Histopathology of the Intervertebral Disc of Nothobranchius furzeri, a Fish Model of Accelerated Aging
Abstract
Simple Summary
Abstract
1. Introduction
2. Material and Methods
2.1. Animals
2.2. Paraffin Embedding
2.3. Hematoxylin and Eosin Staining
2.4. Toluidine Blue Staining
2.5. Alcian Blue/Picrosirius Red Staining
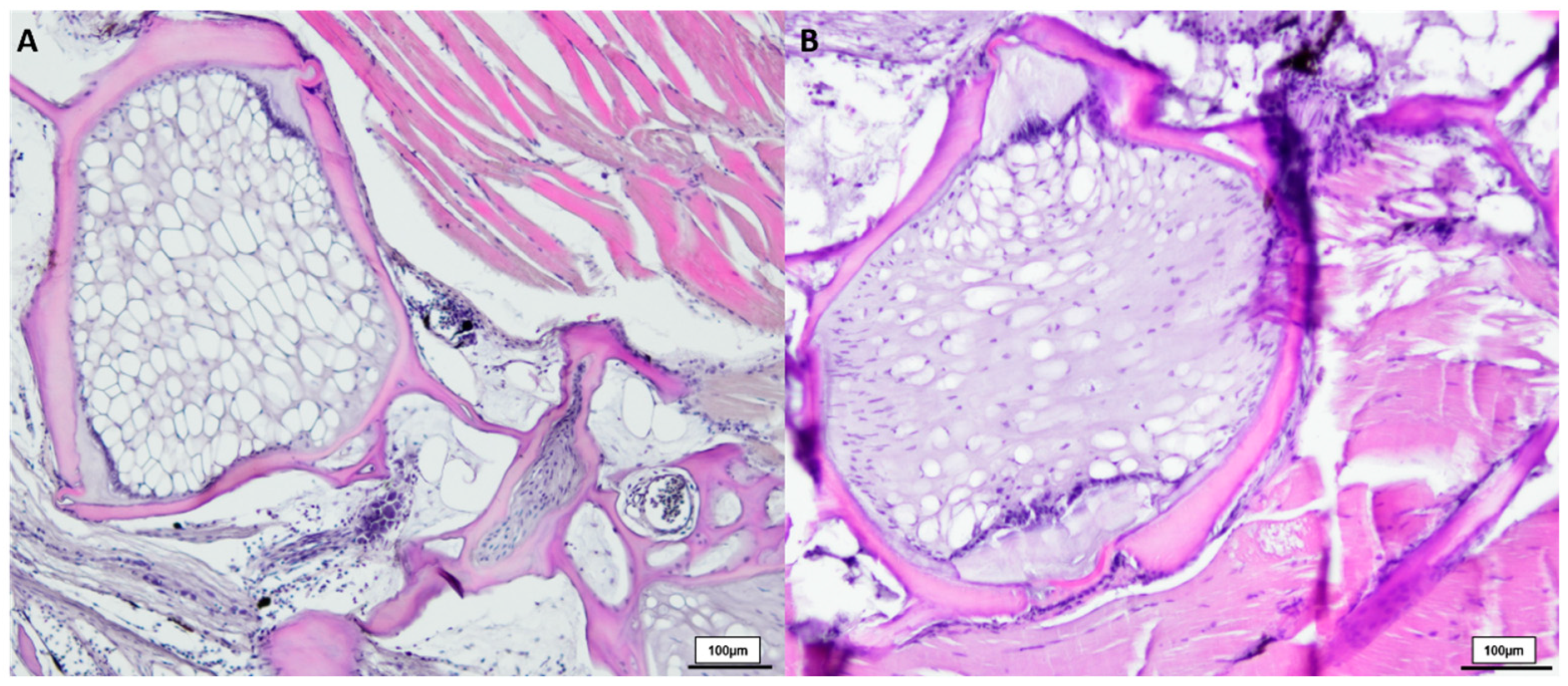
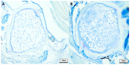
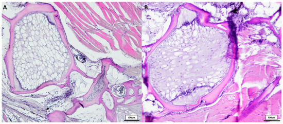
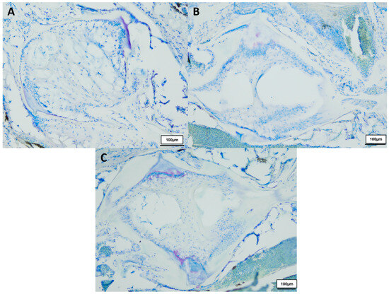
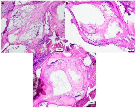
3. Results
4. Discussion
5. Conclusions
Author Contributions
Funding
Institutional Review Board Statement
Informed Consent Statement
Data Availability Statement
Conflicts of Interest
References
- Hunter, D.J.; March, L.; Chew, M. Osteoarthritis in 2020 and beyond: A Lancet Commission. Lancet 2020, 396, 1711–1712. [Google Scholar] [CrossRef]
- Altman, R.; Asch, E.; Bloch, D.; Bole, G.; Borenstein, D.; Brandt, K.; Christy, W.; Cooke, T.D.; Greenwald, R.; Hochberg, M. Development of criteria for the classification and reporting of osteoarthritis. Classification of osteoarthritis of the knee. Diagnostic and Therapeutic Criteria Committee of the American Rheumatism Association. Arthritis Rheum. 1986, 29, 1039–1049. [Google Scholar] [CrossRef] [PubMed]
- Kuyinu, E.L.; Narayanan, G.; Nair, L.S.; Laurencin, C.T. Animal models of osteoarthritis: Classification, update, and measurement of outcomes. J. Orthop. Surg. Res. 2016, 11, 1145. [Google Scholar] [CrossRef]
- Kraus, V.B.; Blanco, F.J.; Englund, M.; Karsdal, M.A.; Lohmander, L.S. Call for standardized definitions of osteoarthritis and risk stratification for clinical trials and clinical use. Osteoarthr. Cartil. 2015, 23, 1233–1241. [Google Scholar] [CrossRef] [PubMed]
- Man, G.S.; Mologhianu, G. Osteoarthritis pathogenesis—A complex process thatinvolves the entire joint. J. Med. Life 2014, 7, 37. [Google Scholar] [PubMed]
- Glyn-Jones, S.; Palmer, A.J.R.; Agricola, R.; Price, A.J.; Vincent, T.L.; Weinans, H.; Carr, A.J. Osteoarthritis. Lancet 2015, 386, 376–387. [Google Scholar] [CrossRef]
- Sulzbacher, I. Osteoarthritis: Histology and pathogenesis. Wien. Med. Wochenschr. 2013, 163, 212–219. [Google Scholar] [CrossRef]
- Xia, B.; Chen, D.; Zhang, J.; Hu, S.; Jin, H.; Tong, P. Osteoarthritis pathogenesis: A review of molecular mechanisms. Calcif. Tissue Int. 2014, 95, 495–505. [Google Scholar] [CrossRef]
- Orlowsky, E.W.; Kraus, V.B. The Role of Innate Immunity in Osteoarthritis: When Our First Line of Defense Goes On the Offensive. J. Rheumatol. 2015, 42, 363–371. [Google Scholar] [CrossRef]
- Gregory, E.H.; Natalia, M.; Debra, K.W. Degenerative Lumbar Disc and Facet Disease in Older Adults: Prevalence and Clinical Correlates. Spine 2009, 34, 1301. [Google Scholar]
