Plasticity Comparison of Two Stem Cell Sources with Different Hox Gene Expression Profiles in Response to Cobalt Chloride Treatment during Chondrogenic Differentiation
Abstract
Simple Summary
Abstract
1. Introduction
2. Materials and Methods
2.1. Stem Cell Cultures
2.2. Cell Viability Assays
2.3. Three-Dimensional Pellet Cultures and Chondrogenic Differentiation
2.4. Morphological and Histological Experiments
2.4.1. Pellet Morphology Assessment
2.4.2. Histochemical Assessments
2.4.3. Immunohistochemical Experiments
2.4.4. Estimating the Volume Densities of the Chondrogenic Pellets Components
2.5. Biochemical Analysis
2.5.1. ICP Mass Spectrophotometry
2.5.2. Cell Lysate Preparation
2.5.3. Protein Quantification
2.5.4. ALP Specific Activity Assay
2.5.5. DNA Quantification
2.5.6. GAGs Quantification
2.6. Molecular Experiments
2.6.1. RNA Extraction and Reverse Transcription–Polymerase Chain Reaction (RT-PCR)
2.6.2. Quantitative Real-Time PCR
2.7. Statistical Analysis
3. Results
3.1. MSCs Culture and Morphology
3.1.1. Cell Viability
3.1.2. Chondrogenic Differentiation
3.2. Morphological and Histological Experiments
3.2.1. Pellet Morphology
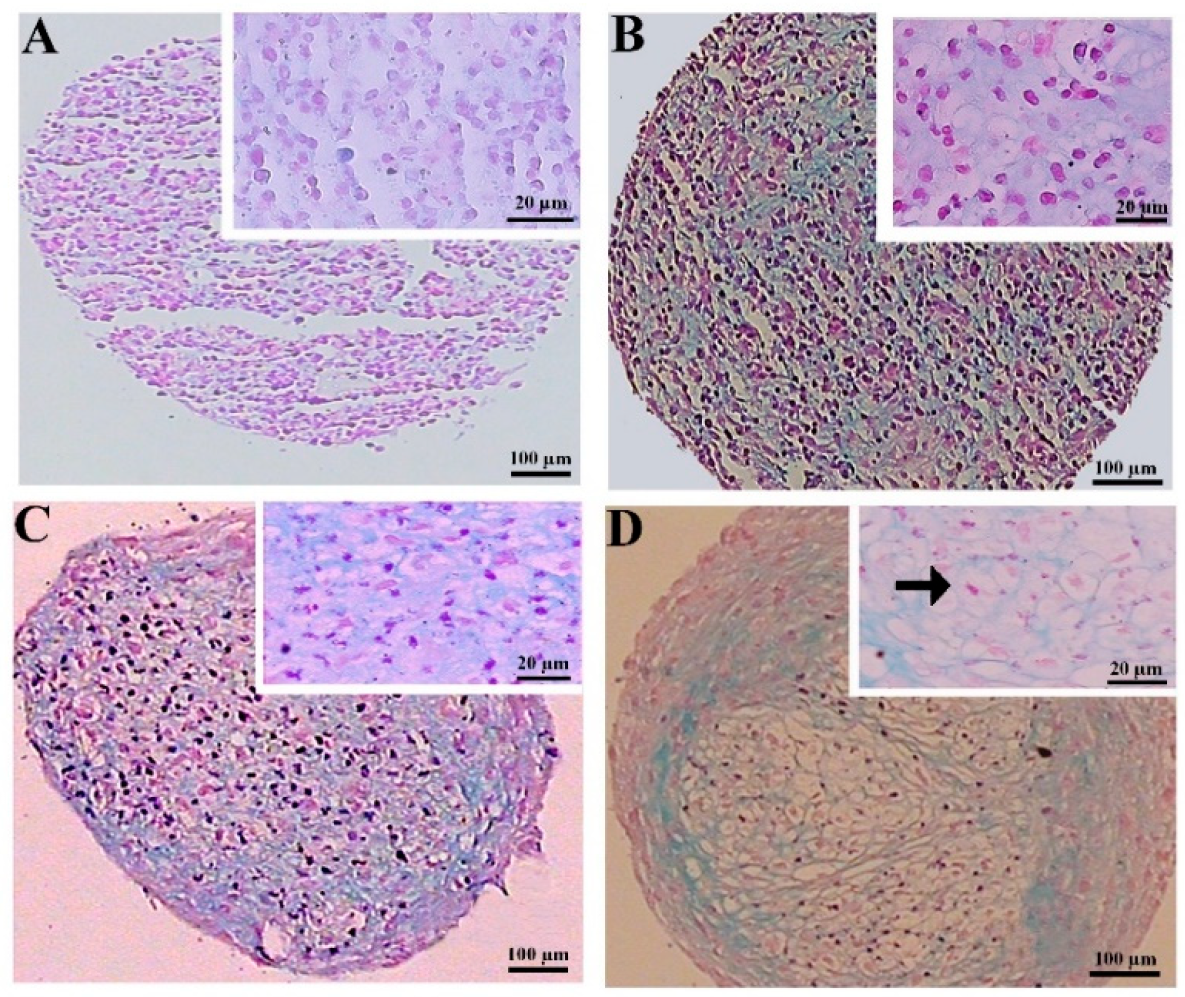
3.2.2. Hematoxylin and Eosin Staining
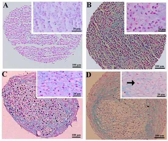
3.2.3. Alcian Blue Staining of the MSC Chondrogenic Pellet Sections
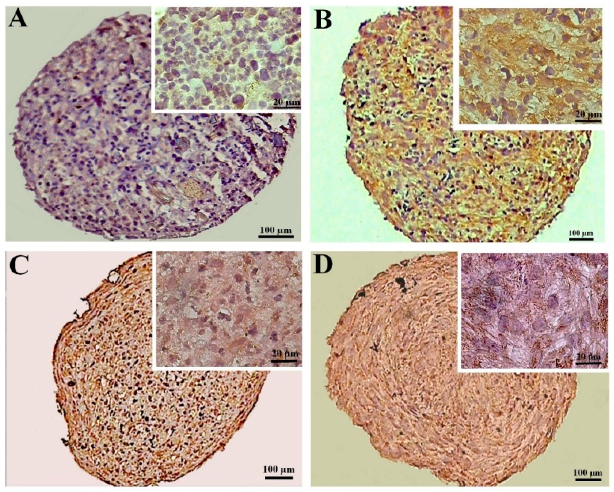
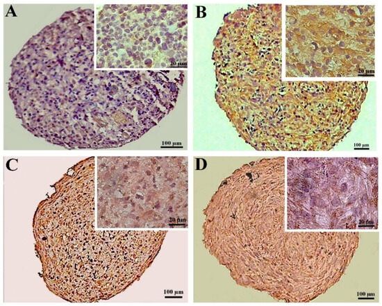
3.2.4. Immunohistochemical Assessments
3.2.5. Quantitative Analysis of Collagen II and X Volume Densities in the Chondrogenic Pellets
3.3. Biochemical Analysis
3.3.1. CoCl2 Uptake
3.3.2. GAGs Deposition
3.3.3. ALP Specific Activity
3.4. Molecular Experiments
Real-Time PCR
4. Discussion
5. Conclusions
Supplementary Materials
Author Contributions
Funding
Institutional Review Board Statement
Informed Consent Statement
Data Availability Statement
Acknowledgments
Conflicts of Interest
References
- Samvelyan, H.J.; Hughes, D.; Stevens, C.; Staines, K.A. Models of osteoarthritis: Relevance and new insights. Calcif. Tissue Int. 2021, 109, 243–256. [Google Scholar] [CrossRef] [PubMed]
- Khajeh, S.; Bozorg-Ghalati, F.; Zare, M.; Panahi, G.; Razban, V. Cartilage tissue and therapeutic strategies for cartilage repair. Curr. Mol. Med. 2021, 21, 56–72. [Google Scholar] [CrossRef]
- Malekpour, K.; Hazrati, A.; Zahar, M.; Markov, A.; Zekiy, A.O.; Navashenaq, J.G.; Roshangar, L.; Ahmadi, M. The potential use of mesenchymal stem cells and their derived exosomes for orthopedic diseases treatment. Stem Cell Rev. Rep. 2022, 18, 933–951. [Google Scholar] [CrossRef] [PubMed]
