Paper-Based Aptasensor Assay for Detection of Food Adulterant Sildenafil
Abstract
1. Introduction
2. Materials and Methods
2.1. Materials
2.2. Aptamer Selection
2.3. Synthesis of Aptamer-Gated Mesoporous Silica Nanoparticles
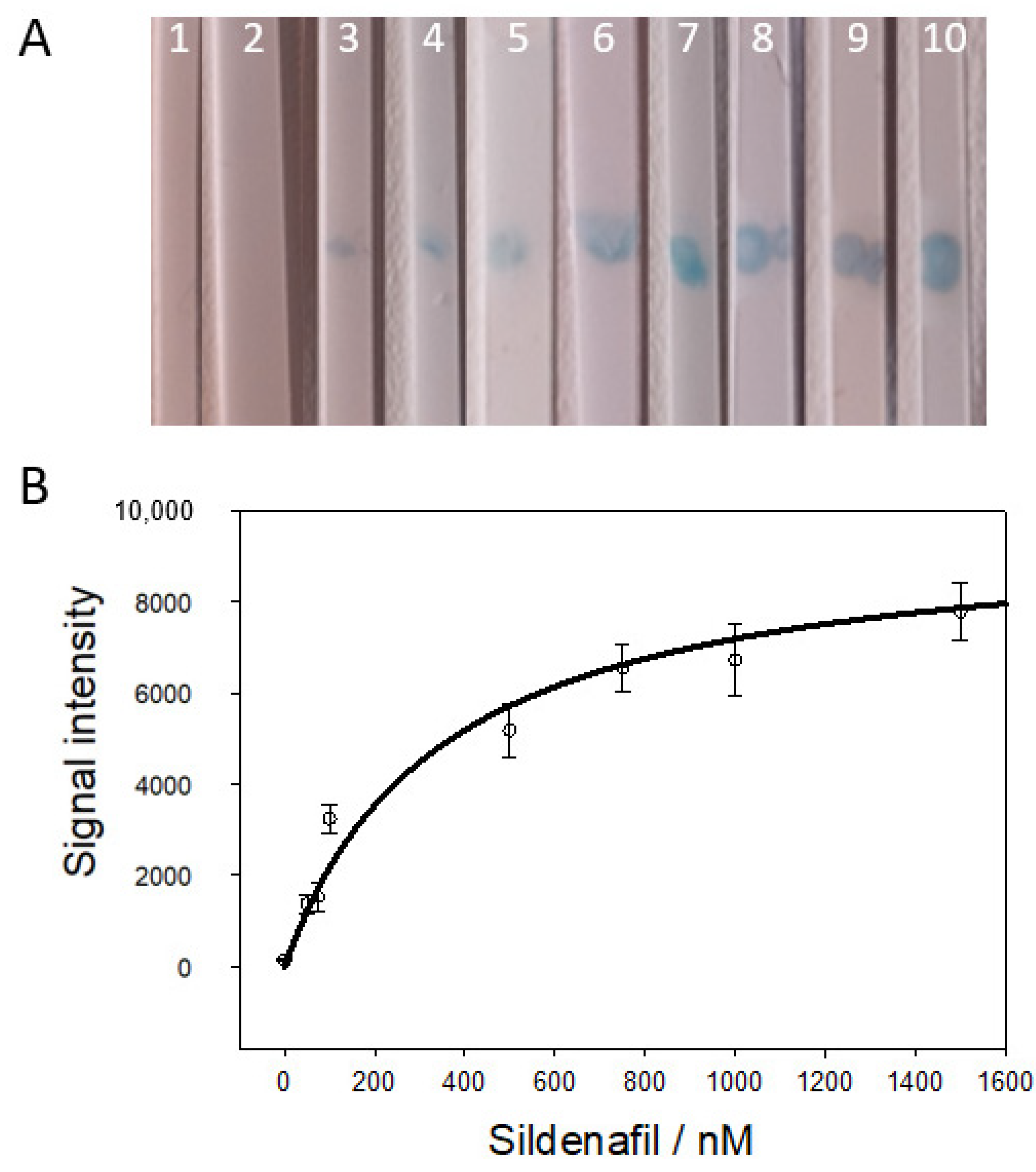
2.4. Strip Experiments
2.5. Fluorescent Assay
2.6. Food Samples
3. Results and Discussion
3.1. Sildenafil Aptamer Selection
3.2. Aptamer Gated SiNP@TMB
3.3. Sildenafil AptaLFA
4. Conclusions
Supplementary Materials
Author Contributions
Funding
Institutional Review Board Statement
Informed Consent Statement
Data Availability Statement
Conflicts of Interest
References
- Mostafa, A. Analysis of Phosphodiesterase Type 5 Inhibitors and Analogues as Adulterants in Herbal Dietary Food Supplements in Saudi Market Using Green UPLC-MS/MS Method: Assessment of the Greenness and Whiteness Profiles. Microchem. J. 2024, 203, 110867. [Google Scholar] [CrossRef]
- Kosić-Vukšić, J.; Krivohlavek, A.; Žuntar, I.; Pocrnić, M.; Galić, N. Undeclared Phosphodiesterase Type 5 Inhibitors (PDE5Is) in Food Supplements on the Croatian Market Analyzed by Liquid Chromatography Time-of-Flight Mass Spectrometry (LC-QTOF-MS). Microchem. J. 2024, 203, 110917. [Google Scholar] [CrossRef]
- Fischer, T.; Tucker, J.; Li, C.; Min, K.; Xu, D.; Upjohn, L.; Kumar, M. Cross-Sectional Survey of Adulterated Sexual Enhancement Products Sold in the Sacramento Area of California. Nutr. Diet. Suppl. 2023, 15, 111–120. [Google Scholar] [CrossRef]
- Goffredo, B.M.; Cairoli, S.; Vitale, A.; Corsetti, T.; Pastore, A. Reverse-Phase High-Performance Liquid Chromatography for the Simultaneous Determination of Sildenafil and N-Desmethyl Sildenafil in Plasma of Children. Biomed. Chromatogr. 2016, 30, 2070–2073. [Google Scholar] [CrossRef]
- Mokhtar, S.U.; Chin, S.T.; Kee, C.L.; Low, M.Y.; Drummer, O.H.; Marriott, P.J. Rapid Determination of Sildenafil and Its Analogues in Dietary Supplements Using Gas Chromatography-Triple Quadrupole Mass Spectrometry. J. Pharm. Biomed. Anal. 2016, 121, 188–196. [Google Scholar] [CrossRef] [PubMed]
- Minh, D.T.C.; Thi, L.A.; Huyen, N.T.T.; Van Vu, L.; Anh, N.T.K.; Ha, P.T.T. Detection of Sildenafil Adulterated in Herbal Products Using Thin Layer Chromatography Combined with Surface Enhanced Raman Spectroscopy: “Double Coffee-Ring Effect” Based Enhancement. J. Pharm. Biomed. Anal. 2019, 174, 340–347. [Google Scholar] [CrossRef] [PubMed]
