Recurrent Urinary Tract Infections in a Patient with Diffuse Large B-Cell Lymphoma and Severe COVID-19: A Single Case of Suspected Immunosuppression Where Antibacterial Therapy Was Not Enough
Abstract
1. Introduction
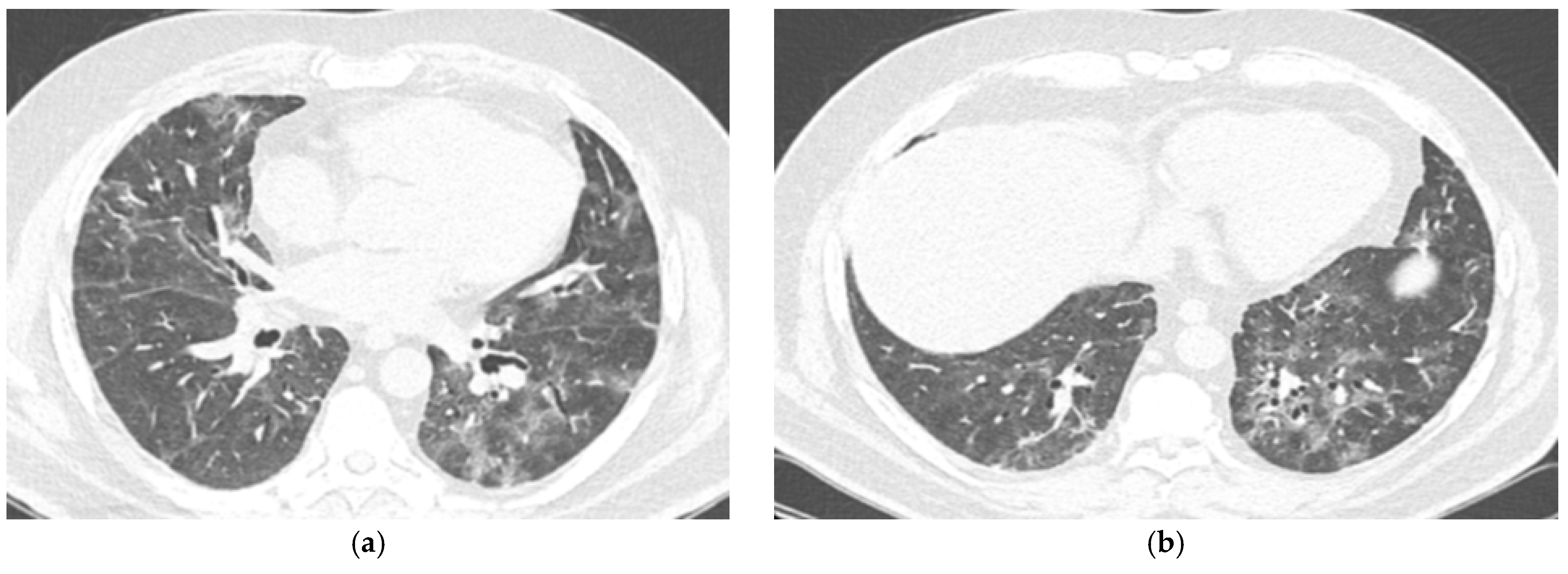
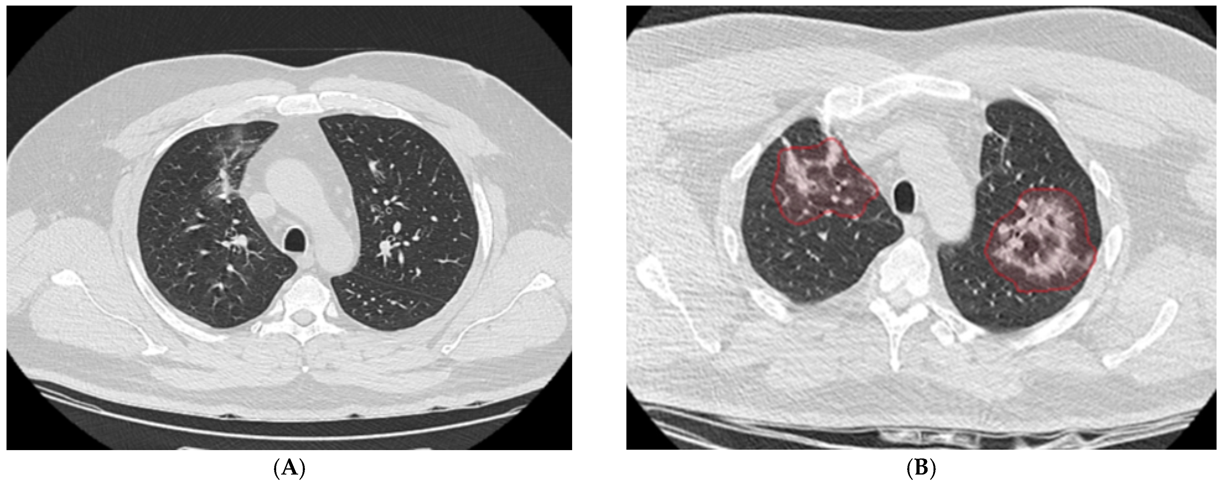
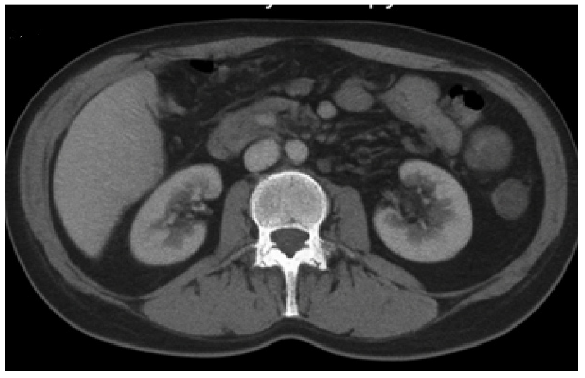
2. Case Study
3. Discussion
4. Clinical Take-Home Messages
5. Conclusions
Author Contributions
Funding
Institutional Review Board Statement
Informed Consent Statement
Data Availability Statement
Conflicts of Interest
Abbreviations
| ABG | Arterial Blood Gas |
| A/G | Albumin-to-Globulin ratio |
| CLSI | Clinical and Laboratory Standards Institute |
| COVID-19 | Coronavirus Disease 2019 |
| CRE | Carbapenem-Resistant Enterobacterales |
| CRP | C-Reactive Protein |
| CVID | Common Variable Immunodeficiency |
| CT | Computed Tomography |
| EUCAST | European Committee on Antimicrobial Susceptibility Testing |
| HCO3− | Bicarbonate |
| IVIG | Intravenous Immunoglobulin |
| LDH | Lactate Dehydrogenase |
| MDR | Multidrug-Resistant |
| mMRC | Modified Medical Research Council |
| NHL | Non-Hodgkin Lymphoma |
| PaCO2 | Partial pressure of Carbon Dioxide in Arterial Blood |
| PaO2 | Partial Pressure of Oxygen in Arterial Blood |
| PID | Primary Immunodeficiency |
| RF | Rheumatoid Factor |
| RT-PCR | Reverse Transcription Polymerase Chain Reaction |
| SaO2 | Oxygen Saturation |
| SID | Secondary Immunodeficiency |
| SARS-CoV-2 | Severe Acute Respiratory Syndrome Coronavirus 2 |
| UTI | Urinary Tract Infection |
| XDR | Extensively Drug-Resistant |
References
- Bitew, G.; Dagnew, M.; Dereje, M.; Birhanu, A.; Gashaw, Y.; Ambachew, A.; Tessema, B. Burden of multi-drug resistant bacterial isolates and its associated risk factors among UTI-confirmed geriatrics in Gondar town. Sci. Rep. 2025, 15, 14270. [Google Scholar] [CrossRef] [PubMed] [PubMed Central]
- Jean, S.S.; Harnod, D.; Hsueh, P.R. Global Threat of Carbapenem-Resistant Gram-Negative Bacteria. Front. Cell Infect. Microbiol. 2022, 12, 823684. [Google Scholar] [CrossRef] [PubMed] [PubMed Central]
- Suzuki, M.; Fujioka, I.; Matsushima, T. Case Report: Persistent COVID-19 in a fully vaccinated Japanese man being treated with rituximab and epcoritamab for diffuse large B-cell lymphoma. Front. Med. 2025, 12, 1554100. [Google Scholar] [CrossRef] [PubMed] [PubMed Central]