- Asadi-Golshan, R.; Razban, V.; Mirzaei, E.; Rahmanian, A.; Khajeh, S.; Mostafavi-Pour, Z.; Dehghani, F. Efficacy of dental pulp-derived stem cells conditioned medium loaded in collagen hydrogel in spinal cord injury in rats: Stereological evidence. J. Chem. Neuroanat. 2021, 116, 101978. [Google Scholar] [CrossRef]
- Hodge, J.G.; Decker, H.E.; Robinson, J.L.; Mellott, A.J. Tissue-Mimetic Culture Enhances Mesenchymal Stem Cell Secretome Capacity to Improve Regenerative Activity of Keratinocytes and Fibroblasts in vitro. Wound Repair Regen. 2023, 31, 367–383. [Google Scholar] [CrossRef] [PubMed]
- Moradi, S.; Fallahi, J.; Tanideh, N.; Dara, M.; Aliabadi, B.E.; Nafar, S.; Asadi-Yousefabad, S.-L.; Tabei, S.M.B.; Razban, V. Genetically modified bone marrow mesenchymal stem cells and dental pulp mesenchymal stem cells by HIF-1alpha overexpression, differs in survival and angiogenic effects after in animal model of hind limb ischemia. Gene Rep. 2021, 25, 101187. [Google Scholar] [CrossRef]
- Razban, V.; Khajeh, S.; Alaee, S.; Mostafavi-Pour, Z.; Soleimani, M. Tube formation potential of BMSCs and USSCs in response to HIF-1α overexpression under hypoxia. Cytol. Genet. 2018, 52, 236–244. [Google Scholar] [CrossRef]
- Pelttari, K.; Steck, E.; Richter, W. The use of mesenchymal stem cells for chondrogenesis. Injury 2008, 39 (Suppl. S1), S58–S65. [Google Scholar] [CrossRef]
- Huang, G.T.; Gronthos, S.; Shi, S. Mesenchymal stem cells derived from dental tissues vs. those from other sources: Their biology and role in regenerative medicine. J. Dent. Res. 2009, 88, 792–806. [Google Scholar]
- Derakhshani, A.; Raoof, M.; Dabiri, S.; Farsinejad, A.R.; Gorjestani, H.; Yaghoobi, M.M.; Shokouhinejad, N.; Ehsani, M. Isolation and evaluation of dental pulp stem cells from teeth with advanced periodontal disease. Arch. Iran. Med. 2015, 18, 211–217. [Google Scholar]
- Karamzadeh, R.; Eslaminejad, M.B.; Aflatoonian, R. Isolation, characterization and comparative differentiation of human dental pulp stem cells derived from permanent teeth by using two different methods. J. Vis. Exp. 2012, 69, e4372. [Google Scholar]
- Karimi-Haghighi, S.; Chavoshinezhad, S.; Safari, A.; Razeghian-Jahromi, I.; Jamhiri, I.; Khodabandeh, Z.; Khajeh, S.; Zare, S.; Borhani-Haghighi, A.; Dianatpour, M.; et al. Preconditioning with secretome of neural crest-derived stem cells enhanced neurotrophic expression in mesenchymal stem cells. Neurosci. Lett. 2022, 773, 136511. [Google Scholar] [CrossRef] [PubMed]