- Li, G.; Pan, Q.; Zhang, C.; Wang, J.; Peng, C.; Wang, Z. Fluorescence “Turn-on” Sensing for Five PDE5 Inhibitors in Functional Food Based on Bimetallic Nanoclusters. Anal. Chim. Acta 2023, 1280, 341883. [Google Scholar] [CrossRef] [PubMed]
- Bouali, W.; Erk, N.; Özalp, Ö.; Soylak, M. Construction of a Novel Sensor Based on Activated Nanodiamonds, Zinc Oxide, and Silver Nanoparticles for the Determination of a Selective Inhibitor of Cyclic Guanosine Monophosphate in Real Biological and Food Samples. Diam. Relat. Mater. 2023, 137, 110172. [Google Scholar] [CrossRef]
- Ding, Y.; Cheng, Y.; Hao, B.; Zhu, L.; Zhang, N.; Zhao, B.; Tian, Y. Metal–Organic Framework Modified by Silver Nanoparticles for SERS-Based Determination of Sildenafil and Pioglitazone Hydrochloride. Microchim. Acta 2021, 188, 351. [Google Scholar] [CrossRef]
- Janegitz, B.C.; Cancino, J.; Zucolotto, V. Disposable Biosensors for Clinical Diagnosis. J. Nanosci. Nanotechnol. 2017, 14, 378–389. [Google Scholar] [CrossRef] [PubMed]
- Park, J. Lateral Flow Immunoassay Reader Technologies for Quantitative Point-of-Care Testing. Sensors 2022, 22, 7398. [Google Scholar] [CrossRef] [PubMed]
- Tominaga, T.; Ishii, M. Chapter 11—Detection of Microorganisms with Lateral Flow Test Strips. In Methods in Microbiology; Pavia, C.S., Gurtler, V., Eds.; Academic Press: Cambridge, MA, USA, 2020; Volume 47, pp. 351–394. ISBN 0580-9517. [Google Scholar]
- Tai, S.; Cao, H.; Barimah, A.O.; Gao, Y.; Peng, C.; Xu, J.; Wang, Z. Highly Sensitive Colorimetric and Paper-Based Detection for Sildenafil in Functional Food Based on Monodispersed Spherical Magnetic Graphene Composite Nanozyme. Anal. Chim. Acta 2024, 1329, 343260. [Google Scholar] [CrossRef] [PubMed]
- Mairal, T.; Cengiz Özalp, V.; Lozano Sánchez, P.; Mir, M.; Katakis, I.; O’Sullivan, C.K. Aptamers: Molecular Tools for Analytical Applications. Anal. Bioanal. Chem. 2008, 390, 989–1007. [Google Scholar] [CrossRef]
- Wang, T.; Chen, L.M.; Chikkanna, A.; Chen, S.X.; Brusius, I.; Sbuh, N.; Veedu, R.N. Development of Nucleic Acid Aptamer-Based Lateral Flow Assays: A Robust Platform for Cost-Effective Point-of-Care Diagnosis. Theranostics 2021, 11, 5174–5196. [Google Scholar] [CrossRef]
- Jauset-Rubio, M.; El-Shahawi, M.S.; Bashammakh, A.S.; Alyoubi, A.O.; O′Sullivan, C.K. Advances in Aptamers-Based Lateral Flow Assays. TrAC Trends Anal. Chem. 2017, 97, 385–398. [Google Scholar] [CrossRef]
- Maugi, R.; Gamble, B.; Bunka, D.; Platt, M. A Simple Displacement Aptamer Assay on Resistive Pulse Sensor for Small Molecule Detection. Talanta 2021, 225, 122068. [Google Scholar] [CrossRef]
