Customizable Lyophilized Agent for Radiotherapy Imaging and TherapY (CLARITY)
Abstract
1. Introduction
2. Materials and Methods
2.1. Materials
2.2. CLARITY Biomaterial Production
2.3. Nanoparticle Tracking Analysis (NTA)
2.4. Animal Studies with KPC Syngeneic Pancreatic Cancer Cells
2.5. Pancreatic Tumor Mice CT and MR Imaging
2.6. MRI and CT Acquisition for the Human Cadaver
2.7. Electron Microscopy Analysis
Transmission Electron Microscopy (TEM): Negative Stain
2.8. Nanoparticles Used for Image Guidance
2.9. Statistical Analysis
3. Results
3.1. Characterization of the CLARITY Biomaterial
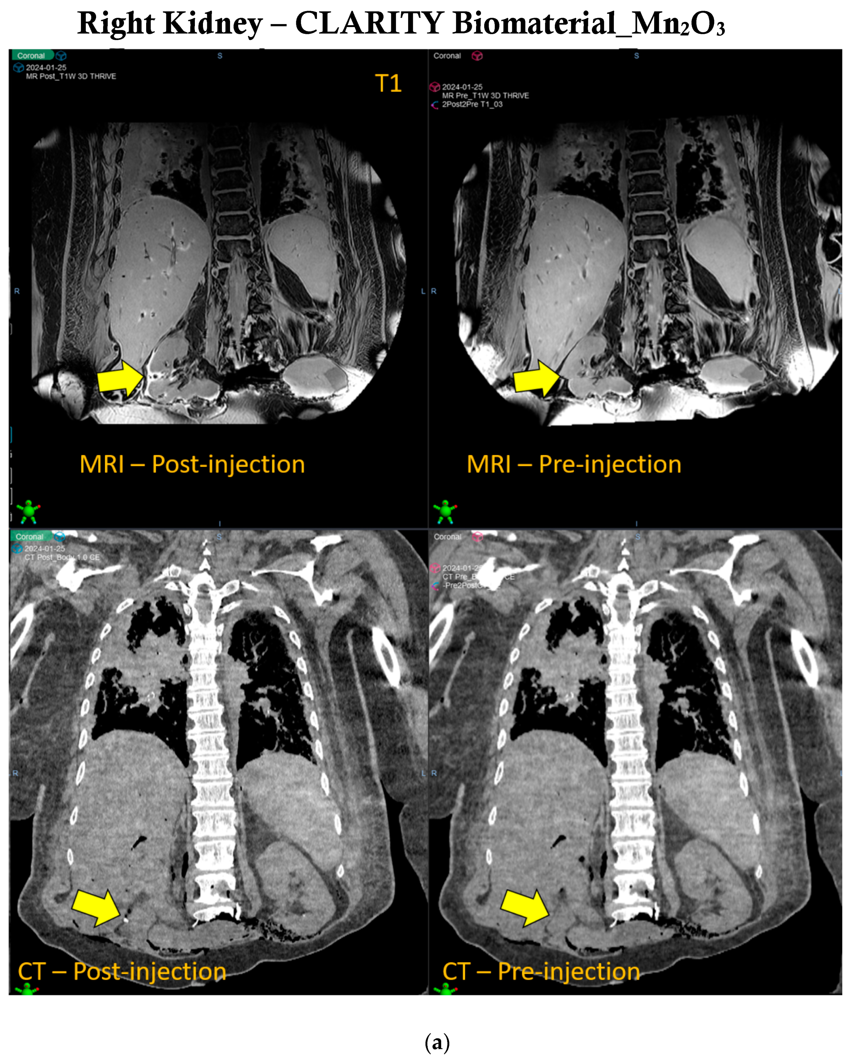
3.2. Image Guidance of CLARITY Biomaterial in Pancreatic Cancer
3.3. Efficacy of CLARITY Biomaterial in Pancreatic Cancer
4. Discussion
5. Conclusions
Supplementary Materials
Author Contributions
Funding
Institutional Review Board Statement
Informed Consent Statement
Data Availability Statement
Acknowledgments
Conflicts of Interest
References
- Brouwer, C.L.; Steenbakkers, R.J.H.M.; Bourhis, J.; Budach, W.; Grau, C.; Grégoire, V.; van Herk, M.; Lee, A.; Maingon, P.; Nutting, C.; et al. CT-Based Delineation of Organs at Risk in the Head and Neck Region: DAHANCA, EORTC, GORTEC, HKNPCSG, NCIC CTG, NCRI, NRG Oncology and TROG Consensus Guidelines. Radiother. Oncol. 2015, 117, 83–90. [Google Scholar] [CrossRef] [PubMed]
- Ezzell, G.A.; Galvin, J.M.; Low, D.; Palta, J.R.; Rosen, I.; Sharpe, M.B.; Xia, P.; Xiao, Y.; Xing, L.; Yu, C.X. Guidance Document on Delivery, Treatment Planning, and Clinical Implementation of IMRT: Report of the IMRT Subcommittee of the AAPM Radiation Therapy Committee. Med. Phys. 2003, 30, 2089–2115. [Google Scholar] [CrossRef]
- Kestin, L.L.; Sharpe, M.B.; Frazier, R.C.; Vicini, F.A.; Yan, D.; Matter, R.C.; Martinez, A.A.; Wong, J.W. Intensity Modulation to Improve Dose Uniformity with Tangential Breast Radiotherapy: Initial Clinical Experience. Int. J. Radiat. Oncol. 2000, 48, 1559–1568. [Google Scholar] [CrossRef] [PubMed]
- Xing, L.; Thorndyke, B.; Schreibmann, E.; Yang, Y.; Li, T.-F.; Kim, G.-Y.; Luxton, G.; Koong, A. Overview of Image-Guided Radiation Therapy. Med. Dosim. 2006, 31, 91–112. [Google Scholar] [CrossRef]
- Young, M.R.; Yu, J.B. Intensity Modulated Radiotherapy and Image Guidance. In Prostate Cancer; Elsevier: Amsterdam, The Netherlands, 2016; pp. 413–426. [Google Scholar]
- Moningi, S.; Abi Jaoude, J.; Kouzy, R.; Lin, D.; Nguyen, N.D.; Garcia Garcia, C.J.; Phan, J.L.; Avila, S.; Smani, D.; Cazacu, I.M.; et al. Impact of Fiducial Marker Placement Before Stereotactic Body Radiation Therapy on Clinical Outcomes in Patients With Pancreatic Cancer. Adv. Radiat. Oncol. 2021, 6, 100621. [Google Scholar] [CrossRef]
