Paper-Based Biosensor for the Detection of Sepsis Using MMP-9 Biomarker in FIP Mice Model
Abstract
1. Introduction
2. Materials and Methods
2.1. Reagents and Materials
2.2. Animal Preparation
2.3. Induction of Sepsis
2.4. Preparation of Fecal Intraperitoneal (FIP) Model of Sepsis
2.5. Intracardiac Puncture for Terminal Blood Collection in Mice
2.6. Bronchoalveolar Lavage Fluid (BALF)
2.7. Cell Counting
2.8. Cytokine and MMP-9 Measurements using Enzyme-Linked Immunosorbent Assay (ELISA)
2.9. Immunoblot Analysis
2.10. MMP-9 Magnetic Beads Conjugation
2.11. Sensing Platform Preparation
2.12. Mice Blood Cultures (BCs)
2.13. Statistical Analysis
3. Results and Discussion
3.1. Evaluation of Different Biomarkers for Sepsis in Infected Mice
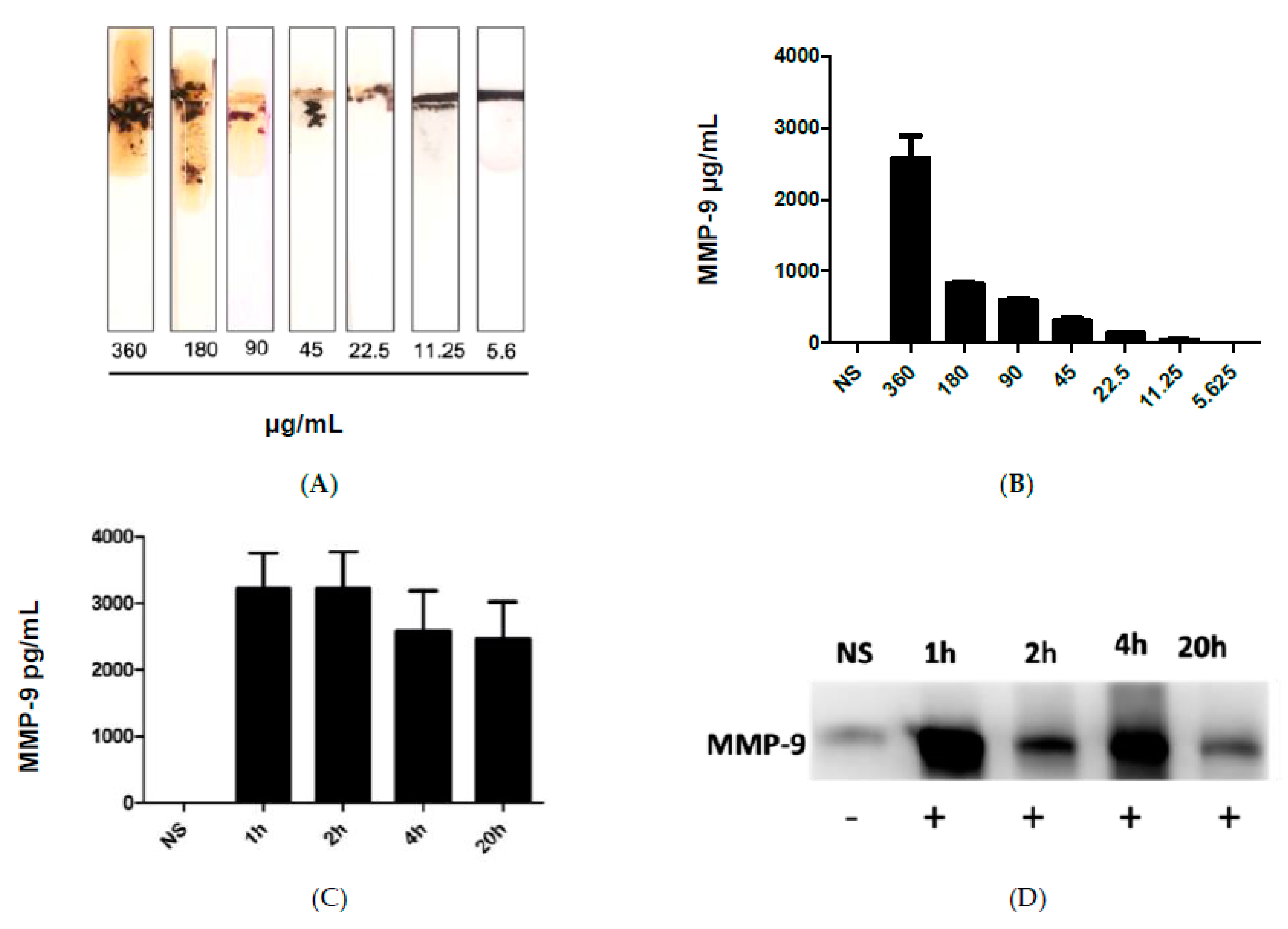
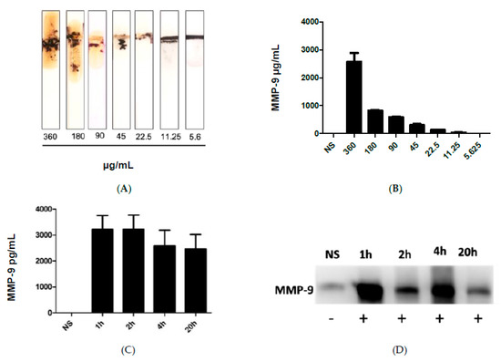
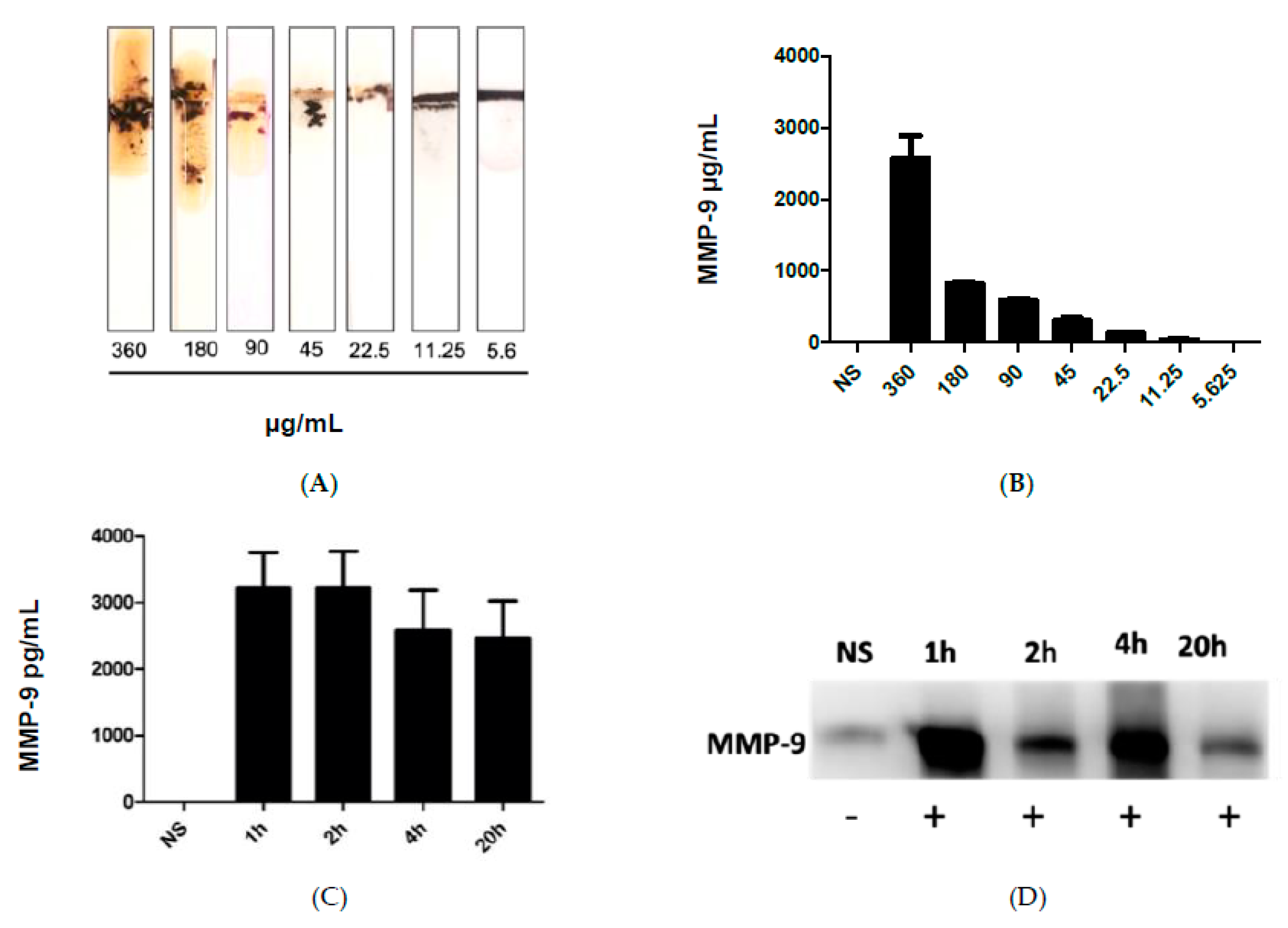
3.2. Detection of MMP-9 in Infected Mice Using the Magnetic Nanobeads Peptide Paper-Based Platform
4. Conclusions
Author Contributions
Funding
Institutional Review Board Statement
Informed Consent Statement
Data Availability Statement
Acknowledgments
Conflicts of Interest
References
- Bone, R.C. Why New Definitions of Sepsis and Organ Failure Are Needed. Am. J. Med. 1993, 95, 348–350. [Google Scholar] [CrossRef] [PubMed]
- Arabi, Y.; Sadat, M.; Tamim, H.; Sohail, M.; Abdukahil, S.A.; AlDorzi, H.; AlQahtani, S.; Tlayjeh, H.; Alenezi, F.; Dabbagh, T. 1608: Outcomes of Icu Patients with Sepsis and Septic Shock in Saudi Arabia over a 16-Year Period. Crit. Care Med. 2020, 48, 780. [Google Scholar] [CrossRef]
- Fleischmann, C.; Scherag, A.; Adhikari, N.K.; Hartog, C.S.; Tsaganos, T.; Schlattmann, P.; Angus, D.; Reinhart, K. Assessment of global incidence and mortality of hospital-treated sepsis. Current estimates and limitations. Am. J. Respir. Crit. Care Med. 2016, 193, 259–272. [Google Scholar] [CrossRef] [PubMed]
