Left Atrial Volumetric and Deformation Analysis in Adult Patients with Dextro-Transposition of the Great Arteries (Insights from the CSONGRAD Registry and MAGYAR-Path Study)
Abstract
1. Introduction
2. Materials and Methods
2.1. Patient Population
2.2. Two-Dimensional Doppler Echocardiography
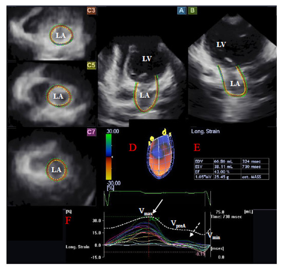
2.3. Three-Dimensional Speckle-Tracking Echocardiography
2.4. Left Atrial 3DSTE-Derived Volumetric Measurements
2.4.1. Reservoir Function
2.4.2. Conduit Function
2.4.3. Active Contraction
2.5. Left Atrial 3DSTE-Derived Strain Measurements
2.6. Statistical Analysis
3. Results
3.1. Clinical Data
3.2. 3DSTE-Derived LA Volumes and Volume-Based Functional Properties
3.3. 3DSTE-Derived LA Peak Strain Parameters
3.4. 3DSTE-Derived LA Strain Parameters at Atrial Contraction
4. Discussion
Limitation Section
5. Conclusions
Author Contributions
Conflicts of Interest
References
- Gatzoulis, M.A.; Webb, G.D.; Daubeney, P.E. Diagnosis and Management of Adult Congenital Heart Disease, 2nd ed.; Elsevier: Edinbourgh, UK, 2011. [Google Scholar]
- Engelfriet, P.; Boersma, E.; Oechslin, E.; Tijssen, J.; Gatzoulis, M.A.; Thilén, U.; Kaemmerer, H.; Moons, P.; Meijboom, F.; Popelová, J.; et al. The spectrum of adult congenital heart disease in Europe: Morbidity and mortality in a 5-year follow-up period. The Euro Heart Survey on adult congenital heart disease. Eur. Heart J. 2005, 26, 2325–2333. [Google Scholar] [CrossRef]
- Konstantinov, I.E.; Alexi-Meskishvili, V.V.; Williams, W.G.; Freedom, R.M.; van Praagh, R. Atrial switch operation: Past, present, and future. Ann. Thorac. Surg. 2004, 77, 2250–2258. [Google Scholar] [CrossRef]
- Warnes, C.A. Transposition of the great arteries. Circulation 2006, 114, 2699–2709. [Google Scholar] [CrossRef] [PubMed]
- Nemes, A.; Kalapos, A.; Domsik, P.; Forster, T. Three-dimensional speckle-tracking echocardiography—A further step in non-invasive three-dimensional cardiac imaging. Orv. Hetil. 2012, 153, 1570–1577. [Google Scholar] [CrossRef] [PubMed]
- Ammar, K.A.; Paterick, T.E.; Khanderia, B.K.; Jan, M.F.; Kramer, C.; Umland, M.M.; Tercius, A.J.; Baratta, L.; Tajik, A.J. Myocardial mechanics: Understanding and applying three-dimensional speckle tracking echocardiography in clinical practice. Echocardiography 2012, 29, 861–872. [Google Scholar] [CrossRef] [PubMed]
- Urbano-Moral, J.A.; Patel, A.R.; Maron, M.S.; Arias-Godinez, J.A.; Pandian, N.G. Three-dimensional speckle-tracking echocardiography: Methodological aspects and clinical potential. Echocardiography 2012, 29, 997–1010. [Google Scholar] [CrossRef] [PubMed]