- Moskalenko, M.; Jones, B.L.; Mueller, A.; Lewis, S.; Shiao, J.C.; Zakem, S.J.; Robin, T.P.; Goodman, K.A. Fiducial Markers Allow Accurate and Reproducible Delivery of Liver Stereotactic Body Radiation Therapy. Curr. Oncol. 2023, 30, 5054–5061. [Google Scholar] [CrossRef] [PubMed]
- Saad, A.; Goldstein, J.; Lawrence, Y.R.; Weiss, I.; Saad, R.; Spieler, B.; Symon, Z. Transperineal Implantation of Gold Fiducial Markers (Gold Seeds) for Prostate Image-guided Radiation Therapy: A Feasible Technique Associated with a Low Risk of Complications. J. Med. Radiat. Sci. 2015, 62, 261–266. [Google Scholar] [CrossRef]
- de Blanck, S.R.; Scherman-Rydhög, J.; Siemsen, M.; Christensen, M.; Baeksgaard, L.; Irming Jølck, R.; Specht, L.; Andresen, T.L.; Persson, G.F. Feasibility of a Novel Liquid Fiducial Marker for Use in Image Guided Radiotherapy of Oesophageal Cancer. Br. J. Radiol. 2018, 91, 20180236. [Google Scholar] [CrossRef] [PubMed]
- Serizawa, I.; Kozuka, T.; Soyano, T.; Sasamura, K.; Kamima, T.; Kunogi, H.; Kurihara, N.; Numao, N.; Yamamoto, S.; Yonese, J.; et al. Clinical and Dosimetric Comparison Between Non-Image Guided Radiation Therapy and Fiducial-Based Image Guided Radiation Therapy With or Without Reduced Margin in Intensity Modulated Radiation Therapy for Prostate Cancer. Adv. Radiat. Oncol. 2024, 9, 101612. [Google Scholar] [CrossRef]
- Camus, M.; Karsenti, D.; Levy, J.; Moreno, M.; Coron, E.; Esch, A.; Williet, N.; Wangermez, M.; Koch, S.; Valats, J.C.; et al. Success Rate of Fiducial Markers Placement for Treatment of Esophageal or Rectal Cancers, a Prospective Multicenter Study (FIDECHO Study). Gastrointest. Endosc. 2024; online ahead of print. [Google Scholar] [CrossRef]
- Sarma, G.; Kashya, H.; Medhi, P.P.; Kalita, R.; Lahkar, D. Unravelling the Landscape of Image-Guided Radiotherapy: A Comprehensive Overview. Palliat. Med. Pract. 2024. [Google Scholar] [CrossRef]
- Sengupta, C.; Nguyen, D.T.; Moodie, T.; Mason, D.; Luo, J.; Causer, T.; Liu, S.F.; Brown, E.; Inskip, L.; Hazem, M.; et al. The First Clinical Implementation of Real-Time 6 Degree-of-Freedom Image-Guided Radiotherapy for Liver SABR Patients. Radiother. Oncol. 2024, 190, 110031. [Google Scholar] [CrossRef]
- Azzarouali, S.; Goudschaal, K.; Visser, J.; Bel, A.; Daniëls, L.; den Boer, D. Cone-Beam Computed Tomography-Guided Online Adaptive Radiotherapy: Promising Results for Bladder Cancer Case. Cureus 2024, 16, e68863. [Google Scholar] [CrossRef]
- Moreau, M.; Acter, S.; Ngema, L.M.; Bih, N.; Sy, G.; Keno, L.S.; Chow, K.F.; Sajo, E.; Nebangwa, O.; Walker, J.; et al. Pre-Clinical Investigations of the Pharmacodynamics of Immunogenic Smart Radiotherapy Biomaterials (ISRB). Pharmaceutics 2023, 15, 2778. [Google Scholar] [CrossRef]
- Opbroek, T.J.S.; Willems, Y.C.P.; Verhaegen, F.; de Ridder, R.; Hoge, C.; Melenhorst, J.; Bakers, F.; Grabsch, H.I.; Buijsen, J.; Van Limbergen, E.J.; et al. BioXmark® Liquid Fiducials to Enable Radiotherapy Tumor Boosting in Rectal Cancer, a Feasibility Trial. Clin. Transl. Radiat. Oncol. 2023, 38, 90–95. [Google Scholar] [CrossRef]
