Investigating Development and Defense Systems in Early Reproductive Stages of Male and Female Gonads in Black Scorpionfish Scorpaena porcus (Linnaeus, 1758)
Simple Summary
Abstract
1. Introduction
2. Materials and Methods
2.1. Specimen Collection and Sample Processing
2.2. Tissue Preparation for Histology and Histochemistry
2.3. Identification of Piscidin-1 Ortholog Protein in Pterois Miles Through In Silico Prediction
2.4. Primary Antibody
2.5. Immunoperoxidase
2.6. Immunofluorescence
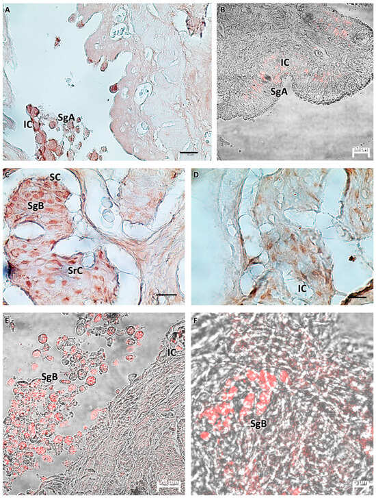
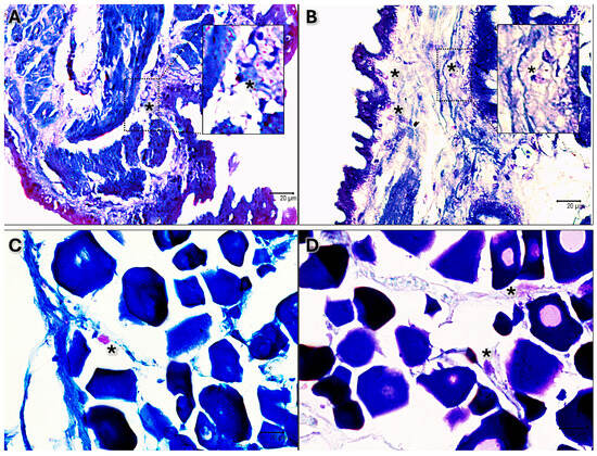
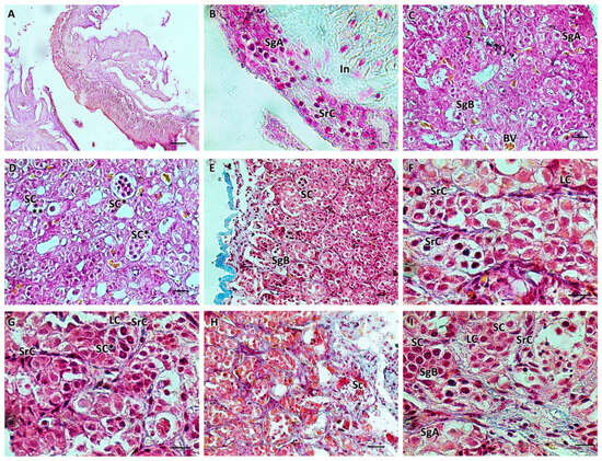
3. Results
4. Discussion
5. Conclusions
Author Contributions
Funding
Institutional Review Board Statement
Informed Consent Statement
Data Availability Statement
Conflicts of Interest
References
- Ganias, K.; Mezarli, C.; Voultsiadou, E. Aristotle as an Ichthyologist: Exploring Aegean Fish Diversity 2400 Years Ago. Fish Fish. 2017, 18, 1038–1055. [Google Scholar] [CrossRef]
- Follesa, M.C.; Carbonara, P. (Eds.) Atlas of the Maturity Stages of Mediterranean Fishery Resources; Food and Agriculture Organization of the United Nations: Rome, Italy, 2019; ISBN 978-92-5-131172-1. [Google Scholar]
- Chaves-Pozo, E.; Mulero, V.; Meseguer, J.; Ayala, A.G. Professional Phagocytic Granulocytes of the Bony Fish Gilthead Seabream Display Functional Adaptation to Testicular Microenvironment. J. Leukoc. Biol. 2005, 78, 345–351. [Google Scholar] [CrossRef] [PubMed]
- Chaves-Pozo, E.; Montero, J.; Cuesta, A.; Tafalla, C. Viral Hemorrhagic Septicemia and Infectious Pancreatic Necrosis Viruses Replicate Differently in Rainbow Trout Gonad and Induce Different Chemokine Transcription Profiles. Dev. Comp. Immunol. 2010, 34, 648–658. [Google Scholar] [CrossRef] [PubMed]
- Brogden, K.A.; Ackermann, M.; McCray, P.B.; Tack, B.F. Antimicrobial Peptides in Animals and Their Role in Host Defences. Int. J. Antimicrob. Agents 2003, 22, 465–478. [Google Scholar] [CrossRef]
- Smith, V.J.; Fernandes, J.M. Antimicrobial Peptides of the Innate Immune System. Fish Def. 2009, 1, 241–275. [Google Scholar] [CrossRef]
- Mihajlovic, M.; Lazaridis, T. Antimicrobial Peptides Bind More Strongly to Membrane Pores. Biochim. Biophys. Acta (BBA)-Biomembr. 2010, 1798, 1494–1502. [Google Scholar] [CrossRef]
- Wang, L.; Qin, T.; Zhang, Y.; Zhang, H.; Hu, J.; Cheng, L.; Xia, X. Antimicrobial Peptides from Fish: Main Forces for Reducing and Substituting Antibiotics. Turk. J. Fish. Aquat. Sci. 2023, 24, 23922. [Google Scholar] [CrossRef]
- Hancock, R.E.W.; Diamond, G. The Role of Cationic Antimicrobial Peptides in Innate Host Defences. Trends Microbiol. 2000, 8, 402–410. [Google Scholar] [CrossRef]