- Ware, L.B.; Eisner, M.D.; Thompson, B.T.; Parsons, P.E.; Matthay, M.A. Significance of Von Willebrand Factor in Septic and Nonseptic Patients with Acute Lung Injury. Am. J. Respir. Crit. Care Med. 2004, 170, 766–772. [Google Scholar] [CrossRef]
- Singer, M.; Deutschman, C.S.; Seymour, C.W.; Shankar-Hari, M.; Annane, D.; Bauer, M.; Bellomo, R.; Bernard, G.R.; Chiche, J.-D.; Coopersmith, C.M.; et al. The Third International Consensus Definitions for Sepsis and Septic Shock (Sepsis-3). JAMA 2016, 315, 801–810. [Google Scholar] [CrossRef]
- Boomer, J.S.; Green, J.M.; Hotchkiss, R.S. The Changing Immune System in Sepsis: Is Individualized Immuno-Modulatory Therapy the Answer? Virulence 2014, 5, 45–56. [Google Scholar] [CrossRef]
- Fein, A.M.; Calalang-Colucci, M.G. Acute Lung Injury and Acute Respiratory Distress Syndrome in Sepsis and Septic Shock. Crit. Care Clin. 2000, 16, 289–317. [Google Scholar] [CrossRef]
- Jones, A.E.; Trzeciak, S.; Kline, J.A. The Sequential Organ Failure Assessment Score for Predicting Outcome in Patients with severe Sepsis and Evidence of Hypoperfusion at the Time of Emergency Department Presentation. Crit. Care Med. 2009, 37, 1649–1654. [Google Scholar] [CrossRef]
- Galliera, E.; Tacchini, L.; Corsi Romanelli, M.M. Matrix metalloproteinases as biomarkers of disease: Updates and new insights. Clin. Chem. Lab. Med. 2015, 53, 349–355. [Google Scholar] [CrossRef] [PubMed]
- Tong, Y.; Yu, Z.; Chen, Z.; Zhang, R.; Ding, X.; Yang, X.; Niu, X.; Li, M.; Zhang, L.; Billiar, T.R.; et al. The HIV Protease Inhibitor Saquinavir Attenuates Sepsis-Induced Acute Lung Injury and Promotes M2 Macrophage Polarization via Targeting Matrix Metalloproteinase-9. Cell Death Dis. 2021, 12, 67. [Google Scholar] [CrossRef]
- Parsons, S.L.; Watson, S.A.; Brown, P.D.; Collins, H.M.; Steele, R.J.C. Matrix Metalloproteinases. Br. J. Surg. 1997, 84, 160–166. [Google Scholar] [PubMed]
- Bastian, L.; Amelia, P.; Viandy, V. Correlation of Matrix Metalloproteinase-9 and Tissue Inhibitor Matrix Metalloproteinase-1 on Lactate Concentration in Sepsis Patients Admitted to Intensive Care Unit. Open Access Maced. J. Med. Sci. 2022, 10, 1286–1288. [Google Scholar]
