Next Article in Journal
An Ultrasonic Ridge-Tracking Method Based on Limiter Sliding Window Filter and Fuzzy Pure Pursuit Control for Ridge Transplanter
Next Article in Special Issue
Genome-Wide Association Studies of Agronomic and Quality Traits in Durum Wheat
Previous Article in Journal
Evaluation of Nitrogen Fertilizer Supply and Soil Nitrate Thresholds for High Yields of Foxtail Millet
Previous Article in Special Issue
Optimizing Linseed (Linum usitatissimum L.) Seed Yield through Agronomic Parameter Modeling via Artificial Neural Networks
 
 
Font Type:
Arial Georgia Verdana
Font Size:
Aa Aa Aa
Line Spacing:
Column Width:
Background:
Article

Preparation of Barley AGPS2b Antibody and Its Application in Hormone Regulation Research

1
State Key Laboratory of Crop Gene Exploration and Utilization in Southwest China, Sichuan Agricultural University, Chengdu 611130, China
2
Chengdu Institute of Biology, Chinese Academy of Sciences, Chengdu 610041, China
*
Author to whom correspondence should be addressed.
Agriculture 2024, 14(10), 1712; https://doi.org/10.3390/agriculture14101712
Submission received: 21 August 2024 / Revised: 27 September 2024 / Accepted: 27 September 2024 / Published: 29 September 2024
(This article belongs to the Special Issue Breeding and Genetic Research of Cereal Grain Quality)

Abstract

ADP-glucose pyrophosphorylase (AGPase), which is a key enzyme in the starch biosynthesis pathway, plays a critical role in barley grain development. Despite its importance, the regulatory mechanisms governing AGPase expression, particularly the influence of plant hormones, remain poorly understood in barley. To address this, we identified and characterized the HvAGPS2b gene, which encodes the AGPase small subunit. The full-length HvAGPS2b gene was cloned from the barley database and expressed as a recombinant protein using the pET-30a system. Polyclonal antibodies were prepared against HvAGPS2b to facilitate detailed analysis. Our findings revealed that HvAGPS2b, as a small subunit of the rate-limiting enzyme AGPase, is integral to the later stages of grain development. Furthermore, RT-qPCR and Western blotting analyses showed that the phytohormones ABA, GA, ETH, and BR significantly upregulated the expression of AGPase small subunits. These results underscore the vital role of plant hormones in modulating AGPS2b expression, thereby influencing grain development. This study provides significant insights into the hormonal regulation of starch biosynthesis and establishes a foundation for further investigation into the functional dynamics of AGPase in barley.

1. Introduction

Starch serves as the primary energy reserve in plant seeds and constitutes a significant source of energy for humans, contributing approximately 80% of caloric intake worldwide [1]. In barley (Hordeum vulgare ssp. vulgare), starch comprises 60–70% of grain dry weight, acting as both a crucial energy store and a valuable industrial raw material [2]. As the fourth largest cereal crop globally, following wheat, rice, and maize, barley plays an essential role in food security and is especially important in Tibetan regions where it serves as a staple food. Barley is extensively used in animal feed, malt production, and beer brewing due to its high starch content, which averages between 58 and 67 g per 100 g of grain [3]. Consequently, barley starch is essential not only in traditional food processing but also as a fundamental component in the brewing industry [4]. The synthesis of grain starch is a complex process, which is regulated by several starch synthases. The key enzymes of starch synthesis mainly include starch synthase (SS), starch branching enzyme (SBE), starch debranching enzyme (DBE), and adenosine diphosphate glucose pyrophosphorylase (AGPase) [5]. SS is responsible for elongating the α-1,4 glycosidic linkages in branched-chain starch. Several isoforms of this enzyme exist, making it the most diverse in terms of isoenzymes and functionality among the enzymes involved in starch synthesis [6]. SBE facilitates the branching of the polysaccharide chain by catalyzing the cleavage of the α-1,4 glycosidic bonds within the polysaccharide, releasing the reducing end to form α-1,6 glycosidic bonds, which attach to soluble sugar chains to create branches [7]. The DBE is generally recognized to remove irregularly branched chains that inhibit the crystallization of starch granules. AGPase catalyzes the reaction between glucose 1-phosphate (G-1-P) and adenosine triphosphate (ATP) to produce adenosine diphosphate glucose (ADPG) and pyrophosphate (PPi) [8]. This reaction supplies the sugar groups necessary for starch biosynthesis, and the activity of AGPase directly influences starch content.
AGPase is an important enzyme involved in starch synthesis in higher plants. Known as the rate-limiting enzyme in this pathway, it plays a crucial role in determining the rate and extent of starch biosynthesis [9]. AGPase is a heterotetramer composed of large and small subunits, both of which are indispensable for its catalytic function and regulation [10]. The large subunit primarily serves a regulatory role, while the small subunit is mainly responsible for the catalytic activity of the enzyme [11,12,13,14]. Together, these subunits coordinate to control the synthesis of starch in plant cells. AGPase is encoded by multiple genes in plants, and its expression is specific to tissue types and developmental stages, resulting in various forms of AGPase. In cereal crop endosperms such as maize, rice, and wheat, at least two distinct AGPases have been identified, plastid-type AGPase and cytoplasmic AGPase, which synthesize ADPG in the plastid and cytoplasm, respectively [15,16,17]. The regulation of AGPase activity is known to occur through three main mechanisms: allosteric regulation, redox regulation, and thermal stability [18,19,20]. The catalytic activity of AGPase in higher plants is regulated by metabolic intermediates, with the sensitivity of enzymes to these effectors varying depending on tissue type, plastid type, and, in the case of cereal endosperm, its subcellular localization [21]. Redox regulation of AGPase is a mechanism that makes its activity responsive to fluctuations in light and sugar levels [22,23], and its regulation is associated with small subunit cysteines. Temperature also affects AGPase activity, and altering the metastable nature or thermal stability of AGPase can significantly increase starch content and starch metabolism, thereby increasing seed yield [24]. Additionally, phosphorylation plays a crucial role in modulating AGPase function. Previous studies have demonstrated that mutations at phosphorylation sites can significantly enhance AGPase activity, thereby influencing the overall activity and efficiency of the enzyme [25]. These regulatory mechanisms significantly impact the activity of AGPase, leading to substantial changes in starch content and conversion rates within plant tissues.
The small subunit of AGPase is the catalytic center and a crucial site for enzyme allosteric effects, playing a vital role in starch biosynthesis [26]. Notably, the sequence conservation of the small subunit is greater between species than within species, highlighting its evolutionary significance. In barley, the small subunit is encoded by the HvAGPS1 and HvAGPS2 genes [27]. In maize (Zea mays ssp. mays L.), the AGPS2 gene produces two transcripts, bt2a, and bt2b, which exhibit distinct expression patterns; bt2a is primarily expressed in the endosperm, while bt2b is found in the endosperm, embryo, root, and leaf, with the strongest expression in the leaf [28]. Similarly, barley possesses two AGPS2 transcripts, named HvAGPS2a and HvAGPS2b, although the precise differences in their tissue-specific expression remain unclear. The presence of multiple transcripts of the small subunit is not universal among crops. For instance, two organ-specific small subunit isozymes have been identified in beans(Phaseolus vulgaris L.) and maize [29,30,31]. However, only a single small subunit gene has been found in potato (Solanum tuberosum L.), rice (Oryza sativa L.), and arabidopsis (Arabidopsis thaliana (L.) Heynh.) [32,33,34]. Interestingly, Chen et al. demonstrated that overexpressing the AGPase small subunit gene could significantly enhance starch content in tobacco leaves, indicating the significant role of small subunits in starch synthesis across various plant species [35]. Research has shown that in different plants, such as rice, maize, wheat, and potatoes, antibodies serve as an important molecular tool to study the structure and function of AGPase. For example, scientists utilized antibodies targeting the large subunit of rice and the small subunit of potato and, through immunoblotting, observed that dimers were absent between large subunits under rice reduction regulation but were present between small subunits, highlighting the unique structural role in AGPase subunits’ functionality [36,37]. The preparation of highly sensitive and specific antibodies is crucial for studying the function of the small subunit in AGPase. Such antibodies can elucidate the structural dynamics and regulatory mechanisms of AGPase, thereby advancing our understanding of starch biosynthesis and its modulation in different plant species.
HvAGPS2b is a small subunit of the rate-limiting enzyme HvAGPase in starch synthesis in barley. While the basic function of the homologous genes in other crops has been well established, there remains a lack of comprehensive research at the protein level in barley. To address this gap, our study focuses on the preparation of a polyclonal antibody specific to the small subunit HvAGPS2b. This research aims to elucidate the protein expression levels of HvAGPS2b during various stages of grain development and under hormonal regulation. By doing so, we aim to provide a theoretical foundation for future studies on the regulatory mechanisms of AGPase in starch synthesis.

