An Innovative 3D Printed Tooth Reduction Guide for Precise Dental Ceramic Veneers
Abstract
1. Introduction
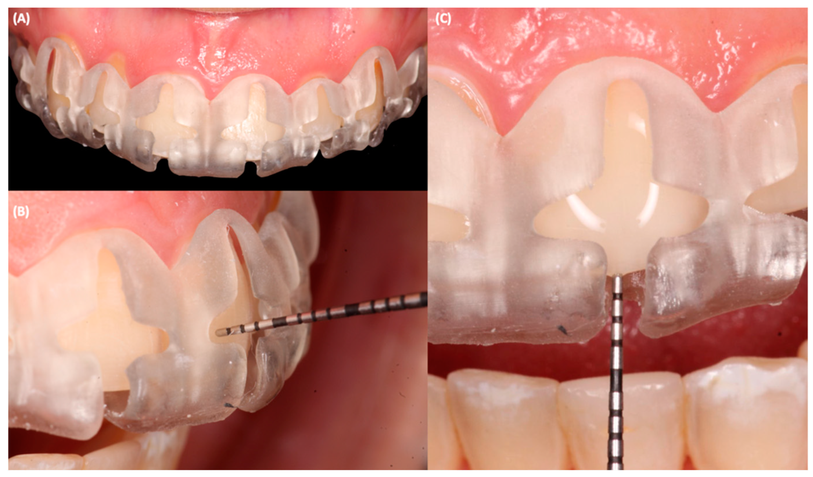
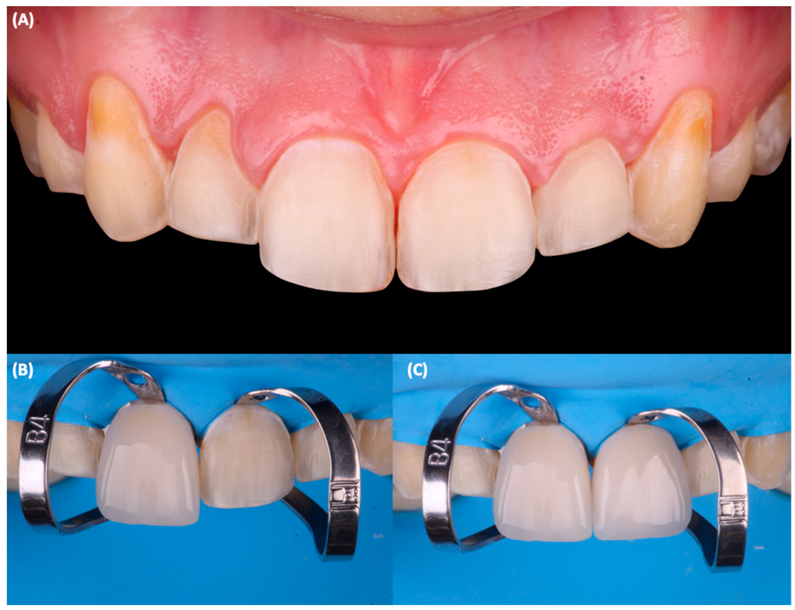
2. Case Report
3. Results of Treatment
4. Discussion
5. Conclusions
Author Contributions
Funding
Institutional Review Board Statement
Informed Consent Statement
Data Availability Statement
Acknowledgments
Conflicts of Interest
References
- Sriphadungporn, C.; Chamnannidiadha, N. Perception of smile esthetics by laypeople of different ages. Prog. Orthod. 2017, 18, 8. [Google Scholar] [CrossRef] [PubMed]
- Bos, A.; Hoogstraten, J.; Prahl-Andersen, B. Expectations of treatment and satisfaction with dentofacial appearance in orthodontic patients. Am. J. Orthod. Dentofac. Orthop. 2003, 123, 127–132. [Google Scholar] [CrossRef] [PubMed]
- Jurado, C.A.; Parachuru, V.; Tinoco, J.V.; Guzman-Perez, G.; Tsujimoto, A.; Javvadi, R.; Afrashtehfar, K.I. Diagnostic Mock-Up as a Surgical Reduction Guide for Crown Lengthening: Technique Description and Case Report. Medicina 2022, 58, 1360. [Google Scholar] [CrossRef]
- Blatz, M.B.; Chiche, G.; Bahat, O.; Roblee, R.; Coachman, C.; Heymann, H.O. Evolution of Aesthetic Dentistry. J. Dent. Res. 2019, 98, 1294–1304. [Google Scholar] [CrossRef] [PubMed]
- Sarver, D.M.; Ackerman, M.B. Dynamic smile visualization and quantification: Part 2. Smile analysis and treatment strategies. Am. J. Orthod. Dentofac. Orthop. 2003, 124, 116–127. [Google Scholar] [CrossRef] [PubMed]
- Abbasi, M.S.; Lal, A.; Das, G.; Salman, F.; Akram, A.; Ahmed, A.R.; Maqsood, A.; Ahmed, N. Impact of Social Media on Aesthetic Dentistry: General Practitioners’ Perspectives. Healthcare 2022, 10, 2055. [Google Scholar] [CrossRef]
- Christensen, G.J. How the trend to elective dental procedures influences your practice. J. Am. Dent. Assoc. 1998, 129, 355–356. [Google Scholar] [CrossRef]
- Kelleher, M.G.D.; Djemal, S.; Lewis, N. Ethical marketing in ‘aesthetic’ (‘esthetic’) or ‘cosmetic dentistry’. Part 3. Dent. Update 2012, 39, 472–486. [Google Scholar] [CrossRef]
- Moon, J.E.; Kim, S.H.; Han, J.S.; Yang, J.H.; Lee, J.B. Esthetic restorations of maxillary anterior teeth with orthodontic treatment and porcelain laminate veneers: A case report. J. Adv. Prosthodont. 2010, 2, 61–63. [Google Scholar] [CrossRef]
- Villalobos-Tinoco, J.; Fischer, N.G.; Jurado, C.A.; Sayed, M.E.; Feregrino-Mendez, M.; Garcia, O.D.L.M.; Tsujimoto, A. Combining a single implant and a veneer restoration in the esthetic zone. Int. J. Esthet. Dent. 2020, 15, 428–439. [Google Scholar]
- Park, D.J.; Yang, J.H.; Lee, J.B.; Kim, S.H.; Han, J.S. Esthetic improvement in the patient with one missing maxillary central incisor restored with porcelain laminate veneers. J. Adv. Prosthodont. 2010, 2, 77–80. [Google Scholar] [CrossRef] [PubMed]
- Tinoco, J.V.; Jurado, C.A.; Sayed, M.E.; Cortes, J.O.G.; Kaleinikova, Z.; Hernandez, A.; Alshabib, A.; Tsujimoto, A. Conservative approach for management of fractured maxillary central incisors in young adults. Clin. Case Rep. 2020, 8, 2692–2700. [Google Scholar] [CrossRef] [PubMed]