- Moreau, M.; Richards, G.; Yasmin-Karim, S.; Narang, A.; Deville, C.; Ngwa, W. A Liquid Immunogenic Fiducial Eluter for Image-Guided Radiotherapy. Front. Oncol. 2022, 12, 1020088. [Google Scholar] [CrossRef]
- Moreau, M.; Keno, L.S.; China, D.; Mao, S.; Acter, S.; Sy, G.; Hooshangnejad, H.; Chow, K.F.; Sajo, E.; Walker, J.; et al. Investigating the Use of a Liquid Immunogenic Fiducial Eluter Biomaterial in Cervical Cancer Treatment. Cancers 2024, 16, 1212. [Google Scholar] [CrossRef]
- Ngwa, W.; Boateng, F.; Kumar, R.; Irvine, D.J.; Formenti, S.; Ngoma, T.; Herskind, C.; Veldwijk, M.R.; Hildenbrand, G.L.; Hausmann, M.; et al. Smart Radiation Therapy Biomaterials. Int. J. Radiat. Oncol. 2017, 97, 624–637. [Google Scholar] [CrossRef]
- Soni, K.S.; Desale, S.S.; Bronich, T.K. Nanogels: An Overview of Properties, Biomedical Applications and Obstacles to Clinical Translation. J. Control Release 2016, 240, 109–126. [Google Scholar] [CrossRef]
- Tripathy, S.; Verma, D.K.; Gupta, A.K.; Srivastav, P.P.; Patel, A.R.; Chávez González, M.L.; Utama, G.L.; Aguilar, C.N. Nanoencapsulation of Biofunctional Components as a Burgeoning Nanotechnology-Based Approach for Functional Food Development: A Review. Biocatal. Agric. Biotechnol. 2023, 53, 102890. [Google Scholar] [CrossRef]
- Xu, F.; Zhu, J.; Lin, L.; Zhang, C.; Sun, W.; Fan, Y.; Yin, F.; van Hest, J.C.M.; Wang, H.; Du, L.; et al. Multifunctional PVCL Nanogels with Redox-Responsiveness Enable Enhanced MR Imaging and Ultrasound-Promoted Tumor Chemotherapy. Theranostics 2020, 10, 4349–4358. [Google Scholar] [CrossRef]
- Cho, M.; Sethi, R.; Ananta narayanan, J.S.; Lee, S.S.; Benoit, D.N.; Taheri, N.; Decuzzi, P.; Colvin, V.L. Gadolinium Oxide Nanoplates with High Longitudinal Relaxivity for Magnetic Resonance Imaging. Nanoscale 2014, 6, 13637–13645. [Google Scholar] [CrossRef]
- Sun, W.; Thies, S.; Zhang, J.; Peng, C.; Tang, G.; Shen, M.; Pich, A.; Shi, X. Gadolinium-Loaded Poly(N -Vinylcaprolactam) Nanogels: Synthesis, Characterization, and Application for Enhanced Tumor MR Imaging. ACS Appl. Mater. Interfaces 2017, 9, 3411–3418. [Google Scholar] [CrossRef]
- Yang, G.; Xu, L.; Chao, Y.; Xu, J.; Sun, X.; Wu, Y.; Peng, R.; Liu, Z. Hollow MnO2 as a Tumor-Microenvironment-Responsive Biodegradable Nano-Platform for Combination Therapy Favoring Antitumor Immune Responses. Nat. Commun. 2017, 8, 902. [Google Scholar] [CrossRef]
- Hsu, B.Y.W.; Kirby, G.; Tan, A.; Seifalian, A.M.; Li, X.; Wang, J. Relaxivity and Toxicological Properties of Manganese Oxide Nanoparticles for MRI Applications. RSC Adv. 2016, 6, 45462–45474. [Google Scholar] [CrossRef]
- Martinez de la Torre, C.; Grossman, J.H.; Bobko, A.A.; Bennewitz, M.F. Tuning the Size and Composition of Manganese Oxide Nanoparticles through Varying Temperature Ramp and Aging Time. PLoS ONE 2020, 15, e0239034. [Google Scholar] [CrossRef]
