MRI Study of Paraspinal Muscles in Patients with Amyotrophic Lateral Sclerosis (ALS)
Abstract
:1. Introduction
2. Materials and Methods
2.1. Patients
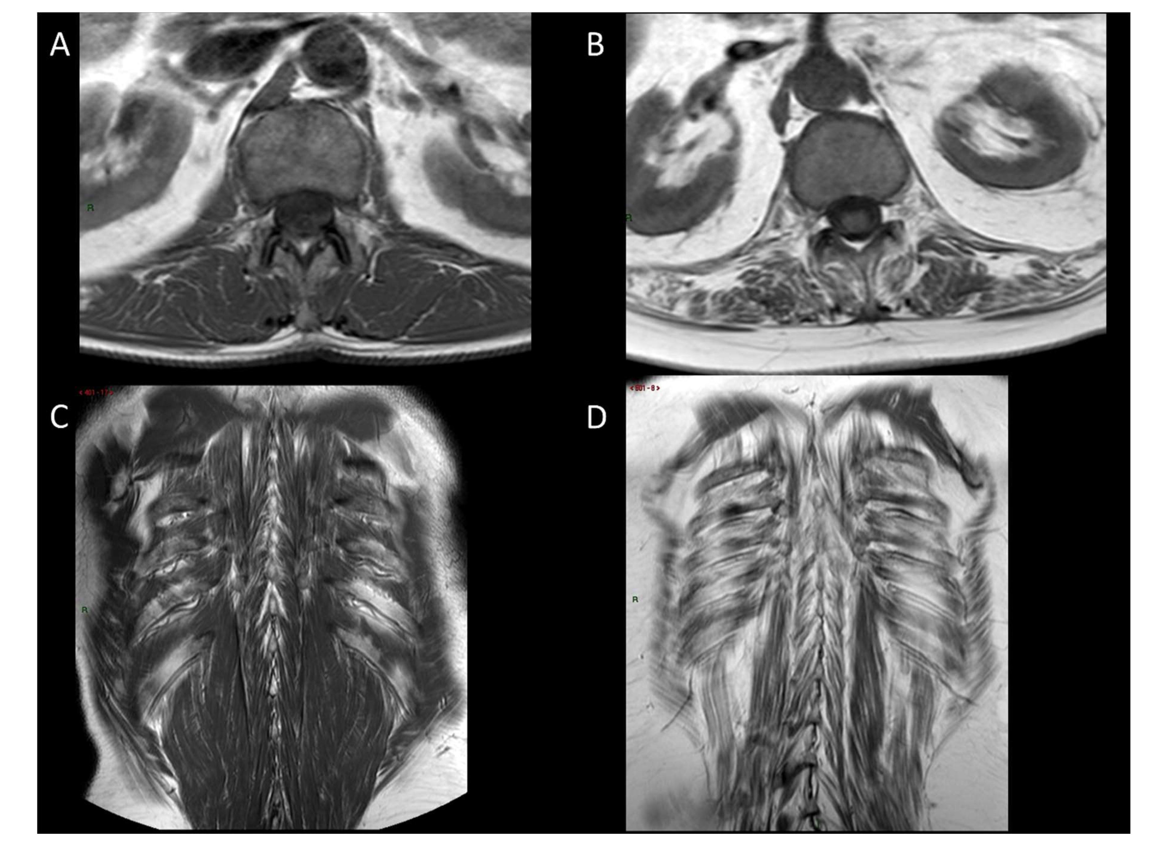
2.2. MRI Data Analysis
- Stage 0: normal appearance;
- Stage 1: early moth-eaten appearance, with scattered small areas of increased signal intensity on the T1 MR sequence;
- Stage 2a: late moth-eaten appearance, with numerous discrete areas of increased signal intensity (MRI) with beginning confluence, comprising less than 30% of the volume of the individual muscle;
- Stage 2b: late moth-eaten appearance, with numerous discrete areas of increased signal intensity (MRI) with beginning confluence, comprising 30–60% of the volume of the individual muscle;
- Stage 3: washed-out appearance, fuzzy appearance due to confluent areas of increased signal intensity (MRI), with muscle still present at the periphery;
- Stage 4: end-stage appearance, muscle replaced by increased signal intensity (MRI) connective tissue and fat, with only a rim of distinguishable fascia and neurovascular structures.
