Correction: Mahmoud et al. Neurotoxic Effect of Fipronil in Male Wistar Rats: Ameliorative Effect of L-Arginine and L-Carnitine. Biology 2021, 10, 682
Figure Legend
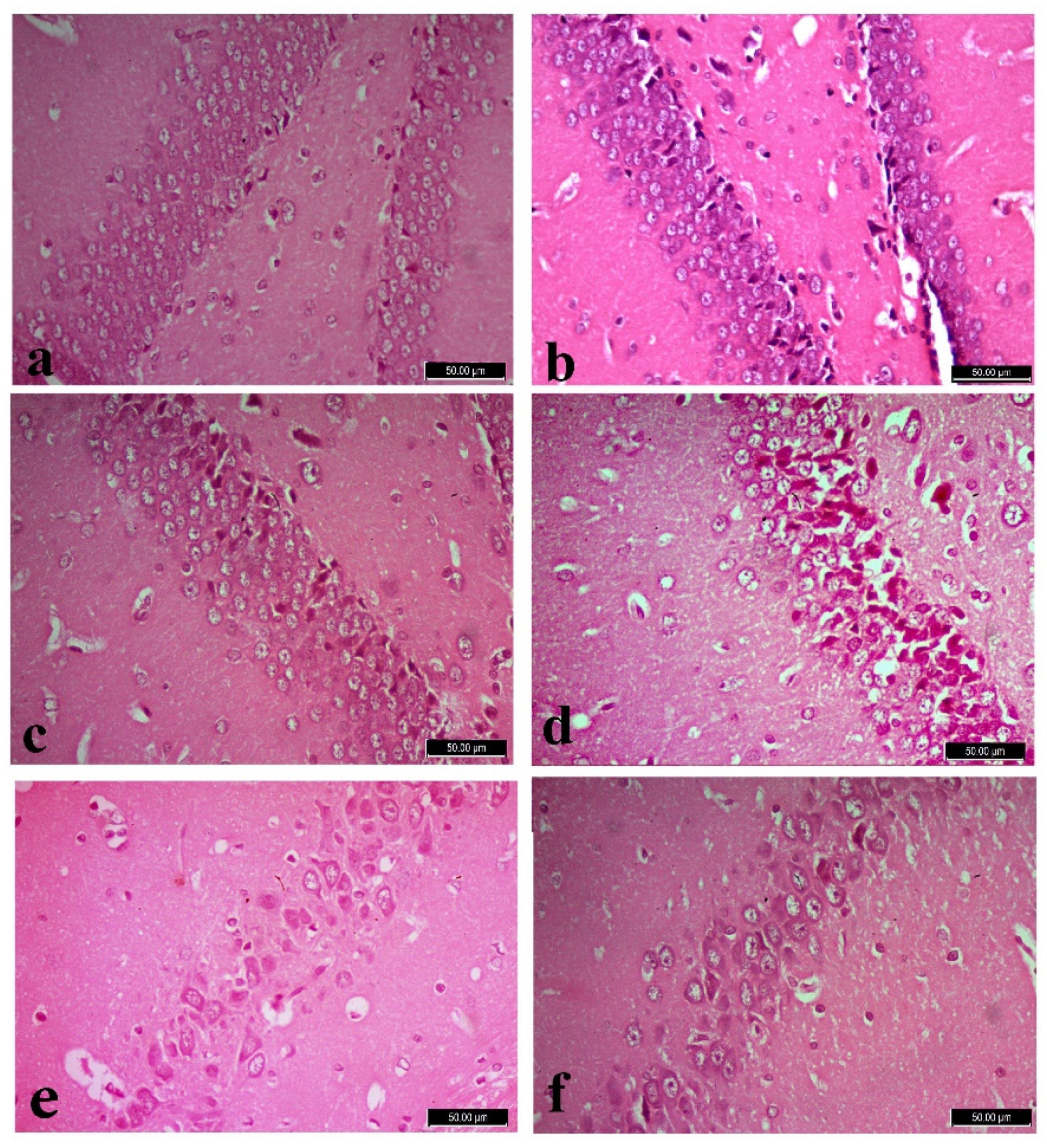
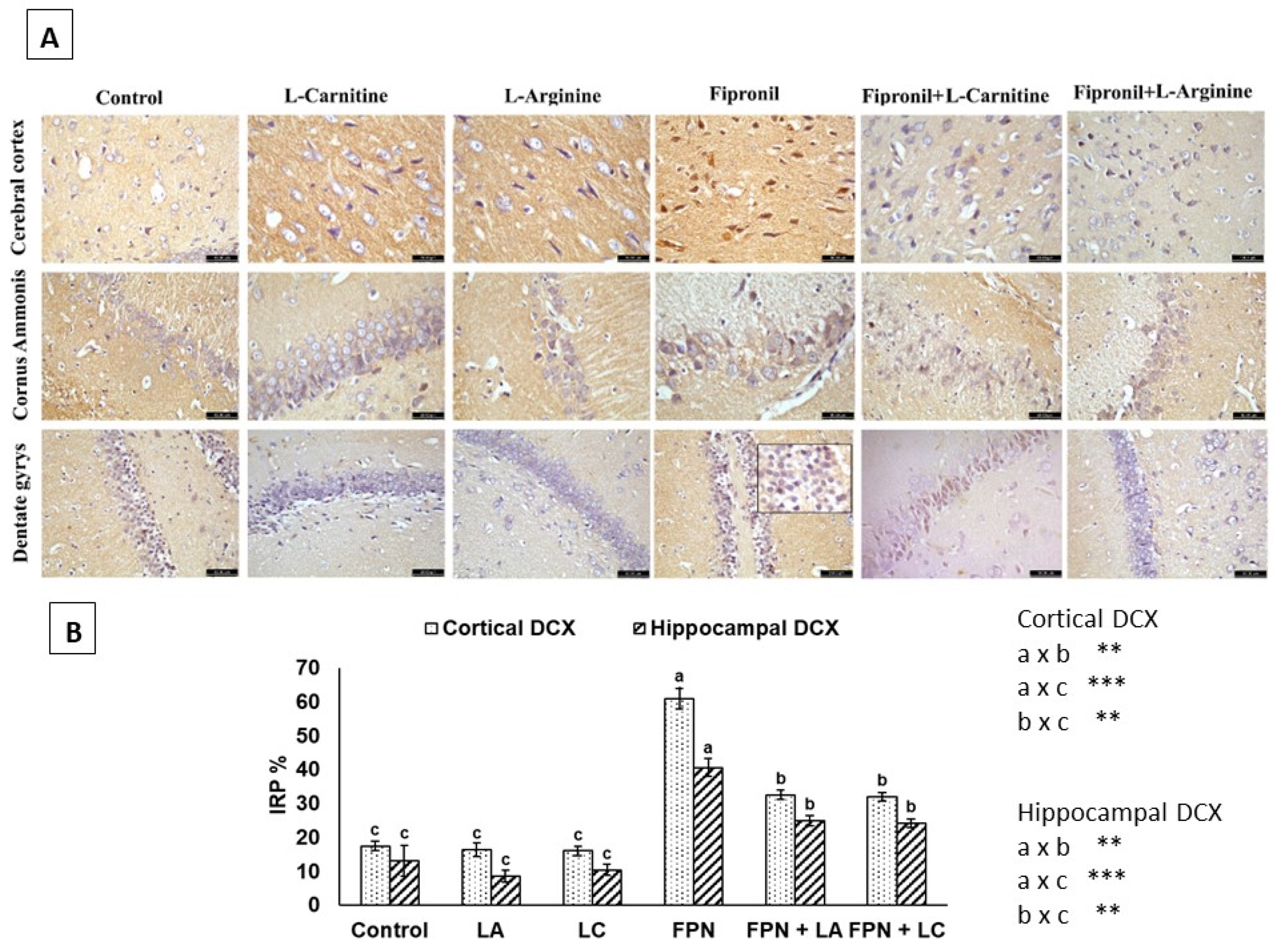
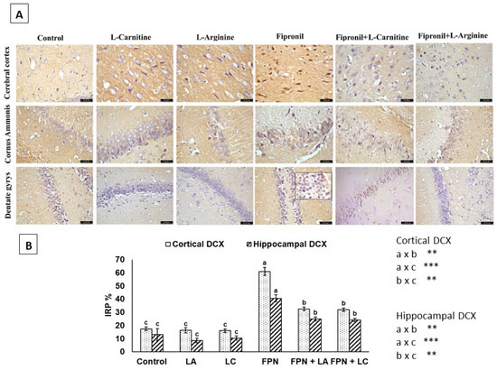
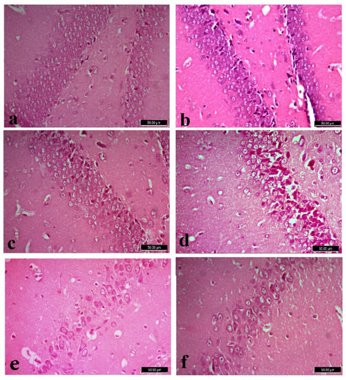
Error in Figure
Reference
- Mahmoud, Y.K.; Ali, A.A.; Abdelrazek, H.M.A.; Aldayel, T.S.; Abdel-Daim, M.M.; El-Menyawy, M.A.I. Neurotoxic Effect of Fipronil in Male Wistar Rats: Ameliorative Effect of L-Arginine and L-Carnitine. Biology 2021, 10, 682. [Google Scholar] [CrossRef]


Disclaimer/Publisher’s Note: The statements, opinions and data contained in all publications are solely those of the individual author(s) and contributor(s) and not of MDPI and/or the editor(s). MDPI and/or the editor(s) disclaim responsibility for any injury to people or property resulting from any ideas, methods, instructions or products referred to in the content. |
