Fimasartan for Remodeling after Myocardial Infarction
Abstract
1. Introduction
2. Materials and Methods
2.1. Animal Experiment
2.2. Echocardiography
2.3. Hemodynamic Measurements
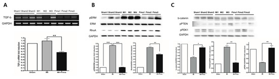
2.4. Western Blot Analysis
2.5. Real-Time Polymerase Chain Reaction
2.6. Microarray Analysis
2.7. Statistical Analysis
3. Results
3.1. Animals
3.2. Echocardiographic and Hemodynamic Findings
3.3. Heart weight and Infarct Size
3.4. Transcriptional Changes in Molecular Pathways
3.5. Effect of Fimasartan on Molecular Biology Level
4. Discussion
5. Conclusions
Author Contributions
Acknowledgments
Conflicts of Interest
References
- Ambrosy, A.P.; Fonarow, G.C.; Butler, J.; Chioncel, O.; Greene, S.J.; Vaduganathan, M.; Nodari, S.; Lam, C.S.P.; Sato, N.; Shah, A.N.; et al. The global health and economic burden of hospitalizations for heart failure: Lessons learned from hospitalized heart failure registries. J. Am. Coll. Cardiol. 2013, 63, 1123–1133. [Google Scholar] [CrossRef] [PubMed]
- Lee, S.E.; Lee, H.Y.; Cho, H.J.; Choe, W.S.; Kim, H.; Choi, J.O.; Jeon, E.S.; Kim, M.S.; Kim, J.J.; Hwang, K.K.; et al. Clinical Characteristics and Outcome of Acute Heart Failure in Korea: Results from the Korean Acute Heart Failure Registry (KorAHF). Korean Circ. J. 2017, 47, 341–353. [Google Scholar] [CrossRef] [PubMed]
- Chang, S.A.; Lim, B.K.; Lee, Y.J.; Hong, M.K.; Choi, J.O.; Jeon, E.S. A Novel Angiotensin Type I Receptor Antagonist, Fimasartan, Prevents Doxorubicin-induced Cardiotoxicity in Rats. J. Korean Med. Sci. 2015, 30, 559–568. [Google Scholar] [CrossRef] [PubMed]
- Schieffer, B.; Wirger, A.; Meybrunn, M.; Seitz, S.; Holtz, J.; Riede, U.N.; Drexler, H. Comparative effects of chronic angiotensin-converting enzyme inhibition and angiotensin II type 1 receptor blockade on cardiac remodeling after myocardial infarction in the rat. Circulation 1994, 89, 2273–2282. [Google Scholar] [CrossRef] [PubMed]
- Yusuf, S.; Pfeffer, M.A.; Swedberg, K.; Granger, C.B.; Held, P.; McMurray, J.J.; Michelson, E.L.; Olofsson, B.; Ostergren, J.; CHARM Investigators and Committees. Effects of candesartan in patients with chronic heart failure and preserved left-ventricular ejection fraction: The CHARM-Preserved Trial. Lancet 2003, 362, 777–781. [Google Scholar] [CrossRef]
- Kim, J.H.; Lee, J.H.; Paik, S.H.; Chi, Y.H. Fimasartan, a novel angiotensin II receptor antagonist. Arch. Pharm. Res. 2012, 35, 1123–1126. [Google Scholar] [CrossRef] [PubMed]
- Sim, D.S.; Jeong, M.H.; Song, H.C.; Kim, J.; Chong, A.; Bom, H.S.; Jeong, I.S.; Oh, S.G.; Kim, J.M.; Park, D.S.; et al. Cardioprotective effect of fimasartan, a new angiotensin receptor blocker, in a porcine model of acute myocardial infarction. J. Korean Med. Sci. 2015, 30, 34–43. [Google Scholar] [CrossRef] [PubMed]
- Correa, F.; Soto, V.; Zazueta, C. Mitochondrial permeability transition relevance for apoptotic triggering in the post-ischemic heart. Int. J. Biochem. Cell. Biol. 2007, 39, 787–798. [Google Scholar] [CrossRef] [PubMed]
