Suprascapular Neuropathy around the Shoulder: A Current Concept Review
Abstract
1. Introduction
2. Materials and Method
2.1. Anatomy
2.2. Aetiology
2.3. Clinical Evaluation
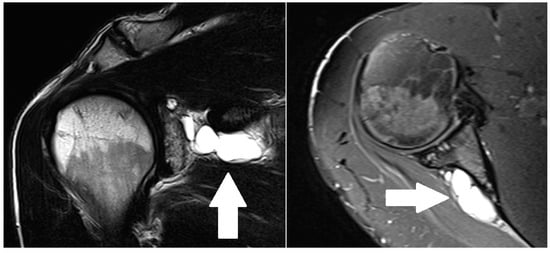
2.4. Radiological Evaluation
2.5. Electrodiagnostic Tests
2.6. Treatment
2.6.1. Non-Operative Treatment
2.6.2. Operative Treatment
2.6.3. Open Approach
2.6.4. Arthroscopic Approach
3. Results
4. Conclusions
Funding
Conflicts of Interest
References
- Łabetowicz, P.; Synder, M.; Wojciechowski, M.; Orczyk, K.; Jezierski, H.; Topol, M.; Polguj, M. Protective and Predisposing Morphological Factors in Suprascapular Nerve Entrapment Syndrome: A Fundamental Review Based on Recent Observations. BioMed Res. Int. 2017. [Google Scholar] [CrossRef] [PubMed]
- Clavert, P.; Thomazeau, H. Peri-articular suprascapular neuropathy. Orthop. Traumatol. Surg. Res. 2014, 100, S409–S411. [Google Scholar] [CrossRef] [PubMed]
- Boykin, R.E.; Friedman, D.J.; Higgins, L.D.; Warner, J.P. Suprascapular Neuropathy. J. Bone Jt. Surg. Am. Vol. 2010, 92, 2348–2364. [Google Scholar] [CrossRef] [PubMed]
- Boykin, R.E.; Friedman, D.J.; Zimmer, Z.R.; Oaklander, A.L.; Higgins, L.D.; Warner, J.P. Suprascapular neuropathy in a shoulder referral practice. J. Shoulder Elb. Surg. 2011, 20, 983–988. [Google Scholar] [CrossRef]
- Kostretzis, L.; Theodoroudis, I.; Boutsiadis, A.; Papadakis, N.; Papadopoulos, P. Suprascapular Nerve Pathology: A Review of the Literature. Open Orthop. J. 2017, 11, 140–153. [Google Scholar] [CrossRef]
- Zehetgruber, H.; Noske, H. Suprascapular nerve entrapment. A meta-analysis. Int. Orthop. 2002, 26, 339–343. [Google Scholar] [CrossRef]
- Latjai, G.; Pfirrmann, C.W.A.; Aitzetmüller, G.; Pirkl, C.; Gerber, C.; Jost, B. The shoulders of professional beach volleyball players: Hight prevalence of infraspinatus muscle atrophy. Am. J. Sports Med. 2009, 37, 1375–1383. [Google Scholar]
- Sandow, M.J.; Ilic, J. Suprascapular nerve rotator cuff compression syndrome in volleyball players. J. Shoulder Elb. Surg. 1998, 7, 516–521. [Google Scholar] [CrossRef]
- Taylor, K.F. Nerve Entrapment. In DeLee & Drez’s Orthopaedic Sports Medicine, 4th ed.; Saunders: Philadelphia, PA, USA, 2015; Volume 1, pp. 657–665. [Google Scholar]
- Moen, T.C.; Babatunde, O.M.; Hsu, S.H.; Ahmad, C.; Levine, W.N. Suprascapular neuropathy: What does the literature show? J. Shoulder Elb. Surg. 2012, 21, 835–846. [Google Scholar] [CrossRef]
- Shah, A.A.; Butler, R.B.; Sung, S.-Y.; Wells, J.H.; Higgins, L.D.; Warner, J.P. Clinical outcomes of suprascapular nerve decompression. J. Shoulder Elb. Surg. 2011, 20, 975–982. [Google Scholar] [CrossRef]
- Collin, P.; Treseder, T.; Lädermann, A.; Benkalfate, T.; Mourtada, R.; Courage, O.; Favard, L. Neuropathy of the supra scapular nerve and massive rotator cuff tears: A prospective electromyographic study. J. Shoulder Elb. Surg. 2014, 23, 28–34. [Google Scholar] [CrossRef] [PubMed]
- Albritton, M.J.; Graham, R.D. An Anatomic study of the effects on the supra scapular nerve due to retraction of the supraspinatus muscle after a rotator cuff tear. J. Shoulder Elb. Surg. 2003, 12, 497–500. [Google Scholar] [CrossRef]
- Draeger, R.W.; Messer, T.M. Suprascapular Nerve Palsy Following Supraclavicular Block for Upper Extremity Surgery: Report of 3 Cases. J. Hand Surg. 2012, 37, 2576–2579. [Google Scholar] [CrossRef] [PubMed]
