Comparative Analysis of Osteointegration in Hydroxyapatite and Hydroxyapatite-Titanium Implants: An In Vivo Rabbit Model Study
Abstract
1. Introduction
2. Materials and Methods
2.1. The Method of Obtaining Biocomposites
2.2. Scanning Electron Microscopy (SEM)
2.3. X-rays Diffraction
2.4. In Vitro Study
2.5. Biocompatibility Evaluation toward Cell Culture
2.5.1. Sterilization of Materials
2.5.2. Culture of Mesenchymal Stem Cells (MSCs)
2.5.3. Immunofluorescence Microscopy
2.5.4. Image Cytometric Analysis
2.6. In Vivo Study
2.6.1. Animals Used, Anesthesia, and Operative Technique
2.6.2. Experimental Design
2.6.3. Computed Tomography of the Femurs
2.6.4. Histological and Immunohistochemical Analysis
2.6.5. Histomorphometric Analysis
2.6.6. Statistical Analysis
3. Results
3.1. Scanning Electron Microscopy of the Implant Surfaces
3.2. EDS and XRD Results
3.3. Biocompatibility Evaluation
3.4. In Vivo Study
3.4.1. Computed Tomography Analysis
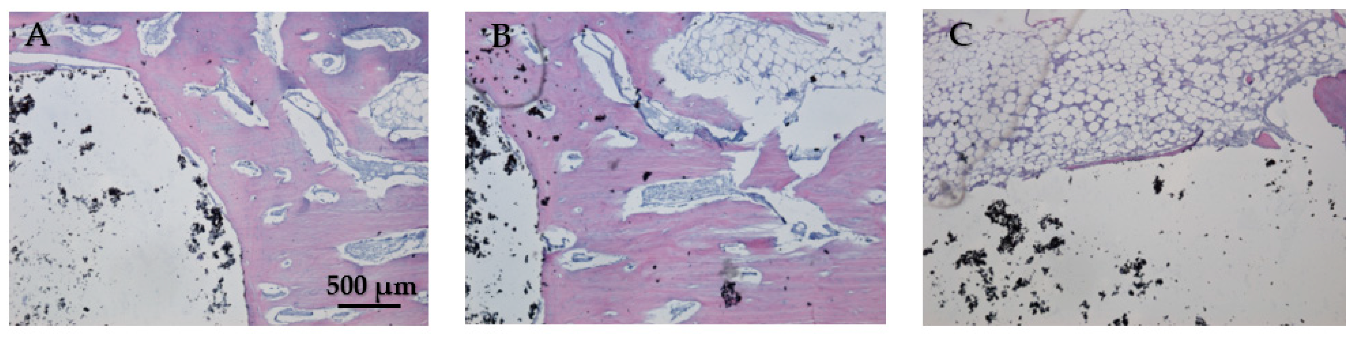
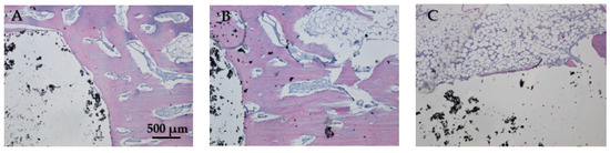
3.4.2. Histological Analysis
3.4.3. Immunohistochemical Analysis
3.4.4. Histomorphometric Analysis and Statistical Analysis
4. Discussion
5. Conclusions
Author Contributions
Funding
Institutional Review Board Statement
Informed Consent Statement
Data Availability Statement
Acknowledgments
Conflicts of Interest
References
- Sporer, S.; Paprosky, W.G.; Berry, D.J. Orthopaedic Knowledge Update 3: Hip and Knee Reconstruction; American Academy of Orthopaedic Surgeons: Rosemont, IL, USA, 2016; pp. 457–474. [Google Scholar]
- Zhang, L.; Haddouti, E.M.; Welle, K.; Burger, C.; Wirtz, D.C.; Schildberg, F.A.; Kabir, K. The effects of biomaterial implant wear debris on osteoblasts. Front. Cell Dev. Biol. 2020, 8, 352. [Google Scholar] [CrossRef] [PubMed]
- Kattimani, V.S.; Kondaka, S.; Lingamaneni, K.P. Hydroxyapatite–past, present, and future in bone regeneration. Bone Tissue Regen. Insights 2016, 7, BTRI-S36138. [Google Scholar] [CrossRef]
- Rotaru, L.T.; Varut, R.M.; Nicolaescu, O.; Bubulica, M.; Belu, I. In vitro release studies of alendronate from HA-AL composite deposited on titanium metal substrate. J. Sci. Arts 2019, 2, 443–448. [Google Scholar]
- Bai, J.; Zhang, J.; Wang, Z.; Lu, J.; Chang, J.; Liu, J.; Meng, G.; Dong, X. The effect of pore size on tissue ingrowth and neovascularization in porous bioceramics of controlled architecture in vivo. Biomed. Mater. 2011, 6, 015007. [Google Scholar]
- Hing, K.A.; Annaz, B.; Saeed, S.; Revell, P.A.; Buckland, T. Microporosity enhances bioactivity of synthetic bone graft substitutes. J. Mater. Sci. Mater. Med. 2005, 16, 467–475. [Google Scholar] [CrossRef] [PubMed]