- Liu, M.; Tan, Y.; Zhou, C.; Fu, Z.; Huang, R.; Li, J.; Li, L. Fluorogenic Aptamer-Based Hybridization Chain Reaction for Signal-Amplified Imaging of Apurinic/Apyrimidinic Endonuclease 1 in Living Cells. Biosensors 2024, 14, 274. [Google Scholar] [CrossRef] [PubMed]
- Guan, J.; He, K.; Gunasekaran, S. Selection of SsDNA Aptamer Using GO-SELEX and Development of DNA Nanostructure-Based Electrochemical Aptasensor for Penicillin. Biosens. Bioelectron. X 2022, 12, 100220. [Google Scholar] [CrossRef]
- Tasbasi, B.B.; Guner, B.C.; Sudagidan, M.; Ucak, S.; Kavruk, M.; Ozalp, V.C. Label-Free Lateral Flow Assay for Listeria Monocytogenes by Aptamer-Gated Release of Signal Molecules. Anal. Biochem. 2019, 587, 113449. [Google Scholar] [CrossRef] [PubMed]
- LI, S.; Guan, W.; Wu, Z.; Lu, J.; Guo, J. An Improved Method to Determine Epoxy Index of Epoxy Resins. Polym. Plast. Technol. Eng. 2007, 46, 901–903. [Google Scholar] [CrossRef]
- Hermanson, G.T. Bioconjugate Techniques, 2nd ed.; Academic Press: Cambridge, MA, USA, 2008. [Google Scholar]
- Özalp, V.C.; Zeydanlı, U.S.; Lunding, A.; Kavruk, M.; Öz, M.T.; Eyidoğan, F.; Olsen, L.F.; Öktem, H.A. Nanoparticle Embedded Enzymes for Improved Lateral Flow Sensors. Analyst 2013, 138, 4255–4259. [Google Scholar] [CrossRef]
- Schneider, C.A.; Rasband, W.S.; Eliceiri, K.W. NIH Image to ImageJ: 25 Years of Image Analysis. Nat. Methods 2012, 9, 671–675. [Google Scholar] [CrossRef] [PubMed]
- Do, T.T.K.; Theocharis, G.; Reich, E. Simultaneous Detection of Three Phosphodiesterase Type 5 Inhibitors and Eight of Their Analogs in Lifestyle Products and Screening for Adulterants by High-Performance Thin-Layer Chromatography. J. AOAC Int. 2015, 98, 1226–1233. [Google Scholar] [CrossRef] [PubMed]
- Wang, C.C.; Gómez, R.A.; Fernandez, L.P. Determination of Sildenafil by Preconcentration on Surfactant Coated Polymeric Resin Followed by Spectrofluorimetry. J. Pharm. Anal. 2013, 3, 173–179. [Google Scholar] [CrossRef] [PubMed]
- Wilson, B.D.; Soh, H.T. Re-Evaluating the Conventional Wisdom about Binding Assays. Trends Biochem. Sci. 2020, 45, 639–649. [Google Scholar] [CrossRef]
- Yuan, H.; Wu, X.; Ren, X.; Xue, B.; Qiu, W.; Nong, D.; Yang, T.; Xu, F. Mechanism of PH Influence on Aptamer Binding with Cd2+ Revealed by Molecular Dynamics Simulation. New J. Chem. 2023, 47, 9239–9249. [Google Scholar] [CrossRef]
