Establishment of a Coilia nasus Gonadal Somatic Cell Line Capable of Sperm Induction In Vitro
Abstract
:Simple Summary
Abstract
1. Introduction
2. Materials and Methods
2.1. Fish and Cell Culture
2.2. Cryopreservation and Recovery
2.3. Chromosome Analysis
2.4. Gene Expression Analysis
2.5. Phagocytosis Assay
2.6. Cell Transfection
2.7. Preparation of CnGSC Lysate and Induced Differentiation
2.8. Co-Culture
3. Results
3.1. Establishment of a Gonadal Somatic Cell Line
3.2. Chromosome Analysis and Characterization of Somatic Cell Properties
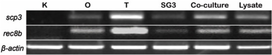
3.3. Spermiogenesis
4. Discussion
5. Conclusions
Author Contributions
Funding
Institutional Review Board Statement
Informed Consent Statement
Data Availability Statement
Acknowledgments
Conflicts of Interest
References
- Gui, J.F.; Zhou, L.; Li, X.Y. Rethinking fish biology and biotechnologies in the challenge era for burgeoning genome resources and strengthening food security. Water Biol. Secur. 2022, 1, 100002. [Google Scholar] [CrossRef]
- Goswami, M.; Mishra, A. Bio-banking: An Emerging Approach for Conservation of Fish Germplasm. Poult. Fish. Wildl. Sci. 2016, 4, 143. [Google Scholar] [CrossRef]
- Kouba, A.J.; Lloyd, R.E.; Houck, M.L.; Silla, A.J.; Calatayud, N.; Trudeau, V.L.; Clulow, J.; Molinia, F.; Langhorne, C.; Vance, C.; et al. Emerging trends for biobanking amphibian genetic resources: The hope, reality and challenges for the next decade. Biol. Conserv. 2013, 164, 10–21. [Google Scholar] [CrossRef]
- Martinez-Paramo, S.; Horvath, A.; Labbe, C.; Zhang, T.; Robles, V.; Herraez, P.; Suquet, M.; Adams, S.; Viveiros, A.; Tiersch, T.R.; et al. Cryobanking of aquatic species. Aquaculture 2017, 472, 156–177. [Google Scholar] [CrossRef] [Green Version]
- Wolf, K.; Quimby, M.C. Established eurythermic line of fish cells in vitro. Science 1962, 135, 1065–1066. [Google Scholar] [CrossRef]
- Watanabe, T.; Kobayashi, N.; Sato, Y.; Ishizaki, Y. Continuous Cell Line Derived from the Kidney of Yamame. Oncorhynchus Masou. Nsugaf. 1978, 44, 415–418. [Google Scholar] [CrossRef]
- Balmer, B.F.; Getchell, R.G.; Powers, R.L.; Lee, J.; Zhang, T.; Jung, M.E.; Purcell, M.K.; Snekvik, K.; Aguilar, H.C. Broad-spectrum antiviral JL122 blocks infection and inhibits transmission of aquatic rhabdoviruses. Virology 2018, 525, 143–149. [Google Scholar] [CrossRef]
- Segner, H.; Blair, J.B.; Wirtz, G.; Miller, M.R. Cultured trout liver cells: Utilization of substrates and response to hormones. In vitro Cell Dev. Biol. Anim. 1994, 30A, 306–311. [Google Scholar] [CrossRef]
- Hong, Y.; Winkler, C.; Schartl, M. Pluripotency and differentiation of embryonic stem cell lines from the medakafish (Oryzias latipes). Mech. Dev. 1996, 60, 33–44. [Google Scholar] [CrossRef]
- Lakra, W.S.; Swaminathan, T.R.; Joy, K.P. Development, characterization, conservation and storage of fish cell lines: A review. Fish Physiol. Biochem. 2011, 37, 1–20. [Google Scholar] [CrossRef]