- Hui, T.Y.; Cheung, K.M.; Cheung, W.L.; Chan, D.; Chan, B.P. In vitro chondrogenic differentiation of human mesenchymal stem cells in collagen microspheres: Influence of cell seeding density and collagen concentration. Biomaterials 2008, 29, 3201–3212. [Google Scholar] [CrossRef] [PubMed]
- Shen, B.; Wei, A.; Whittaker, S.; Williams, L.A.; Tao, H.; Ma, D.D.; Diwan, A.D. The role of BMP-7 in chondrogenic and osteogenic differentiation of human bone marrow multipotent mesenchymal stromal cells in vitro. J. Cell Biochem. 2010, 109, 406–416. [Google Scholar] [CrossRef] [PubMed]
- van Beuningen, H.M.; Glansbeek, H.L.; van der Kraan, P.M.; van den Berg, W.B. Differential effects of local application of BMP-2 or TGF-beta 1 on both articular cartilage composition and osteophyte formation. Osteoarthr. Cartil. 1998, 6, 306–317. [Google Scholar] [CrossRef] [PubMed]
- Provot, S.; Zinyk, D.; Gunes, Y.; Kathri, R.; Le, Q.; Kronenberg, H.M.; Johnson, R.S.; Longaker, M.T.; Giaccia, A.J.; Schipani, E. Hif-1α regulates differentiation of limb bud mesenchyme and joint development. J. Cell Biol. 2007, 177, 451–464. [Google Scholar] [CrossRef] [PubMed]
- Zhou, N.; Hu, N.; Liao, J.-Y.; Lin, L.-B.; Zhao, C.; Si, W.-K.; Yang, Z.; Yi, S.-X.; Fan, T.-X.; Bao, W. HIF-1α as a regulator of BMP2-induced chondrogenic differentiation, osteogenic differentiation, and endochondral ossification in stem cells. Cell. Physiol. Biochem. 2015, 36, 44–60. [Google Scholar] [CrossRef] [PubMed]
- Nowak-Stepniowska, A.; Osuchowska, P.N.; Fiedorowicz, H.; Trafny, E.A. Insight in Hypoxia-Mimetic Agents as Potential Tools for Mesenchymal Stem Cell Priming in Regenerative Medicine. Stem Cells Int. 2022, 2022, 8775591. [Google Scholar] [CrossRef] [PubMed]
- Yasan, G.T.; Gunel-Ozcan, A. Hypoxia and hypoxia mimetic agents as potential priming approaches to empower mesenchymal stem cells. Curr. Stem Cell Res. Ther. 2023, 19, 33–54. [Google Scholar] [CrossRef]
- Liedtke, S.; Freytag, E.M.; Bosch, J.; Houben, A.P.; Radke, T.F.; Deenen, R.; Kohrer, K.; Kogler, G. Neonatal mesenchymal-like cells adapt to surrounding cells. Stem Cell Res. 2013, 11, 634–646. [Google Scholar] [CrossRef][Green Version]
- Cai, Y.; Belmonte, J.C.I.; Qu, J.; Liu, G.-H.; Zhang, W. Opening up the black box of human cell plasticity. Innovation 2022, 3, 100276. [Google Scholar] [CrossRef] [PubMed]
- Wang, K.C.; Helms, J.A.; Chang, H.Y. Regeneration, repair and remembering identity: The three Rs of Hox gene expression. Trends Cell Biol. 2009, 19, 268–275. [Google Scholar] [CrossRef] [PubMed]
