Diagnostic and Treatment Challenges of Emergent COVID-Associated-Mucormycosis: A Case Report and Review of the Literature
Abstract
1. Introduction
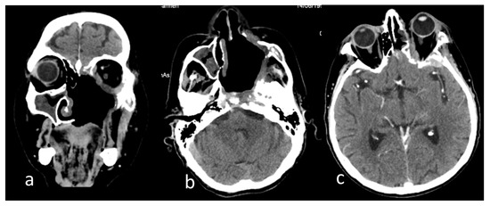
2. Case Report
3. Discussion
4. Conclusions
Author Contributions
Funding
Institutional Review Board Statement
Informed Consent Statement
Data Availability Statement
Acknowledgments
Conflicts of Interest
Appendix A
| Laboratory Parameter  | Normal Range | Day-1 | Day-5 | Day-7 | Day-14 | 3rd Month | 4th Month | 6th Month | 
|---|---|---|---|---|---|---|---|---|
| COVID-Hospitalization | Infectious Diseases Daily Clinic Follow-Up | |||||||
| Hb [g/dL] | 13.5–17.5 | 15.6 | 15.5 | 15.8 | 10.7 | 13.5 | 13.0 | |
| Leucocytes [no/mm3] | 4.5–11 × 103 | 5600 | 7070 | 9100 | 16,000 | 7100 | 8500 | 5500 | 
| Lymphocytes | 1.2–3.6 × 103 | 690 | 600 | 510 | 320 | 2430 | 2440 | 2300 | 
| Neutrophils | 2.4–6.8 × 103 | 4670 | 6250 | 8320 | 15270 | 4030 | 5430 | 2470 | 
| N/Ly | <3 | 6.67 | 10.41 | 16.31 | 47.71 | 1.65 | 2.24 | 1.07 | 
| CRP [mg/dl] | <1 | 38.1 | 61.6 | 9.97 | 11.15 | 3.22 | ||
| PTL [no/mm3] × 103 | 150–400 | 237 | 329 | 312 | 241 | 328 | 207 | |
| Blood glucose [mg/dl] | 70–100 | 133 | 133 | 130 | 79.5 | 97.2 | 93.7 | |
| Creatinine [mg/dl] | 0.6–1.2 | 0.97 | 0.93 | 1.20 | 1.12 | 1.06 | ||
| Bilirubine [mg/dl] | 0.1–1 | 0.99 | 0.52 | 0.40 | 0.38 | |||
| ALT [UI/l] | 8–40 | 42 | 54 | 50 | 60 | 15.3 | 21.4 | 22.7 | 
| AST [UI/l] | 8–40 | 39 | 39 | 29 | 22.0 | 23.9 | 25.5 | |
| Alkaline reserve [mEq/l] | 22–28 | 23 | 24 | 25.63 | 23.54 | 27.15 | 25.39 | |
| INR | 0.8–1.2 | 1.52 | 1.07 | 1.04 | 1.10 | |||
| CK [U/l] | 25–90 | 132 | 74.2 | 28.4 | 27.5 | |||
| D-Dimers * [ng/mL] | 0–690 | 1162 | 1964 | 1570 | 753.7 | 678.4 | ||
| Feritine [ng/mL] | 30–350 | 2615.5 | 2001.1 | 1584.3 | 994.6 | 518.5 | ||
| LDH [UI/l] | 240–480 | 793 | 753.73 | 487 | 296 | |||
| Microbial Culture Isolate | Sensitive | Resistant | Notes | |
|---|---|---|---|---|
| Day-28 | Klebsiella pneumoniae | Cefazolin, Cefotaxime, Ceftazidim, Levofloxacin, Gentamicin, Trimethoprim/suphamethoxazole | Amoxiciline-Clavulanate, Ciprofloxacin, Cefuroxime, Ampicilin | |
| Candida albicans | Amphotericin B, Caspofungin, Mycafungin, Voriconazole, Fluconazole | Flucytozine | ||
| Second Month | Pseudomonas aeruginosa | Ceftazidim, Piperaciline/Tazobactam, Amikacin, Tobramicin, Ciprofloxacin, Levofloxacin, Imipenem  | Cefepim, Gentamicin | |
| Third Month | Candida krusei | Amphotericin B | Fluconazole | Intense inflammatory reaction, with few Gram-positive diplococcus, Gram-positive and Gram-negative rods, relatively frequent mycelial filaments and yeast cells | 
| Pseudomonas aeruginosa | Ceftazidim, Piperaciline/Tazobactam, Ciprofloxacin, Gentamicin, Amikacin, Tobramicin | Ampicilin | ||
| Fourth Month | Klebsiella pneumoniae | Amoxiciline-Clavulanate, Cefotaxime, Cefuroxime, Piperacilin.tazobactam, Amikacin, Gentamicin, Ciprofloxacin, Trimethoprim/suphamethoxazole  | Negative Fungal Cultures | |