- Willison, A.G.; Hagler, R.; Weise, M.; Elben, S.; Huntemann, N.; Masanneck, L.; Pfeuffer, S.; Lichtenberg, S.; Golombeck, K.S.; Preuth, L.-M.; et al. Effects of Anti-CD20 Antibody Therapy on Immune Cell Dynamics in Relapsing-Remitting Multiple Sclerosis. Cells 2025, 14, 552. [Google Scholar] [CrossRef]
- Furlan, A.; Forner, G.; Cipriani, L.; Vian, E.; Rigoli, R.; Gherlinzoni, F.; Scotton, P. COVID-19 in B Cell-Depleted Patients After Rituximab: A Diagnostic and Therapeutic Challenge. Front. Immunol. 2021, 12, 763412. [Google Scholar] [CrossRef] [PubMed] [PubMed Central]
- Maltezou, H.C.; Papanikolopoulou, A.; Vassiliu, S.; Theodoridou, K.; Nikolopoulou, G.; Sipsas, N.V. COVID-19 and Respiratory Virus Co-Infections: A Systematic Review of the Literature. Viruses 2023, 15, 865. [Google Scholar] [CrossRef] [PubMed] [PubMed Central]
- Langford, B.J.; So, M.; Simeonova, M.; Leung, V.; Lo, J.; Kan, T.; Raybardhan, S.; Sapin, M.E.; Mponponsuo, K.; Farrell, A.; et al. Antimicrobial resistance in patients with COVID-19: A systematic review and meta-analysis. Lancet Microbe 2023, 4, e179–e191. [Google Scholar] [CrossRef] [PubMed] [PubMed Central]
- Palacios-Ortega, M.; Guerra-Galán, T.; Jiménez-Huete, A.; García-Aznar, J.M.; Pérez-Guzmán, M.; Mansilla-Ruiz, M.D.; Mendiola, Á.V.; López, C.P.; Hornero, E.M.; Rodriguez, A.P.; et al. Dissecting Secondary Immunodeficiency: Identification of Primary Immunodeficiency within B-Cell Lymphoproliferative Disorders. J. Clin. Immunol. 2024, 45, 32, Erratum in J. Clin. Immunol. 2025, 45, 72. https://doi.org/10.1007/s10875-025-01865-3. [Google Scholar] [CrossRef] [PubMed] [PubMed Central]
- Rahme, D.; Nakkash Chmaisse, H.; Salameh, P. Unraveling the Length of Hospital Stay for Patients with Urinary Tract Infections: Contributing Factors and Microbial Susceptibility. Antibiotics 2025, 14, 421. [Google Scholar] [CrossRef]
- Oliveira, M.; Antunes, W.; Mota, S.; Madureira-Carvalho, Á.; Dinis-Oliveira, R.J.; Dias da Silva, D. An Overview of the Recent Advances in Antimicrobial Resistance. Microorganisms 2024, 12, 1920. [Google Scholar] [CrossRef]
- Fumagalli, R.; Saettini, F. Expanding the Spectrum of Selective IgM Deficiency: From Infections to Immune Dysregulation. Int. J. Mol. Sci. 2025, 26, 9003. [Google Scholar] [CrossRef] [PubMed]