- Jin, J.-Y.; Zhou, L.; Wang, Y.; Li, Z.; Zhao, J.-G.; Zhang, Q.-Y.; Gui, J.-F. Antibacterial and Antiviral Roles of a Fish β-Defensin Expressed Both in Pituitary and Testis. PLoS ONE 2010, 5, e12883. [Google Scholar] [CrossRef]
- Chaves-Pozo, E.; Zou, J.; Secombes, C.J.; Cuesta, A.; Tafalla, C. The Rainbow Trout (Oncorhynchus mykiss) Interferon Response in the Ovary. Mol. Immunol. 2010, 47, 1757–1764. [Google Scholar] [CrossRef] [PubMed]
- Noga, E.J.; Ullal, A.J.; Corrales, J.; Fernandes, J.M. Application of Antimicrobial Polypeptide Host Defenses to Aquaculture: Exploitation of Downregulation and Upregulation Responses. Comp. Biochem. Physiol. Part D Genom. Proteom. 2011, 6, 44–54. [Google Scholar] [CrossRef] [PubMed]
- Mulero, I.; Noga, E.J.; Meseguer, J.; García-Ayala, A.; Mulero, V. The Antimicrobial Peptides Piscidins Are Stored in the Granules of Professional Phagocytic Granulocytes of Fish and Are Delivered to the Bacteria-Containing Phagosome upon Phagocytosis. Dev. Comp. Immunol. 2008, 32, 1531–1538. [Google Scholar] [CrossRef]
- Corrales, J.; Mulero, I.; Mulero, V.; Noga, E.J. Detection of Antimicrobial Peptides Related to Piscidin 4 in Important Aquacultured Fish. Dev. Comp. Immunol. 2010, 34, 331–343. [Google Scholar] [CrossRef] [PubMed]
- Alesci, A.; Pergolizzi, S.; Fumia, A.; Calabrò, C.; Lo Cascio, P.; Lauriano, E.R. Mast Cells in Goldfish (Carassius auratus) Gut: Immunohistochemical Characterization. Acta Zool. 2022, 104, 366–379. [Google Scholar] [CrossRef]
- Alesci, A.; Capillo, G.; Mokhtar, D.M.; Fumia, A.; D’Angelo, R.; Lo Cascio, P.; Albano, M.; Guerrera, M.C.; Sayed, R.K.A.; Spanò, N.; et al. Expression of Antimicrobic Peptide Piscidin1 in Gills Mast Cells of Giant Mudskipper Periophthalmodon schlosseri (Pallas, 1770). Int. J. Mol. Sci. 2022, 23, 13707. [Google Scholar] [CrossRef] [PubMed]
- Alesci, A.; Albano, M.; Savoca, S.; Mokhtar, D.M.; Fumia, A.; Aragona, M.; Lo Cascio, P.; Hussein, M.M.; Capillo, G.; Pergolizzi, S.; et al. Confocal Identification of Immune Molecules in Skin Club Cells of Zebrafish (Danio rerio, Hamilton 1882) and Their Possible Role in Immunity. Biology 2022, 11, 1653. [Google Scholar] [CrossRef] [PubMed]
- Alesci, A.; Pergolizzi, S.; Capillo, G.; Lo Cascio, P.; Lauriano, E.R. Rodlet Cells in Kidney of Goldfish (Carassius auratus, Linnaeus 1758): A Light and Confocal Microscopy Study. Acta Histochem. 2022, 124, 151876. [Google Scholar] [CrossRef]
- Fernandes, J.M.; Ruangsri, J.; Kiron, V. Atlantic Cod Piscidin and Its Diversification through Positive Selection. PLoS ONE 2010, 5, e9501. [Google Scholar] [CrossRef] [PubMed]