2. Materials and Methods

2.1. Experimental Materials

Barley cultivar Kangqing No. 1 was cultivated at the Chengdu Experimental Station of Sichuan Agricultural University (latitude: 30.71241; longitude: 103.85851). Samples were collected at 5, 10, 15, 20, 25, and 30 days after anthesis (DAA). Seeds were harvested at 25 DAA and treated with 50 μM abscisic acid (ABA), gibberellins (GA), ethylene (ETH), and brassinosteroid (BR) hormones. Following hormone treatment, seeds were fully imbibed in the dark at 25 °C. Control samples, without hormone treatment, were also prepared. Samples were collected after 1, 6, 12, and 24 h of incubation. Additionally, root, stem, and leaf samples were collected at 25 DAA. The roots were thoroughly rinsed to remove soil and other debris, and all samples were blotted to remove excess moisture before being flash-frozen in liquid nitrogen and stored at −80 °C for subsequent analyses.

2.2. Methods

2.2.1. Cloning of HvAGPS2b Gene

Based on the nucleotide sequence of HvAGPS2b available in the barley database, a pair of primers was designed for the cloning of the HvAGPS2b fragment. The primer sequences are listed in Table 1. The PCR amplification was performed using the following components: 25 μL of 2× Phanta Max Buffer, 1 μL of dNTP Mix (10 mM each), 2 μL of upstream primer (10 μM), 2 μL of downstream primer (10 μM), 1 μL of Phanta Max Super-Fidelity DNA Polymerase, 2 μL of template DNA, and nuclease-free water to a final volume of 50 μL. The PCR amplification program consisted of an initial denaturation at 95 °C for 3 mi, followed by 35 cycles of denaturation at 95 °C for 15 s, annealing at 60 °C for 90 s, and extension at 72 °C for 90 s, with a final extension at 72 °C for 5 min.
To obtain a stably expressed gene fragment, the HvAGPS2b gene was ligated into the pMD19-T vector and transformed into E. coli DH5α. A single colony was selected for PCR screening. Plasmids from positive colonies were extracted and sequenced to confirm the presence of the HvAGPS2b fragment.

2.2.2. Bioinformatics Analysis

Multiple sequence alignment and phylogenetic tree construction were conducted using ESPript 3.0 and MEGA-X software to analyze the evolutionary relationships of AGPS2b across different species. PlantCARE, a database for plant promoters and their cis-acting regulatory elements, was utilized to predict the cis-acting elements in the upstream promoter region of HvAGPS2b [38]. This analysis led to the identification of hormone-responsive elements involved in gene regulation. Gene structure was analyzed using the Gene Structure Display Server (GSDS) 2.0, which facilitates the visualization of gene annotations, including conserved elements and binding sites. Protein motifs were identified using the MEME Suite, an online tool for motif analysis, allowing the comparison of protein structure and function across species. All sequences are provided in the Supplementary Data.

2.2.3. RNA Extraction and RT-qPCR Analysis of Tissue Expression

Total RNA was extracted from barley grains using the Trizol method. The RNA concentration was measured using a nucleic acid protein meter, followed by quality assessment through agarose gel electrophoresis. Samples that met the quality criteria were stored at −80 °C for future analysis. cDNA synthesis was performed according to the manufacturer’s instructions using the HiFiScript gDNA Removal RT Master Mix Kit from Kangwei Century Biological Co., Ltd. (Nanjing, China). To investigate the spatiotemporal expression characteristics of the HvAGPS2b gene, reverse transcription quantitative RT-qPCR was employed. This technique was used to assess HvAGPS2b expression in barley grains at various developmental stages, as well as in roots, stems, and leaves. Additionally, expression levels were evaluated in grains subjected to different hormone treatments at room temperature (28 °C). The barley β-Actin gene served as the internal reference, and RT-qPCR specific primers were designed using Primer Premier 6, as shown in Table 1.

2.2.4. Protein Expression and Antibody Preparation

To analyze the expression of the HvAGPS2b fusion protein, the protein expression vector pET-30a was initially digested with the restriction enzymes KpnI and SalI. The pET-30a-AGPS2b vector was then constructed via homologous recombination. Following sequencing, the construct was transformed into Escherichia coli strain BL21. A single colony was selected and cultured in a medium containing 50 mg/mL ampicillin to ensure antibiotic resistance. The incubation conditions were maintained at 37 °C with shaking at 150 rpm. Once the optical density (OD) of the bacterial suspension reached between 0.3 and 0.6, isopropyl β-D-1-thiogalactopyranoside (IPTG) was added to a final concentration of 0.5 mM to induce protein expression. Samples were collected at intervals of 2, 4, and 6 h. The bacterial cultures were then centrifuged at 12,000 rpm and 4 °C for 5 min to pellet the cells. The cell pellets were lysed with phosphate-buffered saline (PBS), and the proteins were separated using SDS-PAGE electrophoresis. The expression results were visualized by Coomassie Blue staining.
For antibody production, New Zealand White rabbits weighing approximately 2 kg were acclimatized for 3–4 days. A baseline serum sample was obtained by extracting approximately 500 μL of venous blood from the rabbit’s ear to serve as a negative control. For immunization, 500 μL of Freund’s Complete Adjuvant (Sigma, St. Louis, MO, USA) was emulsified with an equal volume of purified protein and injected subcutaneously at multiple sites in the rabbits. Subsequent booster injections were administered every two weeks using 500 μL of Freund’s Incomplete Adjuvant (Sigma, St. Louis, MO, USA) mixed with an equal volume of purified protein. The immunization protocol consisted of four rounds, with blood samples collected from the rabbit’s ear vein two months after the initial injection to assess antibody production. Blood was collected 3–4 days post-final immunization, and serum was separated via centrifugation. This serum contained polyclonal antibodies against the target protein. The serum was mixed with 50% glycerol and stored at −80 °C for future use.

