Diagnosis of Tuberculosis in a Case of Chronic Urticaria following Omalizumab Therapy
Abstract
:1. Introduction
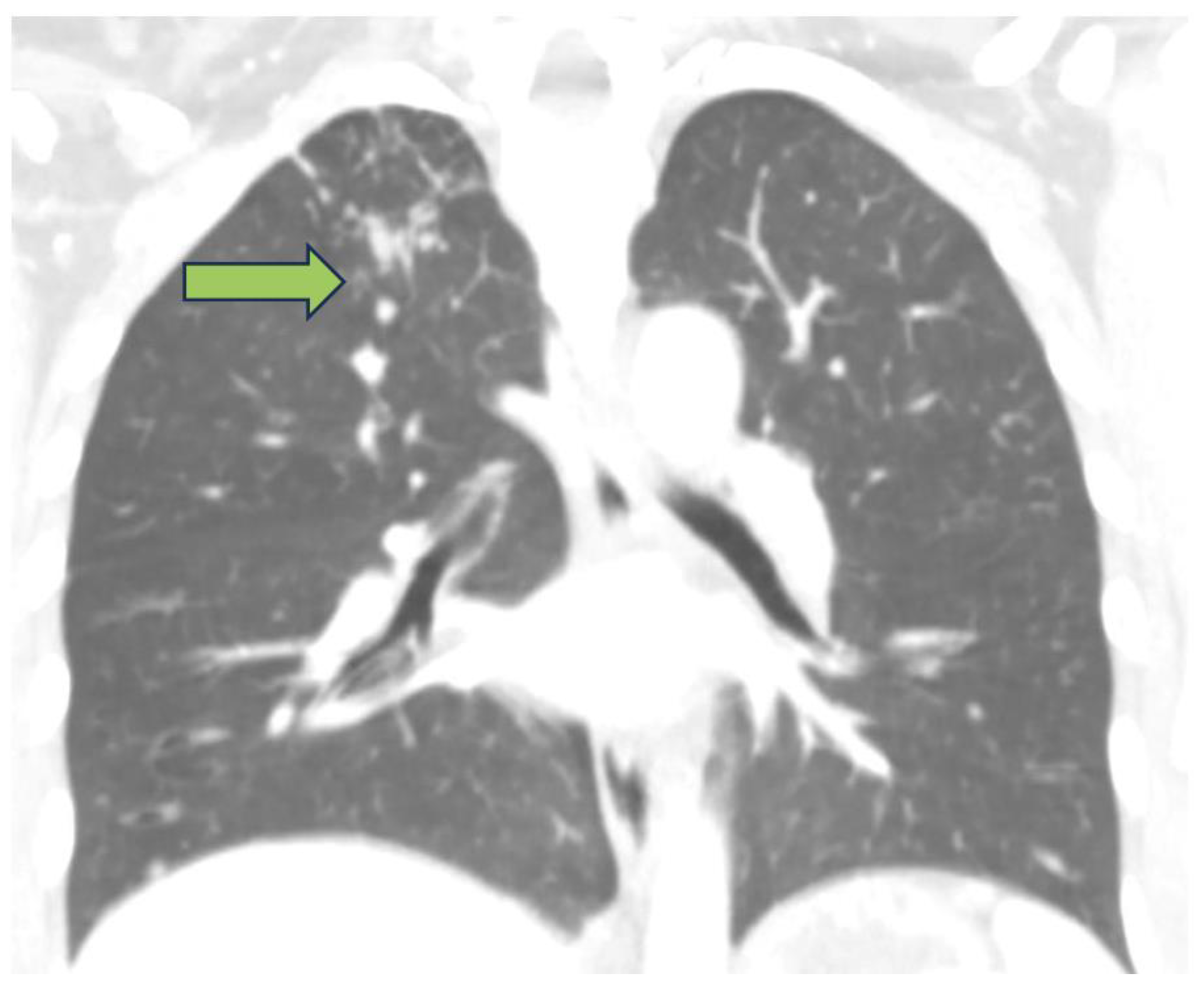
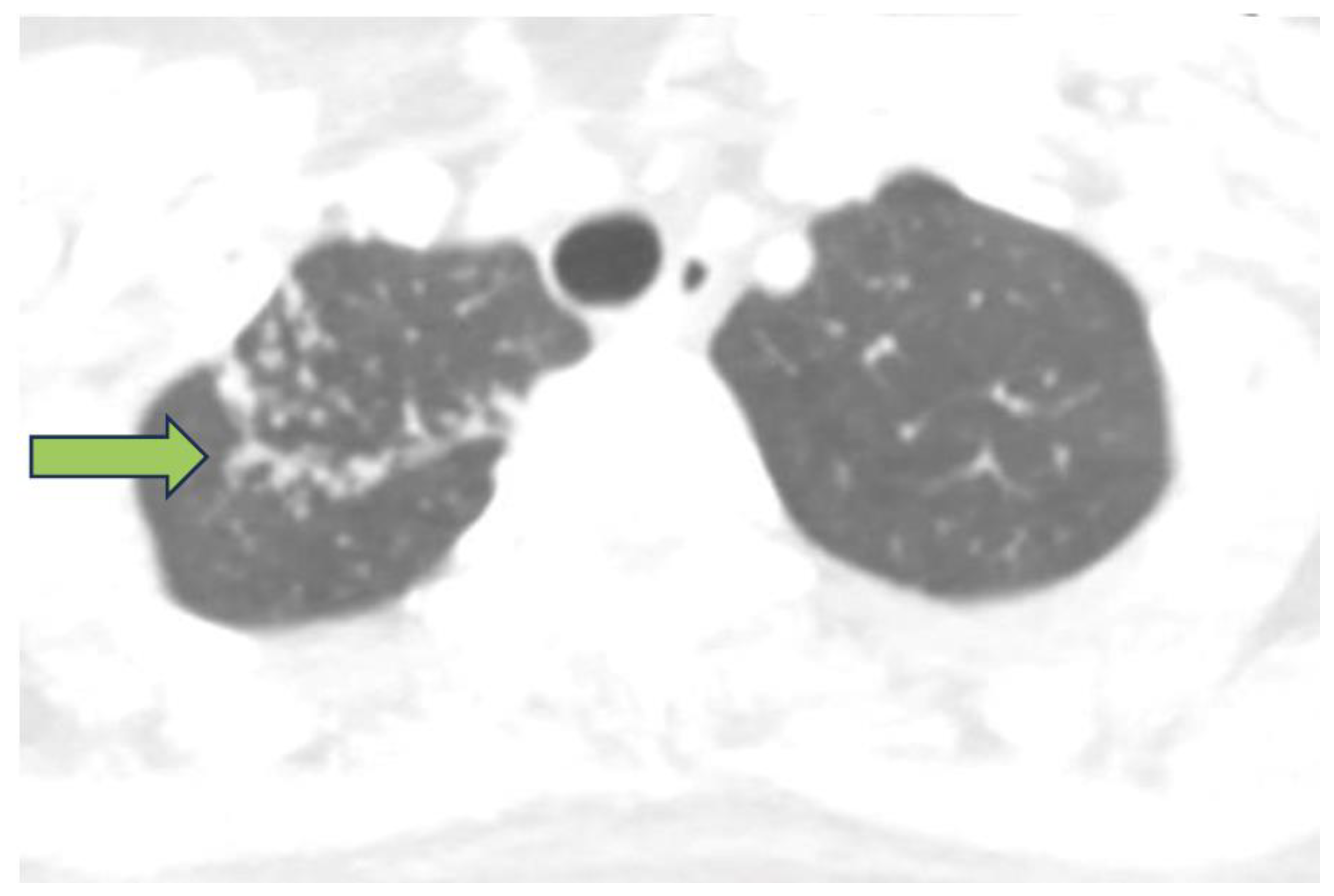
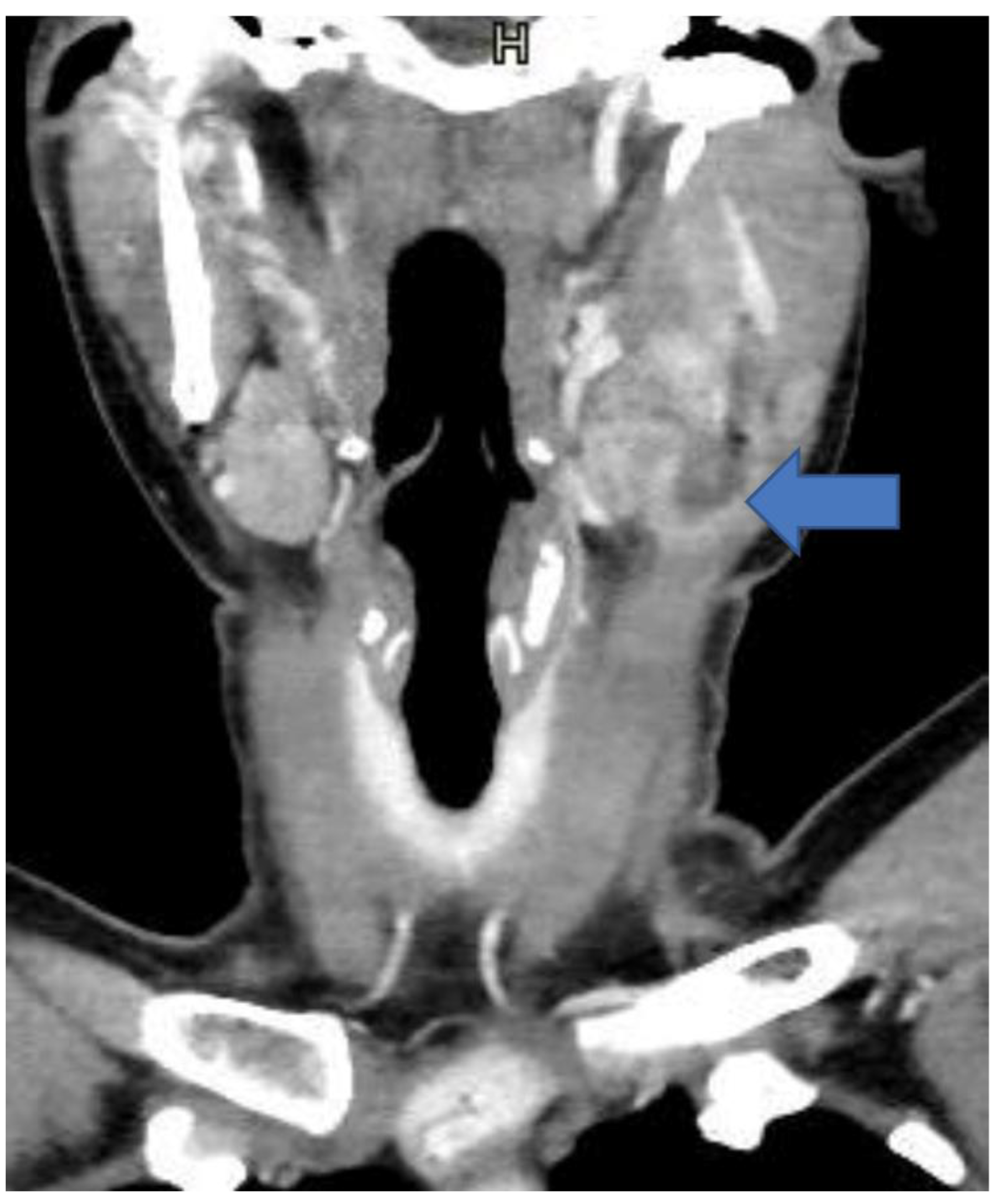
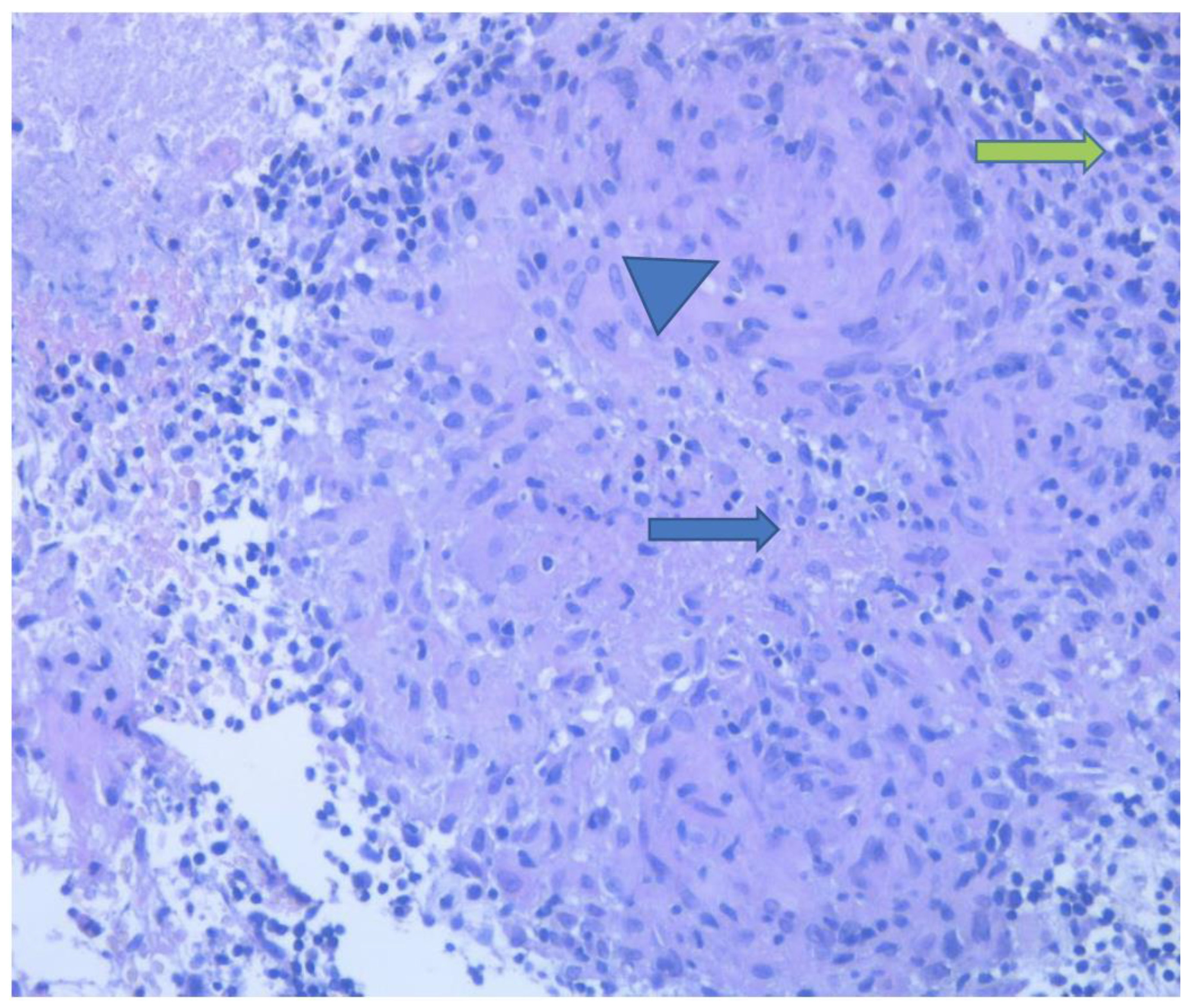
2. Detailed Case Presentation
3. Discussion
4. Conclusions
Author Contributions
Funding
Institutional Review Board Statement
Informed Consent Statement
Data Availability Statement
Conflicts of Interest
References
- World Health Organization. Global Tuberculosis Report 2021; World Health Organization: Geneva, Switzerland, 2021; Licence: CC BY-NC-SA 3.0 IGO; Available online: https://www.who.int/publications/i/item/9789240037021 (accessed on 2 September 2023).
- European Centre for Disease Prevention and Control, WHO Regional Office for Europe. Tuberculosis Surveillance and Monitoring in Europe 2023–2021 Data; European Centre for Disease Prevention and Control and Copenhagen, WHO Regional Office for Europe: Stockholm, Sweden, 2023; Available online: https://www.ecdc.europa.eu/sites/default/files/documents/tuberculosis-surveillance-monitoring-2023.pdf (accessed on 2 September 2023).
