Third Molar Eruption in Dental Panoramic Radiographs as a Feature for Forensic Age Assessment—Presentation of a New Non-Staging Method Based on Measurements
Abstract
Simple Summary
Abstract
1. Introduction
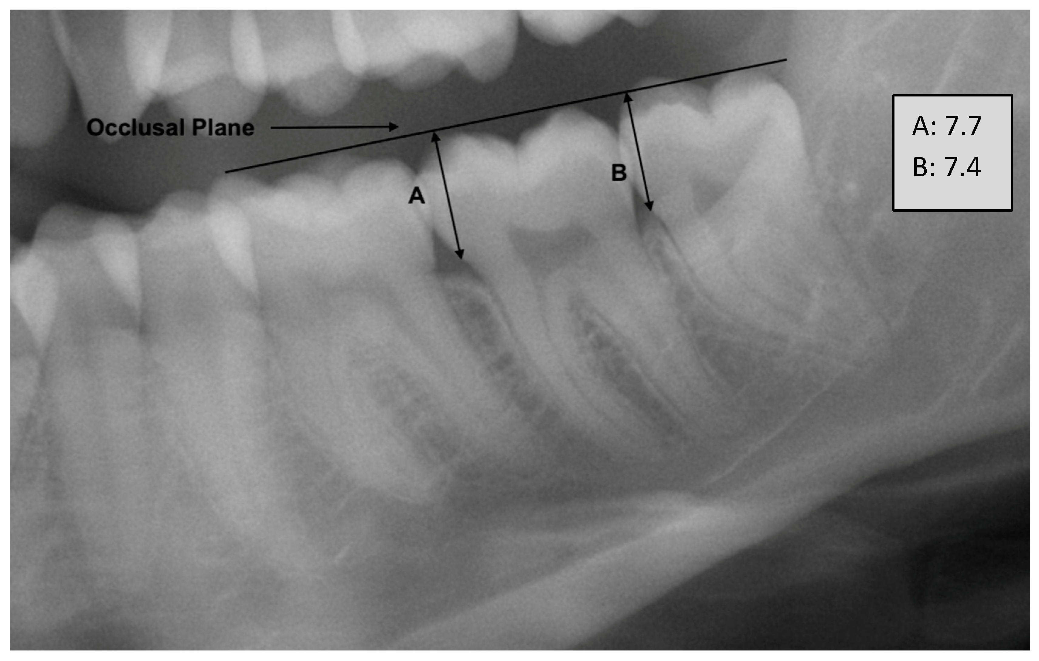
2. Materials and Method
3. Results
4. Discussion
5. Conclusions
Author Contributions
Funding
Institutional Review Board Statement
Informed Consent Statement
Data Availability Statement
Conflicts of Interest
References
- Kazmi, S.; Zaidi, S.J.A.; Reesu, G.V.; Shepherd, S. Dental age estimation using the Kvaal method-an evaluation of length and width ratios: A systematic review. Forensic Sci. Med. Pathol. 2023, 1–10. [Google Scholar] [CrossRef] [PubMed]
- Murali, K.; Nirmal, R.M.; Balakrishnan, S.; Shanmugam, S.; Altaf, S.K.; Nandhini, D. Age Estimation using Cephalometrics—A Cross-Sectional Study among Teenagers of Salem District, Tamil Nadu. J. Pharm. Bioallied Sci. 2023, 15, S725–S728. [Google Scholar] [CrossRef] [PubMed]
- Ruder, T.D.; Kuhnen, S.C.; Zech, W.-D.; Klaus, J.B.; Lombardo, P.; Ith, M. Standards of practice in forensic age estimation with CT of the medial clavicular epiphysis-a systematic review. Int. J. Leg. Med. 2023, 1–10. [Google Scholar] [CrossRef] [PubMed]
- Alvarado Muñoz, E.; Requena Calla, S.R. Accuracy of age estimation using root dentin translucency in Peruvian adults. A pilot study. J. Forensic Odontostomatol. 2023, 41, 19–26. [Google Scholar]
- Song, Y.; Yang, H.; Ge, Z.; Du, H.; Li, G. Age estimation based on 3D pulp segmentation of first molars from CBCT images using U-Net. Dentomaxillofac. Radiol. 2023, 52, 20230177. [Google Scholar] [CrossRef]
- Rathore, A.; Puri, N.; Singh, B.; Kaur, K.; Singh, B.; Singh, S. Mandibular Teeth as Predictors in Forensic Age Estimation: A Cone-Beam Computed Tomography-Based Pulp Volume Regression Study. Contemp. Clin. Dent. 2023, 14, 11–17. [Google Scholar] [CrossRef]
- Seo, H.; Hwang, J.; Jung, Y.-H.; Lee, E.; Nam, O.H.; Shin, J. Deep focus approach for accurate bone age estimation from lateral cephalogram. J. Dent. Sci. 2023, 18, 34–43. [Google Scholar] [CrossRef]
- Beltran-Aroca, C.M.; Lopez-Alcaraz, M.; Perez-Jorge, P.; Velazquez-Gomez, J.L.; Font-Ugalde, P.; Girela-Lopez, E. Forensic age estimation: Comparison and validation of the Iscan method in 3D reconstructions using a surface scanner in a Spanish population. Int. J. Leg. Med. 2023, 137, 773–785. [Google Scholar] [CrossRef]
- Pereira, C.P.; Santos, R.; Nushi, V.; Lameiro, M.V.; Antunes, P.; Carvalho, R.; Major, T.; AlQahtani, S.J. Dental age assessment: Scoring systems and models from the past until the present-how is it presented in the court? Int. J. Leg. Med. 2023, 137, 1497–1504. [Google Scholar] [CrossRef]