- Ruangsri, J.; Salger, S.A.; Caipang, C.M.; Kiron, V.; Fernandes, J.M. Differential Expression and Biological Activity of Two Piscidin Paralogues and a Novel Splice Variant in Atlantic Cod (Gadus morhua L.). Fish Shellfish Immunol. 2012, 32, 396–406. [Google Scholar] [CrossRef]
- Ruangsri, J.; Fernandes, J.M.O.; Rombout, J.H.W.M.; Brinchmann, M.F.; Kiron, V. Ubiquitous Presence of Piscidin-1 in Atlantic Cod as Evidenced by Immunolocalisation. BMC Vet. Res. 2012, 8, 46. [Google Scholar] [CrossRef]
- Zaccone, G.; Capillo, G.; Fernandes, J.M.O.; Kiron, V.; Lauriano, E.R.; Alesci, A.; Lo Cascio, P.; Guerrera, M.C.; Kuciel, M.; Zuwala, K. Expression of the Antimicrobial Peptide Piscidin 1 and Neuropeptides in Fish Gill and Skin: A Potential Participation in Neuro-Immune Interaction. Mar. Drugs 2022, 20, 145. [Google Scholar] [CrossRef] [PubMed]
- Bilgin, S.; Çelik, E.Ş. Age, Growth and Reproduction of the Black Scorpionfish, Scorpaena porcus (Pisces, Scorpaenidae), on the Black Sea Coast of Turkey. J. Appl. Ichthyol. 2009, 25, 55–60. [Google Scholar] [CrossRef]
- Fricke, R.; Golani, D.; Appelbaum-Golani, B.; Zajonz, U. Scorpaena decemradiata New Species (Teleostei: Scorpaenidae) from the Gulf of Aqaba, Northern Red Sea, a Species Distinct from Scorpaena porcus. Sci. Mar. 2018, 82, 169–184. [Google Scholar] [CrossRef]
- Pashkov, A.N.; Shevchenko, N.F.; Oven, L.S.; Giragosov, V.E.; Kruglov, M.V. Distribution, Numbers, and Principal Population Indexes of Scorpaena porcus under Anthropogenic Pollution of the Black Sea. J. Ichthyol. 1999, 39, 634–641. [Google Scholar]
- Harmelin-Vivien, M.L.; Kaim-Malka, R.A.; Ledoyer, M.; Jacob-Abraham, S.S. Food Partitioning among Scorpaenid Fishes in Mediterranean Seagrass Beds. J. Fish Biol. 1989, 34, 715–734. [Google Scholar] [CrossRef]
- Tiralongo, F. Unraveling the Story of the Black Scorpionfish (Scorpaena porcus Linnaeus, 1758): Exploring Local Ecological Knowledge and the Exploitative History of a Marine Species. Fishes 2024, 9, 31. [Google Scholar] [CrossRef]
- Jardas, I. Review of Long-Term Changes in Trammel Bottom Set Catches, Crustacean, Cephalopoda and Fish Communities along the Eastern Adriatic (Croatian) Coastal Area. Acta Adriat. 1999, 40, 67–78. [Google Scholar]
- Forcada, A.; Valle, C.; Bonhomme, P.; Criquet, G.; Cadiou, G.; Lenfant, P.; Sánchez-Lizaso, J.L. Effects of Habitat on Spillover from Marine Protected Areas to Artisanal Fisheries. Mar. Ecol. Prog. Ser. 2009, 379, 197–211. [Google Scholar] [CrossRef]
- La Mesa, M.; Scarcella, G.; Grati, F.; Fabi, G. Age and Growth of the Black Scorpionfish, Scorpaena porcus (Pisces: Scorpaenidae) from Artificial Structures and Natural Reefs in the Adriatic Sea. Sci. Mar. 2010, 74, 677–685. [Google Scholar] [CrossRef]
