Reproductive Biology and Ecology of the Green Mussel Perna viridis: A Multidisciplinary Approach
Abstract
1. Introduction
2. Materials and Methods
2.1. Sampling Strategies
2.2. Biometric Measurements
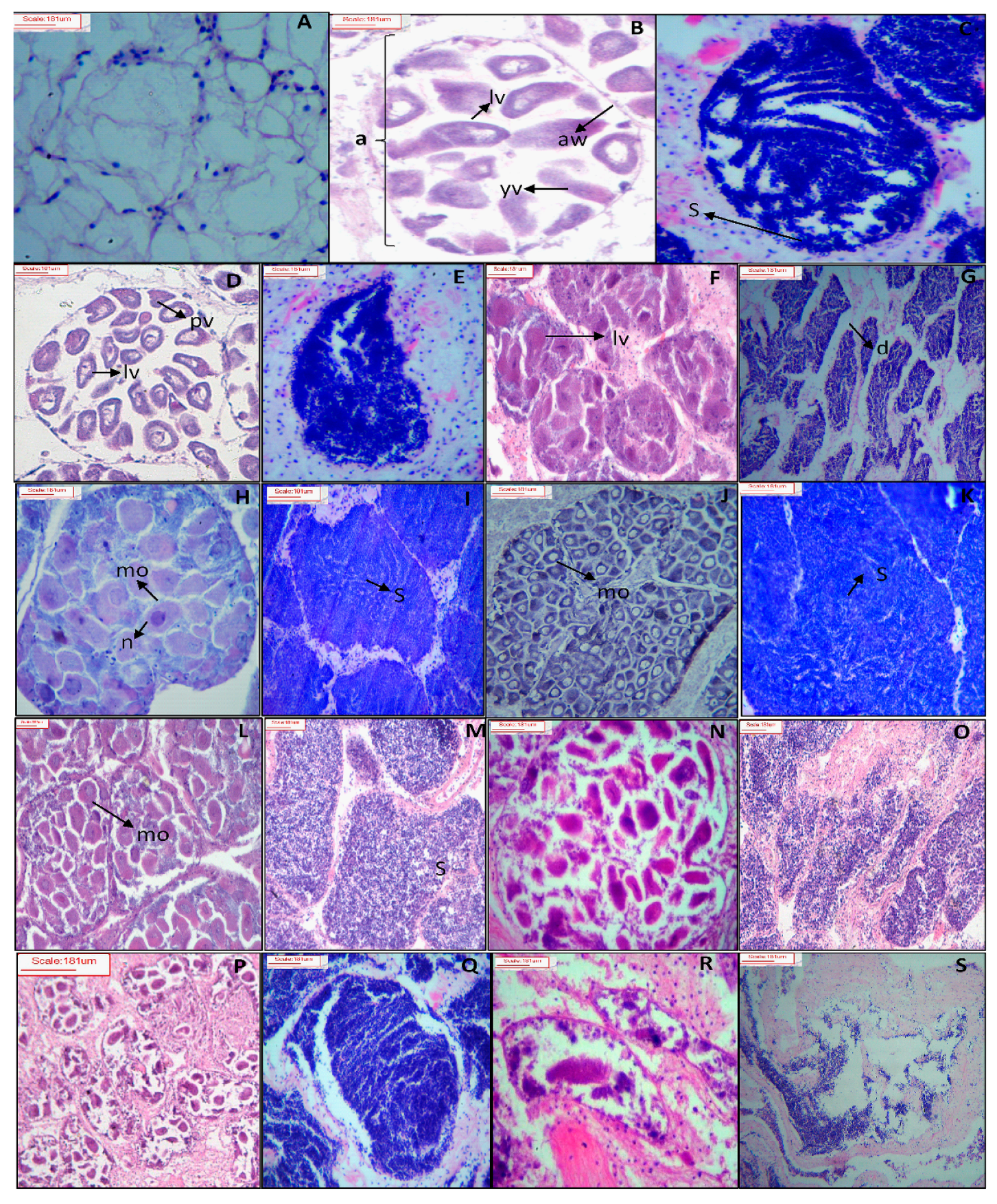
2.3. Histology of Gonad
2.4. Water Quality Assessments
2.5. Gut Plankton Analysis
2.6. Lipid Content and Fatty Acid Analysis of Gonad
2.7. Statistical Analyses
3. Results
3.1. Annual Reproductive Cycle
3.2. Ecological Factors and Gametogenesis
3.3. Feeding Behavior and Gametogenesis
3.4. Gonadal Lipid and Fatty Acid Profiles
3.5. Interrelations among Different Factors
4. Discussion
5. Conclusions
Supplementary Materials
Author Contributions
Funding
Acknowledgments
Conflicts of Interest
References
- Soon, T.K.; Ransangan, J.A. Review of feeding behavior, growth, reproduction and aquaculture site selection for green-lipped mussel, Perna viridis. Adv. Biosci. Biotechnol. 2017, 5, 462–469. [Google Scholar] [CrossRef]
- Soon, T.K.; Ransangan, J. Feeding behavior of green mussel, Perna viridis farmed in Maruda Bay, Malaysia. Aquac. Res. 2014, 48, 1216–1231. [Google Scholar] [CrossRef]
- FAO. Species Fact Sheets Perna viridis (Linnaeus, 1758); Food and Agricultural Organization of the United Nations: Rome, Italy, 2016; Available online: http://www.fao.org/fishery/species/2691/en (accessed on 2 September 2019).
- Wijsman, J.W.M.; Troost, K.; Fang, J.; Roncarati, A. Global Production of Marine Bivalves. Trends and Challenges. In Goods and Services of Marine Bivalves; Smaal, A., Ferreira, J., Grant, J., Petersen, J., Strand, Ø., Eds.; Springer: Cham, Switzerland, 2019; pp. 7–26. [Google Scholar] [CrossRef]
- Shahabuddin, A.M.; Wahab, M.A.; Miah, M.I.; Salam, M.A. Abundance, distribution and culture potentials of three commercially important mollusks species along the coast of Bay of Bengal. Res. J. Agric. Biol. Sci. 2010, 6, 754–762. [Google Scholar]
- Barber, B.; Blake, N. Reproductive Physiology. In Biology, Ecology and Aquaculture; Elsevier: Amsterdam, The Netherlands, 2006; pp. 357–416. [Google Scholar] [CrossRef]
- Rajagopal, S.; Venugopalan, V.P.; Van der Velde, G.; Jenner, H.A. Mussel colonization of a high low artificial benthic habitat: Byssogenesis holds the key. Mar. Environ. Res. 2006, 62, 98–115. [Google Scholar] [CrossRef]
- Al-Barwani, S.M.; Arshad, A.; Amin, S.M.N.; Japar, S.B.; Siraj, S.S.; Yap, C.K. Population dynamics of the green mussel Perna viridis from the high spat-fall coastal water of Malacca, Peninsular Malaysia. Fish. Res. 2007, 84, 147–152. [Google Scholar] [CrossRef]
