Process Optimization of Scaled-Up Production and Biosafety Evaluation of the Dimethyl-Dioctadecyl-Ammonium Bromide/Poly(lactic acid) Nano-Vaccine
Abstract
1. Introduction
2. Materials and Methods
2.1. Materials and Animals
2.2. Preparation of DDAB/PLA NPs
2.3. Characterization of DDAB/PLA NPs
2.4. Evaluation of Formulation Stability
2.5. Detection of the Residual Organic Solvents in the NPs
2.6. Acute Toxicity Experiment
2.7. Comparison of Local Irritation Reactions
2.8. Repeated Toxicity Experiment
2.9. Statistical Analysis
3. Results and Discussion
3.1. Optimization of the Preparation of DDAB/PLA NPs
3.1.1. The Effect of DDAB Amounts on Physicochemical Characteristics of the Prepared NPs
3.1.2. The Effect of the Volume of the Aqueous Phase on Physicochemical Characteristics of the Prepared NPs
3.1.3. The Effect of Stirring Rate on Physicochemical Characteristics of the Prepared NPs
3.1.4. The Effect of Solidifying Time on Physicochemical Characteristics of the Prepared NPs
3.2. Characterization of DDAB/PLA NPs under the Optimal Conditions
3.3. Optimization of the Scale-Up Process of DDAB/PLA NPs
3.3.1. The Effect of the Time of Removal of Organic Solvents by Vacuum Rotary Evaporation on Physicochemical Characteristics of the Prepared NPs
3.3.2. The Effect of Collection Methods of DDAB/PLA NPs on Physicochemical Characteristics of the Prepared NPs
3.4. Stability Evaluation of DDAB/PLA NPs
3.5. Detection of Organic Solvent Residues in DDAB/PLA NPs
3.6. Biosafety Evaluation of DDAB/PLA Nano-Vaccine
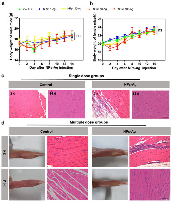
3.6.1. Acute Toxicity Experiment in Mice
3.6.2. Evaluation of Inflammation at the Injection Site after Single and Multiple Immunizations
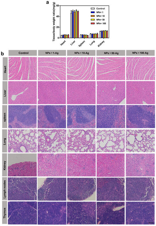
3.6.3. Organ Weight and Microscopic Histopathological Changes in Repeated Toxicity Study
4. Conclusions
Supplementary Materials
Author Contributions
Funding
Institutional Review Board Statement
Data Availability Statement
Conflicts of Interest
References
- Zepeda-Cervantes, J.; Vaca, L. Induction of Adaptive Immune Response by Self-Aggregating Peptides. Expert Rev. Vaccines 2018, 17, 723–738. [Google Scholar] [CrossRef] [PubMed]
- Goetz, M.; Thotathil, N.; Zhao, Z.; Mitragotri, S. Vaccine Adjuvants for Infectious Disease in the Clinic. Bioeng. Transl. Med. 2024, e10663. [Google Scholar] [CrossRef]
- Tran, T.H.; Nguyen, T.D.; Van Nguyen, H.; Nguyen, H.T.; Kim, J.O.; Yong, C.S.; Nguyen, C.N. Targeted and Controlled Drug Delivery System Loading Artersunate for Effective Chemotherapy on CD44 Overexpressing Cancer Cells. Arch. Pharm. Res. 2016, 39, 687–694. [Google Scholar] [CrossRef] [PubMed]
- Jones, M.N. Surfactant Interactions with Biomembranes and Proteins. Chem. Soc. Rev. 1992, 21, 127. [Google Scholar] [CrossRef]
- Zhang, T.; He, P.; Guo, D.; Chen, K.; Hu, Z.; Zou, Y. Research Progress of Aluminum Phosphate Adjuvants and Their Action Mechanisms. Pharmaceutics 2023, 15, 1756. [Google Scholar] [CrossRef] [PubMed]
- Zeng, Y.; Zou, F.; Xia, N.; Li, S. In-Depth Review of Delivery Carriers Associated with Vaccine Adjuvants: Current Status and Future Perspectives. Expert Rev. Vaccines 2023, 22, 681–695. [Google Scholar] [CrossRef] [PubMed]
