The Influence of Antibiotic-Loaded Bone Cement Spacer Type on Outcomes of the First Stage of a Revision Total Hip Arthroplasty
Abstract
1. Introduction
2. Material and Methods
2.1. Study Design
2.2. Baseline Demographics and Perioperative Characteristics
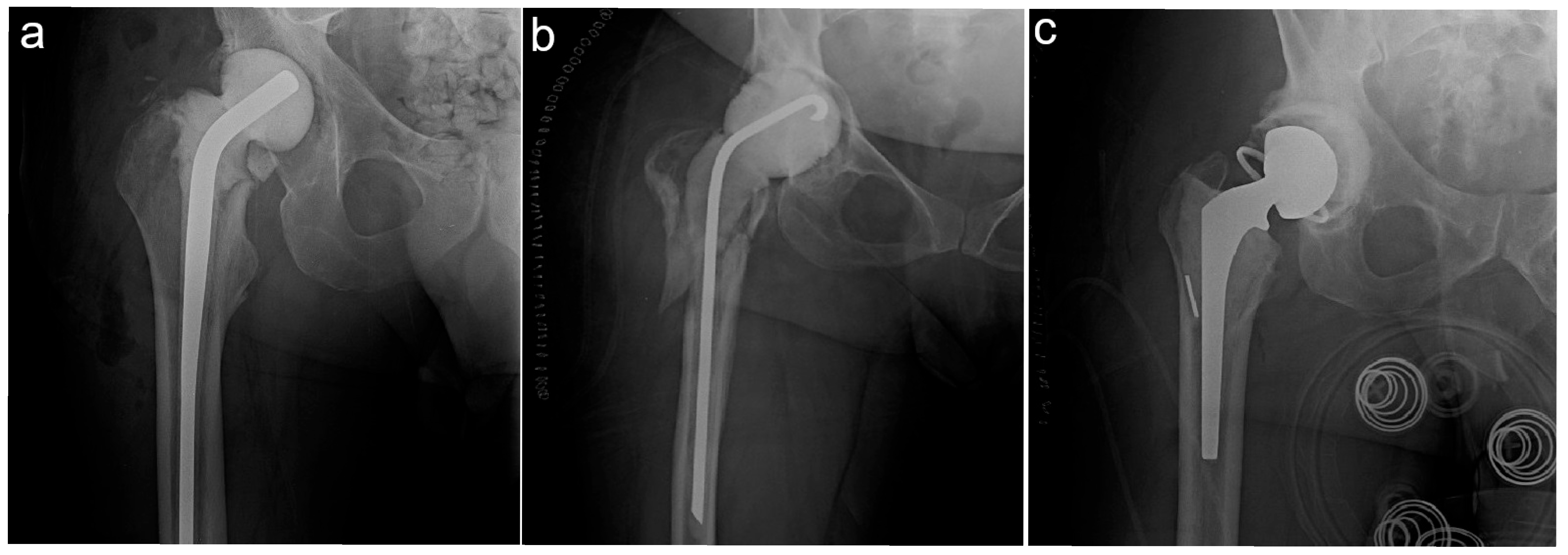
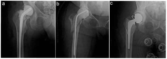
2.3. Assessment of In Situ Spacer Complications
2.4. Data Analyses
2.5. Patient Characteristics
3. Results
3.1. Perioperative Characteristics
3.2. Evaluation of In Situ Spacer Complications
4. Discussion
5. Conclusions
Author Contributions
Funding
Institutional Review Board Statement
Informed Consent Statement
Data Availability Statement
Conflicts of Interest
References
- Shichman, I.; Roof, M.; Askew, N.; Nherera, L.; Rozell, J.C.; Seyler, T.M.; Schwarzkopf, R. Projections and Epidemiology of Primary Hip and Knee Arthroplasty in Medicare Patients to 2040–2060. JBJS Open Access 2023, 8, e22.00112. [Google Scholar] [CrossRef]
- Bumpass, D.B.; Nunley, R.M. Assessing the value of a total joint replacement. Curr. Rev. Musculoskelet. Med. 2012, 5, 274–282. [Google Scholar] [CrossRef] [PubMed]
- Sloan, M.; Premkumar, A.; Sheth, N.P. Projected Volume of Primary Total Joint Arthroplasty in the U.S., 2014 to 2030. J. Bone Jt. Surg. Am. 2018, 100, 1455–1460. [Google Scholar] [CrossRef]
- Duwelius, P.J.; Southgate, R.D.; Crutcher, J.P., Jr.; Rollier, G.M.; Li, H.F.; Sypher, K.S.; Tompkins, G.S. Registry Data Show Complication Rates and Cost in Revision Hip Arthroplasty. J. Arthroplast. 2023, 38, S29–S33. [Google Scholar] [CrossRef]
- Premkumar, A.; Kolin, D.A.; Farley, K.X.; Wilson, J.M.; McLawhorn, A.S.; Cross, M.B.; Sculco, P.K. Projected Economic Burden of Periprosthetic Joint Infection of the Hip and Knee in the United States. J. Arthroplast. 2021, 36, 1484–1489.e1483. [Google Scholar] [CrossRef]
- Kugelman, D.; Roof, M.; Egol, A.; Guanche, I.; Chen, A.F.; Schwarzkopf, R.; Aggarwal, V.K. Comparing Articulating Spacers for Periprosthetic Joint Infection After Primary Total Hip Arthroplasty: All-Cement Versus Real-Component Articulating Spacers. J. Arthroplast. 2022, 37, S657–S663. [Google Scholar] [CrossRef]
- Sporer, S.M. Spacer Design Options and Consideration for Periprosthetic Joint Infection. J. Arthroplast. 2020, 35, S31–S34. [Google Scholar] [CrossRef] [PubMed]
- Sousa, R.; Carvalho, A.; Soares, D.; Abreu, M.A. Interval between two-stage exchanges: What is optimal and how do you know? Arthroplasty 2023, 5, 33. [Google Scholar] [CrossRef]
- Nahhas, C.R.; Chalmers, P.N.; Parvizi, J.; Sporer, S.M.; Deirmengian, G.K.; Chen, A.F.; Culvern, C.N.; Moric, M.; Della Valle, C.J. Randomized Trial of Static and Articulating Spacers for Treatment of the Infected Total Hip Arthroplasty. J. Arthroplast. 2021, 36, 2171–2177. [Google Scholar] [CrossRef] [PubMed]
