Isolation and Characterization of Laccase from Trichoderma asperellum Tasjk65
Simple Summary
Abstract
1. Introduction
2. Materials and Methods
2.1. Materials
2.2. Screening of Laccase-Producing Strains
2.3. Identification of Laccase-Producing Trichoderma spp.
2.4. Laccase Activity and Characterization
2.4.1. Determination of Laccase Activity
2.4.2. Optimization of Laccase Production Conditions
2.4.3. Laccase Purification
2.4.4. Enzyme Kinetic Parameters
2.4.5. Effect of Temperature and pH on the Activity
2.5. Degradation of Dyes by Laccase Enzyme
2.6. Genetic and Functional Analysis
2.6.1. Protein Sequence Analysis
2.6.2. Sequence Determination Using Mass Spectrometry
2.6.3. Vector Construction and Gene Knockout
2.7. Statistical Analysis
3. Results
3.1. Identification of Laccase-Producing Trichoderma Strain
3.2. The Optimal Culture Conditions for the Production of Laccase Enzyme
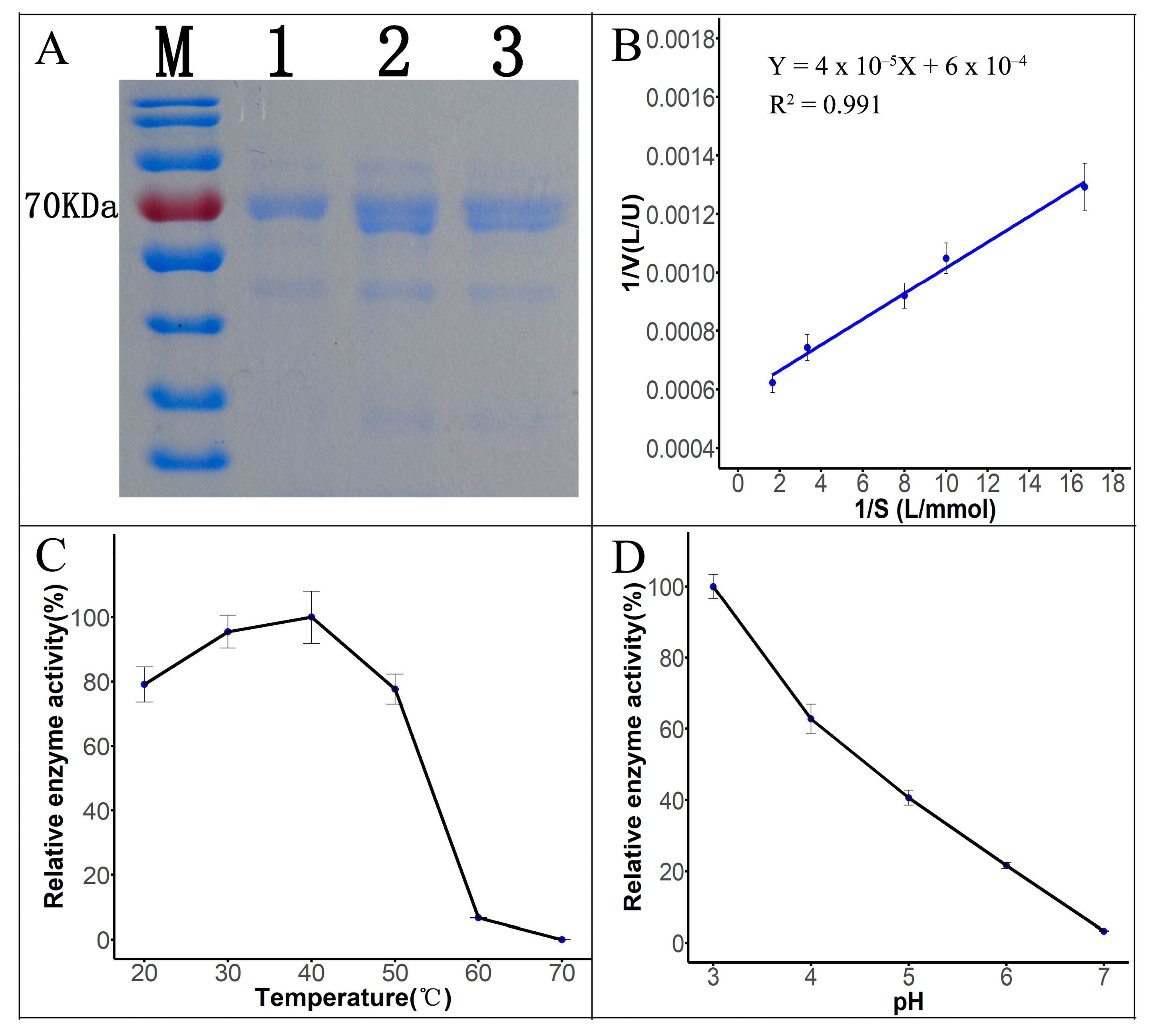
3.3. Purification and Enzymatic Characterization of Laccase from Tasjk65
3.3.1. Laccase Isolation and Purification
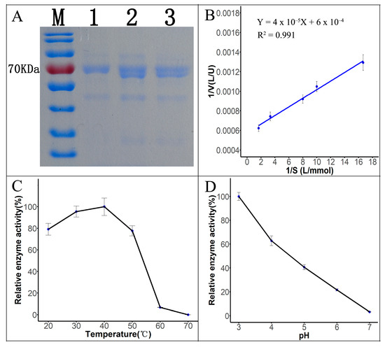
3.3.2. Laccase SDS-PAGE Protein Gel Electrophoresis
3.3.3. Analysis of Enzymatic Properties
3.3.4. Degradation of Dyes
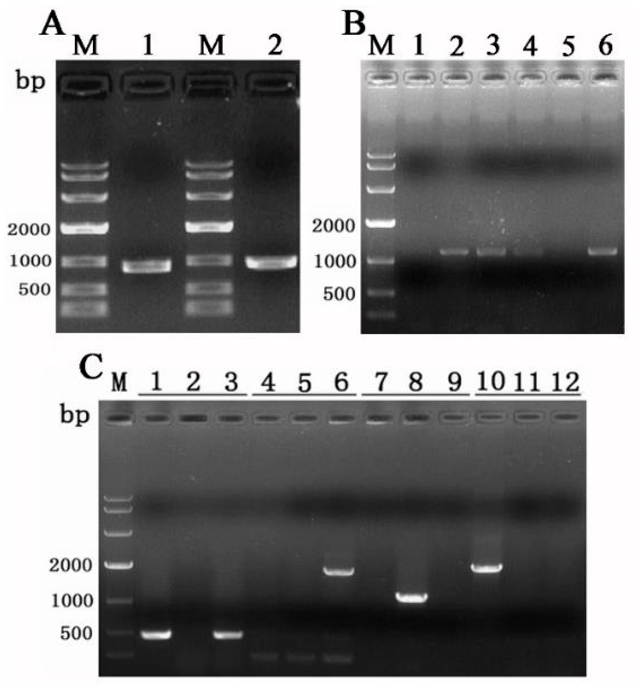
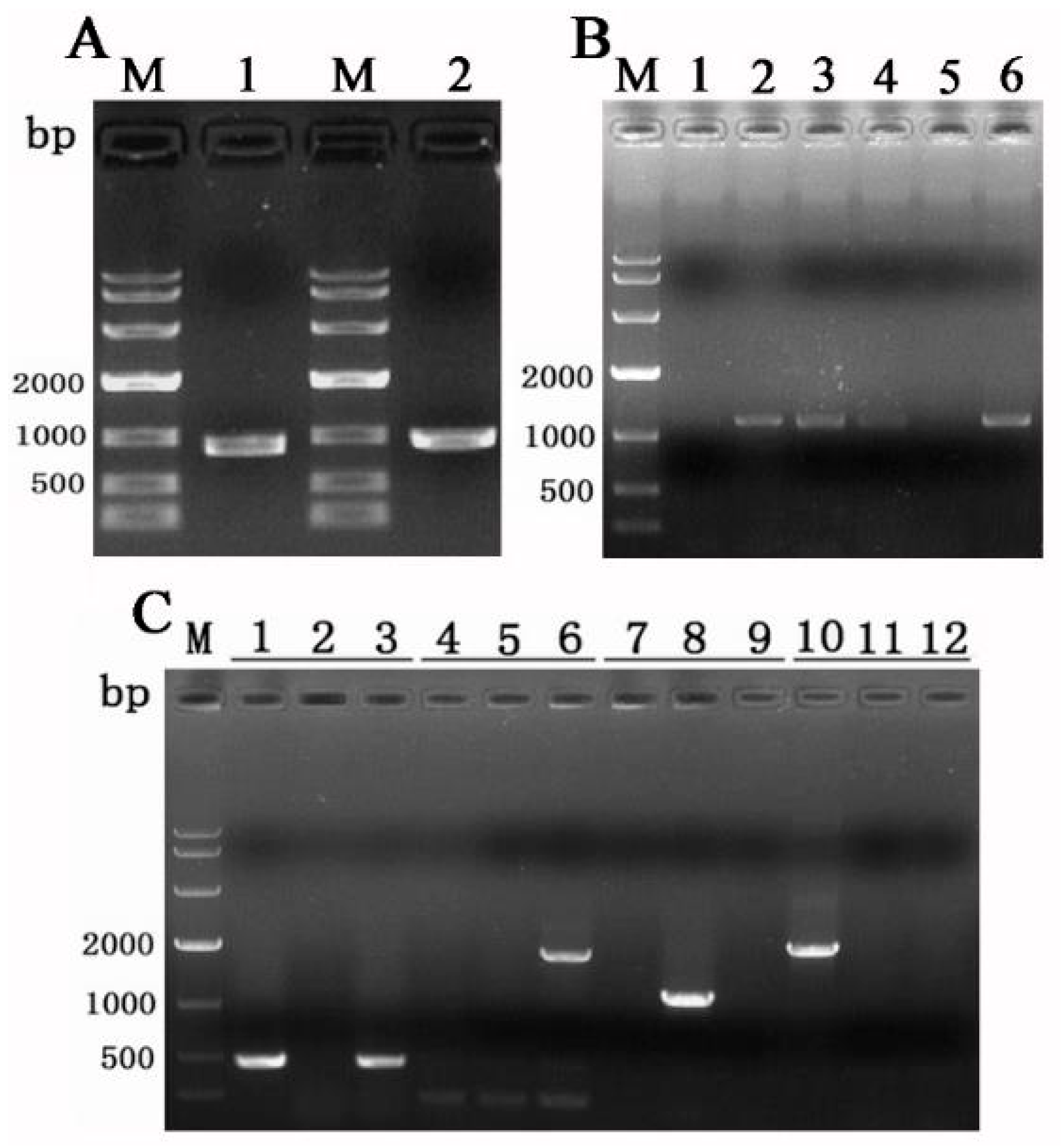
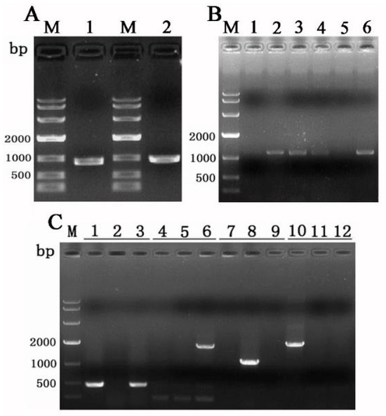
3.4. Cloning of Laccase-Related Genes
3.5. Functional Analysis of the Tasla01 Gene
3.5.1. Gene Knockout
3.5.2. Functional Analysis
4. Analysis and Discussion
5. Conclusions
Supplementary Materials
Author Contributions
Funding
Institutional Review Board Statement
Informed Consent Statement
Data Availability Statement
Conflicts of Interest
Appendix A

| Primers | Sequence (5′-3′) | Size (bp) | Note |
|---|---|---|---|
| Tef1F | CATCGAGAAGTTCGAGAAGG | 1366 | Identification of strain. |
| Tef1R | AACTTGCAGGCAATGTGG | ||
| Tasla01U | ATGAGCAATGTGACTGGG | 1169 | Amplification of ORF of Tasla01. |
| Tasla01L | TTACAAGCCACTATCAAT | ||
| PsTasla01SU | GGCTGCAGGTTTGCTCGTAGACTGGA | 889 | Amplification of the upstream homologous arm of the Tasla01 (PstI/XbaI). |
| XbTasla01SL | GGTCTAGATGTTTTCTTTACCAAGTC | ||