- Chan, C.-L.S.; Chen, J.L. Expression Profiling and Epigenetic Regulation of Hox Genes in Cellular Models of Chondrogenesis. Ph.D. Thesis, University of Hong Kong, Hong Kong, China, 2010. [Google Scholar]
- Barber, B.A.; Rastegar, M. Epigenetic control of Hox genes during neurogenesis, development, and disease. Ann. Anat. 2010, 192, 261–274. [Google Scholar] [CrossRef] [PubMed]
- Ackema, K.B.; Charite, J. Mesenchymal stem cells from different organs are characterized by distinct topographic Hox codes. Stem Cells Dev. 2008, 17, 979–991. [Google Scholar] [CrossRef] [PubMed]
- Leucht, P.; Kim, J.B.; Amasha, R.; James, A.W.; Girod, S.; Helms, J.A. Embryonic origin and Hox status determine progenitor cell fate during adult bone regeneration. Development 2008, 135, 2845–2854. [Google Scholar] [CrossRef] [PubMed]
- Pelttari, K.; Pippenger, B.; Mumme, M.; Feliciano, S.; Scotti, C.; Mainil-Varlet, P.; Procino, A.; Von Rechenberg, B.; Schwamborn, T.; Jakob, M. Adult human neural crest–derived cells for articular cartilage repair. Sci. Transl. Med. 2014, 6, 251ra119. [Google Scholar] [CrossRef] [PubMed]
- Seifert, A.; Werheid, D.F.; Knapp, S.M.; Tobiasch, E. Role of Hox genes in stem cell differentiation. World J. Stem Cells 2015, 7, 583–595. [Google Scholar] [CrossRef] [PubMed]
- Liedtke, S.; Buchheiser, A.; Bosch, J.; Bosse, F.; Kruse, F.; Zhao, X.; Santourlidis, S.; Kögler, G. The HOX Code as a “biological fingerprint” to distinguish functionally distinct stem cell populations derived from cord blood. Stem Cell Res. 2010, 5, 40–50. [Google Scholar] [CrossRef]
- Dupin, E.; Sommer, L. Neural crest progenitors and stem cells: From early development to adulthood. Dev. Biol. 2012, 366, 83–95. [Google Scholar] [CrossRef]
- Shakhova, O.; Sommer, L. Neural Crest-Derived Stem Cells; StemBook: Cambridge, MA, USA, 2008. [Google Scholar]
- Krishnan, Y.; Grodzinsky, A.J. Cartilage diseases. Matrix Biol. 2018, 71, 51–69. [Google Scholar] [CrossRef]
- Kim, M.-S.; Moon, Y.-H.; Son, J.-W.; Moon, J.-S.; Kang, J.-H.; Kim, S.-H. Effects of CoCl2 on Osteogenic Differentiation of Human Mesenchymal Stem Cells. Int. J. Oral Biol. 2013, 38, 111–119. [Google Scholar]
- Teleb, R.S.; Abdul-Hafez, A.; Othman, A.; Ahmed, A.E.-A.; Elsaid, A.A.; Arif, H.; Zarea, A.A.; Abdulmageed, M.; Mohamed, H.; Ibrahim, S.A. Cord Blood Plasma and Placental Mesenchymal Stem Cells-Derived Exosomes Increase Ex Vivo Expansion of Human Cord Blood Hematopoietic Stem Cells While Maintaining Their Stemness. Cells 2023, 12, 250. [Google Scholar] [CrossRef] [PubMed]