- Maquieira, G.J.; Gerber, C.; Schneeberger, A.G. Suprascapular nerve palsy after the Latarjet procedure. J. Shoulder Elb. Surg. 2007, 16, e13–e15. [Google Scholar] [CrossRef] [PubMed]
- Rengachary, S.S.; Burr, D.; Lucas, S.; Hassanein, K.M.; Mohn, M.P.; Matzke, H. Suprascapular entrapment neuropathy: A clinical, anatomical and comparative study. Neurosurgery 1979, 5, 441–446. [Google Scholar] [CrossRef]
- Tubbs, R.S.; Nechtman, C.; Shoja, M.M.; Mortazavi, M.M.; Rozzelle, C.J.; Spinner, R.J.; D’Antoni, A.V.; Loukas, M. Ossification of the suprascapular ligament: A risk factor for suprascapular nerve compression? Int. J. Shoulder Surg. 2013, 7, 19–22. [Google Scholar] [CrossRef]
- Ferretti, A.; Cerullo, G.; Russo, G. Suprascapular neuropathy in volleyball players. J. Bone Jt. Surg. Am. Vol. 1987, 69, 260–263. [Google Scholar] [CrossRef]
- Bigliani, L.; Dalsey, R.M.; McCann, P.D.; April, E.W. An anatomical study of the supra scapular nerve. Arthroscopy 1990, 6, 301–305. [Google Scholar] [CrossRef]
- Warner, J.P.; Kruschell, R.J.; Masquelet, A.; Gerber, C. Anatomy and relationships of the supra scapular nerve: Anatomical contraminas to mobilization of the supraspinatus and infraspinatus muscles in the management of massive rotator-cuff tears. J. Bone Jt. Surg. Am. 1992, 74, 36–45. [Google Scholar] [CrossRef]
- Polguj, M.; Jedrzejewski, K.; Podgórski, M.; Majos, A.; Topol, M. A proposal for classification of the superior transverse scapular ligament: Variable morphology and its potential influence on suprascapular nerve entrapment. J. Shoulder Elb. Surg. 2013, 22, 1265–1273. [Google Scholar] [CrossRef]
- Plancher, K.D.; Luke, T.A.; Peterson, R.K.; Yacoubian, S.V. Posterior Shoulder Pain: A Dynamic Study of the Spinoglenoid Ligament and Treatment With Arthroscopic Release of the Scapular Tunnel. Arthrosc. J. Arthrosc. Relat. Surg. 2007, 23, 991–998. [Google Scholar] [CrossRef] [PubMed]
- Lafosse, L.; Piper, K.; Lanz, U. Arthroscopic suprascapular nerve release: Indications and technique. J. Shoulder Elb. Surg. 2011, 20, S9–S13. [Google Scholar] [CrossRef] [PubMed]
- Aszmann, O.C.; Dellon, A.L.; Birely, B.T.; McFarland, E.G. Innervation of the Human Shoulder Joint and Its Implications for Surgery. Clin. Orthop. Relat. Res. 1996, 330, 202–207. [Google Scholar] [CrossRef] [PubMed]
- Vorster, W.; Lange, C.P.; Briët, R.J.P.; Labuschagne, B.C.J.; Toit, D.F.; Muller, C.J.F.; de Beer, J.F. The sensory branch distribution of the supra scapular nerve: An anatomic study. J. Shoulder Elb. Surg. 2008, 17, 500–502. [Google Scholar] [CrossRef]
- Kong, B.Y.; Kim, S.H.; Kim, D.H.; Joung, H.Y.; Jang, Y.H.; Oh, J.H. Suprascapular neuropathy in massive rotator cuff tears with severe fatty degeneration in the infraspinatus muscle. Bone Jt. J. 2016, 1505–1509. [Google Scholar] [CrossRef]
- Holzgraefe, M.; Kukowski, B.; Eggert, S. Prevalence of latent and manifest supra scapular neuropathy in high-performance volleyball players. Br. J. Sports Med. 1994, 28, 177–179. [Google Scholar] [CrossRef]
- Blum, A.; Lecocq, S.; Louis, M.; Wassel, J.; Moisei, A.; Teixeira, P. The nerves around the shoulder. Eur. J. Radiol. 2013, 82, 2–16. [Google Scholar] [CrossRef]
- Lafosse, L.; Tomasi, A.; Corbett, S.; Baier, G.; Willems, K.; Gobezie, R. Arthroscopic Release of Suprascapular Nerve Entrapment at the Suprascapular Notch: Technique and Preliminary Results. Arthrosc. J. Arthrosc. Relat. Surg. 2007, 23, 34–42. [Google Scholar] [CrossRef]
