Topographic Relationship between Telangiectasia and Cone Mosaic Disruption in Macular Telangiectasia Type 2
Abstract
1. Introduction
2. Experimental Section
2.1. Subjects
2.2. Optical Coherence Tomography Angiography Imaging Protocol
2.3. En-Face OCTA Analysis
2.4. Evaluation of EZ and IZ Integrity
2.5. Adaptive Optics Scanning Laser Ophthalmoscopy Imaging Protocol
2.6. Adaptive Optics Image Analysis and Montage Generation
2.7. Image Overlays
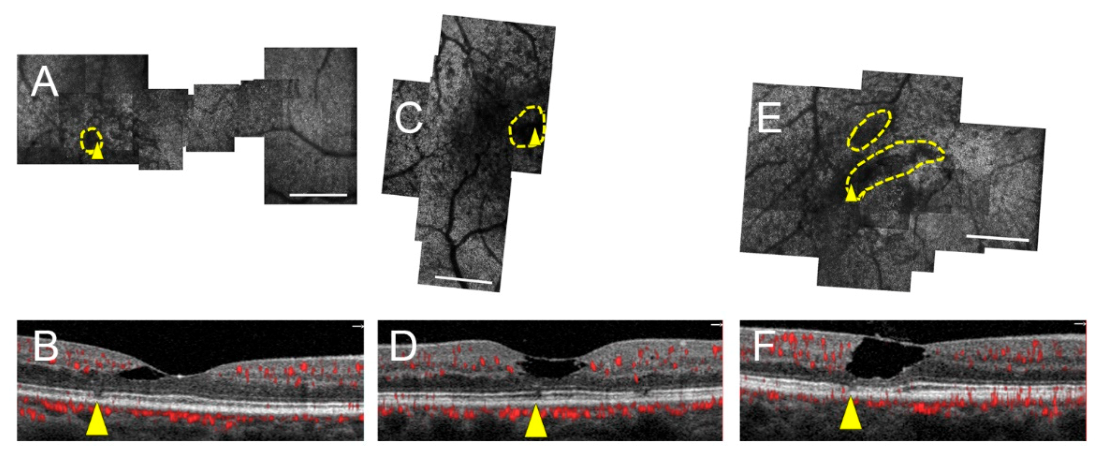
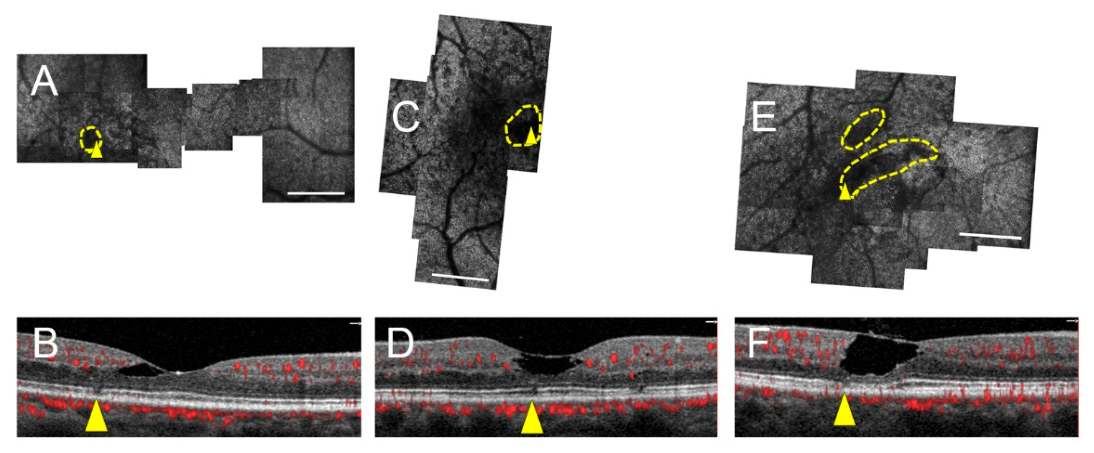
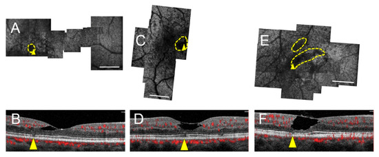
3. Results
4. Discussion
Supplementary Materials
Author Contributions
Funding
Acknowledgments
Conflicts of Interest
References
- Issa, P.C.; Gillies, M.C.; Chew, E.Y.; Bird, A.C.; Heeren, T.F.; Peto, T.; Holz, F.G.; Scholl, H.P. Macular telangiectasia type 2. Prog. Retin. Eye Res. 2013, 34, 49–77. [Google Scholar]
- Sallo, F.B.; Peto, T.; Egan, C.; Wolf-Schnurrbusch, U.E.K.; Clemons, T.E.; Gillies, M.C.; Pauleikhoff, D.; Rubin, G.S.; Chew, E.Y.; Bird, A.C.; et al. The IS/OS Junction Layer in the Natural History of Type 2 Idiopathic Macular Telangiectasia. Investig. Ophthalmol. Vis. Sci. 2012, 53, 7889–7895. [Google Scholar] [CrossRef]
- Gass, J.D.M.; Blodi, B.A. Idiopathic juxtafoveolar retinal telangiectasis: Update of classification and follow-up study. Ophthalmology 1993, 100, 1536–1546. [Google Scholar] [CrossRef]
- Powner, M.B.; Gillies, M.C.; Zhu, M.; Vevis, K.; Hunyor, A.P.; Fruttiger, M. Loss of Müller′s cells and photoreceptors in macular telangiectasia type 2. Ophthalmology 2013, 120, 2344–2352. [Google Scholar]
- Powner, M.B.; Gillies, M.C.; Tretiach, M.; Scott, A.; Guymer, R.H.; Hageman, G.S.; Fruttiger, M. Perifoveal Müller cell depletion in a case of macular telangiectasia type 2. Ophthalmology 2010, 117, 2407–2416. [Google Scholar] [PubMed]
- Shen, W.; Fruttiger, M.; Zhu, L.; Chung, S.H.; Barnett, N.L.; Kirk, J.K.; Lee, S.; Coorey, N.J.; Killingsworth, M.; Sherman, L.S. Conditional Müller cell ablation causes independent neuronal and vascular pathologies in a novel transgenic model. J. Neurosci. 2012, 32, 15715–15727. [Google Scholar]
- Spaide, R.F.; Klancnik, J.M., Jr.; Cooney, M.J.; Yannuzzi, L.A.; Balaratnasingam, C.; Dansingani, K.K.; Suzuki, M. Volume-rendering optical coherence tomography angiography of macular telangiectasia type 2. Ophthalmology 2015, 122, 2261–2269. [Google Scholar] [PubMed]