- Ribes, À.; Santiago-Felipe, S.; Aviñó, A.; Candela-Noguera, V.; Eritja, R.; Sancenón, F.; Martínez-Máñez, R.; Aznar, E. Design of Oligonucleotide-Capped Mesoporous Silica Nanoparticles for the Detection of MiRNA-145 by Duplex and Triplex Formation. Sens. Actuators B Chem. 2018, 277, 598–603. [Google Scholar] [CrossRef]
- Aznar, E.; Oroval, M.; Pascual, L.; Murguía, J.R.; Martínez-Máñez, R.; Sancenón, F. Gated Materials for On-Command Release of Guest Molecules. Chem. Rev. 2016, 116, 561–718. [Google Scholar] [CrossRef]
- Altuner, E.E.; Ozalp, V.C.; Yilmaz, M.D.; Sudagidan, M.; Aygun, A.; Acar, E.E.; Tasbasi, B.B.; Sen, F. Development of Electrochemical Aptasensors Detecting Phosphate Ions on TMB Substrate with Epoxy-Based Mesoporous Silica Nanoparticles. Chemosphere 2022, 297, 134077. [Google Scholar] [CrossRef] [PubMed]
- Özalp, V.C.; Schäfer, T. Aptamer-Based Switchable Nanovalves for Stimuli-Responsive Drug Delivery. Chem. A Eur. J. 2011, 17, 9893–9896. [Google Scholar] [CrossRef]
- Dural, E. Investigation of the Presence of Sildenafil in Herbal Dietary Supplements by Validated HPLC Method. Turk. J. Pharm. Sci. 2020, 17, 56–62. [Google Scholar] [CrossRef] [PubMed]
- Quintero, A.; Caldera, A.; Milano, B.; Odreman, I.; Hurtado, A.; Manzanares, L.; Villamizar, J. Validation of an HPLC Method for Sildenafil Citrate Analysis in Human Plasma Samples. Pharmazie 2009, 64, 796–799. [Google Scholar] [CrossRef]
- Wei, T.; Zhang, Y.; Huang, J.; Yang, J.; Tian, Y.; Shen, Y. Rapid Detection of Multiple Sildenafil and Tadalafil Adulterants in Dietary Supplements by Dual-Labeled Probe Time-Resolved Fluorescence Immunochromatography Assay. Food Biosci. 2024, 59, 103905. [Google Scholar] [CrossRef]
- Majdinasab, M.; Badea, M.; Marty, J.L. Aptamer-Based Lateral Flow Assays: Current Trends in Clinical Diagnostic Rapid Tests. Pharmaceuticals 2022, 15, 90. [Google Scholar] [CrossRef] [PubMed]
- Dursun, A.D.; Dogan, S.; Kavruk, M.; Busra Tasbasi, B.; Sudagidan, M.; Deniz Yilmaz, M.; Yilmaz, B.; Ozalp, V.C.; Tuna, B.G. Surface Plasmon Resonance Aptasensor for Soluble ICAM-1 Protein in Blood Samples. Analyst 2022, 147, 1663–1668. [Google Scholar] [CrossRef]
- Dursun, A.D.; Borsa, B.A.; Bayramoglu, G.; Arica, M.Y.; Ozalp, V.C. Surface Plasmon Resonance Aptasensor for Brucella Detection in Milk. Talanta 2022, 239, 123074. [Google Scholar] [CrossRef] [PubMed]
- Ersoy Omeroglu, E.; Sudagidan, M.; Yurt, M.N.Z.; Tasbasi, B.B.; Acar, E.E.; Ozalp, V.C. Microbial Community of Soda Lake Van as Obtained from Direct and Enriched Water, Sediment and Fish Samples. Sci. Rep. 2021, 11, 18364. [Google Scholar] [CrossRef]