2.2.5. Western Blot

To evaluate the specificity of the antibody, protein immunoblotting analysis was performed following the dilution of antibody and antigen concentrations. Total protein was extracted from barley grains at various developmental stages (5, 10, 15, 20, 25, and 30 days post-anthesis) as well as from roots, stems, and leaves. The total protein content in different tissues was quantified using the Bradford Protein Assay Kit (Cat. No. P0006, Beyotime). Proteins were separated by 10% SDS-polyacrylamide gel electrophoresis and subsequently transferred to a polyvinylidene difluoride (PVDF) membrane (Cat. No. FFP39, Beyotime) via wet transfer for 60 min. The membrane was then blocked with TBST (Tris 44.8 g, NaCl 0.7 g, Tween-20 500 μL, pH 4.5) containing 5% skim milk and incubated with antiserum overnight at 4 °C with gentle agitation. After incubation, the membrane was washed three times with TBST and subsequently incubated with a secondary antibody, HRP-conjugated goat anti-rabbit IgG (Cat. No. A0208, Beyotime), at a 1:20,000 dilution at room temperature. A final wash was performed to remove unbound antibodies. Protein bands were visualized using an ultrasensitive enhanced chemiluminescence (ECL) kit (Cat. No. P0018S, Beyotime, Shanghai, China).

3. Results and Analysis

3.1. Biosignal Analysis of HvAGPS2b Protein

The HvAGPS2b encodes a polypeptide chain consisting of 515 amino acids and 1545 nucleotides. The analysis of the protein structure indicates that HvAGPS2b lacks a transmembrane domain (Figure 1A), which is consistent with its localization in the plastid or cytoplasm, where it participates exclusively in starch biosynthesis. Using ExPASy, the hydrophobicity of the protein was predicted, revealing an overall negative value for amino acids, which suggests a hydrophilic protein structure (Figure 1B). The signal peptide prediction yielded a value of 0.45, indicating the absence of a signal peptide (Figure 1C). Furthermore, the SMART analysis identified two key protein domains (the NTP-transferase domain and the pbH1 domain) within HvAGPS2b (Figure 1D).
To predict the conservation of the small subunit gene sequence, we compared the AGPS2b sequences of several crops with HvAGPS2b. Multiple sequence alignment revealed a high degree of similarity among the AGPS2b genes across different species (Figure 2A). These findings corroborate previous studies indicating that the small subunit of AGPase is relatively conserved. Furthermore, we constructed a phylogenetic tree using MEGA-11 to elucidate the evolutionary relationships among these sequences. The results indicated that HvAGPS2b is most closely related to wheat, followed by rice and maize, while it is more distantly related to potato AGPS2b (Figure 2B). This phylogenetic arrangement is consistent with the known taxonomic classification of these plants. In addition, we employed MEME and GSDS to predict conserved motifs and gene structures. The analyses demonstrated a high similarity of homologous genes at both the gene and protein levels (Figure 2C,D).
The PlantCARE online software was utilized to analyze the cis-acting response elements in the upstream promoter of HvAGPS2b. The analysis revealed that the upstream promoter contains several elements associated with hormone responses. Specifically, the HvAGPS2b gene is regulated by abscisic acid (ABA) and gibberellin (GA), as well as elements responsive to drought and light (Table 2).

3.2. Cloning and Prokaryotic Expression of the HvAGPS2b Gene

The coding sequence of HvAGPS2b was amplified from the cDNA of 25-day-old barley grains, yielding a product of 1545 bp (Figure 3A). Sequencing and restriction digestion confirmed the successful insertion of HvAGPS2b into the pMD19-T vector (Figure 3B). Using pMD19-T-HvAGPS2b as a template, a recombinant fragment with homologous arms was amplified, and pET-30a was double-digested with KpnI and SalI restriction enzymes. The expression vector pET-30a-HvAGPS2b was constructed via homologous recombination, and the recombinant plasmid was sequenced to confirm successful construction (Figure 3C). The recombinant plasmid was transformed into the BL21 strain and induced with 0.5 mM IPTG. Samples were collected after 2, 4, and 6 h of induction. Subsequent 10% SDS-PAGE analysis demonstrated that the band size was consistent with expected size, indicating a significant induction effect (Figure 3D). The induced protein was then purified, yielding the target protein as a single band (Figure 3E).

3.3. Preparation and Titer Evaluation of HvAGPS2b Antibody

After multiple immunizations, a polyclonal antibody against HvAGPS2b was developed, and its specificity and titer were verified through Western blotting. To confirm whether the antibody could specifically recognize the target protein in barley grains, immunoprecipitation experiments were conducted using grains pollinated for 25 DAA. The results demonstrated that the antibody effectively recognized HvAGPS2b in the grains and also detected an interacting protein approximately 200 kDa in size, predicted to be a heterotetramer forming AGPase (Figure 4A). In vitro antibody validation further revealed that the antibody could specifically recognize trace amounts of the antigen, with the expression signal intensifying as the antigen concentration increased (Figure 4B). To assess the specificity and high sensitivity of the antibody, Western blot analyses were performed using various antibody dilutions. The findings indicated that even at low concentrations, the antibody effectively recognized the antigen when the antigen loading was constant (Figure 4C). These results confirmed the successful preparation of the antibody, providing a solid foundation for subsequent in vivo studies.

3.4. Tissue-Specific Expression Analysis

To investigate the expression pattern and distribution of HvAGPS2b in barley, tissues from Kangqing No. 1 at various stages of pollination development were analyzed using RT-qPCR and Western blotting. Actin (β-actin) was used as an internal reference. The results indicated significant differences in the expression intensity of HvAGPS2b across different tissues. Specifically, HvAGPS2b was nearly undetectable in roots, stems, and leaves (Figure 5B), while the expression peaked during the late stage of grain filling (Figure 5D). Quantitative analysis further corroborated these findings, showing that HvAGPS2b was predominantly expressed in the middle and late stages of grain development and exhibited low expression in other tissues.

