Secretory Nanoparticles of Neospora caninum Profilin-Fused with the Transmembrane Domain of GP64 from Silkworm Hemolymph
Abstract
:1. Introduction
2. Materials and Methods
2.1. Construction of the Recombinant BmNPV Bacmid Containing NcPROF Constructs
2.2. Expression of Recombinant NcPROF in Silkworm Larvae and Bm5 Cells
2.3. Purification of bx-PA-NcPROF-GP64TM from Silkworm Larvae
2.4. Ultracentrifugation Analysis of bx-PA-NcPROF-GP64TM, bx-PA-NcPROF, and PA-NcPROF
2.5. Transmission Electron Microscopy Observation of bx-PA-NcPROF-GP64TM
2.6. Sodium Dodecyl Sulfate-Polyacrylamide Gel Electrophoresis (SDS-PAGE) and Western Blotting
2.7. Binding Assay of bx-PA-NcPROF-GP64TM with Mouse TLR11
3. Results and Discussion
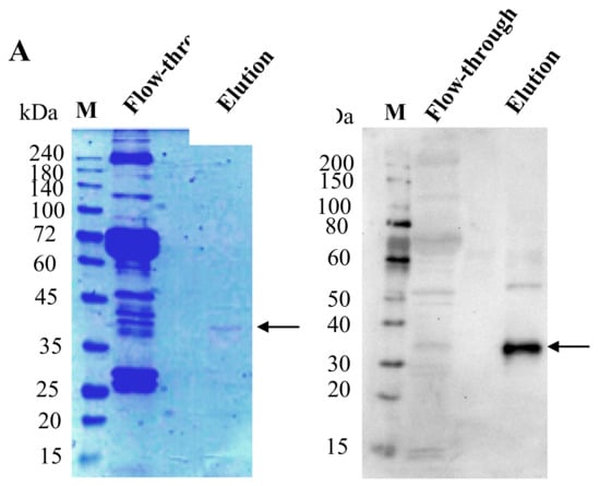
3.1. Expression of bx-PA-NcPROF-GP64TM, bx-PA-NcPROF, and PA-NcPROF in Silkworms
3.2. Binding Assay of bx-NcPROF-GP64TM with mTLR11
3.3. Morphology of bx-PA-NcPROF-GP64TM Nanoparticles
4. Conclusions
Supplementary Materials
Author Contributions
Funding
Acknowledgments
Conflicts of Interest
Abbreviations
| BmNPV | Bombyx mori nucleopolyhedrovirus |
| bx | Bombyxin signal peptide from Bombyx mori |
| PA | Peptide tag (GVAMPGAEDDVV) |
| bx-PA-NcPROF | PA-NCPROF fused with bx |
| bx-PA-NcPROF-GP64TM | bx-PA-NcPROF with additional C-terminal GP64TM |
| GP64TM | C-terminal transmembrane and cytoplasmic domains of GP64 from BmNPV |
| mTLR11 | Recombinant mouse TLR11 |
| NcPROF | Neospora caninum profilin |
| PA-NcPROF | N-terminal PA tag with N. caninum profilin |
| TLR11 | Toll-like receptor 11 |
References
- Buxton, D.; McAllister, M.M.; Dubey, J.P. The comparative pathogenesis of neosporosis. Trends Parasitol. 2002, 18, 546–552. [Google Scholar] [CrossRef] [PubMed]
- Dubey, J.P.; Schares, G.; Ortega-Mora, L.M. Epidemiology and control of neosporosis and Neospora caninum. Clin. Microbiol. Rev. 2007, 20, 323–367. [Google Scholar] [CrossRef] [PubMed]
- Dubey, J.P.; Schares, G. Neosporosis in animals-the last five years. Vet. Parasitol. 2011, 180, 90–108. [Google Scholar] [CrossRef]
- Innes, E.A.; Andrianarivo, A.G.; Björkman, C.; Williams, D.J.L.; Conrad, P.A. Immune responses to Neospora caninum and prospects for vaccination. Trends Parasitol. 2002, 18, 497–504. [Google Scholar] [CrossRef]
- Donahoe, S.L.; Lindsay, S.A.; Krockenberger, M.; Phalen, D.; Šlapeta, J. A review of neosporosis and pathologic findings of Neospora caninum infection in wildlife. Int. J. Parasitol. Parasit. Wildl. 2015, 4, 216–238. [Google Scholar] [CrossRef] [PubMed]
- Reichel, M.P.; Ellis, J.T. Neospora caninum-How close are we to development of an efficacious vaccine that prevents abortion in cattle? Int. J. Parasitol. 2009, 39, 1173–1187. [Google Scholar] [CrossRef] [PubMed]
