Correlation between Lymphocyte-to-Monocyte Ratio (LMR), Neutrophil-to-Lymphocyte Ratio (NLR), Platelet-to-Lymphocyte Ratio (PLR) and Tumor-Infiltrating Lymphocytes (TILs) in Left-Sided Colorectal Cancer Patients
Abstract
Simple Summary
Abstract
1. Introduction
2. Materials and Methods
- Metastatic disease found postoperatively-3 patients
- Malignant disease of other organs-1 patient
- Incomplete/Inaccurate medical records-5 patients
- Hematologic malignancies and disorders that could substantially affect inflammatory markers-1 patient.
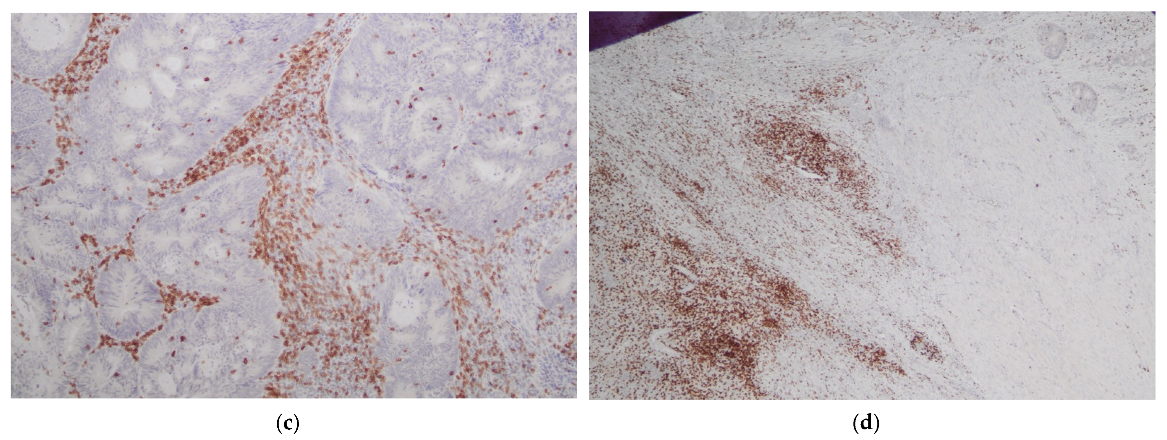
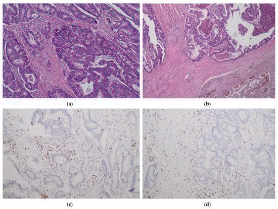
2.1. Immunohistochemistry
2.2. Statistical Analysis
2.3. Ethical Considerations
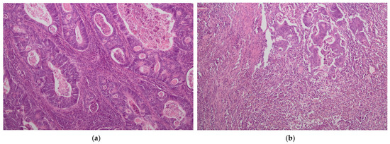
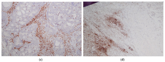
3. Results
The Semi-Quantitative Evaluation
4. The Quantitative Evaluation
The Analysis of Overall-Survival (OS)
5. Discussion
6. Conclusions
Author Contributions
Funding
Institutional Review Board Statement
Informed Consent Statement
Data Availability Statement
Acknowledgments
Conflicts of Interest
Appendix A




References
- Sung, H.; Ferlay, J.; Siegel, R.L.; Laversanne, M.; Soerjomataram, I.; Jemal, A.; Bray, F. Global Cancer Statistics 2020: GLOBOCAN Estimates of Incidence and Mortality Worldwide for 36 Cancers in 185 Countries. CA Cancer J. Clin. 2021, 71, 209–249. [Google Scholar] [CrossRef] [PubMed]
- Pugh, S.A.; Shinkins, B.; Fuller, A.; Mellor, J.; Mant, D.; Primrose, J.N. Site and Stage of Colorectal Cancer Influence the Likelihood and Distribution of Disease Recurrence and Postrecurrence Survival: Data from the FACS Randomized Controlled Trial. Ann. Surg. 2016, 263, 1143–1147. [Google Scholar] [CrossRef] [PubMed]
- Brierley, J.; Gospodarowicz, M.K.; Wittekind, C. TNM Classification of Malignant Tumours, 8th ed.; John Wiley & Sons: Hoboken, NJ, USA, 2017; pp. 80–84. [Google Scholar]
- Zhou, X.; Du, Y.; Huang, Z.; Xu, J.; Qiu, T.; Wang, J.; Wang, T.; Zhu, W.; Liu, P. Prognostic value of PLR in various cancers: A meta-analysis. PLoS ONE 2014, 9, e101119. [Google Scholar] [CrossRef] [PubMed]
- Nishijima, T.F.; Muss, H.B.; Shachar, S.S.; Tamura, K.; Takamatsu, Y. Prognostic value of lymphocyte-to-monocyte ratio in patients with solid tumors: A systematic review and meta-analysis. Cancer Treat. Rev. 2015, 41, 971–978. [Google Scholar] [CrossRef] [PubMed]
- Cupp, M.A.; Cariolou, M.; Tzoulaki, I.; Aune, D.; Evangelou, E.; Berlanga-Taylor, A.J. Neutrophil to lymphocyte ratio and cancer prognosis: An umbrella review of systematic reviews and meta-analyses of observational studies. BMC Med. 2020, 18, 360. [Google Scholar] [CrossRef]
- Pagès, F.; Mlecnik, B.; Marliot, F.; Bindea, G.; Ou, F.-S.; Bifulco, C.; Lugli, A.; Zlobec, I.; Rau, T.T.; Berger, M.D.; et al. International validation of the consensus Immunoscore for the classification of colon cancer: A prognostic and accuracy study. Lancet 2018, 391, 2128–2139. [Google Scholar] [CrossRef]
