p54-Fc-Labeled Gold Nanoparticle-Based Lateral Flow Strip-Assisted Portable Devices for Rapid and Quantitative Point-of-Care Detection of ASFV Antibodies
Abstract
1. Introduction
2. Materials and Methods
2.1. Serum Samples
2.2. Production and Identification of Recombinant African Swine Fever Virus p54 and p54-Fc Proteins
2.3. Preparation of p54-Fc Protein with Colloidal Gold Conjugate
2.4. Preparation of IC Test Strips and Test Results
2.5. Quantitative Analysis Using IC Test Strips
2.6. Determination of Sensitivity and Specificity of IC Strips
2.7. Reproducibility and Stability of IC Test Strips
2.8. IC Test Strips and Commercial ELISA Kit
3. Results
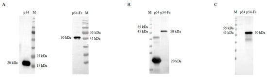
3.1. Expression and Purification of Recombinant p54 and p54-Fc Proteins
3.2. Preparation and Condition Optimization of Colloidal Gold Conjugate p54-Fc Protein
3.3. ROC Curve Analysis
3.4. Linearity of Absorbance (T-Line) Versus Dilution of African Swine Fever Virus Standard Serum
3.5. Sensitivity of IC Test Strips
3.6. Specificity of IC Test Strips
3.7. Repeatability and Stability of IC Test Strips
3.8. Comparison of IC Test Strips with a Commercial ELISA Kit
4. Discussion
Author Contributions
Funding
Institutional Review Board Statement
Informed Consent Statement
Data Availability Statement
Acknowledgments
Conflicts of Interest
References
- Gaudreault, N.N.; Richt, J.A. Subunit Vaccine Approaches for African Swine Fever Virus. Vaccines 2019, 7, 56. [Google Scholar] [CrossRef] [PubMed]
- Dixon, L.K.; Stahl, K.; Jori, F.; Vial, L.; Pfeiffer, D.U. African Swine Fever Epidemiology and Control. Annu. Rev. Anim. Biosci. 2020, 8, 221–246. [Google Scholar] [CrossRef] [PubMed]
- Sun, E.; Zhang, Z.; Wang, Z.; He, X.; Zhang, X.; Wang, L.; Wang, W.; Huang, L.; Xi, F.; Huangfu, H.; et al. Emergence and prevalence of naturally occurring lower virulent African swine fever viruses in domestic pigs in China in 2020. Sci. China Life Sci. 2021, 64, 752–765. [Google Scholar] [CrossRef] [PubMed]
- Kedkovid, R.; Sirisereewan, C.; Thanawongnuwech, R. Major swine viral diseases: An Asian perspective after the African swine fever introduction. Porc. Health Manag. 2020, 6, 20. [Google Scholar] [CrossRef] [PubMed]
- Sastre, P.; Gallardo, C.; Monedero, A.; Ruiz, T.; Arias, M.; Sanz, A.; Rueda, P. Development of a novel lateral flow assay for detection of African swine fever in blood. BMC Vet. Res. 2016, 12, 206. [Google Scholar] [CrossRef]
- Wang, Z.; Jia, L.; Li, J.; Liu, H.; Liu, D. Pan-Genomic Analysis of African Swine Fever Virus. Virol. Sin. 2020, 35, 662–665. [Google Scholar] [CrossRef]
- Revilla, Y.; Perez-Nunez, D.; Richt, J.A. African Swine Fever Virus Biology and Vaccine Approaches. Adv. Virus Res. 2018, 100, 41–74. [Google Scholar] [CrossRef]
- Xu, L.; Cao, C.; Yang, Z.; Jia, W. Identification of a conservative site in the African swine fever virus p54 protein and its preliminary application in a serological assay. J. Vet. Sci. 2022, 23, e55. [Google Scholar] [CrossRef]
- Rodriguez, J.M.; Garcia-Escudero, R.; Salas, M.L.; Andres, G. African swine fever virus structural protein p54 is essential for the recruitment of envelope precursors to assembly sites. J. Virol. 2004, 78, 4299–4313. [Google Scholar] [CrossRef]
- Tesfagaber, W.; Wang, L.L.; Tsegay, G.; Hagoss, Y.T.; Zhang, Z.J.; Zhang, J.W.; Huangfu, H.Y.; Xi, F.; Li, F.; Sun, E.C.; et al. Characterization of Anti-p54 Monoclonal Antibodies and Their Potential Use for African Swine Fever Virus Diagnosis. Pathogens 2021, 10, 178. [Google Scholar] [CrossRef]