- Shahid, M.; Saeed, N.K.; Ahmad, N.; Shadab, M.; Joji, R.M.; Al-Mahmeed, A.; Bindayna, K.M.; Tabbara, K.S.; Ismaeel, A.Y.; Dar, F.K. Molecular Screening of Carbapenem-Resistant K. pneumoniae (CRKP) Clinical Isolates for Concomitant Occurrence of Beta-Lactam Genes (CTX-M, TEM, and SHV) in the Kingdom of Bahrain. J. Clin. Med. 2023, 12, 7522. [Google Scholar] [CrossRef]
- Mihu, A.G.; Susan, M.M.; Strauti, C.N.; Mot, M.D.; Muresanu, H.D.; Balta, C.; Nesiu, A. First Case of Raoultella planticola Urinary Tract Infection Reported in Western Romania. Medicina 2023, 59, 506. [Google Scholar] [CrossRef] [PubMed] [PubMed Central]
- Althaferi, R.S.; Alfouzan, W.A.; Mustafa, A.S. Antibiotics Resistance Profile of Clinical Isolates of Pseudomonas aeruginosa Obtained from Farwaniya Hospital in Kuwait Using Phenotypic and Molecular Methods. Antibiotics 2025, 14, 539. [Google Scholar] [CrossRef]
- Anastassopoulou, C.; Ferous, S.; Petsimeri, A.; Gioula, G.; Tsakris, A. Phage-Based Therapy in Combination with Antibiotics: A Promising Alternative against Multidrug-Resistant Gram-Negative Pathogens. Pathogens 2024, 13, 896. [Google Scholar] [CrossRef]
- Bogdan, I.; Reddyreddy, A.R.; Nelluri, A.; Maganti, R.K.; Bratosin, F.; Fericean, R.M.; Dumitru, C.; Barata, P.I.; Tapalaga, G.; Marincu, I. Fungal Infections Identified with Multiplex PCR in Severe COVID-19 Patients during Six Pandemic Waves. Medicina 2023, 59, 1253. [Google Scholar] [CrossRef] [PubMed] [PubMed Central]
- Davitt, E.; Davitt, C.; Mazer, M.B.; Areti, S.S.; Hotchkiss, R.S.; Remy, K.E. COVID-19 disease and immune dysregulation. Best Pract. Res. Clin. Haematol. 2022, 35, 101401. [Google Scholar] [CrossRef] [PubMed] [PubMed Central]
- Brandenburg, K.; Ferrer-Espada, R.; Martinez-de-Tejada, G.; Nehls, C.; Fukuoka, S.; Mauss, K.; Weindl, G.; Garidel, P. A Comparison between SARS-CoV-2 and Gram-Negative Bacteria-Induced Hyperinflammation and Sepsis. Int. J. Mol. Sci. 2023, 24, 15169. [Google Scholar] [CrossRef]
- Guliciuc, M.; Maier, A.C.; Maier, I.M.; Kraft, A.; Cucuruzac, R.R.; Marinescu, M.; Şerban, C.; Rebegea, L.; Constantin, G.B.; Firescu, D. The Urosepsis—A Literature Review. Medicina 2021, 57, 872. [Google Scholar] [CrossRef]
- Outinen, T.K.; Mäkelä, S.; Pörsti, I.; Vaheri, A.; Mustonen, J. Severity Biomarkers in Puumala Hantavirus Infection. Viruses 2022, 14, 45. [Google Scholar] [CrossRef] [PubMed]
- Mi, Z.; Zhao, L.; Sun, M.; Gao, T.; Wang, Y.; Sui, B.; Li, Y. Overexpression of Interleukin-33 in Recombinant Rabies Virus Enhances Innate and Humoral Immune Responses through Activation of Dendritic Cell-Germinal Center Reactions. Vaccines 2022, 10, 34. [Google Scholar] [CrossRef]
