A Technical Study of Chinese Buddhist Sculptures: First Insights into a Complex History of Transformation through Analysis of the Polychrome Decoration
Abstract
1. Introduction
2. Materials and Methods
3. Results
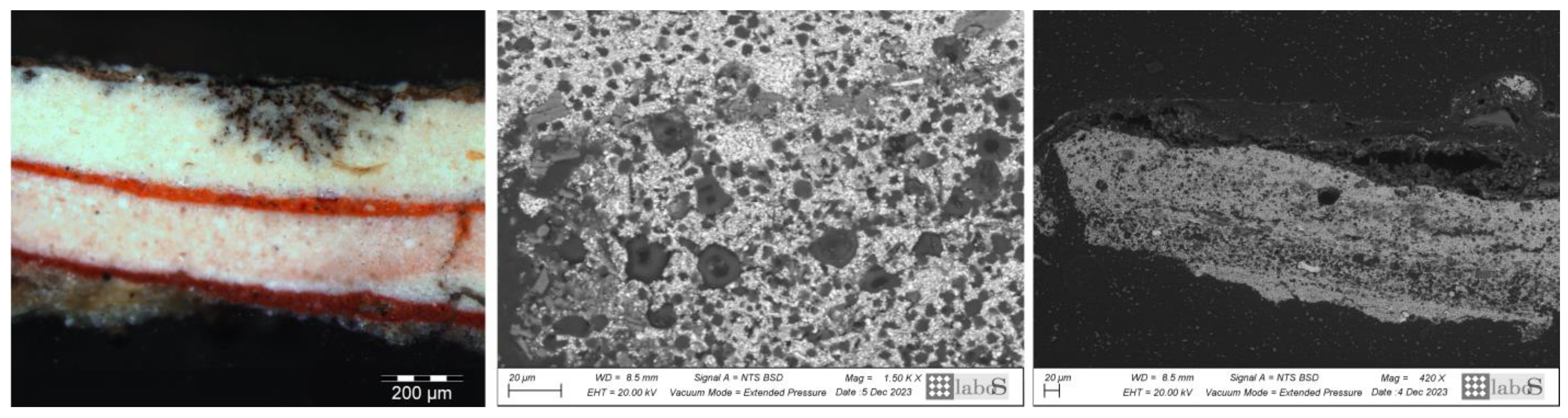
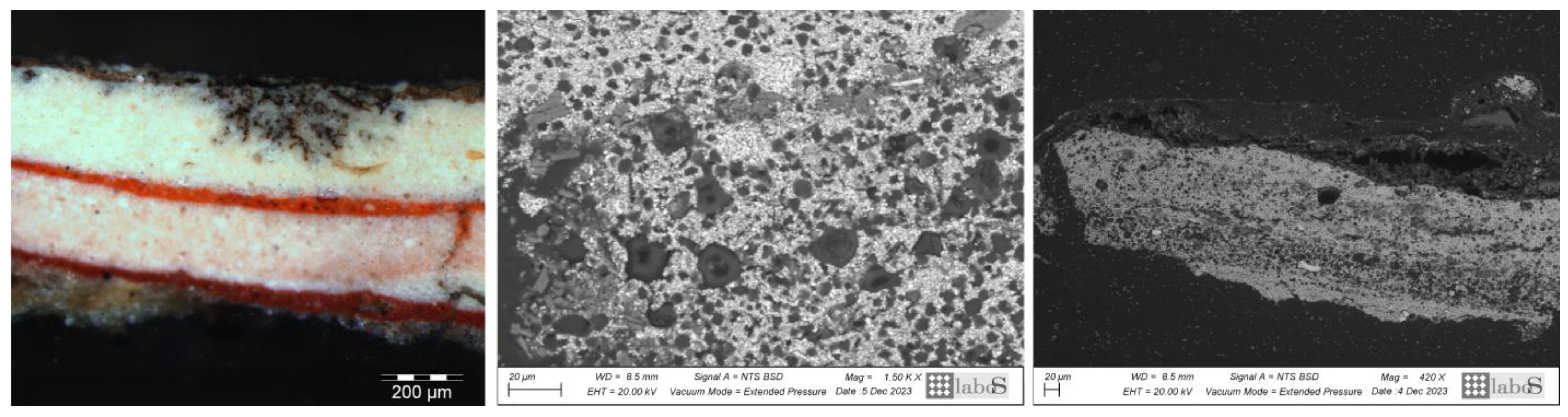
3.1. Identification of Paint Materials
3.1.1. Pigments and Dyes
- Arhat—Inv. 448; Inv. 449
- Bodhisattva—Inv. 450; Inv. 451
- Buddha—Inv. 452
- Guanyin—Inv. 453
- Arhat—Inv. 454
3.1.2. Binding Media and Other Organic Materials
3.1.3. The Finding of Starch Lumps
3.2. Conservation Issues
4. Discussion
5. Conclusions
Supplementary Materials
Author Contributions
Funding
Institutional Review Board Statement
Informed Consent Statement
Data Availability Statement
Acknowledgments
Conflicts of Interest
References
- Steineck, T.I. Research and Evaluation of Japanese Buddhist Objects in European Museum: Lessons of a Digitalization Project. 2015. [Google Scholar]
- Mertz, M.; Itoh, T. The Study of Buddhist Sculptures from Japan and China Based on Wood Identification. In Scientific Research on the Sculptural Arts of Asia Proceedings of the Third Forbes Symposium at the Freer Gallery of Art; Archetype Publications in association with the Freer Gallery of Art; Smithsonian Institution: Washington, DC, USA, 2007; Volume 3, pp. 198–204. [Google Scholar]
- Richter, M. Three Polychrome Japanese Buddhist Sculptures from the Kamakura Period: The Scientific Examination of Layer Structures, Ground Materials, Pigments, Metal Leafs, and Powders. In Scientific Research on the Pictorial Arts of Asia–Proceedings of the Second Forbes Symposium at the Freer Gallery of Art; Archetype Publications Ltd.: London, UK, 2005; pp. 21–34. [Google Scholar]
- Richter, M. Two Thirteenth-Century Polychrome Sculptures in Shomyo-ji and Ensho-ji. In Historische Polychromie. Skulpturenfassung in Deutschland und Japan Historical Polychromy. Polychrome Sculpture in Germany and Japan; Hirmer Verlag: München, Germany, 2004. [Google Scholar]