- Foizer, G.A.; Paiva, V.C.d.; Nascimento, R.D.d.; Gorios, C.; Cliquet Júnior, A.; Miranda, J.B.d. Existe alguma associação entre gravidade de degeneração discal e dor lombar? Rev. Bras. Ortop. 2022, 57, 334–340. [Google Scholar] [CrossRef] [PubMed]
- Machado, E.S.; Soares, F.P.; Vianna de Abreu, E.; Souza, T.A.d.C.d.; Meves, R.; Grohs, H.; Ambach, M.A.; Navani, A.; de Castro, R.B.; Pozza, D.H.; et al. Systematic Review of Platelet-Rich Plasma for Low Back Pain. Biomedicines 2023, 11, 2404. [Google Scholar] [CrossRef]
- Sadowska, A.; Touli, E.; Hitzl, W.; Greutert, H.; Ferguson, S.J.; Wuertz-Kozak, K.; Hausmann, O.N. Inflammaging in cervical and lumbar degenerated intervertebral discs: Analysis of proinflammatory cytokine and TRP channel expression. Eur. Spine J. 2018, 27, 564–577. [Google Scholar] [CrossRef]
- Pravdyuk, N.G.; Novikova, A.V.; Shostak, N.A.; Buianova, A.A.; Tairova, R.T.; Patsap, O.I.; Raksha, A.P.; Timofeyev, V.T.; Feniksov, V.M.; Nikolayev, D.A.; et al. Immunomorphogenesis in Degenerative Disc Disease: The Role of Proinflammatory Cytokines and Angiogenesis Factors. Biomedicines 2023, 11, 2184. [Google Scholar] [CrossRef] [PubMed]
- Lorio, M.P.; Beall, D.P.; Calodney, A.K.; Lewandrowski, K.-U.; Block, J.E.; Mekhail, N. Defining the Patient with Lumbar Discogenic Pain: Real-World Implications for Diagnosis and Effective Clinical Management. JPM 2023, 13, 821. [Google Scholar] [CrossRef]
- Liu, Z.; Dai, G.; Cao, Y.; Duan, C. Analysis of Degenerative and Isthmic Lumbar Spondylolisthesis from the Difference of Pelvic Parameters and the Degree of Degeneration through Imaging Data. JPM 2023, 13, 1420. [Google Scholar] [CrossRef]
- Apschner, A.; Schulte-Merker, S.; Witten, P.E. Not All Bones Are Created Equal—Using Zebrafish and Other Teleost Species in OsteoGenesis Research; Elsevier: Amsterdam, The Netherlands, 2011. [Google Scholar]
- Mitchell, R.E.; Huitema, L.F.A.; Skinner, R.E.H.; Brunt, L.H.; Severn, C.; Schulte-Merker, S.; Hammond, C.L. New tools for studying osteoarthritis genetics in zebrafish. Osteoarthr. Cartil. 2013, 21, 269–278. [Google Scholar] [CrossRef] [PubMed]
- Askary, A.; Smeeton, J.; Paul, S.; Schindler, S.; Braasch, I.; Ellis, N.A.; Postlethwait, J.; Miller, C.T.; Crump, J.G. Ancient origin of lubricated joints in bony vertebrates. eLife 2016, 5, 799. [Google Scholar] [CrossRef]
- Dyková, I.; Žák, J.; Blažek, R.; Reichard, M.; Součková, K.; Slabý, O. Histology of major organ systems of Nothobranchius fishes: Short-lived model species. J. Vertebr. Biol. 2022, 71, 21074-1. [Google Scholar] [CrossRef]
- Platzer, M.; Englert, C. Nothobranchius furzeri: A Model for Aging Research and More. Trends Genet. 2016, 32, 543–552. [Google Scholar] [CrossRef]
- D’Angelo, L. An aquatic organism as time machine: Nothobranchius furzeri. J. Gerontol. Geriatr. 2017, 65, 307–310. [Google Scholar]
