Integration of Image Pattern Recognition and Photon Sensor for Analyzing Cytokine Gene Expression Using πCode MicroDisc
Abstract
1. Introduction
2. Materials and Methods
2.1. Cell Lines and Macrophage Polarization
2.2. RNA Extraction and cDNA Synthesis
2.3. Gene Expression Analysis Using qPCR
2.4. Determination of Gene Expression Using πCode MicroDisc Assay
3. Results
3.1. Morphological Changes and RNA Integrity of THP-1 Derived Macrophages
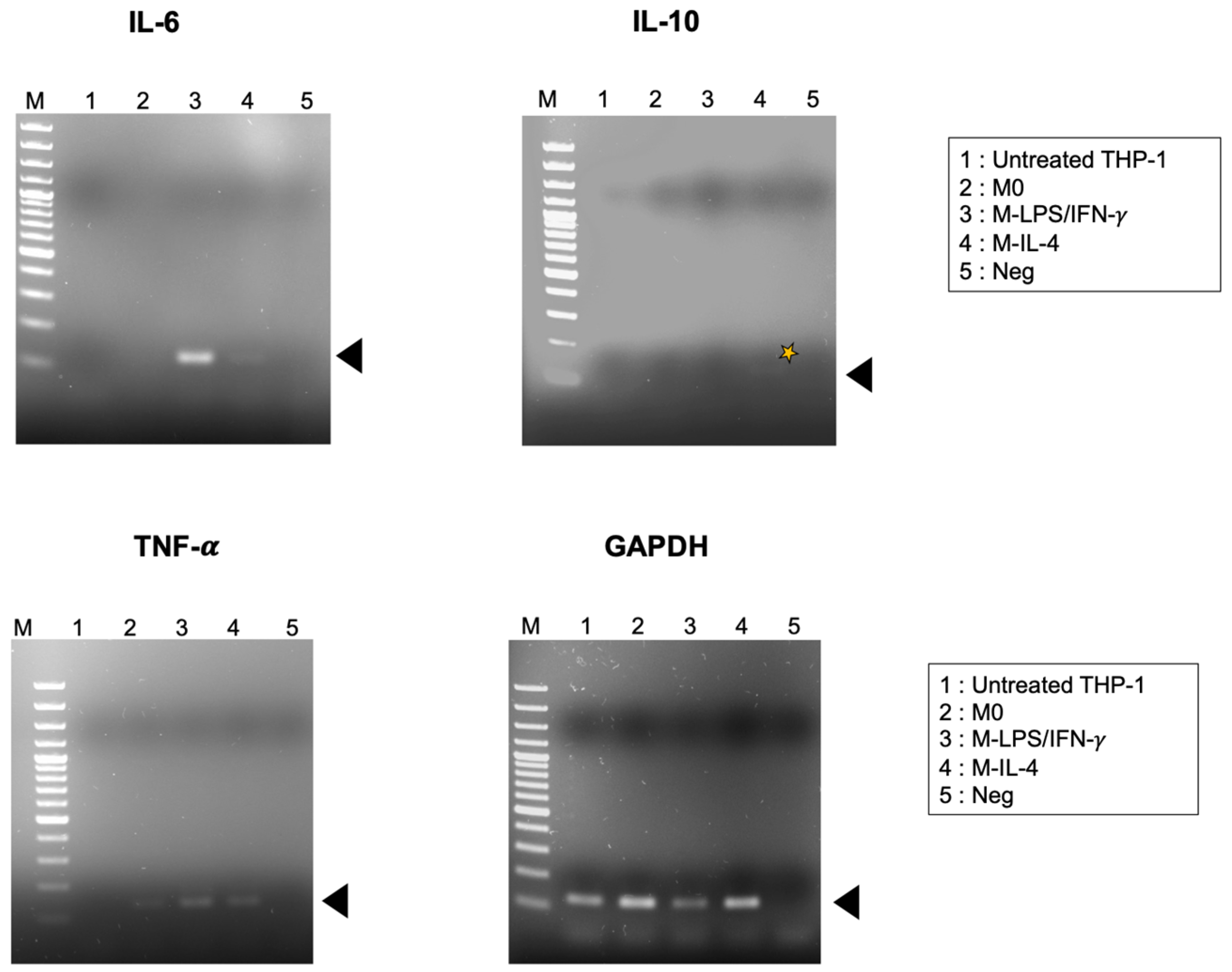
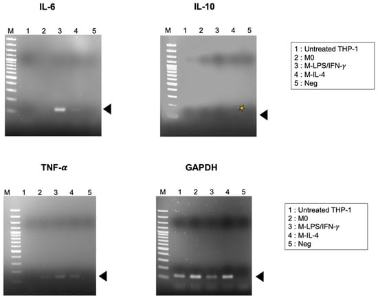
3.2. Cytokine Gene Expression in THP-1 Derived Macrophages Using qPCR
3.3. Cytokine Gene Expression Analysis Using MicroDisc Singleplex Assay
3.4. Qualitative Detection of Cytokine Gene Expression Using MicroDisc Multiplex Assay
4. Discussion
5. Conclusions
Supplementary Materials
Author Contributions
Funding
Institutional Review Board Statement
Informed Consent Statement
Data Availability Statement
Acknowledgments
Conflicts of Interest
References
- Segundo-Val, I.S.; Sanz-Lozano, C.S. Introduction to the Gene Expression Analysis. Methods Mol. Biol. 2016, 1434, 29–43. [Google Scholar] [CrossRef] [PubMed]
 - Hayes, D.N.; Meyerson, M. Microarray Approaches to Gene Expression Analysis. In Molecular Diagnostics; Humana Press: Totowa, NJ, USA, 2006. [Google Scholar] [CrossRef]
 - Zhang, M.; Liu, Y.H.; Chang, C.S.; Zhi, H.; Wang, S.; Xu, W.; Smith, C.W.; Zhang, H.B. Quantification of gene expression while taking into account RNA alternative splicing. Genomics 2019, 111, 1517–1528. [Google Scholar] [CrossRef] [PubMed]
 - Borowska, D.; Kuo, R.; Bailey, R.A.; Watson, K.A.; Kaiser, P.; Vervelde, L.; Stevens, M.P. Highly multiplexed quantitative PCR-based platform for evaluation of chicken immune responses. PLoS ONE 2019, 14, e0225658. [Google Scholar] [CrossRef] [PubMed]
 - Hawkins SFC, G.P. Multiplex Analyses Using Real-Time Quantitative PCR. Methods Mol. Biol. 2017, 1546, 125–133. [Google Scholar] [CrossRef] [PubMed]
 - Bumgarner, R. Overview of DNA microarrays: Types, applications, and their future. Curr. Protoc. Mol. Biol. 2013, 101, 22.1.1–22.1.11. [Google Scholar] [CrossRef] [PubMed]
 - Goytain, A.; Ng, T. NanoString nCounter Technology: High-Throughput RNA Validation. In Methods in Molecular Biology; Humana: New York, NY, USA, 2020; pp. 125–139. [Google Scholar] [CrossRef]
 - Jain, M. Next-generation sequencing technologies for gene expression profiling in plants. Brief. Funct. Genom. 2012, 11, 63–70. [Google Scholar] [CrossRef] [PubMed]