- Khajeh, S.; Razban, V.; Talaei-Khozani, T.; Soleimani, M.; Asadi-Golshan, R.; Dehghani, F.; Ramezani, A.; Mostafavi-Pour, Z. Enhanced chondrogenic differentiation of dental pulp-derived mesenchymal stem cells in 3D pellet culture system: Effect of mimicking hypoxia. Biologia 2018, 73, 715–726. [Google Scholar] [CrossRef]
- Lee, S.; An, S.; Kang, T.H.; Kim, K.H.; Chang, N.H.; Kang, S.; Kwak, C.K.; Park, H.-S. Comparison of mesenchymal-like stem/progenitor cells derived from supernumerary teeth with stem cells from human exfoliated deciduous teeth. Regen. Med. 2011, 6, 689–699. [Google Scholar] [CrossRef] [PubMed]
- Isobe, Y.; Koyama, N.; Nakao, K.; Osawa, K.; Ikeno, M.; Yamanaka, S.; Okubo, Y.; Fujimura, K.; Bessho, K. Comparison of human mesenchymal stem cells derived from bone marrow, synovial fluid, adult dental pulp, and exfoliated deciduous tooth pulp. Int. J. Oral Maxillofac. Surg. 2016, 45, 124–131. [Google Scholar] [CrossRef]
- Wang, H.; Zhong, Q.; Yang, T.; Qi, Y.; Fu, M.; Yang, X.; Qiao, L.; Ling, Q.; Liu, S.; Zhao, Y. Comparative characterization of SHED and DPSCs during extended cultivation in vitro. Mol. Med. Rep. 2018, 17, 6551–6559. [Google Scholar] [CrossRef] [PubMed]
- DeLise, A.M.; Fischer, L.; Tuan, R.S. Cellular interactions and signaling in cartilage development. Osteoarthr. Cartil. 2000, 8, 309–334. [Google Scholar] [CrossRef] [PubMed]
- Kronenberg, H.M. Developmental regulation of the growth plate. Nature 2003, 423, 332–336. [Google Scholar] [CrossRef]
- Caron, M.M.; Emans, P.J.; Coolsen, M.M.; Voss, L.; Surtel, D.A.; Cremers, A.; van Rhijn, L.W.; Welting, T.J. Redifferentiation of dedifferentiated human articular chondrocytes: Comparison of 2D and 3D cultures. Osteoarthr. Cartil. 2012, 20, 1170–1178. [Google Scholar] [CrossRef]
- Yoo, H.I.; Moon, Y.H.; Kim, M.S. Effects of CoCl2 on multi-lineage differentiation of C3H/10T1/2 mesenchymal stem cells. Korean J. Physiol. Pharmacol. 2016, 20, 53–62. [Google Scholar] [CrossRef]
- Shang, J.; Liu, H.; Li, J.; Zhou, Y. Roles of hypoxia during the chondrogenic differentiation of mesenchymal stem cells. Curr. Stem Cell Res. Ther. 2014, 9, 141–147. [Google Scholar] [CrossRef]
- Liao, X.; Wu, L.; Fu, M.; He, D.; Gu, Y.; Chen, W.; Yin, M. Chondrogenic phenotype differentiation of bone marrow mesenchymal stem cells induced by bone morphogenetic protein 2 under hypoxic microenvironment in vitro. Zhongguo Xiu Fu Chong Jian Wai Ke Za Zhi 2012, 26, 743–748. [Google Scholar] [PubMed]