- Paranga, T.G.; Mitu, I.; Pavel-Tanasa, M.; Rosu, M.F.; Miftode, I.-L.; Constantinescu, D.; Obreja, M.; Plesca, C.E.; Miftode, E. Cytokine Storm in COVID-19: Exploring IL-6 Signaling and Cytokine-Microbiome Interactions as Emerging Therapeutic Approaches. Int. J. Mol. Sci. 2024, 25, 11411. [Google Scholar] [CrossRef]
- Daliu, P.; Bogdan, I.; Rosca, O.; Aelenei, A.L.; Sîrbu, I.; Bica, M.C.; Licker, M.; Hogea, E.; Muntean, D. Bacterial Superinfections After SARS-CoV-2 Pneumonia: Antimicrobial Resistance Patterns, Impact on Inflammatory Profiles, Severity Scores, and Clinical Outcomes. Diseases 2025, 13, 145. [Google Scholar] [CrossRef]
- Ott de Bruin, L.M.; Pico-Knijnenburg, I.; van Ostaijen-ten Dam, M.M.; Weitering, T.J.; Berghuis, D.; Bredius, R.G.M.; Lankester, A.C.; van der Burg, M. Persistent Hypogammaglobulinemia after Receiving Rituximab Post-HSCT Is Not Caused by an Intrinsic B Cell Defect. Int. J. Mol. Sci. 2023, 24, 16012. [Google Scholar] [CrossRef] [PubMed]
- Woopen, C.; Dunsche, M.; Al Rahbani, G.K.; Dillenseger, A.; Atta, Y.; Haase, R.; Raposo, C.; Pedotti, R.; Ziemssen, T.; Akgün, K. Long-Term Immune Response Profiles to SARS-CoV-2 Vaccination and Infection in People with Multiple Sclerosis on Anti-CD20 Therapy. Vaccines 2023, 11, 1464. [Google Scholar] [CrossRef] [PubMed]
- Kapousouzi, A.; Kalala, F.; Sarrou, S.; Farmaki, E.; Antonakos, N.; Kakkas, I.; Kourakli, A.; Labropoulou, V.; Kelaidi, C.; Tsiouma, G.; et al. A Nationwide Study of the Delayed Diagnosis and the Clinical Manifestations of Predominantly Antibody Deficiencies and CTLA4-Mediated Immune Dysregulation Syndrome in Greece. Medicina 2024, 60, 782. [Google Scholar] [CrossRef]
- Dimou, M.; Vacca, A.; Sánchez-Ramón, S.; Karakulska-Prystupiuk, E.; Lionikaite, V.; Siffel, C.; Anderson-Smits, C.; Kamieniak, M. Real-World Effectiveness, Safety, and Tolerability of Facilitated Subcutaneous Immunoglobulin 10% in Secondary Immunodeficiency Disease: A Systematic Literature Review. J. Clin. Med. 2025, 14, 1203. [Google Scholar] [CrossRef] [PubMed]
- Kalaiarasan, E.; Alex, A.; Narasimha, H.B.; Sehgal, R. Characterization of Antimicrobial Resistance Mechanisms and Virulence Determinants in Colistin- and Carbapenem-Resistant Pseudomonas aeruginosa. Microbiol. Res. 2024, 15, 1814–1825. [Google Scholar] [CrossRef]
