Full-Mouth Rehabilitation of a Patient with Sjogren’s Syndrome with Maxillary Titanium-Zirconia and Mandibular Monolithic Zirconia Implant Prostheses Fabricated with CAD/CAM Technology: A Clinical Report
Abstract
1. Introduction
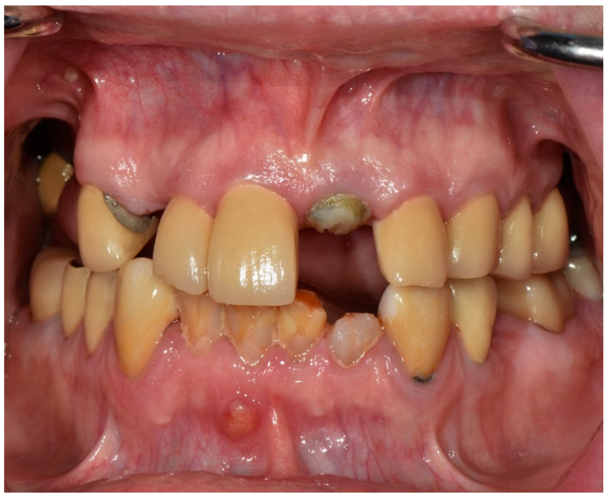
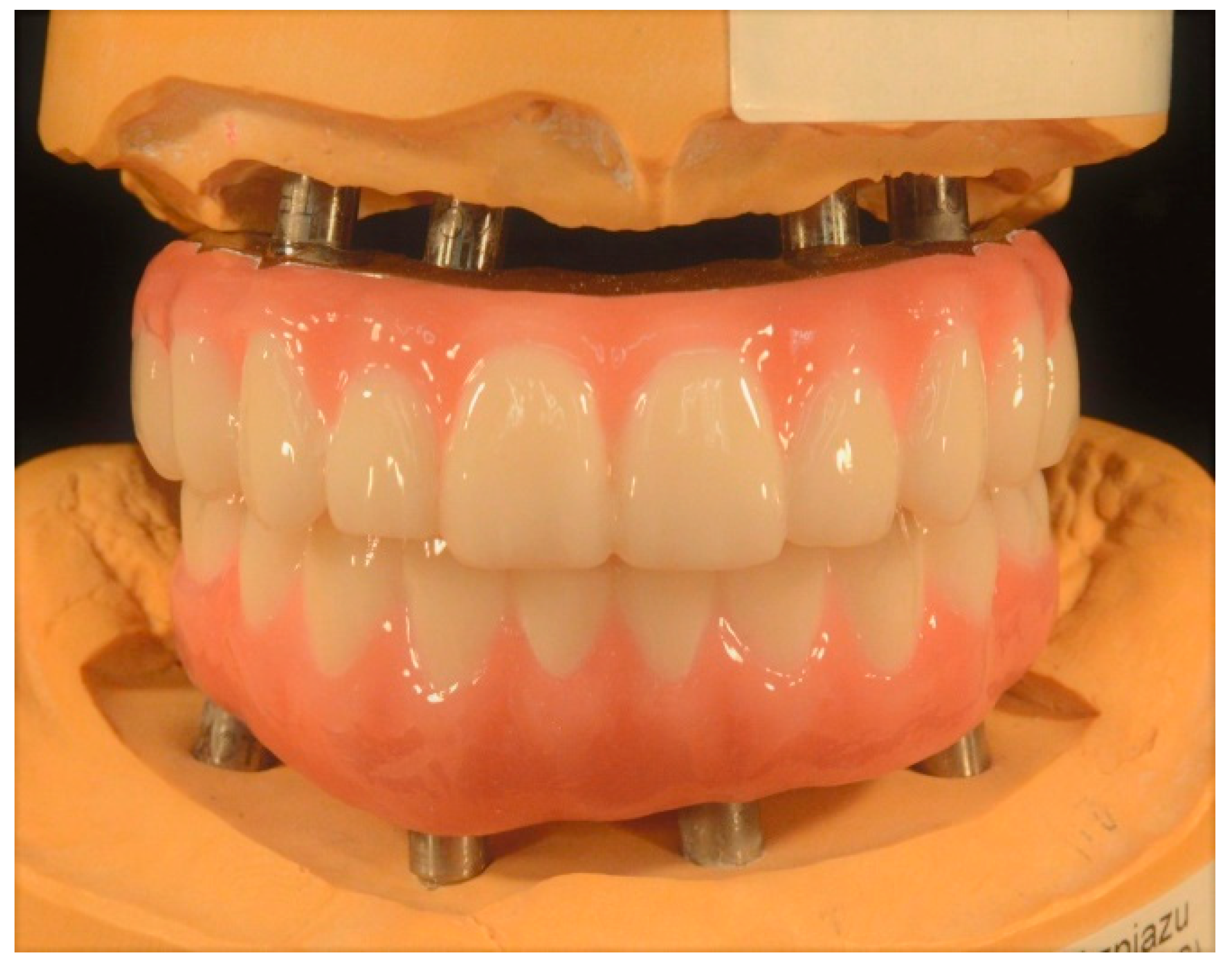
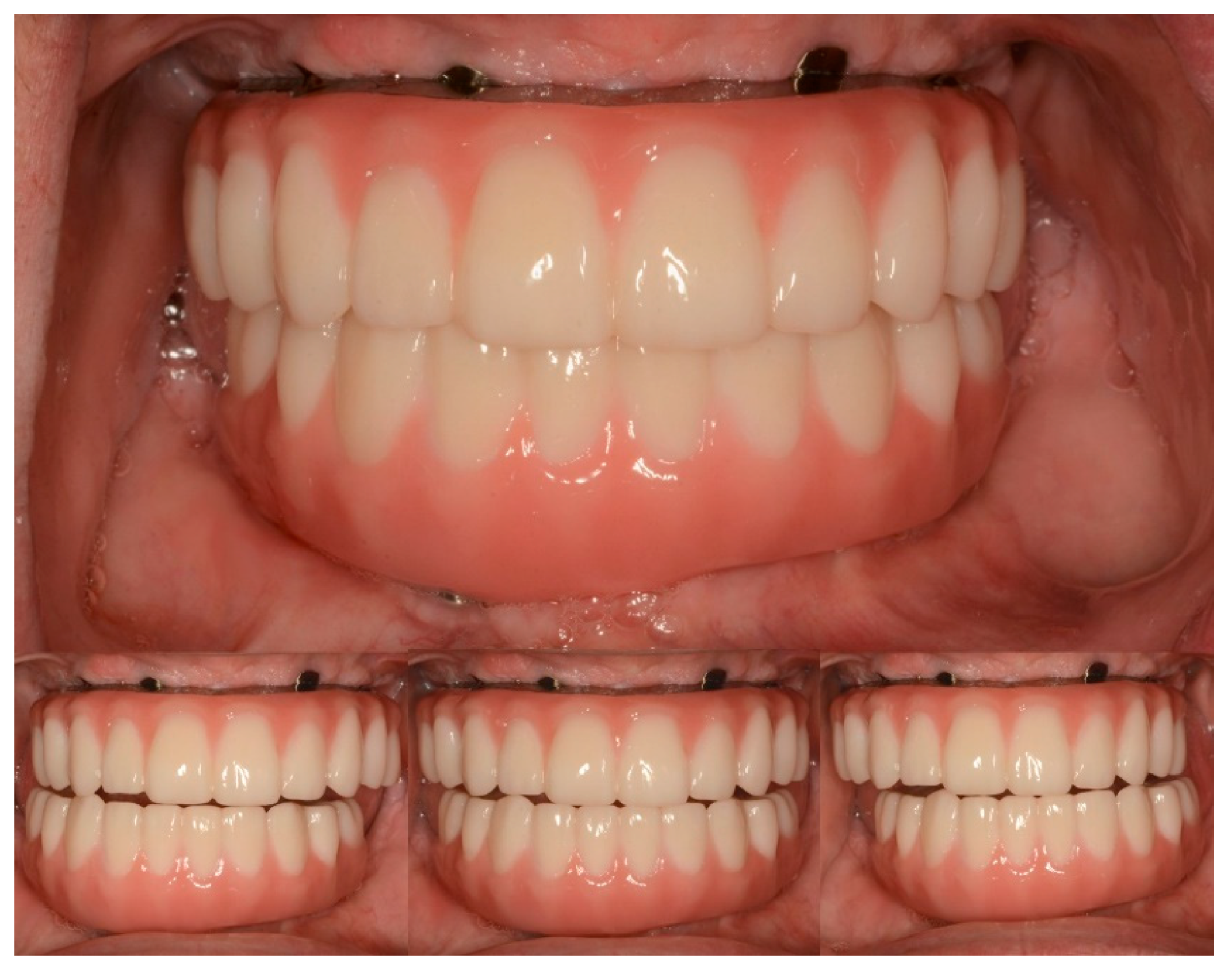
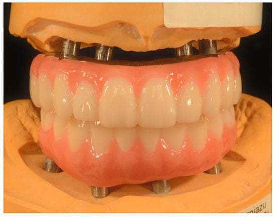
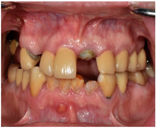
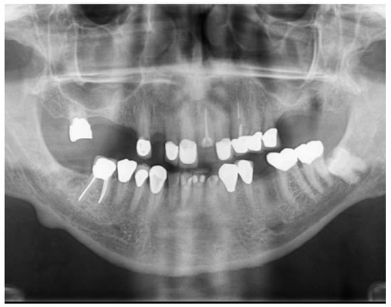
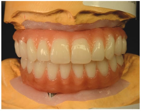
2. Materials and Methods
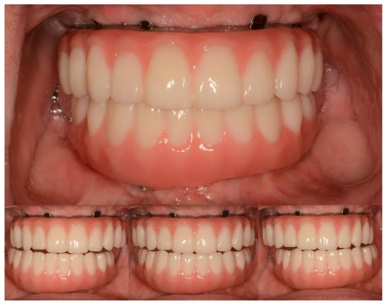
3. Results
4. Discussion
5. Conclusions
Author Contributions
Funding
Institutional Review Board Statement
Informed Consent Statement
Data Availability Statement
Acknowledgments
Conflicts of Interest
References
- Slutzkey, G.S.; Cohen, O.; Chaushu, L.; Rahmanov, A.; Mijiritsky, E.; Beitlitum, I.; Kolerman, R. Immediate Maxillary Full-Arch Rehabilitation of Periodontal Patients with Terminal Dentition Using Tilted Implants and Bone Augmentation: A 5-Year Retrospective Cohort Study. J. Clin. Med. 2022, 11, 2902. [Google Scholar] [CrossRef] [PubMed]
- Mathews, S.; Kurien, B.; Scofield, R. Oral Manifestations of Sjögren’s Syndrome. J. Dent. Res. 2008, 87, 308–318. [Google Scholar] [CrossRef]
- Thompson, M.J. Masticatory Efficiency as Related to Cusp form in Denture Prosthesis. J. Am. Dent. Assoc. Dent. Cosm. 1937, 24, 207–219. [Google Scholar] [CrossRef]
- Iegami, C.M.; Barbosa, W.F.; Furuyama, R.J.; Lima, J.R.B.; De Campos, T.T.; Minagi, S.; Tamaki, R. Masticatory efficiency in complete denture wearers with reduced dental arches—A randomised cross-over study. J. Oral Rehabil. 2014, 41, 619–623. [Google Scholar] [CrossRef]
- Albrektson, T.; Wenneberg, A. The Impact of Oral Implants—Past and Future, 1966–2042. J. Can. Dent. Assoc. 2005, 71, 327. [Google Scholar]
- French, D.; Larjava, H.; Ofec, R. Retrospective cohort study of 4591 Straumann implants in private practice setting, with up to 10-year follow-up. Part 1: Multivariate survival analysis. Clin. Oral Implant. Res. 2015, 26, 1345–1354. [Google Scholar] [CrossRef]
