Cascade Fluorescent Sensors Based on Isothermal Signal Amplification for the Detection of Mercury and Silver Ions
Abstract
1. Introduction
2. Experimental
2.1. Instruments and Reagents
2.2. Experimental Procedure
2.2.1. Detection of Hg2+
2.2.2. Detection of Ag+
2.2.3. Fluorescence Determination
2.2.4. Polyacrylamide Gel Electrophoresis
3. Results and Discussion
3.1. Detection Mechanism and Principle of the Sensors
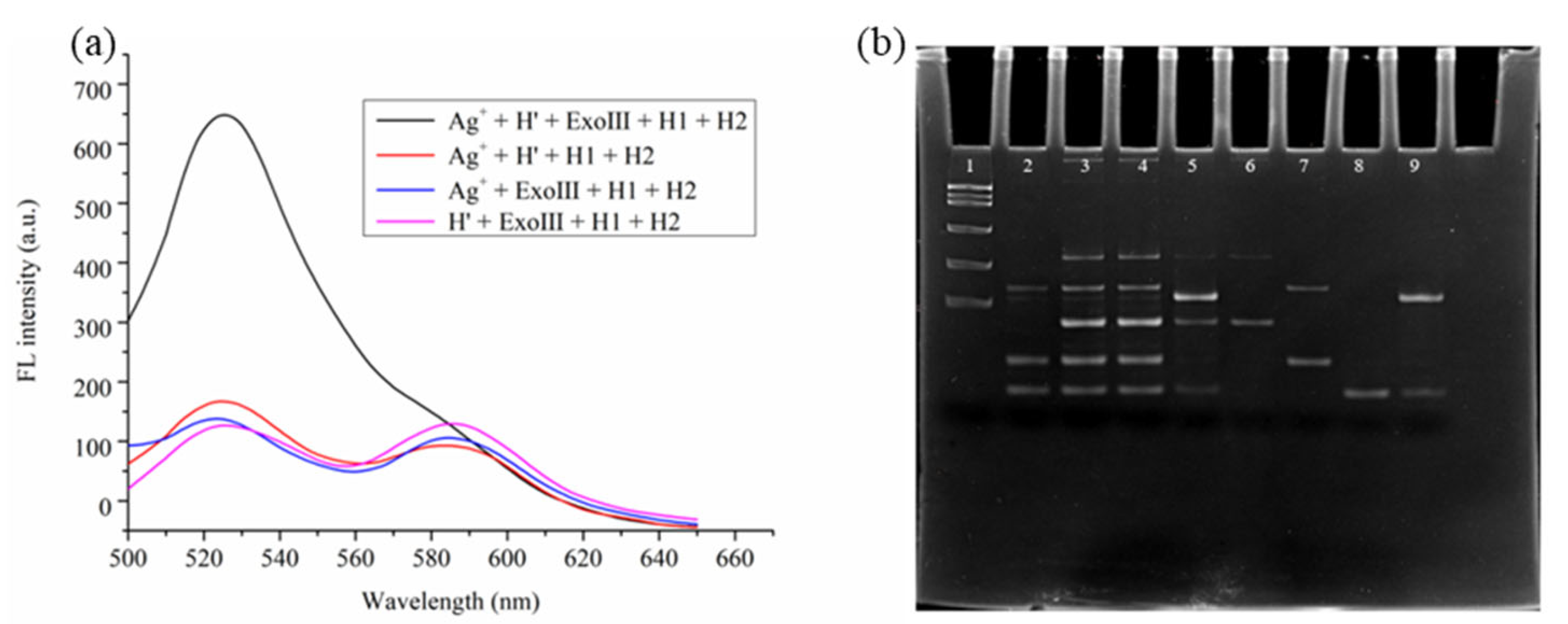
3.2. Validation of Method Feasibility
3.3. Sensor Optimization
3.3.1. Optimization of Conditions for the Hg2⁺ Sensor
3.3.2. Optimization of Conditions for the Ag⁺ Sensor
3.4. Sensor Performance
3.4.1. Performance of the Hg2⁺ Sensor
3.4.2. Performance of the Ag⁺ Sensor
3.5. Sensor Selectivity
3.5.1. Selectivity of the Hg2⁺ Sensor
3.5.2. Selectivity of the Ag⁺ Sensor
3.6. Application to Real-World Samples
3.6.1. Application of the Hg2⁺ Sensor
3.6.2. Application of the Ag⁺ Sensor
3.7. Comparison with Reported Fluorescence Detection Systems
4. Conclusions
Supplementary Materials
Author Contributions
Funding
Institutional Review Board Statement
Informed Consent Statement
Data Availability Statement
Conflicts of Interest
References
- Hama Aziz, K.H.; Mustafa, F.S.; Omer, K.M.; Hama, S.; Hamarawf, R.F.; Rahman, K.O. Heavy metal pollution in the aquatic environment: Efficient and low-cost removal approaches to eliminate their toxicity: A review. RSC Adv. 2023, 13, 17595–17610. [Google Scholar] [CrossRef] [PubMed]
- Zhang, J.F.; Kim, J.S. Small-molecule fluorescent chemosensors for Hg2+ ion. Anal. Sci. 2009, 25, 1271–1281. [Google Scholar] [CrossRef] [PubMed]
- Li, J.; Zuo, G.; Pan, X.; Wei, W.; Qi, X.; Su, T.; Dong, W. Nitrogen-doped carbon dots as a fluorescent probe for the highly sensitive detection of Ag+ and cell imaging. Luminescence 2018, 33, 243–248. [Google Scholar] [CrossRef]
- Zhou, W.; Ding, J.; Liu, J. 2-Aminopurine-modified DNA homopolymers for robust and sensitive detection of mercury and silver. Biosens. Bioelectron. 2017, 87, 171–177. [Google Scholar] [CrossRef]
- Gong, T.; Liu, J.; Liu, X.; Liu, J.; Xiang, J.; Wu, Y. A sensitive and selective sensing platform based on CdTe QDs in the presence of l-cysteine for detection of silver, mercury and copper ions in water and various drinks. Food Chem. 2016, 213, 306–312. [Google Scholar] [CrossRef] [PubMed]
- Poon, V.K.M.; Burd, A. In vitro cytotoxity of silver: Implication for clinical wound care. Burns 2004, 30, 140–147. [Google Scholar] [CrossRef]
- Liu, Q.-J.; Tian, H.; Liu, Z.-T. Mechanical properties and electronic structures of the Hf–Si system: First-principles calculations. Solid State Commun. 2015, 205, 39–45. [Google Scholar] [CrossRef]