- Ferri, J.; Stagličić, N.; Matić-Skoko, S. The Black Scorpionfish, Scorpaena porcus (Scorpaenidae): Could It Serve as Reliable Indicator of Mediterranean Coastal Communities’ Health? Ecol. Indic. 2012, 18, 25–30. [Google Scholar] [CrossRef]
- Giacalone, V.M.; D’Anna, G.; Badalamenti, F.; Pipitone, C. Weight-Length Relationships and Condition Factor Trends for Thirty-Eight Fish Species in Trawled and Untrawled Areas off the Coast of Northern Sicily (Central Mediterranean Sea): WLR, Condition Factor and Trawl-Ban. J. Appl. Ichthyol. 2010, 26, 954–957. [Google Scholar] [CrossRef]
- Muñoz, M.; Sàbat, M.; Vila, S.; Casadevall, M. Annual Reproductive Cycle and Fecundity of Scorpaena notata (Teleostei, Scorpaenidae). Sci. Mar. 2005, 69, 555–562. [Google Scholar] [CrossRef]
- Alesci, A.; Pergolizzi, S.; Savoca, S.; Fumia, A.; Mangano, A.; Albano, M.; Messina, E.; Aragona, M.; Lo Cascio, P.; Capillo, G. Detecting Intestinal Goblet Cells of the Broadgilled Hagfish Eptatretus cirrhatus (Forster, 1801): A Confocal Microscopy Evaluation. Biology 2022, 11, 1366. [Google Scholar] [CrossRef] [PubMed]
- Hoff, K.J.; Lange, S.; Lomsadze, A.; Borodovsky, M.; Stanke, M. BRAKER1: Unsupervised RNA-Seq-Based Genome Annotation with GeneMark-ET and AUGUSTUS. Bioinformatics 2016, 32, 767–769. [Google Scholar] [CrossRef] [PubMed]
- Brůna, T.; Hoff, K.J.; Lomsadze, A.; Stanke, M.; Borodovsky, M. BRAKER2: Automatic Eukaryotic Genome Annotation with GeneMark-EP+ and AUGUSTUS Supported by a Protein Database. NAR Genom. Bioinform. 2021, 3, lqaa108. [Google Scholar] [CrossRef] [PubMed]
- Hoff, K.J.; Lomsadze, A.; Borodovsky, M.; Stanke, M. Whole-genome annotation with BRAKER. In Gene Prediction; Kollmar, M., Ed.; Methods in Molecular Biology; Springer: New York, NY, USA, 2019; Volume 1962, pp. 65–95. ISBN 978-1-4939-9172-3. [Google Scholar]
- Buchfink, B.; Xie, C.; Huson, D.H. Fast and Sensitive Protein Alignment Using DIAMOND. Nat. Methods 2015, 12, 59–60. [Google Scholar] [CrossRef] [PubMed]
- Stanke, M.; Diekhans, M.; Baertsch, R.; Haussler, D. Using Native and Syntenically Mapped cDNA Alignments to Improve de Novo Gene Finding. Bioinformatics 2008, 24, 637–644. [Google Scholar] [CrossRef]
- Stanke, M.; Schöffmann, O.; Morgenstern, B.; Waack, S. Gene Prediction in Eukaryotes with a Generalized Hidden Markov Model That Uses Hints from External Sources. BMC Bioinform. 2006, 7, 62. [Google Scholar] [CrossRef] [PubMed]
- Dainat, J. NBISweden/AGAT: AGAT; v1.4.0 (v1.4.0); Zenodo: Geneva, Switzerland, 2023; Available online: https://zenodo.org/records/11106497 (accessed on 15 July 2024).