3.5. Expression Patterns of HvAGPS2b Treated with Hormones

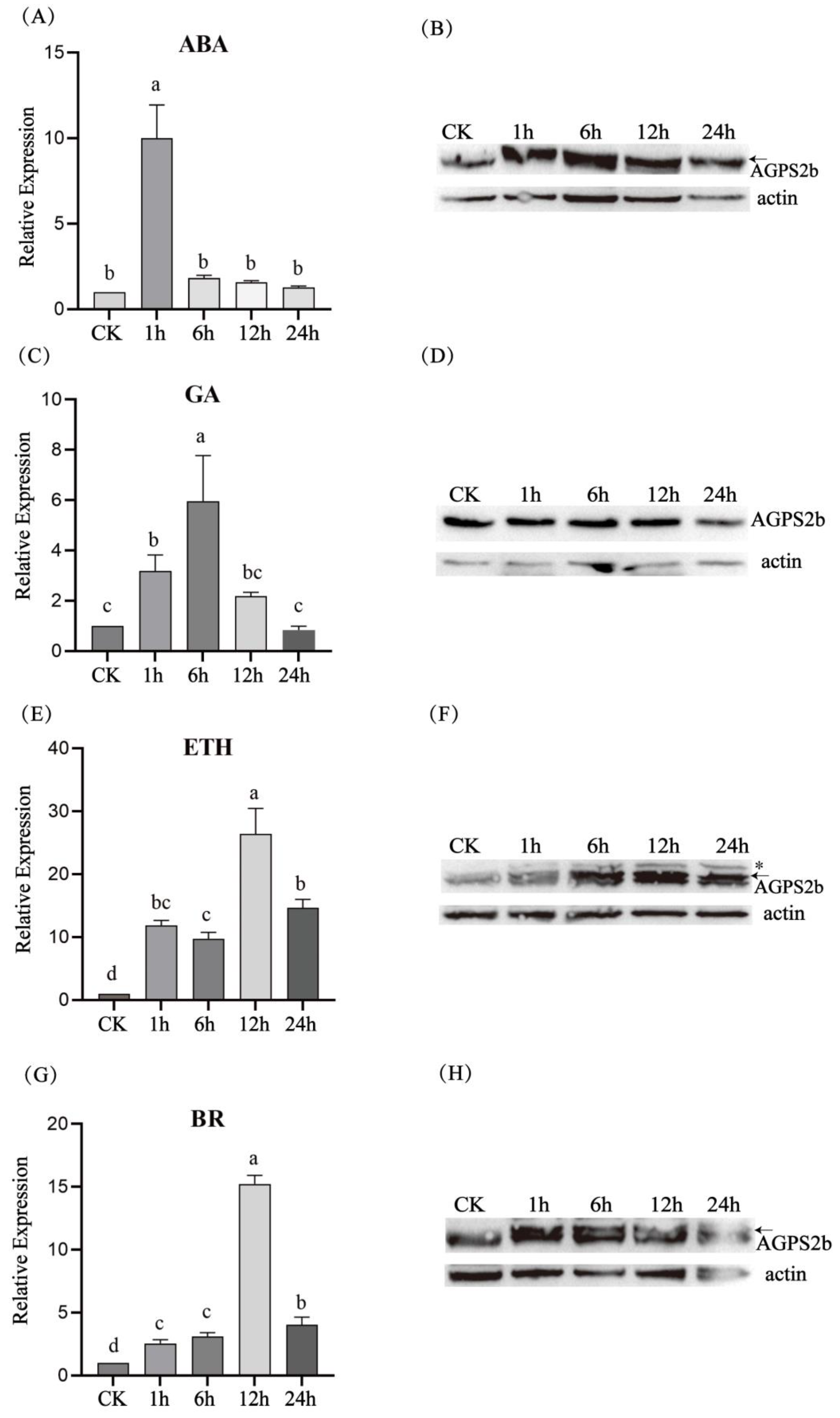
In addition to nutritional conditions and environmental factors, plant growth and development are regulated by hormones, which play a crucial role in these processes. Previous studies have demonstrated that the grain-filling process in wheat is closely linked to the regulation of endogenous hormones, particularly to grain development, starch synthase protein expression, and plant senescence metabolism [39]. To investigate the effects of hormone treatments on the expression pattern of HvAGPS2b in grains, 25-day-old seeds after pollination were treated with abscisic acid (ABA), gibberellin (GA), brassinosteroids (BR), and ethylene (ETH) at indicated times (1–24 h). The results indicated that as the duration of treatment increased, the expression of HvAGPS2b in response to ABA and GA initially increased and then decreased (Figure 6A,B). In contrast, the transcriptional response to ETH and BR gradually increased over time (Figure 6C,D). Western blot analysis further confirmed that the protein abundance of HvAGPS2b was consistent with the transcriptional level results. Overall, these findings demonstrate that hormone treatments enhance the expression of the HvAGPS2b gene to varying degrees.

4. Discussion

The synthetic gene HvAGPS2b, encoding the small subunit of AGPase, plays a crucial role in starch synthesis by regulating the activity of this rate-limiting enzyme. While its function is well documented, its response to hormonal regulation in barley remains unclear, and there is a notable gap in research concerning its protein expression levels. In this study, we prepared polyclonal antibodies against the HvAGPS2b protein through prokaryotic expression systems and multiple immunizations. This approach was designed to provide a foundation for further research into the function and interaction dynamics of the protein.
The antibody was evaluated both in vivo and in vitro, using an antigen–antibody dilution method. Immunoprecipitation results demonstrated that the antibody effectively recognized the target protein HvAGPS2b in barley (Figure 3A), as well as its interacting protein, which remains unidentified. It is hypothesized that this interacting protein forms a tetramer, as both the large and small subunits of AGPase are known to stabilize only when they are assembled into a tetrameric structure [40]. Similar observations were made in maize, where the SH2 protein was detected in the BT2 endosperm during early development but diminished in later stages, suggesting increased instability when SH2/BT2 polymers are absent [30]. Western blot analyses further confirmed that the antibodies possessed high sensitivity and specificity, as evidenced by the detection of single bands corresponding to the target antigen (Figure 4B,C). Additionally, the antibodies successfully detected HvAGPS2b expression across various tissues (Figure 5A,B). Notably, the gene exhibited tissue-specific expression, being minimally expressed in roots, stems, and leaves compared to grains, which aligns with the findings of previous studies [41,42]. These researchers noted an increased abundance of the small subunit of wheat plastid AGPase during the later stages of seed development, suggesting a similar localization for HvAGPS2b within the plastid, although its exact subcellular localization in barley remains to be elucidated. Previous work by Seferoglu et al. [43] demonstrated that mutations in residues of the large subunit of potato AGPase altered the stability of the heterotetrameric enzyme and affected substrate and effector binding. Our antibody preparation provides a foundation for exploring these interactions between large and small subunits at the protein level. It significantly contributes to the understanding of AGPase function, laying the groundwork for potential biotechnological applications aimed at enhancing AGPase activity.
The promoter region, located upstream of the coding sequence, contains multiple cis-acting elements that serve as protein binding sites critical for transcription initiation and regulation [44]. The analysis of the HvAGPS2b promoter has revealed that it is regulated by various cis-elements, including those responsive to endogenous hormones such as ABA and GA. Beyond abiotic factors like light, temperature, moisture, and fertilizers, the growth and development of higher plants are significantly influenced by hormones, which can regulate plant growth independently and in conjunction with environmental factors [45]. For barley, phytohormones play an indispensable role in growth regulation. GA is known to promote barley malt germination [46], while both ABA and GA enhance the production of key enzymes, such as α-amylase and β-glucan, in barley grains, thereby boosting enzymatic activity [47]. Hormones are integral throughout grain development, although the specific regulatory mechanisms remain largely undefined. For instance, Liu et al. demonstrated that short-term hormone treatments could elevate the expression of the transporter ZmBT1, thereby facilitating starch accumulation [48]. Further research indicates that exogenous ABA applications, within concentrations of 10–100 μM, to grains or developing spike peduncles increase ABA levels in grains, leading to altered gene expression [4950,51]. It was reported that ABA could enhance AGPase and SBE activities, ultimately boosting starch yield [52]. Our findings corroborate these results, showing that ABA enhances HvAGPS2b expression at both the transcriptional and protein levels (Figure 6A,B), suggesting that ABA upregulates AGPase activity by promoting small subunit expression, thereby elevating starch content in grains.
GA is essential in regulating various stages of plant growth and development, including seed germination, vegetative growth, and grain/fruit maturation [53]. Liu Yang et al. found that low concentrations of GA can stimulate plant growth and starch accumulation [54]. As the rate-limiting enzyme in starch synthesis, AGPase governs the initial steps of starch biosynthesis. Our results indicate that GA enhances the downstream rate of starch synthesis by upregulating both the gene and protein expression of the AGPase small subunit. Moreover, our RT-qPCR analysis revealed that BR and ETH also promote HvAGPS2b expression over time, with expression peaks for BR and ETH occurring later than those for ABA and GA. This temporal variation suggests that plant hormones interact sequentially to regulate AGPase activity, ultimately contributing to grain filling and fruit development. However, the results of the expression at the mRNA and protein levels were not identical, which may be related to the complex signaling pathways between the various plant hormones. Furthermore, except for GA, two bands of HvAGPS2b protein were expressed after the treatment of seeds with other hormones. This may be due to the hormone-mediated regulation of phosphorylation modification of the protein or the emergence of multiple isoforms. The exact reason for this is still unknown, and further investigation is required.