- Nie, D.; Zhu, Y.; Guo, T.; Yue, M.; Lin, M. Research Advance in Manganese Nanoparticles in Cancer Diagnosis and Therapy. Front. Mater. 2022, 9, 857385. [Google Scholar] [CrossRef]
- Liu, Z.; Zhang, S.; Lin, H.; Zhao, M.; Yao, H.; Zhang, L.; Peng, W.; Chen, Y. Theranostic 2D Ultrathin MnO2 Nanosheets with Fast Responsibility to Endogenous Tumor Microenvironment and Exogenous NIR Irradiation. Biomaterials 2018, 155, 54–63. [Google Scholar] [CrossRef]
- Bonet-Aleta, J.; Calzada-Funes, J.; Hueso, J.L. Manganese Oxide Nano-Platforms in Cancer Therapy: Recent Advances on the Development of Synergistic Strategies Targeting the Tumor Microenvironment. Appl. Mater. Today 2022, 29, 101628. [Google Scholar] [CrossRef]
- Ding, B.; Zheng, P.; Ma, P.; Lin, J. Manganese Oxide Nanomaterials: Synthesis, Properties, and Theranostic Applications. Adv. Mater. 2020, 32, 1905823. [Google Scholar] [CrossRef]
- Siegel, R.L.; Giaquinto, A.N.; Jemal, A. Cancer Statistics, 2024. CA Cancer J. Clin. 2024, 74, 12–49. [Google Scholar] [CrossRef]
- Dizon, D.S.; Kamal, A.H. Cancer Statistics 2024: All Hands on Deck. CA Cancer J. Clin. 2024, 74, 8–9. [Google Scholar] [CrossRef]
- Kenner, B.J.; Chari, S.T.; Maitra, A.; Srivastava, S.; Cleeter, D.F.; Go, V.L.W.; Rothschild, L.J.; Goldberg, A.E. Early Detection of Pancreatic Cancer—A Defined Future Using Lessons From Other Cancers. Pancreas 2016, 45, 1073–1079. [Google Scholar] [CrossRef]
- Bekkali, N.H.; Oppong, K. Pancreatic Ductal Adenocarcinoma Epidemiology and Risk Assessment: Could We Prevent? Possibility for an Early Diagnosis. Endosc. Ultrasound 2017, 6, 58. [Google Scholar] [CrossRef]
- Yu, J.; Blackford, A.L.; dal Molin, M.; Wolfgang, C.L.; Goggins, M. Time to Progression of Pancreatic Ductal Adenocarcinoma from Low-to-High Tumour Stages. Gut 2015, 64, 1783–1789. [Google Scholar] [CrossRef]
- He, R.; Jiang, W.; Wang, C.; Li, X.; Zhou, W. Global Burden of Pancreatic Cancer Attributable to Metabolic Risks from 1990 to 2019, with Projections of Mortality to 2030. BMC Public Health 2024, 24, 456. [Google Scholar] [CrossRef]
- Silverman, D.T.; Hoover, R.N.; Brown, L.M.; Swanson, G.M.; Schiffman, M.; Greenberg, R.S.; Hayes, R.B.; Lillemoe, K.D.; Schoenberg, J.B.; Schwartz, A.G.; et al. Why Do Black Americans Have a Higher Risk of Pancreatic Cancer than White Americans? Epidemiology 2003, 14, 45–54. [Google Scholar] [CrossRef]
- Hong, S.S.; Bae, S.H.; Hwang, J.; Lee, E.J. Transperineal versus Transrectal Prostate Fiducial Insertion in Radiation Treatment of Prostate Cancer: A Systematic Review and Meta-Analysis. Ultrasonography 2024, 43, 229–237. [Google Scholar] [CrossRef]