- Winiarek, M.; Rybski, S.; Spalek, M.; Krynski, J.; Zajac, L.; Kosakowska, E.; Zwolinski, J.; Rutkowski, A.; Michalski, W.; Bujko, K.; et al. Lymphocyte-to-monocyte ratio (LMR) is prognostic factor for selection of neoadjuvant treatment in locally advanced rectal cancer patients: Sub-set analysis of Polish-2 study. Ann. Oncol. 2017, 28, iii124–iii125. [Google Scholar] [CrossRef]
- Gawiński, C.; Winiarek, M.; Rybski, S.; Temnyk, M.; Kokoszyńska, K.; Wyrwicz, L. Reproducibility of pretreatment lymphocyte-to-monocyte ratio (LMR) in rectal cancer. J. Clin. Oncol. 2018, 36 (Suppl. 4), 715. [Google Scholar] [CrossRef]
- Halama, N.; Michel, S.; Kloor, M.; Zoernig, I.; Pommerencke, T.; von Knebel Doeberitz, M.; Schirmacher, P.; Weitz, J.; Grabe, N.; Jager, D. The localization and density of immune cells in primary tumors of human metastatic colorectal cancer shows an association with response to chemotherapy. Cancer Immun. 2009, 9, 1. [Google Scholar]
- Lea, D.; Watson, M.; Skaland, I.; Hagland, H.R.; Lillesand, M.; Gudlaugsson, E.; Søreide, K. A template to quantify the location and density of CD3 + and CD8 + tumor-infiltrating lymphocytes in colon cancer by digital pathology on whole slides for an objective, standardized immune score assessment. Cancer Immunol. Immunother. 2021, 70, 2049–2057. [Google Scholar] [CrossRef]
- Hagland, H.R.; Lea, D.; Watson, M.M.; Søreide, K. Correlation of Blood T-Cells to Intratumoural Density and Location of CD3(+) and CD8(+) T-Cells in Colorectal Cancer. Anticancer Res. 2017, 37, 675–683. [Google Scholar] [CrossRef] [PubMed]
- Trabelsi, M.; Farah, F.; Zouari, B.; Jaafoura, M.H.; Kharrat, M. An Immunoscore System Based on CD3(+) And CD8(+) Infiltrating Lymphocytes Densities To Predict The Outcome Of Patients With Colorectal Adenocarcinoma. OncoTargets Ther. 2019, 12, 8663–9673. [Google Scholar] [CrossRef] [PubMed]
- Lee, K.H.; Kim, E.Y.; Yun, J.S.; Park, Y.L.; Do, S.I.; Chae, S.W.; Park, C.H. The prognostic and predictive value of tumor-infiltrating lymphocytes and hematologic parameters in patients with breast cancer. BMC Cancer 2018, 18, 938. [Google Scholar] [CrossRef]
- Mohamed, L.; Elsaka, A.; Zamzam, Y. Local and Systemic Inflammatory Markers as Prognostic and Predictive Markers In Locally Advanced Triple Negative Breast Cancer. Tumori J. 2020, 106 (Suppl. 1), 30. [Google Scholar] [CrossRef]
- Ha, S.Y.; Choi, S.; Park, S.; Kim, J.M.; Choi, G.S.; Joh, J.W.; Park, C.-K. Prognostic effect of preoperative neutrophil-lymphocyte ratio is related with tumor necrosis and tumor-infiltrating lymphocytes in hepatocellular carcinoma. Virchows Arch. Int. J. Pathol. 2020, 477, 807–816. [Google Scholar] [CrossRef] [PubMed]