- Zangpo, D.; Uehara, K.; Kondo, K.; Yoshimiya, M.; Nakatome, M.; Iino, M. A novel method to estimate adult age from the lumbar vertebral body using 3D PMCT images in Japanese. Leg. Med. (Tokyo) 2023, 61, 102215. [Google Scholar] [CrossRef]
- Widek, T.; De Tobel, J.; Ehammer, T.; Genet, P. Forensic age estimation in males by MRI based on the medial epiphysis of the clavicle. Int. J. Leg. Med. 2023, 137, 679–689. [Google Scholar] [CrossRef] [PubMed]
- Luo, S.; Fan, F.; Zhang, X.-T.; Liu, A.-J.; Lin, Y.-S.; Cheng, Z.-Q.; Song, C.-X.; Wang, J.-J.; Deng, Z.-H.; Zhan, M.-J. Forensic age estimation in adults by pubic bone mineral density using multidetector computed tomography. Int. J. Leg. Med. 2023, 137, 1527–1533. [Google Scholar] [CrossRef]
- Schmeling, A.; Grundmann, C.; Fuhrmann, A.; Kaatsch, H.-J.; Knell, B.; Ramsthaler, F.; Reisinger, W.; Riepert, T.; Ritz-Timme, S.; Rösing, F.W.; et al. Criteria for age estimation in living individuals. Int. J. Leg. Med. 2008, 122, 457–460. [Google Scholar] [CrossRef] [PubMed]
- Schmeling, A.; Dettmeyer, R.; Rudolf, E.; Vieth, V.; Geserick, G. Forensic Age Estimation. Dtsch. Arztebl. Int. 2016, 113, 44–50. [Google Scholar] [CrossRef] [PubMed]
- Müller, N. Zur Altersbestimmung beim Menschen unter Besonderer Berücksichtigung der Weisheitszähne; Med Diss Erlangen-Nürnberg: Erlangen, Germany, 1990. [Google Scholar]
- Lewis, J.M.; Senn, D.R. Forensic Dental Age Estimation: An Overview. J. Calif. Dent. Assoc. 2015, 43, 315–319. [Google Scholar] [CrossRef] [PubMed]
- Biggerstaff, R.H. Forensic dentistry and the human dentition in individual age estimations. Dent. Clin. N. Am. 1977, 21, 167–174. [Google Scholar] [CrossRef]
- Schmeling, A.; Geserick, G.; Reisinger, W.; Olze, A. Age estimation. Forensic Sci. Int. 2007, 165, 178–181. [Google Scholar] [CrossRef]
- Verma, M.; Verma, N.; Sharma, R.; Sharma, A. Dental age estimation methods in adult dentitions: An overview. J. Forensic Dent. Sci. 2019, 11, 57–63. [Google Scholar] [CrossRef]
- Verma, A.K.; Kumar, S.; Rathore, S.; Pandey, A. Role of dental expert in forensic odontology. Natl. J. Maxillofac. Surg. 2014, 5, 2–5. [Google Scholar] [CrossRef]
- Olze, A.; Peschke, C.; Schulz, R.; Ribbecke, S.; Schmeling, A. Beurteilung der Weisheitszahneruption: Vergleich von zwei Stadieneinteilungen. Rechtsmedizin 2012, 22, 451–455. [Google Scholar] [CrossRef]
- Olze, A.; Peschke, C.; Schulz, R.; Schmeling, A. Studies of the chronological course of wisdom tooth eruption in a German population. J. Forensic Leg. Med. 2008, 15, 426–429. [Google Scholar] [CrossRef]
- Olze, A.; van Niekerk, P.; Ishikawa, T.; Zhu, B.L.; Schulz, R.; Maeda, H.; Schmeling, A. Comparative study on the effect of ethnicity on wisdom tooth eruption. Int. J. Leg. Med. 2007, 121, 445–448. [Google Scholar] [CrossRef] [PubMed]
- Widek, T.; Genet, P.; Merkens, H.; Boldt, J.; Petrovic, A.; Vallis, J.; Scheurer, E. Dental age estimation: The chronology of mineralization and eruption of male third molars with 3T MRI. Forensic Sci. Int. 2019, 297, 228–235. [Google Scholar] [CrossRef] [PubMed]
