In-House Immunoglobulin Y-Based Immunoassay for Detecting Benzo[a]pyrene in Grilled Pork Samples
Abstract
1. Introduction
2. Materials and Methods
2.1. Material and Chemicals
2.2. Methodology
2.2.1. Immunogen Preparation for Immunization and Antigen Coating for Immunoassay Development
2.2.2. Determination of Hapten Density in Immunogens and Coating Antigens
2.2.3. Antibody Production and Characterization
2.2.4. Indirect Competitive ELISA Development
2.2.5. Assessment of Polyclonal Antibody
2.2.6. Sample Preparation
2.2.7. Validation Test of ic-ELISA
3. Results and Discussion
3.1. Immunogen and Coating Antigen Characterization
Hapten Density of Immunogens and Coating Antigens
3.2. Production of Antibody to Benzo[a]pyrene
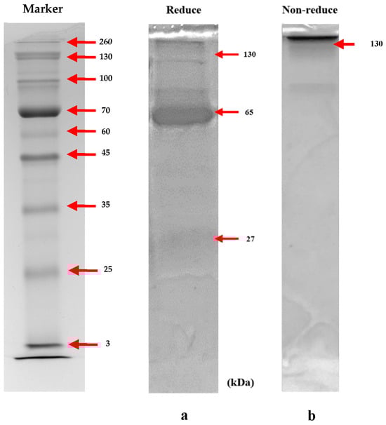
3.2.1. Preparation of Immunoglobulin Y from Egg Yolk and Assessment of Its Sensitivity and Specificity
3.2.2. Characterization of IgY Antibody Using Indirect Competitive ELISA
3.3. Antibody Specificity
3.4. Validation of ELISA for B[a]P Detection in Grilled Pork Samples
3.4.1. Organic Solvents on Antibody
3.4.2. Recovery Study for ELISA in Matrix
4. Conclusions
Author Contributions
Funding
Institutional Review Board Statement
Informed Consent Statement
Data Availability Statement
Acknowledgments
Conflicts of Interest
References
- Bostrom, C.E.; Gerde, P.; Hanberg, A.; Jernstrom, B.; Johansson, C.; Kyrklund, T.; Rannug, A.; Tornqvist, M.; Victorin, K.; Westerholm, R. Cancer risk assessment, indicators, and guidelines for polycyclic aromatic hydrocarbons in the ambient air. Environ. Health Perspect. 2002, 110 (Suppl. S3), 451–488. [Google Scholar] [CrossRef]
- Juhasz, A.L.; Naidu, R. Bioremediation of high molecular weight polycyclic aromatic hydrocarbons: A review of the microbial degradation of benzo[a]pyrene. Int. Biodeterior. Biodegrad. 2000, 45, 57–88. [Google Scholar] [CrossRef]
- Bukowska, B.; Sicińska, P. Influence of Benzo(a)pyrene on Different Epigenetic Processes. Int. J. Mol. Sci. 2021, 22, 13453. [Google Scholar] [CrossRef] [PubMed]
- Manousi, N.; Zachariadis, G.A. Recent Advances in the Extraction of Polycyclic Aromatic Hydrocarbons from Environmental Samples. Molecules 2020, 25, 2182. [Google Scholar] [CrossRef] [PubMed]
- Fismes, J.; Perrin-Ganier, C.; Empereur-Bissonnet, P.; Morel, J.L. Soil-to-Root Transfer and Translocation of Polycyclic Aromatic Hydrocarbons by Vegetables Grown on Industrial Contaminated Soils. J. Environ. Qual. 2002, 31, 1649–1656. [Google Scholar] [CrossRef]
- Hassan, J.; Farahani, A. GC–MS Determination of PAHs in Fish Samples Following Salting-out-Assisted Solvent Extraction-Gel Permeation Chromatography. Chromatographia 2011, 74, 477–482. [Google Scholar] [CrossRef]
- Wu, S.; Li, H.; Yin, X.; Si, Y.; Qin, L.; Yang, H.; Xiao, J.; Peng, D. Preparation of Monoclonal Antibody against Pyrene and Benzo [a]pyrene and Development of Enzyme-Linked Immunosorbent Assay for Fish, Shrimp and Crab Samples. Foods 2022, 11, 3220. [Google Scholar] [CrossRef] [PubMed]