- Cendales, R.; Torres, F.; Arbelaez, J.; Gaitan, A.; Vasquez, J.; Bobadilla, I. Displacements of Fiducial Markers in Patients with Prostate Cancer Treated with Image Guided Radiotherapy: A Single-Institution Descriptive Study. Rep. Pract. Oncol. Radiother. 2015, 20, 38–42. [Google Scholar] [CrossRef][Green Version]
- Liu, X.; Kifle, M.T.; Xie, H.; Xu, L.; Luo, M.; Li, Y.; Huang, Z.; Gong, Y.; Wu, Y.; Xie, C. Biomineralized Manganese Oxide Nanoparticles Synergistically Relieve Tumor Hypoxia and Activate Immune Response with Radiotherapy in Non-Small Cell Lung Cancer. Nanomaterials 2022, 12, 3138. [Google Scholar] [CrossRef]
- Huang, Y.; Ruan, Y.; Ma, Y.; Chen, D.; Zhang, T.; Fan, S.; Lin, W.; Huang, Y.; Lu, H.; Xu, J.-F.; et al. Immunomodulatory Activity of Manganese Dioxide Nanoparticles: Promising for Novel Vaccines and Immunotherapeutics. Front. Immunol. 2023, 14, 1128840. [Google Scholar] [CrossRef]
- Damiri, F.; Bachra, Y.; Bounacir, C.; Laaraibi, A.; Berrada, M. Synthesis and Characterization of Lyophilized Chitosan-Based Hydrogels Cross-Linked with Benzaldehyde for Controlled Drug Release. J. Chem. 2020, 2020, 1–10. [Google Scholar] [CrossRef]
- Suhail, M.; Fang, C.-W.; Chiu, I.-H.; Khan, A.; Wu, Y.-C.; Lin, I.-L.; Tsai, M.-J.; Wu, P.-C. Synthesis and Evaluation of Alginate-Based Nanogels as Sustained Drug Carriers for Caffeine. ACS Omega 2023, 8, 23991–24002. [Google Scholar] [CrossRef]









Disclaimer/Publisher’s Note: The statements, opinions and data contained in all publications are solely those of the individual author(s) and contributor(s) and not of MDPI and/or the editor(s). MDPI and/or the editor(s) disclaim responsibility for any injury to people or property resulting from any ideas, methods, instructions or products referred to in the content. |
© 2024 by the authors. Licensee MDPI, Basel, Switzerland. This article is an open access article distributed under the terms and conditions of the Creative Commons Attribution (CC BY) license (https://creativecommons.org/licenses/by/4.0/).
Share and Cite
Moreau, M.; China, D.; Sy, G.; Ding, K.; Ngwa, W. Customizable Lyophilized Agent for Radiotherapy Imaging and TherapY (CLARITY). J. Funct. Biomater. 2024, 15, 285. https://doi.org/10.3390/jfb15100285
Moreau M, China D, Sy G, Ding K, Ngwa W. Customizable Lyophilized Agent for Radiotherapy Imaging and TherapY (CLARITY). Journal of Functional Biomaterials. 2024; 15(10):285. https://doi.org/10.3390/jfb15100285
Chicago/Turabian StyleMoreau, Michele, Debarghya China, Gnagna Sy, Kai Ding, and Wilfred Ngwa. 2024. "Customizable Lyophilized Agent for Radiotherapy Imaging and TherapY (CLARITY)" Journal of Functional Biomaterials 15, no. 10: 285. https://doi.org/10.3390/jfb15100285
APA StyleMoreau, M., China, D., Sy, G., Ding, K., & Ngwa, W. (2024). Customizable Lyophilized Agent for Radiotherapy Imaging and TherapY (CLARITY). Journal of Functional Biomaterials, 15(10), 285. https://doi.org/10.3390/jfb15100285

