Evaluation of Antimicrobial Properties, Cell Viability, and Metalloproteinase Activity of Bioceramic Endodontic Materials Used in Vital Pulp Therapy
Abstract
1. Introduction
2. Materials and Methods
2.1. Antimicrobial Assay
2.2. Cell Viability Assay/Cytotoxicity
2.3. Evaluation of the Activity of Metalloproteinases
2.4. Statistical Analysis
3. Results
3.1. Antimicrobial Assay
3.2. Cell Viability/Cytotoxicity
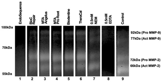
3.3. Evaluation of the Activity of Metalloproteinases
4. Discussion
5. Conclusions
- (a)
- All materials showed antimicrobial effectiveness, with Endosequence being the most effective, followed by Bio-C Repair, Biodentine, TheraCal LC, MTA Angelus, and MTA ProRoot.
- (b)
- All materials promoted cell proliferation, with TheraCal showing the highest cell growth, followed by Biodentine, MTA ProRoot, MTA Angelus, BioC Repair, and EndoSequence.
- (c)
- In the electrophoresis assay, EndoSequence successfully inhibited MMP2 and MMP9, while the other materials did not inhibit MMPs.
Supplementary Materials
Author Contributions
Funding
Institutional Review Board Statement
Informed Consent Statement
Data Availability Statement
Conflicts of Interest
References
- Almeida, L.H.S.; Moraes, R.R.; Morgental, R.D.; Cava, S.S.; Rosa WL, O.; Rodrigues, P.; Ribeiro, A.S.; Só, M.; Pappen, F.G. Synthesis of silver-containing calcium aluminate particles and their effects on a MTA-based endodontic sealer. Dent. Mater. 2018, 34, e214–e223. [Google Scholar] [CrossRef]
- Aminoshariae, A.; Primus, C.; Kulild, J.C. Tricalcium silicate cement sealers. J. Am. Dent. Assoc. 2022, 153, 750–760. [Google Scholar] [CrossRef]
- Anshida, V.; Kumari Ra Murthy, C.; Samuel, A. Extracellular matrix degradation by host matrix metalloproteinases in restorative dentistry and endodontics: An overview. J. Oral Maxillofac. Pathol. 2020, 24, 352. [Google Scholar] [CrossRef]
- Benetti, F.; Queiroz, Í.O.A.; Cosme-Silva, L.; Conti, L.C.; Oliveira, S.H.P.; Cintra, L.T.A. Cytotoxicity, Biocompatibility and Biomineralization of a New Ready-for-Use Bioceramic Repair Material. Braz. Dent. J. 2019, 30, 325–332. [Google Scholar] [CrossRef]
- Bhavana, V.; Chaitanya, K.; Dola, B.; Gandi, P.; Patil, J.; Reddy, R. Evaluation of antibacterial and antifungal activity of new calcium-based cement (Biodentine) compared to MTA and glass ionomer cement. J. Conserv. Dent. 2015, 18, 44. [Google Scholar] [CrossRef]
- Bortoluzzi, E.A.; Niu, L.N.; Palani, C.D.; El-Awady, A.R.; Hammond, B.D.; Pei, D.D.; Tian, F.C.; Cutler, C.W.; Pashley, D.H.; Tay, F.R. Cytotoxicity and osteogenic potential of silicate calcium cements as potential protective materials for pulpal revascularization. Dent. Mater. 2015, 31, 1510–1522. [Google Scholar] [CrossRef]
- Camilleri, J.; Sorrentino, F.; Damidot, D. Investigation of the hydration and bioactivity of radiopacified tricalcium silicate cement, Biodentine and MTA Angelus. Dent. Mater. 2013, 29, 580–593. [Google Scholar] [CrossRef] [PubMed]
- Chang, S.W.; Gaudin, A.; Tolar, M.; Oh, S.; Moon, S.-Y.; Peters, O.A. Physicochemical and biological properties of four calcium silicate-based endodontic cements. J. Dent. Sci. 2022, 17, 1586–1594. [Google Scholar] [CrossRef]
- Chang, Y.H.; Chiang, C.Y.; Fu, E.; Chiu, H.C. Staphylococcus aureus enhances gelatinase activities in monocytic U937 cells and in human gingival fibroblasts. J. Dent. Sci. 2022, 17, 1321–1328. [Google Scholar] [CrossRef] [PubMed]