- French, D.; Ofec, R.; Levin, L. Long term clinical performance of 10 871 dental implants with up to 22 years of follow-up: A cohort study in 4247 patients. Clin. Implant. Dent. Relat. Res. 2021, 23, 289–297. [Google Scholar] [CrossRef] [PubMed]
- Jensen, O.T.; Adams, M.W.; Cottam, J.R.; Parel, S.M.; Phillips, W.R. The all on 4 shelf: Mandible. J. Oral Maxillofac. Surg. 2011, 69, 175–181. [Google Scholar] [CrossRef] [PubMed]
- Jensen, O.T.; Adams, M.W.; Cottam, J.R.; Parel, S.M.; Phillips, W.R. The All-on-4 shelf: Maxilla. J. Oral Maxillofac. Surg. 2010, 68, 2520–2527. [Google Scholar] [CrossRef]
- Maló, P.; Rangert, B.; Nobre, M. “All-on-Four” immediate-function concept with Brånemark System implants for completely eden-tulous mandibles: A retrospective clinical study. Clin. Implant. Dent. Relat. Res. 2003, 5 (Suppl. 1), 2–9. [Google Scholar] [CrossRef]
- van Assche, N.; Vercruyssen, M.; Coucke, W.; Teughels, W.; Jacobs, R.; Quirynen, M. Accuracy of computer-aided implant placement. Clin. Oral Implants Res. 2012, 23 (Suppl. 6), 112–123. [Google Scholar] [CrossRef] [PubMed]
- Papaspyridakos, P.; Bedrossian, A.; De Souza, A.; Bokhary, A.; Gonzaga, L.; Chochlidakis, K. Digital Workflow in Implant Treatment Planning for Terminal Dentition Patients. J. Prosthodont. 2022, 31, 543–548. [Google Scholar] [CrossRef]
- Van Noort, R. The future of dental devices is digital. Dent. Mater. 2012, 28, 3–12. [Google Scholar] [CrossRef]
- Revilla-León, M.; Özcan, M. Additive Manufacturing Technologies Used for Processing Polymers: Current Status and Potential Application in Prosthetic Dentistry. J. Prosthodont. 2019, 28, 146–158. [Google Scholar] [CrossRef]
- Ashurko, I.; Trofimov, A.; Tarasenko, S.; Mekhtieva, S. Full-Mouth Screw-Retained Implant-Supported Rehabilitation with Multiunit Abutments Using Virtual Guided Surgery and Digital Prosthetics Protocol. Case Rep. Dent. 2020, 2020, 3585169. [Google Scholar] [CrossRef] [PubMed]
- Massad, J.; Wicks, R.; Ahuja, S.; Cagna, D.R. A Prosthesis Retention System for Full-Arch, Fixed, Implant-Supported Prosthesis. J. Prosthodont. 2019, 28, e912–e916. [Google Scholar] [CrossRef] [PubMed]
- Chaar, M.S.; Att, W.; Strub, J.R. Prosthetic outcome of cement-retained implant-supported fixed dental restorations: A systematic review. J. Oral Rehabil. 2011, 38, 697–711. [Google Scholar] [CrossRef]
