A Modified Robust FCM Model with Spatial Constraints for Brain MR Image Segmentation
Abstract
:1. Introduction
2. Basic Concepts and Related Algorithms
2.1. Enhanced FCM
2.2. Fast Generalized FCM
3. Basic Principles of The Modified Algorithm
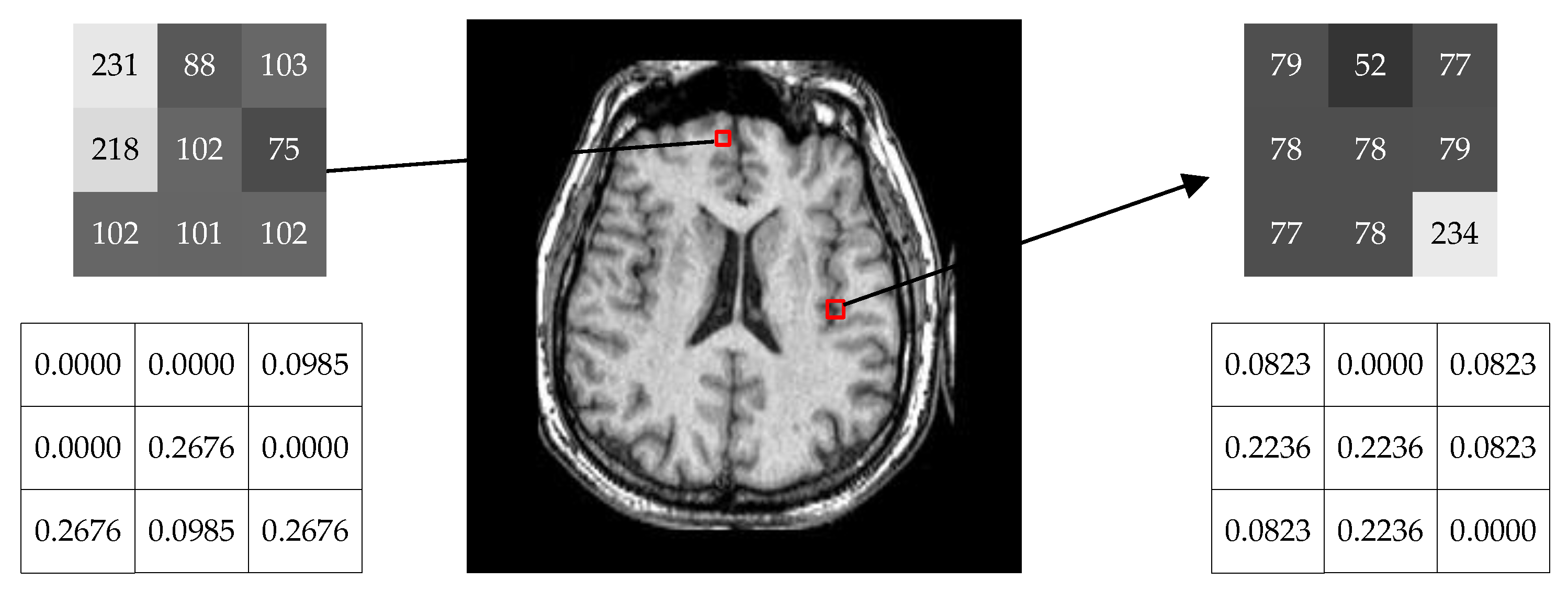
3.1. Weighted Measure with Neighborhood Information
3.2. Objective Function
3.3. Local Membership Function
3.4. Program Flowchart
| Algorithm 1. MRFCM algorithm |
| Begin Input: original image; % brain MR image to be segmented c; % cluster number r; % the radius of neighborhood window ε; % stop criterion Initialization: randomly initialize membership degree ukl and cluster center vk and set t = 0 Process: for t = 0: T iterations compute the weighting measure wij using Equation (12) and update gray value ; compute and update the membership degree using Equation (14); compute and update the revised membership degree using Equation (16) and clustering prototypes using Equation (15); end Output: the segmented image End |
4. Experimental Results and Analysis
4.1. Synthetic Images
4.2. Simulated Brain MR Images
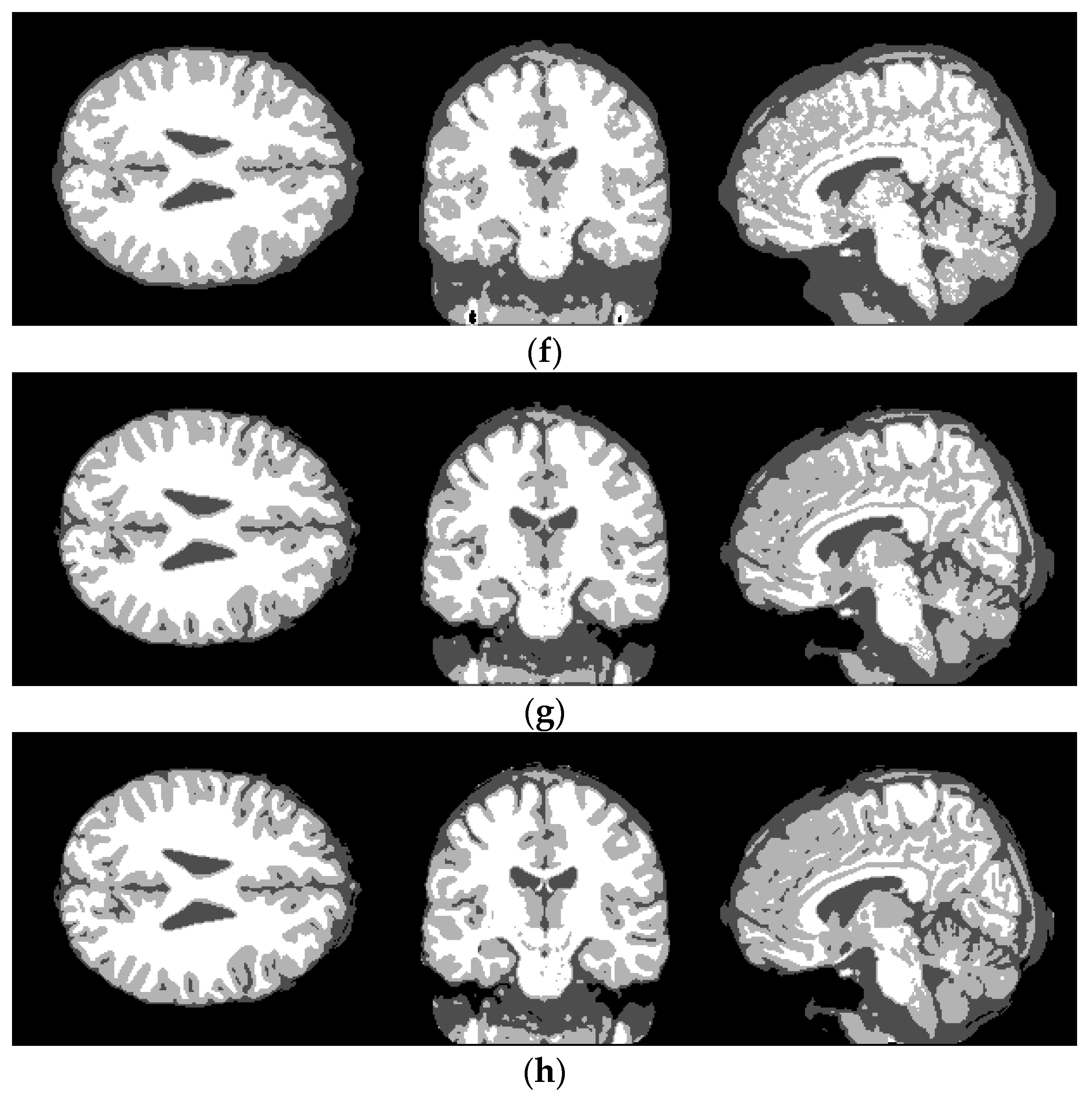
4.3. Real Brain MR Images
4.4. Selection of Window Radius r
5. Conclusions
Author Contributions
Funding
Conflicts of Interest
References
- Balafar, M.A.; Ramli, A.R.; Saripan, M.I.; Mashohor, S. Review of brain MRI image segmentation methods. Artif. Intell. Rev. 2010, 33, 261–274. [Google Scholar] [CrossRef]
- Khorram, B.; Yazdi, M. A New Optimized Thresholding Method Using Ant Colony Algorithm for MR Brain Image Segmentation. J. Digit. Imaging 2018, 1–13. [Google Scholar] [CrossRef] [PubMed]
- Meng, X.; Gu, W.; Chen, Y.; Zhang, J. Brain MR image segmentation based on an improved active contour model. PLoS ONE 2017, 128, e0183943. [Google Scholar] [CrossRef] [PubMed]
