Advancing Sustainable COVID-19 Diagnosis: Integrating Artificial Intelligence with Bioinformatics in Chest X-ray Analysis
Abstract
1. Introduction
- Optimizing CNN Block Structures with Genetic Algorithms: One of our research study’s key contributions is the use of genetic algorithms to methodically investigate and fine-tune ideal convolutional neural network (CNN) block topologies. These structures are very reliant on the precise CNN hyperparameters, and our research is the first to use evolutionary algorithms in this setting. As a result, we obtain a better grasp of how to design CNN structures to improve performance and efficiency, giving useful insights for the wider field of deep learning.
- A Novel Integration of CNN Architecture Search and Transfer Learning: The invention of an evolutionary strategy that merges CNN architecture search with transfer learning structures is a ground-breaking feature of our study. This novel strategy differs significantly from existing methods in that it enables large-scale tests to thoroughly validate its effectiveness. For the first time, we combine these two strong strategies to expand model accuracy, generalization, and scalability. We provide a new viewpoint on how deep learning may be used to address complicated issues in a variety of disciplines.
- Thorough Evaluation of X-ray Classification Architecture: Our research focuses on a thorough investigation of the X-ray classification architecture we have constructed. We evaluate not just its utility but also its adaptability to a variety of settings. Our study examines the architecture’s performance in a variety of contexts, including real-world medical applications. We want to see how well it generalizes across different datasets and diagnostic tasks, as well as how resilient and versatile it is. We give vital insights that can inform breakthroughs in the fields of medical imaging and artificial intelligence, eventually benefiting healthcare and diagnostics, through this in-depth examination.
2. Related Work
2.1. Evolutionary Neural Architecture Search
2.2. Transfer Learning for X-ray Image Classifcation
3. Proposed Approach
- RQ1: Our methodology is inspired by two fundamental inquiries that address the complexities of convolutional neural network (CNN) design and the efficient utilization of existing models to address new problems.
- RQ2: Faced with the challenge of complex models that require substantial computational resources, how can we leverage existing models to address similar tasks without the need to train new models from scratch?
3.1. Blocks Search Operators
3.1.1. Strategy for Encoding and Decoding
- Start Generation Counter: Set the generation counter g to 1.Population Generation Loop: While , perform the following steps to create each individual in the population:
- a.
- Individual Initialization: For each individual i within the generation, initialize the sequence to an empty set and start the block counter m at 1.
- b.
- Block Generation Loop: While , generate a block for the individual:
- i.
- Random Block Generation: Generate a random number tmp using randint function with a range from 0 to . This simulates the selection of a random connection or feature within the block.
- ii.
- Block Update: Add the generated random number tmp to the sequence to represent the individual’s architecture.
- iii.
- Increment Block Counter: Increase the block counter m by 1 to proceed to the next block until all 5 blocks are generated.
- c.
- Individual Update: Once all blocks for the individual are generated, increment the individual counter i to create the next individual in the population.
- Population Update: After all individuals have been created for the generation, increment the generation counter g by 1 to proceed to the next generation if required.
- Finalization: Once the population has been fully initialized, finalize the generation by setting S as the collection of all sequences representing the initialized population.
3.1.2. Crossover Operator
- Extract the ith block from both and , referred to as and , respectively.
- Apply a crossover operation to these blocks, resulting in two new blocks. These new blocks are denoted as and , which are parts of the offspring and , respectively.
- Increment i by 1 and repeat the process until all blocks have been processed.
3.1.3. Mutation Operator
3.2. Transfer Learning Techniques
- Obtain pre-trained model: We begin by selecting a pre-trained CNN architecture that serves as the foundation for our model. This architecture is chosen based on its relevance to our target task and its proven effectiveness in related image classification challenges.
- Create a base model: The selected base model is then adapted to our specific requirements. This may involve adjusting the model’s architecture, such as modifying the output layer to match the number of desired classifications. The initial layers of the model are frozen to retain learned features, while new layers are added to tailor the model to our specific task.
