Integrated Transcriptome and Metabolomics Analysis Reveals That Probiotics and Tea Polyphenols Synergetically Regulate Lipid Metabolism in Laying Hens
Abstract
1. Introduction
2. Materials and Methods
2.1. Preparation of TP and PB
2.2. Experimental Birds, Diets, and Management
2.3. Sample Collection
2.4. Laboratory Analysis
- (1)
- Egg quality analysis
- (2)
- Biochemical parameters analysis
- (3)
- Histological examination of liver
- (4)
- RNA extraction and transcriptome sequencing analysis
- (5)
- Untargeted Metabolomics analysis
- (6)
- Integrative analysis of metabolome and transcriptome
2.5. Statistical Analysis
3. Results
3.1. Egg Quality
3.2. Lipid Metabolism Indicator
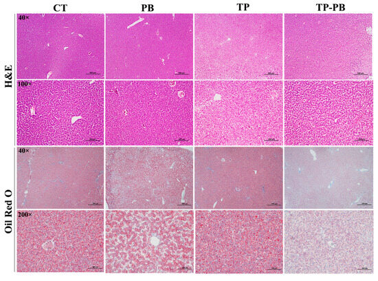
3.3. Observation of Morphology of Liver Tissues
3.4. Transcriptome Analysis
- (1)
- Identification of DEGs
- (2)
- Enrichment and functional annotation of differential gene expression
3.5. Differentially Accumulated Metabolite Analysis
3.6. Integrated Transcriptome and Metabolome Analysis
4. Discussion
5. Conclusions
Supplementary Materials
Author Contributions
Funding
Institutional Review Board Statement
Data Availability Statement
Acknowledgments
Conflicts of Interest
References
- Natesan, V.; Kim, S.J. Lipid Metabolism, Disorders and Therapeutic Drugs—Review. Biomol. Ther. 2021, 29, 596–604. [Google Scholar] [CrossRef] [PubMed]
- Hermier, D. Lipoprotein metabolism and fattening in poultry. J. Nutr. 1997, 127, 805S–808S. [Google Scholar] [CrossRef] [PubMed]
- Afzal, M.; Safer, A.M.; Menon, M. Green tea polyphenols and their potential role in health and disease. Inflammopharmacology 2015, 23, 151–161. [Google Scholar] [CrossRef] [PubMed]
- Siddiqui, M.W.; Sharangi, A.B.; Singh, J.P.; Thakur, P.K.; Ayala-Zavala, J.F.; Singh, A.; Dhua, R.S. Antimicrobial Properties of Teas and Their Extracts In Vitro. Crit. Rev. Food Sci. Nutr. 2016, 56, 1428–1439. [Google Scholar] [CrossRef] [PubMed]
- Yang, C.S.; Hong, J. Prevention of chronic diseases by tea: Possible mechanisms and human relevance. Annu. Rev. Nutr. 2013, 33, 161–181. [Google Scholar] [CrossRef]
- Huang, J.; Wang, Y.; Xie, Z.; Zhou, Y.; Zhang, Y.; Wan, X. The anti-obesity effects of green tea in human intervention and basic molecular studies. Eur. J. Clin. Nutr. 2014, 68, 1075–1087. [Google Scholar] [CrossRef]
- Huang, J.; Zhang, Y.; Zhou, Y.; Zhang, Z.; Xie, Z.; Zhang, J.; Wan, X. Green Tea Polyphenols Alleviate Obesity in Broiler Chickens through the Regulation of Lipid-Metabolism-Related Genes and Transcription Factor Expression. J. Agric. Food Chem. 2013, 61, 8565–8572. [Google Scholar] [CrossRef]
- Ming, M.; Guanhua, L.; Zhanhai, Y.; Guang, C.; Xuan, Z. Effect of the lycium barbarum polysaccharides administration on blood lipid metabolism and oxidative stress of mice fed high-fat diet in vivo. Food Chem. 2009, 113, 872–877. [Google Scholar] [CrossRef]