- Guo, Y.; Yan, C.; Lin, X.; Zhou, H.; Pan, F.; Wei, L.; Tang, Z.; Liang, F.; Chen, T. Studies of the chronological course of third molars eruption in a northern Chinese population. Arch. Oral Biol. 2014, 59, 906–911. [Google Scholar] [CrossRef] [PubMed]
- Kutesa, A.M.; Rwenyonyi, C.M.; Mwesigwa, C.L.; Muhammad, M.; Nabaggala, G.S.; Kalyango, J. Dental age estimation using radiographic assessment of third molar eruption among 10-20-year-old Ugandan population. J. Forensic Dent. Sci. 2019, 11, 16–21. [Google Scholar] [CrossRef]
- Schmeling, A.; Olze, A.; Pynn, B.R.; Kraul, V.; Schulz, R.; Heinecke, A.; Pfeiffer, H. Dental age estimation based on third molar eruption in First Nation people of Canada. J. Forensic Odontostomatol. 2010, 28, 32–38. [Google Scholar]
- Olze, A.; van Niekerk, P.; Schulz, R.; Schmeling, A. Studies of the chronological course of wisdom tooth eruption in a Black African population. J. Forensic Sci. 2007, 52, 1161–1163. [Google Scholar] [CrossRef]
- Kreiborg, S.; Jensen, B.L. Tooth formation and eruption-lessons learnt from cleidocranial dysplasia. Eur. J. Oral Sci. 2018, 126 (Suppl. S1), 72–80. [Google Scholar] [CrossRef]
- Almonaitiene, R.; Balciuniene, I.; Tutkuviene, J. Factors influencing permanent teeth eruption. Part one—General factors. Stomatologija 2010, 12, 67–72. [Google Scholar]
- Cahill, D.R.; Marks, S.C. Tooth eruption: Evidence for the central role of the dental follicle. J. Oral Pathol. 1980, 9, 189–200. [Google Scholar] [CrossRef]
- Willmot, S.E.; Hector, M.P.; Liversidge, H.M. Accuracy of estimating age from eruption levels of mandibular teeth. DAJ 2018, 26, 56–62. [Google Scholar] [CrossRef][Green Version]
- AlQahtani, S.J.; Hector, M.P.; Liversidge, H.M. Brief communication: The London atlas of human tooth development and eruption. Am. J. Phys. Anthropol. 2010, 142, 481–490. [Google Scholar] [CrossRef] [PubMed]
- Haavikko, K. The formation and the alveolar and clinical eruption of the permanent teeth. An orthopantomographic study. Suom. Hammaslaak. Toim. 1970, 66, 103–170. [Google Scholar] [PubMed]
- Gambier, A.; Rérolle, C.; Faisant, M.; Lemarchand, J.; Paré, A.; Saint-Martin, P. Contribution of third molar eruption to the estimation of the forensic age of living individuals. Int. J. Leg. Med. 2019, 133, 625–632. [Google Scholar] [CrossRef]
- Timme, M.; Viktorov, J.; Steffens, L.; Streeter, A.; Karch, A.; Schmeling, A. Third molar eruption in orthopantomograms as a feature for forensic age assessment—A comparison study of different classification systems. Int. J. Leg. Med. 2023, 137, 765–772. [Google Scholar] [CrossRef]