- Add new trainable and train the new layers: The new layers added to the model are trained using our dataset, allowing the model to learn features specific to COVID-19 detection. This training leverages the foundational knowledge encoded in the pre-trained model, enhancing the efficiency and effectiveness of the learning process.
- Fine-tune your model: Finally, we fine-tune the entire model, including both the pre-trained and newly added layers, to optimize its performance on the target task. This fine-tuning process involves careful adjustment of learning rates to prevent overfitting and ensure that the model achieves the highest possible accuracy.
4. Experiments
4.1. Benchmarks
4.2. Performance Metrics
4.3. Network Parameters Improvement: Enhancing Diagnostic Efficiency
4.4. Comparative Results
| Research | Model Approach | Test Acc (%) | G-Mean |
|---|---|---|---|
| Gusztav Gaal et al. [33] | Integration of U-Net with AT, contrast enhancement | 97.49 | 97.13 |
| Abbas et al. [34] | CNN with FD and enhancement using ImageNet and ResNet (DeTraC) | 95.12 | 94.69 |
| Narin et al. [35] | Adaptation of ResNet50 via transfer learning | 97.00 | 96.7 |
| Wang et al. [46] | Application of TL to COVID-Net | 92.4 | 91.06 |
| Asnaoui et al. [47] | Exploration of multiple architectures including Xception, VGG16-19, and DenseNet201 | 96 | 95.98 |
| Sethy et al. [32] | Combination of Resnet50 deep features with support vector machines | 95.3 | 94.1 |
| Ioannis et al. [49] | Fine-tuning of models like Xception, VGG19, and Inception for enhanced accuracy | 95.57 | 93.44 |
| Ghoshal et al. [45] | Implementation of Bayesian CNN with Dropweights for uncertainty estimation | 88.39 | 89.91 |
| AbdulHafeez [48] | Utilization of a pre-trained ResNet50 architecture with COVIDx dataset | 96.22 | 95.8 |
| Louati et al. [50] | Optimization of CNN architecture via topology | 98.1 | 97.91 |
| Our Work | – | 99.03 | 98.83 |
Results Discussion
- The study by Gusztav Gaal et al. [33] combined U-Net with adversarial techniques and contrast-limited adaptive histogram equalization, achieving an accuracy of 97.5% and a G-mean of 97.14.
- Abbas and colleagues [34] employed a CNN with feature decomposition and model transfer, integrating ImageNet and ResNet enhancements (DeTraC), resulting in 95.12% accuracy and a 94.69 G-mean.
- Asnaoui et al. [47] explored various architectures including Xception, VGG16-19, DenseNet201, Inception-ResNet-V2, InceptionV3, Resnet50, and MobileNet-V2, achieving 96% accuracy and a 95.98 G-mean.
- Sethy et al. [32] combined Resnet50’s deep features with support vector machines, achieving a 95.38% accuracy and a 94.14 G-mean.
- Ioannis et al. [49] refined models like Xception, VGG19, Inception, and Resnet V2, resulting in 95.57% accuracy and a 93.44 G-mean.
- Ghoshal et al. [45] implemented Bayesian CNN with Dropweights, achieving 88.39% accuracy and an 89.91 G-mean.