| Pseudomonas aeruginosa | Cefepime, Ceftazidime, Piperacilin/Tazobactam, Amikacin, Ciprofloxacine, Meropenem  | 
References
- Skiada, A.; Pavleas, I.; Drogari-Apiranthitou, M. Epidemiology and Diagnosis of Mucormycosis: An Update. J. Fungi 2020, 6, 265. [Google Scholar] [CrossRef] [PubMed]
 - Monika, P.; Chandraprabha, M.N. Risks of mucormycosis in the current COVID-19 pandemic: A clinical challenge in both immunocompromised and immunocompetent patients. Mol. Biol. Rep. 2022, 49, 4977–4988. [Google Scholar] [CrossRef] [PubMed]
 - Sharma, A.; Goel, A. Mucormycosis: Risk factors, diagnosis, treatments, and challenges during COVID-19 pandemic. Folia Microbiol. 2022, 67, 363–387. [Google Scholar] [CrossRef] [PubMed]
 - Islam, R.; Rahman, M.; Ahasan, T.; Sarkar, N.; Akash, S.; Islam, M.; Islam, F.; Aktar, M.N.; Saeed, M.; Rashid, H.O.; et al. The impact of mucormycosis (black fungus) on SARS-CoV-2-infected patients: At a glance. Environ. Sci. Pollut. Res. 2022, 29, 69341–69366. [Google Scholar] [CrossRef]
 - Cornely, O.A.; Alastruey-Izquierdo, A.; Arenz, D.; Chen, S.C.A.; Dannaoui, E.; Hochhegger, B.; Hoenigl, M.; Jensen, H.E.; Lagrou, K.; Lewis, R.E.; et al. Global guideline for the diagnosis and management of mucormycosis: An initiative of the European Confederation of Medical Mycology in cooperation with the Mycoses Study Group Education and Research Consortium. Lancet Infect. Dis. 2019, 19, e405–e421. [Google Scholar] [CrossRef] [PubMed]
 - Prakash, H.; Ghosh, A.K.; Rudramurthy, S.; Singh, P.; Xess, I.; Savio, J.; Pamidimukkala, U.; Jillwin, J.; Varma, S.; Das, A.; et al. A prospective multicenter study on mucormycosis in India: Epidemiology, diagnosis, and treatment. Med. Mycol. 2018, 57, 395–402. [Google Scholar] [CrossRef]
 - Candoni, A.; Klimko, N.; Busca, A.; Di Blasi, R.; Shadrivova, O.; Cesaro, S.; Zannier, M.E.; Verga, L.; Forghieri, F.; Calore, E.; et al. Fungal infections of the central nervous system and paranasal sinuses in on-co-haematologic patients. Epidemiological study reporting the diagnostic-therapeutic approach and outcome in 89 cases. Mycoses 2019, 62, 252–260. [Google Scholar] [CrossRef]
 - Prakash, H.; Chakrabarti, A. Global Epidemiology of Mucormycosis. J. Fungi 2019, 5, 26. [Google Scholar] [CrossRef]
 - Jeong, W.; Keighley, C.; Wolfe, R.; Lee, W.L.; Slavin, M.A.; Kong, D.C.M.; Chen, S.C.-A. The epidemiology and clinical manifestations of mucormycosis: A systematic review and meta-analysis of case reports. Clin. Microbiol. Infect. 2019, 25, 26–34. [Google Scholar] [CrossRef]
 - Mareș, M.; Moroti-Constantinescu, V.R.; Denning, D.W. The Burden of Fungal Diseases in Romania. J. Fungi 2018, 4, 31. [Google Scholar] [CrossRef]
 - Singh, A.K.; Singh, R.; Joshi, S.R.; Misra, A. Mucormycosis in COVID-19: A systematic review of cases reported worldwide and in India. Diabetes Metab. Syndr. Clin. Res. Rev. 2021, 15, 102146. [Google Scholar] [CrossRef] [PubMed]