- Brunet, L.; Fernández-Valencia, J.A.; Torner, P.; Font-Vizcarra, L.; Anglès, F.; Muñoz-Mahamud, E. Is hip resection arthroplasty a successful definitive treatment? J. Orthop. 2023, 35, 93–98. [Google Scholar] [CrossRef]
- Lum, Z.C.; Holland, C.T.; Meehan, J.P. Systematic review of single stage revision for prosthetic joint infection. World J. Orthop. 2020, 11, 559–572. [Google Scholar] [CrossRef]
- Sarfraz, A.; Shichman, I.; LaPorte, Z.L.; Rozell, J.C.; Schwarzkopf, R.; Aggarwal, V.K. Does the Degree of Liner Constraint Increase Risk of Complications in Articulating Spacers in Two-stage Revision After THA? Clin. Orthop. Relat. Res. 2025, 483, 1237–1244. [Google Scholar] [CrossRef]
- Roof, M.A.; Baylor, J.L.; Bernstein, J.A.; Antonelli, B.J.; Kugelman, D.N.; Egol, A.J.; Melnic, C.M.; Chen, A.F.; Long, W.J.; Aggarwal, V.K.; et al. Comparing the Efficacy of Articulating Spacer Constructs for Knee Periprosthetic Joint Infection Eradication: All-Cement vs. Real-Component Spacers. J. Arthroplast. 2021, 36, S320–S327. [Google Scholar] [CrossRef]
- Shahpari, O.; Mousavian, A.; Elahpour, N.; Malahias, M.A.; Ebrahimzadeh, M.H.; Moradi, A. The Use of Antibiotic Impregnated Cement Spacers in the Treatment of Infected Total Joint Replacement: Challenges and Achievements. Arch. Bone Jt. Surg. 2020, 8, 11–20. [Google Scholar] [CrossRef] [PubMed]
- Parvizi, J.; Tan, T.L.; Goswami, K.; Higuera, C.; Della Valle, C.; Chen, A.F.; Shohat, N. The 2018 Definition of Periprosthetic Hip and Knee Infection: An Evidence-Based and Validated Criteria. J. Arthroplast. 2018, 33, 1309–1314.e1302. [Google Scholar] [CrossRef]
- Bennett, D.A. How can I deal with missing data in my study? Aust. N. Z. J. Public Health 2001, 25, 464–469. [Google Scholar] [CrossRef]
- Pedersen, A.B.; Mikkelsen, E.M.; Cronin-Fenton, D.; Kristensen, N.R.; Pham, T.M.; Pedersen, L.; Petersen, I. Missing data and multiple imputation in clinical epidemiological research. Clin. Epidemiol. 2017, 9, 157–166. [Google Scholar] [CrossRef]
- Khury, F.; Oltmanns, M.; Fuchs, M.; Leiprecht, J.; Reichel, H.; Faschingbauer, M. Against the Norm: Do Not Rely on Serum C-Reactive Protein and White Blood Cell Count Only When Assessing Eradication of Periprosthetic Joint Infection. Antibiotics 2022, 11, 1174. [Google Scholar] [CrossRef] [PubMed]
- Faschingbauer, M.; Reichel, H.; Bieger, R.; Kappe, T. Mechanical complications with one hundred and thirty eight (antibiotic-laden) cement spacers in the treatment of periprosthetic infection after total hip arthroplasty. Int. Orthop. 2015, 39, 989–994. [Google Scholar] [CrossRef]
- Jacobs, C.; Christensen, C.P.; Berend, M.E. Static and Mobile Antibiotic-impregnated Cement Spacers for the Management of Prosthetic Joint Infection. JAAOS-J. Am. Acad. Orthop. Surg. 2009, 17, 356–368. [Google Scholar] [CrossRef] [PubMed]
- Tsung, J.D.; Rohrsheim, J.A.; Whitehouse, S.L.; Wilson, M.J.; Howell, J.R. Management of periprosthetic joint infection after total hip arthroplasty using a custom made articulating spacer (CUMARS); the Exeter experience. J. Arthroplast. 2014, 29, 1813–1818. [Google Scholar] [CrossRef]