- Thorell, M.R.; Zhang, Q.; Huang, Y.; An, L.; Durbin, M.K.; Laron, M.; Sharma, U.; Stetson, P.F.; Gregori, G.; Wang, R.K. Swept-source OCT angiography of macular telangiectasia type 2. Ophthalmic Surg. Lasers Imaging Retin. 2014, 45, 369–380. [Google Scholar]
- Gaudric, A.; Krivosic, V.; Tadayoni, R. Outer retina capillary invasion and ellipsoid zone loss in macular telangiectasia type 2 imaged by optical coherence tomography angiography. Retina 2015, 35, 2300–2306. [Google Scholar]
- Sallo, F.B.; Peto, T.; Egan, C.; Wolf-Schnurrbusch, U.E.K.; Clemons, T.E.; Gillies, M.C.; Pauleikhoff, D.; Rubin, G.S.; Chew, E.Y.; Bird, A.C.; et al. “En face” OCT Imaging of the IS/OS Junction Line in Type 2 Idiopathic Macular Telangiectasia. Investig. Ophthalmol. Vis. Sci. 2012, 53, 6145–6152. [Google Scholar] [CrossRef]
- Micevych, P.S.; Lee, H.E.; Fawzi, A.A. Overlap between telangiectasia and photoreceptor loss increases with progression of macular telangiectasia type 2. PLoS ONE 2019, 14, e0224393. [Google Scholar] [CrossRef] [PubMed]
- Burns, S.A.; Elsner, A.E.; Sapoznik, K.A.; Warner, R.L.; Gast, T.J. Adaptive optics imaging of the human retina. Prog. Retin. Eye Res. 2019, 68, 1–30. [Google Scholar] [PubMed]
- Litts, K.M.; Cooper, R.F.; Duncan, J.L.; Carroll, J. Photoreceptor-based biomarkers in AOSLO retinal imaging. Investig. Ophthalmol. Vis. Sci. 2017, 58, BIO255–BIO267. [Google Scholar]
- Ooto, S.; Hangai, M.; Takayama, K.; Arakawa, N.; Tsujikawa, A.; Koizumi, H.; Oshima, S.; Yoshimura, N. High-resolution photoreceptor imaging in idiopathic macular telangiectasia type 2 using adaptive optics scanning laser ophthalmoscopy. Investig. Ophthalmol. Vis. Sci. 2011, 52, 5541–5550. [Google Scholar]
- Wang, Q.; Tuten, W.S.; Lujan, B.J.; Holland, J.; Bernstein, P.S.; Schwartz, S.D.; Duncan, J.L.; Roorda, A. Adaptive optics microperimetry and OCT images show preserved function and recovery of cone visibility in macular telangiectasia type 2 retinal lesions. Investig. Ophthalmol. Vis. Sci. 2015, 56, 778–786. [Google Scholar]
- Scoles, D.; Flatter, J.A.; Cooper, R.F.; Langlo, C.S.; Robison, S.; Neitz, M.; Weinberg, D.V.; Pennesi, M.E.; Han, D.P.; Dubra, A. Assessing photoreceptor structure associated with ellipsoid zone disruptions visualized with optical coherence tomography. Retina 2016, 36, 91. [Google Scholar]
- Litts, K.M.; Okada, M.; Heeren, T.F.; Kalitzeos, A.; Rocco, V.; Mastey, R.R.; Singh, N.; Kane, T.; Kasilian, M.; Fruttiger, M. Longitudinal assessment of remnant foveal cone structure in a case series of early macular telangiectasia type 2. Transl. Vis. Sci. Technol. 2020, 9, 27. [Google Scholar]