- Emms, D.M.; Kelly, S. OrthoFinder: Phylogenetic Orthology Inference for Comparative Genomics. Genome Biol. 2019, 20, 238. [Google Scholar] [CrossRef]
- Paysan-Lafosse, T.; Blum, M.; Chuguransky, S.; Grego, T.; Pinto, B.L.; Salazar, G.A.; Bileschi, M.L.; Bork, P.; Bridge, A.; Colwell, L. InterPro in 2022. Nucleic Acids Res. 2023, 51, D418–D427. [Google Scholar] [CrossRef]
- Lauriano, E.R.; Żuwała, K.; Kuciel, M.; Budzik, K.A.; Capillo, G.; Alesci, A.; Pergolizzi, S.; Dugo, G.; Zaccone, G. Confocal Immunohistochemistry of the Dermal Glands and Evolutionary Considerations in the Caecilian, Typhlonectes natans (Amphibia: Gymnophiona). Acta Zool. 2016, 97, 154–164. [Google Scholar] [CrossRef]
- Mahé, K.; Goascoz, N.; Dufour, J.L.; Iglesias, S.P.; Tetard, A. Black Scorpionfish Scorpaena porcus (Scorpaenidae): A First Record in the Eastern English Channel. Mar. Biodivers. Rec. 2014, 7, e6. [Google Scholar] [CrossRef]
- Froese, R.; Pauly, D. (Eds.) FishBase 2000: Concepts, Design and Data Sources; ICLARM Contribution; ICLARM: Makati City, Philippines, 2000; ISBN 978-971-8709-99-3. [Google Scholar]
- Schulz, R.W.; Nóbrega, R.H. The Reproductive Organs and Processes | Anatomy and Histology of Fish Testis. In Encyclopedia of Fish Physiology; Elsevier: Amsterdam, The Netherlands, 2011; pp. 616–626. ISBN 978-0-08-092323-9. [Google Scholar]
- Uribe, M.C.; Grier, H.J.; Mejía-Roa, V. Comparative Testicular Structure and Spermatogenesis in Bony Fishes. Spermatogenesis 2014, 4, e983400. [Google Scholar] [CrossRef] [PubMed]
- Santos, R.N.; Andrade, C.C.; Santos, L.N.; Santos, A.F.G.N.; Araújo, F.G. Testicular Maturation of Oligosarcus hepsetus (Cuvier) (Actinopterygii, Characidae) in a Brazilian Tropical Reservoir. Braz. J. Biol. 2006, 66, 143–150. [Google Scholar] [CrossRef] [PubMed]
- Marina, P.; Annamaria, L.; Barbara, D.; Loredana, R.; Piero, A.; Francesco, A. Fine Structure of Leydig and Sertoli Cells in the Testis of Immature and Mature Spotted Ray Torpedo marmorata. Mol. Reprod. Dev. 2002, 63, 192–201. [Google Scholar] [CrossRef] [PubMed]
- Helfman, G.; Collette, B.B.; Facey, D.E.; Bowen, B.W. The Diversity of Fishes: Biology, Evolution, and Ecology, 2nd ed.; Wiley–Blackwell: Chichester, UK, 2009; ISBN 978-1-4051-2494-2. [Google Scholar]
- Porcu, C.; Lai, E.; Bellodi, A.; Carbonara, P.; Cau, A.; Mulas, A.; Pascale, N.; Porceddu, R.; Follesa, M.C. Investigating the Ovarian Microstructure in the Genera Helicolenus and Scorpaena (Teleostei, Sub-Order Scorpaenoidei) with Implications for Ovarian Dynamics and Spawning. Animals 2022, 12, 1412. [Google Scholar] [CrossRef] [PubMed]
- Sahin, C.; Erbay, M.; Kalayci, F.; Ceylan, Y.; Yesilcicek, T. Life-History Traits of the Black Scorpionfish (Scorpaena porcus) in Southeastern Black Sea. Turk. J. Fish. Aquat. Sci. 2019, 19, 571–584. [Google Scholar] [CrossRef]