© 2023 by the authors. Licensee MDPI, Basel, Switzerland. This article is an open access article distributed under the terms and conditions of the Creative Commons Attribution (CC BY) license (https://creativecommons.org/licenses/by/4.0/).
Share and Cite
Mahmoud, Y.K.; Ali, A.A.; Abdelrazek, H.M.A.; Aldayel, T.S.; Abdel-Daim, M.M.; El-Menyawy, M.A.I. Correction: Mahmoud et al. Neurotoxic Effect of Fipronil in Male Wistar Rats: Ameliorative Effect of L-Arginine and L-Carnitine. Biology 2021, 10, 682. Biology 2023, 12, 904. https://doi.org/10.3390/biology12070904
Mahmoud YK, Ali AA, Abdelrazek HMA, Aldayel TS, Abdel-Daim MM, El-Menyawy MAI. Correction: Mahmoud et al. Neurotoxic Effect of Fipronil in Male Wistar Rats: Ameliorative Effect of L-Arginine and L-Carnitine. Biology 2021, 10, 682. Biology. 2023; 12(7):904. https://doi.org/10.3390/biology12070904
Chicago/Turabian StyleMahmoud, Yasmina K., Ahmed A. Ali, Heba M. A. Abdelrazek, Tahany Saleh Aldayel, Mohamed M. Abdel-Daim, and Menna Allah I. El-Menyawy. 2023. "Correction: Mahmoud et al. Neurotoxic Effect of Fipronil in Male Wistar Rats: Ameliorative Effect of L-Arginine and L-Carnitine. Biology 2021, 10, 682" Biology 12, no. 7: 904. https://doi.org/10.3390/biology12070904
APA StyleMahmoud, Y. K., Ali, A. A., Abdelrazek, H. M. A., Aldayel, T. S., Abdel-Daim, M. M., & El-Menyawy, M. A. I. (2023). Correction: Mahmoud et al. Neurotoxic Effect of Fipronil in Male Wistar Rats: Ameliorative Effect of L-Arginine and L-Carnitine. Biology 2021, 10, 682. Biology, 12(7), 904. https://doi.org/10.3390/biology12070904