4.5. Elucidating the Superiority of the Proposed Network Architecture
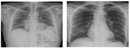
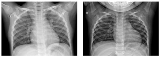
5. X-ray-14 Images Diagnosis
Discussion on Robustness, Generalizability, and Future Direction
6. Conclusions
Author Contributions
Funding
Institutional Review Board Statement
Informed Consent Statement
Data Availability Statement
Acknowledgments
Conflicts of Interest
References
- Paules, C.I.; Marston, H.D.; Fauci, A.S. Coronavirus Infections—More Than Just the Common Cold. JAMA 2020, 323, 707–708. [Google Scholar] [CrossRef] [PubMed]
- Chen, Y.; Liu, Q.; Guo, D. Emerging coronaviruses: Genome structure, replication, and pathogenesis. J. Med. Virol. 2020, 92, 418–423. [Google Scholar] [CrossRef] [PubMed]
- Louati, H.; Louati, A.; Kariri, E.; Bechikh, S. Optimizing Deep Learning for Computer-Aided Diagnosis of Lung Diseases: An Automated Method Combining Evolutionary Algorithm and Transfer Learning. Comput. Model. Eng. Sci. 2024, 138, 2519–2547. [Google Scholar] [CrossRef]
- Louati, H.; Bechikh, S.; Louati, A.; Aldaej, A.; Said, L.B. Evolutionary optimization for cnn compression using thoracic X-ray image classification. In Proceedings of the 34th International Conference on Industrial, Engineering Other Applications of Applied Intelligent Systems, Kitakyushu, Japan, 19–22 July 2022. [Google Scholar]
- Louati, A. A hybridization of deep learning techniques to predict and control traffic disturbances. Artif. Intell. Rev. 2020, 53, 5675–5704. [Google Scholar] [CrossRef]
- Louati, A.; Louati, H.; Li, Z. Deep learning and case-based reasoning for predictive and adaptive traffic emergency management. J. Supercomput. 2021, 77, 4389–4418. [Google Scholar] [CrossRef]
- Louati, A. Cloud-assisted collaborative estimation for next-generation automobile sensing. Eng. Appl. Artif. Intell. 2023, 126, 106883. [Google Scholar] [CrossRef]
- Louati, A.; Louati, H.; Kariri, E.; Alaskar, F.; Alotaibi, A. Sentiment Analysis of Arabic Course Reviews of a Saudi University Using Support Vector Machine. Appl. Sci. 2023, 13, 12539. [Google Scholar] [CrossRef]
- Ulhaq, A.; Khan, A.; Gomes, D.; Paul, M. Computer vision for COVID-19 control: A survey. arXiv 2020, arXiv:2004.09420. [Google Scholar] [CrossRef]
- Bengio, Y.; Lamblin, P.; Popovici, V.; Larochelle, H. Greedy layer-wise training of deep networks. In Advances in Neural Information Processing Systems 19; Schölkopf, B., Platt, J., Hoffman, T., Eds.; MIT Press: Cambridge, MA, USA, 2007; pp. 153–160. [Google Scholar]
- Hinton, G.E.; Osindero, S.; Teh, Y.-W. A fast learning algorithm for deep belief nets. Neural Comput. 2006, 18, 1527–1554. [Google Scholar] [CrossRef]
- Louati, A.; Louati, H.; Kariri, E.; Neifar, W.; Farahat, M.; El-Hoseny, H.; Hassan, M.; Khairi, M. Sustainable Urban Mobility for Road Information Discovery-Based Cloud Collaboration and Gaussian Processes. Sustainability 2024, 16, 1688. [Google Scholar] [CrossRef]
- Louati, A.; Louati, H.; Kariri, E.; Neifar, W.; Hassan, M.; Khairi, M.; Farahat, M.; El-Hoseny, H. Sustainable Smart Cities through Multi-Agent Reinforcement Learning-Based Cooperative Autonomous Vehicles. Sustainability 2024, 16, 1779. [Google Scholar] [CrossRef]
- Zhong, Z.; Yang, Z.; Deng, B.; Yan, J.; Wu, W.; Shao, J.; Liu, C.L. BlockQNN: Efficient Block-Wise Neural Network Architecture Generation. IEEE Trans. Pattern Anal. Mach. Intell. 2021, 43, 2314–2328. [Google Scholar] [CrossRef]