- Liu, Y.; Lim, J.; Teoh, S.H. Review: Development of clinically relevant scaffolds for vascularised bone tissue engineering. Biotechnol. Adv. 2013, 31, 688–705. [Google Scholar] [CrossRef]
- Gingu, O.; Cojocaru, D.; Ristoscu, C.G.; Sima, G.; Teisanu, C.; Mangra, M. The influence of the foaming agent on the mechanical properties of the PM hydroxyapatite-based biocomposites processed by two-step sintering route. J. Optoelectron. Adv. Mater. 2015, 17, 1044–1049. [Google Scholar]
- Văruț, R.M. Studiul Unor Sisteme de Cedare a Medicamentului și Testarea Osteointegrării unui Biocompozit Funcționalizat cu Fructoborat de Calciu la Interfața Implant-Os. Ph.D. Thesis, Universitatea de Medicină și Farmacie din Craiova, Craiova, Romania, 2021. [Google Scholar]
- Sima, L.E.; Varut, R.M.; Gingu, O.; Sima, G.; Teisanu, C.; Neamtu, J. In vitro characterization of hydroxyapatite-based biomaterials, using mesenchymal stem cell cultures from human bone marrow. J. Sci. Arts 2020, 4, 969–976. [Google Scholar] [CrossRef]
- Hedenqvist, P.; Edner, A.; Fahlman, Å.; Jensen-Waern, M. Continuous intravenous anaesthesia with sufentanil and midazolam in medetomidine premedicated New Zealand White rabbits. BMC Vet. Res. 2013, 9, 21. [Google Scholar] [CrossRef]
- Curtin, L.I.; Grakowsky, J.A.; Suarez, M.; Thompson, A.C.; DiPirro, J.M.; Martin, L.B.E.; Kristal, M.B. Evaluation of buprenorphine in a postoperative pain model in rats. Comp. Med. 2009, 59, 60–71. [Google Scholar]
- Varut, R.M.; Gîrd, C.E.; Rotaru, L.T.; Varut, M.C.; Pisoschi, C.G. Evaluation of polyphenol and flavonoid profiles and the antioxidant effect of Carduus acanthoides hydroalcoholic extract compared with Vaccinium myrtillus in an animal model of diabetes mellitus. Pharm. Chem. J. 2018, 51, 1088–1095. [Google Scholar] [CrossRef]
- Mogoantă, L.; Georgescu, C.V.; Popescu, C.F. Ghid de Tehnici de Histologie, Citologie și Imunohistochimie; Editura Medicală Universitară: Craiova, Romania, 2003; pp. 50–75. [Google Scholar]
- Haragus, H.; Prejbeanu, R.; Patrascu, J. Cross-cultural adaptation and validation of the Romanian Oxford Shoulder Score. Medicine 2018, 97, e10926. [Google Scholar] [CrossRef] [PubMed]
- Sun, P.; Shi, A.; Shen, C.; Liu, Y.; Wu, G.; Feng, J. Human salivary histatin-1 (Hst1) promotes bone morphogenetic protein 2 (BMP2)-induced osteogenesis and angiogenesis. FEBS Open Bio 2020, 10, 1503–1515. [Google Scholar] [CrossRef] [PubMed]
- Ding, T.; Li, J.; Zhang, X.; Du, L.; Li, Y.; Li, D.; Kong, B.; Ge, S. Super-assembled core/shell fibrous frameworks with dual growth factors for in situ cementum-ligament-bone complex regeneration. Biomater. Sci. 2020, 8, 2459–2471. [Google Scholar] [CrossRef] [PubMed]