- Goetzl, E.J.; Banda, M.J.; Leppert, D. Matrix Metalloproteinases in Immunity. J. Immunol. 1996, 156, 1–4. [Google Scholar] [CrossRef]
- Song, J.; Wu, C.; Korpos, E.; Zhang, X.; Agrawal, S.M.; Wang, Y.; Faber, C.; Schäfers, M.; Körner, H.; Opdenakker, G.; et al. Focal MMP-2 and MMP-9 Activity at the Blood-Brain Barrier Promotes Chemokine-Induced Leukocyte Migration. Cell Rep. 2015, 10, 1040–1054. [Google Scholar] [CrossRef]
- Hannocks, M.-J.; Zhang, X.; Gerwien, H.; Chashchina, A.; Burmeister, M.; Korpos, E.; Song, J.; Sorokin, L. The gelatinases, MMP-2 and MMP-9, as Fine Tuners of Neuroinflammatory Processes. Matrix Biol. 2019, 75–76, 102–113. [Google Scholar] [CrossRef] [PubMed]
- Rakita, A.; Nikolić, N.; Mildner, M.; Matiasek, J.; Elbe-Bürger, A. Re-Epithelialization and Immune Cell Behaviour in An Ex Vivo Human Skin Model. Sci. Rep. 2020, 10, 1. [Google Scholar] [CrossRef]
- Lubis, B.; Lelo, A.; Amelia, P.; Prima, A. The Effect of Thiamine, Ascorbic Acid, and the Combination of Them on the Levels of Matrix Metalloproteinase-9 (MMP-9) and Tissue Inhibitor of Matrix Metalloproteinase-1 (TIMP-1) in Sepsis Patients. Infect. Drug Resist. 2022, 15, 5741–5751. [Google Scholar] [CrossRef] [PubMed]
- Chang, J.; Zhang, W. Remifentanil Modulates the TLR4-Mediated MMP-9/TIMP1 Balance and NF-κB/STAT3 Signaling in LPS-Induced A549 cells. Exp. Ther. Med. 2023, 25, 79. [Google Scholar] [CrossRef]
- Zhang, H.; Mao, Y.F.; Zhao, Y.; Xu, D.F.; Wang, Y.; Xu, C.F.; Dong, W.; Zhu, X.; Ding, N.; Jiang, L. Upregulation of Matrix Metalloproteinase-9 Protects against Sepsis-Induced Acute Lung Injury via Promoting the Release of Soluble Receptor for Advanced Glycation end Products. Oxidative Med. Cell. Longev. 2021, 2021, 8889313. [Google Scholar] [CrossRef]