- Nemes, A.; Domsik, P.; Kalapos, A.; Forster, T. Is three-dimensional speckle-tracking echocardiography able to identify different patterns of left atrial dysfunction in selected disorders? Short summary of the MAGYAR-Path Study. Int. J. Cardiol. 2016, 220, 535–537. [Google Scholar] [CrossRef] [PubMed]
- Havasi, K.; Kalapos, A.; Berek, K.; Domsik, P.; Kovács, G.; Bogáts, G.; Hartyánszky, I.; Kertész, E.; Katona, M.; Rácz, K.; et al. More than 50 years’ experience in the treatment of patients with congenital heart disease at a Hungarian university hospital. Orv. Hetil. 2015, 156, 794–800. [Google Scholar] [CrossRef] [PubMed][Green Version]
- Lang, R.M.; Badano, L.P.; Mor-Avi, V.; Afilalo, J.; Armstrong, A.; Ernande, L.; Flachskampf, F.A.; Foster, E.; Goldstein, S.A.; Kuznetsova, T.; et al. Recommendations for cardiac chamber quantification by echocardiography in adults: An update from the American Society of Echocardiography and the European Association of Cardiovascular Imaging. Eur. Heart J. Cardiovasc. Imaging 2015, 16, 233–270. [Google Scholar] [CrossRef] [PubMed]
- Anwar, A.M.; Soliman, O.I.; Geleijnse, M.L.; Nemes, A.; Vletter, W.B.; ten Cate, F.J. Assessment of left atrial volume and function by real-time three-dimensional echocardiography. Int. J. Cardiol. 2008, 123, 155–161. [Google Scholar] [CrossRef] [PubMed]
- Haeffele, C.; Lui, G.K. Dextro-Transposition of the Great Arteries: Long-term Sequelae of Atrial and Arterial Switch. Cardiol. Clin. 2015, 33, 543–558. [Google Scholar] [CrossRef] [PubMed]
- Havasi, K.; Kalapos, A.; Berek, K.; Domsik, P.; Kohári, M.; Kovács, G.; Bogáts, G.; Hartyánszky, I.; Forster, T.; Nemes, A. Long-term follow-up of patients with transposition of the great arteries following Senning or Mustard operations. Results from the CSONGRAD Registry. Orv. Hetil. 2016, 157, 104–110. [Google Scholar] [CrossRef] [PubMed][Green Version]
- Blume, G.G.; Mcleod, C.J.; Barnes, M.E.; Seward, J.B.; Pellikka, P.A.; Bastiansen, P.M.; Tsang, T.S. Left atrial function: Physiology, assessment, and clinical implications. Eur. J. Echocardiogr. 2011, 12, 421–430. [Google Scholar] [CrossRef] [PubMed]
- Nemes, A.; Forster, T. Assessment of left atrial size and function—From M-mode to 3D speckle-tracking echocardiography. Orv. Hetil. 2014, 155, 1624–1631. [Google Scholar] [CrossRef] [PubMed]
- Franzoso, F.D.; Wohlmuth, C.; Greutmann, M.; Kellenberger, C.J.; Oxenius, A.; Voser, E.M.; Valsangiacomo Buechel, E.R. Atrial Function after the Atrial Switch Operation for Transposition of the Great Arteries: Comparison with Arterial Switch and Normals by Cardiovascular Magnetic Resonance. Congenit Heart Dis. 2016, 11, 426–436. [Google Scholar] [CrossRef] [PubMed]

