The Efficacy of Calcium Sulfate/Hydroxyapatite (CaS/HA) Gentamicin in Osteomyelitis Treatment: A Case Series
Abstract
1. Introduction
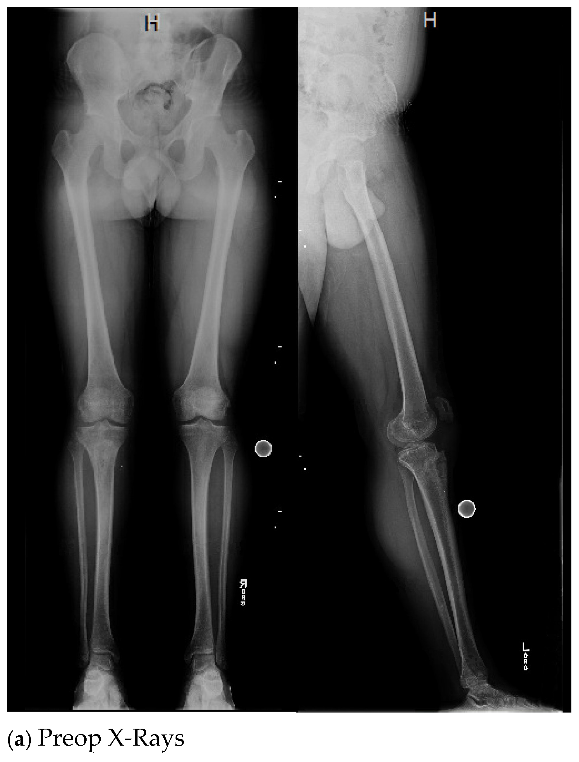
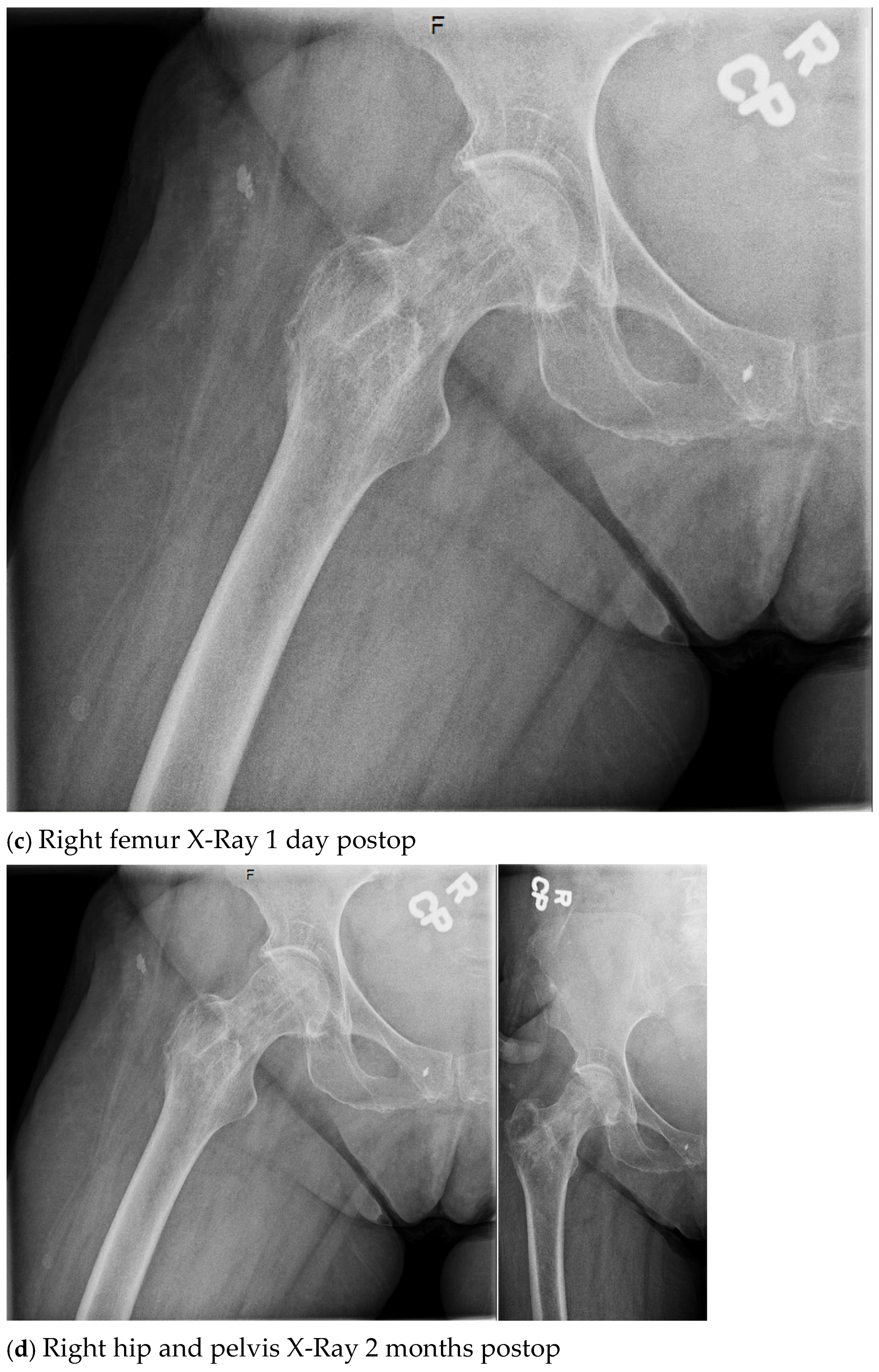
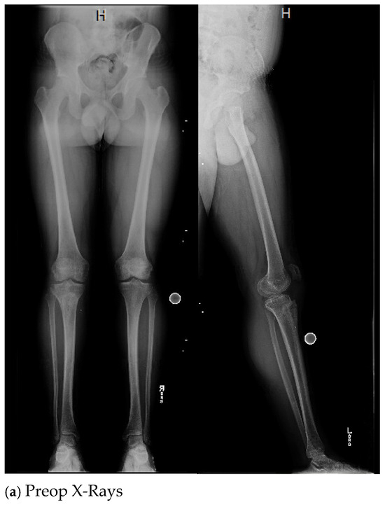
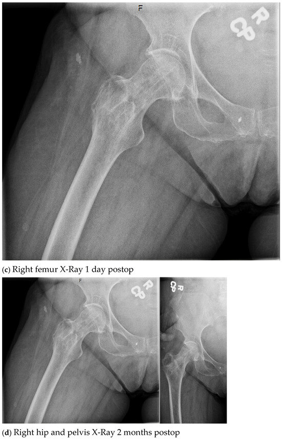
2. Results
3. Discussion
4. Conclusions
5. Materials and Methods
5.1. Patient Involvement
5.2. Data Collection
5.3. Surgical Technique
5.4. Infection Eradication
5.5. Statistical Analysis
Author Contributions
Funding
Institutional Review Board Statement
Informed Consent Statement
Data Availability Statement
Conflicts of Interest
References
- Kremers, H.M.; Nwojo, M.E.; Ransom, J.E.; Wood-Wentz, C.M.; Melton, L.J., 3rd; Huddleston, P.M., 3rd. Trends in the epidemiology of osteomyelitis: A population-based study, 1969 to 2009. J. Bone Jt. Surg. Am. 2015, 97, 837–845. [Google Scholar] [CrossRef] [PubMed]
- Stanley, C.M.; Rutherford, G.W.; Morshed, S.; Coughlin, R.R.; Beyeza, T. Estimating the healthcare burden of osteomyelitis in Uganda. Trans. R. Soc. Trop. Med. Hyg. 2010, 104, 139–142. [Google Scholar] [CrossRef] [PubMed]
- Walter, N.; Baertl, S.; Alt, V.; Rupp, M. What is the burden of osteomyelitis in Germany? An analysis of inpatient data from 2008 through 2018. BMC Infect. Dis. 2021, 21, 550. [Google Scholar] [CrossRef] [PubMed]
- Ferguson, J.; McNally, M.; Stubbs, D. The Financial Burden of Treating Osteomyelitis in the UK. Orthop. Proc. 2019, 101, 65. [Google Scholar] [CrossRef]
- Jiang, N.; Wu, H.-T.; Lin, Q.-R.; Hu, Y.-J.; Yu, B. Health Care Costs of Post-traumatic Osteomyelitis in China: Current Situation and Influencing Factors. J. Surg. Res. 2020, 247, 356–363. [Google Scholar] [CrossRef]
- Metsemakers, W.J.; Smeets, B.; Nijs, S.; Hoekstra, H. Infection after fracture fixation of the tibia: Analysis of healthcare utilization and related costs. Injury 2017, 48, 1204–1210. [Google Scholar] [CrossRef]
- Bose, D.; Kugan, R.; Stubbs, D.; McNally, M. Management of infected nonunion of the long bones by a multidisciplinary team. Bone Jt. J. 2015, 97-b, 814–817. [Google Scholar] [CrossRef]
- Lima, A.L.L.; Oliveira, P.R.; Carvalho, V.C.; Cimerman, S.; Savio, E. Recommendations for the treatment of osteomyelitis. Braz. J. Infect. Dis. 2014, 18, 526–534. [Google Scholar] [CrossRef]