- Horsburgh, R.C., Jr. Priorities for the Treatment of Latent Tuberculosis Infection in the United States. N. Engl. J. Med. 2004, 350, 2060–2067. [Google Scholar] [CrossRef] [PubMed]
- Comstock, G.W.; Baum, C.; Snider, D.E., Jr. Isoniazid prophylaxis among alaskan eskimos: A final report of the Bethel isoniazid studies. Am. Rev. Respir. Dis. 1979, 119, 827–830. [Google Scholar] [PubMed]
- Jung, Y.E.G.; Schluger, N.W.Y. Advances in the diagnosis and treatment of latent tuberculosis infection. Curr. Opin. Infect. Dis. 2020, 33, 166–172. [Google Scholar] [CrossRef] [PubMed]
- Handa, U.; Mundi, I.; Mohan, S. Nodal tuberculosis revisited: A review. J. Infect. Dev. Ctries. 2012, 6, 6–12. [Google Scholar] [CrossRef]
- Lang, D.M. Chronic urticaria. N. Engl. J. Med. 2022, 387, 824–831. [Google Scholar] [CrossRef]
- Zhao, Z.-T.; Ji, C.-M.; Yu, W.-J.; Meng, L.; Hawro, T.; Wei, J.-F.; Maurer, M. Omalizumab for the treatment of chronic spontaneous urticaria: A meta-analysis of randomized clinical trials. J. Allergy Clin. Immunol. 2016, 137, 1742–1750. [Google Scholar] [CrossRef] [PubMed]
- Licari, A.; Manti, S.; Leonardi, S.; Minasi, D.; Caffarelli, C.; Cardinale, F.; Del Giudice, M.M.; Calvani, M.; Ciprandi, G.; Marseglia, G.L. Biologic drugs in chronic spontaneous urticaria. Acta Bio-Medica Atenei Parm. 2021, 92, e2021527. [Google Scholar] [CrossRef]
- Kaplan, A.; Ledford, D.; Ashby, M.; Canvin, J.; Zazzali, J.L.; Conner, E.; Veith, J.; Kamath, N.; Staubach, P.; Jakob, T.; et al. Omalizumab in patients with symptomatic chronic idiopathic/spontaneous urticaria despite standard combination therapy. J. Allergy Clin. Immunol. 2013, 132, e9. [Google Scholar] [CrossRef]
- Busse, W.; Buhl, R.; Fernandez Vidaurre, C.; Blogg, M.; Zhu, J.; Eisner, M.D.; Canvin, J. Omalizumab and the risk of malignancy: Results from a pooled analysis. J. Allergy Clin. Immunol. 2012, 129, 983–989. [Google Scholar] [CrossRef]
- Smith-Norowitz, T.A.; Mandal, M.; Joks, R.; Norowitz, L.T.; Weaver, D.; Durkin, H.G.; Bluth, M.H.; Kohlhoff, S. IgE anti-respiratory syncytial virus antibodies detected in serum of pediatric patients with asthma. Hum. Immunol. 2015, 76, 519–524. [Google Scholar] [CrossRef]
- Cruz, A.A.; Lima, F.; Sarinho, E.; Ayre, G.; Martin, C.; Fox, H.; Cooper, P.J. Safety of anti-immunoglobulin E therapy with omalizumab in allergic patients at risk of geohelminth infection. Clin. Exp. Allergy 2007, 37, 197–207. [Google Scholar] [CrossRef] [PubMed]
- Fehily, S.R.; Al-Ani, A.H.; Abdelmalak, J.; Rentch, C.; Zhang, E.; Denholm, J.T.; Johnson, D.; Ng, S.C.; Sharma, V.; Rubin, D.T.; et al. Review article: Latent tuberculosis in patients with inflammatory bowel diseases receiving immunosuppression—Risks, screening, diagnosis and management. Aliment. Pharmacol. Ther. 2022, 56, 6–27. [Google Scholar] [CrossRef]
- López Tiro, J.J.; Contreras Contreras, E.A.; Ramírez del Pozo, M.E.; Vera, J.G.; Linnemann, D.L. Real life study of three years omalizumab in patients with difficult-to-control asthma. Allerg. Immunopathol. 2015, 43, 120–126. [Google Scholar] [CrossRef] [PubMed]
- Cooper, P.J.; Ayre, G.; Martin, C.; Rizzo, J.A.; Ponte, E.V.; Cruz, A.A. Geohelminth infections: A review of the role of IgE and assessment of potential risks of anti-IgE treatment. Allergy 2008, 63, 409–417. [Google Scholar] [CrossRef]
- Fernández-Ruiz, M.; Meije, Y.; Manuel, O.; Akan, H.; Carratalà, J.; Aguado, J.M.; Delaloye, J. ESCMID Study Group for Infections in Compromised Hosts (ESGICH) Consensus Document on the safety of targeted and biological therapies: An infectious diseases perspective. Clin. Microbiol. Infect. 2018, 24 (Suppl. S2), S2–S9. [Google Scholar] [CrossRef] [PubMed]
- De la Torre, B.G.; Albericio, F. The pharmaceutical industry in 2021. An analysys of FDA drug approvals from the perspective of molecules. Molecules 2022, 27, 1075. [Google Scholar] [CrossRef] [PubMed]