- Di Lisa, F.; Menabo, R.; Canton, M.; Barile, M.; Bernardi, P. Opening of the mitochondrial permeability transition pore causes depletion of mitochondrial and cytosolic NAD+ and is a causative event in the death of myocytes in postischemic reperfusion of the heart. J. Biol. Chem. 2001, 276, 2571–2575. [Google Scholar] [CrossRef] [PubMed]
- Gottdiener, J.S.; Bednarz, J.; Devereux, R.; Gardin, J.; Klein, A.; Manning, W.J.; Morehead, A.; Kitzman, D.; Oh, J.; Quinones, M.; et al. American Society of Echocardiography recommendations for use of echocardiography in clinical trials. J. Am. Soc. Echocardiogr. 2004, 17, 1086–1119. [Google Scholar] [CrossRef] [PubMed]
- Speyer, J.L.; Green, M.D.; Kramer, E.; Rey, M.; Sanger, J.; Ward, C.; Dubin, N.; Ferrans, V.; Stecy, P.; Zeleniuch-Jacquotte, A. Protective effect of the bispiperazinedione ICRF-187 against doxorubicin-induced cardiac toxicity in women with advanced breast cancer. N. Engl. J. Med. 1988, 319, 745–752. [Google Scholar] [CrossRef] [PubMed]
- Han, J.; Park, S.J.; Thu, V.T.; Lee, S.R.; Long le, T.; Kim, H.K.; Kim, N.; Park, S.W.; Jeon, E.S.; Kim, E.J.; et al. Effects of the novel angiotensin II receptor type I antagonist, fimasartan on myocardial ischemia/reperfusion injury. Int. J. Cardiol. 2013, 168, 2851–2859. [Google Scholar] [CrossRef] [PubMed]
- Subramanian, A.; Tamayo, P.; Mootha, V.K.; Mukherjee, S.; Ebert, B.L.; Gillette, M.A.; Paulovich, A.; Pomeroy, S.L.; Golub, T.R.; Lander, E.S.; et al. Gene set enrichment analysis: A knowledge-based approach for interpreting genome-wide expression profiles. Proc. Natl. Acad. Sci. USA 2005, 102, 15545–15550. [Google Scholar] [CrossRef] [PubMed]
- Rivals, I.; Personnaz, L.; Taing, L.; Potier, M.C. Enrichment or depletion of a GO category within a class of genes: Which test? Bioinformatics 2007, 23, 401–407. [Google Scholar] [CrossRef] [PubMed]
- Kim, K.H.; Kim, Y.J.; Ohn, J.H.; Yang, J.; Lee, S.E.; Lee, S.W.; Kim, H.K.; Seo, J.W.; Sohn, D.W. Long-term effects of sildenafil in a rat model of chronic mitral regurgitation: Benefits of ventricular remodeling and exercise capacity. Circulation 2012, 125, 1390–1401. [Google Scholar] [CrossRef] [PubMed]
- Lee, S.E.; Kim, Y.J.; Lee, H.Y.; Yang, H.M.; Park, C.G.; Kim, J.J.; Kim, S.K.; Rhee, M.Y.; Oh, B.H.; Investigators. Efficacy and tolerability of fimasartan, a new angiotensin receptor blocker, compared with losartan (50/100 mg): A 12-week, phase III, multicenter, prospective, randomized, double-blind, parallel-group, dose escalation clinical trial with an optional 12-week extension phase in adult Korean patients with mild-to-moderate hypertension. Clin. Ther. 2012, 34, 552–568. [Google Scholar] [PubMed]
- Lee, H.; Yang, H.M.; Lee, H.Y.; Kim, J.J.; Choi, D.J.; Seung, K.B.; Jeon, E.S.; Ha, J.W.; Rim, S.J.; Park, J.B.; et al. Efficacy and tolerability of once-daily oral fimasartan 20 to 240 mg/d in Korean Patients with hypertension: Findings from Two Phase II, randomized, double-blind, placebo-controlled studies. Clin. Ther. 2012, 34, 1273–1289. [Google Scholar] [CrossRef] [PubMed]
- Kim, C.; Kim, M.Y.; Kang, D.R.; Kim, J.Y.; Park, J.B. The Efficacy of Fimasartan for Cardiovascular Events and Metabolic Syndrome (K-MetS Study): Rationale, Design and Participant Characteristics. Pulse (Basel) 2014, 1, 177–185. [Google Scholar] [CrossRef] [PubMed]
