The Treatment of Peri-Implant Diseases: A New Approach Using HYBENX® as a Decontaminant for Implant Surface and Oral Tissues
Abstract
1. Introduction
2. Results
3. Discussion
4. Materials and Methods
4.1. Surgical Procedure for Open Flap Debridement
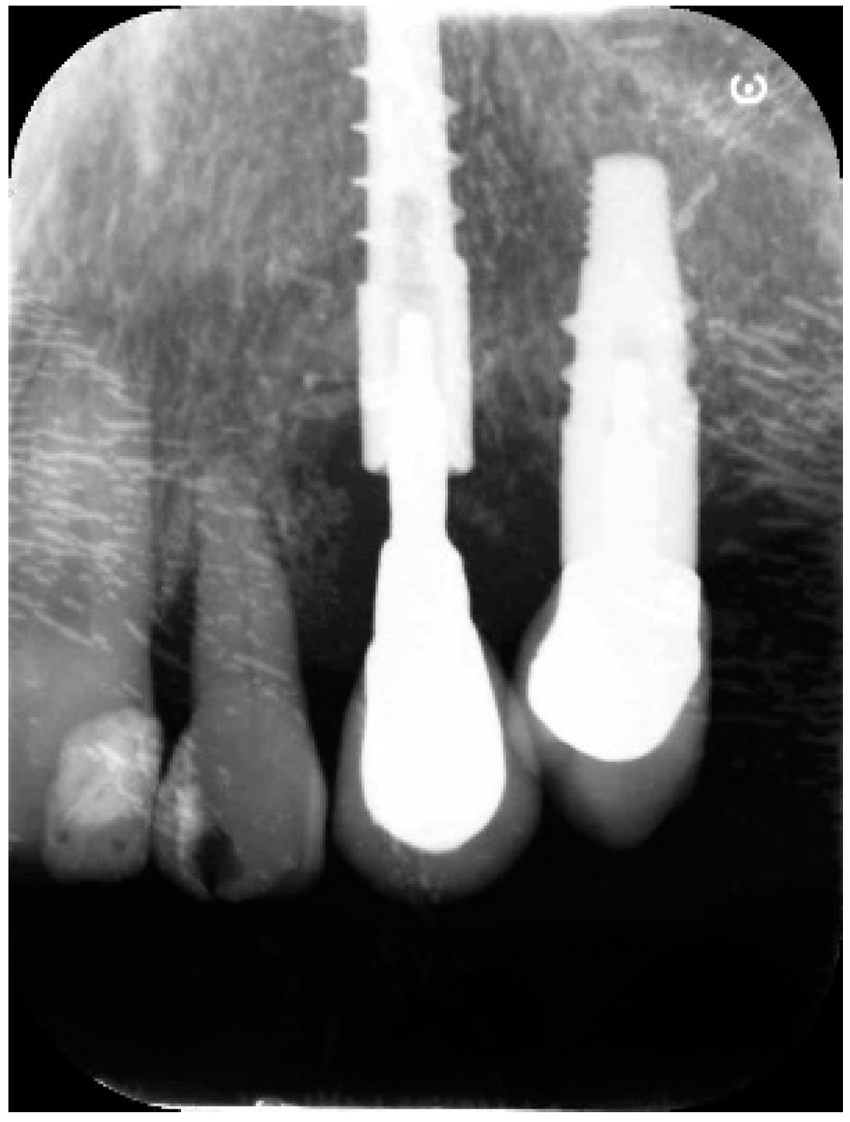
4.2. Clinical Case
5. Conclusions
Author Contributions
Funding
Institutional Review Board Statement
Informed Consent Statement
Data Availability Statement
Conflicts of Interest
References
- Buser, D.; Sennerby, L.; De Bruyn, H. Modern implant dentistry based on osseointegration: 50 years of progress, current trends and open questions. Periodontology 2000 2017, 73, 7–21. [Google Scholar] [CrossRef] [PubMed]
- Jung, R.E.; Pjetursson, B.E.; Glauser, R.; Zembic, A.; Zwahlen, M.; Lang, N.P. A systematic review of the 5-year survival and complication rates of implant-supported single crowns. Clin. Oral Implant. Res. 2007, 19, 119–130. [Google Scholar] [CrossRef]
- Mombelli, A.; van Oosten, M.A.; Schurch, E.; Land, N.P. The microbiota associated with successful or failing osseoin-tegrated titanium implants. Oral Microbiol. Immunol. 1987, 2, 51–145. [Google Scholar] [CrossRef]
- Froum, S.J.; Rosen, P.S. A proposed classification for peri-implantitis. Int. J. Periodontics Restor. Dent. 2012, 32, 533–540. [Google Scholar]
- Berglundh, T.; Armitage, G.; Araujo, M.G.; Avila-Ortiz, G.; Blanco, J.; Camargo, P.M.; Chen, S.; Cochran, D.; Derks, J.; Figuero, E.; et al. Peri-implant diseases and conditions: Consensus report of workgroup 4 of the 2017 World Workshop on the Classification of Periodontal and Peri-Implant Diseases and Conditions. J. Clin. Periodontol. 2018, 45, S286–S291. [Google Scholar] [CrossRef]
- Poli, P.P.; Beretta, M.; Grossi, G.B.; Maiorana, C. Risk indicators related to peri-implant disease: An observational retrospective cohort study. J. Periodontal. Implant. Sci. 2016, 46, 76–266. [Google Scholar] [CrossRef] [PubMed]
- Tonetti, M.S.; Chapple, I.L.C.; Jepsen, S.; Sanz, M. Primary and secondary prevention of periodontal and peri-implant diseases–Introduction to, and objectives of the 11th European workshop on periodontology consensus conference. J. Clin. Periodontol. 2015, 42, S1–S4. [Google Scholar] [CrossRef]
- Klinge, B.; van Steenberghe, D. Working group on treatment options for the maintenance of marginal bone around endosseous oral implants, Stockholm, Sweden, 8 and 9 September 2011. Methodology. Eur. J. Oral Implantol. 2011, 5, 9–12. [Google Scholar]
- Figuero, E.; Graziani, F.; Sanz, I.; Herrera, D.; Sanz, M. Management of peri-implant mucositis and peri-implantitis. Periodontology 2000 2014, 66, 255–273. [Google Scholar] [CrossRef] [PubMed]