- Wang, A.; Jiang, M.; Liu, H.; Liu, Y.; Zhou, J.; Chen, Y.; Ding, P.; Wang, Y.; Pang, W.; Qi, Y.; et al. Development and characterization of monoclonal antibodies against the N-terminal domain of African swine fever virus structural protein, p54. Int. J. Biol. Macromol. 2021, 180, 203–211. [Google Scholar] [CrossRef] [PubMed]
- Netherton, C.L.; Goatley, L.C.; Reis, A.L.; Portugal, R.; Nash, R.H.; Morgan, S.B.; Gault, L.; Nieto, R.; Norlin, V.; Gallardo, C.; et al. Identification and Immunogenicity of African Swine Fever Virus Antigens. Front. Immunol. 2019, 10, 1318. [Google Scholar] [CrossRef] [PubMed]
- Reis, A.L.; Parkhouse, R.M.E.; Penedos, A.R.; Martins, C.; Leitao, A. Systematic analysis of longitudinal serological responses of pigs infected experimentally with African swine fever virus. J. Gen. Virol. 2007, 88, 2426–2434. [Google Scholar] [CrossRef] [PubMed]
- Cao, Y.; Han, D.; Zhang, Y.; Zhang, K.; Du, N.; Tong, W.; Li, G.; Zheng, H.; Liu, C.; Gao, F.; et al. Identification of one novel epitope targeting p54 protein of African swine fever virus using monoclonal antibody and development of a capable ELISA. Res. Vet. Sci. 2021, 141, 19–25. [Google Scholar] [CrossRef]
- Perez-Filgueira, D.M.; Gonzalez-Camacho, F.; Gallardo, C.; Resino-Talavan, P.; Blanco, E.; Gomez-Casado, E.; Alonso, C.; Escribano, J.M. Optimization and validation of recombinant serological tests for African Swine Fever diagnosis based on detection of the p30 protein produced in Trichoplusia ni larvae. J. Clin. Microbiol. 2006, 44, 3114–3121. [Google Scholar] [CrossRef]
- Wang, L.; Fu, D.; Tesfagaber, W.; Li, F.; Chen, W.; Zhu, Y.; Sun, E.; Wang, W.; He, X.; Guo, Y.; et al. Development of an ELISA Method to Differentiate Animals Infected with Wild-Type African Swine Fever Viruses and Attenuated HLJ/18-7GD Vaccine Candidate. Viruses 2022, 14, 1731. [Google Scholar] [CrossRef]
- Zhao, H.; Ren, J.; Wu, S.; Guo, H.; Du, Y.; Wan, B.; Ji, P.; Wu, Y.; Zhuang, G.; Zhang, A.; et al. HRP-conjugated-nanobody-based cELISA for rapid and sensitive clinical detection of ASFV antibodies. Appl. Microbiol. Biotechnol. 2022, 106, 4269–4285. [Google Scholar] [CrossRef]
- Gao, Y.; Xia, T.; Bai, J.; Zhang, L.; Zheng, H.; Jiang, P. Preparation of Monoclonal Antibodies against the Viral p54 Protein and a Blocking ELISA for Detection of the Antibody against African Swine Fever Virus. Viruses 2022, 14, 2335. [Google Scholar] [CrossRef]
- Huang, C.; Cao, C.; Xu, Z.; Lin, Y.; Wu, J.; Weng, Q.; Liu, Z.; Jin, Y.; Chen, P.; Hua, Q. A blocking ELISA based on virus-like nanoparticles chimerized with an antigenic epitope of ASFV P54 for detecting ASFV antibodies. Sci. Rep. 2023, 13, 19928. [Google Scholar] [CrossRef]
- Gaudreault, N.N.; Madden, D.W.; Wilson, W.C.; Trujillo, J.D.; Richt, J.A. African Swine Fever Virus: An Emerging DNA Arbovirus. Front. Vet. Sci. 2020, 7, 215. [Google Scholar] [CrossRef]
- Zhang, X.; Liu, X.; Wu, X.; Ren, W.; Zou, Y.; Xia, X.; Sun, H. A colloidal gold test strip assay for the detection of African swine fever virus based on two monoclonal antibodies against P30. Arch. Virol. 2021, 166, 871–879. [Google Scholar] [CrossRef] [PubMed]