- Witvrouw, E.; Cools, A.; Lysens, R.; Cambier, D.; Vanderstraeten, G.; Victor, J.; Sneyers, C.; Walravens, M. Suprascapular neuropathy in volleyball players. Br. J. Sports Med. 2000, 34, 174–180. [Google Scholar] [CrossRef]
- Bencardino, J.T.; Rosenberg, Z. Entrapment Neuropathies of the Shoulder and Elbow in the Athlete. Clin. Sports Med. 2006, 25, 465–487. [Google Scholar] [CrossRef]
- Von Knoch, M.; Frosch, S.; Baums, M.H.; Lehmann, W. Motor Recovery of the Suprascapular Nerve after Arthroscopic Decompression in the Scapular Notch—A Systematic Review. Zeitschrift für Orthopädie und Unfallchirurgie 2020. [Google Scholar] [CrossRef]
- Gosk, J.; Urban, M.; Rutowski, R. Entrapment of the suprascapular nerve: Anatomy, etiology, diagnosis, treatment. Ortop. Traumatol. Rehabil. 2007, 9, 68–74. [Google Scholar] [PubMed]
- Lee, B.C.S.; Yegappan, M.; Thiagarajan, P. Suprascapular nerve neuropathy secondary to spinoglenoid notch ganglion cyst: Case reports and review of literature. Ann. Acad. Med. Singap. 2007, 36, 1032–1035. [Google Scholar] [PubMed]
- Polguj, M.; Jędrzejewski, K.; Majos, A.; Topol, M. Variations in bifid superior transverse scapular ligament as a possible factor of suprascapular entrapment: An anatomical study. Int. Orthop. 2012, 36, 2095–2100. [Google Scholar] [CrossRef]
- Hussain, N.; Goldar, G.; Ragina, N.; Banfield, L.; Laffey, J.G.; Abdallah, F.W. Suprascapular and Interscalene Nerve Block for Shoulder Surgery: A Systematic Review and Meta-analysis. Anesthesiology 2017, 127, 998–1013. [Google Scholar] [CrossRef]
- Shaffer, B.S.; Conway, J.; Jobe, F.W.; Kvitne, R.S.; Tibone, J.E. Infraspinatus Muscle-splitting Incision in Posterior Shoulder Surgery. Am. J. Sports Med. 1994, 22, 113–120. [Google Scholar] [CrossRef] [PubMed]
- Mallon, W.J.; Bronec, P.R.; Spinner, R.J.; Levin, L.S. Suprascapular Neuropathy After Distal Clavicle Excision. Clin. Orthop. Relat. Res. 1996, 329, 207–211. [Google Scholar] [CrossRef]
- Plancher, K.D.; Petterson, S.C. Posterior Shoulder Pain and Arthroscopic Decompression of the Suprascapular Nerve at the Transverse Scapular Ligament. Oper. Tech. Sports Med. 2014, 22, 58–72. [Google Scholar] [CrossRef]
- Yoshioka, C.; Suenaga, N.; Oizumi, N.; Yamane, S. Association of the area of sensory disturbance with the area of suprascapular nerve palsy. J. Orthop. Surg. 2015, 23, 304–308. [Google Scholar] [CrossRef]
- Cummins, C.A.; Schneider, D.S. Peripheral Nerve Injuries in Baseball Players. Neurol. Clin. 2008, 26, 195–215. [Google Scholar] [CrossRef]
- Chalian, M.; Faridian-Aragh, N.; Soldatos, T.; Batra, K.; Belzberg, A.J.; Williams, E.H.; Carrino, J.A.; Chhabra, A. High-resolution 3T MR Neurography of Suprascapular Neuropathy. Acad. Radiol. 2011, 18, 1049–1059. [Google Scholar] [CrossRef] [PubMed]
- Romeo, A.A.; Ghodadra, N.; Salata, M.J.; Provencher, M.T. Arthroscopic suprascapular nerve decompression: Indications and surgical technique. J. Shoulder Elb. Surg. 2010, 19, 118–123. [Google Scholar] [CrossRef] [PubMed]
- Mall, N.A.; Hammond, J.E.; Lenart, B.A.; Enriquez, D.J.; Twigg, S.L.; Nicholson, G.P. Suprascapular nerve entrapment isolated to the spinoglenoid notch: Surgical technique and results of open decompression. J. Shoulder Elb. Surg. 2013, 22, e1–e8. [Google Scholar] [CrossRef]