2.3. Statistical Analysis
3. Results
4. Discussion and Conclusions
Supplementary Materials
Author Contributions
Funding
Conflicts of Interest
References
- Fortin, M.; Videman, T.; Gibbons, L.E.; Battié, M.C. Paraspinal muscle morphology and composition: A 15-yr longitudinal magnetic resonance imaging study. Med. Sci. Sports Exerc. 2014, 46, 893–901. [Google Scholar] [CrossRef] [PubMed]
- Tinazzi, M.; Juergenson, I.; Squintani, G.; Vattemi, G.; Montemezzi, S.; Censi, D.; Barone, P.; Bovi, T.; Fasano, A. Pisa syndrome in Parkinson’s disease: An electrophysiological and imaging study. J. Neurol. 2013, 260, 2138–2148. [Google Scholar] [CrossRef] [PubMed]
- Tassorelli, C.; Furnari, A.; Buscone, S.; Alfonsi, E.; Pacchetti, C.; Zangaglia, R.; Pichiecchio, A.; Bastianello, S.; Lozza, A.; Allena, M.; et al. Pisa syndrome in Parkinson’s disease: Clinical, electromyographic, and radiological characterization. Mov. Disord. 2012, 27, 227–235. [Google Scholar] [CrossRef] [PubMed]
- Alejaldre, A.; Díaz-Manera, J.; Ravaglia, S.; Tibaldi, E.C.; D’Amore, F.; Morís, G.; Muelas, N.; Vílchez, J.J.; García-Medina, A.; Usón, M.; et al. Trunk muscle involvement in late-onset Pompe disease: Study of thirty patients. Neuromuscul. Disord. 2012, 22 (Suppl. 2), S148–S154. [Google Scholar] [CrossRef]
- Solbakken, G.; Bjørnarå, B.; Kirkhus, E.; Nguyen, B.; Hansen, G.; Frich, J.C.; Ørstavik, K. MRI of trunk muscles and motor and respiratory function in patients with myotonic dystrophy type 1. BMC Neurol. 2019, 19, 135. [Google Scholar] [CrossRef]
- Brooks, B.R.; Miller, R.G.; Swash, M.; Munsat, T.L. World Federation of Neurology Research Group on Motor Neuron Diseases. El Escorial revisited: Revised criteria for the diagnosis of amyotrophic lateral sclerosis. Amyotroph. Lateral Scler. Other Motor Neuron Disord. 2000, 1, 293–299. [Google Scholar] [CrossRef] [PubMed]
- Jenkins, T.M.; Alix, J.J.P.; David, C.; Pearson, E.; Rao, D.G.; Hoggard, N.; O’Brien, E.; Baster, K.; Bradburn, M.; Bigley, J.; et al. Imaging muscle as a potential biomarker of denervation in motor neuron disease. J. Neurol. Neurosurg. Psychiatry 2018, 89, 248–255. [Google Scholar] [CrossRef] [PubMed]
- Diamanti, L.; Alfonsi, E.; Ferraro, O.E.; Cereda, C.; Pansarasa, O.; Bastianello, S.; Pichiecchio, A. A pilot study assessing T1-weighted muscle MRI in amyotrophic lateral sclerosis (ALS). Skelet. Radiol. 2019, 48, 569–575. [Google Scholar] [CrossRef] [PubMed]
- Cedarbaum, J.M.; Stambler, N.; Malta, E.; Fuller, C.; Hilt, D.; Thurmond, B.; Nakanishi, A. The ALSFRS-R: A revised ALS functional rating scale that incorporates assessments of respiratory function. BDNF ALS Study Group (Phase III). J. Neurol. Sci. 1999, 169, 13–21. [Google Scholar] [CrossRef]
- Mercuri, E.; Talim, B.; Moghadaszadeh, B.; Petit, N.; Brockington, M.; Counsell, S.; Guicheney, P.; Muntoni, F.; Merlini, L. Clinical and imaging findings in six cases of congenital muscular dystrophy with rigid spine syndrome linked to chromosome 1p (RSMD1). Neuromuscul. Disord. 2002, 12, 631–638. [Google Scholar] [CrossRef]

| Data | |
|---|---|
| Gender, M/F | 7/7 |
| Age at onset, mean in years (range) | 61.3 (29–79) |
| Time from onset to diagnosis, mean in months (range) | 12 (3–26) |
| ALSFRSr at MRI, mean (range) | 41.2 (33–47) |
| Patient ID | Gender | Age at Onset (Years) | Site of Onset | ALSFRSr at MRI |
|---|---|---|---|---|
| 1 | M | 29 | Spinal | 47 |
| 2 | F | 52 | Spinal | 45 |
| 3 | F | 39 | Spinal | 38 |
| 4 | M | 74 | Spinal | 44 |
| 5 | F | 65 | Bulbar | 40 |
| 6 | M | 64 | Spinal | 33 |
| 7 | F | 55 | Spinal | 39 |
| 8 | F | 76 | Bulbar | 42 |
| 9 | M | 73 | Bulbar | 44 |
| 10 | F | 64 | Spinal | 41 |
| 11 | M | 56 | Spinal | 32 |
| 12 | M | 69 | Spinal | 46 |
| 13 | F | 63 | Bulbar | 44 |
| 14 | M | 79 | Spinal | 42 |
© 2020 by the authors. Licensee MDPI, Basel, Switzerland. This article is an open access article distributed under the terms and conditions of the Creative Commons Attribution (CC BY) license (http://creativecommons.org/licenses/by/4.0/).
Share and Cite
Diamanti, L.; Paoletti, M.; Di Vita, U.; Muzic, S.I.; Cereda, C.; Ballante, E.; Pichiecchio, A. MRI Study of Paraspinal Muscles in Patients with Amyotrophic Lateral Sclerosis (ALS). J. Clin. Med. 2020, 9, 934. https://doi.org/10.3390/jcm9040934
Diamanti L, Paoletti M, Di Vita U, Muzic SI, Cereda C, Ballante E, Pichiecchio A. MRI Study of Paraspinal Muscles in Patients with Amyotrophic Lateral Sclerosis (ALS). Journal of Clinical Medicine. 2020; 9(4):934. https://doi.org/10.3390/jcm9040934
Chicago/Turabian StyleDiamanti, Luca, Matteo Paoletti, Umberto Di Vita, Shaun Ivan Muzic, Cristina Cereda, Elena Ballante, and Anna Pichiecchio. 2020. "MRI Study of Paraspinal Muscles in Patients with Amyotrophic Lateral Sclerosis (ALS)" Journal of Clinical Medicine 9, no. 4: 934. https://doi.org/10.3390/jcm9040934
APA StyleDiamanti, L., Paoletti, M., Di Vita, U., Muzic, S. I., Cereda, C., Ballante, E., & Pichiecchio, A. (2020). MRI Study of Paraspinal Muscles in Patients with Amyotrophic Lateral Sclerosis (ALS). Journal of Clinical Medicine, 9(4), 934. https://doi.org/10.3390/jcm9040934