- Kong, M.Y.F.; Li, Y.; Oster, R.; Gaggar, A.; Clancy, J.P. Early Elevation of Matrix Metalloproteinase-8 and -9 in Pediatric ARDS Is Associated with an Increased Risk of Prolonged Mechanical Ventilation. PLoS ONE 2011, 6, e22596. [Google Scholar] [CrossRef]
- Ueland, T.; Holter, J.; Holten, A.; Müller, K.; Lind, A.; Bekken, G.; Dudman, S.; Aukrust, P.; Dyrhol-Riise, A.; Heggelund, L. Distinct and Early Increase in Circulating MMP-9 in COVID-19 Patients with Respiratory Failure. J. Infect. 2020, 81, e41–e43. [Google Scholar] [CrossRef]
- Surówka, A.; Szumilas, K.; Wilk, A.; Misiakiewicz-Has, K.; Ciechanowski, K.; Kędzierska-Kapuza, K. The Effect of Chronic Immunosuppressive Regimens Treatment on Aortal Media Morphology and the Balance between Matrix Metalloproteinases (mmp-2 and mmp-9) and Their Inhibitors in the Abdominal Aorta of Rats. Int. J. Environ. Res. Public Health 2022, 19, 6399. [Google Scholar] [CrossRef] [PubMed]
- Bermúdez-Mejía, C.; Torres-Cordón, M.F.; Becerra-Bayona, S.; Páez, C.M.; Vargas, C.I.; Cárdenas, M.E.; Serrano, S.E.; Baquero, I.; Martínez-Vega, R.; Schulz, R.; et al. Prognostic Value of MMP-9 -1562 C/T Gene Polymorphism in Patients with Sepsis. Biomark. Insights 2019, 14, 1177271919847951. [Google Scholar] [CrossRef]
- Jordakieva, G.; Budge-Wolfram, R.M.; Budinsky, A.C.; Nikfardjam, M.; Delle-Karth, G.; Girard, A.; Godnic-Cvar, J.; Crevenna, R.; Heinz, G. Plasma MMP-9 and TIMP-1 Levels on ICU Admission are Associated with 30-Day Survival. Wien. Klin. Wochenschr. 2021, 133, 86–95. [Google Scholar] [CrossRef]
- Sachwani, G.R.; Jaehne, A.K.; Jayaprakash, N.; Kuzich, M.; Onkoba, V.; Blyden, D.; Rivers, E.P. The Association between Blood Glucose Levels and Matrix-Metalloproteinase-9 in Early Severe Sepsis and Septic Shock. J. Inflamm. 2016, 13, 13. [Google Scholar] [CrossRef] [PubMed]
- Wang, M.; Zhang, Q.; Zhao, X.; Dong, G.; Li, C. Diagnostic and Prognostic Value of Neutrophil Gelatinase-Associated Lipocalin, Matrix Metalloproteinase-9, and Tissue Inhibitor of Matrix Metalloproteinases-1 for Sepsis in the Emergency Department: An Observational Study. Crit. Care 2014, 18, 634. [Google Scholar] [CrossRef] [PubMed]