- Choi, Y.; Kim, J.W.; Nam, K.H.; Han, S.-H.; Kim, J.-W.; Ahn, S.-H.; Park, D.J.; Lee, K.-W.; Lee, H.S.; Kim, H.-H. Systemic inflammation is associated with the density of immune cells in the tumor microenvironment of gastric cancer. Gastric Cancer 2017, 20, 602–611. [Google Scholar] [CrossRef]
- Dirican, N.; Karakaya, Y.A.; Gunes, S.; Daloglu, F.T.; Dirican, A. Association of intra-tumoral tumour-infiltrating lymphocytes and neutrophil-to-lymphocyte ratio is an independent prognostic factor in non-small cell lung cancer. Clin. Respir. J. 2017, 11, 789–796. [Google Scholar] [CrossRef]
- Cha, Y.; Eun Jung, P.; Baik, S.H.; Lee, K.Y.; Kang, J. Clinical significance of tumor-infiltrating lymphocytes and neutrophil-to-lymphocyte ratio in patients with stage III colon cancer who underwent surgery followed by FOLFOX chemotherapy. Sci. Rep. 2019, 9, 11617. [Google Scholar] [CrossRef]
- Okazaki, Y.; Shibutani, M.; Wang, E.N.; Nagahara, H.; Fukuoka, T.; Iseki, Y.; Kashiwagi, S.; Tanaka, H.; Maeda, K.; Hirakawa, K.; et al. Prognostic Significance of the Immunological Indices in Patients Who Underwent Complete Resection of Pulmonary Metastases of Colorectal Cancer. In Vivo 2021, 35, 1091–1100. [Google Scholar] [CrossRef]
- Guo, G.; Wang, Y.; Zhou, Y.; Quan, Q.; Zhang, Y.; Wang, H.; Zhang, B.; Xia, L. Immune cell concentrations among the primary tumor microenvironment in colorectal cancer patients predicted by clinicopathologic characteristics and blood indexes. J. Immunother. Cancer 2019, 7, 179. [Google Scholar] [CrossRef]
- Xiao, B.; Peng, J.; Zhang, R.; Xu, J.; Wang, Y.; Fang, Y.; Lin, J.; Pan, Z.; Wu, X. Density of CD8+ lymphocytes in biopsy samples combined with the circulating lymphocyte ratio predicts pathologic complete response to chemoradiotherapy for rectal cancer. Cancer Manag. Res. 2017, 9, 701–708. [Google Scholar] [CrossRef] [PubMed][Green Version]
- Song, W.; Wang, K.; Zhang, R.-J.; Zou, S.-B. Prognostic value of the lymphocyte monocyte ratio in patients with colorectal cancer: A meta-analysis. Medicine 2016, 95, e5540. [Google Scholar] [CrossRef]
- Li, H.; Zhao, Y.; Zheng, F. Prognostic significance of elevated preoperative neutrophil-to-lymphocyte ratio for patients with colorectal cancer undergoing curative surgery: A meta-analysis. Medicine 2019, 98, e14126. [Google Scholar] [CrossRef] [PubMed]
- Chen, N.; Li, W.; Huang, K.; Yang, W.; Huang, L.; Cong, T.; Li, Q.; Qiu, M. Increased platelet-lymphocyte ratio closely relates to inferior clinical features and worse long-term survival in both resected and metastatic colorectal cancer: An updated systematic review and meta-analysis of 24 studies. Oncotarget 2017, 8, 32356–32369. [Google Scholar] [CrossRef] [PubMed]
- Sun, G.; Dong, X.; Tang, X.; Qu, H.; Zhang, H.; Zhao, E. The prognostic value of immunoscore in patients with colorectal cancer: A systematic review and meta-analysis. Cancer Med. 2019, 8, 182–189. [Google Scholar] [CrossRef]