- Yodmuang, S.; Marolt, D.; Marcos-Campos, I.; Gadjanski, I.; Vunjak-Novakovic, G. Synergistic effects of hypoxia and morphogenetic factors on early chondrogenic commitment of human embryonic stem cells in embryoid body culture. Stem Cell Rev. Rep. 2015, 11, 228–241. [Google Scholar] [CrossRef] [PubMed]
- Chen, S.; Fu, P.; Cong, R.; Wu, H.; Pei, M. Strategies to minimize hypertrophy in cartilage engineering and regeneration. Genes Dis. 2015, 2, 76–95. [Google Scholar] [CrossRef]
- Lee, H.H.; Chang, C.C.; Shieh, M.J.; Wang, J.P.; Chen, Y.T.; Young, T.H.; Hung, S.C. Hypoxia enhances chondrogenesis and prevents terminal differentiation through PI3K/Akt/FoxO dependent anti-apoptotic effect. Sci. Rep. 2013, 3, 2683. [Google Scholar] [CrossRef]
- Studer, D.; Millan, C.; Ozturk, E.; Maniura-Weber, K.; Zenobi-Wong, M. Molecular and biophysical mechanisms regulating hypertrophic differentiation in chondrocytes and mesenchymal stem cells. Eur. Cell Mater. 2012, 24, 118–135; discussion 135. [Google Scholar] [CrossRef]
- Bae, H.C.; Park, H.J.; Wang, S.Y.; Yang, H.R.; Lee, M.C.; Han, H.-S. Hypoxic condition enhances chondrogenesis in synovium-derived mesenchymal stem cells. Biomater. Res. 2018, 22, 28. [Google Scholar] [CrossRef] [PubMed]
- Markway, B.D.; Tan, G.-K.; Brooke, G.; Hudson, J.E.; Cooper-White, J.J.; Doran, M.R. Enhanced chondrogenic differentiation of human bone marrow-derived mesenchymal stem cells in low oxygen environment micropellet cultures. Cell Transplant. 2010, 19, 29–42. [Google Scholar] [CrossRef]
- Miyazaki, K.; Kawamoto, T.; Tanimoto, K.; Nishiyama, M.; Honda, H.; Kato, Y. Identification of functional hypoxia response elements in the promoter region of the DEC1 and DEC2 genes. J. Biol. Chem. 2002, 277, 47014–47021. [Google Scholar] [CrossRef]
- Lin, H.; Wang, Q.; Quan, C.; Ren, Q.; He, W.; Xiao, H. Low-intensity pulsed ultrasound enhances immunomodulation and facilitates osteogenesis of human periodontal ligament stem cells by inhibiting the NF-κB pathway. Cell Tissue Bank. 2023, 24, 45–58. [Google Scholar] [CrossRef]
- Saeidinezhad, M.; Razban, V.; Safizadeh, H.; Ezzatabadipour, M. Effects of maternal consumption of morphine on rat skeletal system development. BMC Musculoskelet. Disord. 2021, 22, 435. [Google Scholar] [CrossRef] [PubMed]
- Sani, F.; Mehdipour, F.; Talaei-Khozani, T.; Sani, M.; Razban, V. Fabrication of platelet-rich plasma/silica scaffolds for bone tissue engineering. Bioinspired Biomim. Nanobiomater. 2017, 7, 74–81. [Google Scholar] [CrossRef]
- Mueller, M.B.; Tuan, R.S. Functional characterization of hypertrophy in chondrogenesis of human mesenchymal stem cells. Arthritis Rheum. 2008, 58, 1377–1388. [Google Scholar] [CrossRef] [PubMed]
