Snail-1 Overexpression Correlates with Metastatic Phenotype in BRAFV600E Positive Papillary Thyroid Carcinoma
Abstract
1. Introduction
2. Materials and Methods
2.1. Patients
2.2. Molecular Methods
2.3. Statistics
3. Results
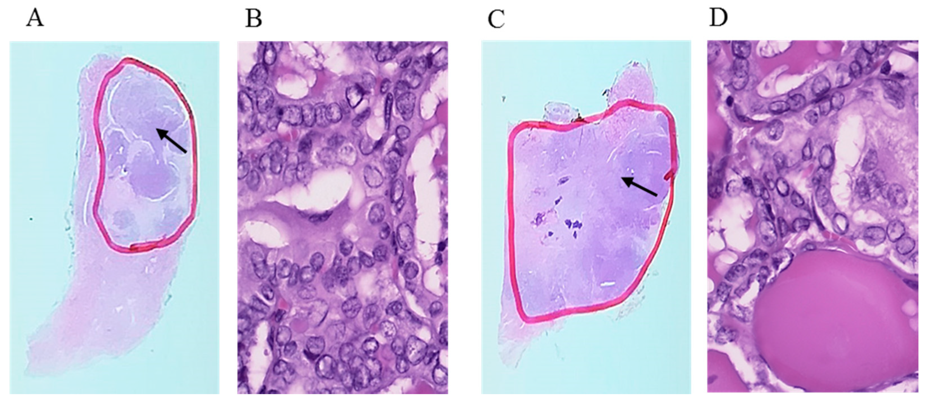
3.1. Snail-1, but not TGFβ1 Expression is Correlated with Metastatic Phenotype in PTC
3.2. The Presence of BRAFV600E Mutation Associates with Snail-1 Expression in PTC
3.3. The Upregulation of Snail-1 in Metastatic PTC Samples is Dependent on BRAFV600E Mutation Status
4. Discussion
Author Contributions
Funding
Conflicts of Interest
Abbreviations
| PTC | Papillary thyroid carcinoma |
| AT | Anaplastic thyroid carcinoma |
| EMT | Epithelial to mesenchymal transition |
| TGF | Transformation growth factor |
| CSC | Cancer stem cells |
| LNM | Lymph node metastases |
| MAPK | Mitogen-activated protein kinase |
| TUBB3 | Tubulin –β3, RTK-Receptor tyrosine kinases |
References
- Agrawal, N.; Akbani, R.; Aksoy, B.A.; Ally, A.; Arachchi, H.; Asa, S.L.; Auman, J.T.; Balasundaram, M.; Balu, S.; Baylin, S.B.; et al. Integrated Genomic Characterization of Papillary Thyroid Carcinoma. Cell 2014, 159, 676–690. [Google Scholar] [CrossRef] [PubMed]
- Schlumberger, M.; Pacini, F.; Tuttle, R.M. Thyroid Tumors, 3rd ed.; Estimprim: Autechaux, France, 2015; pp. 221–234. [Google Scholar]
- Coghlin, C.; Murray, G. Current and emerging concepts in tumour metastasis. J. Pathol. 2010, 222, 1–15. [Google Scholar] [CrossRef] [PubMed]
- Tania, M.; Khan, M.A.; Fu, J. Epithelial to mesenchymal transition inducing transcription factors and metastatic cancer. Tumor Biol. 2014, 35, 7335–7342. [Google Scholar] [CrossRef] [PubMed]
- Shakib, H.; Rajabi, S.; Dehghan, M.; Mashayekhi, F.J.; Safari-Alighiarloo, N.; Hedayati, M. Epithelial-to-mesenchymal transition in thyroid cancer: A comprehensive review. Endocrine 2019, 66, 435–455. [Google Scholar] [CrossRef]
- Liu, Z.; Kakudo, K.; Bai, Y.; Li, Y.; Ozaki, T.; Miyauchi, A.; Taniguchi, E.; Mori, I. Loss of cellular polarity/cohesiveness in the invasive front of papillary thyroid carcinoma, a novel predictor for lymph node metastasis; possible morphological indicator of epithelial mesenchymal transition. J. Clin. Pathol. 2011, 64, 325–329. [Google Scholar] [CrossRef] [PubMed]
- Pisarev, M.A.; Thomasz, L.; Juvenal, G. Role of transforming growth factor beta in the regulation of thyroid function and growth. Thyroid 2009, 19, 881–892. [Google Scholar] [CrossRef] [PubMed]
- Wang, N.; Jiang, R.; Yang, J.Y.; Tang, C.; Yang, L.; Xu, M.; Jiang, Q.F.; Liu, Z.M. Expression of TGF-β1, SNAI1 and MMP-9 is associated with lymph node metastasis in papillary thyroid carcinoma. J. Mol. Hist. 2014, 45, 391–399. [Google Scholar] [CrossRef]
- Kaufhold, S.; Bonavida, B. Central role of Snail1 in the regulation of EMT and resistance in cancer: A target for therapeutic intervention. J. Exp. Clin. Cancer Res. 2014, 33, 62. [Google Scholar] [CrossRef]
- Skovierova, H.; Okajcekova, T.; Strnadel, J.; Vidomanova, E.; Halasova, E. Molecular regulation of epithelial-to-mesenchymal transition in tumorigenesis. Int. J. Mol. Med. 2018, 41, 1187–1200. [Google Scholar]
- Murray, S.A.; Gridley, T. Snail1 gene function during early embryo patterning in mice. Cell Cycle 2006, 5, 2566–2570. [Google Scholar] [CrossRef]