| Controls (n = 36) | dTGA Patients (n = 15) | p Value | |
|---|---|---|---|
| Risk Factors | |||
| Age (years) | 28.7 ± 1.5 | 30.3 ± 8.1 | 0.25 |
| Male gender (%) | 24 (67) | 9 (60) | 0.78 |
| Hypertension (%) | 0 (0) | 4 (21) | 0.01 |
| Hypercholesterolemia (%) | 0 (0) | 0 (0) | 1 |
| Diabetes mellitus (%) | 0 (0) | 0 (0) | 1 |
| Two-Dimensional Echocardiography | |||
| LA diameter (mm) | 37.8 ± 3.9 | 34.6 ± 6.0 | 0.08 |
| LV end-diastolic diameter (mm) | 46.9 ± 3.3 | 46.8 ± 4.3 | 0.91 |
| LV end-diastolic volume (mL) | 96.4 ± 22.4 | 108.7 ± 15.0 | 0.18 |
| LV end-systolic diameter (mm) | 31.5 ± 2.9 | 30.0 ± 4.0 | 0.23 |
| LV end-systolic volume (mL) | 35.8 ± 7.9 | 38.3 ± 10.0 | 0.47 |
| Interventricular septum (mm) | 9.0 ± 1.3 | 10.4 ± 2.5 | 0.02 |
| LV posterior wall (mm) | 9.3 ± 1.7 | 9.6 ± 1.6 | 0.62 |
| LV ejection fraction (%) | 64.0 ± 3.3 | 63.7 ± 5.6 | 0.80 |
| Controls (n = 36) | dTGA Patients (n = 15) | Senning-Operated dTGA Patients (n = 7) | Mustard-Operated dTGA Patients (n = 8) | |
|---|---|---|---|---|
| Calculated Volumes (mL) | ||||
| Vmax(mL) | 42.8 ± 14.8 | 35.8 ± 22.7 * | 37.5 ± 17.9 | 35.5 ± 29.4 * |
| Vmin(mL) | 20.7 ± 8.4 | 23.9 ± 18.2 | 22.5 ± 9.1 | 26.4 ± 25.9 |
| VpreA(mL) | 30.6 ± 12.9 | 28.7 ± 19.8 | 27.5 ± 10.9 | 31.4 ± 27.6 |
| Stroke Volumes (mL) | ||||
| TASV (mL) | 22.0 ± 10.0 | 11.9 ± 8.0 * | 15.0 ± 10.1 | 9.1 ± 4.9 * |
| PASV (mL) | 12.1 ± 5.9 | 7.2 ± 5.7 * | 10.0 ± 7.2 | 4.1 ± 2.0 * |
| AASV (mL) | 9.9 ± 8.1 | 4.8 ±3.2 * | 5.0 ±3.6 | 5.0 ± 3.3 |
| Emptying Fractions (%) | ||||
| TAEF (%) | 51.0 ± 11.5 | 33.7 ± 11.2 * | 37.5 ± 9.6 * | 29.0 ± 12.3 * |
| PAEF (%) | 29.0 ± 12.0 | 19.4 ± 8.4 * | 24.0 ± 7.3 | 13.1 ± 3.9 *,† |
| AAEF (%) | 29.9 ± 15.5 | 17.8 ± 9.9 * | 18.0 ± 8.6 * | 18.5 ± 12.2 * |
| Controls (n = 36) | dTGA Patients (n = 15) | Senning-Operated dTGA Patients (n = 7) | Mustard-Operated dTGA Patients (n = 8) | |
|---|---|---|---|---|
| Global Strains | ||||
| Radial (%) | −13.9 ± 7.1 | −8.9 ± 7.3 * | −12.8 ± 8.3 | −6.2 ± 4.0 * |
| Circumferential (%) | 33.1 ± 14.3 | 11.0 ± 9.4 * | 17.1 ± 8.3 * | 5.8 ± 7.4 *,† |
| Longitudinal (%) | 23.9 ± 8.1 | 12.6 ± 7.9 * | 17.3 ± 7.5 | 6.7 ± 3.1 *,† |
| 3D (%) | −6.2 ± 5.2 | −5.8 ± 4.6 | −8.0 ± 5.3 | −4.4 ± 2.6 |
| Area (%) | 64.4 ± 26.4 | 22.7 ± 17.0 * | 34.3 ± 15.7 * | 11.1 ± 10.6 *,† |
| Mean Segmental Strains | ||||
| Radial (%) | −19.4 ± 6.7 | −13.9 ± 7.1 * | −16.8 ± 8.1 | −12.5 ± 5.1 * |
| Circumferential (%) | 37.4 ± 13.7 | 15.5 ± 9.5 * | 21.7 ± 9.5 * | 9.8 ± 6.0 *,† |
| Longitudinal (%) | 28.1 ± 7.8 | 15.4 ± 7.3 * | 19.1 ± 7.7 * | 10.6 ± 3.3 *,† |
| 3D (%) | −12.4 ± 5.2 | −10.0 ± 5.6 | −12.6 ± 6.2 | −8.7 ± 3.4 * |