- Faus-Matoses, V.; Faus-Matoses, I.; Ruiz-Bell, E.; Faus-Llácer, V.J. Severe tetracycline dental discoloration: Restoration with conventional feldspathic ceramic veneers. A clinical report. J. Clin. Exp. Dent. 2017, 9, e1379–e1382. [Google Scholar] [CrossRef] [PubMed]
- Miller, B.J. Porcelain veneers. Dent. Update 1987, 14, 381–390. [Google Scholar]
- Weinberg, L.A. Tooth preparation for Porcelain veneers. N. Y. State Dent. J. 1989, 55, 25–28. [Google Scholar]
- Jurado, C.A.; Fischer, N.G.; Mourad, F.; Villalobos-Tinoco, J.; Tsujimoto, A. Conservative Ultrathin Veneer Restorations with Minimal Reduction: A 5-year Follow-up Report. J. Contemp. Dent. Pract. 2020, 21, 1293–1297. [Google Scholar] [CrossRef]
- Sheets, C.G.; Taniguchi, T. Advantages and limitations in the use of porcelain veneer restorations. J. Prosthet. Dent. 1990, 64, 406–411. [Google Scholar] [CrossRef]
- Pimentel, W.; Teixeira, M.L.; Costa, P.P.; Jorge, M.Z.; Tiossi, R. Predictable Outcomes with Porcelain Laminate Veneers: A Clinical Report. J. Prosthodont. 2016, 25, 335–340. [Google Scholar] [CrossRef]
- Jurado, C.; Wfiscatanabe, H.; Tinoco, J.V.; Valenzuela, H.U.; Perez, G.G.; Tsujimoto, A. A Conservative Approach to Ceramic Veneers: A Case Report. Oper. Dent. 2020, 45, 229–234. [Google Scholar] [CrossRef]
- Alberton, S.B.; Alberton, V.; de Carvalho, R.V. Providing a harmonious smile with laminate veneers for a patient with peg-shaped lateral incisors. J. Conserv. Dent. 2017, 20, 210–213. [Google Scholar] [CrossRef]
- Caponi, L.; Raslan, F.; Roig, M. Fabrication of a facially generated tooth reduction guide for minimally invasive preparations: A dental technique. J. Prosthet. Dent. 2022, 127, 689–694. [Google Scholar] [CrossRef] [PubMed]
- Jurado, C.A.; AlResayes, S.; Sayed, M.E.; Villalobos-Tinoco, J.; Llanes-Urias, N.; Tsujimoto, A. A customized metal guide for controllable modification of anterior teeth contour prior to minimally invasive preparation. Saudi Dent. J. 2021, 33, 518–523. [Google Scholar] [CrossRef] [PubMed]
- Bluche, l.; Bluche, P.; Morgano, S. Vacuum-formed matrix as a guide for the fabrication of multiple direct patterns for cast post and cores. J. Prosthet. Dent. 1997, 77, 326–327. [Google Scholar] [CrossRef] [PubMed]
- Chen, Y.; Raigrodski, A. A conservative approach for treating young adult patients with porcelain laminate veneers. J. Esthet. Restor. Dent. 2008, 20, 223–236. [Google Scholar] [CrossRef] [PubMed]
- Heymann, H.O. Conservative concepts for achieving anterior esthetics. J. Calif. Dent. Assoc. 1997, 25, 437–443. [Google Scholar] [CrossRef]
- Magne, P.; Belser, U.C. Novel porcelain laminate preparation approach driven by a diagnostic mock-up. J. Esthet. Restor. Dent. 2004, 16, 7–16, discussion 17–18. [Google Scholar] [CrossRef]
- Gao, J.; He, J.; Fan, L.; Lu, J.; Xie, C.; Yu, H. Accuracy of Reduction Depths of Tooth Preparation for Porcelain Laminate Veneers Assisted by Different Tooth Preparation Guides: An In Vitro Study. J. Prosthodont. 2022, 31, 593–600. [Google Scholar] [CrossRef]