 - Arango Duque, G.; Descoteaux, A. Macrophage cytokines: Involvement in immunity and infectious diseases. Front. Immunol. 2014, 5, 491. [Google Scholar] [CrossRef] [PubMed]
 - Mantovani, A.; Sozzani, S.; Locati, M.; Allavena, P.; Sica, A. Macrophage polarization: Tumor-associated macrophages as a paradigm for polarized M2 mononuclear phagocytes. Trends Immunol. 2002, 23, 549–555. [Google Scholar] [CrossRef] [PubMed]
 - Genin, M.; Clement, F.; Fattaccioli, A.; Raes, M.; Michiels, C. M1 and M2 macrophages derived from THP-1 cells differentially modulate the response of cancer cells to etoposide. BMC Cancer 2015, 15, 577. [Google Scholar] [CrossRef]
 - Rodriguez-Esteban, R.; Jiang, X. Differential gene expression in disease: A comparison between high-throughput studies and the literature. BMC Med. Genom. 2017, 10, 59. [Google Scholar] [CrossRef]
 - Khalifian, S.; Raimondi, G.; Brandacher, G. The use of luminex assays to measure cytokines. J. Investig. Dermatol. 2015, 135, e31. [Google Scholar] [CrossRef] [PubMed]
 - Suzuki, K.; Hu, J.Y.; Ishida, T.; Lin, Y.; Minote, S.; Liu, Z.; Yeung, J.; McNally, L.P.; Starr, M.; Levert, A.; et al. Development of an Ultrasensitive HIV-1 DNA Detection Assay Based on an Automated πCode End-Point PCR System. J. AIDS HIV Treat. 2019, 1, 69–88. [Google Scholar] [CrossRef]
 - Chen, C.L.; Chen, C.K.; Ho, C.L.; Chi, W.M.; Yeh, C.H.; Hu, S.P.; Friebe, P.; Palmer, S.; Huang, C.S. Clinical Evaluation of IntelliPlex KRAS G12/13 Mutation Kit for Detection of KRAS Mutations in Codon 12 and 13: A Novel Multiplex Approach. Mol. Diagn. Ther. 2019, 23, 645–656. [Google Scholar] [CrossRef] [PubMed]
 - Kao, J.H.; Lin, C.Y.; Chuang, W.L.; Cheng, Y.Y.; Hu, J.Y.; Liang, W.K.; Friebe, P.; Palmer, S.; Huang, C.S. Clinical evaluation of IntelliPlex(TM) HCV genotyping kit for hepatitis C virus genotyping. Diagn. Microbiol. Infect. Dis. 2019, 94, 344–348. [Google Scholar] [CrossRef] [PubMed]
 - Suzuki, K.; Levert, A.; Yeung, J.; Starr, M.; Cameron, J.; Williams, R.; Rismanto, N.; Stark, T.; Druery, D.; Prasad, S.; et al. HIV-1 viral blips are associated with repeated and increasingly high levels of cell-associated HIV-1 RNA transcriptional activity. AIDS 2021, 35, 2095–2103. [Google Scholar] [CrossRef] [PubMed]
 - Yasamut, U.; Thongkum, W.; Moonmuang, S.; Sakkhachornphop, S.; Chaiwarith, R.; Praparattanapan, J.; Wipasa, J.; Chawansuntati, K.; Supparatpinyo, K.; Lai, E.; et al. Neutralizing Activity of Anti-interferon-gamma Autoantibodies in Adult-Onset Immunodeficiency Is Associated With Their Binding Domains. Front. Immunol. 2019, 10, 1905. [Google Scholar] [CrossRef] [PubMed]