- Salvi, G.; Zitzmann, N.U. The Effects of Anti-infective Preventive Measures on the Occurrence of Biologic Implant Complications and Implant Loss: A Systematic Review. Int. J. Oral Maxillofac. Implant. 2014, 29, 292–307. [Google Scholar] [CrossRef]
- Heitz-Mayfield, L.J.A.; Salvi, G.E.; Botticelli, D.; Mombelli, A.; Faddy, M.; Lang, N.P. On Behalf of the Implant Complication Research Group (ICRG) Anti-infective treatment of peri-implant mucositis: A randomised controlled clinical trial. Clin. Oral Implant. Res. 2011, 22, 237–241. [Google Scholar] [CrossRef]
- Smeets, R.; Henningsen, A.; Jung, O.; Heiland, M.; Hammächer, C.; Stein, J.M. Definition, etiology, prevention and treatment of peri-implantitis—A review. Head Face Med. 2014, 10, 34. [Google Scholar] [CrossRef] [PubMed]
- Esposito, M.; Grusovin, M.G.; Worthington, H.V. Treatment of peri-implantitis: What interventions are effective? A Cochrane systematic review. Eur. J. Oral Implant. 2012, 5, 21–24. [Google Scholar]
- Romanos, G.E.; Weitz, D. Therapy of Peri-Implant Diseases. Where is the Evidence? J. Évid. Based Dent. Pract. 2012, 12, 204–208. [Google Scholar] [CrossRef]
- Mahato, N.; Wu, X.; Wang, L. Management of peri-implantitis: A systematic review, 2010–2015. SpringerPlus 2016, 5, 1–9. [Google Scholar] [CrossRef]
- Vandana, K.L.; Dalvi, P.; Nagpal, D. Management of peri-implant infections. J. Int. Clin. Dent. Res. Organ. 2015, 7, 160. [Google Scholar] [CrossRef]
- Chan, H.-L.; Lin, G.-H.; Suarez, F.; MacEachern, M.; Wang, H.-L. Surgical Management of Peri-Implantitis: A Systematic Review and Meta-Analysis of Treatment Outcomes. J. Periodontol. 2014, 85, 1027–1041. [Google Scholar] [CrossRef]
- Faggion, C.M.; Chambrone, L.; Listl, S.; Tu, Y.K. Network meta-analysis for evaluating interventions in implant dentistry: The case of peri-implantitis treatment. Clin. Implant Dent. Relat. Res. 2013, 15, 88–576. [Google Scholar] [CrossRef]
- Suarez, F.; Monje, A.; Galindo-Moreno, P.; Wang, H.L. Implant surface detoxification: A comprehensive review. Implant. Dent. 2013, 22, 73–465. [Google Scholar] [CrossRef] [PubMed]
- Suh, J.-J.; Simon, Z.; Jeon, Y.-S.; Choi, B.-G.; Kim, C.-K. The Use of Implantoplasty and Guided Bone Regeneration in the Treatment of Peri-implantitis: Two Case Reports. Implant. Dent. 2003, 12, 277–282. [Google Scholar] [CrossRef] [PubMed][Green Version]
- Tinti, C.; Parma-Benfenati, S. Treatment of peri-implant defects with the vertical ridge augmentation procedure: A patient report. Int. J. Oral Maxillofac. Implants 2001, 16, 572–577. [Google Scholar]
- Park, J.-B. Treatment of peri-implantitis with deproteinised bovine bone and tetracycline: A case report. Gerodontology 2011, 29, 145–149. [Google Scholar] [CrossRef]
- Lauritano, D.; Girardi, A.; Carinci, F. The Efficacy of HYBENX® Oral Tissue Decontaminant for Periodontal Disease Treatment: A Case Series Study. Int. J. Adv. Case Rep. 2015, 2, 405–408. [Google Scholar]