 - Yasmin, F.; Najeeb, H.; Naeem, A.; Dapke, K.; Phadke, R.; Asghar, M.S.; Shah, S.M.I.; De Berardis, D.; Ullah, I. COVID-19 Associated Mucormycosis: A Systematic Review from Diagnostic Challenges to Management. Diseases 2021, 9, 65. [Google Scholar] [CrossRef] [PubMed]
 - Hoenigl, M.; Seidel, D.; Carvalho, A.; Rudramurthy, S.M.; Arastehfar, A.; Gangneux, J.-P.; Nasir, N.; Bonifaz, A.; Araiza, J.; Klimko, N.; et al. The emergence of COVID-19 associated mucormycosis: A review of cases from 18 countries. Lancet Microbe 2022, 3, e543–e552. [Google Scholar] [CrossRef] [PubMed]
 - Watanabe, A.; So, M.; Mitaka, H.; Ishisaka, Y.; Takagi, H.; Inokuchi, R.; Iwagami, M.; Kuno, T. Clinical Features and Mortality of COVID-19-Associated Mucormycosis: A Systematic Review and Meta-Analysis. Mycopathologia 2022, 187, 271–289. [Google Scholar] [CrossRef] [PubMed]
 - Ostovan, V.R.; Tabrizi, R.; Bazrafshan, H.; Bahrami, Z.; Khazraei, H.; Khazraei, S.; Borhani-Haghighi, A.; Moghadami, M.; Grant, M. Mortality-Related Risk Factors for Coronavirus Disease (COVID-19)-Associated Mucormycosis: A systematic review and meta-analysis. Curr. Fungal Infect. Rep. 2022, 16, 143–153. [Google Scholar] [CrossRef]
 - Hussain, S.; Riad, A.; Singh, A.; Klugarová, J.; Antony, B.; Banna, H.; Klugar, M. Global Prevalence of COVID-19-Associated Mucormycosis (CAM): Living Systematic Review and Meta-Analysis. J. Fungi 2021, 7, 985. [Google Scholar] [CrossRef]
 - Bhattacharyya, A.; Sarma, P.; Kaur, H.; Kumar, S.; Bhattacharyya, J.; Prajapat, M.; Prakash, A.; Sharma, S.; Reddy, D.H.; Thota, P.; et al. COVID-19-Associated rhino-orbital-cerebral mucormycosis: A systematic review, meta-analysis, and meta-regression analysis. Indian J. Pharmacol. 2021, 53, 499–510. [Google Scholar]
 - García-Carnero, L.C.; Mora-Montes, H.M. Mucormycosis and COVID-19-Associated Mucormycosis: Insights of a Deadly but Neglected Mycosis. J. Fungi 2022, 8, 445. [Google Scholar] [CrossRef]
 - Fernandes, M.; Brábek, J. COVID-19, corticosteroids and public health: A reappraisal. Public Heal. 2021, 197, 48–55. [Google Scholar] [CrossRef]
 - Sharma, R.; Kumar, P.; Rauf, A.; Chaudhary, A.; Prajapati, P.K.; Emran, T.B.; Lima, C.M.G.; Conte-Junior, C.A. Mucormycosis in the COVID-19 Environment: A Multifaceted Complication. Front. Cell. Infect. Microbiol. 2022, 12. [Google Scholar] [CrossRef]
 - Means, R.T., Jr. Hepcidin, iron, and COVID-19: Is there an erythroid connection? J. Investig. Med. 2022, 70, 861–862. [Google Scholar] [CrossRef] [PubMed]
 - Sinha, A.; Bhaskar, S.M.M. In-hospital prevalence of mucormycosis among coronavirus disease 2019 (COVID-19) patients and COVID-19 in mucormycosis: A systematic review and meta-analysis. Int. Forum Allergy Rhinol. 2021, 12, 313–317. [Google Scholar] [CrossRef] [PubMed]
 - Fourie, R.; Pohl, C.H. Beyond Antagonism: The Interaction between Candida Species and Pseudomonas aeruginosa. J. Fungi 2019, 5, 34. [Google Scholar] [CrossRef] [PubMed]
 - Phuengmaung, P.; Mekjaroen, J.; Saisorn, W.; Chatsuwan, T.; Somparn, P.; Leelahavanichkul, A. Rapid Synergistic Biofilm Production of Pseudomonas and Candida on the Pulmonary Cell Surface and in Mice, a Possible Cause of Chronic Mixed Organismal Lung Lesions. Int. J. Mol. Sci. 2022, 23, 9202. [Google Scholar] [CrossRef]