- Rgaard, A.; Jensen, L. The effects of soy isoflavones on obesity. Exp. Biol. Med. 2008, 233, 1066–1080. [Google Scholar] [CrossRef]
- Tabashsum, Z.; Peng, M.; Alvarado-Martinez, Z.; Aditya, A.; Debabrata, B. Competitive reduction of poultry-borne enteric bacterial pathogens in chicken gut with bioactive lactobacillus casei. Sci. Rep. 2020, 10, 16259. [Google Scholar] [CrossRef]
- Bilal, M.; Si, W.; Barbe, F.; Chevaux, E.; Zhao, X. Effects of novel probiotic strains of bacillus pumilus and bacillus subtilis on production, gut health and immunity of broiler chickens raised under sub-optimal conditions. Poult. Sci. 2020, 100, 100871. [Google Scholar] [CrossRef] [PubMed]
- Cavallini, D.C.; Bedani, R.; Bomdespacho, L.Q.; Vendramini, R.C.; Rossi, E.A. Effects of probiotic bacteria, isoflavones and simvastatin on lipid profile and atherosclerosis in cholesterol-fed rabbits: A randomized double-blind study. Lipids Health Dis. 2009, 8, 1. [Google Scholar] [CrossRef] [PubMed]
- Zhang, G.; Wang, H.; Zhang, J.; Tang, X.; Raheem, A.; Wang, M.; Lin, W.; Liang, L.; Qi, Y.; Zhu, Y.; et al. Modulatory Effects of Bacillus subtilis on the Performance, Morphology, Cecal Microbiota and Gut Barrier Function of Laying Hens. Animals 2021, 11, 1523. [Google Scholar] [CrossRef] [PubMed]
- Bai, K.; Feng, C.; Jiang, L.; Zhang, L.; Zhang, J.; Zhang, L.; Wang, T. Dietary effects of Bacillus subtilis fmbj on growth performance, small intestinal morphology, and its antioxidant capacity of broilers. Poult. Sci. 2018, 97, 2312–2321. [Google Scholar] [CrossRef] [PubMed]
- Shokryazdan, P.; Jahromi, M.F.; Liang, J.B.; Sieo, C.C.; Ho, Y.W. Effects of a lactobacillus salivarius mixture on performance, intestinal health and serum lipids of broiler chickens. PLoS ONE 2017, 12, e0175959. [Google Scholar] [CrossRef]
- Wang, H.; Ni, X.; Qing, X.; Zeng, D.; Luo, M.; Liu, L.; Li, G.; Pan, K.; Jing, B. Live probiotic lactobacillus johnsonii bs15 promotes growth performance and lowers fat deposition by improving lipid metabolism, intestinal development, and gut microflora in broilers. Front. Microbiol. 2017, 12, 1073. [Google Scholar] [CrossRef]
- Wang, W.W.; Wang, J.; Zhang, H.J.; Wu, S.G.; Qi, G.H. Supplemental clostridium butyricum modulates lipid metabolism through shaping gut microbiota and bile acid profile of aged laying hens. Front. Microbiol. 2020, 15, 600. [Google Scholar] [CrossRef]
- Yang, X.; Kui, L.; Tang, M.; Li, D.; Dong, Y. High-throughput transcriptome profiling in drug and biomarker discovery. Front. Genet. 2020, 5, 19. [Google Scholar] [CrossRef]