- Wawro, M.E.; Sobierajska, K.; Ciszewski, W.M.; Wagner, W.; Frontczak, M.; Wieczorek, K.; Niewiarowska, J. Tubulin beta 3 and 4 are involved in the generation of early fibrotic stages. Cell Signal. 2017, 38, 26–38. [Google Scholar] [CrossRef] [PubMed]
- Ota, I.; Masui, T.; Kurihara, M.; Yook, J.; Mikami, S.; Kimura, T.; Shimada, K.; Konishi, N.; Yane, K.; Yamanaka, T.; et al. Snail-induced EMT promotes cancer stem cell-like properties in head and neck cancer cells. Oncol. Rep. 2016, 35, 261–266. [Google Scholar] [CrossRef] [PubMed][Green Version]
- Brzozowa, M.; Michalski, M.; Wyrobiec, G.; Piecuch, A.; Dittfeld, A.; Harabin-Słowińska, M.; Boroń, D.; Wojnicz, R. The role of Snail1 transcription factor in colorectal cancer progression and metastasis. Contemp. Oncol. 2015, 19, 265–270. [Google Scholar] [CrossRef] [PubMed]
- Shin, N.R.; Jeong, E.H.; Choi, C.; Moon, H.J.; Kwon, C.; Chu, I.S.; Kim, G.H.; Jeon, T.Y.; Kim, D.; Lee, J.; et al. Overexpression of Snail is associated with lymph node metastasis and poor prognosis in patients with gastric cancer. BMC Cancer 2012, 12, 521. [Google Scholar] [CrossRef]
- Christofori, G. New signals from the invasive front. Nature 2006, 441, 444–450. [Google Scholar] [CrossRef]
- Wieczorek, K.; Wiktorska, M.; Sacewicz-Hofman, I.; Boncela, J.; Lewiński, A.; Kowalska, M.A.; Niewiarowska, J. Filamin A upregulation correlates with Snail-induced epithelial to mesenchymal transition (EMT) and cell adhesion but its inhibition increases the migration of colon adenocarcinoma HT29 cells. Exp. Cell. Res. 2017, 359, 163–170. [Google Scholar] [CrossRef]
- Sobierajska, K.; Wieczorek, K.; Ciszewski, W.M.; Sacewicz-Hofman, I.; Wawro, M.E.; Wiktorska, M.; Boncela, J.; Papiewska-Pajak, I.; Kwasniak, P.; Wyroba, E.; et al. β-III tubulin modulates the behavior of Snail overexpressed during the epithelial-to-mesenchymal transition in colon cancer cells. J. Biochim. Biophys. Acta 2016, 1863, 2221–2233. [Google Scholar] [CrossRef]
- Yang, X.; Shi, R.; Zhang, J. Co-expression and clinical utility of Snail and N-cadherin in papillary thyroid carcinoma. Tumor Biol. 2016, 37, 413–417. [Google Scholar] [CrossRef]
- Lewiński, A.; Adamczewski, Z.; Zygmunt, A.; Markuszewski, L.; Karbownik-Lewińska, M.; Stasiak, M. Correlations between molecular landscape and Sonographic image of different variants of papillary thyroid carcinoma. J. Clin. Med. 2019, 8, 1916. [Google Scholar] [CrossRef]
- Tufano, R.P.; Teixeira, G.V.; Bishop, J.; Carson, K.A.; Xing, M. BRAF mutation in papillary thyroid cancer and its value in tailoring initial treatment: A systematic review and meta-analysis. Medicine 2012, 91, 274–286. [Google Scholar] [CrossRef]
- Knauf, J.A.; Sartor, M.A.; Medvedovic, M.; Lundsmith, E.; Ryder, M.; Salzano, M.; Nikiforov, Y.E.; Giordano, T.J.; Ghossein, R.A.; Fagin, J.A. Progression of BRAF-induced thyroid cancer is associated with epithelial–mesenchymal transition requiring concomitant MAP kinase and TGF beta signaling. Oncogene 2011, 30, 3153–3162. [Google Scholar] [CrossRef] [PubMed]
- Tang, K.; Lee, C. BRAF mutation in papillary thyroid carcinoma: Pathogenic role and clinical implications. J. Chin. Med. Assoc. 2010, 73, 113–128. [Google Scholar] [CrossRef]