- Nakagawa, K.; Ihara, S.; Yamaguchi, J.; Kuwana, T.; Kinoshita, K. Steroid Pulse Therapy Leads to Secondary Infections and Poor Outcomes in Patients with Severe Acute Respiratory Syndrome Coronavirus 2 (SARS-CoV-2) in Intensive Care Units: A Retrospective Cohort Study. Viruses 2025, 17, 822. [Google Scholar] [CrossRef]
- Zama, D.; Pedretti, L.; Capoferri, G.; Forestiero, R.; Lanari, M.; Esposito, S. Immunization Strategies in Pediatric Patients Receiving Hematopoietic Cell Transplantation (HCT) and Chimeric Antigen Receptor T-Cell (CAR-T) Therapy: Challenges and Insights from a Narrative Review. Vaccines 2025, 13, 932. [Google Scholar] [CrossRef]
- Dickson, K.; Zhou, J.; Lehmann, C. Lower Urinary Tract Inflammation and Infection: Key Microbiological and Immunological Aspects. J. Clin. Med. 2024, 13, 315. [Google Scholar] [CrossRef] [PubMed]
- Gerhardtova, I.; Cizmarova, I.; Jankech, T.; Olesova, D.; Jampilek, J.; Parrak, V.; Nemergutova, K.; Sopko, L.; Piestansky, J.; Kovac, A. Implementation of Modern Therapeutic Drug Monitoring and Lipidomics Approaches in Clinical Practice: A Case Study with Colistin Treatment. Pharmaceuticals 2024, 17, 753. [Google Scholar] [CrossRef] [PubMed]
- Berger, K.; Arafat, D.; Chandrakasan, S.; Snapper, S.B.; Gibson, G. Targeted RNAseq Improves Clinical Diagnosis of Very Early-Onset Pediatric Immune Dysregulation. J. Pers. Med. 2022, 12, 919. [Google Scholar] [CrossRef]
- Boyle, C.R.; Doan, T.; Rios-Guzman, E.; Maciuch, J.; Simons, L.M.; Garcia, D.S.; Williams, D.B.; Alisoltani, A.; Ozer, E.A.; Lorenzo-Redondo, R.; et al. Intra-Host Evolution of SARS-CoV-2 During Persistent Infection of Pediatric COVID-19 Patients. Viruses 2025, 17, 1313. [Google Scholar] [CrossRef] [PubMed]
- Olariu, T.R.; Ursoniu, S.; Craciun, A.C.; Dumitrascu, V.; Vlad, D.C.; Olariu, A.T.; Mihu, A.G.; Lupu, M.A. SARS-CoV-2 seroprevalence and associated risk factors in adult outpatients from Western Romania, January to March 2023: A seroepidemiological assessment after three years of COVID-19 pandemic. Infect. Dis. 2025, 57, 464–474. [Google Scholar] [CrossRef] [PubMed]
- Oatis, D.; Herman, H.; Balta, C.; Ciceu, A.; Simon-Repolski, E.; Mihu, A.G.; Lepre, C.C.; Russo, M.; Trotta, M.C.; Gravina, A.G.; et al. Dynamic shifts in lung cytokine patterns in post-COVID-19 interstitial lung disease patients: A pilot study. Ther. Adv. Chronic Dis. 2024, 15, 20406223241236257. [Google Scholar] [CrossRef] [PubMed] [PubMed Central]