- Raghuthaman, S.; Bansal, K.; Quadri, J.A.; Mathur, V.P.; Tewari, N.; Morankar, R. Salivary and urinary assessment of fluoride and silver ion concentrations after silver diamine fluoride application in children: A prospective cohort study. Eur. Arch. Paediatr. Dent. 2024, 25, 409–415. [Google Scholar] [CrossRef]
- El-Shahawi, M.S.; Bashammakh, A.S.; Bahaffi, S.O. Chemical speciation and recovery of gold(I, III) from wastewater and silver by liquid–liquid extraction with the ion-pair reagent amiloride mono hydrochloride and AAS determination. Talanta 2007, 72, 1494–1499. [Google Scholar] [CrossRef]
- Yang, B.; Wang, Y.; Jin, S.; Guo, S.; Park, E.; Shin, J.Y.; Zhang, W.; Jung, Y.M. Ag-decorated polymer chip for the determination of the respective concentrations of TTD and Hg2+ by surface-enhanced raman scattering. Analyst 2022, 147, 597–603. [Google Scholar] [CrossRef]
- Gao, X.; Dai, J.; Zhao, H.; Zhu, J.; Luo, L.; Zhang, R.; Zhang, Z.; Li, L. Synthesis of MoS2 nanosheets for mercury speciation analysis by HPLC-UV-HG-AFS. RSC Adv. 2018, 8, 18364–18371. [Google Scholar] [CrossRef] [PubMed]
- Zhang, M.; Wang, H.; Wu, Y.; Yu, X. Silver ion-imprinted magnetic adsorbent hyphenated to single particle-ICP-MS for separation and analysis of dissolved silver and silver nanoparticles in antibacterial gel extracts. Anal. Chim. Acta 2023, 1279, 341846. [Google Scholar] [CrossRef] [PubMed]
- Miyake, Y.; Togashi, H.; Tashiro, M.; Yamaguchi, H.; Oda, S.; Kudo, M.; Tanaka, Y.; Kondo, Y.; Sawa, R.; Fujimoto, T.; et al. MercuryII-mediated formation of Thymine−HgII−Thymine base pairs in DNA duplexes. J. Am. Chem. Soc. 2006, 128, 2172–2173. [Google Scholar] [CrossRef] [PubMed]
- Marino, T. DFT investigation of the mismatched base pairs (T-Hg-T)3, (U-Hg-U)3, d(T-Hg-T)2, and d(U-Hg-U)2. J. Mol. Model. 2014, 20, 2303. [Google Scholar] [CrossRef]
- Yao, L.; Chen, Y.; Wang, R.; Yan, C.; Xu, J.; Yao, B.; Cheng, J.; Chen, W. Rapid and sensitive detection of Hg2+ with a SERS-enhanced lateral flow strip. Analyst 2022, 147, 4337–4347. [Google Scholar] [CrossRef]
- Jin, X.; Sun, T.; Wu, Z.; Wang, D.; Hu, F.; Xu, J.; Li, X.; Qiu, J. Label-free hairpin probe for the rapid detection of Hg(II) based on T-Hg(II)-T. Anal. Chim. Acta 2022, 1221, 340113. [Google Scholar] [CrossRef]
- Chen, L.; Lou, T.; Yu, C.; Kang, Q.; Chen, L. N-1-(2-Mercaptoethyl)thymine modification of gold nanoparticles: A highly selective and sensitive colorimetric chemosensor for Hg2+. Analyst 2011, 136, 4770–4773. [Google Scholar] [CrossRef]
- Hou, P.; Long, Y.; Zhao, J.; Wang, J.; Zhou, F. A thymidine-terminated molecular beacon for selective Hg2+ or sequence-specific DNA assay. Spectrochim. Acta Part A Mol. Biomol. Spectrosc. 2012, 86, 76–79. [Google Scholar] [CrossRef]
- Zhang, W.; Zhang, P.; Liang, Y.; Cheng, W.; Li, L.; Wang, H.; Yu, Z.; Liu, Y.; Zhang, X. Rapid electrochemical quantification of trace Hg2+ using a hairpin DNA probe and quantum dot modified screen-printed gold electrodes. RSC Adv. 2022, 12, 13448–13455. [Google Scholar] [CrossRef]