- Sanecka, A.; Ansems, M.; van Hout-Kuijer, M.A.; Looman, M.W.G.; Prosser, A.C.; Welten, S.; Gilissen, C.; Sama, I.E.; Huynen, M.A.; Veltman, J.A.; et al. Analysis of Genes Regulated by the Transcription Factor Luman Identifies Apoa4 as a Target Gene in Dendritic Cells. Mol. Immunol. 2012, 50, 66–73. [Google Scholar] [CrossRef] [PubMed]
- Fleming-Dutra, K.E.; Jones, J.M.; Roper, L.E.; Prill, M.M.; Ortega-Sanchez, I.R.; Moulia, D.L.; Wallace, M.; Godfrey, M.; Broder, K.R.; Tepper, N.K.; et al. Use of the Pfizer Respiratory Syncytial Virus Vaccine During Pregnancy for the Prevention of Respiratory Syncytial Virus-Associated Lower Respiratory Tract Disease in Infants: Recommendations of the Advisory Committee on Immunization Practices-United States, 2023. MMWR Morb. Mortal. Wkly. Rep. 2023, 72, 1115–1122. [Google Scholar] [PubMed]
- Park, H.-J.; Ko, H.L.; Won, D.-H.; Hwang, D.-B.; Shin, Y.-S.; Kwak, H.-W.; Kim, H.-J.; Yun, J.-W.; Nam, J.-H. Comprehensive Analysis of the Safety Profile of a Single-Stranded Rna Nano-Structure Adjuvant. Pharmaceutics 2019, 11, 464. [Google Scholar] [CrossRef]
- Zuber, P.L.F.; Gruber, M.; Kaslow, D.C.; Chen, R.T.; Giersing, B.K.; Friede, M.H. Evolving Pharmacovigilance Requirements with Novel Vaccines and Vaccine Components. BMJ Glob. 2021, 6, e003403. [Google Scholar] [CrossRef]
- Xue, W.; Li, T.; Gu, Y.; Li, S.; Xia, N. Molecular Engineering Tools for the Development of Vaccines against Infectious Diseases: Current Status and Future Directions. Expert Rev. Vaccines 2023, 22, 563–578. [Google Scholar] [CrossRef]
- Saucier-Sawyer, J.K.; Deng, Y.; Seo, Y.-E.; Cheng, C.J.; Zhang, J.; Quijano, E.; Saltzman, W.M. Systemic Delivery of Blood-Brain Barrier-Targeted Polymeric Nanoparticles Enhances Delivery to Brain Tissue. J. Drug Target. 2015, 23, 736–749. [Google Scholar] [CrossRef]
- Rouzes, C.; Gref, R.; Leonar, M.; De Sousa Delgado, A.; Dellacherie, E. Surface Modification of Poly(Lactic Acid) Nanospheres Using Hydrophobically Modified Dextrans as Stabilizers in an O/W Emulsion/Evaporation Technique. J. Biomed. 2000, 50, 557–565. [Google Scholar] [CrossRef]
- Jain, A.K.; Goyal, A.K.; Gupta, P.N.; Khatri, K.; Mishra, N.; Mehta, A.; Mangal, S.; Vyas, S.P. Synthesis, Characterization and Evaluation of Novel Triblock Copolymer Based Nanoparticles for Vaccine Delivery against Hepatitis B. J. Control. Release 2009, 136, 161–169. [Google Scholar] [CrossRef]
- Scaffaro, R.; Lopresti, F.; Marino, A.; Nostro, A. Antimicrobial Additives for Poly(Lactic Acid) Materials and Their Applications: Current State and Perspectives. Appl. Microbiol. Biot. 2018, 102, 7739–7756. [Google Scholar] [CrossRef]
- de Oliveira, M.A.; Araújo, R.S.; Mosqueira, V.C.F. Pegylated and Functionalized Polylactide-Based Nanocapsules: An Overview. Int. J. Pharmaceut. 2023, 636, 122760. [Google Scholar] [CrossRef]
- Ataman-Önal, Y.; Munier, S.; Ganée, A.; Terrat, C.; Durand, P.-Y.; Battail, N.; Martinon, F.; Le Grand, R.; Charles, M.-H.; Delair, T.; et al. Surfactant-Free Anionic Pla Nanoparticles Coated with Hiv-1 P24 Protein Induced Enhanced Cellular and Humoral Immune Responses in Various Animal Models. J. Control. Release 2006, 112, 175–185. [Google Scholar] [CrossRef]