- Tellisi, N.; Wahab, K.H.A. Re-operations following Austin Moore hemiarthroplasty: A district hospital experience. Injury 2001, 32, 465–467. [Google Scholar] [CrossRef]
- Gonzalez, S.G.; López, F.M.; Ramon, P.R.; Cortadellas, C.M.; Palou, E.C.; García, A.L. Two-stage revision of hip prosthesis infection using a hip spacer with stabilising proximal cementation. Hip Int. 2010, 20, 128–134. [Google Scholar] [CrossRef]
- Bori, G.; García-Oltra, E.; Soriano, A.; Rios, J.; Gallart, X.; Garcia, S. Dislocation of preformed antibiotic-loaded cement spacers (Spacer-G): Etiological factors and clinical prognosis. J. Arthroplast. 2014, 29, 883–888. [Google Scholar] [CrossRef]
- Romanò, C.L.; Romanò, D.; Logoluso, N.; Meani, E. Long-Stem versus Short-Stem Preformed Antibiotic-Loaded Cement Spacers for Two-Stage Revision of Infected Total Hip Arthroplasty. Hip Int. 2010, 20, 26–33. [Google Scholar] [CrossRef] [PubMed]
- Sambri, A.; Fiore, M.; Rondinella, C.; Morante, L.; Paolucci, A.; Giannini, C.; Alfonso, C.; De Paolis, M. Mechanical complications of hip spacers: A systematic review of the literature. Arch. Orthop. Trauma Surg. 2023, 143, 2341–2353. [Google Scholar] [CrossRef] [PubMed]
- Cabrita, H.B.; Croci, A.T.; Camargo, O.P.; Lima, A.L. Prospective study of the treatment of infected hip arthroplasties with or without the use of an antibiotic-loaded cement spacer. Clinics 2007, 62, 99–108. [Google Scholar] [CrossRef] [PubMed]
- Berend, K.R.; Lombardi, A.V., Jr.; Morris, M.J.; Bergeson, A.G.; Adams, J.B.; Sneller, M.A. Two-stage treatment of hip periprosthetic joint infection is associated with a high rate of infection control but high mortality. Clin. Orthop. Relat. Res. 2013, 471, 510–518. [Google Scholar] [CrossRef]
- Anagnostakos, K.; Fürst, O.; Kelm, J. Antibiotic-impregnated PMMA hip spacers: Current status. Acta Orthop. 2006, 77, 628–637. [Google Scholar] [CrossRef]
- Jones, C.W.; Selemon, N.; Nocon, A.; Bostrom, M.; Westrich, G.; Sculco, P.K. The Influence of Spacer Design on the Rate of Complications in Two-Stage Revision Hip Arthroplasty. J. Arthroplast. 2019, 34, 1201–1206. [Google Scholar] [CrossRef]
- Quayle, J.; Barakat, A.; Klasan, A.; Mittal, A.; Chan, G.; Gibbs, J.; Edmondson, M.; Stott, P. Management of peri-prosthetic joint infection and severe bone loss after total hip arthroplasty using a long-stemmed cemented custom-made articulating spacer (CUMARS). BMC Musculoskelet. Disord. 2021, 22, 358. [Google Scholar] [CrossRef] [PubMed]
- Craig, A.; King, S.W.; van Duren, B.H.; Veysi, V.T.; Jain, S.; Palan, J. Articular spacers in two-stage revision arthroplasty for prosthetic joint infection of the hip and the knee. EFORT Open Rev. 2022, 7, 137–152. [Google Scholar] [CrossRef]