- Brousseau, D.J. Gametogenesis and spawning in a population of Geukensia demissa (Pelecypoda: Mytilidae) from Westport, Connecticut. Veliger 1982, 24, 247–251. [Google Scholar]
- Lee, S.Y. The reproductive cycle and sexuality of the green mussel Perna viridis (L.) (Bivalvia; Mytilacea) in Victoria Harbour, Hong Kong. J. Molluscan Stud. 1988, 54, 317–325. [Google Scholar] [CrossRef]
- Huang, Z.G.; Lee, S.Y.; Mak, P.M.S. The distribution and population structure of green-lipped mussels (Bivalvia: Mytilacea) in Hong Kong waters. In Proceedings of the 2nd International Workshop on the Malacofauna of Hong Kong and Southern China, Hong Kong, China, 6–24 April 1983; pp. 465–472. [Google Scholar]
- Al-Barwani, S.M.; Arshad, A.; Amin, S.M.N.; Bujang, J.S. Incidence of Hermaphrodite in Green Mussel Perna viridis along the West Coast of Penninsular Malaysia. Asian J. Anim. Vet. Adv. 2013, 8, 376–382. [Google Scholar] [CrossRef]
- McFerland, A.D.; Lutz, S.A. Reproductive strategy of the invasive green mussel may result in increased competition with native fauna in the southeastern United States. Aquat. Invasions 2016, 11, 411–423. [Google Scholar] [CrossRef]
- Cheng, M.C.; Tan, A.L.; Rinaldi, A.; Giacoletti, A.; Sarà, G.; Williams, G.A. Predicting effective aquaculture in subtropical waters: A dynamic energy budget model for the green lipped mussel, Perna viridis. Aquaculture 2018, 495, 749–756. [Google Scholar] [CrossRef]
- Park, H.J.; Lee, W.C.; Choy, E.J.; Choi, K.S.A.; Kang, C.K. Reproductive cycle and gross biochemical composition of the ark shell Scapharca subcrenata (Lischke, 1869) reared on subtidal mudflats in a temperate bay of Korea. Aquaculture 2011, 322–323, 149–157. [Google Scholar] [CrossRef]
- Nakazawa, T.; Doi, H. A perspective on match/mismatch of phenology in community contexts. Oikos 2012, 121, 489–495. [Google Scholar] [CrossRef]
- Rajagopal, S.; Venugopalan, V.P.; Nair, K.V.K.; Van der Velde, G.; Jenner, H.A.; Den, H.C. Reproduction, Growth Rate and Culture Potential of the Green Mussel, Perna viridis (L.) in Edaiyur Backwaters, East Coast of India. Aquaculture 1998, 162, 187–202. [Google Scholar] [CrossRef]
- Myrand, B.; Guderley, H.; Himmelman, J.H. Reproduction and Summer Mortality of Blue Mussels Mytilus edulis in the Mardalen Islands, South Gulf of St. Lawrence. Mar. Ecol. Prog. Ser. 2000, 197, 193–207. [Google Scholar] [CrossRef]