| Parameter | Patient Value | Reference Range (Normal) |
|---|---|---|
| Interleukin-6 (IL-6) | 27 pg/mL | <7 pg/mL |
| Ferritin | 1173 ng/mL | 30–400 ng/mL (men) |
| C-reactive protein (CRP) | 85 mg/L | <5 mg/L |
| Fibrinogen | 687 mg/dL | 200–400 mg/dL |
| Lactate dehydrogenase (LDH) | 412 U/L | 140–280 U/L |
| Leukocytes (WBC) | 2.77 × 109/L | 4–10 × 109/L |
| Lymphocytes (relative) | 12.4% | 20–40% |
| Parameter | Patient Value | Reference Range (Normal) |
|---|---|---|
| Ferritin | 2000 ng/mL | 30–400 ng/mL (men) |
| Interleukin-6 (IL-6) | 89 pg/mL | <7 pg/mL |
| C-reactive protein (CRP) | 87 mg/L | <5 mg/L |
| Leukocytes (WBC) | 2.14 × 109/L | 4–10 × 109/L |
| Date | Pathogen | Resistant to | Sensitive to |
|---|---|---|---|
| June 2022 | Escherichia coli | Amoxicillin/clavulanate, Ciprofloxacin, Gentamicin, Temocillin | Imipenem, Meropenem |
| August 2022 | Klebsiella pneumoniae | Amoxicillin/clavulanate, Ceftriaxone, Ceftazidime, Cefepime, Ciprofloxacin, Levofloxacin, Gentamicin, Amikacin, Tobramycin, Colistin, Temocillin | Imipenem, Meropenem |
| September 2022 | Pseudomonas aeruginosa | Piperacillin/tazobactam, Ceftazidime, Cefepime, Ciprofloxacin, Levofloxacin, Gentamicin, Amikacin, Tobramycin | Meropenem |
| October 2022 | Proteus mirabilis | Amoxicillin/clavulanate, Ceftriaxone, Cefepime, Ciprofloxacin, Levofloxacin, Gentamicin, Amikacin, Tobramycin, Colistin, Temocillin | Meropenem |
| Medication/Therapy | Dose/Route | Duration/Timing | Purpose |
|---|---|---|---|
| Human immunoglobulin (Panzyga) | IV | Two infusions | Correction of hypogammaglobulinemia |
| Corticosteroids (dexamethasone) | 8 mg IV | During hospitalization | Anti-inflammatory, immunomodulation |
| Anticoagulants (rivaroxaban) | 10 mg orally | As indicated | Thromboprophylaxis |
| Intravenous fluids and electrolytes | - | As needed | Supportive care |
| Mucolytic agents | - | During hospitalization | Respiratory support |
| Nutritional immune support (Fort Imuno) | - | During hospitalization | Support immune function |
| Antidiabetic therapy | - | Continuous | Glycemic control |
| Arginine supplementation | - | As indicated | Nutritional support |
| Proton pump inhibitor (esomeprazole) | 20 mg orally | During hospitalization | Gastroprotection |
| Medication/Therapy | Dose/Route | Purpose |
|---|---|---|
| Dexamethasone | 8 mg orally daily | Anti-inflammatory |