- Galon, J.; Mlecnik, B.; Bindea, G.; Angell, H.K.; Berger, A.; Lagorce, C.; Lugli, A.; Zlobec, I.; Hartmann, A.; Bifulco, C.; et al. Towards the introduction of the ‘Immunoscore’ in the classification of malignant tumours. J. Pathol. 2014, 232, 199–209. [Google Scholar] [CrossRef]
- Barbosa, A.M.; Martinho, O.; Nogueira, R.; Campos, J.; Lobo, L.; Pinto, H.; Longatto-Filho, A.; Castro, A.G.; Martins, S.F.; Torrado, E. Increased CD3(+), CD8(+), or FoxP3(+) T Lymphocyte Infiltrations Are Associated with the Pathogenesis of Colorectal Cancer but Not with the Overall Survival of Patients. Biology 2021, 10, 808. [Google Scholar] [CrossRef]
- Ni, Y.H.; Zhang, X.X.; Lu, Z.Y.; Huang, X.F.; Wang, Z.Y.; Yang, Y.; Dong, Y.; Jing, Y.; Song, Y.; Hou, Y.; et al. Tumor-Infiltrating CD1a(+) DCs and CD8(+)/FoxP3(+) Ratios Served as Predictors for Clinical Outcomes in Tongue Squamous Cell Carcinoma Patients. Pathol. Oncol. Res. 2020, 26, 1687–1695. [Google Scholar] [CrossRef]
- Xie, Q.K.; He, W.Z.; Hu, W.M.; Yang, L.; Jiang, C.; Kong, P.F.; Yang, Y.; Yang, Q.; Zhang, H.; Zhang, B.; et al. Tumor-infiltrating lymphocyte as a prognostic biomarker in stage IV colorectal cancer should take into account the metastatic status and operation modality. Cancer Manag. Res. 2018, 10, 1365–1375. [Google Scholar] [CrossRef]
- Nosho, K.; Baba, Y.; Tanaka, N.; Shima, K.; Hayashi, M.; Meyerhardt, J.A.; Giovannucci, E.; Dranoff, G.; Fuchs, C.S.; Ogino, S. Tumour-infiltrating T-cell subsets, molecular changes in colorectal cancer, and prognosis: Cohort study and literature review. J. Pathol. 2010, 222, 350–366. [Google Scholar] [CrossRef]
- Mazmanian, S.K.; Liu, C.H.; Tzianabos, A.O.; Kasper, D.L. An immunomodulatory molecule of symbiotic bacteria directs maturation of the host immune system. Cell 2005, 122, 107–118. [Google Scholar] [CrossRef] [PubMed]
- Binnewies, M.; Roberts, E.W.; Kersten, K.; Chan, V.; Fearon, D.F.; Merad, M.; Coussens, L.M.; Gabrilovich, D.I.; Ostrand-Rosenberg, S.; Hedrick, C.C.; et al. Understanding the tumor immune microenvironment (TIME) for effective therapy. Nat. Med. 2018, 24, 541–550. [Google Scholar] [CrossRef] [PubMed]
- Virchow, R. Cellular pathology. As based upon physiological and pathological histology. Lecture XVI—Atheromatous affection of arteries. 1858. Nutr. Rev. 1989, 47, 23–25. [Google Scholar] [CrossRef]
- Mantovani, A.; Allavena, P.; Sica, A.; Balkwill, F. Cancer-related inflammation. Nature 2008, 454, 436–444. [Google Scholar] [CrossRef]
- Terzić, J.; Grivennikov, S.; Karin, E.; Karin, M. Inflammation and colon cancer. Gastroenterology 2010, 138, 2101–2114.e5. [Google Scholar] [CrossRef] [PubMed]
- Ray-Coquard, I.; Cropet, C.; Van Glabbeke, M.; Sebban, C.; Le Cesne, A.; Judson, I.; Tredan, O.; Verweij, J.; Biron, P.; Labidi, I.; et al. Lymphopenia as a prognostic factor for overall survival in advanced carcinomas, sarcomas, and lymphomas. Cancer Res. 2009, 69, 5383–5389. [Google Scholar] [CrossRef] [PubMed]