- Yamasaki, K.; Nishikawa, K. Polychromed sculptures in Japan. Stud. Conserv. 1970, 15, 278–293. [Google Scholar]
- Miura, S. Polychromie in Japan: Eine chronologische Zusammenstellung der Malmaterialien. Polychromy in Japan: A chronological compilation of artists’ materials. In Historische Polychromie: Skulpturenfassung in Deutschland and Japan; Hirmer: Munich, Germany, 2004; pp. 244–250. [Google Scholar]
- Song, Y.; Zhou, L.; Wang, Y.; Liu, F.; Guo, J.; Wang, R.; Nevin, A. Technical study of the paint layers from buddhist sculptures unearthed from the longxing temple site in Qingzhou, China. Heritage 2021, 4, 2599–2622. [Google Scholar] [CrossRef]
- Song, J.; Xiang, W.; Yan, S.; Zhou, W.; Ma, L. Craftsmanship and materials: Painted Bodhisattva sculptures in the Fengguo Temple dated to the year 1020 in Yi County, Northeast China. Herit. Sci. 2021, 9, 1–19. [Google Scholar] [CrossRef]
- Bai, X.; Jia, C.; Chen, Z.; Gong, Y.; Cheng, H.; Wang, J. Analytical study of Buddha sculptures in Jingyin temple of Taiyuan, China. Herit. Sci. 2021, 9, 1–19. [Google Scholar] [CrossRef]
- Bai, X.; Xia, H.; Wang, R.; Fan, W.; Shi, M.; Liu, Q.; Xie, Y. Study on the Painted Clay Sculptures of Ming Dynasty in Jingyin Temple of Taiyuan, China. 2022. [Google Scholar]
- Shen, J.; Li, L.; Zhang, D.; Dong, S.; Xiang, J.; Xu, N. A Multi-Analytical Approach to Investigate the Polychrome Clay Sculpture in Qinglian Temple of Jincheng, China. Materials 2022, 15, 5470. [Google Scholar] [CrossRef] [PubMed]
- Jett, P.J.; Douglas, J.G. Chinese Buddhist bronzes in the Freer Gallery of Art: Physical features and elemental composition. MRS Online Proc. Libr. 1992, 267, 205–223. [Google Scholar]
- Chloros, J. Technical Study of an 11th–12th Century Guanyin Sculpture. 2023. Available online: https://www.gardnermuseum.org/blog/technical-study-11th-12th-century-guanyin-sculpture (accessed on 1 February 2024).