- Chee, W.; Jivraj, S. Screw versus cemented implant supported restorations. Br. Dent. J. 2006, 201, 501–507. [Google Scholar] [CrossRef] [PubMed]
- Gaddale, R.; Mishra, S.K.; Chowdhary, R. Complications of screw- and cement-retained implant-supported full-arch restorations: A systematic review and meta-analysis. Int. J. Oral Implantol. 2020, 13, 11–40. [Google Scholar]
- Misch, C.E. Dental Implant Prosthetics. In Principles of Fixed Implant Prosthodontics: Cement-Retained Restorations, 2nd ed.; Elsevier: St. Louis, MO, USA, 2015; pp. 650–699. [Google Scholar]
- Michael, K.; Winfried, W. Retrospective analysis of loosening of cement-retained vs screw-retained fixed implant-supported reconstructions. Quintessence Int. 2015, 46, 583–589. [Google Scholar] [CrossRef]
- Guichet, D.L.; Caputo, A.A.; Choi, H.; Sorensen, J.A. Passivity of fit and marginal opening in screw-or cement-retained implant fixed partial denture designs. Int. J. Oral Maxillofac. Implant. 2000, 15, 239–246. [Google Scholar]
- Torrado, E.; Ercoli, C.; Al Mardini, M.; Graser, G.N.; Tallents, R.H.; Cordaro, L. A comparison of the porcelain fracture resistance of screw-retained and cementretained implant supported metal ceramic crowns. J. Prosthet. Dent. 2004, 91, 532–537. [Google Scholar] [CrossRef] [PubMed]
- Korsch, M.; Obst, U.; Walther, W. Cement-associated peri-implantitis: A retrospective clinical observational study of fixed implant-supported restorations using a methacrylate cement. Clin. Oral Implant Res. 2014, 25, 797–802. [Google Scholar] [CrossRef] [PubMed]
- D’Souza, K.M.; Aras, M.A. Types of Implant Surgical Guides in Dentistry: A Review. J. Oral Implant. 2012, 38, 643–652. [Google Scholar] [CrossRef] [PubMed]
- Anadioti, E.; Musharbash, L.; Blatz, M.B.; Papavasiliou, G.; Kamposiora, P. 3D printed complete removable dental prostheses: A narrative review. BMC Oral Health 2020, 20, 343. [Google Scholar] [CrossRef]
- Anusavice, K.J.; Shen, C.; Rawls, H.R. Philips Science of Dental Materials, 12th ed.; Elsevier: Amsterdam, The Netherlands, 2012. [Google Scholar]