- Mărginean, O.M.; Căpitănescu, B.; Mîndrilă, I.; Mărginean, C.M.; Melinte, P.R. Study of the correlation between newborn and fetus ages and some morphometric cervical vertebral arches indices. Rom. J. Morphol. Embryol. 2008, 49, 387–390. [Google Scholar] [PubMed]
- Pascu, C.I.; Gingu, O.; Rotaru, P.; Vida-Simiti, I.; Harabor, A.; Lupu, N. Bulk titanium for structural and biomedical applications obtained by spark plasma sintering (SPS) from titanium hydride powder. J. Therm. Anal. Calorim. 2013, 113, 849–857. [Google Scholar] [CrossRef]
- Tsou, H.-K.; Hsieh, P.-Y.; Chi, M.-H.; Chung, C.-J.; He, J.-L. Improved osteoblast compatibility of medical-grade polyether-ether-ketone using arc ion-plated rutile/anatase titanium dioxide films for spinal implants. J. Biomed. Mater. Res. A 2012, 100A, 2787–2792. [Google Scholar] [CrossRef]
- Champion, E. Sintering of calcium phosphate bioceramics. Acta Biomater. 2013, 9, 5855–5875. [Google Scholar] [CrossRef]
- Gingu, O.; Benga, G.; Olei, A.; Lupu, N.; Rotaru, P.; Tanasescu, S.; Mangra, M.; Ciupitu, I.; Pascu, I.; Sima, G. Wear behaviour of ceramic biocomposites based on hydroxyapatite nanopowders. Proc. Inst. Mech. Eng. Part E J. Process Mech. Eng. 2011, 225, 62–71. [Google Scholar] [CrossRef]
- Gui, X.; Peng, W.; Xu, X.; Su, Z.; Liu, G.; Zhou, Z.; Liu, M.; Li, Z.; Song, G.; Zhou, C.; et al. Synthesis and application of nanometer hydroxyapatite in biomedicine. Nanotechnol. Rev. 2022, 11, 2154–2168. [Google Scholar] [CrossRef]
- Cândido, P.L.; König, B., Jr. Histological analysis of bone/heteroplastic implant interfaces in dog tibia. Ann. Anat. 2004, 186, 69–73. [Google Scholar] [CrossRef] [PubMed]
- Bumbu, B.A.; Bumbu, A.G.; Rus, V.; Miclăuş, V. Histological evidence concerning the osseointegration of titanium implants in the fractured rabbit femur. J. Histotechnol. 2016, 39, 47–52. [Google Scholar] [CrossRef]
- Marinescu, C.; Sofronia, A.; Anghel, E.M.; Baies, R.; Constantin, D.; Seciu, A.M.; Gingu, O.; Tanasescu, S. Microstructure, stability and biocompatibility of hydroxyapatite–titania nanocomposites formed by two step sintering process. Arab. J. Chem. 2019, 12, 857–867. [Google Scholar] [CrossRef]
- Hu, F.; Fan, X.; Peng, F.; Yan, X.; Song, J.; Deng, C.; Liu, M.; Zeng, D.; Ning, C. Characterization of Porous Titanium-Hydroxyapatite Composite Biological Coating on Polyetheretherketone (PEEK) by Vacuum Plasma Spraying. Coatings 2022, 12, 433. [Google Scholar] [CrossRef]
- Wally, Z.J.; Van Grunsven, W.; Claeyssens, F.; Goodall, R.; Reilly, G.C. Porous Titanium for Dental Implant Applications. Metals 2015, 5, 1902–1920. [Google Scholar] [CrossRef]