- Zhai, M.; Guo, Y.; Su, A.; Tian, H.; Sun, G.; Kang, X.; Li, K.; Yan, F. Identification of genes related to dexamethasone-induced immunosuppression in chicken thymus using transcriptome analysis. Res. Vet. Sci. 2020, 132, 318–327. [Google Scholar] [CrossRef]
- Gioria, S.; Vicente, J.L.; Barboro, P.; Spina, R.L.; Chassaigne, H. A combined proteomics and metabolomics approach to assess the effects of gold nanoparticles in vitro. Nanotoxicology 2016, 10, 736–748. [Google Scholar] [CrossRef]
- El-Hack, M.E.A.; Elnesr, S.S.; Alagawany, M.; Gado, A.; Noreldin, A.E.; Gabr, A.A. Impact of green tea (Camellia sinensis) and epigallocatechin gallate on poultry. World’s Poult. Sci. J. 2020, 76, 49–63. [Google Scholar] [CrossRef]
- Seidavi, A.; Belali, M.; Elghandour, M.M.Y.; Adegbeye, M.J.; Salem, A.Z.M. Potential impacts of dietary inclusion of green tea (Camellia sinensis L.) in poultry feeding: A review. Agrofor. Syst. 2020, 94, 1161–1170. [Google Scholar] [CrossRef]
- Ariana, M.; Samie, A.; Edriss, M.A.; Jahanian, R. Effects of powder and extract form of green tea and marigold, and α-tocopheryl acetate on performance, egg quality and egg yolk cholesterol levels of laying hens in late phase of production. J. Med. Plants Res. 2011, 5, 2710–2716. [Google Scholar]
- Yörük, M.A.; Gül, M.; Hayirli, A.; Macit, M. The effects of supplementation of humate and probiotic on egg production and quality parameters during the late laying period in hens. Poult. Sci. 2004, 83, 84–88. [Google Scholar] [CrossRef] [PubMed]
- Li, J.; Chang, X.; Chen, X.; Ma, R.; Qi, R.; Liu, W.; Li, Y.; Wan, Y.; Qiu, Q.; Shao, Q.; et al. Effects of green tea powder on production performance, egg quality, and blood biochemical parameters in laying hens. Poult. Sci. 2023, 102, 102924. [Google Scholar] [CrossRef]
- Xia, B.; Liu, Y.; Sun, D.; Liu, J.; Zhu, Y.; Lu, L. Effects of green tea powder supplementation on egg production and egg quality in laying hens. J. Appl. Anim. Res. 2018, 46, 927–931. [Google Scholar] [CrossRef]
- Guo, J.R.; Dong, X.F.; Liu, S.; Tong, J.M. Effects of long-term bacillus subtilis cgmcc 1.921 supplementation on performance, egg quality, and fecal and cecal microbiota of laying hens—Sciencedirect. Poult. Sci. 2017, 96, 1280–1289. [Google Scholar] [CrossRef]
- Lei, K.; Li, Y.L.; Yu, D.Y.; Rajput, I.R.; Li, W.F. Influence of dietary inclusion of bacillus licheniformis on laying performance, egg quality, antioxidant enzyme activities, and intestinal barrier function of laying hens. Poult. Sci. 2013, 92, 2389–2395. [Google Scholar] [CrossRef]
- Yuan, Z.H.; Zhang, K.Y.; Ding, X.M.; Luo, Y.H.; Bai, S.P.; Zeng, Q.F.; Wang, J.P. Effect of tea polyphenols on production performance, egg quality, and hepatic antioxidant status of laying hens in vanadium-containing diets. Poult. Sci. 2016, 95, 1709–1717. [Google Scholar] [CrossRef]