- Yang, M.; Yang, T.; Jia, J.; Lu, T.; Wang, H.; Yan, X.; Wang, L.; Yu, L.; Zhao, Y. Fabrication and Characterization of Ddab/Pla-Alginate Composite Microcapsules as Single-Shot Vaccine. RSC Adv. 2018, 8, 13612–13624. [Google Scholar] [CrossRef]
- Liu, Q.; Chen, X.; Jia, J.; Lu, T.; Yang, T.; Wang, L. Potential Hepatitis B Vaccine Formulation Prepared by Uniform-Sized Lipid Hybrid Pla Microparticles with Adsorbed Hepatitis B Surface Antigen. Mol. Pharm. 2018, 15, 5227–5235. [Google Scholar] [CrossRef]
- Tai, L.-H.; Zhang, J.; Auer, R.C. Preventing Surgery-Induced Nk Cell Dysfunction and Cancer Metastases with Influenza Vaccination. OncoImmunology 2014, 2, 5104–5115. [Google Scholar] [CrossRef]
- Wusiman, A.; Gu, P.; Liu, Z.; Xu, S.; Zhang, Y.; Hu, Y.; Liu, J.; Wang, D.; Huang, X. Cationic Polymer Modified Plga Nanoparticles Encapsulating Alhagi Honey Polysaccharides as a Vaccine Delivery System for Ovalbumin to Improve Immune Responses. Int. J. Nanomed. 2019, 14, 3221–3234. [Google Scholar] [CrossRef] [PubMed]
- Sloat, B.R.; Sandoval, M.A.; Hau, A.M.; He, Y.; Cui, Z. Strong Antibody Responses Induced by Protein Antigens Conjugated onto the Surface of Lecithin-Based Nanoparticles. J. Control. Release 2010, 141, 93–100. [Google Scholar] [CrossRef] [PubMed]
- Facciolà, A.V.; Visalli, G.; Laganà, P.; La Fauci, V.; Squeri, R.; Pellicanò, G.F.; Nunnari, G.; Trovato, M.; Di Pietro, A. The New Era of Vaccines: The “Nanovaccinology”. Eur. Rev. Med. Pharmacol. Sci. 2019, 23, 7163–7182. [Google Scholar] [PubMed]
- Yoneki, N.; Takami, T.; Ito, T.; Anzai, R.; Fukuda, K.; Kinoshita, K.; Sonotaki, S.; Murakami, Y. One-Pot Facile Preparation of Peg-Modified Plga Nanoparticles: Effects of Peg and Plga on Release Properties of the Particles. Colloids Surf. A 2015, 469, 66–72. [Google Scholar] [CrossRef]
- Stukenkemper, T.; Dose, A.; Caballo Gonzalez, M.; Groenen, A.J.J.; Hehir, S.; Andrés-Guerrero, V.; Herrero Vanrell, R.; Cameron, N.R. Block Copolypeptide Nanoparticles for the Delivery of Ocular Therapeutics. Macromol. Biosci. 2014, 15, 138–145. [Google Scholar] [CrossRef]
- Renukaradhya, G.J.; Wang, W.; Huang, B.; Jiang, T.; Wang, X.; Qi, X.; Gao, Y.; Tan, W.; Ruan, L. Robust Immunity and Heterologous Protection against Influenza in Mice Elicited by a Novel Recombinant Np-M2e Fusion Protein Expressed in E. coli. PLoS ONE 2012, 7, e52488. [Google Scholar]
- Cho, H.H.; Kim, S.J.; Jafry, A.T.; Lee, B.; Heo, J.H.; Yoon, S.; Jeong, S.H.; Kang, S.I.; Lee, J.H.; Lee, J. A Paper-Based Platform for Long-Term Deposition of Nanoparticles with Exceptional Redispersibility, Stability, and Functionality. Part. Part. Syst. Char. 2019, 36, 1800483. [Google Scholar] [CrossRef]
- Ruozi, B.; Belletti, D.; Sharma, H.S.; Sharma, A.; Muresanu, D.F.; Mössler, H.; Forni, F.; Vandelli, M.A.; Tosi, G. Plga Nanoparticles Loaded Cerebrolysin: Studies on Their Preparation and Investigation of the Effect of Storage and Serum Stability with Reference to Traumatic Brain Injury. Mol. Neurobiol. 2015, 52, 899–912. [Google Scholar] [CrossRef]
- Fedson, D.S. Preparing for Pandemic Vaccination: An International Policy Agenda for Vaccine Development. J. Public Health Pol. 2005, 26, 4–29. [Google Scholar] [CrossRef]
- Chinese Pharmacopoeia; Chinese Pharmacopoeia Commission: Beijing, China, 2020; Volume 2.