- Bailey, T.L. STREME: Accurate and Versatile Sequence Motif Discovery. Bioinformatics 2021, 37, 2834–2840. [Google Scholar] [CrossRef] [PubMed]
- Tuna, B.G.; Durdabak, D.B.; Ercan, M.K.; Dogan, S.; Kavruk, M.; Dursun, A.D.; Tekol, S.D.; Celik, C.; Ozalp, V.C. Detection of Viruses by Probe-Gated Silica Nanoparticles Directly from Swab Samples. Talanta 2022, 246, 123429. [Google Scholar] [CrossRef]
- Ulman, A. Inorganic Thin Films; Academic Press: Boston, MA, USA, 1995. [Google Scholar]
- Tsukruk, V.V.; Luzinov, I.; Julthongpiput, D. Sticky Molecular Surfaces: Epoxysilane Self-Assembled Monolayers. Langmuir 1999, 15, 3029–3032. [Google Scholar] [CrossRef]





| Name | Sequence |
|---|---|
| SELEX Library | 5′-GGCGGCGATGAGGATGAC-N40-ACCACTGCGTGACTGCC-3′ |
| Forward primer | 5′-GGCGGCGATGAGGATGAC-3′ |
| Reverse primer | 5′-GGCAGTCACGCAGTGGT-3′ |
| Biotynilated primer | 5′-Biotin- GGCGGCGATGAGGATGAC-3′ |
| Fluorescein labelled primer | 5′-Fluorescein- GGCGGCGATGAGGATGAC-3′ |
| NGS-forward primer | 5′-TCGTCGGCAGCGTCAGATGTGTATAAGAGACAGGGCGGCGATGAGGATGAC-3′ |
| NGS-reverse primer | 5′-GTCTCGTGGGCTCGGAGATGTGTATAAGAGACAGGGCAGTCACGCAGTGGT-3′ |
Disclaimer/Publisher’s Note: The statements, opinions and data contained in all publications are solely those of the individual author(s) and contributor(s) and not of MDPI and/or the editor(s). MDPI and/or the editor(s) disclaim responsibility for any injury to people or property resulting from any ideas, methods, instructions or products referred to in the content. |
© 2024 by the authors. Licensee MDPI, Basel, Switzerland. This article is an open access article distributed under the terms and conditions of the Creative Commons Attribution (CC BY) license (https://creativecommons.org/licenses/by/4.0/).
Share and Cite
Kavruk, M.; Ozalp, V.C. Paper-Based Aptasensor Assay for Detection of Food Adulterant Sildenafil. Biosensors 2024, 14, 620. https://doi.org/10.3390/bios14120620
Kavruk M, Ozalp VC. Paper-Based Aptasensor Assay for Detection of Food Adulterant Sildenafil. Biosensors. 2024; 14(12):620. https://doi.org/10.3390/bios14120620
Chicago/Turabian StyleKavruk, Murat, and Veli Cengiz Ozalp. 2024. "Paper-Based Aptasensor Assay for Detection of Food Adulterant Sildenafil" Biosensors 14, no. 12: 620. https://doi.org/10.3390/bios14120620
APA StyleKavruk, M., & Ozalp, V. C. (2024). Paper-Based Aptasensor Assay for Detection of Food Adulterant Sildenafil. Biosensors, 14(12), 620. https://doi.org/10.3390/bios14120620