- Schulz, R.W.; de Franca, L.R.; Lareyre, J.J.; Le Gac, F.; Chiarini-Garcia, H.; Nobrega, R.H.; Miura, T. Spermatogenesis in fish. Gen. Comp Endocrinol. 2010, 165, 390–411. [Google Scholar] [CrossRef] [PubMed]
- Mazzoni, T.S.; Grier, H.J.; Quagio-Grassiotto, I. Male gonadal differentiation and the paedomorphic evolution of the testis in Teleostei. Anat. Rec. 2014, 297, 1137–1162. [Google Scholar] [CrossRef] [PubMed]
- Zhang, B.; Wang, X.; Sha, Z.; Yang, C.; Liu, S.; Wang, N.; Chen, S.L. Establishment and characterization of a testicular cell line from the half-smooth tongue sole, Cynoglossus Semilaevis. Int. J. Biol. Sci. 2011, 7, 452–459. [Google Scholar] [CrossRef] [Green Version]
- Xu, Y.; Zhong, Z.; Zhang, Z.; Feng, Y.; Zhao, L.; Jiang, Y.; Wang, Y. Establishment and characterization of the gonadal cell lines derived from large yellow croaker (Larimichthys crocea) for gene expression studies. Aquaculture 2022, 546, 737300. [Google Scholar] [CrossRef]
- Sakai, N. Transmeiotic differentiation of zebrafish germ cells into functional sperm in culture. Development 2002, 129, 3359–3365. [Google Scholar] [CrossRef]
- Hong, Y.; Liu, T.; Zhao, H.; Xu, H.; Wang, W.; Liu, R.; Chen, T.; Deng, J.; Gui, J. Establishment of a normal medakafish spermatogonial cell line capable of sperm production in vitro. Proc. Natl. Acad. Sci. USA 2004, 101, 8011–8016. [Google Scholar] [CrossRef] [PubMed] [Green Version]
- de Kretser, D.M.; Loveland, K.L.; Meinhardt, A.; Simorangkir, D.; Wreford, N. Spermatogenesis. Hum. Reprod. 1998, 13 (Suppl. S1), 1–8. [Google Scholar] [CrossRef] [Green Version]
- Li, M.; Guan, G.; Hong, N.; Hong, Y. Multiple regulatory regions control the transcription of medaka germ gene vasa. Biochimie 2013, 95, 850–857. [Google Scholar] [CrossRef]
- Gou, L.T.; Kang, J.Y.; Dai, P.; Wang, X.; Li, F.; Zhao, S.; Zhang, M.; Hua, M.M.; Lu, Y.; Zhu, Y.; et al. Ubiquitination-Deficient Mutations in Human Piwi Cause Male Infertility by Impairing Histone-to-Protamine Exchange during Spermiogenesis. Cell 2017, 169, 1090–1104.e1013. [Google Scholar] [CrossRef] [Green Version]
- Zhu, T.Y.; Gui, L.; Zhu, Y.F.; Li, Y.; Li, M.Y. Dnd is required for primordial germ cell specification in Oryzias celebensis. Gene 2018, 679, 36–43. [Google Scholar] [CrossRef]
- Kubota, H.; Avarbock, M.R.; Brinster, R.L. Growth factors essential for self-renewal and expansion of mouse spermatogonial stem cells. Proc. Natl. Acad. Sci. USA 2004, 101, 16489–16494. [Google Scholar] [CrossRef] [PubMed] [Green Version]
- Sarkar, D.; Singh, S.K. Inhibition of testicular steroidogenesis and impaired differentiation of Sertoli cells in peripubertal mice offspring following maternal exposure to BDE-209 during lactation suppress germ cell proliferation. Toxicol. Lett. 2018, 290, 83–96. [Google Scholar] [CrossRef]