- Epstein, G.; Ferreira, N. Dead space management strategies in the treatment of chronic osteomyelitis: A retrospective review. Eur. J. Orthop. Surg. Traumatol. 2023, 33, 565–570. [Google Scholar] [CrossRef]
- Masala, S.; Nano, G.; Marcia, S.; Muto, M.; Fucci, F.P.; Simonetti, G. Osteoporotic vertebral compression fracture augmentation by injectable partly resorbable ceramic bone substitute (Cerament™|SPINESUPPORT): A prospective nonrandomized study. Neuroradiology 2012, 54, 1245–1251. [Google Scholar] [CrossRef]
- Bezstarosti, H.; Van Lieshout, E.M.M.; Van den Hurk, M.J.B.; Kortram, K.; Oprel, P.; Koch, B.C.P.; Croughs, P.D.; Verhofstad, M.H.J. In Vitro Elution of Gentamicin from CERAMENT® G Has an Antimicrobial Effect on Bacteria With Various Levels of Gentamicin Resistance Found in Fracture-related Infection. Clin. Orthop. Relat. Res. 2024, 482, 885–891. [Google Scholar] [CrossRef] [PubMed]
- Hofmann, A.; Gorbulev, S.; Guehring, T.; Schulz, A.P.; Schupfner, R.; Raschke, M.; Huber-Wagner, S.; Rommens, P.M. Autologous Iliac Bone Graft Compared with Biphasic Hydroxyapatite and Calcium Sulfate Cement for the Treatment of Bone Defects in Tibial Plateau Fractures: A Prospective, Randomized, Open-Label, Multicenter Study. J. Bone Jt. Surg. Am. 2020, 102, 179–193. [Google Scholar] [CrossRef] [PubMed]
- Oliver, R.A.; Lovric, V.; Christou, C.; Walsh, W.R. Comparative osteoconductivity of bone void fillers with antibiotics in a critical size bone defect model. J. Mater. Sci. Mater. Med. 2020, 31, 80. [Google Scholar] [CrossRef] [PubMed]
- Cierny, G., 3rd; Mader, J.T.; Penninck, J.J. A clinical staging system for adult osteomyelitis. Clin. Orthop. Relat. Res. 2003, 414, 7–24. [Google Scholar] [CrossRef]
- Panteli, M.; Giannoudis, P.V. Chronic osteomyelitis: What the surgeon needs to know. EFORT Open Rev. 2016, 1, 128–135. [Google Scholar] [CrossRef]
- Ene, R.; Nica, M.; Ene, D.; Cursaru, A.; Cirstoiu, C. Review of calcium-sulphate-based ceramics and synthetic bone substitutes used for antibiotic delivery in PJI and osteomyelitis treatment. EFORT Open Rev. 2021, 6, 297–304. [Google Scholar] [CrossRef]
- Colston, J.; Atkins, B. Bone and joint infection. Clin. Med. 2018, 18, 150–154. [Google Scholar] [CrossRef]
- Ferguson, J.; Alexander, M.; Bruce, S.; O’Connell, M.; Beecroft, S.; McNally, M. A retrospective cohort study comparing clinical outcomes and healthcare resource utilisation in patients undergoing surgery for osteomyelitis in England: A case for reorganising orthopaedic infection services. J. Bone Jt. Infect. 2021, 6, 151–163. [Google Scholar] [CrossRef]
