Advances in the Formulation and Assembly of Non-Cationic Lipid Nanoparticles for the Medical Application of Gene Therapeutics
Abstract
1. Introduction
2. Materials and Methods
2.1. PLP Assembly via Ethanol Injection Technique
2.1.1. Liposome Constituents
2.1.2. Liposome Assembly
2.2. CPP Modification via R8 Amphiphile Incorporation
2.2.1. R8-PEG synthesis
2.2.2. PLP Modification with R8-PEG or STR-R8
Modification via Pre-Insertion
Modification via Post-Insertion
Modification via Post-Conjugation
2.3. Liposome Characterization Studies
2.3.1. Size, Homogeneity and Charge Characterization
2.3.2. Quantitative siRNA Encapsulation Efficiency (EE%)
2.3.3. Gel Electrophoresis
Gel Exclusion Assay
Heparin Displacement Assay
RNase Stability Assay
2.3.4. Morphological Analysis by Scanning Transmission Electron Microscopy (STEM)
2.4. Vascular Smooth Muscle Cell Culture
2.5. Cell Association Studies
2.6. Cytotoxicity Analysis
2.7. Statistical Analysis
3. Results
3.1. Incorporation of R8-PEG via Pre-Insertion, Post-Insertion and Post-Conjugation Resulted in Significant siRNA Leakage and Reduced Total siRNA Retention when Compared to Unmodified PLP Controls
3.2. Incorporation of STR-R8 via Pre-Insertion Resulted in Significantly Enhanced siRNA Encapsulation and Retention above All Other R8-Modified Plps and PLP Controls
3.3. Ca2+-Mediated Etoh Injection of R8-Plps Resulted in Homogenous Liposome Samples between 50–60 nm with Increased siRNA Retention and EE%