- Jin, C.; Yu, L.; Wang, Y.; Hu, S.; Zhang, S. Evaluation of Neospora caninum truncated dense granule protein 2 for serodiagnosis by enzyme-linked immunosorbent assay in dogs. Exp. Parasitol. 2015, 157, 88–91. [Google Scholar] [CrossRef]
- Lv, Q.; Xing, S.; Gong, P.; Chang, L.; Bian, Z.; Wang, L.; Zhang, X.; Li, J. A 78 kDa host cell invasion protein of Neospora caninum as a potential vaccine candidate. Exp. Parasitol. 2015, 148, 56–65. [Google Scholar] [CrossRef] [PubMed]
- Kato, T.; Otsuki, T.; Yoshimoto, M.; Itagaki, K.; Kohsaka, T.; Matsumoto, Y.; Ike, K.; Park, E.Y. Bombyx mori nucleopolyhedrovirus displaying Neospora caninum antigens as a vaccine candidate against N. caninum infection in mice. Mol. Biotechnol. 2015, 57, 145–154. [Google Scholar] [CrossRef] [PubMed]
- Mansilla, F.C.; Capozzo, A.V. Apicomplexan profilin in vaccine development applied to bovine neosporosis. Exp. Parasitol. 2017, 183, 64–68. [Google Scholar] [CrossRef]
- Mansilla, F.C.; Quintana, M.E.; Cardoso, N.P.; Capozzo, A.V. Fusion of foreign T-cell epitopes and addition of TLR agonists enhance immunity against Neospora caninum profilin in cattle. Parasit. Immunol. 2016, 38, 663–669. [Google Scholar] [CrossRef]
- Jenkins, M.C.; Tuo, W.; Feng, X.; Cao, L.; Murphy, C.; Fetterer, R. Neospora caninum: cloning and expression of a gene coding for cytokine-inducing profilin. Exp. Parasitol. 2010, 125, 357–362. [Google Scholar] [CrossRef]
- Mansilla, F.C.; Quintana, M.E.; Langellotti, C.; Wilda, M.; Martinez, A.; Fonzo, A.; Moore, D.P.; Cardosa, N.; Capozzo, A.V. Immunization with Neospora caninum profilin induces limited protection and a regulatory T-cell response in mice. Exp. Parasitol. 2016, 160, 1–10. [Google Scholar] [CrossRef] [PubMed]
- Innes, E.A.; Wright, S.; Bartley, P.; Maley, S.; Macaldowie, C.; Esteban-Redondo, I.; Buxton, D. The host-parasite relationship in bovine neosporosis. Vet. Immunol. Immunopathol. 2005, 108, 29–36. [Google Scholar] [CrossRef]
- Motohashi, T.; Shimojima, T.; Fukagawa, T.; Maenaka, K.; Park, E.Y. Efficient large-scale protein production of larvea and pupae of silkworm by Bombyx mori nuclear polyhedrosis virus bacmid system. Biochem. Biophys. Res. Commun. 2005, 326, 564–569. [Google Scholar] [CrossRef] [PubMed]
- Kato, T.; Sugioka, S.; Itagaki, K.; Park, E.Y. Gene transduction in mammalian cells using Bombyx mori nucleopolyhedrovirus assisted by glycoprotein 64 of Autographa californica multiple nucleopolyhedrovirus. Sci. Rep. 2016, 6, 1–9. [Google Scholar] [CrossRef] [PubMed]
- Otsuki, T.; Dong, J.; Kato, T.; Park, E.Y. Expression, purification and antigenicity of Neospora caninum-antigens using silkworm larvae targeting for subunit vaccines. Vet. Parasitol. 2013, 192, 284–287. [Google Scholar] [CrossRef] [PubMed]