- Pereira, S.; Pinto, A.; Oliveira, J.; Mendrik, A.M.; Correia, J.H.; Silva, C.A. Automatic brain tissue segmentation in MR images using Random Forests and Conditional Random Fields. J. Neurosci. Methods 2016, 270, 111–123. [Google Scholar] [CrossRef] [PubMed]
- Moeskops, P.; Viergever, M.A.; Mendrik, A.M.; de Vries, L.S.; Benders, M.J.; Išgum, I. Automatic segmentation of MR brain images with a convolutional neural network. IEEE Trans. Med. Imaging 2016, 35, 1252–1261. [Google Scholar] [CrossRef] [PubMed]
- Rajaby, E.; Ahadi, S.M.; Aghaeinia, H. Robust color image segmentation using fuzzy c-means with weighted hue and intensity. Digit. Signal Process. 2016, 51, 170–183. [Google Scholar] [CrossRef]
- Saha, S.; Alok, A.K.; Ekbal, A. Brain image segmentation using semi-supervised clustering. Expert Syst. Appl. 2016, 52, 50–63. [Google Scholar] [CrossRef]
- Namburu, A.; Kumar, S.S.; Edara, S.R. Generalized rough intuitionistic fuzzy c-means for MR brain image segmentation. IET Image Process. 2017, 11, 777–785. [Google Scholar] [CrossRef]
- Chetih, N.; Messali, Z.; Serir, A.; Ramou, N. Robust fuzzy c-means clustering algorithm using non-parametric Bayesian estimation in wavelet transform domain for noisy MR brain image segmentation. IET Image Process. 2018, 12, 652–660. [Google Scholar] [CrossRef]
- Bezdek James, C. Pattern Recognition with Fuzzy Objective Function Algorithms. Adv. Appl. Pattern Recognit. 1981, 22, 203–239. [Google Scholar]
- Pedrycz, W.; Waletzky, J. Fuzzy clustering with partial supervision. IEEE Trans. Syst. Man Cybern. B 1997, 27, 787–795. [Google Scholar] [CrossRef] [PubMed]
- Szilagyi, L.; Benyo, Z.; Szilagyi, S.M.; Adam, H.S. MR brain image segmentation using an enhanced fuzzy C-means algorithm. In Proceedings of the Annual International Conference on Engineering in Medicine & Biology Society, Cancun, Mexico, 17–21 September 2003; pp. 724–726. [Google Scholar]