- Isola, G.; Matarese, R.C.; Williams, V.I.; Siciliano, A.; Alibrandi, G.; Cordasco, G.; Ramaglia, L. The effects of a desiccant agent in the treatment of chronic periodontitis: A randomized, controlled clinical trial. J. Clin. Oral Investig. 2017, 25. [Google Scholar] [CrossRef]
- Mancini, E.A.; Pini, G.P. Prato. Procedimiento de decontaminación del biofilm para el tratamiento del absceso per-iodontal agudo y la periimplantitis. [TRANS: The biofilm decontamination approach for treatment of periodontal abscess and peri-implantitis]. Rev. Asoc. Odontol. Argent 2016, 104, 79–85. [Google Scholar]
- Pini-Prato, G.P.; Magnani, C.; Rotundo, R. Treatment of Acute Periodontal Abscesses Using the Biofilm Decontam-ination Approach. A Case Report Study. Int. J. Periodontics. Restor. Dent. 2016, 36, 55–63. [Google Scholar] [CrossRef]
- Strooker, H.; Rohn, S.; Van Winkelhoff, A.J. Clinical and microbiologic effects of chemical versus mechanical cleansing in professional supportive implant therapy. Int. J. Oral Maxillofac. Implant. 1998, 13, 845–850. [Google Scholar]
- Hentenaar, D.F.M.; De Waal, Y.C.M.; Strooker, H.; Meijer, H.J.A.; Van Winkelhoff, A.J.; Raghoebar, G.M. Implant decontami-nation with phosphoric acid during surgical peri-implantitis treatment: A RCT. Int. J. Implant. Dent. 2017, 3, 33. [Google Scholar] [CrossRef] [PubMed]
- Cha, J.K.; Lee, J.S.; Kim, C.S. Surgical Therapy of Peri-Implantitis with Local Minocycline: A 6-Month Randomized Controlled Clinical Trial. J. Dent. Res. 2019, 98, 288–295. [Google Scholar] [CrossRef]
- Lopez, M.A.; Andreasi, B.M.; Confalone, L.; Silvestre, F.; Arcuri, C. The treatment of peri-implant diseases: A new approach using hybenx® as a decontaminant for implant surface and oral tissues. Oral Implantol. 2016, 13, 106–114. [Google Scholar]
- Jepsen, K.; Jepsen, S.; Laine, M.L.; Anssari Moin, D.; Pilloni, A.; Zeza, B.; Renvert, S. Reconstruction of periimplant osseous defects: A multicenter randomized trial. J. Dent. Res. 2016, 95, 58–66. [Google Scholar] [CrossRef]







| Implant Site | PPD | MR | CAL | |||
|---|---|---|---|---|---|---|
| Baseline | 1 Year | Baseline | 1 Year | Baseline | 1 Year | |
| −11 | 5.7 ± 0.5 | 3.0 ± 0.6 | 1.7 ± 0.5 | 0.3 ± 0.5 | 7.3 ± 0.8 | 3.3 ± 0.8 |
| −16 | 7.7 ± 1.0 | 4.7 ± 0.5 | 1.7 ± 0.5 | 0.8 ± 0.1 | 9.3 ± 1.2 | 5.5 ± 0.8 |
| −17 | 8.3 ± 0.5 | 5.5 ± 0.5 | 1.7 ± 0.5 | 0.7 ± 0.5 | 10.0 ± 0.9 | 6.2 ± 1.0 |
| −23 | 6.8 ± 0.4 | 3.8 ± 0.5 | 1.2 ± 0.4 | 1.8 ± 0.4 | 8.0 ± 0.6 | 5.7 ± 0.5 |
| −25 | 6.7 ± 0.5 | 3.9 ± 0.4 | 1.5 ± 0.5 | 1.2 ± 0.4 | 8.2 ± 0.4 | 5.0 ± 0.6 |
| −26 | 6.7 ± 0.5 | 3.8 ± 0.4 | 1.0 ± 0.9 | 0.3 ± 0.5 | 7.7 ± 1.2 | 4.2 ± 0.8 |
| −36 | 9.7 ± 0.5 | 4.7 ± 0.5 | 1.2 ± 0.4 | 1.7 ± 0.5 | 10.8 ± 0.4 | 6.3 ± 0.5 |