- Laxmilatha, P.A. Review of the Green Mussel, Perna viridis Fishery of South West Coast of India. Int. J. Mar. Sci. 2013, 3, 408–416. [Google Scholar] [CrossRef][Green Version]
- Rivonker, C.U.; Ansari, Z.A.; Parulekar, A.H. Cultivation of green mussel, Perna viridis L., on a floating raft in an estuary along the west coast of India. Aquaculture 1993, 112, 47–56. [Google Scholar] [CrossRef]
- Barber, B.; Blake, N. Energy storage and utilization in relation to gametogenesis in Argopecten irradians concentricus (Say). J. Exp. Mar. Biol. Ecol. 1981, 52, 121–134. [Google Scholar] [CrossRef]
- Alfaro, A.C.; Jeffs, A.G.; Hooker, S.H. Spatial Variability in Reproductive Behaviour of Green-Lipped Mussel Populations of Northern New Zealand. Molluscan Res. 2003, 23, 223–238. [Google Scholar] [CrossRef]
- Holland, D.L. Lipid reserves and energy metabolism in the larvae of bentheic marine invertebrates. In Biochemical and Biophysical Perspectives in Marine Biology; Academic Press: London, UK, 1978; pp. 85–123. [Google Scholar]
- Miller, M.R.; Pearce, L.; Bodhi, I.B. Detailed distribution of lipids in greenshell mussel (Perna canaliculus). Nutrients 2014, 6, 1454–1474. [Google Scholar] [CrossRef]
- Jinhong, B.Q.L.; Xinjun, Z.; Zhixin, Z.; Jinling, T.; Yushan, X.; Wenguan, L. Seasonal Variation of Biochemical Components in Clam (Saxidomus purpuratus, Sowerby 1852) in Relation to Its Reproductive Cycle and the Environmental Condition of Sanggou Bay, China. J. Ocean Univ. China 2016, 15, 341–350. [Google Scholar] [CrossRef]
- Sanchez-Jerez, P.; Karakassis, I.; Massa, F.; Fezzardi, D.; Aguilar-Manjarrez, J.; Soto, D. Aquaculture’s struggle for space: The need for coastal spatial planning and the potential benefits of allocated zones for aquaculture (AZAs) to avoid conflict and promote sustainability. Aquac. Environ. Interact. 2016, 8, 41–54. [Google Scholar] [CrossRef]
- Freites, L.; Labarta, U.; Fernández, R.; María, J. Evolution of fatty acid profiles of subtidal and rocky shore mussel seed (Mytilus galloprovincialis, Lmk.). Influence of environmental parameters. J. Exp. Mar. Biol. Ecol. 2002, 268, 185–204. [Google Scholar] [CrossRef]
- Gatenby, C.M.; Orcutt, D.M.; Kreeger, D.A.; Parker, B.C.; Jones, V.A.; Neves, R.J. Biochemical Composition of three algal species proposed as food for captive freshwater mussels. J. Appl. Phycol. 2003, 15, 1–11. [Google Scholar] [CrossRef]
- Kim, J.S.; Won Seo, W.; Baek, D. Seasonally varying effects of environmental factors on phytoplankton abundance in the regulated rivers. Sci. Rep. 2019, 9, 9266. [Google Scholar] [CrossRef]