- Ghaedmohammadi, S.; Ahmadian, G. The first report on the sortase-mediated display of bioactive protein A from Staphylococcus aureus (SpA) on the surface of the vegetative form of Bacillus subtilis. Microb. Cell Fact. 2021, 20, 212. [Google Scholar] [CrossRef] [PubMed] [PubMed Central]
- Rombouts, Y.; Willemze, A.; van Beers, J.J.; Shi, J.; Kerkman, P.F.; van Toorn, L.; Janssen, G.M.; Zaldumbide, A.; Hoeben, R.C.; Pruijn, G.J.; et al. Extensive glycosylation of ACPA-IgG variable domains modulates binding to citrullinated antigens in rheumatoid arthritis. Ann. Rheum. Dis. 2016, 75, 578–585. [Google Scholar] [CrossRef] [PubMed]
- Rigi, G.; Ghaedmohammadi, S.; Ahmadian, G. A comprehensive review on staphylococcal protein A (SpA): Its production and applications. Biotechnol. Appl. Biochem. 2019, 66, 454–464. [Google Scholar] [CrossRef] [PubMed]
- Lee, H.G.; Kang, S.; Lee, J.S. Binding characteristics of staphylococcal protein A and streptococcal protein G for fragment crystallizable portion of human immunoglobulin G. Comput. Struct. Biotechnol. J. 2021, 19, 3372–3383. [Google Scholar] [CrossRef]
- Wang, D.; Yu, J.; Wang, Y.; Zhang, M.; Li, P.; Liu, M.; Liu, Y. Development of a real-time loop-mediated isothermal amplification (LAMP) assay and visual LAMP assay for detection of African swine fever virus (ASFV). J. Virol. Methods 2020, 276, 113775. [Google Scholar] [CrossRef]
- Zhu, W.; Meng, K.; Zhang, Y.; Bu, Z.; Zhao, D.; Meng, G. Lateral Flow Assay for the Detection of African Swine Fever Virus Antibodies Using Gold Nanoparticle-Labeled Acid-Treated p72. Front. Chem. 2021, 9, 804981. [Google Scholar] [CrossRef]
- Kim, J.; Shin, M.S.; Shin, J.; Kim, H.M.; Pham, X.H.; Park, S.M.; Kim, D.E.; Kim, Y.J.; Jun, B.H. Recent Trends in Lateral Flow Immunoassays with Optical Nanoparticles. Int. J. Mol. Sci. 2023, 24, 9600. [Google Scholar] [CrossRef]
- Geng, R.; Sun, Y.; Li, R.; Yang, J.; Ma, H.; Qiao, Z.; Lu, Q.; Qiao, S.; Zhang, G. Development of a p72 trimer-based colloidal gold strip for detection of antibodies against African swine fever virus. Appl. Microbiol. Biotechnol. 2022, 106, 2703–2714. [Google Scholar] [CrossRef]
- Hu, Z.; Tian, X.; Lai, R.; Wang, X.; Li, X. Current detection methods of African swine fever virus. Front. Vet. Sci. 2023, 10, 1289676. [Google Scholar] [CrossRef]
- Lim, J.W.; Vu, T.T.H.; Le, V.P.; Yeom, M.; Song, D.; Jeong, D.G.; Park, S.K. Advanced Strategies for Developing Vaccines and Diagnostic Tools for African Swine Fever. Viruses 2023, 15, 2169. [Google Scholar] [CrossRef] [PubMed]
- Yang, Y.; Lv, C.; Fan, J.; Zhao, Y.; Jiang, L.; Sun, X.; Zhang, Q.; Jin, M. Development of a chemiluminescence immunoassay to accurately detect African swine fever virus antibodies in serum. J. Virol. Methods 2021, 298, 114269. [Google Scholar] [CrossRef] [PubMed]
- Li, C.; Zou, Z.; Lv, C.; Zhao, Y.; Han, P.; Sun, X.; Jin, M. Flow cytometry-based multiplexing antibody detection for diagnosis of African swine fever virus. Anal. Chim. Acta 2022, 1225, 340244. [Google Scholar] [CrossRef] [PubMed]
- Sun, Q.; Xie, Y.; Guan, Z.; Zhang, Y.; Li, Y.; Yang, Y.; Zhang, J.; Li, Z.; Qiu, Y.; Li, B.; et al. Seroprevalence of Getah virus in Pigs in Eastern China Determined with a Recombinant E2 Protein-Based Indirect ELISA. Viruses 2022, 14, 2173. [Google Scholar] [CrossRef]
- Yang, Y.; Xia, Q.; Sun, Q.; Zhang, Y.; Li, Y.; Ma, X.; Guan, Z.; Zhang, J.; Li, Z.; Liu, K.; et al. Detection of African swine fever virus antibodies in serum using a pB602L protein-based indirect ELISA. Front. Vet. Sci. 2022, 9, 971841. [Google Scholar] [CrossRef]