- Amirnejad, M.; Afshar, A.; Salehi, S. The Effect of Titanium Dioxide (TiO2) Nanoparticles on Hydroxyapatite (HA)/TiO2 Composite Coating Fabricated by Electrophoretic Deposition (EPD). J. Mater. Eng. Perform. 2018, 27, 2338–2344. [Google Scholar] [CrossRef]
- Boyne, P. Comparison of Porous and Nonporous hydroxyapatite and Anorganic Xenografts in the Restoration of Alveolar Ridges. In Quantitative Characterization and Performance of Porous Implants for Hard Tissue Applications; Lemons, J., Ed.; ASTM International: West Conshohocken, PA, USA, 1987; pp. 100–112. [Google Scholar]
- Auger, M.A.; Savoini, B.; Muñoz, A.; Leguey, T.; Monge, M.A.; Pareja, R.; Victoria, J. Mechanical characteristics of porous hydroxyapatite/oxide composites produced by post-sintering hot isostatic pressing. Ceram. Int. 2009, 35, 2373–2380. [Google Scholar] [CrossRef]
- Rajesh, K.; Ghosh, S.; Islam, A.; Rangaswamy, M.K.; Haldar, S.; Roy, P.; Keshri, A.K.; Lahiri, D. Multilayered porous hydroxyapatite coating on Ti6Al4V implant with enhanced drug delivery and antimicrobial properties. J. Drug Deliv. Sci. Technol. 2022, 70, 103155. [Google Scholar] [CrossRef]
- Niespodziana, K. Synthesis and Properties of Porous Ti-20 wt.% HA Nanocomposites. J. Mater. Eng. Perform. 2019, 28, 2245–2255. [Google Scholar] [CrossRef]
- Stich, T.; Alagboso, F.; Křenek, T.; Kovářík, T.; Alt, V.; Docheva, D. Implant-bone-interface: Reviewing the impact of titanium surface modifications on osteogenic processes in vitro and in vivo. Bioeng. Transl. Med. 2021, 7, e10239. [Google Scholar] [CrossRef]
- Ielo, I.; Calabrese, G.; De Luca, G.; Conoci, S. Recent Advances in Hydroxyapatite-Based Biocomposites for Bone Tissue Regeneration in Orthopedics. Int. J. Mol. Sci. 2022, 23, 9721. [Google Scholar] [CrossRef] [PubMed]
- Koju, N.; Niraula, S.; Fotovvati, B. Additively Manufactured Porous Ti6Al4V for Bone Implants: A Review. Metals 2022, 12, 687. [Google Scholar] [CrossRef]























| a | b | c | AVERAGE | SD | %RSD | |
|---|---|---|---|---|---|---|
| CK | 11.49 | 12.39 | 14.3 | 12.73 | 1.43 | 11.28 |
| OK | 57.6 | 59.56 | 58.27 | 58.48 | 1.00 | 1.7 |
| MgK | 0.08 | 0.11 | 0.07 | 0.09 | 0.02 | 24.02 |
| PK | 8.28 | 8.14 | 7.86 | 8.09 | 0.21 | 2.64 |
| CaK | 15.68 | 14.12 | 13.67 | 14.49 | 1.05 | 7.28 |
| TiK | 6.86 | 5.68 | 5.83 | 6.12 | 0.64 | 10.49 |
| 100 | 100 | 100 | 100 | |||
| Ca/P | 1.8937 | 1.7246 | 1.7391 | 1.79 | 0.09 | 5.06 |
| Ti/Ca | 0.4375 | 0.4022 | 0.4264 | 0.42 | 0.02 | 4.27 |
| Ti/P | 0.8285 | 0.6977 | 0.7417 | 0.76 | 0.07 | 8.8 |
| Femurs | At Two Weeks | At Six Weeks | Description of Implant–Bone Interface |