- Galdiero, M.R.; Varricchi, G.; Loffredo, S.; Mantovani, A.; Marone, G. Roles of neutrophils in cancer growth and progression. J. Leukoc. Biol. 2018, 103, 457–464. [Google Scholar] [CrossRef]
- Bambace, N.M.; Holmes, C.E. The platelet contribution to cancer progression. J. Thromb. Haemost. 2011, 9, 237–249. [Google Scholar] [CrossRef]
- Olingy, C.E.; Dinh, H.Q.; Hedrick, C.C. Monocyte heterogeneity and functions in cancer. J. Leukoc. Biol. 2019, 106, 309–322. [Google Scholar] [CrossRef]
- Wen, S.; Chen, N.; Hu, Y.; Huang, L.; Peng, J.; Yang, M.; Shen, X.; Song, Y.; Xu, L. Elevated peripheral absolute monocyte count related to clinicopathological features and poor prognosis in solid tumors: Systematic review, meta-analysis, and meta-regression. Cancer Med. 2021, 10, 1690–1714. [Google Scholar] [CrossRef]
- Galdiero, M.R.; Bonavita, E.; Barajon, I.; Garlanda, C.; Mantovani, A.; Jaillon, S. Tumor associated macrophages and neutrophils in cancer. Immunobiology 2013, 218, 1402–1410. [Google Scholar] [CrossRef] [PubMed]
- Donskov, F. Immunomonitoring and prognostic relevance of neutrophils in clinical trials. Semin. Cancer Biol. 2013, 23, 200–207. [Google Scholar] [CrossRef]
- Buergy, D.; Wenz, F.; Groden, C.; Brockmann, M.A. Tumor-platelet interaction in solid tumors. Int. J. Cancer 2012, 130, 2747–2760. [Google Scholar] [CrossRef] [PubMed]
- Huong, P.T.; Nguyen, L.T.; Nguyen, X.B.; Lee, S.K.; Bach, D.H. The Role of Platelets in the Tumor-Microenvironment and the Drug Resistance of Cancer Cells. Cancers 2019, 11, 240. [Google Scholar] [CrossRef]
- Müller-Hübenthal, B.; Azemar, M.; Lorenzen, D.; Huber, M.; Freudenberg, M.A.; Galanos, C.; Unger, C.; Hildenbrand, B. Tumour Biology: Tumour-associated inflammation versus antitumor immunity. Anticancer Res. 2009, 29, 4795–4805. [Google Scholar] [PubMed]
- Denkert, C.; Loibl, S.; Noske, A.; Roller, M.; Müller, B.M.; Komor, M.; Budczies, J.; Darb-Esfahani, S.; Kronenwett, R.; Hanusch, C.; et al. Tumor-associated lymphocytes as an independent predictor of response to neoadjuvant chemotherapy in breast cancer. J. Clin. Oncol. 2010, 28, 105–113. [Google Scholar] [CrossRef]
- Gao, G.; Wang, Z.; Qu, X.; Zhang, Z. Prognostic value of tumor-infiltrating lymphocytes in patients with triple-negative breast cancer: A systematic review and meta-analysis. BMC Cancer 2020, 20, 179. [Google Scholar] [CrossRef] [PubMed]
- Liu, X.; Wu, S.; Yang, Y.; Zhao, M.; Zhu, G.; Hou, Z. The prognostic landscape of tumor-infiltrating immune cell and immunomodulators in lung cancer. Biomed. Pharmacother. 2017, 95, 55–61. [Google Scholar] [CrossRef]
- Santoiemma, P.P.; Powell, D.J., Jr. Tumor infiltrating lymphocytes in ovarian cancer. Cancer Biol. Ther. 2015, 16, 807–820. [Google Scholar] [CrossRef]