- Tanaka, M.; Saito, D.; Morinaga, C.; Kurokawa, H. Cross talk between germ cells and gonadal somatic cells is critical for sex differentiation of the gonads in the teleost fish, medaka (Oryzias latipes). Dev. Growth Differ. 2008, 50, 273–278. [Google Scholar] [CrossRef] [PubMed]
- Wang, M.; Xu, P.; Zhu, Z. Regulation of signal transduction in Coilia nasus during migration. Genomics 2020, 112, 55–64. [Google Scholar] [CrossRef] [PubMed]
- Gu, H.L.; Feng, Y.M.; You, H.B. Research development on resource survey and artificial culture of Coilia nasus. Jiangsu Agric. Sci. 2016, 44, 265–267. (In Chinese) [Google Scholar]
- Chen, X.; Song, P.; Xia, J.; Guo, J.; Shi, Y.; Zhong, Y.; Li, M. Evolutionarily conserved boule and dazl identify germ cells of Coilia nasus. Aquac. Fish. 2021, in press. [Google Scholar] [CrossRef]
- Hong, Y.; Schartl, M. Isolation and differentiation of medaka embryonic stem cells. Methods Mol. Biol. 2006, 329, 3–16. [Google Scholar]
- Hong, Y.; Chen, S.; Gui, J.; Schartl, M. Retention of the developmental pluripotency in medaka embryonic stem cells after gene transfer and long-term drug selection for gene targeting in fish. Transgenic Res. 2004, 13, 41–50. [Google Scholar] [CrossRef] [Green Version]
- Zhang, Y.; Zhong, Y.; Guo, S.; Zhu, Y.; Li, M. CircRNA profiling reveals circ880 functions as miR-375-3p sponge in medaka gonads. Comp. Biochem. Physiol. Part D Genom. Proteom. 2021, 38, 100797. [Google Scholar] [CrossRef]
- Zhao, H.; Hong, N.; Lu, W.; Zeng, H.; Song, J.; Hong, Y. Fusion gene vectors allowing for simultaneous drug selection, cell labeling, and reporter assay in vitro and in vivo. Anal. Chem. 2012, 84, 987–993. [Google Scholar] [CrossRef]
- Jiang, J.; Zhuang, P.; Song, C.; Zhao, F.; Zhou, L.; Geng, Z.; Hao, C.; Zhang, T. Karyotype analysis of Coilia nasus. Mar. Fish. 2020, 42, 005. [Google Scholar]
- Riaz, M.A.; Stammler, A.; Borgers, M.; Konrad, L. Clusterin signals via ApoER2/VLDLR and induces meiosis of male germ cells. Am. J. Transl. Res. 2017, 9, 1266–1276. [Google Scholar] [PubMed]
- Szymanska, K.; Kalafut, J.; Przybyszewska, A.; Paziewska, B.; Adamczuk, G.; Kielbus, M.; Rivero-Muller, A. FSHR Trans-Activation and Oligomerization. Front. Endocrinol. 2018, 9, 760. [Google Scholar] [CrossRef] [PubMed]
- Nakamura, S.; Aoki, Y.; Saito, D.; Kuroki, Y.; Fujiyama, A.; Naruse, K.; Tanaka, M. Sox9b/sox9a2-EGFP transgenic medaka reveals the morphological reorganization of the gonads and a common precursor of both the female and male supporting cells. Mol. Reprod. Dev. 2008, 75, 472–476. [Google Scholar] [CrossRef]
- Nakamoto, M.; Fukasawa, M.; Tanaka, S.; Shimamori, K.; Suzuki, A.; Matsuda, M.; Kobayashi, T.; Nagahama, Y.; Shibata, N. Expression of 3beta-hydroxysteroid dehydrogenase (hsd3b), star and ad4bp/sf-1 during gonadal development in medaka (Oryzias latipes). Gen. Comp. Endocrinol. 2012, 176, 222–230. [Google Scholar] [CrossRef]