- Eissa, S.; Zourob, M. A dual electrochemical/colorimetric magnetic nanoparticle/peptide-based platform for the detection of Staphylococcus aureus. Analyst 2020, 145, 4606–4614. [Google Scholar] [CrossRef]
- Eissa, S.; Almthen, R.A.; Zourob, M. Disposable electrochemical immunosensor array for the multiplexed detection of the drug metabolites morphine, tetrahydrocannabinol and benzoylecgonine. Microchim. Acta 2019, 186, 523. [Google Scholar] [CrossRef]
- Almusharraf, A.Y.; Eissa, S.; Zourob, M. Truncated aptamers for total and glycated hemoglobin, and their integration into a graphene oxide-based fluorometric method for high-throughput screening for diabetes. Microchim. Acta 2018, 185, 256. [Google Scholar] [CrossRef]
- Jundi, B.; Ryu, H.; Lee, D.H.; Abdulnour, R.E.E.; Engstrom, B.D.; Duvall, M.G.; Higuera, A.; Pinilla-Vera, M.; Benson, M.; Lee, J. Leukocyte Function Assessed via Serial Microlitre Sampling of Peripheral Blood from Sepsis Patients Correlates with Disease Severity. Nat. Biomed. Eng. 2019, 3, 961–973. [Google Scholar] [CrossRef]
- Yarbakht, M.; Pradhan, P.; Kose-Vogel, N.; Bae, H.; Stengel, S.; Meyer, T.; Schmitt, M.; Stallmach, A.; Popp, J.; Bruns, T. Nonlinear Multimodal Imaging Characteristics of Early Septic Liver Injury in a Mouse Model of Peritonitis. Anal. Chem. 2019, 91, 11116–11121. [Google Scholar] [CrossRef] [PubMed]
- Crapnell, R.D.; Jesadabundit, W.; García-Miranda Ferrari, A.; Dempsey-Hibbert, N.C.; Peeters, M.; Tridente, A.; Chailapakul, O.; Banks, C.E. Toward the Rapid Diagnosis of Sepsis: Detecting Interleukin-6 in Blood Plasma Using Functionalized Screen-printed Electrodes with a Thermal Detection Methodology. Anal. Chem. 2021, 93, 5931–5938. [Google Scholar] [CrossRef] [PubMed]
- Alhogail, S.; Chinnappan, R.; Alrifai, M.; Suaifan, G.A.R.Y.; Bikker, F.J.; Kaman, W.E.; Weber, K.; Cialla-May, D.; Popp, J.; Alfageeh, M.B.; et al. Simple and Rapid Peptide Nanoprobe Biosensor for the Detection of Legionellaceae. Analyst 2021, 146, 3568–3577. [Google Scholar] [CrossRef]