| BaTasla01XU | GGGGATCCGAGGGAGAACTGGTGTAT | 966 | Amplification of the downstream homologous arm of Tasla01 (BamHI/KpnI). |
| KpTasla01XL | GGGGTACCTGATGATGTGCTGGAACT | ||
| hphU | TGTCCTGCGGGTAAATAGC | 476 | Amplification of the hygromycin B resistance gene. |
| hphL | TTGTTGGAGCCGAAATCC | ||
| 13rbU | TAGCATTCGCCATTCAGG | Amplification of the side sequence of the vector. | |
| Yzla01U | ATGATCAGGCAACTGACTT | Verify gene knockout. |
| Components | Volume (μL) | Final Concentrations |
|---|---|---|
| TaKaRa Ex Taq | 0.25 | 1.25 U |
| 10×Ex Taq Buffer (Mg2+ plus) | 5 | 2 mmol/L |
| dNTP Mixture | 4 | 0.25 mmol/L |
| Template DNA | 0.5 | 100 ng |
| Forward primer | 0.5 | 1 μmol/L |
| Reverse primer | 0.5 | 1 μmol/L |
| ddH2O | 22.5 | -- |
| Step | Temperature | Time | Note |
|---|---|---|---|
| 1 Pre-denaturation | 94 °C | 4 min | step2–4 32 cycles |
| 2 Denaturation | 94 °C | 30 s | |
| 3 Annealing | 59 °C | 30 s | |
| 4 Extension | 72 °C | 1 kb/min | |
| 5 Extension | 72 °C | 5 min | |
| 10 °C | -- |
References
- Mahuri, M.; Paul, M.; Thatoi, H. A review of microbial laccase production and activity toward different biotechnological applications. Syst. Microbiol. Biomanufacturing 2023, 3, 533–551. [Google Scholar] [CrossRef]
- Abd El Monssef, R.A.; Hassan, E.A.; Ramadan, E.M. Production of laccase enzyme for their potential application to decolorize fungal pigments on aging paper and parchment. Ann. Agric. Sci. 2016, 61, 145–154. [Google Scholar] [CrossRef]
- Cázares-García, S.V.; Vázquez-Garcidueñas, M.S.; Vázquez-Marrufo, G. Structural and phylogenetic analysis of laccases from Trichoderma: A bioinformatic approach. PLoS ONE 2013, 8, e55295. [Google Scholar] [CrossRef] [PubMed]
- Jones, S.M.; Solomon, E.I. Electron transfer and reaction mechanism of laccases. Cell. Mol. Life Sci. 2015, 72, 869–883. [Google Scholar] [CrossRef]
- Bucchieri, D.; Mangiagalli, M.; Martani, F.; Butti, P.; Lotti, M.; Serra, I.; Branduardi, P. A novel laccase from Trametes polyzona with high performance in the decolorization of textile dyes. AMB Express 2024, 14, 32. [Google Scholar] [CrossRef]