- Twilley, J.; Garland, K.M. The redecoration history of a Chinese polychromed Guanyin attributed to the 11th–12th century CE as deduced from stratigraphic microanalysis. MRS Online Proc. Libr. (OPL) 2011, 1319, mrsf10-1319. [Google Scholar]
- Webb, M.; Moffatt, E.; Corbeil, M.C.; Duxin, N. Examination and Analysis of the Chinese Polychrome Sculptures in the Collection of the Royal Ontario Museum in Scientific Research on the Sculptural Arts of Asia. In Proceedings of the Third Forbes Symposium at the Freer Gallery of Art; Douglas, J.G., Jett, P., Winter, J., Eds.; Archetype: London, UK, 2007; pp. 188–197. [Google Scholar]
- Scott, R.E. Larson John and Kerr Rose: Guanyin: A masterpiece revealed. 73 pp. London: Victoria and Albert Museum, 1985. Bull. Sch. Orient. Afr. Stud. 1989, 52, 186. [Google Scholar] [CrossRef]
- Larson, J.H. The treatment and examination of polychrome Chinese sculpture at the Victoria and Albert Museum. Stud. Conserv. 1988, 33, 120–125. [Google Scholar] [CrossRef]
- Lorne, A.; Rösch, P. The Chinese wooden sculpture of Guanyin: New technical and art historical insights. Bull. Van Het Rijksmus. 2002, 50, 364–389. [Google Scholar]
- Leidy, D.P.; Strahan, D.K. Wisdom Embodied: Chinese Buddhist and Daoist Sculpture in the Metropolitan Museum of Art; Metropolitan Museum of Art: New York, NY, USA, 2010. [Google Scholar]
- Kasem, S.; Waters DL, E.; Rice, N.F.; Shapter, F.M.; Henry, R.J. The endosperm morphology of rice and its wild relatives as observed by scanning electron microscopy. Rice 2011, 4, 12–20. [Google Scholar] [CrossRef]
- Yu, H.H.; Lee, Y.; Nam, Y.S.; Kim, M.H.; Lee, K.B.; Lee, Y. Surface Analysis of Fermented Wheat and Rice Starch Used for Coating Traditional Korean Textiles. Materials 2022, 15, 2001. [Google Scholar] [CrossRef] [PubMed]
- Ramos, A.H.; Rockenbach, B.A.; Ferreira, C.D.; Gutkoski, L.C.; de Oliveira, M. Characteristics of flour and starch isolated from red rice subjected to different drying conditions. Starch-Stärke 2019, 71, 1800257. [Google Scholar] [CrossRef]
- Gao, Y.; Yang, Q.; Sun, M.; Zhen, G.; Zhang, F. Study of the pigments of sculptures in Shuilu Temple. Sci. Conserv. Archaeol 2022, 64, 97–108. [Google Scholar]
- Zou, W.; Yeo, S.Y. Investigation on the Painting Materials and Profile Structures Used in Ancient Chinese Folk Architectural Paintings by Multiple Analytical Methods. Coatings 2022, 12, 320. [Google Scholar] [CrossRef]
- Egel, E.; Simon, S. Investigation of the painting materials in Zhongshan Grottoes (Shaanxi, China). Herit. Sci. 2013, 1, 1–12. [Google Scholar] [CrossRef]
- Liang, S.C. Qing-Dynasty Municipal Engineering; Tsinghua University Press: Beijing, China, 2006. [Google Scholar]
- Teri, G.; Han, K.; Huang, D.; Li, Y.; Tian, Y.; Chao, X.; Li, Y. A Study on the Materials Used in the Ancient Architectural Paintings from the Qing Dynasty Tibetan Buddhist Monastery of Puren, China. Materials 2023, 16, 6404. [Google Scholar] [CrossRef] [PubMed]
- Broers, N. Scientific Investigation of Copies, Fakes and Forgeries; Craddock, P., Ed.; CeROArt. Conservation, exposition, Restauration d’Objets d’Art (No. EGG 1); Association CeROArt asbl; Butterworth-Heinemann: Oxford, UK, 2009; pp. 306–307. [Google Scholar]
- Fong, W. The problem of forgeries in Chinese painting. Part one. Artibus Asiae 1962, 25, 95–140. [Google Scholar] [CrossRef]








| Sculptures | Samples Removed | Ground Layers | Pigments and Dyes in Paint Layers | Binding Media | Other Relevant Materials |
|---|---|---|---|---|---|
| Arhat Inv. 448 | 2 multi-layered 5 scrapings | Lithopone-based, additional presence of Si in innermost layer | Red Fe-containing pigments Minium Ultramarine blue * Prussian blue [traces] Green earth * Chrome green [traces] * Phthalocyanine green [traces] | [?] | Natural resin [?] * Acrylic resin * Alkyd resin |