- Lye, H.S.; Kato, T.; Low, W.Y.; Taylor, T.D.; Prakash, T.; Lew, L.C.; Ohno, H.; Liong, M.T. Lactobacillus fermentum FTDC 8312 combats hypercholesterolemia via alteration of gut microbiota. J. Biotechnol. 2017, 20, 75–83. [Google Scholar] [CrossRef]
- Shang-Jin, K.; Sang, P.; Hong-Sig, S.; Seung-Hwan, J.; Sang-Wang, L.; Seon-Young, K.; Bora, K.; Yu, K.; Su, K.; Dong, Y. Hypocholesterolemic effects of probiotic mixture on diet-induced hypercholesterolemic rats. Nutrients 2017, 9, 293. [Google Scholar] [CrossRef] [PubMed]
- Shi, F.; Zi, Y.; Lu, Z.; Li, F.; Yang, M.; Zhan, F.; Li, Y.; Li, J.; Zhao, L.; Lin, L.; et al. Bacillus subtilis H2 modulates immune response, fat metabolism and bacterial flora in the gut of grass carp (Ctenopharyngodon idellus). Fish Shellfish. Immunol. 2020, 106, 8–20. [Google Scholar] [CrossRef] [PubMed]
- Qin, M.; Wang, Z.; Liang, M.; Sha, Y.; Liu, M.; Liu, J.; Wang, T.; Zhao, C.; Wang, Z.; Guo, D.; et al. Effects of dietary supplementation with tea polyphenols and probiotics on laying performance, biochemical parameters intestinal morphology and microflora of laying hens. Int. J. Biol. Macromol. 2024, 256, 128368. [Google Scholar] [CrossRef]
- Wang, M.Q.; Xu, Z.R.; Zha, L.Y.; Lindemann, M.D. Effects of chromium nanocomposite supplementation on blood metabolites, endocrine parameters and immune traits in finishing pigs. Anim. Feed. Sci. Technol. 2007, 139, 69–80. [Google Scholar] [CrossRef]
- Zhu, J.; Zhang, Y.; Wu, Y.; Xiang, Y.; Tong, X.; Yu, Y.; Qiu, Y.; Cui, S.; Zhao, Q.; Wang, N.; et al. Obesity and Dyslipidemia in Chinese Adults: A Cross-Sectional Study in Shanghai, China. Nutrients 2022, 14, 2321. [Google Scholar] [CrossRef] [PubMed]
- Theil, P.K.; Lauridsen, C. Interactions between dietary fatty acids and hepatic gene expression in livers of pigs during the weaning period. Livest. Sci. 2007, 108, 26–29. [Google Scholar] [CrossRef]
- Wang, X.; Tian, W. Green tea epigallocatechin gallate: A natural inhibitor of fatty-acid synthase. Biochem. Biophys. Res. Commun. 2001, 288, 1200–1206. [Google Scholar] [CrossRef]
- Dong, X.F.; Gao, W.W.; Tong, J.M.; Jia, H.Q.; Zhang, Q. Effect of polysavone (alfalfa extract) on abdominal fat deposition and immunity in broiler chickens. Poult. Sci. 2007, 86, 1955–1959. [Google Scholar] [CrossRef]
- Spurlock, M.E. Regulation of metabolism and growth during immune challenge: An overview of cytokine function. J. Anim. Sci. 1997, 75, 1773–1783. [Google Scholar] [CrossRef]
- Liao, X.; Song, L.; Zhang, L.; Wang, H.; Tong, Q.; Xu, J.; Yang, G.; Yang, S.; Zheng, H. LAMP3 regulates hepatic lipid metabolism through activating PI3K/Akt pathway. Mol. Cell. Endocrinol. 2018, 470, 160–167. [Google Scholar] [CrossRef]