- Southey, B.R.; Sweedler, J.V.; Rodriguez-Zas, S.L. Prediction of neuropeptide cleavage sites in insects. Bioinformatics 2008, 24, 815–825. [Google Scholar] [CrossRef] [PubMed]
- Oomens, A.G.P.; Wertz, G.W. The Baculovirus GP64 protein mediates highly stable infectivity of a human respiratory syncytial virus lacking its homologous transmembrane glycoproteins. J. Virol. 2004, 78, 124–135. [Google Scholar] [CrossRef]
- Plattner, F.; Yarovinsky, F.; Romero, S.; Didry, D.; Carlier, M.F.; Sher, A.; Soldati-Favre, D. Toxoplasma profilin is essential for host cell invasion and TLR11-dependent induction of an interleukin-12 response. Cell Host Microb. 2008, 3, 77–87. [Google Scholar] [CrossRef]
- Eichenberger, R.M.; Ramakrishnan, C.; Russo, G.; Deplazes, P.; Hehl, A.B. Genome-wide analysis of gene expression and protein secretion of Babesia canis during virulent infection identifies potential pathogenicity factors. Sci. Rep. 2017, 7, 3357. [Google Scholar] [CrossRef]
- Graur, D. The evolution of electrophoretic mobility of proteins. J. Theor. Biol. 1986, 118, 443–469. [Google Scholar] [CrossRef]
- Shi, Q.; Jackowski, G. One-Dimensional Polyacrylamide Gel Electrophoresis. In Gel Electrophoresis of Proteins. A Practical Approach, 3rd ed.; Hames, B.D., Ed.; Oxford University Press: New York, NY, USA, 1998; pp. 31–33. [Google Scholar]
- Abe, A.; Miyanohara, A.; Friedmann, T. Enhanced gene transfer with fusogenic liposomes containing vesicular stomitis virus G glycoproattein. J. Virol. 1998, 72, 6159–6163. [Google Scholar]
- Okimoto, T.; Friedmann, T.; Miyanohara, A. VSV-G envelope glycoprotein forms complexes with plasmid DNA and MLV retrovirus-like particles in cell free conditions and enhances DNA transfection. Mol. Ther. 2001, 4, 232–238. [Google Scholar] [CrossRef]
- Yarovinsky, F. Innate immunity to Toxoplasma gondii infection. Nat. Rev. Immunol. 2014, 14, 109–121. [Google Scholar] [CrossRef]
- Hedhli, D.; Moiré, N.; Akbar, H.; Laurent, F.; Héraut, B.; Dimier-Poisson, I.; Mévélec, M.N. The antigen-specific response to Toxoplasma gondii profilin, a TLR11/12 ligand, depends on its intrinsic adjuvant properties. Med. Microbiol. Immunol. 2016, 205, 345–352. [Google Scholar] [CrossRef]
- Hiasa, J.; Nishimura, M.; Itamoto, K.; Xuan, X.; Inokuma, H.; Nishikawa, Y. Enzyme-linked immunosorbent assays based on Neospora caninum dense granule protein 7 and profilin for estimating the stage of neosporosis. Clin. Vaccine Immunol. 2012, 19, 411–417. [Google Scholar] [CrossRef]
- Kuate, S.; Cinatl, J.; Doerr, H.W.; Uberla, K. Exosomal vaccines containing the S protein of the SARS coronavirus induce high levels of neutralizing antibodies. Virology 2007, 362, 26–37. [Google Scholar] [CrossRef]