- Ono, A.; Cao, S.; Togashi, H.; Tashiro, M.; Fujimoto, T.; Machinami, T.; Oda, S.; Miyake, Y.; Okamoto, I.; Tanaka, Y. Specific interactions between silver(i) ions and cytosine–cytosine pairs in DNA duplexes. Chem. Commun. 2008, 39, 4825–4827. [Google Scholar] [CrossRef]
- Li, Y.; Yuan, J.; Xu, Z. A Sensitive Fluorescence Biosensor for Silver Ions (Ag+) Detection Based on C-Ag-C Structure and Exonuclease III-Assisted Dual-Recycling Amplification. J. Anal. Methods Chem. 2019, 2019, 3712032. [Google Scholar] [CrossRef] [PubMed]
- Xie, W.Y.; Huang, W.T.; Li, N.B.; Luo, H.Q. Design of a dual-output fluorescent DNA logic gate and detection of silver ions and cysteine based on graphene oxide. Chem. Commun. 2012, 48, 82–84. [Google Scholar] [CrossRef] [PubMed]
- Afkhami, A.; Shirzadmehr, A.; Madrakian, T.; Bagheri, H. New nano-composite potentiometric sensor composed of graphene nanosheets/thionine/molecular wire for nanomolar detection of silver ion in various real samples. Talanta 2015, 131, 548–555. [Google Scholar] [CrossRef] [PubMed]
- Wang, L.; Tian, J.; Li, H.; Zhang, Y.; Sun, X. A novel single-labeled fluorescent oligonucleotide probe for silver(i) ion detection based on the inherent quenching ability of deoxyguanosines. Analyst 2011, 136, 891–893. [Google Scholar] [CrossRef]
- Li, Q.; Liu, Y.; Liang, L.; Zhang, X.; Huang, K.; Qin, D. A terpyridyl-rhodamine hybrid fluorescent probe for discriminative sensing of Hg (II) and Cu (II) in water and applications for molecular logic gate and cell imaging. Spectrochim. Acta Part A Mol. Biomol. Spectrosc. 2023, 302, 123124. [Google Scholar] [CrossRef]
- Xiong, Y.; Dai, J.; Zhang, Y.; Zhou, C.; Yuan, H.; Xiao, D. A label-free fluorescent biosensor based on a catalyzed hairpin assembly for HIV DNA and lead detection. Anal. Methods 2021, 13, 2391–2395. [Google Scholar] [CrossRef]
- Chen, T.; Tan, S.; Li, W.; Zhu, Y. Amplified Fluorescent Detection of Mercuric Ions by Conjugation of the ThT-induced G-Quadruplex Based Hybridization Chain Reaction. Anal. Sci. 2017, 33, 1333–1337. [Google Scholar] [CrossRef][Green Version]
- Xu, Z.-Q.; Zhang, P.; Chai, Y.-Q.; Wang, H.-J.; Yuan, R. A biosensor based on a 3D-DNA walking machine network and distance-controlled electrochemiluminescence energy transfer for ultrasensitive detection of tenascin C and lead ions. Chem. Commun. 2018, 54, 8741–8744. [Google Scholar] [CrossRef]
- Liu, W.-W.; Zhang, X.-L.; Zhu, L.; Xu, S.; Chai, Y.-Q.; Li, Z.-H.; Yuan, R. Mismatch-fueled catalytic hairpin assembly mediated ultrasensitive biosensor for rapid detection of MicroRNA. Anal. Chim. Acta 2022, 1204, 339663. [Google Scholar] [CrossRef]