- Wignarajah, S.; Suaifan, G.A.; Bizzarro, S.; Bikker, F.J.; Kaman, W.E.; Zourob, M. Colorimetric Assay for the Detection of Typical Biomarkers for Periodontitis Using a Magnetic Nanoparticle Biosensor. Anal. Chem. 2015, 87, 12161–12168. [Google Scholar] [CrossRef]
- Barlow, R.S.; Gobius, K.S. Diverse Class 2 Integrons in Bacteria from Beef Cattle Sources. J. Antimicrob. Chemother. 2006, 58, 1133–1138. [Google Scholar] [CrossRef]
- Hau, T.; Ahrenholz, D.H.; Simmons, R.L. Secondary Bacterial Peritonitis: The Biologic Basis of Treatment. Curr. Probl. Surg. 1979, 16, 1–65. [Google Scholar] [CrossRef]
- Nakatani, T.; Sato, T.; Trump, B.F.; Siegel, J.H.; Kobayashi, K. Manipulation of the Size and Clone of an Intra-Abdominal Abscess in Rats. Res. Exp. Med. 1996, 196, 117–126. [Google Scholar] [CrossRef]
- Nemzek, J.A.; Hugunin, K.; Opp, M.R. Modeling Sepsis in the Laboratory: Merging Sound Science with Animal Well-Being. Comp. Med. 2008, 58, 120–128. [Google Scholar]
- Wichterman, K.A.; Baue, A.E.; Chaudry, I.H. Sepsis and Septic Shock—A Review of Laboratory Models and a Proposal. J. Surg. Res. 1980, 29, 189–201. [Google Scholar] [CrossRef]
- Hack, C.E.; De Groot, E.R.; Felt-Bersma, R.J.; Nuijens, J.H.; Strack Van Schijndel, R.J.; Eerenberg-Belmer, A.J.; Thijs, L.; Aarden, L.A. Increased Plasma Levels of Interleukin-6 in Sepsis [See Comments]. Blood 1989, 74, 1704–1710. [Google Scholar] [CrossRef]
- Marie, C.; Cavaillon, J.M.; Losser, M.R. Elevated Levels of Circulating Transforming Growth Factor-β 1 in Patients with the Sepsis Syndrome. Ann. Intern. Med. 1996, 125, 520–521. [Google Scholar] [CrossRef] [PubMed]
- Shrum, B.; Anantha, R.V.; Xu, S.X.; Donnelly, M.; Haeryfar, S.M.; McCormick, J.K.; Mele, T. A Robust Scoring System to Evaluate Sepsis Severity in an Animal Model. BMC Res. Notes 2014, 7, 233. [Google Scholar] [CrossRef] [PubMed]