- Choi, J.-W.; Ahn, J.-J.; Son, K.; Huh, J.-B. Three-Dimensional Evaluation on Accuracy of Conventional and Milled Gypsum Models and 3D Printed Photopolymer Models. Materials 2019, 12, 3499. [Google Scholar] [CrossRef]
- Dias Resende, C.C.; Quirino Barbosa, T.A.; Moura, G.F.; Piola Rizzante, F.A.; Gonzaga, L.H.; Januario, A.L.; Mendonça, G.; Domingues das Neves, F.; Zancopé, K. Accuracy of conventional and 3D printed casts for partial fixed prosthesis. Int. J. Prosthodont. 2022, in press. [Google Scholar] [CrossRef]
- Sartori, N.; Ghishan, T.; O’Neill, E.; Hosney, S.; Zoidis, P. Digitally designed and additively manufactured tooth reduction guides for porcelain laminate veneer preparations: A clinical report. J. Prosthet. Dent. 2022, in press. [Google Scholar] [CrossRef]
- Fiori, A.; Minervini, G.; Nucci, L.; d’Aupuzzo, F.; Perillo, L.; Grassia, V. Predictability of crowding resolution in clear aligner treatment. Prog. Orthod. 2022, 23, 43. [Google Scholar] [CrossRef] [PubMed]
- Jurado, C.A.; Tsujimoto, A.; Tanaka, K.; Watanabe, H.; Fischer, N.G.; Barkmeier, W.W.; Takamizawa, T.; Latta, M.A.; Miyazaki, M. 3D printed coping for intraoral evaluation: A clinical report. Quintessence Int. 2019, 50, 534–538. [Google Scholar] [CrossRef] [PubMed]
- Rekow, E.D. Digital dentistry: The new state of the art—Is it disruptive or destructive? Dent. Mater. 2020, 36, 9–24. [Google Scholar] [CrossRef] [PubMed]
- Jurado, C.A.; Tsujimoto, A.; Punj, A.; Aida, N.; Miyazaki, M.; Watanabe, H. Successful development and implementation of a digital dentistry curriculum at a US dental school. J. Oral Sci. 2021, 63, 358–360. [Google Scholar] [CrossRef]
- Afrashtehfar, K.I.; Jurado, C.A.; Moshaverinia, A. Dynamic navigation may be used for most implant surgery scenarios due to its satisfactory accuracy. J. Evid. Based Dent. Pract. 2022, 22, 101797. [Google Scholar] [CrossRef]
- Ahmad, S.; Hasan, N.; Fauziya; Gupta, A.; Nadaf, A.; Ahmad, L.; Aqil, M.; Kesharwani, P. Review on 3D printing in dentistry: Conventional to personalized dental care. J. Biomater. Sci. Polym. Ed. 2022, 33, 2292–2323. [Google Scholar] [CrossRef]
- Dawood, A.; Marti Marti, B.; Sauret-Jackson, V.; Darwood, A. 3D printing in dentistry. Br. Dent. J. 2015, 219, 521–529, Erratum in Br. Dent. J. 2016, 220, 86. [Google Scholar] [CrossRef]
- Kasparova, M. Possibility of reconstruction of dental plaster cast from 3D digital study models. Biomed. Eng. Online 2013, 12, 49. [Google Scholar] [CrossRef]
- Jeong, Y.G.; Lee, W.S.; Lee, K.B. Accuracy evaluation of dental models manufactured by CAD/CAM milling method and 3D printing method. J. Adv. Prosthodont. 2018, 10, 245–251. [Google Scholar] [CrossRef]
- Papazoglou, E.; Ntovas, P.; Charalambous, C.; Tsanais, E.; Koubi, S. Digitally designed reduction guide to correct proclined anterior teeth: An aid before fabricating trial restorations. J. Prosthet. Dent. 2023, 129, 14–17. [Google Scholar] [CrossRef]