- Mörnstad, H.; Staaf, V.; Welander, U. Age estimation with the aid of tooth development: A new method based on objective measurements. Scand. J. Dent. Res. 1994, 102, 137–143. [Google Scholar] [CrossRef]
- Liversidge, H.M.; Lyons, F.; Hector, M.P. The accuracy of three methods of age estimation using radiographic measurements of developing teeth. Forensic Sci. Int. 2003, 131, 22–29. [Google Scholar] [CrossRef]
- Liversidge, H.M.; Molleson, T.I. Developing Permanent Tooth Length as an Estimate of Age. J. Forensic Sci. 1999, 44, 917–920. [Google Scholar] [CrossRef]
- Carels, C.E.; Kuijpers-Jagtman, A.M.; van der Linden, F.P.; Van’t Hof, M.A. Age reference charts of tooth length in Dutch children. J. Biol. Buccale 1991, 19, 297–303. [Google Scholar]
- Wedl, J.S.; Friedrich, R.E. Die Abstandsmessung der Weisheitszähne zur Okklusionsebene als forensisch-odontologisches Hilfsmittel zur Bestimmung des chronologischen Alters. Arch. Kriminol. 2005, 215, 77–84. [Google Scholar]
- Rondon, R.H.N.; Pereira, Y.C.L.; do Nascimento, G.C. Common positioning errors in panoramic radiography: A review. Imaging Sci. Dent. 2014, 44, 1–6. [Google Scholar] [CrossRef] [PubMed]
- Leyli, B. Fehlpositionierungsbedingte “Verzerrungen“ der Panoramaschichtaufnahme; Med Diss Hamburg: Hamburg, Germany, 2005. [Google Scholar]
- Archer, W.H. Die Chirurgie des Mundes und der Zähne; Medica: Stuttgart, Germany, 1955. [Google Scholar]
- Wolf, H.; Haunfelder, D. Zahnärztliche Mundchirurgie für Studierende der Zahnheilkunde; Berlinische Verlagsanstalt: Berlin, Germany, 1960. [Google Scholar]
- Raithel, J. Quantitative Forschung: Ein Praxiskurs; Lehrbuch, 2., durchgesehene Auflage; VS Verlag für Sozialwissenschaften: Wiesbaden, Germany, 2008; ISBN 978-3-531-16181-5. [Google Scholar]
- Boslaugh, S. Encyclopedia of Epidemiology; SAGE Publications, Inc.: Thousand Oaks, CA, USA, 2008; ISBN 978-1-4129-2816-8. [Google Scholar]
- Prion, S.; Haerling, K.A. Making Sense of Methods and Measurement: Spearman-Rho Ranked-Order Correlation Coefficient. Clin. Simul. Nurs. 2014, 10, 535–536. [Google Scholar] [CrossRef]
- Krippendorff, K. Content Analysis: An Introduction to Its Methodology, 2nd ed.; Sage: Thousand Oaks, CA, USA, 2004; ISBN 978-0-7619-1544-7. [Google Scholar]
- Hayes, A.F.; Krippendorff, K. Answering the Call for a Standard Reliability Measure for Coding Data. Commun. Methods Meas. 2007, 1, 77–89. [Google Scholar] [CrossRef]
- Landis, J.R.; Koch, G.G. The measurement of observer agreement for categorical data. Biometrics 1977, 33, 159–174. [Google Scholar] [CrossRef] [PubMed]
- Larheim, T.A.; Svanaes, D.B.; Johannessen, S. Reproducibility of radiographs with the Orthopantomograph 5: Tooth-length assessment. Oral Surg. Oral Med. Oral Pathol. 1984, 58, 736–741. [Google Scholar] [CrossRef] [PubMed]
- Welander, U.; Wickman, G. Image Distortion in Narrow Beam Rotation Radiography: A Mathematical Analysis. Acta Radiol. Diagn. 1978, 19, 507–512. [Google Scholar] [CrossRef] [PubMed]