- Setthawong, P.; Phakdeedindan, P.; Tiptanavattana, N.; Rungarunlert, S.; Techakumphu, M.; Tharasanit, T. Generation of porcine induced-pluripotent stem cells from Sertoli cells. Theriogenology 2019, 127, 32–40. [Google Scholar] [CrossRef]
- Li, Y.X.; He, Z.; Shi, S.X.; Zhang, Y.Z.; Chen, D.; Zhang, W.M.; Zhang, L.H. Scp3 expression in relation to the ovarian differentiation in the protogynous hermaphroditic ricefield eel Monopterus albus. Fish Physiol. Biochem. 2016, 42, 1609–1619. [Google Scholar] [CrossRef]
- Lee, J.; Iwai, T.; Yokota, T.; Yamashita, M. Temporally and spatially selective loss of Rec8 protein from meiotic chromosomes during mammalian meiosis. J. Cell Sci. 2003, 116, 2781–2790. [Google Scholar] [CrossRef] [Green Version]
- Luo, Y.; Wang, J.; Bai, X.; Xiao, H.; Tao, W.; Zhou, L.; Wang, D.; Wei, J. Differential expression patterns of the two paralogous Rec8 from Nile tilapia and their responsiveness to retinoic acid signaling. Comp. Biochem. Physiol. B Biochem. Mol. Biol. 2021, 253, 110563. [Google Scholar] [CrossRef]
- Thangaraj, R.S.; Narendrakumar, L.; Geetha, P.P.; Shanmuganathan, A.R.; Dharmaratnam, A.; Nithianantham, S.R. Comprehensive update on inventory of finfish cell lines developed during the last decade (2010–2020). Rev. Aquac. 2021, 13, 2248–2288. [Google Scholar] [CrossRef]
- Wang, S.; Wang, X.X.; Ma, L.F.; Lin, X.W.; Zhang, D.Q.; Li, Z.; Wu, Y.J.; Zheng, C.W.; Feng, X.; Liao, S.Y.; et al. Retinoic Acid Is Sufficient for the in vitro Induction of Mouse Spermatocytes. Stem Cell Rep. 2016, 7, 80–94. [Google Scholar] [CrossRef] [PubMed] [Green Version]
- Henry, I.M.; Dilkes, B.P.; Young, K.; Watson, B.; Wu, H.; Comai, L. Aneuploidy and genetic variation in the Arabidopsis thaliana triploid response. Genetics 2005, 170, 1979–1988. [Google Scholar] [CrossRef] [PubMed] [Green Version]
- Jegou, B. The Sertoli-germ cell communication network in mammals. Int. Rev. Cytol. 1993, 147, 25–96. [Google Scholar] [PubMed]
- Boujrad, N.; Guillaumin, J.M.; Bardos, P.; Hochereau de Reviers, M.T.; Drosdowsky, M.A.; Carreau, S. Germ cell-Sertoli cell interactions and production of testosterone by purified Leydig cells from mature rat. J. Steroid Biochem. Mol. Biol. 1992, 41, 677–681. [Google Scholar] [CrossRef]
- Yokonishi, T.; McKey, J.; Ide, S.; Capel, B. Sertoli cell ablation and replacement of the spermatogonial niche in mouse. Nat. Commun. 2020, 11, 40. [Google Scholar] [CrossRef] [Green Version]
- Nakanishi, Y.; Shiratsuchi, A. Phagocytic removal of apoptotic spermatogenic cells by Sertoli cells: Mechanisms and consequences. Biol. Pharm. Bull. 2004, 27, 13–16. [Google Scholar] [CrossRef] [Green Version]
- Miura, T.; Ohta, T.; Miura, C.I.; Yamauchi, K. Complementary deoxyribonucleic acid cloning of spermatogonial stem cell renewal factor. Endocrinology 2003, 144, 5504–5510. [Google Scholar] [CrossRef]
- Hofmann, M.C.; Hess, R.A.; Goldberg, E.; Millan, J.L. Immortalized germ cells undergo meiosis in vitro. Proc. Natl. Acad. Sci. USA 1994, 91, 5533–5537. [Google Scholar] [CrossRef] [Green Version]