- Wu, H.; Jia, C.; Wang, X.; Shen, J.; Tan, J.; Wei, Z.; Wang, S.; Sun, D.; Xie, Z.; Luo, F. The impact of methicillin resistance on clinical outcome among patients with Staphylococcus aureus osteomyelitis: A retrospective cohort study of 482 cases. Sci. Rep. 2023, 13, 7990. [Google Scholar] [CrossRef]
- Matta-Gutierrez, G.; Garcia-Morales, E.; Garcia-Alvarez, Y.; Álvaro-Afonso, F.J.; Molines-Barroso, R.J.; Lazaro-Martinez, J.L. The influence of multidrug-resistant bacteria on clinical outcomes of diabetic foot ulcers: A systematic review. J. Clin. Med. 2021, 10, 1948. [Google Scholar] [CrossRef]
- Saltoglu, N.; Ergonul, O.; Tulek, N.; Yemisen, M.; Kadanali, A.; Karagoz, G.; Batirel, A.; Ak, O.; Sonmezer, C.; Eraksoy, H. Influence of multidrug resistant organisms on the outcome of diabetic foot infection. Int. J. Infect. Dis. 2018, 70, 10–14. [Google Scholar] [CrossRef] [PubMed]
- McNally, M.A.; Ferguson, J.Y.; Scarborough, M.; Ramsden, A.; Stubbs, D.A.; Atkins, B.L. Mid- to long-term results of single-stage surgery for patients with chronic osteomyelitis using a bioabsorbable gentamicin-loaded ceramic carrier. Bone Jt. J. 2022, 104-b, 1095–1100. [Google Scholar] [CrossRef] [PubMed]
- Stravinskas, M.; Horstmann, P.; Ferguson, J.; Hettwer, W.; Nilsson, M.; Tarasevicius, S.; Petersen, M.M.; McNally, M.A.; Lidgren, L. Pharmacokinetics of gentamicin eluted from a regenerating bone graft substitute: In vitro and clinical release studies. Bone Jt. Res. 2016, 5, 427–435. [Google Scholar] [CrossRef] [PubMed]
- Walenkamp, G.H.; Vree, T.B.; van Rens, T.J. Gentamicin-PMMA beads. Pharmacokinetic and nephrotoxicological study. Clin. Orthop. Relat. Res. 1986, 205, 171–183. [Google Scholar] [CrossRef]
- Ferguson, J.; Bourget-Murray, J.; Stubbs, D.; McNally, M.; Hotchen, A.J. A comparison of clinical and radiological outcomes between two different biodegradable local antibiotic carriers used in the single-stage surgical management of long bone osteomyelitis. Bone Jt. Res. 2023, 12, 412–422. [Google Scholar] [CrossRef]
- Ferguson, J.; Athanasou, N.; Diefenbeck, M.; McNally, M. Radiographic and Histological Analysis of a Synthetic Bone Graft Substitute Eluting Gentamicin in the Treatment of Chronic Osteomyelitis. J. Bone Jt. Infect. 2019, 4, 76–84. [Google Scholar] [CrossRef]