| −44 | 7.7 ± 0.5 | 4.5 ± 0.5 | 1.3 ± 0.5 | 1.7 ± 0.5 | 9.0 ± 0.9 | 6.2 ± 1.0 |
| −46 | 7.7 ± 0.5 | 4.7 ± 0.5 | 1.8 ± 0.4 | 1.3 ± 0.5 | 9.5 ± 0.5 | 6.0 ± 0.9 |
| −47 | 6.5 ± 0.5 | 3.7 ± 0.5 | 1.5 ± 0.5 | 0.3 ± 0.5 | 8.0 ± 0.9 | 4.0 ± 0.9 |
| Mean Values | 6.7 ± 0.5 | 4.2 ± 0.5 | 1.5 ± 0.5 | 1 ± 0.4 | 8.8 ± 0.8 | 5.2 ± 0.8 |
| Implant Site | MBL (mm) | Bone Fill(%) | ||||
|---|---|---|---|---|---|---|
| Baseline | 1 Year | 1 Year | ||||
| Mesial | Distal | Mesial | Distal | Mesial | Distal | |
| −11 | 4.2 | 3.9 | 1.5 | 1.2 | 64.3% | 69.2% |
| −16 | 6.3 | 6.8 | 3.0 | 2.6 | 52.4% | 61.8% |
| −17 | 7.1 | 6.2 | 3.7 | 3.1 | 47.9% | 50.0% |
| −23 | 5.3 | 4.8 | 2.2 | 1.7 | 58.5% | 64.6% |
| −25 | 5.5 | 5.6 | 2.3 | 1.9 | 58.2% | 66.1% |
| −26 | 4.6 | 5.1 | 1.6 | 2.2 | 65.2% | 56.9% |
| −36 | 8.3 | 7.8 | 3.3 | 3.5 | 60.2% | 55.1% |
| −44 | 6.4 | 5.5 | 3.1 | 2.3 | 51.7% | 58.2% |
| −46 | 6.5 | 6.5 | 3.0 | 3.2 | 53.9% | 50.8% |
| −47 | 4.2 | 4.8 | 1.4 | 1.9 | 66.7% | 60.4% |
| Mean Values | 5.8 | 5.7 | 2.5 | 2.3 | 57.9% | 59.3% |
Publisher’s Note: MDPI stays neutral with regard to jurisdictional claims in published maps and institutional affiliations. |
© 2021 by the authors. Licensee MDPI, Basel, Switzerland. This article is an open access article distributed under the terms and conditions of the Creative Commons Attribution (CC BY) license (https://creativecommons.org/licenses/by/4.0/).
Share and Cite
Lopez, M.A.; Passarelli, P.C.; Godino, E.; Lombardo, N.; Altamura, F.R.; Speranza, A.; Lopez, A.; Papi, P.; Pompa, G.; D’Addona, A. The Treatment of Peri-Implant Diseases: A New Approach Using HYBENX® as a Decontaminant for Implant Surface and Oral Tissues. Antibiotics 2021, 10, 512. https://doi.org/10.3390/antibiotics10050512
Lopez MA, Passarelli PC, Godino E, Lombardo N, Altamura FR, Speranza A, Lopez A, Papi P, Pompa G, D’Addona A. The Treatment of Peri-Implant Diseases: A New Approach Using HYBENX® as a Decontaminant for Implant Surface and Oral Tissues. Antibiotics. 2021; 10(5):512. https://doi.org/10.3390/antibiotics10050512
Chicago/Turabian StyleLopez, Michele Antonio, Pier Carmine Passarelli, Emmanuele Godino, Nicolò Lombardo, Francesca Romana Altamura, Alessandro Speranza, Andrea Lopez, Piero Papi, Giorgio Pompa, and Antonio D’Addona. 2021. "The Treatment of Peri-Implant Diseases: A New Approach Using HYBENX® as a Decontaminant for Implant Surface and Oral Tissues" Antibiotics 10, no. 5: 512. https://doi.org/10.3390/antibiotics10050512
APA StyleLopez, M. A., Passarelli, P. C., Godino, E., Lombardo, N., Altamura, F. R., Speranza, A., Lopez, A., Papi, P., Pompa, G., & D’Addona, A. (2021). The Treatment of Peri-Implant Diseases: A New Approach Using HYBENX® as a Decontaminant for Implant Surface and Oral Tissues. Antibiotics, 10(5), 512. https://doi.org/10.3390/antibiotics10050512