- Orhan, A.; Vogelsang, R.P.; Andersen, M.B.; Madsen, M.T.; Hölmich, E.R.; Raskov, H.; Gögenur, I. The prognostic value of tumour-infiltrating lymphocytes in pancreatic cancer: A systematic review and meta-analysis. Eur. J. Cancer 2020, 132, 71–84. [Google Scholar] [CrossRef]






| Characteristic | All Patients (n = 50) |
|---|---|
| Age (years), median (range) | 67 (44–88) |
| Sex, n (%) | |
| Male | 26 (52.0) |
| Female | 24 (48.0) |
| Tumor, n (%) | |
| T1-T2 | 13 (26.0) |
| T3-T4 | 37 (74.0) |
| Lymph nodes, n (%) | |
| N0 | 29 (58.0) |
| N1-N2 | 21 (42.0) |
| Grade, n (%) | |
| G1 | 10 (20.0) |
| G2 | 32 (64.0) |
| G3 | 5 (10.0) |
| Gx | 3 (6.0) |
| Stage, n (%) | |
| I | 11 (22.0) |
| II | 18 (36.0) |
| III | 21 (42.0) |
| ALC (10^9/l), median (range) | 1.94 (0.69–3.95) |
| AMC (10^9/l), median (range) | 0.57 (0.30–1.14) |
| ANC (10^9/l), median (range) | 4.10 (2.01–10.03) |
| Platelets (10^9/l), median (range) | 246 (153–430) |
| LMR, median (range) | 3.16 (0.95–7.20) |
| NLR, median (range) | 2.34 (0.70–14.54) |
| PLR, median (range) | 140 (58–358) |
| CD3 CT/mm2, mean (range) | 1699 (704–3900) |
| CD3 IM/mm2, mean (range) | 1929 (368–4959) |
| CD8 CT/mm2, mean (range) | 877 (66–3918) |
| CD8 IM/mm2, mean (range) | 1255 (175–2511) |
| TILs | CD3 CT | CD3 IM | CD8 CT | CD8 IM | ||||
|---|---|---|---|---|---|---|---|---|
| r | p | r | p | r | p | r | p | |
| CD3 CT | x | x | 0.52 | <0.001 | 0.52 | <0.001 | 0.40 | 0.005 |
| CD3 IM | 0.52 | <0.001 | x | x | 0.59 | <0.001 | 0.69 | <0.001 |
| CD8 CT | 0.52 | <0.001 | 0.59 | <0.001 | x | x | 0.59 | <0.001 |
| CD8 IM | 0.40 | 0.005 | 0.69 | <0.001 | 0.59 | <0.001 | x | x |
| SIR Markers/TILs | Stage I | Stage II | Stage III | p |
|---|---|---|---|---|
| LMR | 2.88 (1.13–7.20) | 3.42 (2.30–6.00) | 3.00 (0.95–6.23) | 0.501 |
| NLR | 3.66 (0.70–13.09) | 2.15 (1.20–4.64) | 2.17 (0.97–14.54) | 0.579 |
| PLR | 135.00 (58.00–268.00) | 140.00 (61.00–187.00) | 140.00 (66.00–358.00) | 0.910 |
| CD3 CT/mm2 | 1602 (704–2745) | 1771 (705–3336) | 1687 (716–3900) | 0.829 |
| CD3 IM/mm2 | 1795 (636–2818) | 1913 (368–3920) | 2006 (900–4959) | 0.965 |
| CD8 CT/mm2 | 939 (66–3918) | 973 (432–3445) | 734 (161–2664) | 0.226 |
| CD8 IM/mm2 | 1042 (236–1827) | 1302 (232–2511) | 1325 (175–2432) | 0.464 |
| TSIR Markers | CD3 CT | CD3 IM | CD8 CT | CD8 IM | ||||
|---|---|---|---|---|---|---|---|---|
| r | p | r | p | r | p | r | p | |
| LMR | 0.08 | 0.575 | 0.03 | 0.857 | 0.19 | 0.195 | 0.03 | 0.854 |
| NLR | 0.05 | 0.720 | 0.08 | 0.606 | 0.10 | 0.496 | 0.03 | 0.843 |
| PLR | 0.07 | 0.645 | 0.12 | 0.424 | 0.03 | 0.831 | 0.09 | 0.518 |
| TILs | LMR | NLR | PLR | ||||||
|---|---|---|---|---|---|---|---|---|---|
| LMR ≤ 2.6 | LMR > 2.6 | p | NLR ≥ 3.0 | NLR < 3.0 | p | PLR ≥ 150 | PLR < 150 | p | |
| s-q CD3 CT | 1 (0–3) | 2 (0–3) | 0.287 | 2 (0–2) | 1 (0–3) | 0.909 | 2 (0–3) | 1 (0–3) | 0.553 |