- Jiang, W.; Liu, Y.; Chen, Y.; Yang, Q.; Chun, P.; Yao, K.; Han, X.; Wang, S.; Yu, S.; Liu, Y.; et al. A novel dynamic flow immunochromatographic test (DFICT) using gold nanoparticles for the serological detection of Toxoplasma gondii infection in dogs and cats. Biosens. Bioelectron. 2015, 72, 133–139. [Google Scholar] [CrossRef]
- Garigliany, M.; Desmecht, D.; Tignon, M.; Cassart, D.; Lesenfant, C.; Paternostre, J.; Volpe, R.; Cay, A.B.; van den Berg, T.; Linden, A. Phylogeographic Analysis of African Swine Fever Virus, Western Europe, 2018. Emerg. Infect. Dis. 2019, 25, 184–186. [Google Scholar] [CrossRef]
- Zhou, X.; Li, N.; Luo, Y.; Liu, Y.; Miao, F.; Chen, T.; Zhang, S.; Cao, P.; Li, X.; Tian, K.; et al. Emergence of African Swine Fever in China, 2018. Transbound. Emerg. Dis. 2018, 65, 1482–1484. [Google Scholar] [CrossRef]
- Neilan, J.G.; Zsak, L.; Lu, Z.; Burrage, T.G.; Kutish, G.F.; Rock, D.L. Neutralizing antibodies to African swine fever virus proteins p30, p54, and p72 are not sufficient for antibody-mediated protection. Virology 2004, 319, 337–342. [Google Scholar] [CrossRef]
- Escribano, J.M.; Galindo, I.; Alonso, C. Antibody-mediated neutralization of African swine fever virus: Myths and facts. Virus Res. 2013, 173, 101–109. [Google Scholar] [CrossRef]
- Li, Z.; Chen, W.; Qiu, Z.; Li, Y.; Fan, J.; Wu, K.; Li, X.; Zhao, M.; Ding, H.; Fan, S.; et al. African Swine Fever Virus: A Review. Life 2022, 12, 1255. [Google Scholar] [CrossRef] [PubMed]
- Munoz, A.L.; Tabares, E. Characteristics of the major structural proteins of African swine fever virus: Role as antigens in the induction of neutralizing antibodies. A review. Virology 2022, 571, 46–51. [Google Scholar] [CrossRef] [PubMed]
- Sastre, P.; Perez, T.; Costa, S.; Yang, X.; Raber, A.; Blome, S.; Goller, K.V.; Gallardo, C.; Tapia, I.; Garcia, J.; et al. Development of a duplex lateral flow assay for simultaneous detection of antibodies against African and Classical swine fever viruses. J. Vet. Diagn. Investig. 2016, 28, 543–549. [Google Scholar] [CrossRef] [PubMed]
- Li, C.; He, X.; Yang, Y.; Gong, W.; Huang, K.; Zhang, Y.; Yang, Y.; Sun, X.; Ren, W.; Zhang, Q.; et al. Rapid and visual detection of African swine fever virus antibody by using fluorescent immunochromatography test strip. Talanta 2020, 219, 121284. [Google Scholar] [CrossRef]
- Li, J.; Bai, Y.; Li, F.; Zhang, Y.; Xie, Q.; Zhang, L.; Hua, L.; Xiong, Q.; Shan, Y.; Bu, Z.; et al. Rapid and ultra-sensitive detection of African swine fever virus antibody on site using QDM based-ASFV immunosensor (QAIS). Anal. Chim. Acta 2022, 1189, 339187. [Google Scholar] [CrossRef]




| Method | Application Scenario | Time | Sensitivity | Specificity | Cost | Advantages | Disadvantage | Reference |
|---|---|---|---|---|---|---|---|---|
| ELISA | Laboratory testing | >2 h | 1:256– 1:6400 | High | USD 8 per sample | High sensitivity | Requirement for a diagnostic device | [30] |
| FAT | Laboratory testing | >2 h | 1:400 | High | USD 20 per sample | Easy to operate | Non-specific interference, Expensive equipment | [31] |
| Immunocytochemistry | Laboratory testing | >2 h | 1:400 | High | >USD 20 per sample | High specificity and sensitivity | Time-consuming, Technical complexity | [32] |