- Collado-González, M.; García-Bernal, D.; Oñate-Sánchez, R.E.; Ortolani-Seltenerich, P.S.; Álvarez-Muro, T.; Lozano, A.; Forner, L.; Llena, C.; Moraleda, J.M.; Rodríguez-Lozano, F.J. Cytotoxicity and bioactivity of various pulpotomy materials on stem cells from human exfoliated primary teeth. Int. Endod. J. 2017, 50, e19–e30. [Google Scholar] [CrossRef] [PubMed]
- da Rosa, W.L.O.; Cocco, A.R.; daSilva, T.M.; Mesquita, L.C.; Galarça, A.D.; da Silva, A.F.; Piva, E. Current trends and future perspectives of dental pulp capping materials: A systematic review. J. Biomed. Mater. Res. Part B Appl. Biomater. 2018, 106, 1358–1368. [Google Scholar] [CrossRef] [PubMed]
- Dal’Agnol, C.Z.; Stefenon, L.; van de Sande, F.H.; della Bona, Á.; Cenci, M.S.; Webber, B.; Rodrigues, L.B.; dos Santos, L.R. Microcosm Biofilm Formation on Titanium Surfaces. Mater. Res. 2015, 18, 677–682. [Google Scholar] [CrossRef][Green Version]
- Damas, B.A.; Wheater, M.A.; Bringas, J.S.; Hoen, M.M. Cytotoxicity Comparison of Mineral Trioxide Aggregates and EndoSequence Bioceramic Root Repair Materials. J. Endod. 2011, 37, 372–375. [Google Scholar] [CrossRef] [PubMed]
- Dong, X.; Xu, X. Bioceramics in Endodontics: Updates and Future Perspectives. Bioengineering 2023, 10, 354. [Google Scholar] [CrossRef]
- Eldeniz, A.U.; Hadimli, H.H.; Ataoglu, H.; Ørstavik, D. Antibacterial effect of selected root-end filling materials. J. Endod. 2006, 32, 345–349. [Google Scholar] [CrossRef]
- Gandolfi, M.G.; Siboni, F.; Botero, T.; Bossù, M.; Riccitiello, F.; Prati, C. Calcium Silicate and Calcium Hydroxide Materials for Pulp Capping: Biointeractivity, Porosity, Solubility and Bioactivity of Current Formulations. J. Appl. Biomater. Funct. Mater. 2015, 13, 43–60. [Google Scholar] [CrossRef]
- Gandolfi, M.G.; Siboni, F.; Prati, C. Chemical–physical properties of TheraCal, a novel light-curable MTA-like material for pulp capping. Int. Endod. J. 2012, 45, 571–579. [Google Scholar] [CrossRef]
- Ghilotti, J.; Sanz, J.L.; López-García, S.; Guerrero-Gironés, J.; Pecci-Lloret, M.P.; Lozano, A.; Llena, C.; Rodríguez-Lozano, F.J.; Forner, L.; Spagnuolo, G. Comparative Surface Morphology, Chemical Composition, and Cytocompatibility of Bio-C Repair, Biodentine, and ProRoot MTA on hDPCs. Materials 2020, 13, 2189. [Google Scholar] [CrossRef]
- de Almeida Gomes, B.P.F.; Herrera, D.R. Etiologic role of root canal infection in apical periodontitis and its relationship with clinical symptomatology. Braz. Oral Res. 2018, 32, 82–110. [Google Scholar] [CrossRef]
- Gusman, H.; Santana, R.B.; Zehnder, M. Matrix metalloproteinase levels and gelatinolytic activity in clinically healthy and inflamed human dental pulps. Eur. J. Oral Sci. 2002, 110, 353–357. [Google Scholar] [CrossRef]
- Haapasalo, M.; Parhar, M.; Huang, X.; Wei, X.; Lin, J.; Shen, Y. Clinical use of bioceramic materials. Endod. Top. 2015, 32, 97–117. [Google Scholar] [CrossRef]
- Hiremath, G.; Kulkarni, R.; Naik, B. Evaluation of minimal inhibitory concentration of two new materials using tube dilution method: An in vitro study. J. Conserv. Dent. 2015, 18, 159. [Google Scholar] [CrossRef]
- ISO 10993-5; 2009; Biological evaluation of medical devices–part 5: In vitro cytotoxicity testing. International Organization for Standardization: Geneva, Switzerland, 2020.