- Amsterdam, E.A.; Wenger, N.K.; Brindis, R.G.; Casey, D.E., Jr.; Ganiats, T.G.; Holmes, D.R., Jr.; Jaffe, A.S.; Jneid, H.; Kelly, R.F.; Kontos, M.C.; et al. 2014 AHA/ACC Guideline for the Management of Patients with Non-ST-Elevation Acute Coronary Syndromes: A report of the American College of Cardiology/American Heart Association Task Force on Practice Guidelines. J. Am. Coll. Cardiol. 2014, 64, e139–e228. [Google Scholar] [CrossRef] [PubMed]
- Shimokawa, H. Rho-kinase as a novel therapeutic target in treatment of cardiovascular diseases. J. Cardiovasc. Pharmacol. 2002, 39, 319–327. [Google Scholar] [CrossRef] [PubMed]
- Shimokawa, H. Cellular and molecular mechanisms of coronary artery spasm: Lessons from animal models. Jpn. Circ. J. 2000, 64, 1–12. [Google Scholar] [CrossRef] [PubMed]
- Mukai, Y.; Shimokawa, H.; Matoba, T.; andabashi, T.; Satoh, S.; Hiroki, J.; Kaibuchi, K.; Takeshita, A. Involvement of Rho-kinase in hypertensive vascular disease: A novel therapeutic target in hypertension. FASEB J. 2001, 15, 1062–1064. [Google Scholar] [CrossRef] [PubMed]
- Miyata, K.; Shimokawa, H.; Kandabashi, T.; Higo, T.; Morishige, K.; Eto, Y.; Egashira, K.; Kaibuchi, K.; Takeshita, A. Rho-kinase is involved in macrophage-mediated formation of coronary vascular lesions in pigs in vivo. Arterioscler. Thromb. Vasc. Biol. 2000, 20, 2351–2358. [Google Scholar] [CrossRef] [PubMed]
- Eto, Y.; Shimokawa, H.; Hiroki, J.; Morishige, K.; Kandabashi, T.; Matsumoto, Y.; Amano, M.; Hoshijima, M.; Kaibuchi, K.; Takeshita, A. Gene transfer of dominant negative Rho kinase suppresses neointimal formation after balloon injury in pigs. Am. J. Physiol. Heart. Circ. Physiol. 2000, 278, H1744–H1750. [Google Scholar] [CrossRef] [PubMed]
- Kobayashi, N.; Nakano, S.; Mita, S.; Kobayashi, T.; Honda, T.; Tsubokou, Y.; Matsuoka, H. Involvement of Rho-kinase pathway for angiotensin II-induced plasminogen activator inhibitor-1 gene expression and cardiovascular remodeling in hypertensive rats. J. Pharmacol. Exp. Ther. 2002, 301, 459–466. [Google Scholar] [CrossRef] [PubMed]
- Hattori, T.; Shimokawa, H.; Higashi, M.; Hiroki, J.; Mukai, Y.; Tsutsui, H.; Kaibuchi, K.; Takeshita, A. Long-term inhibition of Rho-kinase suppresses left ventricular remodeling after myocardial infarction in mice. Circulation 2004, 109, 2234–2249. [Google Scholar] [CrossRef] [PubMed]
- Qu, J.; Zhou, J.; Yi, X.P.; Dong, B.; Zheng, H.; Miller, L.M.; Wang, X.; Schneider, M.D.; Li, F. Cardiac-specific haploinsufficiency of beta-catenin attenuates cardiac hypertrophy but enhances fetal gene expression in response to aortic constriction. J. Mol. Cell. Cardiol. 2007, 43, 319–326. [Google Scholar] [CrossRef] [PubMed]
- Blankesteijn, W.M.; van de Schans, V.A.; ter Horst, P.; Smits, J.F. The Wnt/frizzled/GSK-3 beta pathway: A novel therapeutic target for cardiac hypertrophy. Trends Pharmacol. Sci. 2008, 29, 175–180. [Google Scholar] [CrossRef] [PubMed]