3.4. Increasing Lipid:siRNA (Wt-To-Wt) Ratios Enhanced R8-PLP siRNA EE%
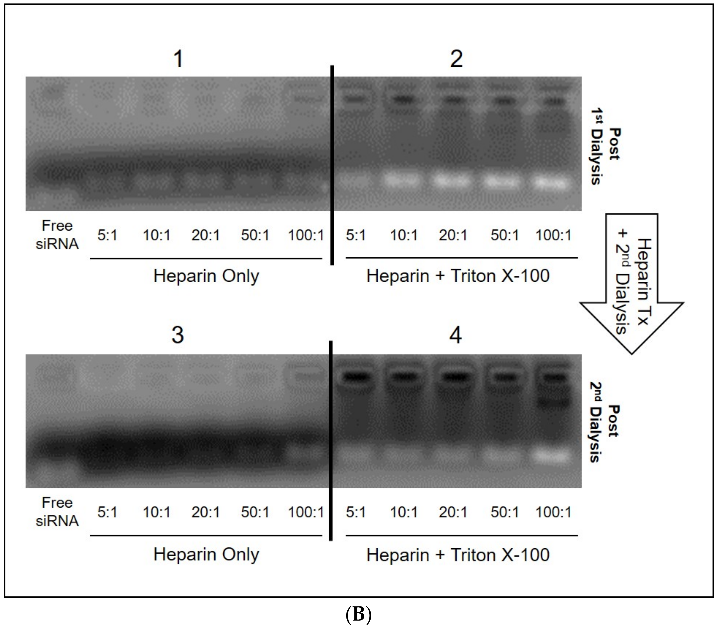
3.5. Partial Heparin Displacement Indicated siRNA Complexation to R8-PLP Surface in Addition to R8-PLP Entrapment within
3.6. R8-PLP Nanoparticles Sufficiently Protected Encapsulated and Complexed siRNA against RNase A Degradation.
3.7. Slower Injection Rates during R8-PLP Assembly Resulted in Increased Sample Homogeneity but Showed No Correlation to EE%
3.8. R8-PLP Nanoparticle Assembly, at The Specifications Empirically Defined Herein, Is an Efficient Method to Produce Uniform, Unilamellar R8-Modified Liposomes
3.9. R8-PLP Nanoparticles Demonstrated Enhanced Cell Association In Vitro
3.10. R8-PLP Nanoparticles Demonstrated Negligible Cytotoxoic Effects across Lipid Conentration Ranges Appropriate for siRNA Delivery
4. Discussion
5. Conclusions
Author Contributions
Funding
Data Availability Statement
Conflicts of Interest
References
- Guan, S.; Rosenecker, J. Nanotechnologies in delivery of mRNA therapeutics using nonviral vector-based delivery systems. Gene Ther. 2017, 24, 133–143. [Google Scholar] [CrossRef]
- Zylberberg, C.; Gaskill, K.; Pasley, S.; Matosevic, S. Engineering liposomal nanoparticles for targeted gene therapy. Gene Ther. 2017, 24, 441–452. [Google Scholar] [CrossRef] [PubMed]
- Li, S.D.; Huang, L. Stealth nanoparticles: High density but sheddable PEG is a key for tumor targeting. J. Control. Release 2010, 145, 178–181. [Google Scholar] [CrossRef] [PubMed]
- Gabizon, A.; Shmeeda, H.; Barenholz, Y. Pharmacokinetics of pegylated liposomal Doxorubicin: Review of animal and human studies. Clin. Pharmacokinet. 2003, 42, 419–436. [Google Scholar] [CrossRef]
- Garg, T.; Goyal, A.K. Liposomes: Targeted and controlled delivery system. Drug Deliv. Lett. 2014, 4, 62–71. [Google Scholar] [CrossRef]
- Jiang, L.; Li, L.; He, X.; Yi, Q.; He, B.; Cao, J.; Pan, W.; Gu, Z. Overcoming drug-resistant lung cancer by paclitaxel loaded dual-functional liposomes with mitochondria targeting and pH-response. Biomaterials 2015, 52, 126–139. [Google Scholar] [CrossRef]
- Wasungu, L.; Hoekstra, D. Cationic lipids, lipoplexes and intracellular delivery of genes. J. Control. Release 2006, 116, 255–264. [Google Scholar] [CrossRef]
- Kedmi, R.; Ben-Arie, N.; Peer, D. The systemic toxicity of positively charged lipid nanoparticles and the role of Toll-like receptor 4 in immune activation. Biomaterials 2010, 31, 6867–6875. [Google Scholar] [CrossRef]
- Aramaki, Y.; Takano, S.; Tsuchiya, S. Cationic liposomes induce macrophage apoptosis through mitochondrial pathway. Arch. Biochem. Biophys. 2001, 392, 245–250. [Google Scholar] [CrossRef] [PubMed]
- Lonez, C.; Vandenbranden, M.; Ruysschaert, J.-M. Cationic lipids activate intracellular signaling pathways. Adv. Drug Deliv. Rev. 2012, 64, 1749–1758. [Google Scholar] [CrossRef] [PubMed]
- Sercombe, L.; Veerati, T.; Moheimani, F.; Wu, S.Y.; Sood, A.K.; Hua, S. Advances and Challenges of Liposome Assisted Drug Delivery. Front. Pharmacol. 2015, 6, 286. [Google Scholar] [CrossRef] [PubMed]
- Antipina, A.Y.; Gurtovenko, A.A. Molecular mechanism of calcium-induced adsorption of DNA on zwitterionic phospholipid membranes. J. Phys. Chem. B 2015, 119, 6638–6645. [Google Scholar] [CrossRef] [PubMed]