- Zhao, N.; Wu, W.; Cui, S.; Li, H.; Feng, Y.; Guo, L.; Zhang, Y.; Wang, S. Effects of Benzo[a]pyrene-DNA adducts, dietary vitamins, folate, and carotene intakes on preterm birth: A nested case–control study from the birth cohort in China. Environ. Health 2022, 21, 48. [Google Scholar] [CrossRef] [PubMed]
- Felemban, S.; Vazquez, P.; Moore, E. Future Trends for In Situ Monitoring of Polycyclic Aromatic Hydrocarbons in Water Sources: The Role of Immunosensing Techniques. Biosensors 2019, 9, 142. [Google Scholar] [CrossRef] [PubMed]
- Amro, W.A.; Al-Qaisi, W.; Al-Razem, F. Production and purification of IgY antibodies from chicken egg yolk. J. Genet. Eng. Biotechnol. 2018, 16, 99–103. [Google Scholar] [CrossRef] [PubMed]
- Larsson, A.; Karlsson-Parra, A.; Sjöquist, J. Use of chicken antibodies in enzyme immunoassays to avoid interference by rheumatoid factors. Clin. Chem. 1991, 37, 411–414. [Google Scholar] [CrossRef] [PubMed]
- Shinkaruk, S.; Lamothe, V.; Schmitter, J.-M.; Manach, C.; Morand, C.; Berard, A.; Bennetau, B.; Bennetau-Pelissero, C. Development and validation of two new sensitive ELISAs for Hesperetin and Naringenin in biological fluids. Food Chem. 2010, 118, 472–481. [Google Scholar] [CrossRef]
- Bird, C.R.; Thorpe, R. Purification of Immunoglobulin Y (IgY) from Chicken Eggs. In The Protein Protocols Handbook; Walker, J.M., Ed.; Humana Press: Totowa, NJ, USA, 2009; pp. 1779–1781. [Google Scholar]
- Meng, X.Y.; Li, Y.S.; Zhou, Y.; Zhang, Y.Y.; Yang, L.; Qiao, B.; Wang, N.N.; Hu, P.; Lu, S.Y.; Ren, H.L.; et al. An enzyme-linked immunosorbent assay for detection of pyrene and related polycyclic aromatic hydrocarbons. Anal. Biochem. 2015, 473, 1–6. [Google Scholar] [CrossRef] [PubMed]
- Torres, O.B.; Alving, C.R.; Matyas, G.R. Synthesis of hapten-protein conjugate vaccines with reproducible hapten densities. In Vaccine Design: Methods and Protocols: Volume 1: Vaccines for Human Diseases; Humana Press: New York, NY, USA, 2016; pp. 695–710. [Google Scholar]
- Yadoung, S.; Ishimatsu, R.; Xu, Z.-L.; Sringarm, K.; Pata, S.; Thongkham, M.; Chantara, S.; Pattarawarapan, M.; Hongsibsong, S. Development of IgY-Based Indirect Competitive ELISA for the Detection of Fluoroquinolone Residues in Chicken and Pork Samples. Antibiotics 2022, 11, 1512. [Google Scholar] [CrossRef] [PubMed]
- Zhu, Y.; Ma, Y.; Lu, M.; Zhang, Y.; Li, A.; Liang, X.; Li, J. Efficient Production of Human Norovirus-Specific IgY in Egg Yolks by Vaccination of Hens with a Recombinant Vesicular Stomatitis Virus Expressing VP1 Protein. Viruses 2019, 11, 444. [Google Scholar] [CrossRef] [PubMed]
- Jiang, W.; Zhang, H.; Li, X.; Liu, X.; Zhang, S.; Shi, W.; Shen, J.; Wang, Z. Monoclonal antibody production and the development of an indirect competitive enzyme-linked immunosorbent assay for screening spiramycin in milk. J. Agric. Food Chem. 2013, 61, 10925–10931. [Google Scholar] [CrossRef] [PubMed]
- Scharnweber, T.; Fisher, M.; Suchanek, M.; Knopp, D.; Niessner, R. Monoclonal antibody to polycyclic aromatic hydrocarbons based on a new benzo[a]pyrene immunogen. Fresenius J. Anal. Chem. 2001, 371, 578–585. [Google Scholar] [CrossRef] [PubMed]
- Some non-heterocyclic polycyclic aromatic hydrocarbons and some related exposures. IARC Monogr. Eval. Carcinog. Risks Hum. 2010, 92, 1–853.