- Papynov, E.; Shichalin, O.; Apanasevich, V.; Portnyagin, A.; Yu, M.V.; Yu, B.I.; Merkulov, E.; Kaidalova, T.; Modin, E.; Afonin, I.; et al. Sol-gel (template) synthesis of osteoplastic CaSiO3/HAp powder biocomposite: “In vitro” and “in vivo” biocompatibility assessment. Powder Technol. 2020, 367, 762–773. [Google Scholar] [CrossRef]
- Papynov, E.; Shichalin, O.; Skurikhina, Y.; Turkutyukov, V.; Medkov, M.; Grishchenko, D.; Portnyagin, A.; Merkulov, E.; Apanasevich, V.; Geltser, B.; et al. ZrO2-phosphates porous ceramic obtained via SPS-RS “in situ” technique: Bacteria test assessment. Ceram. Int. 2019, 45, 13838–13846. [Google Scholar] [CrossRef]
- Papynov, E.K.; Shichalin, O.O.; Apanasevich, V.I.; Afonin, I.S.; Evdokimov, I.O.; Mayorov, V.Y.; Portnyagin, A.S.; Agafonova, I.G.; Skurikhina, Y.E.; Medkov, M.A. Synthetic CaSiO3 sol-gel powder and SPS ceramic derivatives: “In vivo” toxicity assessment. Prog. Nat. Sci. 2019, 29, 569–575. [Google Scholar] [CrossRef]
- Bidra, A.S.; Tischler, M.; Patch, C. Survival of 2039 complete arch fixed implant-supported zirconia prostheses: A retrospective study. J. Prosthet. Dent. 2018, 119, 220–224. [Google Scholar] [CrossRef]
- Tischler, M.; Patch, C.; Bidra, A.S. Rehabilitation of edentulous jaws with zirconia complete-arch fixed implant-supported prostheses: An up to 4-year retrospective clinical study. J. Prosthet. Dent. 2018, 120, 204–209. [Google Scholar] [CrossRef]
- Bidra, A.S. Three-Dimensional Esthetic Analysis in Treatment Planning for Implant-Supported Fixed Prosthesis in the Edentulous Maxilla: Review of the Esthetics Literature. J. Esthet. Restor. Dent. 2011, 23, 219–236. [Google Scholar] [CrossRef] [PubMed]
- Bidra, A.S. Technique for systematic bone reduction for fixed implant-supported prosthesis in the edentulous maxilla. J. Prosthet. Dent. 2015, 113, 520–523. [Google Scholar] [CrossRef] [PubMed]
- Azpiazu-Flores, F.X.; Mata-Mata, S.J. Overlay occlusion rim technique to facilitate the recording of maxillomandibular relationships. J. Prosthet. Dent. 2021, 126, 715–717. [Google Scholar] [CrossRef]
- Balshi, T.J.; Mingledorff, E.B.; Olbrys, B.H.; Cantor, S.J. Restorative occlusion utilizing a custom incisal guide table. J. Prosthet. Dent. 1976, 36, 468–471. [Google Scholar] [CrossRef]