5. Conclusions

Starch biosynthesis involves the coordinated action of several enzymes, which play a key role in the initial stage of this process. This study focused on the small subunit of AGPase, specifically the HvAGPS2b gene, to elucidate its critical role in starch synthesis. In this investigation, the HvAGPS2b gene was successfully cloned, allowing for the development of a highly specific and sensitive polyclonal antibody. The expression pattern of the HvAGPS2b gene was analyzed throughout grain development, revealing that its expression is modulated by various hormones. The Western blot analysis provides robust protein-level evidence that hormones regulate starch synthase-related genes, thereby participating in the grain-filling process. The results indicate that the small subunit of AGPase, regulated by hormones such as ABA and GA, is essential for controlling the initial stages of starch biosynthesis.
This study demonstrated that different hormones can regulate starch synthase-related genes and thus participate in the seed development process. However, the process of hormone-regulated seed development is very complex, and there are still many unanswered questions. These include how hormones interact with each other to regulate seed development and how responses to phytohormones are expressed in numerous starch synthases. The polyclonal antibodies developed in this study facilitate a deeper comprehension of the small subunit of AGPase at the protein level, thereby providing a theoretical foundation for prospective modifications aimed at enhancing the activity of the small subunit, with the ultimate objective of improving starch yield. These findings underscore the potential for the targeted manipulation of the HvAGPS2b gene to augment crop starch yield, and offer invaluable insights for agricultural biotechnology and crop improvement strategies.

Supplementary Materials

The following supporting information can be downloaded at: https://www.mdpi.com/article/10.3390/agriculture14101712/s1, Supplementary document: The gene sequences, amino acid sequences and promoter sequences used in this study.

Author Contributions

G.Y. designed the experiments. B.X. and Q.Z. performed the experiments and analyzed the data. Y.G. (Yang Guo), Y.L. and Z.C. helped to perform and analyze the RT-qPCR. H.Z. and Y.G. (Yan Gao) designed experimental ideas for antibody preparation and immunoblotting. B.X., Q.Z. and N.S. arranged and wrote the manuscript and conferred with all authors. G.Y. and Z.F. read and approved the contents. All authors have read and agreed to the published version of the manuscript.

Funding

This work was supported by the Sichuan Agricultural University Innovation Training Program (No. S202310626044), the China Agriculture Research System (No. CARS-05-10B).

Institutional Review Board Statement

The animal study protocol was approved by the Sichuan Agricultural Unversity Institutional Animal Care and Use Committee, and Animal Ethical and Welfare Committee (protocol code is DKY-S20123122-2 and date of approval is 10 August 2023).

Data Availability Statement

The data presented in this study are available in the Supplementary Data.

Acknowledgments

We would like to express our gratitude to Liu lun and Nishbah Mughal for taking time from their busy schedule to enhance the language and overall robustness of the manuscript.

Conflicts of Interest

The authors declare no conflict of interest and this study was conducted without any business or financial relationships that could be considered a potential conflict of interest.