- Hexter, A.T.; Hislop, S.M.; Blunn, G.W.; Liddle, A.D. The effect of bearing surface on risk of periprosthetic joint infection in total hip arthroplasty: A systematic review and meta-analysis. Bone Jt. J. 2018, 100-B, 134–142. [Google Scholar] [CrossRef]
- Davidson, D.J.; Spratt, D.; Liddle, A.D. Implant materials and prosthetic joint infection: The battle with the biofilm. EFORT Open Rev. 2019, 4, 633–639. [Google Scholar] [CrossRef] [PubMed]
- Chalmers, B.P.; Mabry, T.M.; Abdel, M.P.; Berry, D.J.; Hanssen, A.D.; Perry, K.I. Two-Stage Revision Total Hip Arthroplasty With a Specific Articulating Antibiotic Spacer Design: Reliable Periprosthetic Joint Infection Eradication and Functional Improvement. J. Arthroplast. 2018, 33, 3746–3753. [Google Scholar] [CrossRef]
- Debbi, E.M.; Rockov, Z.A.; Schroeder, I.G.; Nigh, E.D.; Polakof, L.S.; Rajaee, S.S.; Yalamanchili, D.R.; Paiement, G.D. Impact of Antibiotic-Impregnated Spacer Design in the Treatment of Periprosthetic Hip Infection. Arthroplast. Today 2022, 18, 168–172. [Google Scholar] [CrossRef]
- Hofmann, A.A.; Goldberg, T.D.; Tanner, A.M.; Cook, T.M. Ten-year experience using an articulating antibiotic cement hip spacer for the treatment of chronically infected total hip. J. Arthroplast. 2005, 20, 874–879. [Google Scholar] [CrossRef]
- Kurtz, S.M.; Higgs, G.B.; Lau, E.; Iorio, R.R.; Courtney, P.M.; Parvizi, J. Hospital Costs for Unsuccessful Two-Stage Revisions for Periprosthetic Joint Infection. J. Arthroplast. 2022, 37, 205–212. [Google Scholar] [CrossRef]
- Karbysheva, S.; Grigoricheva, L.; Golnik, V.; Popov, S.; Renz, N.; Trampuz, A. Influence of retrieved hip- and knee-prosthesis biomaterials on microbial detection by sonication. Eur. Cells Mater. 2019, 37, 16–22. [Google Scholar] [CrossRef]
- Petis, S.M.; Perry, K.I.; Pagnano, M.W.; Berry, D.J.; Hanssen, A.D.; Abdel, M.P. Retained Antibiotic Spacers After Total Hip and Knee Arthroplasty Resections: High Complication Rates. J. Arthroplast. 2017, 32, 3510–3518. [Google Scholar] [CrossRef] [PubMed]
- Tsai, M.L.; Herng-Shouh Hsu, A.; Wu, C.T.; Lin, P.C.; Tan, T.L.; Kuo, F.C. Optimal reimplantation timing in two-stage exchange for periprosthetic joint infection: An observative cohort study in Asian population. BMC Musculoskelet. Disord. 2024, 25, 28. [Google Scholar] [CrossRef] [PubMed]
- McDonald, D.J.; Fitzgerald, R.H., Jr.; Ilstrup, D.M. Two-stage reconstruction of a total hip arthroplasty because of infection. J. Bone Jt. Surg. Am. 1989, 71, 828–834. [Google Scholar] [CrossRef]
- Sabry, F.Y.; Buller, L.; Ahmed, S.; Klika, A.K.; Barsoum, W.K. Preoperative prediction of failure following two-stage revision for knee prosthetic joint infections. J. Arthroplast. 2014, 29, 115–121. [Google Scholar] [CrossRef] [PubMed]
- Winkler, T.; Stuhlert, M.G.W.; Lieb, E.; Müller, M.; von Roth, P.; Preininger, B.; Trampuz, A.; Perka, C.F. Outcome of short versus long interval in two-stage exchange for periprosthetic joint infection: A prospective cohort study. Arch. Orthop. Trauma Surg. 2019, 139, 295–303. [Google Scholar] [CrossRef]