- Liu, H.X.; Simonyan, K.; Yang, Y.M. DARTS: Differentiable Architecture Search. In Proceedings of the International Conference on Learning Representations (ICLR), New Orleans, LA, USA, 6–9 May 2019. [Google Scholar]
- Shinozaki, T.; Watanabe, S. Structure discovery of deep neural network based on evolutionary algorithms. In Proceedings of the 2015 IEEE International Conference on Acoustics, Speech and Signal Processing, South Brisbane, QLD, Australia, 19–24 April 2015; pp. 4979–4983. [Google Scholar]
- Xie, S.; Girshick, R.; Dollar, P.; Tu, Z.; He, K. Aggregated residual transformations for deep neural networks. In Proceedings of the IEEE conference on Computer Vision and Pattern Recognition, Honolulu, HI, USA, 21–26 July 2017; pp. 1492–1500. [Google Scholar]
- Sun, Y.; Xue, B.; Zhang, M.; Yen, G.G. Completely automated cnn architecture design based on blocks. IEEE Trans. Neural Netw. Learn. Syst. 2019, 33, 1242–1254. [Google Scholar] [CrossRef]
- Lu, Z.; Whalen, I.; Boddeti, V.; Dhebar, Y.; Deb, K.; Goodman, E.; Banzhaf, W. Nsga-net: Neural architecture search using multi-objective genetic algorithm. In Proceedings of the Genetic and Evolutionary Computation Conference, Prague, Czech Republic, 13–17 July 2019; pp. 419–427. [Google Scholar]
- Sun, Y.; Xue, B.; Zhang, M.; Yen, G.G.; Lv, J. Automatically Designing CNN Architectures Using the Genetic Algorithm for Image Classification. IEEE Trans. Cybern. 2020, 50, 3840–3854. [Google Scholar] [CrossRef]
- Elsken, T.; Metzen, J.H.; Hutter, F. Neural Architecture Search: A Survey. J. Mach. Learn. Res. 2019, 20, 1997–2017. [Google Scholar]
- Liu, Y.; Sun, Y.; Xue, B.; Zhang, M.; Yen, G.G.; Tan, T.C. A Survey on Evolutionary Neural Architecture Search. arXiv 2020, arXiv:2008.10937. [Google Scholar] [CrossRef]
- Real, E.; Moore, S.; Selle, A.; Saxena, S.; Suematsu, Y.L.; Tan, J.; Kurakin, A. Large-Scale Evolution of Image Classifiers. In Proceedings of the International Conference on Machine Learning, PMLR, Bellevue, WA, USA, 28 June–2 July 2017; pp. 2902–2911. [Google Scholar]
- Simonyan, K.; Zisserman, A. Very deep convolutional networks for large-scale image recognition. arXiv 2014, arXiv:1409.1556. [Google Scholar]
- He, K.; Zhang, X.; Ren, S.; Sun, J. Deep residual learning for image recognition. In Proceedings of the IEEE Conference on Computer Vision and Pattern Recognition, Las Vegas, NV, USA, 26 June–1 July 2016; pp. 770–778. [Google Scholar]
- Huang, G.; Liu, Z.; van der Maaten, L.; Weinberger, K.Q. Densely 750 connected convolutional networks. In Proceedings of the IEEE Conference on Computer Vision and Pattern Recognition, Honolulu, HI, USA, 21–26 July 2017; pp. 4700–4708. [Google Scholar]
- Wang, X.; Peng, Y.; Lu, L.; Lu, Z.; Bagheri, M.; Summers, R.M. ChestX-ray8: Hospital-scale chest X-ray database and benchmarks on weakly-supervised classification and localization of common thorax diseases. In Proceedings of the IEEE Conference on Computer Vision and Pattern Recognition, Honolulu, HI, USA, 21–26 July 2017; pp. 3462–3471. [Google Scholar]
- Islam, M.T.; Aowal, M.A.; Minhaz, A.T.; Ashraf, K. Abnormality detection and localization in chest X-rays using deep convolutional neural networks. arXiv 2017, arXiv:1705.09850. [Google Scholar]