|---|---|---|---|
| Left femurs | 792–903 U.H. | 574–978 U.H. | Osteoclastic activity present, peripheral osteosclerosis observed, no inflammatory process in the soft tissues. |
| Right femurs | 625–1051 U.H. | 1082–1512 U.H. |
| Femur Implanted With | Mean | Standard Deviation | Coefficient of Variation |
|---|---|---|---|
| HAp | 0.00007236 | 0.0000102 | 10.5987% |
| HApTi | 0.00008128 | 0.0000124 | 15.2664% |
| t-Statistic | Degrees of Freedom | p |
|---|---|---|
| 1.884369571 | 3 | 0.086928948 |
Disclaimer/Publisher’s Note: The statements, opinions and data contained in all publications are solely those of the individual author(s) and contributor(s) and not of MDPI and/or the editor(s). MDPI and/or the editor(s) disclaim responsibility for any injury to people or property resulting from any ideas, methods, instructions or products referred to in the content. |
© 2024 by the authors. Licensee MDPI, Basel, Switzerland. This article is an open access article distributed under the terms and conditions of the Creative Commons Attribution (CC BY) license (https://creativecommons.org/licenses/by/4.0/).
Share and Cite
Văruț, R.M.; Rotaru, L.T.; Truicu, F.N.; Singer, C.E.; Iulian-Nicolae, I.; Popescu, A.I.S.; Popescu, C.; Teisanu, C.; Sima, G.; Nicolaescu, O.E. Comparative Analysis of Osteointegration in Hydroxyapatite and Hydroxyapatite-Titanium Implants: An In Vivo Rabbit Model Study. J. Funct. Biomater. 2024, 15, 181. https://doi.org/10.3390/jfb15070181
Văruț RM, Rotaru LT, Truicu FN, Singer CE, Iulian-Nicolae I, Popescu AIS, Popescu C, Teisanu C, Sima G, Nicolaescu OE. Comparative Analysis of Osteointegration in Hydroxyapatite and Hydroxyapatite-Titanium Implants: An In Vivo Rabbit Model Study. Journal of Functional Biomaterials. 2024; 15(7):181. https://doi.org/10.3390/jfb15070181
Chicago/Turabian StyleVăruț, Renata Maria, Luciana Teodora Rotaru, Flavius Nicușor Truicu, Cristina Elena Singer, Iliescu Iulian-Nicolae, Alin Iulian Silviu Popescu, Cristina Popescu, Cristina Teisanu, Gabriela Sima, and Oana Elena Nicolaescu. 2024. "Comparative Analysis of Osteointegration in Hydroxyapatite and Hydroxyapatite-Titanium Implants: An In Vivo Rabbit Model Study" Journal of Functional Biomaterials 15, no. 7: 181. https://doi.org/10.3390/jfb15070181
APA StyleVăruț, R. M., Rotaru, L. T., Truicu, F. N., Singer, C. E., Iulian-Nicolae, I., Popescu, A. I. S., Popescu, C., Teisanu, C., Sima, G., & Nicolaescu, O. E. (2024). Comparative Analysis of Osteointegration in Hydroxyapatite and Hydroxyapatite-Titanium Implants: An In Vivo Rabbit Model Study. Journal of Functional Biomaterials, 15(7), 181. https://doi.org/10.3390/jfb15070181