| Area (%) | 71.2 ± 26.1 | 28.2 ± 16.5 * | 39.2 ± 16.9 * | 17.6 ± 8.7 *,† |
| Controls (n = 36) | dTGA Patients (n = 15) | Senning-Operated dTGA Patients (n = 7) | Mustard-Operated dTGA Patients (n = 8) | |
|---|---|---|---|---|
| RS basal (%) | −19.0 ± 8.3 | −14.8 ± 8.9 | −17.0 ± 10.1 | −14.3 ± 7.4 * |
| RSmidatrial (%) | −19.4 ± 7.5 | −13.6 ± 7.3 * | −14.7 ± 8.4 | −13.4 ± 6.7 |
| RS superior (%) | −17.1 ± 10.8 | −13.2 ± 10.7 | −19.4 ± 12.1 | −8.3 ± 5.7 |
| CS basal (%) | 40.1 ± 14.6 | 13.8 ± 8.8 * | 20.7 ± 7.2 * | 8.1 ± 5.2 *,† |
| CSmidatrial (%) | 31.2 ± 12.7 | 12.2 ± 9.6 * | 17.9 ±10.7 * | 7.2 ± 5.3 *,† |
| CS superior (%) | 40.2 ± 25.0 | 22.9 ± 15.7 * | 29.0 ± 17.2 * | 16.5 ± 13.5 *,† |
| LS basal (%) | 19.1 ± 9.1 | 16.6 ± 9.3 | 19.1 ± 7.0 | 11.6 ± 8.2 * |
| LSmidatrial (%) | 35.7 ± 11.0 | 15.6 ± 8.8 * | 21.0 ± 9.3 * | 9.9 ± 4.8 *,† |
| LS superior (%) | 27.8 ± 16.5 | 13.3 ± 8.9 * | 16.3 ± 10.5 | 9.9 ± 6.9 * |
| 3DS basal (%) | −12.4 ± 6.2 | −11.0 ± 7.1 | −13.1 ± 8.1 | −10.1 ± 5.8 |
| 3DSmidatrial (%) | −11.3 ± 5.5 | −8.6 ± 5.2 | −9.7 ± 5.6 | −8.6 ± 4.5 |
| 3DS superior (%) | −10.8 ± 8.1 | −10.6 ± 10.1 | −16.2 ± 11.9 | −6.5 ± 5.0 |
| AS basal (%) | 58.1 ± 23.2 | 23.1 ± 13.1 * | 32.3 ± 11.3 * | 13.8 ± 8.5 *,† |
| ASmidatrial (%) | 71.7 ± 26.5 | 24.9 ± 19.2 * | 37.0 ± 21.1* | 13.4 ± 9.5 *,† |
| AS superior (%) | 85.7 ± 62.6 | 40.6 ± 29.6 * | 52.6 ± 33.3 | 29.4 ± 24.7 * |
| Controls (n = 36) | dTGA Patients (n = 15) | Senning-Operated dTGA Patients (n = 7) | Mustard-Operated dTGA Patients (n = 8) | |
|---|---|---|---|---|
| Global Strains | ||||
| Radial (%) | −4.9 ± 6.6 | −3.6 ± 4.8 | −4.3 ± 5.0. | −3.8 ± 4.6 |
| Circumferential (%) | 13.6 ± 8.3 | 4.1 ± 8.8 * | 9.5 ± 10.1 | 0.7 ± 4.0 *,† |
| Longitudinal (%) | 7.6 ± 6.2 | 5.5 ± 6.2 | 5.9 ± 7.2 | 3.4 ± 3.3 |
| 3D (%) | −3.0 ± 5.7 | −1.8 ± 5.4 | −3.6 ± 6.5 | −1.1 ± 3.1 |
| Area (%) | 23.5 ± 17.6 | 9.1 ± 16.6 * | 16.7 ± 21.2 | 1.2 ± 7.3 * |
| Mean Segmental Strains | ||||
| Radial (%) | −8.0 ± 5.4 | −6.1 ± 4.4 | −6.4 ± 5.4 | −6.8 ± 3.2 |
| Circumferential (%) | 16.4 ± 8.5 | 6.1 ± 7.9 * | 10.0 ± 9.6 | 2.3 ± 4.1 * |
| Longitudinal (%) | 9.5 ± 5.4 | 6.7 ± 5.0 * | 7.9 ± 5.3 | 4.0 ± 2.1 * |
| 3D (%) | −5.4 ± 5.1 | −4.0 ± 4.2 | −4.6 ± 5.1 | −4.4 ± 2.5 |
| Area (%) | 27.6 ± 13.6 | 10.6 ± 12.1 * | 16.6 ± 14.4 | 4.1 ± 6.5 * |
| Controls (n = 36) | dTGA Patients (n = 15) | Senning-Operated dTGA Patients (n = 7) | Mustard-Operated dTGA Patients (n = 8) | |
|---|---|---|---|---|
| RS basal (%) | −8.1 ± 6.2 | −6.2 ± 5.8 | −5.5 ± 6.2 | −8.1 ± 4.9 |
| RSmidatrial (%) | −8.4 ± 6.3 | −5.5 ± 4.2 | −4.9 ± 3.0 * | −6.8 ± 5.2 |
| RS superior (%) | −7.4 ± 8.3 | −6.9 ± 8.8 | −9.8 ± 11.3 | −4.9 ± 5.3 |