- Khodabande, A.; Roohipoor, R.; Zamani, J.; Mirghorbani, M.; Zolfaghari, H.; Karami, S.; Modjtahedi, B.S. Management of idiopathic macular telangiectasia type 2. Ophthalmol. Ther. 2019, 8, 155–175. [Google Scholar]
- Chew, E.Y.; Clemons, T.E.; Jaffe, G.J.; Johnson, C.A.; Farsiu, S.; Lad, E.M.; Guymer, R.; Rosenfeld, P.; Hubschman, J.-P.; Constable, I. Effect of ciliary neurotrophic factor on retinal neurodegeneration in patients with macular telangiectasia type 2: A randomized clinical trial. Ophthalmology 2019, 126, 540–549. [Google Scholar]
- Chew, E.Y.; Peto, T.; Clemons, T.E.; Pauleikhoff, D.; Sallo, F.B.; Heeren, T.; Egan, C.A.; Charbel Issa, P.; Balaskas, K.; Bird, A.C. A New Classification for Macular Telangiectasia type 2 based on multi-modal imaging. Investig. Ophthalmol. Vis. Sci. 2019, 60, 1335. [Google Scholar]
- Jia, Y.; Tan, O.; Tokayer, J.; Potsaid, B.; Wang, Y.; Liu, J.J.; Kraus, M.F.; Subhash, H.; Fujimoto, J.G.; Hornegger, J. Split-spectrum amplitude-decorrelation angiography with optical coherence tomography. Opt. Express 2012, 20, 4710–4725. [Google Scholar] [CrossRef] [PubMed]
- Dubra, A.; Sulai, Y. Reflective afocal broadband adaptive optics scanning ophthalmoscope. Biomed. Opt. Express 2011, 2, 1757–1768. [Google Scholar] [CrossRef] [PubMed]
- Onishi, A.C.; Roberts, P.K.; Jampol, L.M.; Nesper, P.L.; Fawzi, A.A. Characterization and correlation of “Jampol dots” on adaptive optics with foveal granularity on conventional fundus imaging. Retina 2019, 39, 235–246. [Google Scholar] [CrossRef] [PubMed]
- Cooper, R.F.; Sulai, Y.N.; Dubis, A.M.; Chui, T.Y.; Rosen, R.B.; Michaelides, M.; Dubra, A.; Carroll, J. Effects of intraframe distortion on measures of cone mosaic geometry from adaptive optics scanning light ophthalmoscopy. Transl. Vis. Sci. Technol. 2016, 5, 10. [Google Scholar] [CrossRef]
- Scoles, D.; Sulai, Y.N.; Langlo, C.S.; Fishman, G.A.; Curcio, C.A.; Carroll, J.; Dubra, A. In vivo imaging of human cone photoreceptor inner segments. Investig. Ophthalmol. Vis. Sci. 2014, 55, 4244–4251. [Google Scholar] [CrossRef]
- Gantner, M.L.; Eade, K.; Wallace, M.; Handzlik, M.K.; Fallon, R.; Trombley, J.; Bonelli, R.; Giles, S.; Harkins-Perry, S.; Heeren, T.F. Serine and lipid metabolism in macular disease and peripheral neuropathy. N. Engl. J. Med. 2019, 381, 1422–1433. [Google Scholar] [CrossRef]