- Moore, T.P.; Fritts, H.M.; Quick, D.C.; Buss, D.D. Suprascapular nerve entrapment caused by supraglenoid cyst compression. J. Shoulder Elb. Surg. 1997, 6, 455–462. [Google Scholar] [CrossRef]
- Chen, A.L.; Ong, B.C.; Rose, D.J. Arthroscopic management of spinoglenoid cysts associated with SLAP lesions and suprascapular neuropathy. Arthrosc. J. Arthrosc. Relat. Surg. 2003, 19, e15–e21. [Google Scholar] [CrossRef]
- Schrøder, C.P.; Skare, Ø.; Stiris, M.; Gjengedal, E.; Uppheim, G.; Brox, J.I. Treatment of Labral Tears with Associated Spinoglenoid Cysts without Cyst Decompression. J. Bone Jt. Surg.-Am. Vol. 2008, 90, 523–530. [Google Scholar] [CrossRef]
- Youm, T.; Matthews, P.V.; El Attrache, N.S. Treatment of Patients With Spinoglenoid Cysts Associated With Superior Labral Tears Without Cyst Aspiration, Debridement, or Excision. Arthrosc. J. Arthrosc. Relat. Surg. 2006, 22, 548–552. [Google Scholar] [CrossRef]
- Hama, H.; Ueba, Y.; Morinaga, T.; Suzuki, K.; Kuroki, H.; Yamamuro, T. A new strategy for treatment of suprascapular entrapment neuropathy inathletes: Shaving of the base of the scapular spine. J. Shoulder Elb. Surg. 1992, 1, 253–260. [Google Scholar] [CrossRef]
- Bruce, J.R.; Dorizas, J. Suprascapular Nerve Entrapment Due to a Stenotic Foramen. Sports Health A Multidiscip. Approach 2013, 5, 363–366. [Google Scholar] [CrossRef]
- Podgorski, M.; Sibinski, M.; Majos, A.; Stefańczyk, L.; Topol, M.; Polguj, M. The suprascapular vein: A possible etiology for suprascapular nerve entrapment and risk of complication during procedures around the suprascapular foramen region. Orthop. Traumatol. Surg. Res. 2014, 100, 515–519. [Google Scholar] [CrossRef]
- Lafosse, L.; Tomasi, A. Technique for Endoscopic Release of Suprascapular Nerve Entrapment at the Suprascapular Notch. Tech. Shoulder Elb. Surg. 2006, 7, 1–6. [Google Scholar] [CrossRef]
- Momaya, A.M.; Kwapisz, A.; Choate, W.S.; Kissenberth, M.J.; Tolan, S.J.; Lonergan, K.T.; Hawkins, R.J.; Tokish, J.M. Clinical outcomes of suprascapular nerve decompression: A systematic review. J. Shoulder Elb. Surg. 2018, 27, 172–180. [Google Scholar] [CrossRef]
- Polguj, M.; Synder, M.; Borowski, A.; Wojciechowski, M.; Wysiadecki, G.; Topol, M. Anterior Coracoscapular Ligament as a Factor Predisposing to or Protective for Suprascapular Neuropathy. BioMed Res. Int. 2016, 2016, 4134280–4134286. [Google Scholar] [CrossRef] [PubMed]
- Shi, L.L.; Boykin, R.E.; Lin, A.; Warner, J.J.P. Association of supra scapular neuropathy with rotator cuff tendon tears and fatty degeneration. J. Shoulder Elb. Surg. 2014, 23, 339–346. [Google Scholar] [CrossRef] [PubMed]
- Arriaza, R.; Ballesteros, J.; Lopez-Vidriero, E. Suprascapular Neuropathy as a Cause of Swimmer’s Shoulder. Am. J. Sports Med. 2013, 41, 887–893. [Google Scholar] [CrossRef] [PubMed]
- Solheim, L.F.; Roaas, A. Compression of the Suprascapular Nerve After Fracture of the Scapular Notch. Acta Orthop. Scand. 1978, 49, 338–340. [Google Scholar] [CrossRef] [PubMed]
- Huang, K.C.; Huan, T.J.; Huang, T.; Hsu, R.W. Suprascapaular neuropathy complicationg a Neer type I distal clavicular fracture: A case report. J. Orthop. Trauma 2005, 19, 343–345. [Google Scholar] [PubMed]
- Fehrman, D.A.; Orwin, J.F.; Jennings, R.M. Suprascapular nerve entrapment by ganglion cysts: A report of six cases with arthroscopic findings and review of the literature. Arthrosc. J. Arthrosc. Relat. Surg. 1995, 11, 727–734. [Google Scholar] [CrossRef]