- Rajpurkar, P.; Irvin, J.; Ball, R.L.; Zhu, K.; Yang, B.; Mehta, H.; Duan, T.; Ding, D.; Bagul, A.; Langlotz, C.P.; et al. Deep learning for chest radiograph diagnosis: A retrospective comparison of the CheXNeXt algorithm to practicing radiologists. PLoS Med. 2018, 15, e1002686. [Google Scholar] [CrossRef]
- Yao, L.; Poblenz, E.; Dagunts, D.; Covington, B.; Bernard, D.; Lyman, K. Learning to diagnose from scratch by exploiting dependencies among labels. arXiv 2017, arXiv:1710.10501. [Google Scholar]
- Irvin, J.; Rajpurkar, P.; Ko, M.; Yu, Y.; Ciurea-Ilcus, S.; Chute, C.; Marklund, H.; Haghgoo, B.; Ball, R.; Shpanskaya, K.; et al. A large chest radiograph dataset with uncertainty labels and expert comparison. In Proceedings of the Thirty-Third AAAI Conference on Artificial Intelligence, Honolulu, HI, USA, 27 January–1 February 2019; pp. 590–597. [Google Scholar]
- Sethy, P.K.; Behera, S.K. Detection of coronavirus disease (COVID-19) based on deep features. Int. J. Math. Eng. Manag. 2020, 5, 643–651. [Google Scholar]
- Gaál, G.; Maga, B.; Lukács, A. Attention U-Net Based Adversarial Architectures for Chest X-ray Lung Segmentation. arXiv 2020, arXiv:2003.10304. [Google Scholar]
- Abbas, A.; Abdelsamea, M.M.; Gaber, M.M. Classification of COVID-19 in chest X-ray images using DeTraC deep convolutional neural network. arXiv 2020, arXiv:2003.13815. [Google Scholar]
- Narin, A.; Kaya, C.; Pamuk, Z. Automatic Detection of Coronavirus Disease (COVID-19) Using X-ray Images and Deep Convolutional Neural Networks. arXiv 2020, arXiv:2003.10849. [Google Scholar] [CrossRef]
- Pan, S.J.; Yang, Q. A survey on transfer learning. IEEE Trans Knowl Data Eng. 2010, 22, 1345–1359. [Google Scholar] [CrossRef]
- Fukushima, K.; Miyake, S. Neocognitron: A self-organizing neural network model for a mechanism of visual pattern recognition. In Competition and Cooperation in Neural Nets; Arbib, M.A., Amari, S.I., Eds.; Springer: Berlin/Heidelberg, Germany, 1982; pp. 267–285. [Google Scholar]
- Kallianos, K.; Mongan, J.; Antani, S.; Henry, T.; Taylor, A.; Abuya, J.; Kohli, M. How far have we come? artifcial intelligence for chest radiograph interpretation. Clin. Radiol. 2019, 74, 338–345. [Google Scholar] [CrossRef]
- Ciresan, D.; Giusti, A.; Gambardella, L.; Schmidhuber, J. Deep neural networks segment neuronal membranes in electron microscopy images. Adv. Neural Inf. Process Syst. 2012, 25, 2843–2851. [Google Scholar]
- Zhou, L.; Zhang, Z.; Chen, Y.C.; Zhao, Z.Y.; Yin, X.D.; Jiang, H.B. A deep learning-based radiomics model for diferentiating benign and malignant renal tumors. Transl Oncol. 2019, 12, 292–300. [Google Scholar] [CrossRef]
- Deniz, E.; Şengür, A.; Kadiroğlu, Z.; Guo, Y.; Bajaj, V.; Budak, Ü. Transfer learning based histopathologic image classifcation for breast cancer detection. Health Inf. Sci. Syst. 2018, 6, 1–7. [Google Scholar] [CrossRef]
- Yang, Y.; Yan, L.F.; Zhang, X.; Han, Y.; Nan, H.Y.; Hu, Y.C.; Hu, B.; Yan, S.L.; Zhang, J.; Cheng, D.L.; et al. Glioma grading on conventional mr images: A deep learning study with transfer learning. Front. Neurosci. 2018, 12, 804. [Google Scholar] [CrossRef]
- Louati, H.; Bechikh, S.; Louati, A.; Hung, C.C.; Said, L.B. Deep convolutional neural network architecture design as a bi-level optimization problem. Neurocomputing 2021, 439, 44–62. [Google Scholar] [CrossRef]