- Zhang, T.; Gillies, M.C.; Madigan, M.C.; Shen, W.; Du, J.; Grünert, U.; Zhou, F.; Yam, M.; Zhu, L. Disruption of de novo serine synthesis in müller cells induced mitochondrial dysfunction and aggravated oxidative damage. Mol. Neurobiol. 2018, 55, 7025–7037. [Google Scholar] [CrossRef]
- Scerri, T.S.; Quaglieri, A.; Cai, C.; Zernant, J.; Matsunami, N.; Baird, L.; Scheppke, L.; Bonelli, R.; Yannuzzi, L.A.; Friedlander, M. Genome-wide analyses identify common variants associated with macular telangiectasia type 2. Nat. Genet. 2017, 49, 559–567. [Google Scholar] [CrossRef]
- Zhang, T.; Zhu, L.; Madigan, M.C.; Liu, W.; Shen, W.; Cherepanoff, S.; Zhou, F.; Zeng, S.; Du, J.; Gillies, M.C. Human macular Müller cells rely more on serine biosynthesis to combat oxidative stress than those from the periphery. Elife 2019, 8, e43598. [Google Scholar] [CrossRef]





| Subject | Age (Years) | Sex | Laterality | BCVA | OCT Stage |
|---|---|---|---|---|---|
| 1 | 43 | F | OS | 20/25 | 0 |
| 2 | 68 | M | OS | 20/25 | 0 |
| 3 | 52 | F | OS | 20/25 | 0 |
| 4 | 60 | F | OS | 20/32 | 1 |
| 5 | 61 | F | OD | 20/20 | 1 |
| 6 | 59 | F | OS | 20/32 | 2 |
| 7 | 68 | M | OD | 20/20 | 2 |
| 8 | 48 | M | OD | 20/20 | 2 |
© 2020 by the authors. Licensee MDPI, Basel, Switzerland. This article is an open access article distributed under the terms and conditions of the Creative Commons Attribution (CC BY) license (http://creativecommons.org/licenses/by/4.0/).
Share and Cite
Zandi, R.; Song, J.; Micevych, P.S.; Fawzi, A.A. Topographic Relationship between Telangiectasia and Cone Mosaic Disruption in Macular Telangiectasia Type 2. J. Clin. Med. 2020, 9, 3149. https://doi.org/10.3390/jcm9103149
Zandi R, Song J, Micevych PS, Fawzi AA. Topographic Relationship between Telangiectasia and Cone Mosaic Disruption in Macular Telangiectasia Type 2. Journal of Clinical Medicine. 2020; 9(10):3149. https://doi.org/10.3390/jcm9103149
Chicago/Turabian StyleZandi, Roya, Jessica Song, Paul S. Micevych, and Amani A. Fawzi. 2020. "Topographic Relationship between Telangiectasia and Cone Mosaic Disruption in Macular Telangiectasia Type 2" Journal of Clinical Medicine 9, no. 10: 3149. https://doi.org/10.3390/jcm9103149
APA StyleZandi, R., Song, J., Micevych, P. S., & Fawzi, A. A. (2020). Topographic Relationship between Telangiectasia and Cone Mosaic Disruption in Macular Telangiectasia Type 2. Journal of Clinical Medicine, 9(10), 3149. https://doi.org/10.3390/jcm9103149