- Kumar, S.; Tripathy, S.; Jyoti, A.; Singh, S.G. Recent Advances in Biosensors for Diagnosis and Detection of Sepsis: A Comprehensive Review. Biosens. Bioelectron. 2019, 124, 205–215. [Google Scholar] [CrossRef] [PubMed]





Disclaimer/Publisher’s Note: The statements, opinions and data contained in all publications are solely those of the individual author(s) and contributor(s) and not of MDPI and/or the editor(s). MDPI and/or the editor(s) disclaim responsibility for any injury to people or property resulting from any ideas, methods, instructions or products referred to in the content. |
© 2023 by the authors. Licensee MDPI, Basel, Switzerland. This article is an open access article distributed under the terms and conditions of the Creative Commons Attribution (CC BY) license (https://creativecommons.org/licenses/by/4.0/).
Share and Cite
Alekhmimi, N.K.; Raddadi, Z.; Alabdulwahed, A.A.; Eissa, S.; Cialla-May, D.; Popp, J.; Al-Kattan, K.; Zourob, M. Paper-Based Biosensor for the Detection of Sepsis Using MMP-9 Biomarker in FIP Mice Model. Biosensors 2023, 13, 804. https://doi.org/10.3390/bios13080804
Alekhmimi NK, Raddadi Z, Alabdulwahed AA, Eissa S, Cialla-May D, Popp J, Al-Kattan K, Zourob M. Paper-Based Biosensor for the Detection of Sepsis Using MMP-9 Biomarker in FIP Mice Model. Biosensors. 2023; 13(8):804. https://doi.org/10.3390/bios13080804
Chicago/Turabian StyleAlekhmimi, Nuha Khalid, Zeyad Raddadi, Abdulelah A. Alabdulwahed, Shimaa Eissa, Dana Cialla-May, Jürgen Popp, Khaled Al-Kattan, and Mohammed Zourob. 2023. "Paper-Based Biosensor for the Detection of Sepsis Using MMP-9 Biomarker in FIP Mice Model" Biosensors 13, no. 8: 804. https://doi.org/10.3390/bios13080804
APA StyleAlekhmimi, N. K., Raddadi, Z., Alabdulwahed, A. A., Eissa, S., Cialla-May, D., Popp, J., Al-Kattan, K., & Zourob, M. (2023). Paper-Based Biosensor for the Detection of Sepsis Using MMP-9 Biomarker in FIP Mice Model. Biosensors, 13(8), 804. https://doi.org/10.3390/bios13080804