- Raigrodski, A.J. Multipurpose application of custom, rigid, clear matrix for fabricating trial restorations, tooth preparation guides, and interim veneers. J. Prosthet. Dent. 2022, 128, 560–565. [Google Scholar] [CrossRef] [PubMed]
- Gao, J.; Li, J.; Liu, C.; Fan, L.; Yu, J.; Yu, H. A stereolithographic template for computer-assisted teeth preparation in dental esthetic ceramic veneer treatment. J. Esthet. Restor. Dent. 2020, 32, 763–769. [Google Scholar] [CrossRef] [PubMed]
- Luo, T.; Zhang, J.; Fan, L.; Huang, Y.; Yu, J.; Yu, H. A digital workflow with the virtual enamel evaluation and stereolithographic template for accurate tooth preparation to conservatively manage a case of complex exogenous dental erosion. J. Esthet. Restor. Dent. 2022, 34, 733–740. [Google Scholar] [CrossRef] [PubMed]
- Silva, B.P.D.; Stanley, K.; Gardee, J. Laminate veneers: Preplanning and treatment using digital guided tooth preparation. J. Esthet. Restor. Dent. 2020, 32, 150–160. [Google Scholar] [CrossRef]
- Cho, S.H.; Nagy, W.W. Labial reduction guide for laminate veneer preparation. J. Prosthet. Dent. 2015, 114, 490–492. [Google Scholar] [CrossRef]
- Nasser, A. Rubber Dam Isolation—When and Why to Use it? Part 1. BDJ Stud. 2021, 28, 40–41. [Google Scholar] [CrossRef]
- Lynch, C.D.; McConnell, R.J. Attitudes and use of rubber dam by Irish general dental practitioners. Int. Endod. J. 2007, 40, 427–432. [Google Scholar] [CrossRef]
- Baltadjian, H.; Mahseredjian, S. Temps de mise en place de la digue de caoutchouc par des finissants en médecine dentaire de l’Université de Montréal [Time taken to position a rubber dam by fourth year dental students at the University of Montreal]. J. Can. Dent. Assoc. 1992, 58, 228–229. (In French) [Google Scholar]
- Barros de Campos, P.R.; Maia, R.R.; Rodrigues de Menezes, L.; Barbosa, I.F.; Carneiro da Cunha, A.; da Silveira Pereira, G.D. Rubber dam isolation—Key to success in diastema closure technique with direct composite resin. Int. J. Esthet. Dent. 2015, 10, 564–574. [Google Scholar]
- Patel, S.; Hamer, S. A simple guide to using dental dam. Br. Dent. J. 2021, 230, 644–650. [Google Scholar] [CrossRef]
- Samaranayake, L.P.; Reid, J.; Evans, D. The efficacy of rubber dam isolation in reducing atmospheric bacterial contamination. ASDC J. Dent. Child. 1989, 56, 442–444. [Google Scholar] [PubMed]
- Hylin, D.L.; Henry, C.A. Effectiveness of rubber dam in control of bacterial aerosols from high-speed handpieces. Tex. Dent. J. 1985, 102, 10–11. [Google Scholar] [PubMed]
- Jurado, C.A.; Lederman, R.; Cohen, J.; Tsujimoto, A. Intraoral Scanning with Rubber Dam Isolation in Place for Fabrication of a Chairside Computer-assisted Design and Computer-assisted Manufacture Ceramic Restoration. J. Contemp. Dent. Pract. 2021, 22, 943–946. [Google Scholar] [PubMed]
- Falacho, R.I.; Melo, E.A.; Marques, J.A.; Ramos, J.C.; Guerra, F.; Blatz, M.B. Clinical in-situ evaluation of the effect of rubber dam isolation on bond strength to enamel. J. Esthet. Restor. Dent. 2022, 35, 48–55. [Google Scholar] [CrossRef] [PubMed]