- Butylina, M.; Föger-Samwald, U.; Gamsjaeger, S.; Wahl-Figlash, K.; Kothmayer, M.; Paschalis, E.P.; Pusch, O.; Pietschmann, P. Nothobranchius furzeri, the Turquoise Killifish: A Model of Age-Related Osteoporosis? Gerontology 2022, 68, 1415–1427. [Google Scholar] [CrossRef]
- Zupkovitz, G.; Kabiljo, J.; Martin, D.; Laffer, S.; Schöfer, C.; Pusch, O. Phylogenetic analysis and expression profiling of the Klotho gene family in the short-lived African killifish Nothobranchius furzeri. Dev. Genes. Evol. 2018, 228, 255–265. [Google Scholar] [CrossRef]
- Föger-Samwald, U.; Knecht, C.; Stimpfl, T.; Szekeres, T.; Kerschan-Schindl, K.; Mikosch, P.; Pietschmann, P.; Sipos, W. Bone Effects of Binge Alcohol Drinking Using Prepubescent Pigs as a Model. Alcohol. Clin. Exp. Res. 2018, 42, 2123–2135. [Google Scholar] [CrossRef]
- Sanatamaría, J.A.; Andrades, J.A.; Herráez, P.; Fernández-Llebrez, P.; Becerra, J. Perinotochordal connective sheet of gilthead sea bream larvae (Sparus aurata, L.) affected by axial malformations: An histochemical and immunocytochemical study. Anat. Rec. 1994, 240, 248–254. [Google Scholar] [CrossRef]
- Inohaya, K.; Takano, Y.; Kudo, A. The teleost intervertebral region acts as a growth center of the centrum: In vivo visualization of osteoblasts and their progenitors in transgenic fish. Dev. Dyn. 2007, 236, 3031–3046. [Google Scholar] [CrossRef]
- Seleit, A.; Gross, K.; Onistschenko, J.; Woelk, M.; Autorino, C.; Centanin, L. Development and regeneration dynamics of the Medaka notochord. Dev. Biol. 2020, 463, 11–25. [Google Scholar] [CrossRef] [PubMed]
- Kryvi, H.; Rusten, I.; Fjelldal, P.G.; Nordvik, K.; Totland, G.K.; Karlsen, T.; Wiig, H.; Long, J.H. The notochord in Atlantic salmon (Salmo salar L.) undergoes profound morphological and mechanical changes during development. J. Anat. 2017, 231, 639–654. [Google Scholar] [CrossRef]
- López-Cuevas, P.; Deane, L.; Yang, Y.; Hammond, C.L.; Kague, E. Transformed notochordal cells trigger chronic wounds in zebrafish, destabilizing the vertebral column and bone homeostasis. Dis. Model. Mech. 2021, 14, 417. [Google Scholar] [CrossRef] [PubMed]
- Irie, K.; Kuroda, Y.; Mimori, N.; Hayashi, S.; Abe, M.; Tsuji, N.; Sugiyama, A.; Furukawa, S. Histopathology of a wavy medaka. J. Toxicol. Pathol. 2016, 29, 115–118. [Google Scholar] [CrossRef] [PubMed]
- Gistelinck, C.; Gioia, R.; Gagliardi, A.; Tonelli, F.; Marchese, L.; Bianchi, L.; Landi, C.; Bini, L.; Huysseune, A.; Witten, P.E.; et al. Zebrafish Collagen Type I: Molecular and Biochemical Characterization of the Major Structural Protein in Bone and Skin. Sci. Rep. 2016, 6, 21540. [Google Scholar] [CrossRef] [PubMed]
- Khayer Dastjerdi, A.; Barthelat, F. Teleost fish scales amongst the toughest collagenous materials. J. Mech. Behav. Biomed. Mater. 2015, 52, 95–107. [Google Scholar] [CrossRef] [PubMed]