- Tronje, G.; Eliasson, S.; Julin, P.; Welander, U. Image Distortion in Rotational Panoramic Radiography: II. Vertical Distances. Acta Radiol. Diagn. 1981, 22, 449–455. [Google Scholar] [CrossRef]
- Tronje, G.; Welander, U.; McDavid, W.D.; Morris, C.R. Image Distortion in Rotational Panoramic Radiography: I. General Considerations. Acta Radiol. Diagn. 1981, 22, 295–299. [Google Scholar] [CrossRef]
- Thanyakarn, C.; Hansen, K.; Rohlin, M.; Akesson, L. Measurements of tooth length in panoramic radiographs. 1. The use of indicators. Dentomaxillofac. Radiol. 1992, 21, 26–30. [Google Scholar] [CrossRef]
- Ezoddini Ardakani, F.; Zangouie Booshehri, M.; Behniafar, B. Evaluation of the distortion rate of panoramic and periapical radiographs in erupted third molar inclination. Iran. J. Radiol. 2011, 8, 15–21. [Google Scholar]
- Asif, M.K.; Nambiar, P.; Mani, S.A.; Ibrahim, N.B.; Khan, I.M.; Sukumaran, P. Dental age estimation employing CBCT scans enhanced with Mimics software: Comparison of two different approaches using pulp/tooth volumetric analysis. J. Forensic Leg. Med. 2018, 54, 53–61. [Google Scholar] [CrossRef] [PubMed]
- Marroquin Penaloza, T.Y.; Karkhanis, S.; Kvaal, S.I.; Nurul, F.; Kanagasingam, S.; Franklin, D.; Vasudavan, S.; Kruger, E.; Tennant, M. Application of the Kvaal method for adult dental age estimation using Cone Beam Computed Tomography (CBCT). J. Forensic Leg. Med. 2016, 44, 178–182. [Google Scholar] [CrossRef] [PubMed]
- Pinchi, V.; Pradella, F.; Buti, J.; Baldinotti, C.; Focardi, M.; Norelli, G.-A. A new age estimation procedure based on the 3D CBCT study of the pulp cavity and hard tissues of the teeth for forensic purposes: A pilot study. J. Forensic Leg. Med. 2015, 36, 150–157. [Google Scholar] [CrossRef] [PubMed]
- Biuki, N.; Razi, T.; Faramarzi, M. Relationship between pulp-tooth volume ratios and chronological age in different anterior teeth on CBCT. J. Clin. Exp. Dent. 2017, 9, e688–e693. [Google Scholar] [CrossRef][Green Version]
- Baumann, P.; Widek, T.; Merkens, H.; Boldt, J.; Petrovic, A.; Urschler, M.; Kirnbauer, B.; Jakse, N.; Scheurer, E. Dental age estimation of living persons: Comparison of MRI with OPG. Forensic Sci. Int. 2015, 253, 76–80. [Google Scholar] [CrossRef]
- Guo, Y.; Olze, A.; Ottow, C.; Schmidt, S.; Schulz, R.; Heindel, W.; Pfeiffer, H.; Vieth, V.; Schmeling, A. Dental age estimation in living individuals using 3.0 T MRI of lower third molars. Int. J. Leg. Med. 2015, 129, 1265–1270. [Google Scholar] [CrossRef]
- Karadayi, B.; Kaya, A.; Kolusayın, M.O.; Karadayi, S.; Afsin, H.; Ozaslan, A. Radiological age estimation: Based on third molar mineralization and eruption in Turkish children and young adults. Int. J. Leg. Med. 2012, 126, 933–942. [Google Scholar] [CrossRef]