- Li, C.; Han, P.; Lee, K.C.; Lee, L.; Fox, A.C.; Beninato, T.; Thiess, M.; Dy, B.M.; Sebo, T.; Thompson, G.B.; et al. Does BRAF V600E mutation predict aggressive features in papillary thyroid cancer? Results from four endocrine surgery centers. J. Clin. Endocrinol. Metab. 2013, 9, 3702–3712. [Google Scholar] [CrossRef] [PubMed]
- Baquero, P.; Sánchez-Hernández, I.; Jiménez-Mora, E.; Orgaz, J.L.; Jiménez, B.; Chiloeches, A. V600E BRAF promotes invasiveness of thyroid cancer cells by decreasing E-cadherin expression through a Snail-dependent mechanism. Cancer Lett. 2013, 335, 232–241. [Google Scholar] [CrossRef] [PubMed]
- Massoumi, R.; Kuphal, S.; Hellerbrand, C.; Haas, B.; Wild, P.; Spruss, T.; Pfeifer, A.; Fässler, R.; Bosserhoff, A.K. Down-regulation of CYLD expression by Snail promotes tumor progression in malignant melanoma. J. Exp. Med. 2009, 206, 221–232. [Google Scholar] [CrossRef] [PubMed]
- Baquero, P.; Jimenez-Mora, E.; Santos, A.; Lasa, M.; Chiloeches, A. TGFβ induces epithelial-mesenchymal transition of thyroid cancer cells by both the BRAF/MEK/ERK and Src/FAK pathways. Mol. Carcinog. 2016, 55, 1639–1654. [Google Scholar] [CrossRef]
- Walczyk, A.; Kowalska, A.; Kowalik, A.; Sygut, J.; Wypiórkiewicz, E.; Chodurska, R.; Pięciak, L.; Góźdź, S. The BRAF (V600E) mutation in papillary thyroid microcarcinoma: Does the mutation have an impact on clinical outcome? Clin. Endocrinol. 2014, 80, 899–904. [Google Scholar] [CrossRef]
- Kowalik, A.; Kowalska, A.; Walczyk, A.; Chodurska, R.; Kopczyński, J.; Chrapek, M.; Wypiórkiewicz, E.; Chłopek, M.; Pięciak, L.; Gąsior-Perczak, D.; et al. Evaluation of molecular diagnostic approaches for the detection of BRAF p.V600E mutations in papillary thyroid cancer: Clinical implications. PLoS ONE 2017, 12, e0179691. [Google Scholar] [CrossRef]
- Brace, M.D.; Wang, J.; Petten, M.; Bullock, M.J.; Makki, F.; Trites, J.; Taylor, S.M.; Hart, R.D. Differential expression of transforming growth factor-beta in benign vs. papillary thyroid cancer nodules; A potential diagnostic tool? J. Otolaryngol.-Head Neck Surg. 2014, 43, 22. [Google Scholar] [CrossRef]
- Pang, M.F.; Georgoudaki, A.M.; Lambut, L.; Johansson, J.; Tabor, V.; Hagikura, K.; Jin, Y.; Jansson, M.; Alexander, J.S.; Nelson, C.M.; et al. TGF-β1-induced EMT promotes targeted migration of breast cancer cells through the lymphatic system by the activation of CCR7/CCL21-mediated chemotaxis. Oncogene 2016, 35, 748–760. [Google Scholar] [CrossRef]
- Wang, S.; Liu, J.; Wang, C.; Lin, B.; Hao, Y.; Wang, Y.; Gao, S.; Qi, Y.; Zhang, Y.; Iwamori, M. Expression and correlation of Lewis y antigen and TGF-β1 in ovarian epithelial carcinoma. Oncol. Rep. 2012, 27, 1065–1071. [Google Scholar] [CrossRef] [PubMed]
- Riesco-Eizaguirre, G.; Rodríguez, I.; De la Vieja, A.; Costamagna, E.; Carrasco, N.; Nistal, M.; Santisteban, P. The BRAFV600E oncogene induces transforming growth factor β secretion leading to sodium iodide symporter repression and increased malignancy in thyroid cancer. Cancer Res. 2009, 69, 8317–8325. [Google Scholar] [CrossRef] [PubMed]
- Dhasarathy, A.; Phadke, D.; Mav, D.; Shah, R.R.; Wade, P.A. The transcription factors Snail and Slug activate the transforming growth factor-beta signaling pathway in breast cancer. PLoS ONE 2011, 6, e26514. [Google Scholar] [CrossRef]