| q CD3 CT/mm2 | 1201.79 (703.57–3 900.00) | 1544.64 (705.36–3 335.71) | 0.213 | 1233.93 (703.57–2 950.00) | 1767.86 (705.36–3 900.00) | 0.044 | 1289.29 (703.57–3 107.14) | 1517.86 (705.36–3 900.00) | 0.868 |
| s-q CD3 IM | 1 (0–3) | 2 (0–3) | 0.076 | 1 (0–3) | 2 (0–3) | 0.204 | 1 (0–3) | 2 (0–3) | 0.760 |
| q CD3 IM/mm2 | 1560.71 (1 112.50–4 958.93) | 1783.93 (367.86–3 919.64) | 0.688 | 1541.07 (367.86–2 248.21) | 1971.43 (635.71–4 958.93) | 0.061 | 1682.14 (367.86–3 919.64) | 1783.93 (635.71–4 958.93) | 0.862 |
| s-q CD8 CT | 0 (0–2) | 1 (0–3) | 0.199 | 1 (0–2) | 1 (0–3) | 0.807 | 1 (0–3) | 1 (0–2) | 0.579 |
| q CD8 CT/mm2 | 566.07 (160.71–2 664.29) | 787.50 (66.07–3 917.86) | 0.196 | 727.68 (160.71–1 266.07) | 721.43 (66.07–3 917.86) | 0.879 | 789.29 (171.43–3 917.86) | 682.14 (66.07–3 444.64) | 0.682 |
| s-q CD8 IM | 1 (0–3) | 1 (0–3) | 0.317 | 1 (0–2) | 1 (0–3) | 0.448 | 1 (0–3) | 1 (0–2) | 0.533 |
| q CD8 IM/mm2 | 1196.43 (553.57–2 432.14) | 1119.64 (175.00–2 510.71) | 0.930 | 1075.89 (564.29–1 826.79) | 1208.93 (175.00–2 510.71) | 0.790 | 1196.43 (523.21–2 510.71) | 1158.04 (175.00–2 330.36) | 0.440 |
Publisher’s Note: MDPI stays neutral with regard to jurisdictional claims in published maps and institutional affiliations. |
© 2022 by the authors. Licensee MDPI, Basel, Switzerland. This article is an open access article distributed under the terms and conditions of the Creative Commons Attribution (CC BY) license (https://creativecommons.org/licenses/by/4.0/).
Share and Cite
Gawiński, C.; Michalski, W.; Mróz, A.; Wyrwicz, L. Correlation between Lymphocyte-to-Monocyte Ratio (LMR), Neutrophil-to-Lymphocyte Ratio (NLR), Platelet-to-Lymphocyte Ratio (PLR) and Tumor-Infiltrating Lymphocytes (TILs) in Left-Sided Colorectal Cancer Patients. Biology 2022, 11, 385. https://doi.org/10.3390/biology11030385
Gawiński C, Michalski W, Mróz A, Wyrwicz L. Correlation between Lymphocyte-to-Monocyte Ratio (LMR), Neutrophil-to-Lymphocyte Ratio (NLR), Platelet-to-Lymphocyte Ratio (PLR) and Tumor-Infiltrating Lymphocytes (TILs) in Left-Sided Colorectal Cancer Patients. Biology. 2022; 11(3):385. https://doi.org/10.3390/biology11030385
Chicago/Turabian StyleGawiński, Cieszymierz, Wojciech Michalski, Andrzej Mróz, and Lucjan Wyrwicz. 2022. "Correlation between Lymphocyte-to-Monocyte Ratio (LMR), Neutrophil-to-Lymphocyte Ratio (NLR), Platelet-to-Lymphocyte Ratio (PLR) and Tumor-Infiltrating Lymphocytes (TILs) in Left-Sided Colorectal Cancer Patients" Biology 11, no. 3: 385. https://doi.org/10.3390/biology11030385
APA StyleGawiński, C., Michalski, W., Mróz, A., & Wyrwicz, L. (2022). Correlation between Lymphocyte-to-Monocyte Ratio (LMR), Neutrophil-to-Lymphocyte Ratio (NLR), Platelet-to-Lymphocyte Ratio (PLR) and Tumor-Infiltrating Lymphocytes (TILs) in Left-Sided Colorectal Cancer Patients. Biology, 11(3), 385. https://doi.org/10.3390/biology11030385