- Pepper, A.N.; Hanania, N.A.; Humbert, M.; Casale, T.B. How to assess effectiveness of biologics for asthma and what steps to take when there is not benefit. J. Allergy Clin. Immunol. Pract. 2021, 9, 1081–1088. [Google Scholar] [CrossRef]
- Allen, J.E.; Maizels, R.M. Diversity and dialogue in immunity to helminths. Nat. Rev. Immunol. 2011, 11, 375–388. [Google Scholar] [CrossRef]
- Sitek, A.N.; Li, J.T.; Pongdee, T. Risks and safety of biologics: A practical guide for allergists. World Allergy Organ. J. 2023, 16, 100737. [Google Scholar] [CrossRef]
- Pradhan, S.; Madke, B.; Neema, S.; Kabra, P.; Singh, A.L.; Yadav, S. Screening of Latent Tuberculous Infection (LTBI) before Starting Anti-Tumor Necrosis Factor Therapy in Patients with Psoriasis: A Primer for Clinical Dermatologist. Indian J. Dermatol. 2021, 66, 501–507. [Google Scholar] [CrossRef]
- Solovic, I.; Sester, M.; Gomez-Reino, J.J.; Rieder, H.L.; Ehlers, S.; Milburn, H.J.; Kampmann, B.; Hellmich, B.; Groves, R.; Schreiber, S.; et al. The risk of tuberculosis related to tumour necrosis factor antagonist therapies: A TBNET consensus statement. Eur. Respir. J. 2010, 36, 1185–1206. [Google Scholar] [CrossRef] [PubMed]
- Sbidian, E.; Chaimani, A.; Garcia-Doval, I.; Doney, L.; Dressler, C.; Hua, C.; Mazaud, C.; Phan, C.; Hughes, C.; Riddle, D.; et al. Systemic pharmacological treatments for chronic plaque psoriasis: A network meta-analysis. Cochrane Database Syst. Rev. 2022, 12, CD011535. [Google Scholar] [CrossRef] [PubMed]
- Lai, C.K.W.; Beasley, R.; Crane, J.; Foliaki, S.; Shah, J.; Weiland, S. Global variation in the prevalence and severity of asthma symptoms: Phase three of the international study of asthma and allergies in childhood (ISAAC). Thorax 2009, 64, 476–483. [Google Scholar] [CrossRef] [PubMed]
- Byrne, A.L.; Marais, B.J.; Mitnick, C.D.; Garden, F.L.; Lecca, L.; Contreras, C. Asthma and atopy prevalence are not reduced among former tuberculosis patients compared with controls in Lima, Peru. BMC Pulm. Med. 2019, 19, 40. [Google Scholar] [CrossRef]




Disclaimer/Publisher’s Note: The statements, opinions and data contained in all publications are solely those of the individual author(s) and contributor(s) and not of MDPI and/or the editor(s). MDPI and/or the editor(s) disclaim responsibility for any injury to people or property resulting from any ideas, methods, instructions or products referred to in the content. |
© 2023 by the authors. Licensee MDPI, Basel, Switzerland. This article is an open access article distributed under the terms and conditions of the Creative Commons Attribution (CC BY) license (https://creativecommons.org/licenses/by/4.0/).
Share and Cite
Zolezzi, A.; Gualano, G.; Licata, M.A.; Mosti, S.; Mencarini, P.; Papagni, R.; Vulcano, A.; Cannas, A.; Villanacci, A.; Albarello, F.; et al. Diagnosis of Tuberculosis in a Case of Chronic Urticaria following Omalizumab Therapy. Antibiotics 2023, 12, 1655. https://doi.org/10.3390/antibiotics12121655
Zolezzi A, Gualano G, Licata MA, Mosti S, Mencarini P, Papagni R, Vulcano A, Cannas A, Villanacci A, Albarello F, et al. Diagnosis of Tuberculosis in a Case of Chronic Urticaria following Omalizumab Therapy. Antibiotics. 2023; 12(12):1655. https://doi.org/10.3390/antibiotics12121655
Chicago/Turabian StyleZolezzi, Alberto, Gina Gualano, Maria A. Licata, Silvia Mosti, Paola Mencarini, Roberta Papagni, Antonella Vulcano, Angela Cannas, Alberta Villanacci, Fabrizio Albarello, and et al. 2023. "Diagnosis of Tuberculosis in a Case of Chronic Urticaria following Omalizumab Therapy" Antibiotics 12, no. 12: 1655. https://doi.org/10.3390/antibiotics12121655
APA StyleZolezzi, A., Gualano, G., Licata, M. A., Mosti, S., Mencarini, P., Papagni, R., Vulcano, A., Cannas, A., Villanacci, A., Albarello, F., Del Nonno, F., Colombo, D., & Palmieri, F. (2023). Diagnosis of Tuberculosis in a Case of Chronic Urticaria following Omalizumab Therapy. Antibiotics, 12(12), 1655. https://doi.org/10.3390/antibiotics12121655