- Lopes-Lima, M.; Lima, P.; Hinzmann, M.; Rocha, A. Selective feeding by Anodonta cygnea (Linnaeus, 1771): The effects of seasonal changes and nutritional demands. Limnologica 2014, 44, 18–22. [Google Scholar] [CrossRef]
- Pearse, A.G.E. Histochemistry. In Theoretical and Applied. Analytical Technology, 4th ed.; Churchill Livingstone: Edinburgh, UK, 1985; Volume 2, p. 624. [Google Scholar] [CrossRef]
- Al-Barwani, S.M.; Aziz, A.; Nurul Amin, S.M. Reproductive biology of green mussel Perna viridis (Linnaeus 1758); LAP Lambert Academic Publishing: Saarbrücken, Germany, 2011. [Google Scholar]
- Boyd, C.E. Water Quality in Warm Water Fish Ponds; Auburn University: Auburn, AL, USA, 1979; p. 359. [Google Scholar]
- Asaduzzaman, M.; Wahab, M.A.; Verdegem, M.C.J.; Azim, M.E.; Haque, S.; Salam, M.A. C/N ratio control and substrate addition for periphyton development jointly enhance freshwater prawn Macrobrachium rosenbergii production in ponds. Aquaculture 2008, 280, 117–123. [Google Scholar] [CrossRef]
- Abdulkadir, S.; Tsuchiya, M. One-step method for quantitative and qualitative analysis of fatty acids in marine animal samples. J. Exp. Mar. Biol. Ecol. 2008, 354, 1–8. [Google Scholar] [CrossRef]
- Truzzi, C.; Illuminati, S.; Annibaldi, A.; Antonucci, M.; Scarponi, G. Quantification of fatty acids in the muscle of Antarctic fish Trematomus bernacchii by gas chromatography-mass spectrometry: Optimization of the analytical methodology. Chemosphere 2017, 173, 116–123. [Google Scholar] [CrossRef]
- R Core Team. R: A Language and Environment for Statistical Computing; R Foundation for Statistical Computing: Vienna, Austria, 2017; Available online: https://www.R-project.org/ (accessed on 4 September 2019).
- Dag, O.; Dolgun, A.; Konar, N.M. Onewaytests: One-Way Tests in Independent Groups Designs. R Package Version 1.5. 2017. Available online: https://CRAN.R-project.org/package=onewaytests (accessed on 4 September 2019).
- Fox, J.; Weisberg, S. An {R} Companion to Applied Regression, 2nd ed.; Sage: Thousand Oaks, CA, USA, 2011; Available online: http://socserv.socsci.mcmaster.ca/jfox/Books/Companion (accessed on 4 September 2019).
- Hothorn, T.; Bretz, F.; Westfall, P. Simultaneous inferene in general parametric models. Biom. J. 2008, 50, 346–363. [Google Scholar] [CrossRef]
- Peterson, B.G.; Carl, P. Performance Analytics: Econometric Tools for Performance and Risk Analysis. R Package Version 1.5.3. 2019. Available online: https://CRAN.R-project.org/package=PerformanceAnalytics (accessed on 4 September 2019).