- Kahler, B.; Rossi-Fedele, G. A Review of Tooth Discoloration after Regenerative Endodontic Therapy. J. Endod. 2016, 42, 563–569. [Google Scholar] [CrossRef] [PubMed]
- Kang, T.Y.; Choi, J.W.; Seo, K.J.; Kim, K.M.; Kwon, J.S. Physical, chemical, mechanical, and biological properties of four different commercial root-end filling materials: A comparative study. Materials 2021, 14, 1693. [Google Scholar] [CrossRef]
- Khan, A.S.; Ur Rehman, S.; Ahmad, S.; AlMaimouni, Y.K.; Alzamil MA, S.; Dummer PM, H. Five decades of the International Endodontic Journal: Bibliometric overview 1967–2020. Int. Endod. J. 2021, 54, 1819–1839. [Google Scholar] [CrossRef]
- Kim RJ, Y.; Kim, M.O.; Lee, K.S.; Lee, D.Y.; Shin, J.H. An in vitro evaluation of the antibacterial properties of three mineral trioxide aggregate (MTA) against five oral bacteria. Arch. Oral Biol. 2015, 60, 1497–1502. [Google Scholar] [CrossRef] [PubMed]
- Kodonas, K.; Fardi, A.; Gogos, C.; Economides, N. Scientometric analysis of vital pulp therapy studies. Int. Endod. J. 2021, 54, 220–230. [Google Scholar] [CrossRef]
- Koruyucu, M.; Topcuoglu, N.; Tuna, E.B.; Ozel, S.; Gencay, K.; Kulekci, G.; Seymen, F. An assessment of antibacterial activity of three pulp capping materials on Enterococcus faecalis by a direct contact test: An in vitro study. Eur. J. Dent. 2015, 9, 240–245. [Google Scholar] [CrossRef] [PubMed]
- Lee, B.-N.; Lee, B.-G.; Chang, H.-S.; Hwang, Y.-C.; Hwang, I.-N.; Oh, W.-M. Effects of a novel light-curable material on odontoblastic differentiation of human dental pulp cells. Int. Endod. J. 2017, 50, 464–471. [Google Scholar] [CrossRef]
- Li, Z.; Zhang, H.; Ge, S.; Gu, X.; Gao, G.; Luo, J. Expression pattern divergence of duplicated genes in rice. BMC Bioinform. 2009, 10 (Suppl. S6), S8. [Google Scholar] [CrossRef]
- Lovato, K.F.; Sedgley, C.M. Antibacterial activity of EndoSequence root repair material and ProRoot MTA against clinical isolates of enterococcus faecalis. J. Endod. 2011, 37, 1542–1546. [Google Scholar] [CrossRef]
- Mazzoni, A.; Pashley, D.H.; Tay, F.R.; Gobbi, P.; Orsini, G.; Ruggeri, A.; Carrilho, M.; Tjäderhane, L.; di Lenarda, R.; Breschi, L. Immunohistochemical identification of MMP-2 and MMP-9 in human dentin: Correlative FEI-SEM/TEM analysis. J. Biomed. Mater. Res. Part A 2009, 88, 697–703. [Google Scholar] [CrossRef]
- Oliveira, D. Assessment of antimicrobial properties, cell viability and metalloproteinase activities of retrofilling materials. Doctoral Thesis, University of Cuiabá, Cuiabá, 2019. (In Portuguese). [Google Scholar]
- Parirokh, M.; Torabinejad, M. Mineral Trioxide Aggregate: A Comprehensive Literature Review—Part III: Clinical Applications, Drawbacks, and Mechanism of Action. J. Endod. 2010, 36, 400–413. [Google Scholar] [CrossRef] [PubMed]
- Parirokh, M.; Torabinejad, M.; Dummer PM, H. Mineral trioxide aggregate and other bioactive endodontic cements: An updated overview—Part I: Vital pulp therapy. Int. Endod. J. 2018, 51, 177–205. [Google Scholar] [CrossRef] [PubMed]
- Pinto, K.P.; Barbosa AF, A.; Silva EJ, N.L.; Santos AP, P.; Sassone, L.M. What Is the Microbial Profile in Persistent Endodontic Infections? A Scoping Review. J. Endod. 2023, 49, 786–798.e7. [Google Scholar] [CrossRef] [PubMed]
- Poggio, C.; Arciola, C.R.; Beltrami, R.; Monaco, A.; Dagna, A.; Lombardini, M.; Visai, L. Cytocompatibility and Antibacterial Properties of Capping Materials. Sci. World J. 2014, 2014, 181945. [Google Scholar] [CrossRef] [PubMed]
- Poggio, C.; Ceci, M.; Beltrami, R.; Chiesa, M.; Colombo, M. Biological and chemical-physical properties of root-end filling materials: A comparative study. J. Conserv. Dent. 2015, 18, 94. [Google Scholar] [CrossRef] [PubMed]