| Rivaroxaban | 10 mg orally daily | Thromboprophylaxis |
| Antidiabetic therapy | As per prior regimen | Glycemic control |
| Fort Imuno | As per manufacturer | Nutritional immune support |
| Arginine supplementation | As indicated | Nutritional support |
| Esomeprazole | 20 mg orally daily | Gastroprotection |
Disclaimer/Publisher’s Note: The statements, opinions and data contained in all publications are solely those of the individual author(s) and contributor(s) and not of MDPI and/or the editor(s). MDPI and/or the editor(s) disclaim responsibility for any injury to people or property resulting from any ideas, methods, instructions or products referred to in the content. |
© 2026 by the authors. Licensee MDPI, Basel, Switzerland. This article is an open access article distributed under the terms and conditions of the Creative Commons Attribution (CC BY) license.
Share and Cite
Barata, P.I.; Chicea, L.M.; Nedelea, I.; Strauti, C.N.; Deleanu, D.; Moț, M.D.; Cotoraci, C.; Oancea, C. Recurrent Urinary Tract Infections in a Patient with Diffuse Large B-Cell Lymphoma and Severe COVID-19: A Single Case of Suspected Immunosuppression Where Antibacterial Therapy Was Not Enough. Antibiotics 2026, 15, 48. https://doi.org/10.3390/antibiotics15010048
Barata PI, Chicea LM, Nedelea I, Strauti CN, Deleanu D, Moț MD, Cotoraci C, Oancea C. Recurrent Urinary Tract Infections in a Patient with Diffuse Large B-Cell Lymphoma and Severe COVID-19: A Single Case of Suspected Immunosuppression Where Antibacterial Therapy Was Not Enough. Antibiotics. 2026; 15(1):48. https://doi.org/10.3390/antibiotics15010048
Chicago/Turabian StyleBarata, Paula Irina, Liana Maria Chicea, Irena Nedelea, Carmen Nicoleta Strauti, Diana Deleanu, Maria Daniela Moț, Coralia Cotoraci, and Cristian Oancea. 2026. "Recurrent Urinary Tract Infections in a Patient with Diffuse Large B-Cell Lymphoma and Severe COVID-19: A Single Case of Suspected Immunosuppression Where Antibacterial Therapy Was Not Enough" Antibiotics 15, no. 1: 48. https://doi.org/10.3390/antibiotics15010048
APA StyleBarata, P. I., Chicea, L. M., Nedelea, I., Strauti, C. N., Deleanu, D., Moț, M. D., Cotoraci, C., & Oancea, C. (2026). Recurrent Urinary Tract Infections in a Patient with Diffuse Large B-Cell Lymphoma and Severe COVID-19: A Single Case of Suspected Immunosuppression Where Antibacterial Therapy Was Not Enough. Antibiotics, 15(1), 48. https://doi.org/10.3390/antibiotics15010048