 - Kousser, C.; Clark, C.; Sherrington, S.; Voelz, K.; Hall, R.A. Pseudomonas aeruginosa inhibits Rhizopus microsporus germination through sequestration of free environmental iron. Sci. Rep. 2019, 9, 1–14. [Google Scholar] [CrossRef]
 - Bergeron, A.C.; Seman, B.G.; Hammond, J.H.; Archambault, L.S.; Hogan, D.A.; Wheeler, R.T. Candida albicans and Pseudomonas aeruginosa Interact to Enhance Virulence of Mucosal Infection in Transparent Zebrafish. Infect. Immun. 2017, 85. [Google Scholar] [CrossRef]
 - Smith, C.; Lee, S.C. Current treatments against mucormycosis and future directions. PLoS Pathog. 2022, 18, e1010858. [Google Scholar] [CrossRef]
 - Lamoth, F.; Lewis, R.E.; Kontoyiannis, D.P. Role and Interpretation of Antifungal Susceptibility Testing for the Management of Invasive Fungal Infections. J. Fungi 2020, 7, 17. [Google Scholar] [CrossRef]
 - Patel, A.K.; Patel, K.K.; Patel, K.; Shah, K.; Chakrabarti, A. Therapeutic drug monitoring of posaconazole delayed release tablet while managing COVID-19-Associated mucormycosis in a real-life setting. Mycoses 2021, 65, 312–316. [Google Scholar] [CrossRef]
 





  | 
Disclaimer/Publisher’s Note: The statements, opinions and data contained in all publications are solely those of the individual author(s) and contributor(s) and not of MDPI and/or the editor(s). MDPI and/or the editor(s) disclaim responsibility for any injury to people or property resulting from any ideas, methods, instructions or products referred to in the content.  | 
© 2022 by the authors. Licensee MDPI, Basel, Switzerland. This article is an open access article distributed under the terms and conditions of the Creative Commons Attribution (CC BY) license (https://creativecommons.org/licenses/by/4.0/).
Share and Cite
Arbune, M.; Arbune, A.-A.; Nechifor, A.; Chiscop, I.; Sapira, V. Diagnostic and Treatment Challenges of Emergent COVID-Associated-Mucormycosis: A Case Report and Review of the Literature. Antibiotics 2023, 12, 31. https://doi.org/10.3390/antibiotics12010031
Arbune M, Arbune A-A, Nechifor A, Chiscop I, Sapira V. Diagnostic and Treatment Challenges of Emergent COVID-Associated-Mucormycosis: A Case Report and Review of the Literature. Antibiotics. 2023; 12(1):31. https://doi.org/10.3390/antibiotics12010031
Chicago/Turabian StyleArbune, Manuela, Anca-Adriana Arbune, Alexandru Nechifor, Iulia Chiscop, and Violeta Sapira. 2023. "Diagnostic and Treatment Challenges of Emergent COVID-Associated-Mucormycosis: A Case Report and Review of the Literature" Antibiotics 12, no. 1: 31. https://doi.org/10.3390/antibiotics12010031
APA StyleArbune, M., Arbune, A.-A., Nechifor, A., Chiscop, I., & Sapira, V. (2023). Diagnostic and Treatment Challenges of Emergent COVID-Associated-Mucormycosis: A Case Report and Review of the Literature. Antibiotics, 12(1), 31. https://doi.org/10.3390/antibiotics12010031
        