- Spehner, D.; Drillien, R. Extracellular vesicles containing virus-encoded membrane protein are a byproduct of infection with modified vaccinia virus Ankara. Virus Res. 2008, 137, 129–136. [Google Scholar] [CrossRef]
- Guibinga, G.H.; Song, S.; Loring, J.; Friedmann, T. Characterization of the gene delivery properties of boculoviral-based virosomal vectors. J. Virol. Methods 2008, 148, 277–282. [Google Scholar] [CrossRef]
- Gause, K.T.; Wheatley, A.K.; Cui, J.; Tan, Y.; Kent, S.J.; Caruso, F. Immunological principles guiding the rational design of particles for vaccine delivery. ACS Nano 2017, 11, 54–68. [Google Scholar] [CrossRef]
- Koudelka, K.J.; Pitek, A.S.; Manchester, M.; Steinmetz, N.F. Virus-based nanoparticles as versatile nanomachines. Annu. Rev. Virol. 2015, 2, 379–401. [Google Scholar] [CrossRef]
- Yan, D.; Wei, Y.Q.; Guo, H.C.; Sun, S.Q. The application of virus-like particles as vaccines and biological vehicles. Appl. Microbiol. Biotechnol. 2015, 99, 10415–10432. [Google Scholar] [CrossRef]






| Name | 5′ to 3′ |
|---|---|
| pFastBac1 | |
| Forward | 5′-TATTCCGGATTATTCATACC-3′ |
| Reverse | 5′-ACAAATGTGGTATGGCTGATT-3′ |
| NcPROF | |
| Forward | 5′-GGACACAATCGGAGAGGACG-3′ |
| Reverse | 5′-GTGCACACATGGTGATGTCG-3′ |
| pUC/M13 | |
| Forward | 5′-CCCAGTCACGACGTTGTAAAACG-3′ |
| Reverse | 5′-AGCGGATAACAATTTCACACAGG-3′ |
| PA-NcPROF | |
| Forward | 5′-GGCGTTGCCATGCCAGGTGC-3′ |
| Reverse | 5′-CATGAATTCCGCGCGCTTCG-3′ |
| Bx-PA-NcPROF | |
| Forward | 5′-GCGCGGAATTCATGAAGATACTCCTTGCT-3′ |
| Reverse | 5′-GCATGCCTCGAGTTAATAGCCAGACTGGTGAAGGTACTCG-3′ |
© 2019 by the authors. Licensee MDPI, Basel, Switzerland. This article is an open access article distributed under the terms and conditions of the Creative Commons Attribution (CC BY) license (http://creativecommons.org/licenses/by/4.0/).
Share and Cite
Suhaimi, H.; Hiramatsu, R.; Xu, J.; Kato, T.; Park, E.Y. Secretory Nanoparticles of Neospora caninum Profilin-Fused with the Transmembrane Domain of GP64 from Silkworm Hemolymph. Nanomaterials 2019, 9, 593. https://doi.org/10.3390/nano9040593
Suhaimi H, Hiramatsu R, Xu J, Kato T, Park EY. Secretory Nanoparticles of Neospora caninum Profilin-Fused with the Transmembrane Domain of GP64 from Silkworm Hemolymph. Nanomaterials. 2019; 9(4):593. https://doi.org/10.3390/nano9040593
Chicago/Turabian StyleSuhaimi, Hamizah, Rikito Hiramatsu, Jian Xu, Tatsuya Kato, and Enoch Y. Park. 2019. "Secretory Nanoparticles of Neospora caninum Profilin-Fused with the Transmembrane Domain of GP64 from Silkworm Hemolymph" Nanomaterials 9, no. 4: 593. https://doi.org/10.3390/nano9040593
APA StyleSuhaimi, H., Hiramatsu, R., Xu, J., Kato, T., & Park, E. Y. (2019). Secretory Nanoparticles of Neospora caninum Profilin-Fused with the Transmembrane Domain of GP64 from Silkworm Hemolymph. Nanomaterials, 9(4), 593. https://doi.org/10.3390/nano9040593