- Venezia, P.; Torsello, F.; Cavalcanti, R.; D’Amato, S. Retrospective analysis of 26 complete-arch implant-supported monolithic zir-conia prostheses with feldspathic porcelain veneering limited to the facial surface. J. Prosthet. Dent. 2015, 114, 506–512. [Google Scholar] [CrossRef] [PubMed]
- Adell, R.; Lekholm, U.; Rockler, B.; Brånemark, P.-I. Review Article. Economica 2003, 70, 691–697. [Google Scholar]
- Azpiazu-Flores, F.X.; Lee, D.J.; Mata-Mata, S.J.; Zheng, F. Rehabilitation of a patient with mandibular flexure using contemporary glass-infiltrated high performance CAD-CAM polymers: A clinical report with 1-year follow-up. J. Prosthet. Dent. 2023. [Google Scholar] [CrossRef]
- Azpiazu-Flores, F.X.; Knobloch, L.A.; Larsen, P.E. Interdisciplinary Management of a Patient with Dentinogenesis Imperfecta Type II Using a Combination of CAD-CAM and Analog Techniques: A Clinical Report. J. Prosthodont. 2022, 31, 647–654. [Google Scholar] [CrossRef]
- Almeida, D.; Vianna, K.; Arriaga, P.; Moraschini, V. Dental implants in Sjögren’s syndrome patients: A systematic review. PLoS ONE 2018, 12, e0189507. [Google Scholar] [CrossRef]
- Korfage, A.; Raghoebar, G.M.; Arends, S.; Meiners, P.M.; Visser, A.; Kroese, F.G.; Bootsma, H.; Vissink, A. Dental Implants in Patients with Sjögren’s Syndrome. Clin. Implant. Dent. Relat. Res. 2015, 18, 937–945. [Google Scholar] [CrossRef]
- Spinato, S.; Soardi, C.M.; Zane, A.M. A Mandibular Implant-Supported Fixed Complete Dental Prosthesis in a Patient with Sjogren Syndrome: Case Report. Implant. Dent. 2010, 19, 178–183. [Google Scholar] [CrossRef] [PubMed]
- Binon, P.P. Thirteen-year follow-up of a mandibular implant-supported fixed complete denture in a patient with Sjogren’s syndrome: A clinical report. J. Prosthet. Dent. 2005, 94, 409–413. [Google Scholar] [CrossRef] [PubMed]
- Albrecht, K.; Callhoff, J.; Westhoff, G.; Dietrich, T.; Dörner, T.; Zink, A. The Prevalence of Dental Implants and Related Factors in Patients with Sjögren Syndrome: Results from a Cohort Study. J. Rheumatol. 2016, 43, 1380–1385. [Google Scholar] [CrossRef] [PubMed]