References

  1. Keeling, P.L.; Myers, A.M. Biochemistry and genetics of starch synthesis. Annu. Rev. Food Sci. Technol. 2010, 1, 271–303. [Google Scholar] [CrossRef] [PubMed]
  2. Wei, C.; Zhang, J.; Zhong, F.; Zhou, W.; Xu, R.; Ma, L. Comparison of the starch granule and kernel structure between feed and malt barley varieties. J. Triticeae Crops 2006, 26, 133–138. (In Chinese) [Google Scholar]
  3. Gao, J.; Vasanthan, T.; Hoover, R. Isolation and characterization of high-purity starch isolates from regular, waxy, and high-amylose hulless barley grains. Cereal Chem. 2009, 86, 157–163. [Google Scholar] [CrossRef]
  4. Gous, P.W.; Fox, G.P. Review: Amylopectin synthesis and hydrolysis—Understanding isoamylase and limit dextrinase and their impact on starch structure on barley (Hordeum vulgare) quality. Trends Food Sci. Technol. 2017, 62, 23–32. [Google Scholar] [CrossRef]
  5. Qu, J.; Xu, S.; Zhang, Z.; Chen, G.; Zhong, Y.; Liu, L.; Zhang, R.; Xue, J.; Guo, D. Evolutionary, structural and expression analysis of core genes involved in starch synthesis. Sci. Rep. 2018, 8, 12736. [Google Scholar] [CrossRef]
  6. Ohdan, T.; Francisco, P.B., Jr.; Sawada, T.; Hirose, T.; Terao, T.; Satoh, H.; Nakamura, Y. Expression profiling of genes involved in starch synthesis in sink and source organs of rice. J. Exp. Bot. 2005, 56, 3229–3244. [Google Scholar] [CrossRef]
  7. Tetlow, I.J.; Emes, M.J. A review of starch-branching enzymes and their role in amylopectin biosynthesis. IUBMB Life 2014, 66, 546–558. [Google Scholar] [CrossRef] [PubMed]
  8. Boehlein, S.K.; Shaw, J.R.; Stewart, J.D.; Hannah, L.C. Studies of the kinetic mechanism of maize endosperm ADP-glucose pyrophosphorylase uncovered complex regulatory properties. Plant Physiol. 2010, 152, 1056–1064. [Google Scholar] [CrossRef]
  9. Okita, T.W.; Nakata, P.A.; Anderson, J.M.; Sowokinos, J.; Morell, M.; Preiss, J. The subunit structure of potato tuber ADPglucose pyrophosphorylase. [Solanum tuberosum L.]. Plant Physiol. 1990, 93, 785–790. [Google Scholar] [CrossRef]
  10. Cross, J.M.; Clancy, M.; Shaw, J.R.; Greene, T.W.; Schmidt, R.R.; Okita, T.W.; Hannah, L.C. Both subunits of ADP-glucose pyrophosphorylase are regulatory. Plant Physiol. 2004, 135, 137–144. [Google Scholar] [CrossRef]
  11. Kavakli, I.H.; Park, J.S.; Slattery, C.J. Analysis of allosteric effector binding sites of potato ADP-glucose pyrophosphorylase through reverse genetics. J. Biol. Chem. 2001, 276, 40834–40840. [Google Scholar] [CrossRef] [PubMed]
  12. Laughlin, M.J.; Payne, J.W.; Okita, T.W. Substrate binding mutants of the higher plant ADP-glucose phrophosphorylase. Phytochemistry 1998, 47, 621–629. [Google Scholar] [CrossRef] [PubMed]
  13. Ballicora, M.A.; Fu, Y.; Nesbitt, N.M.; Preiss, J. ADP-Glucose pyrophosphorylase from potato tubers. Site-directed mutagenesis studies of the regulatory sites. Plant Physiol. 1998, 118, 265–274. [Google Scholar] [CrossRef][Green Version]
  14. Geigenberger, P. Regulation of starch biosynthesis in response to a fluctuating environment. Plant Physiol. 2011, 155, 1566–1577. [Google Scholar] [CrossRef]
  15. Luo, C.; Déjardin, A.; Villand, P.; Doan, D.N.; Kleczkowski, L.A. Differential processing of homologues of the small subunit of ADP-glucose pyrophosphorylase from barley (Hordeum vulgare) tissues. Z. Für Naturforschung C J. Biosci. 1997, 52, 807–811. [Google Scholar] [CrossRef]
  16. Siedlecka, A.; Ciereszko, I.; Mellerowicz, E.; Martz, F.; Chen, J.; Kleczkowski, L.A. The small subunit ADP-glucose pyrophosphorylase (ApS) promoter mediates okadaic acid-sensitive uidA expression in starch-synthesizing tissues and cells in Arabidopsis. Planta 2003, 217, 184–192. [Google Scholar] [CrossRef] [PubMed]
  17. Sikka, V.K.; Choi, S.B.; Kavakli, I.H.; Sakulsingharoj, C.; Gupta, S.; Ito, H.; Okita, T.W. Subcellular compartmentation and allosteric regulation of the rice endosperm ADPglucose pyrophosphorylase. Plant Sci. 2001, 161, 461–468. [Google Scholar] [CrossRef]
  18. Chen, B.Y.; Janes, H.W. Multiple forms of ADP-glucose pyrophosphorylase from tomato leaf. Physiol. Plant. 1998, 113, 235–241. [Google Scholar] [CrossRef][Green Version]
  19. Tiessen, A.; Hendriks, J.H.; Stitt, M.; Branscheid, A.; Gibon, Y.; Farré, E.M.; Geigenberger, P. Starch synthesis in potato tubers is regulated by post-translational redox modification of ADP-glucose pyrophosphorylase: A novel regulatory mechanism linking starch synthesis to the sucrose supply. Plant Cell Online 2002, 14, 2191–2213. [Google Scholar] [CrossRef]
  20. Boehlein, S.K.; Shaw, J.R.; Stewart, J.D.; Hannah, L.C. Heat stability and allosteric properties of the maize endosperm ADP-glucose pyrophosphorylase are intimately intertwined. Plant Physiol. 2008, 146, 289–299. [Google Scholar] [CrossRef][Green Version]
  21. Tetlow, I.J.; Morell, M.K.; Emes, M.J. Recent developments in understanding the regulation of starch metabolism in higher plants. J. Exp. Bot. 2004, 55, 2131–2145. [Google Scholar] [CrossRef]
  22. Hendriks, J.H.; Kolbe, A.; Gibon, Y.; Stitt, M.; Geigenberger, P. ADP-glucose pyrophosphorylase is activated by posttranslational redox-modification in response to light and to sugars in leaves of Arabidopsis and other plant species. Plant Physiol. 2003, 133, 838–849. [Google Scholar] [CrossRef]
  23. Tiessen, A.; Prescha, K.; Branscheid, A. Evidence that SNF1-related kinase and hexokinase are involved in separate sugar-signalling pathways modulating post-translational redox activation of ADP-glucose pyrophosphorylase in potato tubers. Plant J. 2003, 35, 490–500. [Google Scholar] [CrossRef]
  24. Kaur, V.; Madaan, S.; Behl, R.K. ADP-glucose pyrophosphorylase activity in relation to yield potential of wheat: Response to independent and combined high temperature and drought stress. Cereal Res. Commun. 2017, 45, 181–191. [Google Scholar] [CrossRef]
  25. Yu, G.; Shoaib, N.; Yang, Y.; Liu, L.; Mughal, N.; Mou, Y.; Huang, Y. Effect of phosphorylation sites mutations on the subcellular localization and activity of AGPase Bt2 subunit: Implications for improved starch biosynthesis in maize. Agronomy 2023, 13, 2119. [Google Scholar] [CrossRef]
  26. Hwang, S.K.; Salamone, P.R.; Okita, T.W. Allosteric regulation of the higher plant ADP-glucose pyrophosphorylase is a product of synergy between the two subunits. FEBS Lett. 2005, 579, 983–990. [Google Scholar] [CrossRef]
  27. Rösti, S.; Rudi, H.; Rudi, K.; Opsahl-Sorteberg, H.-G.; Fahy, B.; Denyer, K. The gene encoding the cytosolic small subunit of ADP-glucose pyrophosphorylase in barley endosperm also encodes the major plastidial small subunit in the leaves. J. Exp. Bot. 2006, 57, 3619–3626. [Google Scholar] [CrossRef][Green Version]
  28. Huang, B. Function of Key Enzymes in Corn Starch Synthesis: AGPase and Isoamylase; Sichuan Agricultural University: Ya’an, China, 2014. (In Chinese) [Google Scholar]
  29. Giroux, M.J.; Hannah, L.C. ADP-glucose pyrophosphorylase in shrunken-2 and brittle-2 mutants of maize. Mol. Gen. Genet. 1994, 243, 400–408. [Google Scholar] [CrossRef]
  30. Prioul, J.L.; Jeannette, E.; Reyss, A. Expression of ADP-glucose pyrophosphorylase in maize (Zea mays L.) grain and source leaf during grain filling. Plant Physiol. 1994, 104, 179–187. [Google Scholar] [CrossRef][Green Version]
  31. Weber, H.; Heim, U.; Wobus, B.U. Cell-type specific, coordinate expression of two ADP-glucose pyrophosphorylase genes in relation to starch biosynthesis during seed development of Vicia faba L. Planta 1995, 195, 352–361. [Google Scholar] [CrossRef] [PubMed]
  32. Nakata, P.A.; Greene, T.W.; Anderson, J.M. Comparison of the primary sequences of two potato tuber ADP-glucose pyrophosphorylase subunits. Plant Mol. Biol. 1991, 17, 1089–1093. [Google Scholar] [CrossRef] [PubMed]
  33. Anderson, J.M.; Hnilo, J.; Larson, R.; Okita, T.W.; Morell, M.; Preiss, J. The encoded primary sequence of a rice seed ADP-glucose pyrophosphorylase subunit and its homology to the bacterial enzyme. J. Biol. Chem. 1989, 264, 12238–12242. [Google Scholar] [CrossRef] [PubMed]
  34. Villand, P.; Olsen, O.A.; Kleczkowski, L.A. Molecular characterization of multiple cDNA clones for ADP-glucose pyrophosphorylase from Arabidopsis thaliana. Plant Mol. Biol. 1993, 23, 1279–1284. [Google Scholar] [CrossRef]
  35. Chen, Y.; Gao, Y. Overexpression of small subunit NtAGPase gene increases starch content and biomass in tobacco leaf. Chin. J. Biol. Eng. 2021, 37, 2845–2855. [Google Scholar] [CrossRef]
  36. Müller-Röber, B.T.; Kossmann, J.; Hannah, L.C. One of two different ADP-glucose pyrophosphorylase genes from potato responds strongly to elevated levels of sucrose. Mol. Gen. Genet. Mgg 1990, 224, 136–146. [Google Scholar] [CrossRef]
  37. Tuncel, A.; Cakir, B.; Hwang, S.K. The role of the large subunit in redox regulation of the Rice endosperm ADP-glucose pyrophosphorylase. FEBS J. 2014, 281, 4951–4963. [Google Scholar] [CrossRef]
  38. Lescot, M. PlantCARE, a database of plant cis-acting regulatory elements and a portal to tools for in silico analysis of promoter sequences. Nucleic Acids Res. 2002, 30, 325–327. [Google Scholar] [CrossRef] [PubMed]
  39. Hess, J.R.; Carman, J.G.; Banowetz, G.M. Hormones in wheat kernels during embryony. J. Plant Physiol. 2002, 159, 379–386. [Google Scholar] [CrossRef]
  40. Salamone, P.R.; Greene, T.W.; Kavakli, I.H. Isolation and characterization of a higher plant ADP-glucose pyrophosphorylase small subunit homotetramer. Febs Lett. 2000, 482, 113–118. [Google Scholar] [CrossRef] [PubMed]
  41. Burton, R.A.; Johnson, P.E.; Beckles, D.M.; Fincher, G.B.; Jenner, H.L.; Naldrett, M.J.; Denyer, K. Characterization of the genes encoding the cytosolic and plastidial forms of ADP-glucose pyrophosphorylase in wheat endosperm. Plant Physiol. 2002, 130, 1464–1475. [Google Scholar] [CrossRef] [PubMed]
  42. Johnson, P.E.; Patron, N.J.; Bottrill, A.R.; Dinges, J.R.; Fahy, B.F.; Parker, M.L.; Waite, D.N.; Denyer, K. A low-starch barley mutant, risø 16, lacking the cytosolic small subunit of ADP-glucose pyrophosphorylase, reveals the importance of the cytosolic isoform and the identity of the plastidial small subunit. Plant Physiol. 2003, 131, 684–696. [Google Scholar] [CrossRef] [PubMed]
  43. Seferoglu, A.B.; Gul, S.; Dikbas, U.M.; Baris, I.; Koper, K.; Caliskan, M.; Cevahir, G.; Kavakli, I.H. Glu-370 in the large subunit influences the substrate binding, allosteric, and heat stability properties of potato ADP-glucose pyrophosphorylase. Plant Sci. 2016, 252, 125–132. [Google Scholar] [CrossRef] [PubMed]
  44. Garcia, C.M.H.; Finer, J.J. Identification and validation of promoters and cis-acting regulatory elements. Plant Sci. 2013, 217–218, 109–119. [Google Scholar] [CrossRef]
  45. Yu, A. Effects of Brassicin (BR) and Gibberellin (GA) on Starch Accumulation, Grain Size Distribution and Processing Characteristics of Wheat Grain; Shandong Agricultural University: Tai’an, China, 2011. [Google Scholar] [CrossRef]