- Liang, Y.; Liu, X.J.; Liu, Y.; Yu, X.Y.; Fan, M.T. Synthesis of three haptens for the class-specific immunoassay of O,O-dimethyl organophosphorus pesticides and effect of hapten heterology on immunoassay sensitivity. Anal. Chim. Acta 2008, 615, 174–183. [Google Scholar] [CrossRef]
- Matschulat, D.; Deng, A.; Niessner, R.; Knopp, D. Development of a highly sensitive monoclonal antibody based ELISA for detection of benzo[a]pyrene in potable water. Analyst 2005, 130, 1078–1086. [Google Scholar] [CrossRef] [PubMed]




| Haptens Conjugation 1 | Haptens Density (Number of Amines/Protein) | |
|---|---|---|
| Immunogens | BSA-PyBA | 18.48 |
| Coating antigen | OVA-PyBA | 66.08 |
| Compounds | Structure | Coating Antigen | IC50 (µg/mL) | Cross-Reactivity (%) |
|---|---|---|---|---|
| Chrysene | ![]() | OVA-PyBA | 0.97 | 1.15 |
| Benzo[b]fluoranthene | ![]() | OVA-PyBA | 0.003 | 311.32 |
| Benzo[a]anthracene | ![]() | OVA-PyBA | 0.05 | 22.82 |
| Benzo[k]fluoranthene | ![]() | OVA-PyBA | 0.11 | 10.62 |
| Benzo[a]pyrene | ![]() | OVA-PyBA | 0.01 | 100.00 |
| Pyrenebuteric acid | ![]() | OVA-PyBA | 0.12 | 9.55 |
| Benzo[a]pyrene Diol Epoxide | ![]() | OVA-Prybar | 0.17 | 6.66 |
| Analyte | Spike Conc. (μg/mL) | Matrix | |
|---|---|---|---|
| Pork | |||
| R (%) | CV (%) | ||
| Benzo[a]pyrene | 10.00 | 128.75–143.11 | 7.47 |
| 1.00 | 95.60–96.15 | 0.39 | |
| 0.10 | 74.99–88.89 | 3.17 | |
Disclaimer/Publisher’s Note: The statements, opinions and data contained in all publications are solely those of the individual author(s) and contributor(s) and not of MDPI and/or the editor(s). MDPI and/or the editor(s) disclaim responsibility for any injury to people or property resulting from any ideas, methods, instructions or products referred to in the content. |
© 2024 by the authors. Licensee MDPI, Basel, Switzerland. This article is an open access article distributed under the terms and conditions of the Creative Commons Attribution (CC BY) license (https://creativecommons.org/licenses/by/4.0/).
Share and Cite
Jeeno, P.; Yadoung, S.; Thongkham, M.; Yana, P.; Jaitham, U.; Ounjaijean, S.; Xu, Z.-L.; Sringarm, K.; Hongsibsong, S. In-House Immunoglobulin Y-Based Immunoassay for Detecting Benzo[a]pyrene in Grilled Pork Samples. Biosensors 2024, 14, 588. https://doi.org/10.3390/bios14120588
Jeeno P, Yadoung S, Thongkham M, Yana P, Jaitham U, Ounjaijean S, Xu Z-L, Sringarm K, Hongsibsong S. In-House Immunoglobulin Y-Based Immunoassay for Detecting Benzo[a]pyrene in Grilled Pork Samples. Biosensors. 2024; 14(12):588. https://doi.org/10.3390/bios14120588
Chicago/Turabian StyleJeeno, Peerapong, Sumed Yadoung, Marninphan Thongkham, Pichamon Yana, Udomsap Jaitham, Sakaewan Ounjaijean, Zhen-Lin Xu, Korawan Sringarm, and Surat Hongsibsong. 2024. "In-House Immunoglobulin Y-Based Immunoassay for Detecting Benzo[a]pyrene in Grilled Pork Samples" Biosensors 14, no. 12: 588. https://doi.org/10.3390/bios14120588
APA StyleJeeno, P., Yadoung, S., Thongkham, M., Yana, P., Jaitham, U., Ounjaijean, S., Xu, Z.-L., Sringarm, K., & Hongsibsong, S. (2024). In-House Immunoglobulin Y-Based Immunoassay for Detecting Benzo[a]pyrene in Grilled Pork Samples. Biosensors, 14(12), 588. https://doi.org/10.3390/bios14120588