| CLIA | On-site testing | 1 h | 1:128 | low | >USD 20 per sample | High sensitivity, Results stable | False positive, High cost | [33] |
| Colloidal gold test strip | On-site testing | 15 min | 1:320 | High | USD 2 per sample | Simple operation, short detection time, Intuitive results | Low sensitivity | This study |
| Primer Name | Primer Sequence (5′-3′) |
|---|---|
| p54-F | GGAATTCATGGATTCTGAATTTTTTCA |
| p54-R | GCTCTAGATTACAAGGAGTTTTCTAGGTC |
| Fc-F | GCGGAGGTGGCTCTGGCGGTGGCGGATCGATCTGTCCGGCATGTG |
| Fc-R | GCTCTAGATTTACCCGGGGTTTTG |
| Sample Number | The Result of Intra | The Result of Inter | ||||
|---|---|---|---|---|---|---|
| Average Value | Standard Deviation | Coefficient Variation | Average Value | Standard Deviation | Coefficient Variation | |
| 1 | 6296.61 | 248.01 | 3.94% | 13,596.61 | 419.17 | 3.08% |
| 2 | 7219.57 | 131.16 | 1.82% | 9219.57 | 131.12 | 1.42% |
| 3 | 5647.34 | 228.56 | 4.05% | 11,980.68 | 785.81 | 6.56% |
| 4 | 11,249.01 | 115.18 | 1.02% | 6315.68 | 132.29 | 2.09% |
| 5 | 16,275.76 | 511.07 | 3.14% | 10,942.43 | 480.41 | 4.39% |
| 6 | 17,352.34 | 505.31 | 2.91% | 7531.67 | 447.78 | 5.95% |
| Detection Method | Commercial ASFV ELISA | ||||
|---|---|---|---|---|---|
| Positive | Negative | Total | Kappa Statistic | ||
| Immunochromatographic test strip | Positive | 31 | 1 | 32 | 0.954 |
| Negative | 1 | 67 | 68 | ||
| Total | 32 | 68 | 100 | ||
| Coincidence rate | 96.88% | 98.52% | 98% | ||
Disclaimer/Publisher’s Note: The statements, opinions and data contained in all publications are solely those of the individual author(s) and contributor(s) and not of MDPI and/or the editor(s). MDPI and/or the editor(s) disclaim responsibility for any injury to people or property resulting from any ideas, methods, instructions or products referred to in the content. |
© 2025 by the authors. Licensee MDPI, Basel, Switzerland. This article is an open access article distributed under the terms and conditions of the Creative Commons Attribution (CC BY) license (https://creativecommons.org/licenses/by/4.0/).
Share and Cite
Yang, Y.; Li, Y.; Wang, Z.; Tong, M.; Zhu, P.; Deng, J.; Li, Z.; Liu, K.; Li, B.; Shao, D.; et al. p54-Fc-Labeled Gold Nanoparticle-Based Lateral Flow Strip-Assisted Portable Devices for Rapid and Quantitative Point-of-Care Detection of ASFV Antibodies. Biosensors 2025, 15, 25. https://doi.org/10.3390/bios15010025
Yang Y, Li Y, Wang Z, Tong M, Zhu P, Deng J, Li Z, Liu K, Li B, Shao D, et al. p54-Fc-Labeled Gold Nanoparticle-Based Lateral Flow Strip-Assisted Portable Devices for Rapid and Quantitative Point-of-Care Detection of ASFV Antibodies. Biosensors. 2025; 15(1):25. https://doi.org/10.3390/bios15010025
Chicago/Turabian StyleYang, Yang, Yuhao Li, Ziyang Wang, Minglong Tong, Pengcheng Zhu, Juanxian Deng, Zongjie Li, Ke Liu, Beibei Li, Donghua Shao, and et al. 2025. "p54-Fc-Labeled Gold Nanoparticle-Based Lateral Flow Strip-Assisted Portable Devices for Rapid and Quantitative Point-of-Care Detection of ASFV Antibodies" Biosensors 15, no. 1: 25. https://doi.org/10.3390/bios15010025
APA StyleYang, Y., Li, Y., Wang, Z., Tong, M., Zhu, P., Deng, J., Li, Z., Liu, K., Li, B., Shao, D., Zhou, Z., Qiu, Y., Ma, Z., & Wei, J. (2025). p54-Fc-Labeled Gold Nanoparticle-Based Lateral Flow Strip-Assisted Portable Devices for Rapid and Quantitative Point-of-Care Detection of ASFV Antibodies. Biosensors, 15(1), 25. https://doi.org/10.3390/bios15010025