- Kranenbarg, S.; van Cleynenbreugel, T.; Schipper, H.; van Leeuwen, J. Adaptive bone formation in acellular vertebrae of sea bass(Dicentrarchus labrax L.). J. Exp. Biol. 2005, 208, 3493–3502. [Google Scholar] [CrossRef]
- Witten, P.E.; Gil-Martens, L.; Hall, B.K.; Huysseune, A.; Obach, A. Compressed vertebrae in Atlantic salmon Salmo salar: Evidence for metaplastic chondrogenesis as a skeletogenic response late in ontogeny. Dis. Aquat. Org. 2005, 64, 237–246. [Google Scholar] [CrossRef]
- Grimmett, S.G.; Chalmers, H.J.; Wolf, J.C.; Bowser, P.R. Spinal deformity in triploid grass carp ctenopharyngodon idella (Valenciennes). J. Fish. Dis. 2011, 34, 217–225. [Google Scholar] [CrossRef]
- Hayes, A.J.; Reynolds, S.; Nowell, M.A.; Meakin, L.B.; Habicher, J.; Ledin, J.; Bashford, A.; Caterson, B.; Hammond, C.L.; Heymann, D. Spinal Deformity in Aged Zebrafish Is Accompanied by Degenerative Changes to Their Vertebrae that Resemble Osteoarthritis. PLoS ONE 2013, 8, e75787. [Google Scholar] [CrossRef] [PubMed][Green Version]
- Kimura, T.; Nakata, K.; Tsumaki, N.; Miyamoto, S.; Matsui, Y.; Ebara, S.; Ochi, T. Progressive degeneration of articular cartilage and intervertebral discs. Int. Orthop. 1996, 20, 177–181. [Google Scholar] [CrossRef]
- Vincent, K.; Mohanty, S.; Pinelli, R.; Bonavita, R.; Pricop, P.; Albert, T.J.; Dahia, C.L. Aging of mouse intervertebral disc and association with back pain. Bone 2019, 123, 246–259. [Google Scholar] [CrossRef]
- COLE, T.; BURKHARDT, D.; FROST, L.; GHOSH, P. The proteoglycans of the canine intervertebral disc. Biochim. Biophys. Acta (BBA)-Gen. Subj. 1985, 839, 127–138. [Google Scholar] [CrossRef]
- Maeda, S.; Kokubun, S. Changes with Age in Proteoglycan Synthesis in Cells Cultured In Vitro From the Inner and Outer Rabbit Annulus Fibrosus. Spine 2000, 25, 166. [Google Scholar] [CrossRef]
- Park, C.; Kim, Y.J.; Lee, C.-S.; An, K.; Shin, H.J.; Lee, C.H.; Kim, C.H.; Shin, J.-W. An In vitro Animal Study of the Biomechanical Responses of Anulus Fibrosus With Aging. Spine 2005, 30, E259–E265. [Google Scholar] [CrossRef]
- Wallace, F.B. Comparative Anatomy and Development of the Mammalian Disc. In Biology of Invertebral Disc; Ghosh, P., Ed.; CRC Press LLC: Milton, UK, 2019; pp. 83–108. [Google Scholar]
- Hunter, C.J.; Matyas, J.R.; Duncan, N.A. Cytomorphology of notochordal and chondrocytic cells from the nucleus pulposus: A species comparison. J. Anat. 2004, 205, 357–362. [Google Scholar] [CrossRef]
- Stevens, J.W.; Kurriger, G.L.; Carter, A.S.; Maynard, J.A. CD44 expression in the developing and growing rat intervertebral disc. Dev. Dyn. 2000, 219, 381–390. [Google Scholar] [CrossRef] [PubMed]
- Rufai, A.; Benjamin, M.; Ralphs, J.R. The development of fibrocartilage in the rat intervertebral disc. Anat. Embryol. 1995, 192, 53–62. [Google Scholar] [CrossRef] [PubMed]
