Dekant, W.; Foth, H.; Gebel, T.; Hengstler, J.G.; Kahl, R.; Kramer, P.J.; Schweinfurth, H.; Wollin, K.M. Alternative methods to safety studies in experimental animals: Role in the risk assessment of chemicals under the new European Chemicals Legislation (REACH). Arch. Toxicol. 2008, 82, 211–236. [Google Scholar] [CrossRef] [PubMed]
- Bråred Christensson, J.; Hagvall, L.; Karlberg, A.-T. Fragrance allergens; overview with a focus on recent developments and understanding of abiotic and biotic activation. Cosmetics 2016, 3, 19. [Google Scholar] [CrossRef]
- van Meeuwen, J.A.; van Son, O.; Piersma, A.H.; de Jong, P.C.; van den Berg, M. Aromatase inhibiting and combined estrogenic effects of parabens and estrogenic effects of other additives in cosmetics. Toxicol. Appl. Pharmacol. 2008, 230, 372–382. [Google Scholar] [CrossRef]
- Li, Z.; Yin, N.; Liu, Q.; Wang, C.; Wang, T.; Wang, Y.; Qu, G.; Liu, J.; Cai, Y.; Zhou, Q.; et al. Effects of polycyclic musks HHCB and AHTN on steroidogenesis in H295R cells. Chemosphere 2013, 90, 1227–1235. [Google Scholar] [CrossRef]
- Kar, S.; Leszczynski, J. Exploration of computational approaches to predict the toxicity of chemical mixtures. Toxics 2019, 7, 15. [Google Scholar] [CrossRef] [PubMed]
- Lee, I.; Ji, K. Identification of combinations of endocrine disrupting chemicals in household chemical products that require mixture toxicity testing. Ecotoxicol. Environ. Saf. 2022, 240, 113677. [Google Scholar] [CrossRef]
- La Merrill, M.A.; Vandenberg, L.N.; Smith, M.T.; Goodson, W.; Browne, P.; Patisaul, H.B.; Guyton, K.Z.; Kortenkamp, A.; Cogliano, V.J.; Woodruff, T.J.; et al. Consensus on the key characteristics of endocrine-disrupting chemicals as a basis for hazard identification. Nat. Rev. Endocrinol. 2020, 16, 45–57. [Google Scholar] [CrossRef]
- FDA–U.S. Food and Drug Administration. Fragrances in Cosmetics. 2022. Available online: https://www.fda.gov/cosmetics/cosmetic-ingredients/fragrances-cosmetics (accessed on 5 January 2024).
- Hutter, H.P.; Wallner, P.; Moshammer, H.; Hartl, W.; Sattelberger, R.; Lorbeer, G.; Kundi, M. Blood concentrations of polycyclic musks in healthy young adults. Chemosphere 2005, 59, 487–492. [Google Scholar] [CrossRef]
- Cal, K. Skin penetration of terpenes from essential oils and topical vehicles. Planta Med. 2006, 72, 311–316. [Google Scholar] [CrossRef] [PubMed]
- Darbre, P.D.; Aljarrah, A.; Miller, W.R.; Coldham, N.G.; Sauer, M.J.; Pope, G.S. Concentrations of parabens in human breast tumours. J. Appl. Toxicol. 2004, 24, 5–13. [Google Scholar] [CrossRef] [PubMed]
- Nelson, L.R.; Bulun, S.E. Estrogen production and action. J. Am. Acad. Dermatol. 2001, 45, S116–S124. [Google Scholar] [CrossRef]
- Commission Regulation (EU) 2022/1176 of 7 July 2022 Amending Regulation (EC) No 1223/2009 of the European Parliament and of the Council as Regards the Use of Certain UV Filters in Cosmetic Products. Available online: http://data.europa.eu/eli/reg/2022/1176/oj (accessed on 10 January 2024).
- Li, Y.; He, Y.; Lam, C.H.; Nah, T. Environmental photochemistry of organic UV filter butyl methoxydibenzoylmethane: Implications for photochemical fate in surface waters. Sci. Total Environ. 2022, 839, 156145. [Google Scholar] [CrossRef]
- Notino, S.R.O. Available online: https://www.notino.cz (accessed on 5 January 2024).
Disclaimer/Publisher’s Note: The statements, opinions and data contained in all publications are solely those of the individual author(s) and contributor(s) and not of MDPI and/or the editor(s). MDPI and/or the editor(s) disclaim responsibility for any injury to people or property resulting from any ideas, methods, instructions or products referred to in the content. |
© 2024 by the authors. Licensee MDPI, Basel, Switzerland. This article is an open access article distributed under the terms and conditions of the Creative Commons Attribution (CC BY) license (https://creativecommons.org/licenses/by/4.0/).