- Mitchell, B.; Leone, D.A.; Feller, J.K.; Yang, S.; Mahalingam, M. BRAF and epithelial-mesenchymal transition in primary cutaneous melanoma: A role for Snail and E-cadherin? Hum. Pathol. 2016, 52, 19–27. [Google Scholar] [CrossRef] [PubMed]
- McCubrey, J.A.; Steelman, L.S.; Bertrand, F.E.; Davis, N.M.; Sokolosky, M.; Abrams, S.L.; Montalto, G.; D’Assoro, A.B.; Libra, M.; Nicoletti, F.; et al. GSK-3 as potential target for therapeutic intervention in cancer. Oncotarget 2014, 5, 2881–2911. [Google Scholar] [CrossRef] [PubMed]




| Characteristics | n | % |
|---|---|---|
| Sex | ||
| Male | 10 | 16.4 |
| Female | 51 | 83.6 |
| Age (years) | ||
| >55 | 13 | 39.3 |
| ≤55 | 48 | 60.7 |
| T classification | ||
| T1–T2 | 26 | 42.6 |
| T3–T4 | 35 | 57.4 |
| Lymph Node Metastasis | ||
| positive | 18 | 29.5 |
| negative | 43 | 70.5 |
| Distant Metastasis | ||
| positive | 3 | 4.9 |
| negative | 58 | 95.1 |
| BRAFV600E mutation | ||
| positive | 30 | 49 |
| negative | 31 | 51 |
| Clinical Features | Metastatic Tumors | Non-Metastatic Tumors | ||||
|---|---|---|---|---|---|---|
| BRAFV600E Positive (n = 10) | BRAFV600E Negative (n = 8) | p-Value | BRAFV600E Positive (n = 20) | BRAFV600E Negative (n = 23) | p-Value | |
| Gender | ||||||
| Male | 4/10 (40%) | 1/8 (12.5%) | 0.120 | 2/20 (10%) | 3/23 (13%) | 0.400 |
| Female | 6/10 (60%) | 7/8 (87.5%) | 18/20 (90%) | 20/23 (87%) | ||
| Age at Diagnosis (years) | ||||||
| Mean ±SD | 54 ± 14 | 49 ± 15 | 0.506 | 55 ± 12 | 47 ± 15 | 0.050 |
| ≤55 | 6/10 (60%) | 5/8 (62.5%) | 0.501 | 10/20(50%) | 17/23 (74%) | 0.110 |
| >55 | 4/10 (40%) | 3/8 (37.5%) | 10/20 (50%) | 6/23 (26%) | ||
| T Classification | ||||||
| T1–T2 | 2/10 (20%) | 3/8 (37.5%) | 0.200 | 7/20 (35%) | 18/23 (78%) | 0.0002 ** |
| T3–T4 | 8/10 (80%) | 5/8 (62.5%) | 13/20 (65%) | 5/23 (22%) | ||
© 2020 by the authors. Licensee MDPI, Basel, Switzerland. This article is an open access article distributed under the terms and conditions of the Creative Commons Attribution (CC BY) license (http://creativecommons.org/licenses/by/4.0/).
Share and Cite
Wieczorek-Szukala, K.; Kopczynski, J.; Kowalska, A.; Lewinski, A. Snail-1 Overexpression Correlates with Metastatic Phenotype in BRAFV600E Positive Papillary Thyroid Carcinoma. J. Clin. Med. 2020, 9, 2701. https://doi.org/10.3390/jcm9092701
Wieczorek-Szukala K, Kopczynski J, Kowalska A, Lewinski A. Snail-1 Overexpression Correlates with Metastatic Phenotype in BRAFV600E Positive Papillary Thyroid Carcinoma. Journal of Clinical Medicine. 2020; 9(9):2701. https://doi.org/10.3390/jcm9092701
Chicago/Turabian StyleWieczorek-Szukala, Katarzyna, Janusz Kopczynski, Aldona Kowalska, and Andrzej Lewinski. 2020. "Snail-1 Overexpression Correlates with Metastatic Phenotype in BRAFV600E Positive Papillary Thyroid Carcinoma" Journal of Clinical Medicine 9, no. 9: 2701. https://doi.org/10.3390/jcm9092701
APA StyleWieczorek-Szukala, K., Kopczynski, J., Kowalska, A., & Lewinski, A. (2020). Snail-1 Overexpression Correlates with Metastatic Phenotype in BRAFV600E Positive Papillary Thyroid Carcinoma. Journal of Clinical Medicine, 9(9), 2701. https://doi.org/10.3390/jcm9092701