- Roberts, S.; Evans, H.; Trivedi, J.; Menage, J. Histology and Pathology of the Human Intervertebral Disc. J. Bone Jt. Surg. 2006, 88, 10–14. [Google Scholar]
- Adams, M.A.; Roughley, P.J. What is Intervertebral Disc Degeneration, and What Causes It? Spine 2006, 31, 2151–2161. [Google Scholar] [CrossRef]
- Pattappa, G.; Li, Z.; Peroglio, M.; Wismer, N.; Alini, M.; Grad, S. Diversity of intervertebral disc cells: Phenotype and function. J. Anat. 2012, 221, 480–496. [Google Scholar] [CrossRef]
- Buckwalter, J.A. Aging and Degeneration of the Human Intervertebral Disc. Spine 1995, 20, 1307–1314. [Google Scholar] [CrossRef]
- Boos, N.; Weissbach, S.; Rohrbach, H.; Weiler, C.; Spratt, K.F.; Nerlich, A.G. Classification of Age-Related Changes in Lumbar Intervertebral Discs. Spine 2002, 27, 2631–2644. [Google Scholar] [CrossRef]
- Trout, J.J.; Buckwalter, J.A.; Moore, K.C. Ultrastructure of the human intervertebral disc: II. Cells of the nucleus pulposus. Anat. Rec. 1982, 204, 307–314. [Google Scholar] [CrossRef]
- Antoniou, J.; Steffen, T.; Nelson, F.; Winterbottom, N.; Hollander, A.P.; Poole, R.A.; Aebi, M.; Alini, M. The human lumbar intervertebral disc: Evidence for changes in the biosynthesis and denaturation of the extracellular matrix with growth, maturation, ageing, and degeneration. J. Clin. Investig. 1996, 98, 996–1003. [Google Scholar] [CrossRef] [PubMed]
- Roberts, S.; Eisenstein, S.M.; Menage, J.; Evans, E.H.; Ashton, I.K. Mechanoreceptors in Intervertebral Discs. Spine 1995, 20, 2645–2651. [Google Scholar] [CrossRef]
- Kumar, R.; Grønhaug, K.M.; Afseth, N.K.; Isaksen, V.; Lange Davies, C.d.; Drogset, J.O.; Lilledahl, M.B. Optical investigation of osteoarthritic human cartilage (ICRS grade) by confocal Raman spectroscopy: A pilot study. Anal. Bioanal. Chem. 2015, 407, 8067–8077. [Google Scholar] [CrossRef]
- Casal-Beiroa, P.; Balboa-Barreiro, V.; Oreiro, N.; Pértega-Díaz, S.; Blanco, F.J.; Magalhães, J. Optical Biomarkers for the Diagnosis of Osteoarthritis through Raman Spectroscopy: Radiological and Biochemical Validation Using Ex Vivo Human Cartilage Samples. Diagnostics 2021, 11, 546. [Google Scholar] [CrossRef]
- Johnson, W.E.B.; Eisenstein, S.M.; Roberts, S. Cell Cluster Formation in Degenerate Lumbar Intervertebral Discs is Associated with Increased Disc Cell Proliferation. Connect. Tissue Res. 2009, 42, 197–207. [Google Scholar] [CrossRef]
- Sakai, D.; Nakamura, Y.; Nakai, T.; Mishima, T.; Kato, S.; Grad, S.; Alini, M.; Risbud, M.V.; Chan, D.; Cheah, K.S.E.; et al. Exhaustion of nucleus pulposus progenitor cells with ageing and degeneration of the intervertebral disc. Nat. Commun. 2012, 3, 5. [Google Scholar] [CrossRef]
- Roberts, S.; Caterson, B.; Menage, J.; Evans, E.H.; Jaffray, D.C.; Eisenstein, S.M. Matrix Metalloproteinases and Aggrecanase. Spine 2000, 25, 3005–3013. [Google Scholar] [CrossRef] [PubMed]