- Awate, S.; Wilson, H.L.; Singh, B.; Babiuk, L.A.; Mutwiri, G. The Adjuvant Pcep Induces Recruitment of Myeloid and Lymphoid Cells at the Injection Site and Draining Lymph Node. Vaccine 2014, 32, 2420–2427. [Google Scholar] [CrossRef]
- Gamvrellis, A.; Walsh, K.; Tatarczuch, L.; Smooker, P.; Plebanski, M.; Scheerlinck, J.-P.Y. Phenotypic Analysis of Ovine Antigen Presenting Cells Loaded with Nanoparticles Migrating from the Site of Vaccination. Methods 2013, 60, 257–263. [Google Scholar] [CrossRef] [PubMed]
- Xing, J.; Jiang, X.; Xu, H.; Sheng, X.; Tang, X.; Chi, H.; Zhan, W. Local Immune Responses to Vaa DNA Vaccine against Listonella Anguillarum in Flounder (Paralichthys olivaceus). Mol. Immunol. 2021, 134, 141–149. [Google Scholar] [CrossRef] [PubMed]
- Choi, H.J.; Yun, J.-W.; Kim, Y.-H.; Kwon, E.; Hyon, M.-K.; Kim, J.Y.; Che, J.-H.; Ho Kim, W.; Seong, S.-Y.; Kang, B.-C. Evaluation of Acute and Subacute Toxicity of Sodium Taurodeoxycholate in Rats. Drug Chem. Toxicol. 2019, 44, 268–276. [Google Scholar] [CrossRef] [PubMed]
- Singanayagam, A.; Lamb, L.; Makinde, J.E.; Teo, I.; Shaunak, S. Systemic Cytokine Storm in Severe Eosinophilic Dermatitis. QJM 2015, 108, 907–908. [Google Scholar] [CrossRef][Green Version]








| Particle Size (nm) | PDI | Zeta Potential (mV) | Adsorption Efficiency (%) | Yield (%) | |
|---|---|---|---|---|---|
| TC | 180.9 ± 7.8 | 0.154 ± 0.11 | 47.2 ± 2.5 | 82.5 ± 1.5 | 11.8 ± 3.6 |
| TFU | 150.3 ± 10.4 | 0.090 ± 0.13 | 54.0 ± 4.0 | 85.4 ± 4.0 | 96.3 ± 5.2 |
| Group | Solvent Type | Mean Peak Area ± SD | RSD (%) | Solvent Concentration (mg/mL) |
|---|---|---|---|---|
| Reference solution | Ethanol | 89.1376 ± 12.37 | 2.64 | 0.05 |
| Acetone | 313.28 ± 4.56 | 1.46 | 0.05 | |
| NPs solution | Ethanol | 3.96 ± 0.12 | 3.03 | 0.02 |
| Acetone | 13.03 ± 0.24 | 1.84 | 0.02 |
Disclaimer/Publisher’s Note: The statements, opinions and data contained in all publications are solely those of the individual author(s) and contributor(s) and not of MDPI and/or the editor(s). MDPI and/or the editor(s) disclaim responsibility for any injury to people or property resulting from any ideas, methods, instructions or products referred to in the content. |
© 2024 by the authors. Licensee MDPI, Basel, Switzerland. This article is an open access article distributed under the terms and conditions of the Creative Commons Attribution (CC BY) license (https://creativecommons.org/licenses/by/4.0/).
Share and Cite
Yang, H.; Gao, Y.; Liu, M.; Ma, J.; Lu, Q. Process Optimization of Scaled-Up Production and Biosafety Evaluation of the Dimethyl-Dioctadecyl-Ammonium Bromide/Poly(lactic acid) Nano-Vaccine. J. Funct. Biomater. 2024, 15, 127. https://doi.org/10.3390/jfb15050127
Yang H, Gao Y, Liu M, Ma J, Lu Q. Process Optimization of Scaled-Up Production and Biosafety Evaluation of the Dimethyl-Dioctadecyl-Ammonium Bromide/Poly(lactic acid) Nano-Vaccine. Journal of Functional Biomaterials. 2024; 15(5):127. https://doi.org/10.3390/jfb15050127
Chicago/Turabian StyleYang, Hengye, Yuan Gao, Meijuan Liu, Juan Ma, and Qun Lu. 2024. "Process Optimization of Scaled-Up Production and Biosafety Evaluation of the Dimethyl-Dioctadecyl-Ammonium Bromide/Poly(lactic acid) Nano-Vaccine" Journal of Functional Biomaterials 15, no. 5: 127. https://doi.org/10.3390/jfb15050127
APA StyleYang, H., Gao, Y., Liu, M., Ma, J., & Lu, Q. (2024). Process Optimization of Scaled-Up Production and Biosafety Evaluation of the Dimethyl-Dioctadecyl-Ammonium Bromide/Poly(lactic acid) Nano-Vaccine. Journal of Functional Biomaterials, 15(5), 127. https://doi.org/10.3390/jfb15050127