- McManus, M.; Kleinerman, E.; Yang, Y.; Livingston, J.A.; Mortus, J.; Rivera, R.; Zweidler-McKay, P.; Schadler, K. Hes4: A potential prognostic biomarker for newly diagnosed patients with high-grade osteosarcoma. Pediatr. Blood Cancer 2017, 64, 26318. [Google Scholar] [CrossRef] [PubMed]
- Jung, K.Y.; Cho, S.Y.; Kim, H.J.; Kim, S.B.; Song, I.H. Nonalcoholic steatohepatitis associated with metabolic syndrome: Relationship to insulin resistance and liver histology. J. Clin. Gastroenterol. 2014, 48, 883–888. [Google Scholar] [CrossRef] [PubMed]
- Ross, D.A.; Hannenhalli, S.; Tobias, J.W.; Cooch, N.; Shiekhattar, R.; Kadesch, T. Functional analysis of hes-1 in preadipocytes. Mol. Endocrinol. 2006, 20, 698–705. [Google Scholar] [CrossRef] [PubMed]
- White, M.F. The insulin signalling system and the irs proteins. Diabetologia 1997, 40, S2–S17. [Google Scholar] [CrossRef] [PubMed]
- Miao, L.; Zhang, X.; Zhang, H.; Cheong, M.S.; Chen, X.; Farag, M.A.; Cheang, W.S.; Xiao, J. Baicalin ameliorates insulin resistance and regulates hepatic glucose metabolism via activating insulin signaling pathway in obese pre-diabetic mice. Phytomedicine 2024, 124, 155296. [Google Scholar] [CrossRef]
- de Abreu Ribeiro Pereira, J.; de Fátima Píccolo Barcelos, M.; Valério Villas Boas, E.; Hilsdorf Píccoli, R.; de Sales Guilarducci, J.; Corrêa Pereira, R.; Pauli, J.R.; Batista Ferreira, E.; Cardoso de Angelis-Pereira, M.; Esper Cintra, D. Combined effects of yacon flour and probiotic yogurt on the metabolic parameters and inflammatory and insulin signaling proteins in high-fat-diet-induced obese mice. J. Sci. Food Agric. 2022, 102, 7293–7300. [Google Scholar] [CrossRef]
- Johnson, C.H.; Ivanisevic, J.; Siuzdak, G. Metabolomics: Beyond biomarkers and towards mechanisms. Nat. Rev. Mol. Cell Biol. 2016, 17, 451–459. [Google Scholar] [CrossRef]
- Chen, X.; Ran, J.; Mazhar, M.; Zhu, Y.; Lin, Y.; Qin, L.; Miao, S. The balanced unsaturated fatty acid supplement constituted by woody edible oils improved lipid metabolism and gut microbiota in high-fat diet mice. Front. Nutr. 2023, 10, 1203932. [Google Scholar] [CrossRef]
- Farr, S.; Stankovic, B.; Hoffman, S.; Masoudpoor, H.; Baker, C.; Taher, J.; Dean, A.E.; Anakk, S.; Adeli, K. Bile acid treatment and FXR agonism lower postprandial lipemia in mice. Am. J. Physiol.-Gastrointest. Liver Physiol. 2020, 318, G682–G693. [Google Scholar] [CrossRef]
- Langhi, C.; Le May, C.; Kourimate, S.; Caron, S.; Staels, B.; Krempf, M.; Costet, P.; Cariou, B. Activation of the farnesoid X receptor represses PCSK9 expression in human hepatocytes. FEBS Lett. 2008, 582, 949–955. [Google Scholar] [CrossRef]
- Yang, B.; Huang, S.; Zhao, G.; Ma, Q. Dietary supplementation of porcine bile acids improves laying performance, serum lipid metabolism and cecal microbiota in late-phase laying hens. Anim. Nutr. 2022, 11, 283–292. [Google Scholar] [CrossRef] [PubMed]