- Ostadhadi-Dehkordi, S.; Tabatabaei-Sameni, M.; Forootanfar, H.; Kolahdouz, S.; Ghazi-Khansari, M.; Faramarzi, M.A. Degradation of some benzodiazepines by a laccase-mediated system in aqueous solution. Bioresour. Technol. 2012, 125, 344–347. [Google Scholar] [CrossRef]
- Rovaletti, A.; De Gioia, L.; Fantucci, P.; Greco, C.; Vertemara, J.; Zampella, G.; Arrigoni, F.; Bertini, L. Recent theoretical insights into the oxidative degradation of biopolymers and plastics by metalloenzymes. Int. J. Mol. Sci. 2023, 24, 6368. [Google Scholar] [CrossRef]
- Janusz, G.; Skwarek, E.; Pawlik, A.J.W. Potential of Laccase as a Tool for Biodegradation of Wastewater Micropollutants. Water 2023, 15, 3770. [Google Scholar] [CrossRef]
- Zimmermann, Y.-S.; Shahgaldian, P.; Corvini, P.F.; Hommes, G. Sorption-assisted surface conjugation: A way to stabilize laccase enzyme. Appl. Microbiol. Biotechnol. 2011, 92, 169–178. [Google Scholar] [CrossRef]
- Arregui, L.; Ayala, M.; Gómez-Gil, X.; Gutiérrez-Soto, G.; Hernández-Luna, C.E.; Herrera De Los Santos, M.; Levin, L.; Rojo-Domínguez, A.; Romero-Martínez, D.; Saparrat, M.C. Laccases: Structure, function, and potential application in water bioremediation. Microb. Cell Factories 2019, 18, 1–33. [Google Scholar] [CrossRef]
- Agrawal, K.; Chaturvedi, V.; Verma, P. Fungal laccase discovered but yet undiscovered. Bioresour. Bioprocess. 2018, 5, 1–12. [Google Scholar] [CrossRef]
- Janusz, G.; Pawlik, A.; Świderska-Burek, U.; Polak, J.; Sulej, J.; Jarosz-Wilkołazka, A.; Paszczyński, A. Laccase properties, physiological functions, and evolution. Int. J. Mol. Sci. 2020, 21, 966. [Google Scholar] [CrossRef] [PubMed]
- Bilal, M.; Rasheed, T.; Nabeel, F.; Iqbal, H.M.; Zhao, Y. Hazardous contaminants in the environment and their laccase-assisted degradation–a review. J. Environ. Manag. 2019, 234, 253–264. [Google Scholar] [CrossRef]
- Zhu, J.; Zhang, H.; Huang, K.; Guo, R.; Zhao, J.; Xie, H.; Zhu, J.; Gu, H.; Chen, H.; Li, G. Comprehensive analysis of the laccase gene family in tea plant highlights its roles in development and stress responses. BMC Plant Biol. 2023, 23, 129. [Google Scholar] [CrossRef]