- Putul, M.; Konwar, R.; Dutta, M.; Basumatary, B.; Rajbongshi, M.C.; Thakuria, K.D.; Sarma, B. Assessment of Age at the Stages of the Eruption of Third Molar Teeth among the People of North-Eastern India. Biomed. Res. Int. 2021, 2021, 9714121. [Google Scholar] [CrossRef]
- der Mauer, M.A.; Well, E.J.; Herrmann, J.; Groth, M.; Morlock, M.M.; Maas, R.; Säring, D. Automated age estimation of young individuals based on 3D knee MRI using deep learning. Int. J. Leg. Med. 2021, 135, 649–663. [Google Scholar] [CrossRef]
- Saint-Martin, P.; Rérolle, C.; Dedouit, F.; Rousseau, H.; Rougé, D.; Telmon, N. Evaluation of an automatic method for forensic age estimation by magnetic resonance imaging of the distal tibial epiphysis—A preliminary study focusing on the 18-year threshold. Int. J. Leg. Med. 2014, 128, 675–683. [Google Scholar] [CrossRef]
- Peng, L.-Q.; Guo, Y.-C.; Wan, L.; Liu, T.-A.; Wang, P.; Zhao, H.; Wang, Y.-H. Forensic bone age estimation of adolescent pelvis X-rays based on two-stage convolutional neural network. Int. J. Leg. Med. 2022, 136, 797–810. [Google Scholar] [CrossRef] [PubMed]
- Bunyarit, S.S.; Nambiar, P.; Naidu, M.; Asif, M.K.; Poh, R.Y.Y. Dental age estimation of Malaysian Indian children and adolescents: Applicability of Chaillet and Demirjian’s modified method using artificial neural network. Ann. Hum. Biol. 2022, 49, 192–199. [Google Scholar] [CrossRef] [PubMed]
- Fan, F.; Ke, W.; Dai, X.; Shi, L.; Liu, Y.; Lin, Y.; Cheng, Z.; Zhang, Y.; Chen, H.; Deng, Z. Semi-supervised automatic dental age and sex estimation using a hybrid transformer model. Int. J. Leg. Med. 2023, 137, 721–731. [Google Scholar] [CrossRef] [PubMed]
- Stern, D.; Payer, C.; Giuliani, N.; Urschler, M. Automatic Age Estimation and Majority Age Classification From Multi-Factorial MRI Data. IEEE J. Biomed. Health Inform. 2019, 23, 1392–1403. [Google Scholar] [CrossRef] [PubMed]
- Stern, D.; Ebner, T.; Bischof, H.; Grassegger, S.; Ehammer, T.; Urschler, M. Fully automatic bone age estimation from left hand MR images. Med. Image Comput. Comput. Assist. Interv. 2014, 17, 220–227. [Google Scholar] [CrossRef]
- Vila-Blanco, N.; Carreira, M.J.; Varas-Quintana, P.; Balsa-Castro, C.; Tomas, I. Deep Neural Networks for Chronological Age Estimation from OPG Images. IEEE Trans. Med. Imaging 2020, 39, 2374–2384. [Google Scholar] [CrossRef]
- Kim, J.R.; Shim, W.H.; Yoon, H.M.; Hong, S.H.; Lee, J.S.; Cho, Y.A.; Kim, S. Computerized Bone Age Estimation Using Deep Learning Based Program: Evaluation of the Accuracy and Efficiency. AJR Am. J. Roentgenol. 2017, 209, 1374–1380. [Google Scholar] [CrossRef]
- Lanitis, A.; Draganova, C.; Christodoulou, C. Comparing different classifiers for automatic age estimation. IEEE Trans. Syst. Man. Cybern. B Cybern. 2004, 34, 621–628. [Google Scholar] [CrossRef]


| Age | Females (n) | Males (n) | Total (n) |