- Atwan, Y.; Miclau, T.; Schemitsch, E.H.; Teague, D. Antibiotic utilization in open fractures. OTA Int. 2020, 3, e071. [Google Scholar] [CrossRef]
- Chan, J.K.K.; Ferguson, J.Y.; Scarborough, M.; McNally, M.A.; Ramsden, A.J. Management of Post-Traumatic Osteomyelitis in the Lower Limb: Current State of the Art. Indian J. Plast. Surg. 2019, 52, 62–72. [Google Scholar] [CrossRef]
- McNally, M.; Ferguson, J.; Lau, A.; Diefenbeck, M.; Scarborough, M.; Ramsden, A.; Atkins, B. Single-stage treatment of chronic osteomyelitis with a new absorbable, gentamicin-loaded, calcium sulphate/hydroxyapatite biocomposite: A prospective series of 100 cases. Bone Jt. J. 2016, 98, 1289–1296. [Google Scholar] [CrossRef]






| Case | Age (Years) | Sex | Diabetes Mellitus | Smoking | CaS/HA-G Quantity (cc) | Vancomycin (g) | Tobramycin (g) | Follow-Up (Months) | Diagnosis | 
|---|---|---|---|---|---|---|---|---|---|
| 1. | 40 | F | N | N | 60 | N | N | 19 | Infected right distal tibia with bone defect and open wound | 
| 2. | 51 | M | N | N | 10 | 0.5 | N | 17 | Left humeral osteomyelitis with retained plate | 
| 3. | 20 | F | N | N | 40 | 2.0 | N | 17 | Left femoral osteomyelitis | 
| 4. | 75 | F | Y | N | 20 | N | N | 17 | Right thigh and gluteal abscess with infected right femoral neck hardware and osteomyelitis | 
| 5. | 70 | F | N | N | 20 | 1.0 | 2.4 | 16 | Failed right total knee arthroplasty with infection | 
| 6. | 52 | F | N | N | 20 | 1.0 | 2.4 | 16 | Right femoral osteomyelitis | 
| 7. | 18 | M | N | N | 30 | 1.5 | N | 15 | Left anterior tibial osteomyelitis with soft tissue defect | 
| 8. | 34 | M | N | N | 20 | N | N | 14 | Nonunion left femur | 
| 9. | 37 | M | N | Y | 60 | 3.0 | N | 8 | Right femur osteomyelitis | 
| 10. | 63 | F | N | N | 30 | 1.5 | N | 7 | Right tibial infected hardware and osteomyelitis | 
| 11. | 57 | M | N | N | 50 | 2.5 | N | 7 | Right distal osteomyelitis with draining sinus | 
| 12. | 54 | M | N | N | 30 | 1.5 | N | 6 | Infected right knee arthrodesis rod, peroneal nerve entrapment right leg | 
| 13. | 67 | M | Y | N | 20 | 1.0 | 2.4 | 10 | Infected right revision long stemmed total knee arthroplasty with deficient anterior soft tissue envelope, right knee fusion nonunion | 
| 14. | 71 | M | N | N | 10 | 0.5 | 1.2 | 10 | Right infected ankle open reduction internal fixation with osteomyelitis | 