- Qureshi, A. Recent Advances in Pulp Capping Materials: An Overview. J. Clin. Diagn. Res. 2014, 8, 316–321. [Google Scholar] [CrossRef] [PubMed]
- Rajasekharan, S.; Martens, L.C.; Cauwels RG, E.C.; Verbeeck RM, H. BiodentineTM material characteristics and clinical applications: A review of the literature. Eur. Arch. Paediatr. Dent. 2014, 15, 147–158. [Google Scholar] [CrossRef] [PubMed]
- Sanz, J.L.; Soler-Doria, A.; López-García, S.; García-Bernal, D.; Rodríguez-Lozano, F.J.; Lozano, A.; Llena, C.; Forner, L.; Guerrero-Gironés, J.; Melo, M. Comparative Biological Properties and Mineralization Potential of 3 Endodontic Materials for Vital Pulp Therapy: Theracal PT, Theracal LC, and Biodentine on Human Dental Pulp Stem Cells. J. Endod. 2021, 47, 1896–1906. [Google Scholar] [CrossRef]
- Shen, Y.; Stojicic, S.; Haapasalo, M. Bacterial viability in starved and revitalized biofilms: Comparison of viability staining and direct culture. J. Endod. 2010, 36, 1820–1823. [Google Scholar] [CrossRef]
- Shin, S.; Lee, J.; Baek, S.; Lim, S. Tissue Levels of Matrix Metalloproteinases in Pulps and Periapical Lesions. J. Endod. 2002, 28, 313–315. [Google Scholar] [CrossRef]
- Siqueira, J.F.; Rôças, I.N. Community as the unit of pathogenicity: An emerging concept as to the microbial pathogenesis of apical periodontitis. Oral Surg. Oral Med. Oral Pathol. Oral Radiol. Endodontology 2009, 107, 870–878. [Google Scholar] [CrossRef]
- Song, W.; Li, S.; Tang, Q.; Chen, L.; Yuan, Z. In vitro biocompatibility and bioactivity of calcium silicate-based bioceramics in endodontics (Review). Int. J. Mol. Med. 2021, 48, 128. [Google Scholar] [CrossRef]
- Surya Raghavendra, S.; Jadhav, G.R.; Gathani, K.M.; Kotadia, P. Bioceramics In Endodontics—A Review. J. Istanb. Univ. Fac. Dent. 2017, 51, S128–S137. [Google Scholar] [CrossRef]
- Tanabe, S.I.; Grenier, D. Macrophage tolerance response to Aggregatibacter actinomycetemcomitans lipopolysaccharide induces differential regulation of tumor necrosis factor-α, interleukin-1β and matrix metalloproteinase 9 secretion. J. Periodontal Res. 2008, 43, 372–377. [Google Scholar] [CrossRef]
- Tanalp, J.; Karapinar-Kazandag, M.; Ersev, H.; Bayirli, G. The Status of Mineral Trioxide Aggregate in Endodontics Education in Dental Schools in Turkey. J. Dent. Educ. 2012, 76, 752–758. [Google Scholar] [CrossRef] [PubMed]
- Torabinejad, M.; Parirokh, M. Mineral Trioxide Aggregate: A Comprehensive Literature Review—Part II: Leakage and Biocompatibility Investigations. J. Endod. 2010, 36, 190–202. [Google Scholar] [CrossRef] [PubMed]
- Torabinejad, M.; Ung, B.; Kettering, J.D. In vitro bacterial penetration of coronally unsealed endodontically treated teeth. J. Endod. 1990, 16, 566–569. [Google Scholar] [CrossRef] [PubMed]
- Torabinejad, M.; Watson, T.F.; Pitt Ford, T.R. Sealing ability of a mineral trioxide aggregate when used as a root end filling material. J. Endod. 1993, 19, 591–595. [Google Scholar] [CrossRef] [PubMed]
- von Arx, T. Apical surgery: A review of current techniques and outcome. Saudi Dent. J. 2011, 23, 9–15. [Google Scholar] [CrossRef] [PubMed]
- Zaky, S.; Shehabeldin, M.; Ray, H.; Sfeir, C. The role of inflammation modulation in dental pulp regeneration. Eur. Cells Mater. 2021, 41, 184–193. [Google Scholar] [CrossRef] [PubMed]
- Zanini, M.; Meyer, E.; Simon, S. Pulp Inflammation Diagnosis from Clinical to Inflammatory Mediators: A Systematic Review. J. Endod. 2017, 43, 1033–1051. [Google Scholar] [CrossRef] [PubMed]
