Association between Left Atrial Deformation and Brain Involvement in Patients with Anderson-Fabry Disease at Diagnosis
Esposito, R.; Russo, C.; Santoro, C.; Cocozza, S.; Riccio, E.; Sorrentino, R.; Pontillo, G.; Luciano, F.; Imbriaco, M.; Brunetti, A.; Pisani, A. Association between Left Atrial Deformation and Brain Involvement in Patients with Anderson-Fabry Disease at Diagnosis. J. Clin. Med. 2020, 9, 2741. https://doi.org/10.3390/jcm9092741
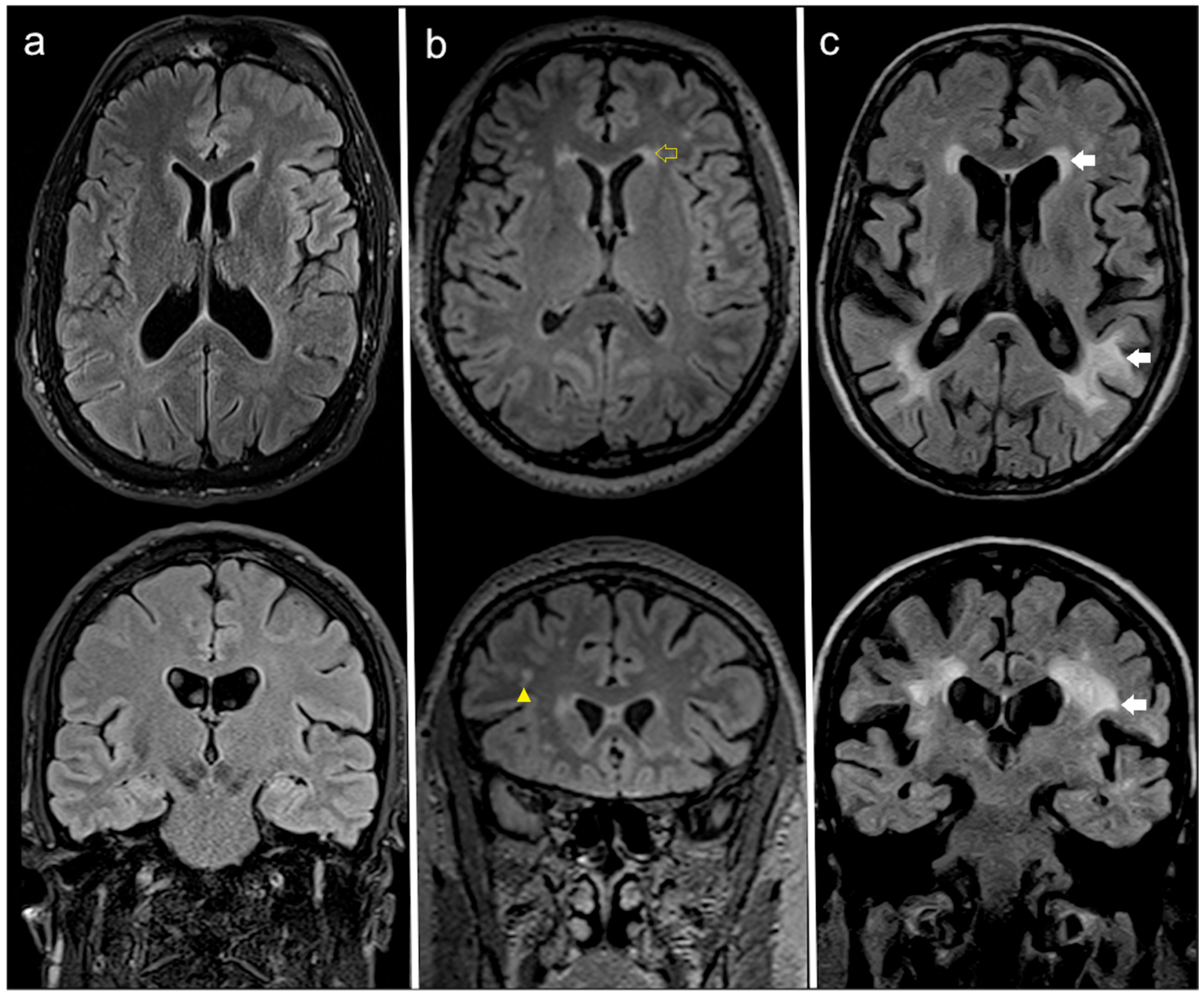
Esposito R, Russo C, Santoro C, Cocozza S, Riccio E, Sorrentino R, Pontillo G, Luciano F, Imbriaco M, Brunetti A, Pisani A. Association between Left Atrial Deformation and Brain Involvement in Patients with Anderson-Fabry Disease at Diagnosis. Journal of Clinical Medicine. 2020; 9(9):2741. https://doi.org/10.3390/jcm9092741
Chicago/Turabian StyleEsposito, Roberta, Camilla Russo, Ciro Santoro, Sirio Cocozza, Eleonora Riccio, Regina Sorrentino, Giuseppe Pontillo, Federica Luciano, Massimo Imbriaco, Arturo Brunetti, and Antonio Pisani. 2020. "Association between Left Atrial Deformation and Brain Involvement in Patients with Anderson-Fabry Disease at Diagnosis" Journal of Clinical Medicine 9, no. 9: 2741. https://doi.org/10.3390/jcm9092741