- Yu, J.; Fairbank, J.C.T.; Roberts, S.; Urban, J.P.G. The Elastic Fiber Network of the Anulus Fibrosus of the Normal and Scoliotic Human Intervertebral Disc. Spine 2005, 30, 1815–1820. [Google Scholar] [CrossRef] [PubMed]
- Sha’ban, M.; Yoon, S.J.; Ko, Y.K.; Ha, H.J.; Kim, S.H.; So, J.W.; Idrus, R.B.H.; Khang, G. Fibrin promotes proliferation and matrix production of intervertebral disc cells cultured in three-dimensional poly(lactic-co-glycolic acid) scaffold. J. Biomater. Sci. Polym. Ed. 2012, 19, 1219–1237. [Google Scholar] [CrossRef]
- Little, J.P.; Adam, C.J. The Effect of Soft Tissue Properties on Spinal Flexibility in Scoliosis. Spine 2009, 34, E76–E82. [Google Scholar] [CrossRef]
- Roberts, S.; Urban, J.P.G.; Evans, H.; Eisenstein, S.M. Transport Properties of the Human Cartilage Endplate in Relation to Its Composition and Calcification. Spine 1996, 21, 415–420. [Google Scholar] [CrossRef]
- Roberts, S.; Menage, J.; Eisenstein, S.M. The cartilage end-plate and intervertebral disc in scoliosis: Calcification and other sequelae. J. Orthop. Res. 1993, 11, 747–757. [Google Scholar] [CrossRef]
- Kazezian, Z.; Gawri, R.; Haglund, L.; Ouellet, J.; Mwale, F.; Tarrant, F.; O’Gaora, P.; Pandit, A.; Alini, M.; Grad, S. Gene Expression Profiling Identifies Interferon Signalling Molecules and IGFBP3 in Human Degenerative Annulus Fibrosus. Sci. Rep. 2015, 5, 15662. [Google Scholar] [CrossRef] [PubMed]
- Genade, T.; Benedetti, M.; Terzibasi, E.; Roncaglia, P.; Valenzano, D.R.; Cattaneo, A.; Cellerino, A. Annual fishes of the genus Nothobranchius as a model system for aging research. Aging Cell 2005, 4, 223–233. [Google Scholar] [CrossRef] [PubMed]
- Valenzano, D.R.; Terzibasi, E.; Cattaneo, A.; Domenici, L.; Cellerino, A. Temperature affects longevity and age-related locomotor and cognitive decay in the short-lived fish Nothobranchius furzeri. Aging Cell 2006, 5, 275–278. [Google Scholar] [CrossRef] [PubMed]
- Terzibasi, E.; Lefrançois, C.; Domenici, P.; Hartmann, N.; Graf, M.; Cellerino, A. Effects of dietary restriction on mortality and age-related phenotypes in the short-lived fish Nothobranchius furzeri. Aging Cell 2009, 8, 88–99. [Google Scholar] [CrossRef] [PubMed]
- Henderson, D.W.; Small, B.C. Rapid acclimation of the cortisol stress response in adult turquoise killifish Nothobranchius furzeri. Lab. Anim. 2018, 53, 383–393. [Google Scholar] [CrossRef] [PubMed]
- Yu, T.; Witten, P.E.; Huysseune, A.; Buettner, A.; To, T.T.; Winkler, C. Live imaging of osteoclast inhibition by bisphosphonates in a medaka osteoporosis model. Dis. Model. Mech. 2015, 23, 584. [Google Scholar] [CrossRef]
- Shinagawa-Kobayashi, Y.; Kamimura, K.; Goto, R.; Ogawa, K.; Inoue, R.; Yokoo, T.; Sakai, N.; Nagoya, T.; Sakamaki, A.; Abe, S.; et al. Effect of histidine on sorafenib-induced vascular damage: Analysis using novel medaka fish model. Biochem. Biophys. Res. Commun. 2018, 496, 556–561. [Google Scholar] [CrossRef]