- Lyamina, S.; Baranovskii, D.; Kozhevnikova, E.; Ivanova, T.; Kalish, S.; Sadekov, T.; Klabukov, I.; Maev, I.; Govorun, V. Mesenchymal stromal cells as a driver of inflammaging. Int. J. Mol. Sci. 2023, 24, 6372. [Google Scholar] [CrossRef] [PubMed]












Disclaimer/Publisher’s Note: The statements, opinions and data contained in all publications are solely those of the individual author(s) and contributor(s) and not of MDPI and/or the editor(s). MDPI and/or the editor(s) disclaim responsibility for any injury to people or property resulting from any ideas, methods, instructions or products referred to in the content. |
© 2024 by the authors. Licensee MDPI, Basel, Switzerland. This article is an open access article distributed under the terms and conditions of the Creative Commons Attribution (CC BY) license (https://creativecommons.org/licenses/by/4.0/).
Share and Cite
Khajeh, S.; Razban, V.; Naeimzadeh, Y.; Nadimi, E.; Asadi-Golshan, R.; Heidari, Z.; Talaei-Khozani, T.; Dehghani, F.; Mostafavi-Pour, Z.; Shirali, M. Plasticity Comparison of Two Stem Cell Sources with Different Hox Gene Expression Profiles in Response to Cobalt Chloride Treatment during Chondrogenic Differentiation. Biology 2024, 13, 560. https://doi.org/10.3390/biology13080560
Khajeh S, Razban V, Naeimzadeh Y, Nadimi E, Asadi-Golshan R, Heidari Z, Talaei-Khozani T, Dehghani F, Mostafavi-Pour Z, Shirali M. Plasticity Comparison of Two Stem Cell Sources with Different Hox Gene Expression Profiles in Response to Cobalt Chloride Treatment during Chondrogenic Differentiation. Biology. 2024; 13(8):560. https://doi.org/10.3390/biology13080560
Chicago/Turabian StyleKhajeh, Sahar, Vahid Razban, Yasaman Naeimzadeh, Elham Nadimi, Reza Asadi-Golshan, Zahra Heidari, Tahereh Talaei-Khozani, Farzaneh Dehghani, Zohreh Mostafavi-Pour, and Masoud Shirali. 2024. "Plasticity Comparison of Two Stem Cell Sources with Different Hox Gene Expression Profiles in Response to Cobalt Chloride Treatment during Chondrogenic Differentiation" Biology 13, no. 8: 560. https://doi.org/10.3390/biology13080560
APA StyleKhajeh, S., Razban, V., Naeimzadeh, Y., Nadimi, E., Asadi-Golshan, R., Heidari, Z., Talaei-Khozani, T., Dehghani, F., Mostafavi-Pour, Z., & Shirali, M. (2024). Plasticity Comparison of Two Stem Cell Sources with Different Hox Gene Expression Profiles in Response to Cobalt Chloride Treatment during Chondrogenic Differentiation. Biology, 13(8), 560. https://doi.org/10.3390/biology13080560