| Secondary Aetiologies | Examples |
|---|---|
| Space occupying lesions | Neoplasm, ganglion cyst, ossified scapular ligament |
| Traumatic conditions | Scapula fractures, shoulder dislocation, massive cuff tear, distractive trauma, penetrating trauma |
| Post traumatic disorders | Hematomas, heterotopic ossification, scars |
| Systemic conditions | Pregnancy, diabetes mellitus, hypertiroidism |
| Iatrogenic conditions | Arthroscopic tear cuff repair, Latarjet procedure |
| X-ray Views | Description | Sample |
|---|---|---|
| Grashey view (or AP oblique shoulder view) | Obtained with the patient rotated 35–45° towards the affected shoulder or the beam has to be tilted laterally from the standard AP view. | ![]() |
| Stryker notch view | The patient is in supine position; the upper limb is abducted and externally rotated with the hand supporting the back of the head and the elbow pointed towards the ceiling. X-ray beam is angled 10° cephalad, centered on the coracoid process. | ![]() |
| Scapular outlet view | The patient is placed in 60° anterior oblique position. The arm is left in neutral position or in the sling. By feeling the scapula, adjust the position to get the scapula perpendicular to the film. | ![]() |
| Condition | Treatment |
|---|---|
| Pain and weakness with no atrophy, no remarkable findings on electromyogram (EMG), and no relevance of labral tear or ganglion cyst | 6months conservative treatment. If it fails, consider surgical arthroscopic nerve release |
| Patients with visible atrophy on physical examination | Attemption of conservative treatment for a minimum of 1 month; the optimal length of non-operative treatment remains unclear (32,39). After that, consider the surgical treatment |
| Space occupying lesion compression | Surgical treatment. In case of ganglion cyst diagnosis, best result are given by labral repair and open or arthroscopic decompression of the cyst (2,9) |
© 2020 by the authors. Licensee MDPI, Basel, Switzerland. This article is an open access article distributed under the terms and conditions of the Creative Commons Attribution (CC BY) license (http://creativecommons.org/licenses/by/4.0/).
Share and Cite
Bozzi, F.; Alabau-Rodriguez, S.; Barrera-Ochoa, S.; Ateschrang, A.; Schreiner, A.J.; Monllau, J.C.; Perelli, S. Suprascapular Neuropathy around the Shoulder: A Current Concept Review. J. Clin. Med. 2020, 9, 2331. https://doi.org/10.3390/jcm9082331
Bozzi F, Alabau-Rodriguez S, Barrera-Ochoa S, Ateschrang A, Schreiner AJ, Monllau JC, Perelli S. Suprascapular Neuropathy around the Shoulder: A Current Concept Review. Journal of Clinical Medicine. 2020; 9(8):2331. https://doi.org/10.3390/jcm9082331
Chicago/Turabian StyleBozzi, Federico, Sergi Alabau-Rodriguez, Sergi Barrera-Ochoa, Atesch Ateschrang, Anna J. Schreiner, Juan Carlos Monllau, and Simone Perelli. 2020. "Suprascapular Neuropathy around the Shoulder: A Current Concept Review" Journal of Clinical Medicine 9, no. 8: 2331. https://doi.org/10.3390/jcm9082331
APA StyleBozzi, F., Alabau-Rodriguez, S., Barrera-Ochoa, S., Ateschrang, A., Schreiner, A. J., Monllau, J. C., & Perelli, S. (2020). Suprascapular Neuropathy around the Shoulder: A Current Concept Review. Journal of Clinical Medicine, 9(8), 2331. https://doi.org/10.3390/jcm9082331