- Sebastien, L.; Josse, J.; Husson, F. FactoMineR: An R Package for Multivariate Analysis. J. Stat. Softw. 2008, 25, 1–18. [Google Scholar] [CrossRef]
- Wickham, H. ggplot2: Elegant Graphics for Data Analysis; Springer: New York, NY, USA, 2016; Available online: https://www.jstatsoft.org/article/view/v035b01/v35b01.pdf (accessed on 4 September 2019).
- Kripa, V.; Mohamed, K.S.; Velayudhan, T.S.; Joseph, M.; Alloycious, P.S.; Sharma, J. Comparison of growth and gonad development of farmed green mussel Perna viridis L. in three habitats. J. Mar. Biol. Assoc. India 2009, 51, 199–204. [Google Scholar]
- Mohan, D.; Kalyani, M. Seasonal variation in biochemical composition of green mussel Perna viridis (Linnaeus). Mahagascar 1998, 22, 112–120. [Google Scholar]
- Gilg, M.R.; Howard, R.; Turner, R.; Middlebrook, M.; Abdulnour, M.; Lukaj, E.; Sheng, Y.P.; Liu, T.; Tutak, B. Estimating the dispersal capacity of the introduced green mussel, Perna viridis (Linnaeus, 1758), from field collections and oceanographic modeling. J. Exp. Mar. Biol. Ecol. 2014, 461, 233–242. [Google Scholar] [CrossRef]
- Narváez, M.; Freites, L.; Guevara, M.; Mendoza, J.; Guderley, H.; Lodeiros, C.; Salazar, G. Food availability and reproduction affects lipid and fatty acid composition of the brown mussel, Perna perna, raised in suspension culture. Comp. Biochem. Physiol. B 2008, 149, 293–302. [Google Scholar] [CrossRef] [PubMed]
- Urian, A.G. Potential for Range Expansion of the Invasive Green Mussel, Perna viridis, in the Southeastern United States. Master’s Thesis, University of North Florida, Jacksonville, FL, USA, 2009. [Google Scholar]
- Cheng, M.C.; Sarà, G.; Williams, G.A. Combined effects of thermal conditions and food availability on thermal tolerance of the marine bivalve, Perna viridis. J. Therm. Biol. 2018, 78, 270–276. [Google Scholar] [CrossRef]
- Sokołowski, A.; Bawazir, A.S.; Sokołowska, E.; Wołowicz, M. Seasonal variation in the reproductive activity, physiological condition and biochemical components of the brown mussel Perna perna from the coastal waters of Yemen (Gulf of Aden). Aquat. Living Resour. 2010, 23, 177–186. [Google Scholar] [CrossRef]
- Bruce, J.B.; JonathaN, S.F.; Shirley, M.B.; Patrick, B. Gametogenesisin the non-native Green mussel, Perna viridis, and the natives corched mussel, Brachidonates exustus, in Tampa bay Florida. J. Shellfish Res. 2005, 24, 1087–1095. [Google Scholar] [CrossRef]
- Saxby, S.A. A Review of Food Availability, Sea Water Characteristics and Bivalve Growth Performance at Coastal Culture Sites in Temperate and Warm Temperate Regions of the World; Fisheries Research Report No 132; Department of Fisheries, Government of Western Australia: Perth, WA, Australia, 2002; pp. 1–44.