- Muñoz, M.; Casadevall, M.; Bonet, S. The Ovarian Morphology of Scorpaena notata Shows a Specialized Mode of Oviparity. J. Fish Biol. 2002, 61, 877–887. [Google Scholar] [CrossRef]
- Alesci, A.; Fumia, A.; Mastrantonio, L.; Marino, S.; Miller, A.; Albano, M. Functional Adaptations of Hemocytes of Aplysia depilans (Gmelin, 1791) and Their Putative Role in Neuronal Regeneration. Fishes 2024, 9, 32. [Google Scholar] [CrossRef]
- Tvedten, H. Megakaryocyte Cytoplasmic Fragments and Ragocytes in the Peripheral Blood of a Domestic Cat Infected with Anaplasma. Comp. Clin. Pathol. 2022, 32, 329–333. [Google Scholar] [CrossRef]
- Mahony, C.B.; Monteiro, R. Protocol for the Analysis of Hematopoietic Lineages in the Whole Kidney Marrow of Adult Zebrafish. STAR Protoc. 2024, 5, 102810. [Google Scholar] [CrossRef]
- Gunawardena, D.; Priyankara, I.; Jayamanne, H.; Suresh, S. Modified Giemsa Stain: A Solution to Improve the Quality of Hypercellular Bone Marrow Smears. Int. J. Lab. Hematol. 2022, 44, 504–509. [Google Scholar] [CrossRef] [PubMed]
- Valero, Y.; Cuesta, A.; Cammarata, M.; Esteban, M.A.; Chaves-Pozo, E. Immune-Endocrine Interactions in the Fish Gonad during Infection: An Open Door to Vertical Transmission. Fishes 2018, 3, 24. [Google Scholar] [CrossRef]
- Sayed, R.K.A.; Mokhtar, D.M.; Hashim, M.A.; Aly, A.S.; Zaccone, G.; Albano, M.; Alesci, A.; Abdellah, N. Immune Cell Profiling in the Ovarian Stroma of a Viviparous Fish during the Breeding Season: A Histological and Immunohistochemical Investigation. Fishes 2023, 9, 10. [Google Scholar] [CrossRef]
- Chaves-Pozo, E.; Liarte, S.; Mulero, I.; Abellán, E.; Meseguer, J.; García-Ayala, A. Early Presence of Immune Cells in the Developing Gonad of the Gilthead Seabream (Sparus aurata Linnaeus, 1758). J. Reprod. Dev. 2009, 55, 440–445. [Google Scholar] [CrossRef] [PubMed]
- Chuphal, B.; Sathoria, P.; Rai, U.; Roy, B. Crosstalk between Reproductive and Immune Systems: The Teleostean Perspective. J. Fish Biol. 2023, 102, 302–316. [Google Scholar] [CrossRef] [PubMed]
- McLay, R.N.; Banks, W.A.; Kastin, A.J. Granulocyte Macrophage-Colony Stimulating Factor Crosses the Blood-Testis Barrier in Mice1. Biol. Reprod. 1997, 57, 822–826. [Google Scholar] [CrossRef] [PubMed]
- Valero, Y.; Sánchez-Hernández, M.; García-Alcázar, A.; García-Ayala, A.; Cuesta, A.; Chaves-Pozo, E. Characterization of the Annual Regulation of Reproductive and Immune Parameters on the Testis of European Sea Bass. Cell Tissue Res. 2015, 362, 215–229. [Google Scholar] [CrossRef] [PubMed]
- Purcell, M.K.; Laing, K.J.; Woodson, J.C.; Thorgaard, G.H.; Hansen, J.D. Characterization of the Interferon Genes in Homozygous Rainbow Trout Reveals Two Novel Genes, Alternate Splicing and Differential Regulation of Duplicated Genes. Fish Shellfish Immunol. 2009, 26, 293–304. [Google Scholar] [CrossRef]