| 15. | 53 | F | Y | N | 10 | 0.5 | N | 10 | Painful prominent right foot hardware with infected midfoot nonunion | 
| 16. | 67 | M | N | N | 65 | 3.5 | N | 13 | Left tibial osteomyelitis with infected spacer and medial tibial open wound | 
| 17. | 66 | M | N | N | 10 | N | N | 10 | Infected right elbow hardware with olecranon osteomyelitis and chronic draining sinus | 
| 18. | 63 | F | N | N | 20 | 1.0 | 2.4 | 13 | Right tibia periprosthetic open fracture | 
| 19. | 67 | F | N | Y | 10 | 0.5 | N | 6 | Left infected ankle fusion nonunion with retained hardware | 
| 20. | 73 | M | Y | N | 15 | 0.75 | N | 6 | Right knee proximal tibial retained hardware | 
| 21. | 52 | M | N | N | 40 | 2.0 | 4.8 | 7 | Right tibial chronic osteomyelitis | 
| Case | Reinfection | Reoperation (Weeks Post 1st Surgery) | ESR (mm/h) | CRP (mg/L) | Infection Eradication | Eradication Time (Days) | Culture | 
|---|---|---|---|---|---|---|---|
| 1. | Y | Y (6) | 2 | 14 | Y, clinical and lab | 76 | 1st Op: Staphylococcus aureus 2nd Op: Serratia marcescens, Enterococcus faecalis | 
| 2. | N | N | NA | NA | Y, clinical | 61 | Pseudomonas species | 
| 3. | N | N | 29 | 3 | Y, clinical | 232 | Staphylococcus aureus | 
| 4. | N | N | 14 | 4 | Y, clinical and lab | 107 | Negative | 
| 5. | - | - | 43 | 270 | N | - | Negative | 
| 6. | N | N | 27 | 3 | Y, clinical and lab | 63 | Negative | 
| 7. | N | Y (3) | 3 | <1 | Y, clinical and lab | 272 | 1st Op: Staphylococcus aureus, Klebsiella (Enterobacter) aerogenes 2nd Op: Negative | 
| 8. | N | N | NA | NA | Y, clinical | 428 | Negative | 
| 9. | N | N | 13 | <1 | Y, clinical and lab | 160 | Negative | 
| 10. | N | N | 26 | 1 | Y, clinical and lab | 144 | Methicillin Resistant Staphylococcus aureus | 
| 11. | Y | Y (17) | 28 | 1 | Y, clinical and lab | 202 | Negative | 
| 12. | N | N | 33 | 6.5 | Y, clinical | 99 | Methicillin Resistant Staphylococcus aureus | 
| 13. | Y | Y (17) | 15 | 4 | Y, clinical and lab | 234 | 1st Op: Corynebacterium striatum 2nd Op: Serratia marcescens | 
| 14. | N | N | 16 | 5 | Y, clinical and lab | 319 | Methicillin Resistant Staphylococcus aureus | 
| 15. | N | N | 3 | 2 | Y, clinical and lab | 117 | Streptococcus viridans, Finegoldia magna, Staphylococcus coag negative, Streptococcus mitis/Streptococcus oralis, Corynebacterium jeikeium, Corynebacterium species | 
| 16. | N | N | 2 | <1 | Y, clinical and lab | 139 | Methicillin Resistant Staphylococcus aureus | 