| Arhat Inv. 449 | 4 multi-layered 8 scrapings | Lithopone-based, innermost layer with a calcium carbonate matrix and minor silicate inclusions | Red Fe-containing pigments Red lake (calcium carbonate substrate) Red lake (Al-silicate substrate) Minium Ultramarine blue Carbon-based black pigment * Phthalocyanine green | Oil [?] (Al and Zn stearates) | * PVAc |
| Bodhisattva Inv. 450 | 4 multi-layered 4 scrapings | Lithopone-based | Fe-containing earths Minium Red lake (calcium carbonate substrate) Red lake (Al- and Fe-silicate substrate) Carbon-based black pigment Ultramarine blue Mn- and Fe-containing blue pigment * Cd-, Cr-, Co-containing pigments [traces] | Oil | Rice starch Natural resin [?] |
| Bodhisattva Inv. 451 | 4 multi-layered 6 scrapings | Lithopone-based | Fe-containing earths Minium Red lake (Al- and Fe-silicate substrate) Carbon-based black pigment Ultramarine blue Mn- and Fe-containing blue pigment * Cd-, Cr-, Co-containing pigments [traces] | Oil | Rice starch Natural resin [?] * PVAc * Alkyd resin [traces] |
| Buddha Inv. 452 | 3 multi-layered 6 scrapings | Lithopone-based | Minium Fe-containing earths Ultramarine blue Mn- and Fe-containing blue pigment * Phthalocyanine blue | [?] | * PVAc |
| Guanyin Inv. 453 | 3 multi-layered 9 scrapings | Lithopone-based | Fe-containing earths Ultramarine blue Carbon-based black pigment Minium * Organic brown glaze | Oil [?] (Al and Zn stearates) | Rice starch * Beeswax * PVAc * Alkyd resin [traces] |
| Arhat Inv. 454 | 6 multi-layered 8 scrapings | Lithopone-based | Titanium white Carbon-based black pigment Minium Phthalocyanine blue Red organic synthetic pigment | Alkyd resin | Rice starch * Acryl resin * PVAc [?] |
Disclaimer/Publisher’s Note: The statements, opinions and data contained in all publications are solely those of the individual author(s) and contributor(s) and not of MDPI and/or the editor(s). MDPI and/or the editor(s) disclaim responsibility for any injury to people or property resulting from any ideas, methods, instructions or products referred to in the content. |
© 2024 by the authors. Licensee MDPI, Basel, Switzerland. This article is an open access article distributed under the terms and conditions of the Creative Commons Attribution (CC BY) license (https://creativecommons.org/licenses/by/4.0/).
Share and Cite
Ricci, C.; Buscaglia, P.; Angelici, D.; Piccirillo, A.; Matteucci, E.; Demonte, D.; Tasso, V.; Sanna, N.; Zenucchini, F.; Croci, S.; et al. A Technical Study of Chinese Buddhist Sculptures: First Insights into a Complex History of Transformation through Analysis of the Polychrome Decoration. Coatings 2024, 14, 344. https://doi.org/10.3390/coatings14030344
Ricci C, Buscaglia P, Angelici D, Piccirillo A, Matteucci E, Demonte D, Tasso V, Sanna N, Zenucchini F, Croci S, et al. A Technical Study of Chinese Buddhist Sculptures: First Insights into a Complex History of Transformation through Analysis of the Polychrome Decoration. Coatings. 2024; 14(3):344. https://doi.org/10.3390/coatings14030344
Chicago/Turabian StyleRicci, Chiara, Paola Buscaglia, Debora Angelici, Anna Piccirillo, Enrica Matteucci, Daniele Demonte, Valentina Tasso, Noemi Sanna, Francesca Zenucchini, Sara Croci, and et al. 2024. "A Technical Study of Chinese Buddhist Sculptures: First Insights into a Complex History of Transformation through Analysis of the Polychrome Decoration" Coatings 14, no. 3: 344. https://doi.org/10.3390/coatings14030344
APA StyleRicci, C., Buscaglia, P., Angelici, D., Piccirillo, A., Matteucci, E., Demonte, D., Tasso, V., Sanna, N., Zenucchini, F., Croci, S., Di Iorio, F., Vigo, L., Quadrio, D., & Pozzi, F. (2024). A Technical Study of Chinese Buddhist Sculptures: First Insights into a Complex History of Transformation through Analysis of the Polychrome Decoration. Coatings, 14(3), 344. https://doi.org/10.3390/coatings14030344