- Pini, N.P.; Aguiar, F.H.; Lima, D.A.; Lovadino, J.R.; Terada, R.S.; Pascotto, R.C. Advances in dental veneers: Materials, applications, and techniques. Clin. Cosmet. Investig. Dent. 2012, 4, 9–16. [Google Scholar] [CrossRef]
- Sulaiman, T.A. Materials in digital dentistry—A review. J. Esthet. Restor. Dent. 2020, 32, 171–181. [Google Scholar] [CrossRef]
- Blatz, M.B.; Conejo, J. The Current State of Chairside Digital Dentistry and Materials. Dent. Clin. N. Am. 2019, 63, 175–197. [Google Scholar] [CrossRef]
- Cotert, H.; Dundar, M.; Ozturk, B. The effect of various preparation designs of the survival or porcelain laminate veneers. J. Adhes. Dent. 2009, 11, 405–411. [Google Scholar]
- Sadowsky, S. An overview of treatment considerations for esthetic restorations: A review of the literature. J. Prosthet. Dent. 2006, 96, 433–442. [Google Scholar] [CrossRef]
- Imburgia, M.; Lerner, H.; Mangano, F. A Retrospective Clinical Study on 1075 Lithium Disilicate CAD/CAM Veneers with Feather-Edge Margins Cemented on 105 Patients. Eur. J. Prosthodont. Restor. Dent. 2021, 29, 54–63. [Google Scholar] [CrossRef]
- Aslan, Y.U.; Uludamar, A.; Özkan, Y. Retrospective Analysis of Lithium Disilicate Laminate Veneers Applied by Experienced Dentists: 10-Year Results. Int. J. Prosthodont. 2019, 32, 471–474. [Google Scholar] [CrossRef] [PubMed]






Disclaimer/Publisher’s Note: The statements, opinions and data contained in all publications are solely those of the individual author(s) and contributor(s) and not of MDPI and/or the editor(s). MDPI and/or the editor(s) disclaim responsibility for any injury to people or property resulting from any ideas, methods, instructions or products referred to in the content. |
© 2023 by the authors. Licensee MDPI, Basel, Switzerland. This article is an open access article distributed under the terms and conditions of the Creative Commons Attribution (CC BY) license (https://creativecommons.org/licenses/by/4.0/).
Share and Cite
Robles, M.; Jurado, C.A.; Azpiazu-Flores, F.X.; Villalobos-Tinoco, J.; Afrashtehfar, K.I.; Fischer, N.G. An Innovative 3D Printed Tooth Reduction Guide for Precise Dental Ceramic Veneers. J. Funct. Biomater. 2023, 14, 216. https://doi.org/10.3390/jfb14040216
Robles M, Jurado CA, Azpiazu-Flores FX, Villalobos-Tinoco J, Afrashtehfar KI, Fischer NG. An Innovative 3D Printed Tooth Reduction Guide for Precise Dental Ceramic Veneers. Journal of Functional Biomaterials. 2023; 14(4):216. https://doi.org/10.3390/jfb14040216
Chicago/Turabian StyleRobles, Manuel, Carlos A. Jurado, Francisco X. Azpiazu-Flores, Jose Villalobos-Tinoco, Kelvin I. Afrashtehfar, and Nicholas G. Fischer. 2023. "An Innovative 3D Printed Tooth Reduction Guide for Precise Dental Ceramic Veneers" Journal of Functional Biomaterials 14, no. 4: 216. https://doi.org/10.3390/jfb14040216
APA StyleRobles, M., Jurado, C. A., Azpiazu-Flores, F. X., Villalobos-Tinoco, J., Afrashtehfar, K. I., & Fischer, N. G. (2023). An Innovative 3D Printed Tooth Reduction Guide for Precise Dental Ceramic Veneers. Journal of Functional Biomaterials, 14(4), 216. https://doi.org/10.3390/jfb14040216