- Kanatsu-Shinohara, M.; Ogonuki, N.; Inoue, K.; Miki, H.; Ogura, A.; Toyokuni, S.; Shinohara, T. Long-term proliferation in culture and germline transmission of mouse male germline stem cells. Biol. Reprod. 2003, 69, 612–616. [Google Scholar] [CrossRef] [Green Version]
- Jeong, D.; McLean, D.J.; Griswold, M.D. Long-term culture and transplantation of murine testicular germ cells. J. Androl. 2003, 24, 661–669. [Google Scholar] [CrossRef]
- Cardona Maya, W. Words of wisdom: Re: In vitro production of functional sperm in cultured neonatal mouse testes. Eur. Urol. 2011, 60, 394–395. [Google Scholar] [CrossRef] [PubMed]







| Gene | Primer Sequence | ||
|---|---|---|---|
| Name | Species | Forward Primer | Reverse Primer |
| dazl | C. nasus | CTCGAGATGGATATCAACAAGCC | CAGCACAGTCAACATAGTC |
| piwi | C. nasus | CGACATCCACCAGCACAGA | AACGCCACGCATCTCCTT |
| vasa | C. nasus | CGCCATCTTCAATCAGTTCCA | AGTGTCTGCCTCTCCTCCT |
| clu | C. nasus | TCTCTGCTCTGTGTCTTATC | AACTTCTTGTGGTCCTCTC |
| fshr | C. nasus | GTGGTGCTGGTGTTGCTGCTTA | TGGACGAGTGAGTAGATAGTGCCTTC |
| sox9b | C. nasus | TGGACCCCTACCTGAAGATG | AGTCCAGTCGTAGCCCTTGA |
| hsd3β | C. nasus | GTGGTGGTGGTAGCGAAGT | GCCTCCGACAGCATACAGT |
| actin | C. nasus | TTCAACACCCCCGCCATGTAC | CCTCCGATCCAGACAGAGTATT |
| scp3 | Medaka | GGAGCATCTGTGGAGCAACT | TCTGCAGCTTACATGGCCAA |
| actin | Medaka | TTCAACAGCCCTGCCATGTAC | CCTCCAATCCAGACAGAGTATT |
Publisher’s Note: MDPI stays neutral with regard to jurisdictional claims in published maps and institutional affiliations. |
© 2022 by the authors. Licensee MDPI, Basel, Switzerland. This article is an open access article distributed under the terms and conditions of the Creative Commons Attribution (CC BY) license (https://creativecommons.org/licenses/by/4.0/).
Share and Cite
Kan, Y.; Zhong, Y.; Jawad, M.; Chen, X.; Liu, D.; Ren, M.; Xu, G.; Gui, L.; Li, M. Establishment of a Coilia nasus Gonadal Somatic Cell Line Capable of Sperm Induction In Vitro. Biology 2022, 11, 1049. https://doi.org/10.3390/biology11071049
Kan Y, Zhong Y, Jawad M, Chen X, Liu D, Ren M, Xu G, Gui L, Li M. Establishment of a Coilia nasus Gonadal Somatic Cell Line Capable of Sperm Induction In Vitro. Biology. 2022; 11(7):1049. https://doi.org/10.3390/biology11071049
Chicago/Turabian StyleKan, Yuting, Ying Zhong, Muhammad Jawad, Xiao Chen, Dong Liu, Mingchun Ren, Gangchun Xu, Lang Gui, and Mingyou Li. 2022. "Establishment of a Coilia nasus Gonadal Somatic Cell Line Capable of Sperm Induction In Vitro" Biology 11, no. 7: 1049. https://doi.org/10.3390/biology11071049
APA StyleKan, Y., Zhong, Y., Jawad, M., Chen, X., Liu, D., Ren, M., Xu, G., Gui, L., & Li, M. (2022). Establishment of a Coilia nasus Gonadal Somatic Cell Line Capable of Sperm Induction In Vitro. Biology, 11(7), 1049. https://doi.org/10.3390/biology11071049