- Sreedevi, P.R.; Uthayakumar, V.; Jayakumar, R.; Ramasubramanian, V. Influence of rearing water temperature on induced gonadal development and spawning behaviour of tropical green mussel, Perna viridis. Asian Pac. J. Reprod. 2014, 3, 204–209. [Google Scholar] [CrossRef]
- Solomieu, V.B.; Renault, T.; Travers, M. Mass mortality in bivalves and the intricate case of the Pacific oyster, Crassostrea gigas. J. Invertebr. Pathol. 2015, 131, 2–10. [Google Scholar] [CrossRef]
- Gosling, E.M. Bivalve Molluscs: Biology, Ecology and Culture; Fishing News Books: Oxford, UK; Malden, MA, USA, 2003. [Google Scholar]
- Xu, Q.; Yang, H. Food sources of three bivalves living in two habitats of Jiaozhou Bay (Qingdao, China): Indicated by lipid biomarkers and stable isotope analysis. J. Shellfish Res. 2007, 26, 561–567. [Google Scholar] [CrossRef]
- Lehane, C.; Davenport, J. A 15-month study of zooplankton ingestion by farmed mussels (Mytilus edulis) in Bantry Bay, Southwest Ireland. Estuar. Coast. Shelf Sic. 2006, 67, 645–652. [Google Scholar] [CrossRef]
- Prato, E.; Danieli, A.; Maffia, M.; Biandolino, F. Lipid and fatty acid compositions of Mytilus galloprovincialis cultured in the Mar Grande of Taranto (Southern Italy): Feeding strategies and trophic relationships. Zool. Stud. 2010, 49, 211–219. [Google Scholar]
- Cardenas, B.; Aranda, A. A review of reproductive patterns of bivalve mollusks from Mexico. Bull. Mar. Sci. 2000, 66, 13–27. [Google Scholar]
- Lista, M.; Lodeiros, C.; Prieato, A.; Himmelman, J.H.; Castaneda, J.; Gacia, N.; Velazkuez, C. Relation on seasonal changes in the mass of the gonad and somatic tissues of the zebra ark shell are zebra to environmental factors. J. Shellfish Res. 2006, 25, 969–973. [Google Scholar] [CrossRef]
- Freites, L.; Fernandez-Reiriz, M.J.; Labarta, U. Fatty acid profiles of Mytilus galloprovincialis (Lmk) mussel of subtidal and rocky shore origin. Comp. Biochem. Physiol. Part B 2006, 132, 453–461. [Google Scholar] [CrossRef]
- Leise, E.M.; Froggett, S.J.; Nearhoof, J.E.; Cahoon, L.B. Diatom cultures exhibit differential effects on larval metamorphosis in the marine gastropod Ilvanassa obsolete (sav). J. Exp. Mar. Biol. Ecol. 2009, 379, 51–59. [Google Scholar] [CrossRef]
- Ventrella, V.; Pirini, M.; Pagliarani, A.; Trombetti, F.; Manuzzi, M.P. Effect of temporal and geographical factors on fatty acid composition of M. galloprovincialis from the Adriatic Sea. Comp. Biochem. Physiol. Part B 2008, 149, 241–250. [Google Scholar] [CrossRef]
- Liu, W.; Kong, L. Reproductive cycle and seasonal variations in lipid content and fatty acid composition in gonad of the cockle Fulvia mutica in relation to temperature and food. J. Ocean Univ. China 2013, 12, 427–433. [Google Scholar] [CrossRef]
- Palacios, E.; Racotta, I.S.; Arjona, O.; Marty, Y.; Le Coz, J.R.; Moal, J.; Samain, J.F. Lipid composition of the pacific lion-paw scallop, Nodipecten subnodosus, in relation to gametogenesis 2. Lipid classes and sterols. Aquaculture 2007, 266, 266–273. [Google Scholar] [CrossRef]
- McLean, C.H.; Bulling, K.R. Differences in lipid profile of New Zealand marine species over four seasons. J. Food Lipids 2005, 12, 313–326. [Google Scholar] [CrossRef]
- Mita, M.; Yasumasu, I.; Nakamura, M. Energy metabolism of sea urchin spermatozoa: The endogenous substrate and ultrastructural correlates. J. Biochem. 1994, 116, 108–113. [Google Scholar] [CrossRef] [PubMed]
- Sewell, M.A. Utilization of lipids during early development of the sea urchin Evechinus chloroticus. Mar. Ecol. Prog. Ser. 2005, 304, 133–142. [Google Scholar] [CrossRef]