- Li, Z.; Hong, W.S.; Qiu, H.T.; Zhang, Y.T.; Yang, M.S.; You, X.X.; Chen, S.X. Cloning and Expression of Two Hepcidin Genes in the Mudskipper (Boleophthalmus pectinirostris) Provides Insights into Their Roles in Male Reproductive Immunity. Fish Shellfish Immunol. 2016, 56, 239–247. [Google Scholar] [CrossRef]
- Lutton, B.V.; Callard, I.P. Morphological Relationships and Leukocyte Influence on Steroid Production in the Epigonal Organ-ovary Complex of the Skate, Leucoraja erinacea. J. Morphol. 2008, 269, 620–629. [Google Scholar] [CrossRef] [PubMed]
- Cardinaletti, G.; Franzoni, M.F.; Palermo, F.A.; Cottone, E.; Mosconi, G.; Guastalla, A.; Campantico, E.; Tibaldi, E.; Polzonetti-Magni, A.M. Environmental and Neuroendocrine Control of Fish Reproduction. In Recent Advances in Fish Reproduction Biology; Ayala, A.G., Peñalver, J.M., Pozo, E.C., Eds.; Research Signpost: Kerala, India, 2010; Volume 2010, pp. 67–87. ISBN 978-81-308-0397-5. [Google Scholar]
- Salger, S.A.; Reading, B.J.; Noga, E.J. Tissue Localization of Piscidin Host-Defense Peptides during Striped Bass (Morone saxatilis) Development. Fish Shellfish Immunol. 2017, 61, 173–180. [Google Scholar] [CrossRef] [PubMed]
- Zheng, L.; Qiu, J.; Chen, J.; Zheng, W.; Pan, Y. Histopathological Changes and Piscidin 5-like Location in Infected Larimichthys crocea with Parasite Cryptocaryon Irritans. Fish Shellfish Immunol. 2020, 99, 52–58. [Google Scholar] [CrossRef] [PubMed]
- Campoverde, C.; Milne, D.J.; Estévez, A.; Duncan, N.; Secombes, C.J.; Andree, K.B. Ontogeny and Modulation after PAMPs Stimulation of β-Defensin, Hepcidin, and Piscidin Antimicrobial Peptides in Meagre (Argyrosomus regius). Fish Shellfish Immunol. 2017, 69, 200–210. [Google Scholar] [CrossRef] [PubMed]
- Valero, Y.; García-Alcázar, A.; Esteban, M.Á.; Cuesta, A.; Chaves-Pozo, E. Antimicrobial Response Is Increased in the Testis of European Sea Bass, but Not in Gilthead Seabream, upon Nodavirus Infection. Fish Shellfish Immunol. 2015, 44, 203–213. [Google Scholar] [CrossRef] [PubMed]
- Strand, M.; Hjelmgren, A.; Sundberg, P. Genus Baseodiscus (Nemertea: Heteronemertea): Molecular Identification of a New Species in a Phylogenetic Context. J. Nat. Hist. 2005, 39, 3785–3793. [Google Scholar] [CrossRef]
- Encel, S.A.; Simpson, E.K.; Schaerf, T.M.; Ward, A.J.W. Immune Challenge Affects Reproductive Behaviour in the Guppy (Poecilia reticulata). R. Soc. Open Sci. 2023, 10, 230579. [Google Scholar] [CrossRef]
- Sueiro, M.C.; Awruch, C.A.; Somoza, G.M.; Svagelj, W.S.; Palacios, M.G. Links between Reproduction and Immunity in Two Sympatric Wild Marine Fishes. Comp. Biochem. Physiol. Part A Mol. Integr. Physiol. 2024, 287, 111538. [Google Scholar] [CrossRef] [PubMed]






| Macroscopic Criteria | |
|---|---|
| M1 | The testis is smaller than a third of the body cavity and is slender and white in color. |
| M2 | The testes, thin and white, occupy less than half the body cavity until they become roughly symmetrical, pinkish in color, and measure about half the length of the body cavity. |