- Ning, Y.; Hu, J.; Wei, K.; He, G.; Wu, T.; Lu, F. Fluorometric determination of mercury(II) via a graphene oxide-based assay using exonuclease III-assisted signal amplification and thymidine–Hg(II)–thymidine interaction. Microchim. Acta 2019, 186, 216. [Google Scholar] [CrossRef]
- Lu, L.; Han, X.; Lin, J.; Zhang, Y.; Qiu, M.; Chen, Y.; Li, M.; Tang, D. Ultrasensitive fluorometric biosensor based on Ti3C2 MXenes with Hg2+-triggered exonuclease III-assisted recycling amplification. Analyst 2021, 146, 2664–2669. [Google Scholar] [CrossRef]
- Ravikumar, A.; Panneerselvam, P. Polydopamine nanotube mediated fluorescent biosensor for Hg(ii) determination through exonuclease III-assisted signal amplification. Analyst 2018, 143, 2623–2631. [Google Scholar] [CrossRef]
- Zhong, M.; Yang, S.; Chen, L.; Liu, C.; Shi, J.; Liang, H.; Xiao, X.; Li, L.; Liu, J. Highly sensitive and efficient fluorescent sensing for Hg2+ detection based on triple-helix molecular switch and exonuclease III-assisted amplification. Anal. Chim. Acta 2022, 1205, 339751. [Google Scholar] [CrossRef]
- Li, D.; Yang, F.; Li, X.; Yuan, R.; Xiang, Y. Target-mediated base-mismatch initiation of a non-enzymatic signal amplification network for highly sensitive sensing of Hg2+. Analyst 2020, 145, 507–512. [Google Scholar] [CrossRef]
- Chen, X.; Hong, F.; Zhang, W.; Wu, D.; Li, T.; Hu, F.; Gan, N.; Lin, J.; Wang, Q. Microchip electrophoresis based multiplexed assay for silver and mercury ions simultaneous detection in complex samples using a stirring bar modified with encoded hairpin probes for specific extraction. J. Chromatogr. A 2019, 1589, 173–181. [Google Scholar] [CrossRef]
- Wei, Z.; Lan, Y.; Zhang, C.; Jia, J.; Niu, W.; Wei, Y.; Fu, S.; Yun, K. A label-free Exonuclease I-assisted fluorescence aptasensor for highly selective and sensitive detection of silver ions. Spectrochim. Acta Part A Mol. Biomol. Spectrosc. 2021, 260, 119927. [Google Scholar] [CrossRef]
- Li, Y.; Xie, L.; Yuan, J.; Liu, H. A sensitive fluorometric sensor for Ag+ based on the hybridization chain reaction coupled with a glucose oxidase dual-signal amplification strategy. RSC Adv. 2020, 10, 26239–26245. [Google Scholar] [CrossRef]









| Water Sample | Spiked Concentration (pM) | Measured Value (Mean ± SD) | RSD (%) | Recovery Rate (%) |
|---|---|---|---|---|
| Xiangjiang River Water sample 1 | 1.20 | 1.18 ± 0.05 | 4.2 | 98.5 |
| Xiangjiang River Water sample 2 | 1.40 | 1.43 ± 0.03 | 2.0 | 102.1 |
| Xiangjiang River Water sample 3 | 1.60 | 1.68 ± 0.03 | 2.0 | 105.2 |
| Tap Water sample 1 | 1.20 | 1.21 ± 0.04 | 3.3 | 100.8 |
| Tap Water sample 2 | 1.40 | 1.46 ± 0.06 | 4.1 | 104.3 |
| Tap Water sample 3 | 1.60 | 1.63 ± 0.05 | 3.1 | 101.9 |
| Water Sample | Spiked Concentration (pM) | Measured Value (Mean ± SD) | RSD (%) | Recovery Rate (%) |
|---|---|---|---|---|
| Xiangjiang River 1 | 30.00 | 28.87 ± 1.83 | 6.3 | 96.2 |
| Xiangjiang River 2 | 50.00 | 49.21 ± 1.66 | 3.4 | 98.4 |