- Hatakeyama, H.; Akita, H.; Harashima, H. The Polyethyleneglycol Dilemma: Advantage and disadvantage of PEGylation of liposomes for systemic genes and nucleic acids delivery to tumors. Biol. Pharm. Bull. 2013, 36, 892–899. [Google Scholar] [CrossRef] [PubMed]
- Hatakeyama, H.; Akita, H.; Harashima, H. A multifunctional envelope type nano device (MEND) for gene delivery to tumours based on the EPR effect: A strategy for overcoming the PEG dilemma. Adv. Drug Deliv. Rev. 2011, 63, 152–160. [Google Scholar] [CrossRef]
- Koren, E.; Torchilin, V.P. Cell-penetrating peptides: Breaking through to the other side. Trends Mol. Med. 2012, 18, 385–393. [Google Scholar] [CrossRef] [PubMed]
- Yang, S.-T.; Zaitseva, E.; Chernomordik, L.V.; Melikov, K. Cell-penetrating peptide induces leaky fusion of liposomes containing late endosome-specific anionic lipid. Biophys. J. 2010, 99, 2525–2533. [Google Scholar] [CrossRef] [PubMed]
- Schmidt, N.; Mishra, A.; Lai, G.H.; Wong, G.C. Arginine-rich cell-penetrating peptides. FEBS Lett. 2010, 584, 1806–1813. [Google Scholar] [CrossRef]
- Somiya, M.; Yamaguchi, K.; Liu, Q.; Niimi, T.; Maturana, A.D.; Iijima, M.; Yoshimoto, N.; Kuroda, S. One-step scalable preparation method for non-cationic liposomes with high siRNA content. Int. J. Pharm. 2015, 490, 316–323. [Google Scholar] [CrossRef]
- Manova, R.; Van Beek, T.A.; Zuilhof, H. Surface functionalization by strain-promoted alkyne-azide click reactions. Angew. Chem. Int. Ed. 2011, 50, 5428–5430. [Google Scholar] [CrossRef]
- Chenoweth, K.; Chenoweth, D.; Iii, W.A.G. Cyclooctyne-based reagents for uncatalyzed click chemistry: A computational survey. Org. Biomol. Chem. 2009, 7, 5255–5258. [Google Scholar] [CrossRef] [PubMed]
- Best, M.D. Click chemistry and bioorthogonal reactions: Unprecedented selectivity in the labeling of biological molecules. Biochemistry 2009, 48, 6571–6584. [Google Scholar] [CrossRef] [PubMed]
- Fisher, R.K.; Mattern-Schain, S.I.; Best, M.D.; Kirkpatrick, S.S.; Freeman, M.B.; Grandas, O.H.; Mountain, D.J.H. Improving the efficacy of liposome-mediated vascular gene therapy via lipid surface modifications. J. Surg. Res. 2017, 219, 136–144. [Google Scholar] [CrossRef]
- Ozcan, G.; Ozpolat, B.; Coleman, R.L.; Sood, A.K.; Lopez-Berestein, G. Preclinical and clinical development of siRNA-based therapeutics. Adv. Drug Deliv. Rev. 2015, 87, 108–119. [Google Scholar] [CrossRef]
- Zuckerman, J.E.; Davis, M.E. Clinical experiences with systemically administered siRNA-based therapeutics in cancer. Nat. Rev. Drug Discov. 2015, 14, 843–856. [Google Scholar] [CrossRef]
- Blanco, E.; Shen, H.; Ferrari, M. Principles of nanoparticle design for overcoming biological barriers to drug delivery. Nat. Biotechnol. 2015, 33, 941–951. [Google Scholar] [CrossRef] [PubMed]
- Yin, H.; Kanasty, R.L.; Eltoukhy, A.A.; Vegas, A.J.; Dorkin, J.R.; Anderson, D.G. Non-viral vectors for gene-based therapy. Nat. Rev. Genet. 2014, 15, 541–555. [Google Scholar] [CrossRef]
- Scherman, D.; Rousseau, A.; Bigey, P.; Escriou, V. Genetic pharmacology: Progresses in siRNA delivery and therapeutic applications. Gene Ther. 2017, 24, 151–156. [Google Scholar] [CrossRef]