|---|---|---|---|
| 15 | 21 | 18 | 39 |
| 16 | 18 | 23 | 41 |
| 17 | 20 | 21 | 41 |
| 18 | 22 | 20 | 42 |
| 19 | 21 | 20 | 41 |
| 20 | 20 | 17 | 37 |
| 21 | 20 | 20 | 40 |
| 22 | 18 | 15 | 33 |
| 23 | 24 | 21 | 45 |
| 24 | 16 | 14 | 30 |
| 25 | 20 | 14 | 34 |
| Total (n) | 220 | 203 | 423 |
| Tooth | Sex | Spearman ρ | 95% LCL | 95% UCL |
|---|---|---|---|---|
| 38 | Male | 0.557 | 0.441 | 0.637 |
| 48 | Male | 0.581 | 0.455 | 0.671 |
| 38 | Female | 0.555 | 0.423 | 0.647 |
| 48 | Female | 0.597 | 0.476 | 0.688 |
| Tooth | Sex | Krippendorff’s α | 95% LCL | 95% UCL |
|---|---|---|---|---|
| 38 | Male | 0.984 | 0.968 | 0.99 |
| 48 | Male | 0.932 | 0.735 | 0.993 |
| 38 | Female | 0.986 | 0.977 | 0.989 |
| 48 | Female | 0.991 | 0.988 | 0.993 |
| Tooth | Sex | Krippendorff’s α | 95% LCL | 95% UCL |
|---|---|---|---|---|
| 38 | Male | 0.984 | 0.971 | 0.988 |
| 48 | Male | 0.986 | 0.983 | 0.99 |
| 38 | Female | 0.992 | 0.99 | 0.994 |
| 48 | Female | 0.99 | 0.986 | 0.992 |
Disclaimer/Publisher’s Note: The statements, opinions and data contained in all publications are solely those of the individual author(s) and contributor(s) and not of MDPI and/or the editor(s). MDPI and/or the editor(s) disclaim responsibility for any injury to people or property resulting from any ideas, methods, instructions or products referred to in the content. |
© 2023 by the authors. Licensee MDPI, Basel, Switzerland. This article is an open access article distributed under the terms and conditions of the Creative Commons Attribution (CC BY) license (https://creativecommons.org/licenses/by/4.0/).
Share and Cite
Timme, M.; Bender, J.; Steffens, L.; Shay, D.; Schmeling, A. Third Molar Eruption in Dental Panoramic Radiographs as a Feature for Forensic Age Assessment—Presentation of a New Non-Staging Method Based on Measurements. Biology 2023, 12, 1403. https://doi.org/10.3390/biology12111403
Timme M, Bender J, Steffens L, Shay D, Schmeling A. Third Molar Eruption in Dental Panoramic Radiographs as a Feature for Forensic Age Assessment—Presentation of a New Non-Staging Method Based on Measurements. Biology. 2023; 12(11):1403. https://doi.org/10.3390/biology12111403
Chicago/Turabian StyleTimme, Maximilian, Jostin Bender, Laurin Steffens, Denys Shay, and Andreas Schmeling. 2023. "Third Molar Eruption in Dental Panoramic Radiographs as a Feature for Forensic Age Assessment—Presentation of a New Non-Staging Method Based on Measurements" Biology 12, no. 11: 1403. https://doi.org/10.3390/biology12111403
APA StyleTimme, M., Bender, J., Steffens, L., Shay, D., & Schmeling, A. (2023). Third Molar Eruption in Dental Panoramic Radiographs as a Feature for Forensic Age Assessment—Presentation of a New Non-Staging Method Based on Measurements. Biology, 12(11), 1403. https://doi.org/10.3390/biology12111403