  46. Himmelbach, A.; Iten, M.; Grill, E. Signalling of abscisic acid to regulate plant growth. Philos. Trans. R. Soc. B Biol. Sci. 1998, 353, 1439–1444. [Google Scholar] [CrossRef] [PubMed]
  47. Huang, Y.; Cai, S.; Ye, L. The effects of GA and ABA treatments on metabolite profile of germinating barley. Food Chem. 2016, 192, 928–933. [Google Scholar] [CrossRef]
  48. Liu, L.; Qing, Y.; Shoaib, N.; Di, R.; Liu, H.; Li, Y.; Hu, Y.; Huang, Y.; Yu, G. Preparation of polyclonal antibody against ZmBT1 protein and its application in hormone-regulated starch synthesis. Agronomy 2023, 13, 1805. [Google Scholar] [CrossRef]
  49. Tang, T.; Xie, H.; Wang, Y. The effect of sucrose and abscisic acid interaction on sucrose synthase and its relationship to grain filling of rice (Oryza sativa L.). J. Exp. Bot. 2009, 60, 2641–2652. [Google Scholar] [CrossRef]
  50. Kondhare, K.R.; Hedden, P.; Kettlewell, P.S.; Farrell, A.D. Quantifying the impact of exogenous abscisic acid and gibberellins on pre-maturity α-amylase formation in developing wheat grains. Sci. Rep. 2014, 19, 5355. [Google Scholar] [CrossRef]
  51. Yang, J. Activities of key enzymes in sucrose-to-starch conversion in wheat grains subjected to water deficit during grain filling. Plant Physiol. 2004, 135, 1621–1629. [Google Scholar] [CrossRef]
  52. Rook, F.; Corke, F.; Card, R.; Munz, G.; Smith, C. Impaired sucrose-induction mutants reveal the modulation of sugar-induced starch biosynthetic gene expression by abscisic acid signalling. Plant J. 2010, 26, 421–433. [Google Scholar] [CrossRef]
  53. Hauvermale, A.L.; Ariizumi, T.; Steber, C.M. Gibberellin Signaling: A theme and variations on DELLA repression. Plant Physiol. 2012, 160, 83–92. [Google Scholar] [CrossRef] [PubMed]
  54. Liu, Y.; Chen, X.; Wang, X. The influence of different plant hormones on biomass and starch accumulation of duckweed: A renewable feedstock for bioethanol production. Renew. Energy 2019, 138, 659–665. [Google Scholar] [CrossRef]
Figure 1. Bioinformatics analysis of HvAGPS2b protein. (A) Transmembrane domain prediction of HvAGPS2b protein. (B) Protein hydrophobicity prediction of HvAGPS2b protein. (C) Signal peptide prediction of HvAGPS2b protein. (D) Protein domain prediction of HvAGPS2b protein.
Figure 1. Bioinformatics analysis of HvAGPS2b protein. (A) Transmembrane domain prediction of HvAGPS2b protein. (B) Protein hydrophobicity prediction of HvAGPS2b protein. (C) Signal peptide prediction of HvAGPS2b protein. (D) Protein domain prediction of HvAGPS2b protein.
Agriculture 14 01712 g001
Figure 2. (A) Protein sequence alignment of several major crops. (B) Phylogenetic evolutionary tree. (C) Gene structure analysis. (D) Protein motif prediction. The crops analyzed mainly include barley (accession number: XM_045100177.1); wheat (accession number XM_048683344.1); maize (accession number: XM_008666513.4); rice (accession number: FJ750945.1); sorghum (accession number: XM_021465103.1); and potato (accession number: AAO23572.1). Note: Ta: Triticum aestivum 1545 bp; Hv: Hordeum vulgare 1545 bp; Ph: Panicum hallii 1554 bp; Si: Setaria italica 1533 bp; Zm: Zea mays 1554 bp; Sb: Sorghum bicolor 1352 bp; Os: Oryza sativa 1545 bp; St: Solanum tuberosum 1566 bp.
Figure 2. (A) Protein sequence alignment of several major crops. (B) Phylogenetic evolutionary tree. (C) Gene structure analysis. (D) Protein motif prediction. The crops analyzed mainly include barley (accession number: XM_045100177.1); wheat (accession number XM_048683344.1); maize (accession number: XM_008666513.4); rice (accession number: FJ750945.1); sorghum (accession number: XM_021465103.1); and potato (accession number: AAO23572.1). Note: Ta: Triticum aestivum 1545 bp; Hv: Hordeum vulgare 1545 bp; Ph: Panicum hallii 1554 bp; Si: Setaria italica 1533 bp; Zm: Zea mays 1554 bp; Sb: Sorghum bicolor 1352 bp; Os: Oryza sativa 1545 bp; St: Solanum tuberosum 1566 bp.
Agriculture 14 01712 g002
Figure 3. Cloning and expression of HvAGPS2b. (A) HvAGPS2b was amplified using cDNA from grains collected at 25 DAA. (B) Double digestion verification. (C) Schematic diagram of recombinant plasmid vector construction. (D) The expression of HvAGPS2b protein was induced by IPTG at different times. (E) Purification effect of His-tagged recombinant protein under non-denaturing conditions. M: marker; CL: bacterial lysate; FT: sample draining liquid; W1–W2: wash with non-denaturing buffer; E1–E4: eluent (non-denatured buffer with 250 mM imidazole) elution. Lane M: DNA/Protein maker (DL5000/10–180 kDa). The black arrows indicate the destination bands for HvAGPS2b.
Figure 3. Cloning and expression of HvAGPS2b. (A) HvAGPS2b was amplified using cDNA from grains collected at 25 DAA. (B) Double digestion verification. (C) Schematic diagram of recombinant plasmid vector construction. (D) The expression of HvAGPS2b protein was induced by IPTG at different times. (E) Purification effect of His-tagged recombinant protein under non-denaturing conditions. M: marker; CL: bacterial lysate; FT: sample draining liquid; W1–W2: wash with non-denaturing buffer; E1–E4: eluent (non-denatured buffer with 250 mM imidazole) elution. Lane M: DNA/Protein maker (DL5000/10–180 kDa). The black arrows indicate the destination bands for HvAGPS2b.
Agriculture 14 01712 g003
Figure 4. The evaluation of HvAGPS2b antibody. (A) Western blot of HvAGPS2b antibody immunoprecipitated 25-day-old kernels. (B) Western blot analysis of HvAGPS2b antibody when the antigen was diluted in indicated folds, and with an antibody loading of 1:200 dilution. (C) Western blot analysis of HvAGPS2b antibody when the antibody was diluted in indicated folds, and the antigen loading amount was fixed at 10 μg. The black arrows indicate the destination bands for HvAGPS2b.
Figure 4. The evaluation of HvAGPS2b antibody. (A) Western blot of HvAGPS2b antibody immunoprecipitated 25-day-old kernels. (B) Western blot analysis of HvAGPS2b antibody when the antigen was diluted in indicated folds, and with an antibody loading of 1:200 dilution. (C) Western blot analysis of HvAGPS2b antibody when the antibody was diluted in indicated folds, and the antigen loading amount was fixed at 10 μg. The black arrows indicate the destination bands for HvAGPS2b.
Agriculture 14 01712 g004
Figure 5. Tissue expression of AGPS2b in barley. (A,B) Expression pattern of HvAGPS2b distribution in different tissues. (C,D) Expression patterns of HvAGPS2b at different days of grain filling. Note: The loading amount of protein was 30 μg, the dilution ratio of HvAGPS2b antibody was 1:1000, and the dilution ratio of Actin antibody was 1:20,000 in (B,D). According to one-way analysis of variance (ANOVA) and Duncan’s multiple comparison test, the height and error bar of each column show the average and standard deviation of three independent measurement values. Different lowercase letters indicate statistical significance between means in (A,C).
Figure 5. Tissue expression of AGPS2b in barley. (A,B) Expression pattern of HvAGPS2b distribution in different tissues. (C,D) Expression patterns of HvAGPS2b at different days of grain filling. Note: The loading amount of protein was 30 μg, the dilution ratio of HvAGPS2b antibody was 1:1000, and the dilution ratio of Actin antibody was 1:20,000 in (B,D). According to one-way analysis of variance (ANOVA) and Duncan’s multiple comparison test, the height and error bar of each column show the average and standard deviation of three independent measurement values. Different lowercase letters indicate statistical significance between means in (A,C).
Agriculture 14 01712 g005
Figure 6. Expression of HvAGPS2b in response to plant hormones used to treat 25 DAA barley grains. (A,B) Expression patterns of HvAGPS2b after ABA treatment; (C,D) expression patterns of HvAGPS2b after GA treatment; (E,F) expression patterns of HvAGPS2b after ETH treatment; (G,H) expression patterns of HvAGPS2b after BR treatment. Note: The total protein per sample loaded was 30 μg, the dilution ratio of HvAGPS2b antibody was 1:1000, and the dilution ratio of Actin was 1:20,000. According to one-way analysis of variance (ANOVA) and Duncan’s multiple comparison test, the height of each bar line and the error line show the mean and standard deviation of the three independent measurements, respectively. Different lowercase letters (a–d) indicate statistical significance between the means. The asterisk indicates a non-specific band, while a black arrow indicates the HvAGPS2b band.
Figure 6. Expression of HvAGPS2b in response to plant hormones used to treat 25 DAA barley grains. (A,B) Expression patterns of HvAGPS2b after ABA treatment; (C,D) expression patterns of HvAGPS2b after GA treatment; (E,F) expression patterns of HvAGPS2b after ETH treatment; (G,H) expression patterns of HvAGPS2b after BR treatment. Note: The total protein per sample loaded was 30 μg, the dilution ratio of HvAGPS2b antibody was 1:1000, and the dilution ratio of Actin was 1:20,000. According to one-way analysis of variance (ANOVA) and Duncan’s multiple comparison test, the height of each bar line and the error line show the mean and standard deviation of the three independent measurements, respectively. Different lowercase letters (a–d) indicate statistical significance between the means. The asterisk indicates a non-specific band, while a black arrow indicates the HvAGPS2b band.
Agriculture 14 01712 g006
Table 1. Specific primers for PCR.
Table 1. Specific primers for PCR.
Primer NamesPrimer Sequences (5′–3′)Size (bp)Purpose
HvAGPS2b-FATGGCGATGGCCGCGGCCGCCT22gene cloning
HvAGPS2b-RTCATATGACTGTTCCACTAGGG22gene cloning
RT-AGPS2b-FAAAGGAGAACAGTTGAAA18RT-qPCR
RT-AGPS2b-RCAGTAACCGTCGTATAGG18RT-qPCR
Pet-30a-AGPS2b-FGACAGCCCAGATCTGGGTA
CCATGGCGATGGCCGCGGCC
39vector construction
Pet-30a-AGPS2b-RTTGTCGACGGAGCTCGAATTCTCATATGACTGTTCCACTAGGGAGTAA48vector construction
β-Actin-FGTTCCAATCTATGAGGGATACACGC25RT-qPCR
β-Actin-RGAACCTCCACTGAGAACAACATTACC26RT-qPCR
Table 2. Prediction of cis-acting elements in the upstream promoter of HvAGPS2b.
Table 2. Prediction of cis-acting elements in the upstream promoter of HvAGPS2b.
MotifSequenceQuantitiesPossible Function
TATA-boxTATA612core promoter element around -30 of transcription start
AREAAACCA419a cis-acting regulatory element essential for the anaerobic induction
MBSCAACTG361MYB binding site involved in drought-inducibility
P-boxCCTTTTG1983gibberellin-responsive element
GATA-motifGATAGGA1652part of a light-responsive element
LTRCCGAAA1368cis-acting element involved in low-temperature responsiveness
Disclaimer/Publisher’s Note: The statements, opinions and data contained in all publications are solely those of the individual author(s) and contributor(s) and not of MDPI and/or the editor(s). MDPI and/or the editor(s) disclaim responsibility for any injury to people or property resulting from any ideas, methods, instructions or products referred to in the content.