- Louati, H.; Bechikh, S.; Louati, A.; Aldaej, A.; Said, L.B. Joint design and compression of convolutional neural networks as a bi-level optimization problem. Neural Comput. Appl. 2022, 34, 15007–15029. [Google Scholar] [CrossRef]
- Ghoshal, B.; Tucker, A. Estimating Uncertainty and Interpretability in Deep Learning for Coronavirus (COVID-19) Detection. arXiv 2020, arXiv:2003.10769. [Google Scholar]
- Wang, L.; Wong, A. COVID-Net: A Tailored Deep Convolutional Neural Network Design for Detection of COVID-19 Cases from Chest Radiography Images. arXiv 2020, arXiv:2003.09871. [Google Scholar] [CrossRef]
- Asnaoui, K.E.; Chawki, Y.; Idri, A. Automated Methods for Detection and Classification Pneumonia based on X-ray Images Using Deep Learning. arXiv 2020, arXiv:2003.14363. [Google Scholar]
- Farooq, M.; Hafeez, A. COVID-ResNet: A Deep Learning Framework for Screening of COVID19 from Radiographs. arXiv 2020, arXiv:2003.14395. [Google Scholar]
- Apostolopoulos, I.D.; Mpesiana, T.A. COVID-19: Automatic detection from X-ray images utilizing transfer learning with convolutional neural networks. Phys. Eng. Sci. Med. 2020, 43, 635–640. [Google Scholar] [CrossRef]
- Louati, H.; Louati, A.; Bechikh, S.; Masmoudi, F.; Aldaej, A.; Kariri, E. Topology optimization search of deep convolution neural networks for CT and X-ray image classification. BMC Med. Imaging 2022, 22, 120. [Google Scholar] [CrossRef]
- Louati, H.; Bechikh, S.; Louati, A.; Aldaej, A.; Said, L.B. Evolutionary Optimization of Convolutional Neural Network Architecture Design for Thoracic X-ray Image Classification. In International Conference on Industrial, Engineering and Other Applications of Applied Intelligent Systems; Springer: Cham, Switzerland, 2021; pp. 121–132. [Google Scholar]









Disclaimer/Publisher’s Note: The statements, opinions and data contained in all publications are solely those of the individual author(s) and contributor(s) and not of MDPI and/or the editor(s). MDPI and/or the editor(s) disclaim responsibility for any injury to people or property resulting from any ideas, methods, instructions or products referred to in the content. |
© 2024 by the authors. Licensee MDPI, Basel, Switzerland. This article is an open access article distributed under the terms and conditions of the Creative Commons Attribution (CC BY) license (https://creativecommons.org/licenses/by/4.0/).
Share and Cite
Louati, H.; Louati, A.; Lahyani, R.; Kariri, E.; Albanyan, A. Advancing Sustainable COVID-19 Diagnosis: Integrating Artificial Intelligence with Bioinformatics in Chest X-ray Analysis. Information 2024, 15, 189. https://doi.org/10.3390/info15040189
Louati H, Louati A, Lahyani R, Kariri E, Albanyan A. Advancing Sustainable COVID-19 Diagnosis: Integrating Artificial Intelligence with Bioinformatics in Chest X-ray Analysis. Information. 2024; 15(4):189. https://doi.org/10.3390/info15040189
Chicago/Turabian StyleLouati, Hassen, Ali Louati, Rahma Lahyani, Elham Kariri, and Abdullah Albanyan. 2024. "Advancing Sustainable COVID-19 Diagnosis: Integrating Artificial Intelligence with Bioinformatics in Chest X-ray Analysis" Information 15, no. 4: 189. https://doi.org/10.3390/info15040189
APA StyleLouati, H., Louati, A., Lahyani, R., Kariri, E., & Albanyan, A. (2024). Advancing Sustainable COVID-19 Diagnosis: Integrating Artificial Intelligence with Bioinformatics in Chest X-ray Analysis. Information, 15(4), 189. https://doi.org/10.3390/info15040189