- Audouy, S.A.L.; De Leij, L.F.M.H.; Hoekstra, D.; Molema, G. In vivo characteristics of cationic liposomes as delivery vectors for gene therapy. Pharm. Res. 2002, 19, 1599–1605. [Google Scholar] [CrossRef] [PubMed]
- Kim, H.K.; Davaa, E.; Myung, C.S.; Park, J.S. Enhanced siRNA delivery using cationic liposomes with new polyarginine-conjugated PEG-lipid. Int. J. Pharm. 2010, 392, 141–147. [Google Scholar] [CrossRef] [PubMed]
- Kogure, K.; Moriguchi, R.; Sasaki, K.; Ueno, M.; Futaki, S.; Harashima, H. Development of a non-viral multifunctional envelope-type nano device by a novel lipid film hydration method. J. Control. Release 2004, 98, 317–323. [Google Scholar] [CrossRef]
- Lee, S.-H.; Sato, Y.; Hyodo, M.; Harashima, H. Topology of surface ligands on liposomes: Characterization based on the terms, incorporation ratio, surface anchor density, and reaction yield. Biol. Pharm. Bull. 2016, 39, 1983–1994. [Google Scholar] [CrossRef] [PubMed]
- Uster, P.S.; Allen, T.M.; Daniel, B.E.; Mendez, C.J.; Newman, M.S.; Zhu, G.Z. Insertion of poly(ethylene glycol) derivatized phospholipid into pre-formed liposomes results in prolonged in vivo circulation time. FEBS Lett. 1996, 386, 243–246. [Google Scholar] [CrossRef]
- Sułkowski, W.; Pentak, D.; Nowak, K.; Sułkowska, A. The influence of temperature, cholesterol content and pH on liposome stability. J. Mol. Struct. 2005, 744–747, 737–747. [Google Scholar] [CrossRef]
- Iden, D.L.; Allen, T.M. In vitro and in vivo comparison of immunoliposomes made by conventional coupling techniques with those made by a new post-insertion approach. Biochim. Biophys. Acta 2001, 1513, 207–216. [Google Scholar] [CrossRef]
- Moreira, J.N.; Ishida, T.; Gaspar, R.; Allen, T.M. Use of the post-insertion technique to insert peptide ligands into pre-formed stealth liposomes with retention of binding activity and cytotoxicity. Pharm. Res. 2002, 19, 265–269. [Google Scholar] [CrossRef] [PubMed]
- Mangoni, M.; Roccatano, D.; Di Nola, A. Docking of flexible ligands to flexible receptors in solution by molecular dynamics simulation. Proteins 1999, 35, 153–162. [Google Scholar] [CrossRef]
- Nakamura, Y.; Kogure, K.; Futaki, S.; Harashima, H. Octaarginine-modified multifunctional envelope-type nano device for siRNA. J. Control. Release 2007, 119, 360–367. [Google Scholar] [CrossRef]















| Critical Quality Attribute (CQA) | Units Measured | Desired Range |
|---|---|---|
| Encapsulation Efficiency (EE%) | % total siRNA | >50% |
| Zeta Potential (ζ) | millivolts (mV) | <10 mV |
| Average Size | diameter (nm) | <100 nm |
| Polydispersity Index (PDI) | N/A | <0.2 |
| Lipid Constituent | Acronym |
|---|---|
| 1,2-dioleoyl-sn-glycero-3-phosphocholine | DOPC |
| Cholesterol | chol |
| 1,2-distearoyl-sn-glycero-3-phosphoethanolamine-N-[amino(polyethylene glycol)-2000] | DSPE-PEG |
| 1,2-distearoyl-sn-glycero-3-phosphoethanolamine-N-[dibenzocyclooctyl(polyethylene glycol)-2000] | DSPE-PEGdbco |
| 1,2-dioleoyl-sn-glycero-3-phosphoethanolamine-N-(lissamine rhodamine B sulfonyl) | Rho-PE |
| octaarginine (RRRRRRRRK(N3)-NH2) | R8 |