Share and Cite

MDPI and ACS Style

Xi, B.; Zhou, Q.; Guo, Y.; Shaoib, N.; Cheng, Z.; Gao, Y.; Liu, Y.; Zhao, H.; Feng, Z.; Yu, G. Preparation of Barley AGPS2b Antibody and Its Application in Hormone Regulation Research. Agriculture 2024, 14, 1712. https://doi.org/10.3390/agriculture14101712

AMA Style

Xi B, Zhou Q, Guo Y, Shaoib N, Cheng Z, Gao Y, Liu Y, Zhao H, Feng Z, Yu G. Preparation of Barley AGPS2b Antibody and Its Application in Hormone Regulation Research. Agriculture. 2024; 14(10):1712. https://doi.org/10.3390/agriculture14101712

Chicago/Turabian Style

Xi, Boai, Qiyan Zhou, Yang Guo, Noman Shaoib, Zhenbin Cheng, Yan Gao, Yajie Liu, Hui Zhao, Zongyun Feng, and Guowu Yu. 2024. "Preparation of Barley AGPS2b Antibody and Its Application in Hormone Regulation Research" Agriculture 14, no. 10: 1712. https://doi.org/10.3390/agriculture14101712

APA Style

Xi, B., Zhou, Q., Guo, Y., Shaoib, N., Cheng, Z., Gao, Y., Liu, Y., Zhao, H., Feng, Z., & Yu, G. (2024). Preparation of Barley AGPS2b Antibody and Its Application in Hormone Regulation Research. Agriculture, 14(10), 1712. https://doi.org/10.3390/agriculture14101712

Note that from the first issue of 2016, this journal uses article numbers instead of page numbers. See further details here.

Article Metrics

Back to TopTop