| Xiangjiang River 3 | 70.00 | 72.84 ± 3.35 | 4.6 | 104.1 |
| Tap Water sample 1 | 30.00 | 29.56 ± 1.33 | 4.5 | 102.6 |
| Tap Water sample 2 | 50.00 | 50.76 ± 2.14 | 4.2 | 97.8 |
| Tap Water sample 3 | 70.00 | 71.64 ± 2.29 | 3.2 | 101.9 |
| Type | Strategy | LOD | Linear range | Samples | Citation |
|---|---|---|---|---|---|
| Enzyme-based tools | ExoIII | 42.5 pM | 0.05–50 nM | Tap water and river water | [31] |
| ExoIII | 10 pM | 0–0.1 nM | Tap water and river water | [32] | |
| ExoIII | 1.04 pM | 0.01–50 nM | Tap water and river water | [33] | |
| Non-enzymatic | CHA | 7.9 pM | 10 pM–10 nM | Tap water and river water | [34] |
| CHA | 0.054 nM | 0.18–50 nM | Tap water and river water | [35] | |
| Cascade | ExoIII and MCHA | 0.07 pM | 0.5–3 pM | Xiangjiang River water and tap water | This work |
| Type | Strategy | LOD | Linear Range | Samples | Citation |
|---|---|---|---|---|---|
| Enzyme-based tools | Exo I | 4.4 nM | 0.0059–235.48 μM | Tap water and serum | [36] |
| Exo III | 2 nM | 5–1500 nM | Lake water | [21] | |
| Non-enzymatic | HCR | 1.8 nM | 5–1500 nM | Lake water and tap water | [37] |
| Cascade | Exo III and CHA | 0.038 nM | 0.12–100 nM | Water samples and milk | [35] |
| Exo III and MCHA | 7.6 pM | 10–90 pM | Xiangjiang River water and tap water | This work |
Disclaimer/Publisher’s Note: The statements, opinions and data contained in all publications are solely those of the individual author(s) and contributor(s) and not of MDPI and/or the editor(s). MDPI and/or the editor(s) disclaim responsibility for any injury to people or property resulting from any ideas, methods, instructions or products referred to in the content. |
© 2025 by the authors. Licensee MDPI, Basel, Switzerland. This article is an open access article distributed under the terms and conditions of the Creative Commons Attribution (CC BY) license (https://creativecommons.org/licenses/by/4.0/).
Share and Cite
Liu, Z.; Liu, X.; Sun, J.; Xiao, X. Cascade Fluorescent Sensors Based on Isothermal Signal Amplification for the Detection of Mercury and Silver Ions. Biosensors 2025, 15, 213. https://doi.org/10.3390/bios15040213
Liu Z, Liu X, Sun J, Xiao X. Cascade Fluorescent Sensors Based on Isothermal Signal Amplification for the Detection of Mercury and Silver Ions. Biosensors. 2025; 15(4):213. https://doi.org/10.3390/bios15040213
Chicago/Turabian StyleLiu, Zhen, Xing Liu, Jie Sun, and Xilin Xiao. 2025. "Cascade Fluorescent Sensors Based on Isothermal Signal Amplification for the Detection of Mercury and Silver Ions" Biosensors 15, no. 4: 213. https://doi.org/10.3390/bios15040213
APA StyleLiu, Z., Liu, X., Sun, J., & Xiao, X. (2025). Cascade Fluorescent Sensors Based on Isothermal Signal Amplification for the Detection of Mercury and Silver Ions. Biosensors, 15(4), 213. https://doi.org/10.3390/bios15040213