- Cai, W.; Chen, S.; Zhang, D. Fast and robust fuzzy c-means clustering algorithms incorporating local information for image segmentation. Pattern Recognit. 2007, 40, 825–838. [Google Scholar] [CrossRef]
- Despotovic, I.; Vansteenkiste, E.; Philips, W. Spatially Coherent Fuzzy Clustering for Accurate and Noise-Robust Image Segmentation. IEEE Signal Process. Lett. 2013, 20, 295–298. [Google Scholar] [CrossRef]
- Ji, Z.; Liu, J.; Cao, G.; Sun, Q.; Chen, Q. Robust spatially constrained fuzzy c-means algorithm for brain MR image segmentation. Pattern Recognit. 2014, 47, 2454–2466. [Google Scholar] [CrossRef]
- Elazab, A.; Wang, C.; Jia, F.; Wu, J.; Li, G.; Hu, Q. Segmentation of Brain Tissues from Magnetic Resonance Images Using Adaptively Regularized Kernel-Based Fuzzy C-Means Clustering. Comput. Math. Methods Med. 2015, 485495. [Google Scholar]
- Ahmed, M.N.; Yamany, S.M.; Mohamed, N.; Farag, A.A.; Moriarty, T. A modified fuzzy c-means algorithm for bias field estimation and segmentation of MRI data. IEEE Trans. Med. Imaging 2002, 21, 193–199. [Google Scholar] [CrossRef] [PubMed]
- Chuang, K.S.; Tzeng, H.L.; Chen, S.; Wu, J.; Chen, T.J. Fuzzy c-means clustering with spatial information for image segmentation. Comput. Med. Imag. Graphics 2006, 30, 9–15. [Google Scholar] [CrossRef] [PubMed]
- Li, C.; Gore, J.C.; Davatzikos, C. Multiplicative intrinsic component optimization (MICO) for MRI bias field estimation and tissue segmentation. Magn. Reson. Imaging 2014, 32, 913–923. [Google Scholar] [CrossRef] [PubMed]
- Li, C.; Huang, R.; Ding, Z.; Gatenby, J.C.; Metaxas, D.N.; Gore, J.C. A Level Set Method for Image Segmentation in the Presence of Intensity Inhomogeneities With Application to MRI. IEEE Trans. Image Process. 2011, 20, 2007–2016. [Google Scholar] [PubMed]
- BrainWeb, Simulated Brain Database. Available online: http://brainweb.bic.mni.mcgill.ca/brainweb/ (accessed on 17 August 2004).