- Bukowska, B.; Sicińska, P. Influence of Benzo(a)pyrene on Different Epigenetic Processes. Int. J. Mol. Sci. 2021, 22, 13453. [Google Scholar] [CrossRef]
- Singha, S.; Muhammad, I.; Ibrahim, M.; Wang, M.; Ashpole, N.; Shariat-Madar, Z. 4-O-Methylhonokiol Influences Normal Cardiovascular Development in Medaka Embryo. Molecules 2019, 24, 475. [Google Scholar] [CrossRef]
- Cassar, S.; Adatto, I.; Freeman, J.L.; Gamse, J.T.; Iturria, I.; Lawrence, C.; Muriana, A.; Peterson, R.T.; van Cruchten, S.; Zon, L.I. Use of Zebrafish in Drug Discovery Toxicology. Chem. Res. Toxicol. 2020, 33, 95–118. [Google Scholar] [CrossRef] [PubMed]
- Katoch, S.; Patial, V. Zebrafish: An emerging model system to study liver diseases and related drug discovery. J. Appl. Toxicol. 2021, 41, 33–51. [Google Scholar] [CrossRef] [PubMed]
- Klee, E.W.; Ebbert, J.O.; Schneider, H.; Hurt, R.D.; Ekker, S.C. Zebrafish for the Study of the Biological Effects of Nicotine. Nicotine Tob. Res. 2011, 13, 301–312. [Google Scholar] [CrossRef] [PubMed]






Disclaimer/Publisher’s Note: The statements, opinions and data contained in all publications are solely those of the individual author(s) and contributor(s) and not of MDPI and/or the editor(s). MDPI and/or the editor(s) disclaim responsibility for any injury to people or property resulting from any ideas, methods, instructions or products referred to in the content. |
© 2023 by the authors. Licensee MDPI, Basel, Switzerland. This article is an open access article distributed under the terms and conditions of the Creative Commons Attribution (CC BY) license (https://creativecommons.org/licenses/by/4.0/).
Share and Cite
Butylina, M.; Wahl-Figlash, K.; Kothmayer, M.; Gelles, K.; Pusch, O.; Pietschmann, P. Histopathology of the Intervertebral Disc of Nothobranchius furzeri, a Fish Model of Accelerated Aging. Biology 2023, 12, 1305. https://doi.org/10.3390/biology12101305
Butylina M, Wahl-Figlash K, Kothmayer M, Gelles K, Pusch O, Pietschmann P. Histopathology of the Intervertebral Disc of Nothobranchius furzeri, a Fish Model of Accelerated Aging. Biology. 2023; 12(10):1305. https://doi.org/10.3390/biology12101305
Chicago/Turabian StyleButylina, Maria, Katharina Wahl-Figlash, Michael Kothmayer, Katharina Gelles, Oliver Pusch, and Peter Pietschmann. 2023. "Histopathology of the Intervertebral Disc of Nothobranchius furzeri, a Fish Model of Accelerated Aging" Biology 12, no. 10: 1305. https://doi.org/10.3390/biology12101305
APA StyleButylina, M., Wahl-Figlash, K., Kothmayer, M., Gelles, K., Pusch, O., & Pietschmann, P. (2023). Histopathology of the Intervertebral Disc of Nothobranchius furzeri, a Fish Model of Accelerated Aging. Biology, 12(10), 1305. https://doi.org/10.3390/biology12101305