- Zhuo, R.; Fan, F. A comprehensive insight into the application of white rot fungi and their lignocellulolytic enzymes in the removal of organic pollutants. Sci. Total Environ. 2021, 778, 146132. [Google Scholar] [CrossRef] [PubMed]
- Mateljak, I.; Monza, E.; Lucas, M.F.; Guallar, V.; Aleksejeva, O.; Ludwig, R.; Leech, D.; Shleev, S.; Alcalde, M. Increasing redox potential, redox mediator activity, and stability in a fungal laccase by computer-guided mutagenesis and directed evolution. ACS Catal. 2019, 9, 4561–4572. [Google Scholar] [CrossRef]
- Gao, X.; Wei, M.; Zhang, X.; Xun, Y.; Duan, M.; Yang, Z.; Zhu, M.; Zhu, Y.; Zhuo, R. Copper removal from aqueous solutions by white rot fungus Pleurotus ostreatus GEMB-PO1 and its potential in co-remediation of copper and organic pollutants. Bioresour. Technol. 2024, 395, 130337. [Google Scholar] [CrossRef]
- Japanis, F.G.; Vetaryan, S.; Raja, N.K.K.; Mokhtar, M.A.A.; Fishal, E.M.M. The Impact of Trichoderma spp. on agriculture and their identification. Malays. Appl. Biol. 2022, 51, 1–15. [Google Scholar] [CrossRef]
- Cummings, N.; Ambrose, A.; Braithwaite, M.; Bissett, J.; Roslan, H.; Abdullah, J.; Stewart, A.; Agbayani, F.; Steyaert, J.; Hill, R. Diversity of root-endophytic Trichoderma from Malaysian Borneo. Mycol. Prog. 2016, 15, 1–14. [Google Scholar] [CrossRef]
- Abd El-latif, A.S.; Zohri, A.-N.A.; El-Aref, H.M.; Mahmoud, G.A.-E.J.M.C.F. Kinetic studies on optimized extracellular laccase from Trichoderma harzianum PP389612 and its capabilities for azo dye removal. Microb. Cell Factories 2024, 23, 150. [Google Scholar] [CrossRef]
- Krastanov, A.; Gochev, V.; Girova, T. Nutritive medium dependent biosynthesis of extracellular laccase from Trichoderma spp. Bulg. J. Agric. Sci. 2007, 13, 349–355. [Google Scholar]
- Gochev, V.; Krastanov, A. Isolation of laccase producing Trichoderma spp. Bulg. J. Agric. Sci. 2007, 13, 171–176. [Google Scholar]
- Shraddha; Shekher, R.; Sehgal, S.; Kamthania, M.; Kumar, A. Laccase: Microbial sources, production, purification, and potential biotechnological applications. Enzym. Res. 2011, 2011, 217861. [Google Scholar] [CrossRef] [PubMed]