- Jain, A.K.; Stoll, B.; Burrin, D.G.; Holst, J.J.; Moore, D.D. Enteral bile acid treatment improves parenteral nutrition-related liver disease and intestinal mucosal atrophy in neonatal pigs. Am. J. Physiol.-Gastrointest. Liver Physiol. 2012, 302, G218–G224. [Google Scholar] [CrossRef] [PubMed]
- Huo, D.X. The Comparative Analysis of the Diversity and Metabolic Pathway in Intestinal Microbiota of Broiler Chicken with High and Low Abdominal Fat Percentage. Master’s Thesis, Inner Mongolia Agricultural University, Hohhot, China, 2015. (In Chinese). [Google Scholar]
- Hassan, M.A.; Al-Sakkaf, K.; Shait Mohammed, M.R.; Dallol, A.; Al-Maghrabi, J.; Aldahlawi, A.; Ashoor, S.; Maamra, M.; Ragoussis, J.; Wu, W.; et al. Integration of Transcriptome and Metabolome Provides Unique Insights to Pathways Associated With Obese Breast Cancer Patients. Front. Oncol. 2020, 10, 804. [Google Scholar] [CrossRef] [PubMed]
- Zhang, H.; Zhang, Y.N.; Li, X.; Wang, J.M.; Wang, Y.; Zhu, J.J.; Xiong, Y.; Lin, Y.Q. Effect of PDK4 on the Lipid Metabolism of Goat Intramuscular Adipocytes. Biotechnol. Bull. 2021, 37, 151–159. [Google Scholar]
- Zhang, L.; Zhou, Y.; Wu, W.; Hou, L.; Chen, H.; Zuo, B.O.; Xiong, Y.; Yang, J. Skeletal muscle-specific overexpression of pgc-1α induces fiber-type conversion through enhanced mitochondrial respiration and fatty acid oxidation in mice and pigs. Int. J. Biol. Sci. 2017, 13, 1152–1162. [Google Scholar] [CrossRef]







| Item, % | Proportion |
|---|---|
| Corn | 63.50 |
| Soybean meal | 24.50 |
| Soybean oil | 1.20 |
| Shell powder | 4.50 |
| Stone powder | 3.80 |
| NaCl | 0.30 |
| Mono-Dicalcium Phosphate (MDCP) | 1.20 |
| Premix | 1.00 |
| Total | 100.00 |
| Nutrient content, % | |
| Crude protein | 16.41 |
| Crude lipid | 3.20 |
| Lysine | 0.89 |
| Methionine | 0.65 |
| Methionine + Cysteine (M + C) | 0.47 |
| Metabolizable energy, MJ/kg | 11.56 |
| Calcium | 3.22 |
| Total phosphorous | 0.76 |
| Available phosphorous | 0.32 |
| Items | Groups | p-Value | |||
|---|---|---|---|---|---|
| CT | PB | TP | PB-TP | ||
| Yolk color | 8.72 ± 0.37 | 8.25 ± 0.25 | 7.82 ± 0.64 | 8.68 ± 0.55 | 0.513 |
| Egg shape index | 1.28 ± 0.01 | 1.27 ± 0.01 | 1.29 ± 0.01 | 1.29 ± 0.01 | 0.509 |
| Eggshell thickness, mm2 | 0.49 ± 0.01 | 0.50 ± 0.01 | 0.51 ± 0.01 | 0.51 ± 0.01 | 0.167 |
| Eggshell strength, kg/cm2 | 4.74 ± 0.13 | 4.88 ± 0.12 | 4.82 ± 0.13 | 4.63 ± 0.13 | 0.535 |
| Shell ratio, % | 10.86 ± 0.13 b | 11.21 ± 0.11 a | 11.21 ± 0.08 a | 11.10 ± 0.10 ab | 0.062 |
| Yolk ratio, % | 26.55 ± 0.31 | 26.08 ± 0.34 | 26.32 ± 0.24 | 26.36 ± 0.25 | 0.713 |
| Albumen height, mm | 7.99 ± 0.20 | 8.02 ± 0.25 | 7.48 ± 0.29 | 7.96 ± 0.21 | 0.337 |
| Haugh units | 88.15 ± 1.12 | 87.25 ± 1.68 | 83.89 ± 2.48 | 87.77 ± 1.36 | 0.289 |