- Moerenhout, K.; Steinmetz, S.; Vautrin, M.; Picarra, S.; Udin, G.; Borens, O. Economic advantage of ‘self-made’antibiotic-loaded spacer compared to prefabricated antibiotic-loaded spacer and spacer molds in two-staged revision arthroplasty. Acta Orthop. Belg. 2021, 87, 557–562. [Google Scholar] [CrossRef]

| Revision Type | p-Value | |||
|---|---|---|---|---|
| Parameter | PHA (n = 29) | CHA (n = 11) | CTHA (n = 104) | |
| Age [range], (years) | 63.9 [39 to 84] | 54.1 [34 to 76] | 63.9 [44 to 87] | 0.011 * |
| BMI, (kg/m2) | 30.8 (20.8 to 56.84) | 34.5 (18.3 to 51) | 30.9 (17.17 to 48.13) | 0.308 |
| Sex, n (%) | ||||
| Female | 14 (48.3%) | 7 (63.6%) | 33 (31.7%) | 0.047 * |
| Male | 15 (51.7%) | 4 (36.4%) | 71 (68.3%) | |
| Race, n (%) | ||||
| White | 18 (62.1%) | 8 (72.7%) | 79 (76%) | 0.033 * |
| Black | 8 (27.6%) | 1 (9.1%) | 8 (7.7%) | |
| Asian | 1 (3.4%) | 0 (0%) | 0 (0%) | |
| Other | 2 (6.9%) | 2 (18.2%) | 17 (16.3%) | |
| Smoking status, n (%) | ||||
| Never | 18 (62.1%) | 7 (63.6%) | 44 (45.4%) | 0.446 |
| Former | 7 (24.1%) | 3 (27.3%) | 39 (40.2%) | |
| Current | 4 (13.8%) | 1 (9.1%) | 14 (14.4%) | |
| ASA class, n (%) | ||||
| I | 3 (13.6%) | 1 (10%) | 2 (2%) | 0.093 |
| II | 5 (22.7%) | 6 (60%) | 46 (46.9%) | |
| III | 14 (63.6%) | 3 (30%) | 49 (50%) | |
| IV | 0 (0%) | 0 (0%) | 1 (1%) | |
| Mean CCI [range] | 2.9 [0 to 9] | 3.1 [0 to 7] | 3.1 [0 to 9] | 0.882 |
| Revision Type | p-Value | |||
|---|---|---|---|---|
| Parameter | PHA (n = 29) | CHA (n = 11) | CTHA (n = 104) | |
| Paprosky class, n (%) | ||||
| I | 10 (34.5%) | 4 (36.4%) | 41 (40.2%) | 0.627 |
| II | 10 (34.5%) | 3 (27.3%) | 28 (27.5%) | |
| IIIa | 6 (20.7%) | 2 (18.2%) | 27 (26.5%) | |
| IIIb | 3 (10.3%) | 1 (9.1%) | 4 (3.9%) | |
| IV | 0 (0%) | 1 (9.1%) | 2 (2%) | |
| Median head diameter [range], (mm) | 52 (46 to 60) | 50 (40 to 60) | 32 (22 to 56) | <0.001 * |
| ETO, n (%) | 12 (41.4%) | 4 (36.4%) | 31 (29.8%) | 0.483 |
| Mean surgery duration [range], (min) | 187.7 (84 to 342) | 217.5 (134 to 309) | 205.9 (55 to 441) | 0.294 |
| Mean length of stay [range], (days) | 6.4 (2 to 16) | 14.6 (1.8 to 31) | 6.2 (1.8 to 35) | <0.001 * |
| Discharge disposition, n (%) | ||||
| Home | 10 (34.5%) | 9 (81.8%) | 67 (64.4%) | 0.02 * |
| Acute rehab facility | 3 (10.3%) | 1 (9.1%) | 7 (6.7%) | |
| Skilled nursing facility | 16 (55.2%) | 1 (9.1%) | 30 (28.8%) | |
| Revision Type | p-Value | |||
|---|---|---|---|---|
| Complications While Spacer In Situ | PHA (n = 29) | CHA (n = 11) | CTHA (n = 104) | |
| Subsidence, n (%) | 6 (20.7%) | 3 (30%) | 19 (19.4%) | 0.730 |
| Dislocation, n (%) | ||||
| All | 4 (13.8%) | 2 (18.2%) | 4 (3.8%) | 0.055 |
| Return to OR required | 1 (3.4%) | 1 (9.1%) | 4 (3.8%) | 0.693 |
| Non-operatively treated | 3 (10.3%) | 1 (9.1%) | 0 (0%) | 0.005 |
| Periprosthetic fracture, n (%) | ||||