- Zhao, C.; Deng, L.; Fang, H. Mixed culture of recombinant Trichoderma reesei and Aspergillus niger for cellulase production to increase the cellulose degrading capability. Biomass Bioenergy 2018, 112, 93–98. [Google Scholar] [CrossRef]
- Sadhasivam, S.; Savitha, S.; Swaminathan, K. Deployment of Trichoderma harzianum WL1 laccase in pulp bleaching and paper industry effluent treatment. J. Clean. Prod. 2010, 18, 799–806. [Google Scholar] [CrossRef]
- Siddiquee, S. Practical Handbook of the Biology and Molecular Diversity of Trichoderma Species from Tropical Regions; Springer: Berlin/Heidelberg, Germany, 2017. [Google Scholar]
- De Groot, M.J.; Bundock, P.; Hooykaas, P.J.; Beijersbergen, A.G. Agrobacterium tumefaciens-mediated transformation of filamentous fungi. Nat. Biotechnol. 1998, 16, 839–842. [Google Scholar] [CrossRef]
- Wang, L.; Zhuang, W.-Y. Designing primer sets for amplification of partial calmodulin genes from penicillia. Mycosystema 2004, 23, 466–473. [Google Scholar]
- Zhu, Z.; Zhuang, W. Three new species of Trichoderma with hyaline ascospores from China. Mycologia 2015, 107, 328–345. [Google Scholar] [CrossRef]
- Kumar, S.; Stecher, G.; Tamura, K. MEGA7: Molecular evolutionary genetics analysis version 7.0 for bigger datasets. Mol. Biol. Evol. 2016, 33, 1870–1874. [Google Scholar] [CrossRef]
- Bradford, M.M. A rapid and sensitive method for the quantitation of microgram quantities of protein utilizing the principle of protein-dye binding. Anal. Biochem. 1976, 72, 248–254. [Google Scholar] [CrossRef]
- Nakayashiki, H.; Hanada, S.; Quoc, N.B.; Kadotani, N.; Tosa, Y.; Mayama, S. RNA silencing as a tool for exploring gene function in ascomycete fungi. Fungal Genet. Biol. 2005, 42, 275–283. [Google Scholar] [CrossRef] [PubMed]
- Umar, A. Screening and evaluation of laccase produced by different Trichoderma species along with their phylogenetic relationship. Arch. Microbiol. 2021, 203, 4319–4327. [Google Scholar] [CrossRef] [PubMed]
- Mohsen, L.Y.; Lilo, R.A.; Alwan, Z.H.; Al-Mamoori, A.M. Production and Purification of Laccase enzyme by Trichoderma viride. J. Univ. Babylon Pure Appl. Sci. 2022, 30, 194–207. [Google Scholar] [CrossRef]