| F1 | The tiny, translucent, pinkish ovary is shorter than half of the body cavity. The naked eye is unable to see the eggs. |
| F2 | The ovary is small, pinkish/reddish, and even translucent, occupying approximately half of the body cavity. Blood vessels are visible, but the eggs are not visible to the naked eye. |
| TL (mm) | TW (g) | |||||||
|---|---|---|---|---|---|---|---|---|
| Min | Max | Mean | SD | Min | Max | Mean | SD | |
| Male specimens in the M1 stage | 70 | 85 | 78.75 | 6.29 | 6.40 | 12.20 | 10.04 | 2.62 |
| Male specimens in the M2 stage | 80 | 165 | 130 | 30.09 | 9.63 | 93.4 | 50.17 | 29.88 |
| Female specimens in the F1 stage | 65 | 93 | 80 | 7.07 | 7.21 | 15.51 | 10.81 | 1.81 |
| Female specimens in the F2 stage | 70 | 230 | 143.93 | 44.06 | 8.17 | 230.5 | 75.96 | 64.61 |
Disclaimer/Publisher’s Note: The statements, opinions and data contained in all publications are solely those of the individual author(s) and contributor(s) and not of MDPI and/or the editor(s). MDPI and/or the editor(s) disclaim responsibility for any injury to people or property resulting from any ideas, methods, instructions or products referred to in the content. |
© 2024 by the authors. Licensee MDPI, Basel, Switzerland. This article is an open access article distributed under the terms and conditions of the Creative Commons Attribution (CC BY) license (https://creativecommons.org/licenses/by/4.0/).
Share and Cite
Alesci, A.; Marino, S.; D’Iglio, C.; Morgante, S.; Miller, A.; Rigano, G.; Ferri, J.; Fernandes, J.M.O.; Capillo, G. Investigating Development and Defense Systems in Early Reproductive Stages of Male and Female Gonads in Black Scorpionfish Scorpaena porcus (Linnaeus, 1758). Biology 2024, 13, 587. https://doi.org/10.3390/biology13080587
Alesci A, Marino S, D’Iglio C, Morgante S, Miller A, Rigano G, Ferri J, Fernandes JMO, Capillo G. Investigating Development and Defense Systems in Early Reproductive Stages of Male and Female Gonads in Black Scorpionfish Scorpaena porcus (Linnaeus, 1758). Biology. 2024; 13(8):587. https://doi.org/10.3390/biology13080587
Chicago/Turabian StyleAlesci, Alessio, Sebastian Marino, Claudio D’Iglio, Silvana Morgante, Anthea Miller, Gabriele Rigano, Josipa Ferri, Jorge M. O. Fernandes, and Gioele Capillo. 2024. "Investigating Development and Defense Systems in Early Reproductive Stages of Male and Female Gonads in Black Scorpionfish Scorpaena porcus (Linnaeus, 1758)" Biology 13, no. 8: 587. https://doi.org/10.3390/biology13080587
APA StyleAlesci, A., Marino, S., D’Iglio, C., Morgante, S., Miller, A., Rigano, G., Ferri, J., Fernandes, J. M. O., & Capillo, G. (2024). Investigating Development and Defense Systems in Early Reproductive Stages of Male and Female Gonads in Black Scorpionfish Scorpaena porcus (Linnaeus, 1758). Biology, 13(8), 587. https://doi.org/10.3390/biology13080587