Disclaimer/Publisher’s Note: The statements, opinions and data contained in all publications are solely those of the individual author(s) and contributor(s) and not of MDPI and/or the editor(s). MDPI and/or the editor(s) disclaim responsibility for any injury to people or property resulting from any ideas, methods, instructions or products referred to in the content. |
© 2023 by the authors. Licensee MDPI, Basel, Switzerland. This article is an open access article distributed under the terms and conditions of the Creative Commons Attribution (CC BY) license (https://creativecommons.org/licenses/by/4.0/).
Share and Cite
Azpiazu-Flores, F.X.; Lee, D.J.; Jurado, C.A.; Afrashtehfar, K.I.; Alhotan, A.; Tsujimoto, A. Full-Mouth Rehabilitation of a Patient with Sjogren’s Syndrome with Maxillary Titanium-Zirconia and Mandibular Monolithic Zirconia Implant Prostheses Fabricated with CAD/CAM Technology: A Clinical Report. J. Funct. Biomater. 2023, 14, 174. https://doi.org/10.3390/jfb14040174
Azpiazu-Flores FX, Lee DJ, Jurado CA, Afrashtehfar KI, Alhotan A, Tsujimoto A. Full-Mouth Rehabilitation of a Patient with Sjogren’s Syndrome with Maxillary Titanium-Zirconia and Mandibular Monolithic Zirconia Implant Prostheses Fabricated with CAD/CAM Technology: A Clinical Report. Journal of Functional Biomaterials. 2023; 14(4):174. https://doi.org/10.3390/jfb14040174
Chicago/Turabian StyleAzpiazu-Flores, Francisco X., Damian J. Lee, Carlos A. Jurado, Kelvin I. Afrashtehfar, Abdulaziz Alhotan, and Akimasa Tsujimoto. 2023. "Full-Mouth Rehabilitation of a Patient with Sjogren’s Syndrome with Maxillary Titanium-Zirconia and Mandibular Monolithic Zirconia Implant Prostheses Fabricated with CAD/CAM Technology: A Clinical Report" Journal of Functional Biomaterials 14, no. 4: 174. https://doi.org/10.3390/jfb14040174
APA StyleAzpiazu-Flores, F. X., Lee, D. J., Jurado, C. A., Afrashtehfar, K. I., Alhotan, A., & Tsujimoto, A. (2023). Full-Mouth Rehabilitation of a Patient with Sjogren’s Syndrome with Maxillary Titanium-Zirconia and Mandibular Monolithic Zirconia Implant Prostheses Fabricated with CAD/CAM Technology: A Clinical Report. Journal of Functional Biomaterials, 14(4), 174. https://doi.org/10.3390/jfb14040174