- Umar, A.; Elshikh, M.S.; Aljowaie, R.M.; Hussein, J.M.; Dufossé, L.; Wu, C.; Lu, J. Competitive antagonistic action of laccase between Trichoderma species and the newly identified wood pathogenic Ganoderma camelum. Front. Microbiol. 2024, 15, 1408521. [Google Scholar] [CrossRef]
- Gutiérrez-Soto, G.; Hernández-Luna, C.E.; López-Sandin, I.; Parra-Saldívar, R.; Elizondo-Luevano, J.H. Purification and Biochemical Characterization of Trametes hirsuta CS5 Laccases and Its Potential in Decolorizing Textile Dyes as Emerging Contaminants. Environments 2025, 12, 16. [Google Scholar] [CrossRef]
- Baldrian, P. Fungal laccases—Occurrence and properties. FEMS Microbiol. Rev. 2006, 30, 215–242. [Google Scholar] [CrossRef]
- Aza, P.; Camarero, S. Fungal Laccases: Fundamentals, Engineering and Classification Update. Biomolecules 2023, 13, 1716. [Google Scholar] [CrossRef]
- Gräff, M.; Buchholz, P.C.F.; Le Roes-Hill, M.; Pleiss, J. Multicopper oxidases: Modular structure, sequence space, and evolutionary relationships. Proteins 2020, 88, 1329–1339. [Google Scholar] [CrossRef]
- Wu, Q.; Ye, Y.; Liu, Y.; He, Y.; Li, X.; Yang, S.; Xu, T.; Hu, X.; Zeng, G. Mr-lac3 and Mr-lcc2 in Metarhizium robertsii Regulate Conidiation and Maturation, Enhancing Tolerance to Abiotic Stresses and Pathogenicity. J. Fungi 2025, 11, 176. [Google Scholar] [CrossRef]







| Samples | Volume (mL) | Total Activity (U) | Total Protein (mg) | Specific Activity (U·mg−1) | Recovery Rate (%) | Purification Fold |
|---|---|---|---|---|---|---|
| Crude enzyme solution | 122 | 160.78 | 1.006 | 159.82 | 100 | 1 |
| Purification through ammonium sulfate precipitation and dialysis | 10 | 44.33 | 0.161 | 275.34 | 27.6 | 1.72 |
| Purification by DEAE-cellulose anion-exchange chromatography | 5 | 40.32 | 0.028 | 1440.00 | 25.1 | 9.01 |
| Sequence Number | Genes | Score | Mass (Da) | Matches | emPAI | Number of Introns | Size of mRNA (bp) | Gene Annotation |
|---|---|---|---|---|---|---|---|---|
| 1 | Tasla01 | 4307 | 33,002 | 186 (172) | 260.12 | 2 | 900 | GO:0005507; copper ion binding |
| 2 | Tasla02 | 1814 | 67,356 | 34 (33) | 2.29 | 3 | 1893 | GO:0005976; polysaccharide metabolic process |