- Vovk, U.; Pernus, F.; Likar, B. A Review of Methods for Correction of Intensity Inhomogeneity in MRI. IEEE Trans. Med. Imaging 2007, 26, 405–421. [Google Scholar] [CrossRef] [PubMed]
- The Internet Brain Segmentation Repository (IBSR). Available online: http://www.nitrc.org/projects/ibsr (accessed on 4 January 2016).











| Noise Type | Noise Level (%) | FCM | EnFCM | FGFCM | MICO | ARKFCM | MRFCM |
|---|---|---|---|---|---|---|---|
| Salt and pepper noise | 4 | 0.9803 | 0.9881 | 0.9944 | 0.9876 | 0.9988 | 0.9995 |
| 8 | 0.9576 | 0.9622 | 0.9902 | 0.9599 | 0.9970 | 0.9991 | |
| 12 | 0.9385 | 0.9436 | 0.9875 | 0.9435 | 0.9943 | 0.9976 | |
| 16 | 0.9203 | 0.9291 | 0.9685 | 0.9213 | 0.9872 | 0.9923 | |
| Gaussian noise | 4 | 0.8154 | 0.9599 | 0.9611 | 0.9507 | 0.9798 | 0.9993 |
| 8 | 0.6921 | 0.8509 | 0.8768 | 0.8610 | 0.9540 | 0.9985 | |
| 12 | 0.6346 | 0.7825 | 0.8269 | 0.7967 | 0.9453 | 0.9912 | |
| 16 | 0.6016 | 0.7141 | 0.7877 | 0.7233 | 0.9314 | 0.9872 |
| Noise Variance | Radius r | ||||
|---|---|---|---|---|---|
| 1 | 2 | 3 | 4 | 5 | |
| 0.05 | 0.9962 | 0.9949 | 0.9881 | 0.9864 | 0.9816 |
| 0.15 | 0.9935 | 0.9915 | 0.9834 | 0.9758 | 0.9701 |
| 0.25 | 0.9893 | 0.9866 | 0.9822 | 0.9707 | 0.9615 |
| 0.35 | 0.9847 | 0.9742 | 0.9618 | 0.9589 | 0.9523 |
| 0.65 | 0.8019 | 0.8431 | 0.9007 | 0.8652 | 0.8712 |
| 0.95 | 0.6128 | 0.6793 | 0.7386 | 0.7436 | 0.7528 |
© 2019 by the authors. Licensee MDPI, Basel, Switzerland. This article is an open access article distributed under the terms and conditions of the Creative Commons Attribution (CC BY) license (http://creativecommons.org/licenses/by/4.0/).
Share and Cite
Song, J.; Zhang, Z. A Modified Robust FCM Model with Spatial Constraints for Brain MR Image Segmentation. Information 2019, 10, 74. https://doi.org/10.3390/info10020074
Song J, Zhang Z. A Modified Robust FCM Model with Spatial Constraints for Brain MR Image Segmentation. Information. 2019; 10(2):74. https://doi.org/10.3390/info10020074
Chicago/Turabian StyleSong, Jianhua, and Zhe Zhang. 2019. "A Modified Robust FCM Model with Spatial Constraints for Brain MR Image Segmentation" Information 10, no. 2: 74. https://doi.org/10.3390/info10020074
APA StyleSong, J., & Zhang, Z. (2019). A Modified Robust FCM Model with Spatial Constraints for Brain MR Image Segmentation. Information, 10(2), 74. https://doi.org/10.3390/info10020074