| Eggshell color L* | 63.16 ± 0.62 | 61.02 ± 0.92 | 63.01 ± 0.73 | 61.18 ± 0.50 | 0.053 |
| Eggshell color a* | 21.53 ± 0.30 b | 22.08 ± 0.41 ab | 21.90 ± 0.35 ab | 22.59 ± 0.28 a | 0.173 |
| Eggshell color b* | 27.64 ± 0.24 | 26.96 ± 0.37 | 27.53 ± 0.34 | 28.27 ± 0.45 | 0.088 |
| Items | Groups | p-Value | |||
|---|---|---|---|---|---|
| CT | PB | TP | TP-PB | ||
| Egg yolk | |||||
| TC (μmol/g) | 7.78 ± 0.09 a | 7.73 ± 0.10 a | 7.26 ± 0.09 b | 6.86 ± 0.08 c | 0.000 |
| TG (mg/g) | 7.15 ± 0.50 | 7.27 ± 0.44 | 7.56 ± 0.15 | 6.83 ± 0.37 | 0.635 |
| LDL-C (mmol/L) | 4.04 ± 0.46 | 4.12 ± 0.46 | 3.68 ± 0.52 | 4.64 ± 0.40 | 0.556 |
| HDL-C (μmol/L) | 913.81 ± 165.33 | 791.22 ± 99.09 | 904.04 ± 72.48 | 989.98 ± 26.38 | 0.620 |
| Serum | |||||
| TC (μmol/dL) | 50.85 ± 1.63 a | 46.06 ± 2.86 ab | 43.80 ± 1.83 ab | 41.74 ± 3.01 b | 0.085 |
| TG (mg/mL) | 0.89 ± 0.05 ab | 0.92 ± 0.05 a | 0.75 ± 0.04 b | 0.77 ± 0.05 ab | 0.072 |
| LDL-C (mmol/L) | 5.91 ± 0.27 a | 5.28 ± 0.36 ab | 4.45 ± 0.37 b | 4.29 ± 0.34 b | 0.012 |
| HDL-C (μmol/L) | 976.24 ± 61.38 bc | 941.57 ± 42.60 c | 1178.60 ± 90.69 ab | 1322.97 ± 72.96 a | 0.004 |
| TBA (μmol/L) | 32.48 ± 3.72 | 32.32 ± 2.87 | 30.80 ± 4.07 | 25.52 ± 3.04 | 0.468 |
| Ovaries | |||||
| TC (μmol/g) | 6.98 ± 0.41 a | 5.63 ± 0.31 b | 7.66 ± 0.35 a | 7.27 ± 0.22 a | 0.003 |
| TG (mg/g) | 6.76 ± 0.14 ab | 7.91 ± 0.55 a | 6.18 ± 0.48 b | 7.05 ± 0.42 ab | 0.070 |
| LDL-C (mmol/g) | 0.048 ± 0.002 a | 0.047 ± 0.003 a | 0.036 ± 0.003 b | 0.040 ± 0.003 ab | 0.032 |
| HDL-C (μmol/g) | 8.61 ± 0.85 | 7.76 ± 0.75 | 9.98 ± 0.78 | 10.10 ± 0.82 | 0.157 |
| TBA (nmol/g) | 32.48 ± 3.72 | 32.32 ± 2.87 | 30.80 ± 4.07 | 25.52 ± 3.04 | 0.468 |
| Liver | |||||
| TC (μmol/g) | 6.43 ± 0.36 | 6.42 ± 0.50 | 6.89 ± 0.49 | 7.06 ± 0.37 | 0.646 |
| TG (mg/g) | 8.82 ± 0.35 a | 8.25 ± 0.53 a | 6.61 ± 0.56 b | 7.79 ± 0.56 ab | 0.042 |
| LDL-C (mmol/g) | 0.048 ± 0.003 | 0.051 ± 0.003 | 0.046 ± 0.002 | 0.046 ± 0.005 | 0.674 |
| HDL-C (μmol/g) | 9.00 ± 0.52 | 9.08 ± 0.68 | 10.14 ± 0.87 | 10.08 ± 0.87 | 0.576 |
| TBA (nmol/g) | 292.84 ± 27.04 | 235.45 ± 22.91 | 273.48 ± 38.50 | 289.23 ± 18.07 | 0.463 |
| AMPK (U/g) | 0.41 ± 0.04 | 0.49 ± 0.03 | 0.50 ± 0.05 | 0.44 ± 0.03 | 0.374 |
| FAS (U/g) | 8619.85 ± 454.04 c | 9665.18 ± 954.03 bc | 11,522.35 ± 747.48 ab | 12,516.20 ± 796.60 a | 0.009 |
| LPL (U/g) | 5.71 ± 0.35 | 5.00 ± 0.26 | 5.86 ± 0.27 | 5.01 ± 0.24 | 0.083 |
| ACC (U/g) | 296.23 ± 20.30 b | 284.87 ± 23.92 b | 389.53 ± 13.29 a | 339.75 ± 10.79 ab | 0.003 |
| Sample | Raw Data (bp) | Clean Data (bp) | AF_Q20 (%) | AF_Q30 (%) | AF_GC (%) | Total_Mapped (%) |
|---|---|---|---|---|---|---|
| CT-1 | 6,943,828,200 | 6,809,432,486 | 97.69 | 93.41 | 47.07 | 43,757,136 (95.79) |
| CT-2 | 7,961,733,600 | 7,810,166,250 | 97.18 | 92.37 | 46.62 | 49,931,048 (95.33) |