| 17. | N | N | 24 | 1 | Y, clinical and lab | 51 | Staphylococcus aureus | 
| 18. | N | N | 19 | <1 | Y, clinical and lab | 385 | Staphylococcus coag negative | 
| 19. | N | N | 126 | 34 | Y, clinical | 74 | Staphylococcus aureus | 
| 20. | N | N | NA | NA | Y, clinical and lab | 27 | Proteus mirabilis, Enterococcus faecalis, Prevotella bivia, Beta Lactamase Positive | 
| 21. | N | N | 23 | 2 | Y, clinical and lab | 71 | Staphylococcus aureus | 
| Disclaimer/Publisher’s Note: The statements, opinions and data contained in all publications are solely those of the individual author(s) and contributor(s) and not of MDPI and/or the editor(s). MDPI and/or the editor(s) disclaim responsibility for any injury to people or property resulting from any ideas, methods, instructions or products referred to in the content. | 
© 2024 by the authors. Licensee MDPI, Basel, Switzerland. This article is an open access article distributed under the terms and conditions of the Creative Commons Attribution (CC BY) license (https://creativecommons.org/licenses/by/4.0/).
Share and Cite
Hoveidaei, A.H.; Shahul, S.; Esmaeili, S.; Pirahesh, K.; Ghaseminejad-Raeini, A.; Annasamudram, A.; Shrestha, R.K.; Conway, J.D. The Efficacy of Calcium Sulfate/Hydroxyapatite (CaS/HA) Gentamicin in Osteomyelitis Treatment: A Case Series. Antibiotics 2024, 13, 1068. https://doi.org/10.3390/antibiotics13111068
Hoveidaei AH, Shahul S, Esmaeili S, Pirahesh K, Ghaseminejad-Raeini A, Annasamudram A, Shrestha RK, Conway JD. The Efficacy of Calcium Sulfate/Hydroxyapatite (CaS/HA) Gentamicin in Osteomyelitis Treatment: A Case Series. Antibiotics. 2024; 13(11):1068. https://doi.org/10.3390/antibiotics13111068
Chicago/Turabian StyleHoveidaei, Amir Human, Sanoj Shahul, Sina Esmaeili, Kasra Pirahesh, Amirhossein Ghaseminejad-Raeini, Abijith Annasamudram, Raj Krishna Shrestha, and Janet D. Conway. 2024. "The Efficacy of Calcium Sulfate/Hydroxyapatite (CaS/HA) Gentamicin in Osteomyelitis Treatment: A Case Series" Antibiotics 13, no. 11: 1068. https://doi.org/10.3390/antibiotics13111068
APA StyleHoveidaei, A. H., Shahul, S., Esmaeili, S., Pirahesh, K., Ghaseminejad-Raeini, A., Annasamudram, A., Shrestha, R. K., & Conway, J. D. (2024). The Efficacy of Calcium Sulfate/Hydroxyapatite (CaS/HA) Gentamicin in Osteomyelitis Treatment: A Case Series. Antibiotics, 13(11), 1068. https://doi.org/10.3390/antibiotics13111068
 
        


 
       