 - Overbergh, L.; Giulietti, A.; Valckx, D.; Decallonne, R.; Bouillon, R.; Mathieu, C. The use of real-time reverse transcriptase PCR for the quantification of cytokine gene expression. J. Biomol. Tech. 2003, 14, 33–43. [Google Scholar] [PubMed]
 - Erbel, C.; Rupp, G.; Domschke, G.; Linden, F.; Akhavanpoor, M.; Doesch, A.O.; Katus, H.A.; Gleissner, C.A. Differential regulation of aldose reductase expression during macrophage polarization depends on hyperglycemia. Innate Immun. 2016, 22, 230–237. [Google Scholar] [CrossRef] [PubMed]
 - Ren, G.; Juhl, M.; Peng, Q.; Fink, T.; Porsborg, S.R. Selection and validation of reference genes for qPCR analysis of differentiation and maturation of THP-1 cells into M1 macrophage-like cells. Immunol. Cell Biol. 2022, 100, 822–829. [Google Scholar] [CrossRef]
 - Sullivan, K.E.; Cutilli, J.; Piliero, L.M.; Ghavimi-Alagha, D.; Starr, S.E.; Campbell, D.E.; Douglas, S.D. Measurement of cytokine secretion, intracellular protein expression, and mRNA in resting and stimulated peripheral blood mononuclear cells. Clin. Diagn. Lab. Immunol. 2000, 7, 920–924. [Google Scholar] [CrossRef]
 - Zhu, J.H.; Rawal, G.; Aljets, E.; Yim-Im, W.; Yang, Y.L.; Huang, Y.W.; Krueger, K.; Gauger, P.; Main, R.; Zhang, J. Development and Clinical Applications of a 5-Plex Real-Time RT-PCR for Swine Enteric Coronaviruses. Viruses 2022, 14, 1536. [Google Scholar] [CrossRef] [PubMed]
 - Chen, G.; HO; Winston, Z. International Application Published Under The Patent CooperationTreaty (PCT). International Publication Number: WO 97/28156; International Application Number: PCT/EP97/00440. 12 April 2012. [Google Scholar]
 - Weisser, S.B.; McLarren, K.W.; Kuroda, E.; Sly, L.M. Generation and characterization of murine alternatively activated macrophages. Methods Mol. Biol. 2013, 946, 225–239. [Google Scholar] [CrossRef] [PubMed]
 - Porta, C.; Riboldi, E.; Ippolito, A.; Sica, A. Molecular and epigenetic basis of macrophage polarized activation. Semin. Immunol. 2015, 27, 237–248. [Google Scholar] [CrossRef] [PubMed]
 - Gordon, S.; Martinez, F.O. Alternative activation of macrophages: Mechanism and functions. Immunity 2010, 32, 593–604. [Google Scholar] [CrossRef] [PubMed]
 - Lin, Y.; Xu, J.; Lan, H. Tumor-associated macrophages in tumor metastasis: Biological roles and clinical therapeutic applications. J. Hematol. Oncol. 2019, 12, 76. [Google Scholar] [CrossRef]
 - ACROBiosystems. Cytokine Targets. 2017. Available online: https://www.acrobiosystems.com.cn/A1288-Cytokine-Targets.html (accessed on 7 March 2024).