| Modification Conditions | Pre-Modification | Post-Modification | ||||||
|---|---|---|---|---|---|---|---|---|
| R8-Lipid Conjugate | Modification Type | Size (d.nm) | PDI | ζPotential (mV) | Size (d.nm) | PDI | ζPotential (mV) | |
| PLP | N/A | N/A | 55.84 ± 5.00 | 0.25 ± 0.04 | 9.74 ± 1.02 | 55.84 ± 5.00 | 0.25±0.04 | 9.74 ± 1.02 |
| R8-PLP | R8-PEG | Pre-insertion | N/A | N/A | N/A | 820.8 ± 375.7 | 0.52 ± 0.13 | 9.93 ± 1.44 |
| R8-PEG | Post-insertion (4 °C) | 58.32 ± 1.75 | 0.18 ± 0.012 | 10.21 ± 1.16 | 68.01 ± 5.89 | 0.217 | 10.72 ± 2.15 | |
| R8-PEG | Post-insertion (37 °C) | 61.75 ± 3.17 | 0.22 ± 0.02 | 10.70 ± 1.48 | 72.55 ± 5.45 | 0.180 | 11.92 ± 1.45 | |
| R8-PEG | Post-conjugation (4 °C) | 59.70 ± 6.14 | 0.2 1 ± 0.05 | 10.44 ± 1.44 | 176.78 ± 47.89 | 0.313 | 10.64 ± 1.27 | |
| R8-PEG | Post-conjugation(37 °C) | 55.98 ± 5.47 | 0.21 ± 0.04 | 10.58 ± 1.49 | 172.4 ± 52.1 | 0.354 | 9.11 ± 0.94 | |
| STR-R8 | Pre-insertion | N/A | N/A | N/A | 49.65 ± 1.77 | 0.22 ± 0.01 | 7.40 ± 1.90 | |
| STR-R8 | Post-insertion (4 °C) | 51.14 ± 0.97 | 0.16 ± 0.01 | 1.54 ± 6.87 | 53.74 ± 2.37 | 0.21 ± 0.02 | 13.70 ± 2.63 | |
| STR-R8 | Post-insertion (37 °C) | 49.00 ± 1.75 | 0.21 ± 0.01 | 8.54 ± 2.35 | 48.83 ± 2.00 | 0.21 ± 0.01 | 12.10 ± 0.55 | |
Publisher’s Note: MDPI stays neutral with regard to jurisdictional claims in published maps and institutional affiliations. |
© 2021 by the authors. Licensee MDPI, Basel, Switzerland. This article is an open access article distributed under the terms and conditions of the Creative Commons Attribution (CC BY) license (http://creativecommons.org/licenses/by/4.0/).
Share and Cite
Fisher, R.K., III; West, P.C.; Mattern-Schain, S.I.; Best, M.D.; Kirkpatrick, S.S.; Dieter, R.A., III; Arnold, J.D.; Buckley, M.R.; McNally, M.M.; Freeman, M.B.; et al. Advances in the Formulation and Assembly of Non-Cationic Lipid Nanoparticles for the Medical Application of Gene Therapeutics. Nanomaterials 2021, 11, 825. https://doi.org/10.3390/nano11030825
Fisher RK III, West PC, Mattern-Schain SI, Best MD, Kirkpatrick SS, Dieter RA III, Arnold JD, Buckley MR, McNally MM, Freeman MB, et al. Advances in the Formulation and Assembly of Non-Cationic Lipid Nanoparticles for the Medical Application of Gene Therapeutics. Nanomaterials. 2021; 11(3):825. https://doi.org/10.3390/nano11030825
Chicago/Turabian StyleFisher, Richard K., III, Phillip C. West, Samuel I. Mattern-Schain, Michael D. Best, Stacy S. Kirkpatrick, Raymond A. Dieter, III, Joshua D. Arnold, Michael R. Buckley, Michael M. McNally, Michael B. Freeman, and et al. 2021. "Advances in the Formulation and Assembly of Non-Cationic Lipid Nanoparticles for the Medical Application of Gene Therapeutics" Nanomaterials 11, no. 3: 825. https://doi.org/10.3390/nano11030825
APA StyleFisher, R. K., III, West, P. C., Mattern-Schain, S. I., Best, M. D., Kirkpatrick, S. S., Dieter, R. A., III, Arnold, J. D., Buckley, M. R., McNally, M. M., Freeman, M. B., Grandas, O. H., & Mountain, D. J. H. (2021). Advances in the Formulation and Assembly of Non-Cationic Lipid Nanoparticles for the Medical Application of Gene Therapeutics. Nanomaterials, 11(3), 825. https://doi.org/10.3390/nano11030825