- Zanini, M.; Sautier, J.M.; Berdal, A.; Simon, S. Biodentine Induces Immortalized Murine Pulp Cell Differentiation into Odontoblast-like Cells and Stimulates Biomineralization. J. Endod. 2012, 38, 1220–1226. [Google Scholar] [CrossRef]



| Material | Manufacturer | Composition |
|---|---|---|
| ProRoot MTA | Dentsply Tulsa Dental, Johnson City, TN, USA | Tricalcium silicate, Dicalcium silicate, Tricalcium aluminate, Bismuth oxide, Gypsum. |
| EndoSequence | Brasseler USA, Savannah, GA, USA | Tricalcium Silicate, Dicalcium Silicate, Zirconium Oxide, Tantalum Oxide, Calcium Phosphate Monobasic, Fillers. |
| Biodentine | Septodont, Saint Maur des Fossés, France | Tricalcium silicate Zirconium oxide Calcium carbonate, Calcium chloride, polymer, Calcium chloride aqueous solution and excipients. |
| MTA Angelus | Angelus, Londrina, Brazil | Tricalcium silicate, Tricalcium aluminate, Calcium oxide, Calcium tungstate. |
| TheraCal LC | BISCO, Schaumburg, IL, USA | Portland cement, Polyethylene glycol Di methacrylate, Barium zirconate. |
| Bio-C Repair | Angelus, Londrina, Brazil | Calcium Silicate, Calcium Aluminate, Calcium Oxide, Zirconium Oxide, Iron Oxide, Silicon Dioxide and Dispersing Agent |
Disclaimer/Publisher’s Note: The statements, opinions and data contained in all publications are solely those of the individual author(s) and contributor(s) and not of MDPI and/or the editor(s). MDPI and/or the editor(s) disclaim responsibility for any injury to people or property resulting from any ideas, methods, instructions or products referred to in the content. |
© 2024 by the authors. Licensee MDPI, Basel, Switzerland. This article is an open access article distributed under the terms and conditions of the Creative Commons Attribution (CC BY) license (https://creativecommons.org/licenses/by/4.0/).
Share and Cite
Immich, F.; de Oliveira, D.; Ribeiro de Andrade, J.S.; da Silva Barboza, A.; Cuevas-Suárez, C.E.; da Silva, A.F.; de Oliveira da Rosa, W.L.; Borges, Á.H.; Carreno, N.L.V.; Piva, E.; et al. Evaluation of Antimicrobial Properties, Cell Viability, and Metalloproteinase Activity of Bioceramic Endodontic Materials Used in Vital Pulp Therapy. J. Funct. Biomater. 2024, 15, 70. https://doi.org/10.3390/jfb15030070
Immich F, de Oliveira D, Ribeiro de Andrade JS, da Silva Barboza A, Cuevas-Suárez CE, da Silva AF, de Oliveira da Rosa WL, Borges ÁH, Carreno NLV, Piva E, et al. Evaluation of Antimicrobial Properties, Cell Viability, and Metalloproteinase Activity of Bioceramic Endodontic Materials Used in Vital Pulp Therapy. Journal of Functional Biomaterials. 2024; 15(3):70. https://doi.org/10.3390/jfb15030070
Chicago/Turabian StyleImmich, Felipe, Durvalino de Oliveira, Juliana Silva Ribeiro de Andrade, Andressa da Silva Barboza, Carlos Enrique Cuevas-Suárez, Adriana Fernandes da Silva, Wellington Luiz de Oliveira da Rosa, Álvaro Henrique Borges, Neftali Lenin Villarreal Carreno, Evandro Piva, and et al. 2024. "Evaluation of Antimicrobial Properties, Cell Viability, and Metalloproteinase Activity of Bioceramic Endodontic Materials Used in Vital Pulp Therapy" Journal of Functional Biomaterials 15, no. 3: 70. https://doi.org/10.3390/jfb15030070
APA StyleImmich, F., de Oliveira, D., Ribeiro de Andrade, J. S., da Silva Barboza, A., Cuevas-Suárez, C. E., da Silva, A. F., de Oliveira da Rosa, W. L., Borges, Á. H., Carreno, N. L. V., Piva, E., & Guerra Lund, R. (2024). Evaluation of Antimicrobial Properties, Cell Viability, and Metalloproteinase Activity of Bioceramic Endodontic Materials Used in Vital Pulp Therapy. Journal of Functional Biomaterials, 15(3), 70. https://doi.org/10.3390/jfb15030070