| CS basal (%) | 17.9 ± 10.6 | 4.7 ± 6.3 * | 7.7 ± 7.5 * | 2.2 ± 3.9 * |
| CSmidatrial (%) | 12.9 ± 8.2 | 5.5 ± 7.8 * | 9.4 ± 9.4 | 1.8 ± 4.5 * |
| CS superior (%) | 17.3 ± 14.9 | 9.0 ± 11.4 * | 14.4 ± 14.3 | 3.2 ± 5.2 * |
| LS basal (%) | 6.7 ± 5.6 | 6.9 ± 6.2 | 5.4 ± 3.7 | 5.9 ± 4.4 |
| LSmidatrial (%) | 11.1 ± 7.1 | 6.5 ± 6.2 * | 8.4 ± 7.6 | 3.5 ± 3.0 * |
| LS superior (%) | 11.3 ± 10.9 | 6.5 ± 8.7 | 10.9 ± 10.5 | 1.9 ± 4.2 * |
| 3DS basal (%) | −5.5 ± 6.5 | −4.4 ± 5.7 | −4.7 ± 6.6 | −5.5 ± 4.0 |
| 3DSmidatrial (%) | −5.5 ± 5.9 | −3.3 ± 3.6 | −3.2 ± 3.2 | −4.1 ± 3.9 |
| 3DS superior (%) | −4.9 ± 7.6 | −4.5 ± 7.3 | −6.7 ± 9.3 | −3.3 ± 4.9 |
| AS basal (%) | 22.7 ± 12.5 | 6.9 ± 7.1 * | 9.1 ± 7.5 * | 3.5 ± 5.4 * |
| ASmidatrial (%) | 27.3 ± 15.5 | 11.8 ± 13.9 * | 19.1 ± 16.4 | 4.2 ± 7.0 * |
| AS superior (%) | 35.6 ± 32.3 | 14.4 ± 20.3 * | 24.0 ± 25.3 | 4.7 ± 10.2 * |
© 2020 by the authors. Licensee MDPI, Basel, Switzerland. This article is an open access article distributed under the terms and conditions of the Creative Commons Attribution (CC BY) license (http://creativecommons.org/licenses/by/4.0/).
Share and Cite
Nemes, A.; Rácz, G.; Kormányos, Á.; Domsik, P.; Kalapos, A.; Gyenes, N.; Ambrus, N.; Bogáts, G.; Hartyánszky, I.; Havasi, K. Left Atrial Volumetric and Deformation Analysis in Adult Patients with Dextro-Transposition of the Great Arteries (Insights from the CSONGRAD Registry and MAGYAR-Path Study). J. Clin. Med. 2020, 9, 463. https://doi.org/10.3390/jcm9020463
Nemes A, Rácz G, Kormányos Á, Domsik P, Kalapos A, Gyenes N, Ambrus N, Bogáts G, Hartyánszky I, Havasi K. Left Atrial Volumetric and Deformation Analysis in Adult Patients with Dextro-Transposition of the Great Arteries (Insights from the CSONGRAD Registry and MAGYAR-Path Study). Journal of Clinical Medicine. 2020; 9(2):463. https://doi.org/10.3390/jcm9020463
Chicago/Turabian StyleNemes, Attila, Gergely Rácz, Árpád Kormányos, Péter Domsik, Anita Kalapos, Nándor Gyenes, Nóra Ambrus, Gábor Bogáts, István Hartyánszky, and Kálmán Havasi. 2020. "Left Atrial Volumetric and Deformation Analysis in Adult Patients with Dextro-Transposition of the Great Arteries (Insights from the CSONGRAD Registry and MAGYAR-Path Study)" Journal of Clinical Medicine 9, no. 2: 463. https://doi.org/10.3390/jcm9020463
APA StyleNemes, A., Rácz, G., Kormányos, Á., Domsik, P., Kalapos, A., Gyenes, N., Ambrus, N., Bogáts, G., Hartyánszky, I., & Havasi, K. (2020). Left Atrial Volumetric and Deformation Analysis in Adult Patients with Dextro-Transposition of the Great Arteries (Insights from the CSONGRAD Registry and MAGYAR-Path Study). Journal of Clinical Medicine, 9(2), 463. https://doi.org/10.3390/jcm9020463