- Bolognini, L.; Donato, F.; Lucchetti, A.; Olivotto, I.; Truzzi, C.; Randazzo, B.; Antonucci, M.; Illuminati, S.; Grati, F. A multidisciplinary approach to study the reproductive biology of wild prawns. Sci. Rep. 2017, 7, 16781. [Google Scholar] [CrossRef] [PubMed]
- Monroig, O.; Tocher, D.R.; Navarro, J.C. Biosynthesis of polyunsaturated fatty acids in marine invertebrates: Recent advances in molecular mechanisms. Mar. Drugs 2013, 11, 3998–4018. [Google Scholar] [CrossRef] [PubMed]
- Zhukova, N.V. The pathway of the biosynthesis of non-methylene-interrupted dienoic fatty acids in mollusks. Comp. Biochem. Physiol. Part B 1995, 100, 801–804. [Google Scholar] [CrossRef]
- Barnathan, G. Non-methylene-interrupted fatty acids from marine invertebrates: Occurrence, characterization and biological properties. Biochimie 2009, 91, 671–678. [Google Scholar] [CrossRef]
- Beninger, P.G.; Lucus, A. Seasonal variations in condition, reproductive activity, and gross biochemical composition of two species of adult clam reared in a common habitat: Tapes decussarus L. (Jeffreys) and Tapes philippinarum (Adams & Reeve). J. Exp. Mar. Biol. Ecol. 1984, 79, 19–37. [Google Scholar] [CrossRef]
- Galap, C.; Leboulenger, F.; Grillot, J.P. Seasonal variations in biochemical constituents during the reproductive cycle of the female dog cockle Glycymeris glycymeris. Mar. Biol. 1997, 129, 625–634. [Google Scholar] [CrossRef]
- Arakelovaa, E.S.; Chebotarevab, M.A.; Zabelinskiib, S.A.; Ivanovab, V.P. Effect of habitat and motor activity of molluscs on fatty acid composition of triglycerides and phospholipids. J. Evolut. Biochem. Physiol. 2009, 45, 51–57. [Google Scholar] [CrossRef]
- Ehteshami, F.; Christianus, A.; Rameshi, H.; Harmin, S.A.; Saad, C.R. Proximate and fatty acid composition of the gonads of wild versus hatchery-conditioned Pinctada margaritifera broodstock. Aquac. Nutr. 2011, 17, 675–682. [Google Scholar] [CrossRef]
- Fernández-Reiriz, M.J.; Irisarri, J.; Labarta, U. Fatty acid composition of female and male clams (Ruditapes philippinarum): Energy intake and temperature reliance. Aquac. Nutr. 2017, 23, 119–128. [Google Scholar] [CrossRef]













© 2019 by the authors. Licensee MDPI, Basel, Switzerland. This article is an open access article distributed under the terms and conditions of the Creative Commons Attribution (CC BY) license (http://creativecommons.org/licenses/by/4.0/).
Share and Cite
Asaduzzaman, M.; Rahi Noor, A.; Rahman, M.M.; Akter, S.; Hoque, N.F.; Shakil, A.; Wahab, M.A. Reproductive Biology and Ecology of the Green Mussel Perna viridis: A Multidisciplinary Approach. Biology 2019, 8, 88. https://doi.org/10.3390/biology8040088
Asaduzzaman M, Rahi Noor A, Rahman MM, Akter S, Hoque NF, Shakil A, Wahab MA. Reproductive Biology and Ecology of the Green Mussel Perna viridis: A Multidisciplinary Approach. Biology. 2019; 8(4):88. https://doi.org/10.3390/biology8040088
Chicago/Turabian StyleAsaduzzaman, Md, Aysha Rahi Noor, Md Moshiur Rahman, Sumi Akter, Nayeema Ferdausy Hoque, Abrar Shakil, and Md Abdul Wahab. 2019. "Reproductive Biology and Ecology of the Green Mussel Perna viridis: A Multidisciplinary Approach" Biology 8, no. 4: 88. https://doi.org/10.3390/biology8040088
APA StyleAsaduzzaman, M., Rahi Noor, A., Rahman, M. M., Akter, S., Hoque, N. F., Shakil, A., & Wahab, M. A. (2019). Reproductive Biology and Ecology of the Green Mussel Perna viridis: A Multidisciplinary Approach. Biology, 8(4), 88. https://doi.org/10.3390/biology8040088