| All | 3 (10.3%) | 0 (0%) | 5 (4.8%) | 0.363 |
| Return to OR required | 1 (3.4%) | 0 (0%) | 2 (1.9%) | 0.774 |
| Non-operatively treated | 2 (6.9%) | 0 (0%) | 3 (2.9%) | 0.468 |
| Unplanned procedure for re-infection, n (%) | ||||
| All | 4 (13.8%) | 2 (18.2%) | 6 (5.8%) | 0.181 |
| Requiring I&D | 4 (13.8%) | 1 (9.1%) | 5 (4.8%) | 0.232 |
| Requiring spacer exchange | 1 (3.4%) | 1 (9.1%) | 3 (2.9%) | 0.565 |
| Other complications requiring readmission, n (%) | ||||
| Skin/soft tissue | 2 (6.9%) | 0 (0%) | 3 (2.9%) | 0.468 |
| Sepsis | 0 (0%) | 0 (0%) | 1 (1%) | 0.824 |
| Other non-orthopedic | 2 (6.9%) | 1 (9.1%) | 14 (13.5%) | 0.600 |
| Spacer outcome, n (%) | ||||
| Removed in second stage | 24 (82.8%) | 8 (72.7%) | 78 (75%) | 0.655 |
| In situ at latest follow-up | 2 (6.9%) | 1 (9.1%) | 17 (16.3%) | 0.382 |
| Unplanned spacer revision | 3 (10.3%) | 2 (18.2%) | 9 (8.7%) | 0.593 |
| Time to second Stage ± SD [range], (months) | 10 ± 11.2 [2.3 to 33.6] | 13.2 ± 14.1 [1.7 to 33.6] | 12.6 ± 12.8 [1.7 to 33.6] | 0.605 |
Disclaimer/Publisher’s Note: The statements, opinions and data contained in all publications are solely those of the individual author(s) and contributor(s) and not of MDPI and/or the editor(s). MDPI and/or the editor(s) disclaim responsibility for any injury to people or property resulting from any ideas, methods, instructions or products referred to in the content. |
© 2025 by the authors. Licensee MDPI, Basel, Switzerland. This article is an open access article distributed under the terms and conditions of the Creative Commons Attribution (CC BY) license (https://creativecommons.org/licenses/by/4.0/).
Share and Cite
DelliCarpini, G.; Khury, F.; Ashkenazi, I.; Shehadeh, K.; Schwarzkopf, R.; Rozell, J.C.; Snir, N. The Influence of Antibiotic-Loaded Bone Cement Spacer Type on Outcomes of the First Stage of a Revision Total Hip Arthroplasty. Antibiotics 2025, 14, 1034. https://doi.org/10.3390/antibiotics14101034
DelliCarpini G, Khury F, Ashkenazi I, Shehadeh K, Schwarzkopf R, Rozell JC, Snir N. The Influence of Antibiotic-Loaded Bone Cement Spacer Type on Outcomes of the First Stage of a Revision Total Hip Arthroplasty. Antibiotics. 2025; 14(10):1034. https://doi.org/10.3390/antibiotics14101034
Chicago/Turabian StyleDelliCarpini, Gennaro, Farouk Khury, Itay Ashkenazi, Katherine Shehadeh, Ran Schwarzkopf, Joshua C. Rozell, and Nimrod Snir. 2025. "The Influence of Antibiotic-Loaded Bone Cement Spacer Type on Outcomes of the First Stage of a Revision Total Hip Arthroplasty" Antibiotics 14, no. 10: 1034. https://doi.org/10.3390/antibiotics14101034
APA StyleDelliCarpini, G., Khury, F., Ashkenazi, I., Shehadeh, K., Schwarzkopf, R., Rozell, J. C., & Snir, N. (2025). The Influence of Antibiotic-Loaded Bone Cement Spacer Type on Outcomes of the First Stage of a Revision Total Hip Arthroplasty. Antibiotics, 14(10), 1034. https://doi.org/10.3390/antibiotics14101034