| CT-3 | 6,214,077,300 | 6,127,075,869 | 97.74 | 93.61 | 46.02 | 39,252,483 (96.01) |
| TP-1 | 7,296,584,700 | 7,203,081,201 | 97.63 | 93.21 | 46.32 | 46,245,939 (96.19) |
| TP-2 | 6,562,045,500 | 6,487,758,405 | 97.36 | 92.62 | 46.11 | 41,589,933 (96.02) |
| TP-3 | 7,580,837,100 | 7,464,044,444 | 97.40 | 92.74 | 46.18 | 47,781,096 (95.84) |
| PB-1 | 7,510,672,800 | 7,407,463,379 | 97.62 | 93.20 | 46.84 | 47,460,828 (95.98) |
| PB-2 | 5,823,915,600 | 5,720,173,658 | 97.22 | 92.31 | 46.60 | 36,780,809 (95.76) |
| PB-3 | 7,719,579,300 | 7,601,061,060 | 97.27 | 92.54 | 46.80 | 48,346,760 (95.49) |
| PB-TP-1 | 7,079,481,600 | 6,966,470,849 | 97.17 | 92.35 | 46.59 | 44,421,268 (95.31) |
| PB-TP-2 | 8,075,640,300 | 7,947,831,467 | 97.18 | 92.33 | 46.30 | 50,711,059 (95.41) |
| PB-TP-3 | 7,526,127,000 | 7,366,471,758 | 97.21 | 92.40 | 46.46 | 47,271,368 (95.54) |
Disclaimer/Publisher’s Note: The statements, opinions and data contained in all publications are solely those of the individual author(s) and contributor(s) and not of MDPI and/or the editor(s). MDPI and/or the editor(s) disclaim responsibility for any injury to people or property resulting from any ideas, methods, instructions or products referred to in the content. |
© 2024 by the authors. Licensee MDPI, Basel, Switzerland. This article is an open access article distributed under the terms and conditions of the Creative Commons Attribution (CC BY) license (https://creativecommons.org/licenses/by/4.0/).
Share and Cite
Qin, M.; Ma, C.; Wang, Z.; Liang, M.; Sha, Y.; Liu, J.; Ge, S.; Guo, L.; Li, R. Integrated Transcriptome and Metabolomics Analysis Reveals That Probiotics and Tea Polyphenols Synergetically Regulate Lipid Metabolism in Laying Hens. Agriculture 2024, 14, 2072. https://doi.org/10.3390/agriculture14112072
Qin M, Ma C, Wang Z, Liang M, Sha Y, Liu J, Ge S, Guo L, Li R. Integrated Transcriptome and Metabolomics Analysis Reveals That Probiotics and Tea Polyphenols Synergetically Regulate Lipid Metabolism in Laying Hens. Agriculture. 2024; 14(11):2072. https://doi.org/10.3390/agriculture14112072
Chicago/Turabian StyleQin, Ming, Cai Ma, Zengguang Wang, Mingzhi Liang, Yufen Sha, Jiewei Liu, Shunjin Ge, Longzong Guo, and Ruili Li. 2024. "Integrated Transcriptome and Metabolomics Analysis Reveals That Probiotics and Tea Polyphenols Synergetically Regulate Lipid Metabolism in Laying Hens" Agriculture 14, no. 11: 2072. https://doi.org/10.3390/agriculture14112072
APA StyleQin, M., Ma, C., Wang, Z., Liang, M., Sha, Y., Liu, J., Ge, S., Guo, L., & Li, R. (2024). Integrated Transcriptome and Metabolomics Analysis Reveals That Probiotics and Tea Polyphenols Synergetically Regulate Lipid Metabolism in Laying Hens. Agriculture, 14(11), 2072. https://doi.org/10.3390/agriculture14112072