| 3 | Tasla03 | 424 | 40,279 | 11 (10) | 1.2 | 4 | 1098 | GO:0005976; polysaccharide metabolic process |
| 4 | Tasla04 | 493 | 104,519 | 20 (18) | 0.4 | 2 | 2841 | GO:0005975; carbohydrate metabolic process |
| 5 | Tasla05 | 302 | 49,771 | 11 (10) | 0.9 | 4 | 1425 | GO:0055114; oxidation-reduction process |
| 6 | Tasla06 | 298 | 52,682 | 11 (10) | 0.83 | 2 | 1446 | GO:0019050; biological process |
| 7 | Tasla07 | 256 | 53,629 | 7 (7) | 0.52 | 0 | 1476 | GO:0004553; hydrolase activity |
| 8 | Tasla08 | 246 | 62,771 | 7 (7) | 0.43 | 2 | 1734 | GO:0016884; carbon–nitrogen ligase activity |
| 9 | Tasla09 | 150 | 93,587 | 4 (4) | 0.15 | 2 | 2649 | GO:0016020; membrane |
Disclaimer/Publisher’s Note: The statements, opinions and data contained in all publications are solely those of the individual author(s) and contributor(s) and not of MDPI and/or the editor(s). MDPI and/or the editor(s) disclaim responsibility for any injury to people or property resulting from any ideas, methods, instructions or products referred to in the content. |
© 2025 by the authors. Licensee MDPI, Basel, Switzerland. This article is an open access article distributed under the terms and conditions of the Creative Commons Attribution (CC BY) license (https://creativecommons.org/licenses/by/4.0/).
Share and Cite
Fu, K.; Fan, L.; Li, Q.; Ji, J.; Huang, Z.; Huang, T. Isolation and Characterization of Laccase from Trichoderma asperellum Tasjk65. Biology 2025, 14, 691. https://doi.org/10.3390/biology14060691
Fu K, Fan L, Li Q, Ji J, Huang Z, Huang T. Isolation and Characterization of Laccase from Trichoderma asperellum Tasjk65. Biology. 2025; 14(6):691. https://doi.org/10.3390/biology14060691
Chicago/Turabian StyleFu, Kehe, Lili Fan, Qi Li, Jiaming Ji, Zhenying Huang, and Ting Huang. 2025. "Isolation and Characterization of Laccase from Trichoderma asperellum Tasjk65" Biology 14, no. 6: 691. https://doi.org/10.3390/biology14060691
APA StyleFu, K., Fan, L., Li, Q., Ji, J., Huang, Z., & Huang, T. (2025). Isolation and Characterization of Laccase from Trichoderma asperellum Tasjk65. Biology, 14(6), 691. https://doi.org/10.3390/biology14060691