- van de Schans, V.A.; Smits, J.F.; Blankesteijn, W.M. The Wnt/frizzled pathway in cardiovascular development and disease: Friend or foe? Eur. J. Pharmacol. 2008, 585, 338–345. [Google Scholar] [CrossRef] [PubMed]






| Variables | Sham Group (n = 7) | MI-only Group (n = 13) | MI + Fima Group (n = 16) | P-Value |
|---|---|---|---|---|
| Baseline | ||||
| LVEDD, mm | 6.46 ± 0.66 | 6.50 ± 0.91 | 6.48 ± 0.47 | 0.99 |
| LVESD, mm | 3.16 ± 1.21 | 3.51 ± 1.14 | 3.04 ± 0.65 | 0.39 |
| IVSd, mm | 1.27 ± 0.15 | 1.14 ± 0.10 | 1.22 ± 0.11 | 0.034 |
| LVPWd, mm | 1.36 ± 0.13 | 1.19 ± 0.11 | 1.31 ± 0.13 | 0.007 |
| EF, % | 84.7 ± 11.1 | 80.8 ± 10.2 | 87.3 ± 6.31 | 0.127 |
| Week 1 | ||||
| LVEDD, mm | 7.27 ± 0.70 | 8.22 ± 1.31 | 8.29 ± 1.09 | 0.122 |
| LVESD, mm | 3.39 ± 1.18 | 5.53 ± 1.82 | 5.42 ± 1.15 | 0.006 |
| IVSd, mm | 1.34 ± 0.11 | 1.01 ± 0.21 | 1.05 ± 0.29 | 0.014 |
| LVPWd, mm | 1.36 ± 0.13 | 1.35 ± 0.12 | 1.31 ± 0.16 | 0.674 |
| EF, % | 87.3 ± 7.61 | 66.4 ± 16.4 | 69.1 ± 9.99 | 0.003 |
| Week 7 | ||||
| LVEDD, mm | 7.87 ± 0.44 | 9.91 ± 1.43 | 9.14 ± 1.11 | 0.002 |
| LVESD, mm | 4.19 ± 0.68 | 7.61 ± 1.84 | 6.14 ± 1.38 | <0.0001 |
| IVSd, mm | 1.39 ± 0.16 | 0.90 ± 0.35 | 1.14 ± 0.38 | 0.002 |
| LVPWd, mm | 1.47 ± 0.17 | 1.41 ± 0.21 | 1.36 ± 0.18 | 0.411 |
| EF, % | 82.6 ± 5.74 | 51.3 ± 14.8 | 66.3 ± 12.5 | <0.0001 |
| Variables | Sham Group (n = 4) | MI-only Group (n = 11) | MI + Fima Group (n = 11) | P-Value |
|---|---|---|---|---|
| HR, bpm | 264.3 ± 79.1 | 306.4 ± 55.8 | 307.9 ± 47.3 | 0.386 |
| ESV, μL | 241.9 ± 70.8 | 337.2 ± 67.0 | 344.7 ± 50.8 | 0.023 |
| EDV, μL | 343.6 ± 114.5 | 368.2 ± 64.6 | 377.8 ± 55.6 | 0.707 |
| SV, μL | 120.8 ± 59.9 | 53.2 ± 19.6 | 76.1 ± 28.5 | 0.005 |
| +dP/dt, mmHg/s | 5456.0 ± 402.7 | 3957.3 ± 907.7 | 4800.8 ± 1354.5 | 0.054 |
| −dP/dt, mmHg/s | 4990.3 ± 1030.7 | 3614.0 ± 1004.9 | 4839.2 ± 1776.5 | 0.094 |
| ESPVR, mmHg/μL | 0.75 ± 0.54 | 1.00 ± 0.61 | 0.78 ± 0.31 | 0.509 |
| EDPVR, mmHg/μL | 0.04 ± 0.01 | 0.09 ± 0.06 | 0.08 ± 0.07 | 0.512 |
© 2019 by the authors. Licensee MDPI, Basel, Switzerland. This article is an open access article distributed under the terms and conditions of the Creative Commons Attribution (CC BY) license (http://creativecommons.org/licenses/by/4.0/).
Share and Cite
Lim, B.-K.; Park, J.J.; Park, S.-J.; Lee, Y.-J.; Kwon, J.-S.; Kim, E.-J.; Choi, D.-J. Fimasartan for Remodeling after Myocardial Infarction. J. Clin. Med. 2019, 8, 366. https://doi.org/10.3390/jcm8030366
Lim B-K, Park JJ, Park S-J, Lee Y-J, Kwon J-S, Kim E-J, Choi D-J. Fimasartan for Remodeling after Myocardial Infarction. Journal of Clinical Medicine. 2019; 8(3):366. https://doi.org/10.3390/jcm8030366
Chicago/Turabian StyleLim, Byung-Kwan, Jin Joo Park, Sung-Ji Park, You-Jung Lee, Jin-Sook Kwon, Eun-Ji Kim, and Dong-Ju Choi. 2019. "Fimasartan for Remodeling after Myocardial Infarction" Journal of Clinical Medicine 8, no. 3: 366. https://doi.org/10.3390/jcm8030366
APA StyleLim, B.-K., Park, J. J., Park, S.-J., Lee, Y.-J., Kwon, J.-S., Kim, E.-J., & Choi, D.-J. (2019). Fimasartan for Remodeling after Myocardial Infarction. Journal of Clinical Medicine, 8(3), 366. https://doi.org/10.3390/jcm8030366