 









| Name | Sequences (5′ to 3′) | 
|---|---|
| IL-6-F | AGACAGCCACTCACCTCTTC | 
| IL-6-R | Biotin tag-AGTGCCTCTTTGCTGCTTTC | 
| Probe_IL-6 | AAAACCTCGACGGCATCTCAGCCCT | 
| IL-10-F | CCTGCCTAACATGCTTCGAG | 
| IL-10-R | Biotin tag-GGCAACCCAGGTAACCCTTA | 
| Probe_IL-10 | AAAACTCCGAGATGCCTTCAGCAGAGTGA | 
| TNF-α-F | CTGCACTTTGGAGTGATCGG | 
| TNF-α-R | Biotin tag-TACAACATGGGCTACAGGCT | 
| Probe_TNF-α | AAAAAGCCCTCTGGCCCAGGCAGT | 
| GAPDH-F | ACCCAGAAGACTGTGGATGG | 
| GAPDH-R | Biotin tag-TCAGCTCAGGGATGACCTTG | 
| Probe_GAPDH | AAAAGGCGCTGCCAAGGCTGTGGG | 
Disclaimer/Publisher’s Note: The statements, opinions and data contained in all publications are solely those of the individual author(s) and contributor(s) and not of MDPI and/or the editor(s). MDPI and/or the editor(s) disclaim responsibility for any injury to people or property resulting from any ideas, methods, instructions or products referred to in the content.  | 
© 2024 by the authors. Licensee MDPI, Basel, Switzerland. This article is an open access article distributed under the terms and conditions of the Creative Commons Attribution (CC BY) license (https://creativecommons.org/licenses/by/4.0/).
Share and Cite
Juntit, O.-a.; Sornsuwan, K.; Yasamut, U.; Tayapiwatana, C. Integration of Image Pattern Recognition and Photon Sensor for Analyzing Cytokine Gene Expression Using πCode MicroDisc. Biosensors 2024, 14, 306. https://doi.org/10.3390/bios14060306
Juntit O-a, Sornsuwan K, Yasamut U, Tayapiwatana C. Integration of Image Pattern Recognition and Photon Sensor for Analyzing Cytokine Gene Expression Using πCode MicroDisc. Biosensors. 2024; 14(6):306. https://doi.org/10.3390/bios14060306
Chicago/Turabian StyleJuntit, On-anong, Kanokporn Sornsuwan, Umpa Yasamut, and Chatchai Tayapiwatana. 2024. "Integration of Image Pattern Recognition and Photon Sensor for Analyzing Cytokine Gene Expression Using πCode MicroDisc" Biosensors 14, no. 6: 306. https://doi.org/10.3390/bios14060306
APA StyleJuntit, O.-a., Sornsuwan, K., Yasamut, U., & Tayapiwatana, C. (2024). Integration of Image Pattern Recognition and Photon Sensor for Analyzing Cytokine Gene Expression Using πCode MicroDisc. Biosensors, 14(6), 306. https://doi.org/10.3390/bios14060306
        
