Scrotal Pyoderma Gangrenosum Associated with Evans Syndrome
Abstract
:1. Introduction
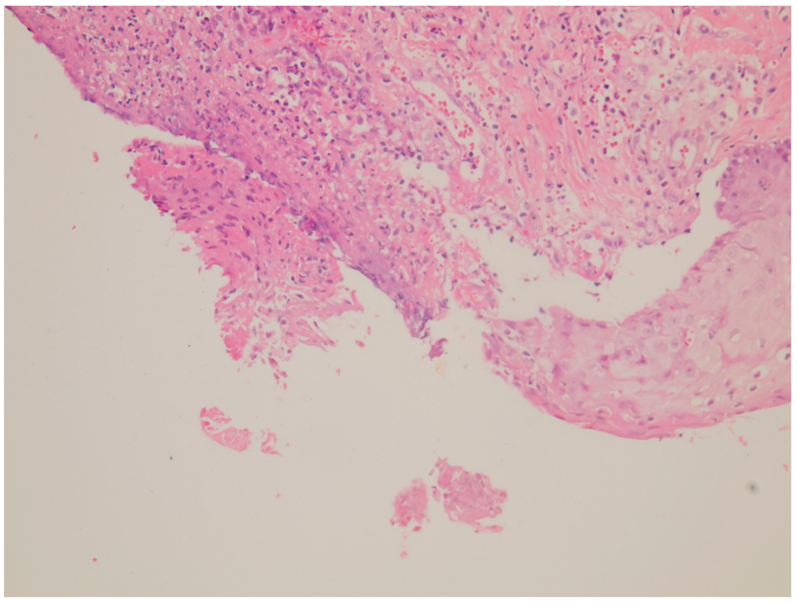
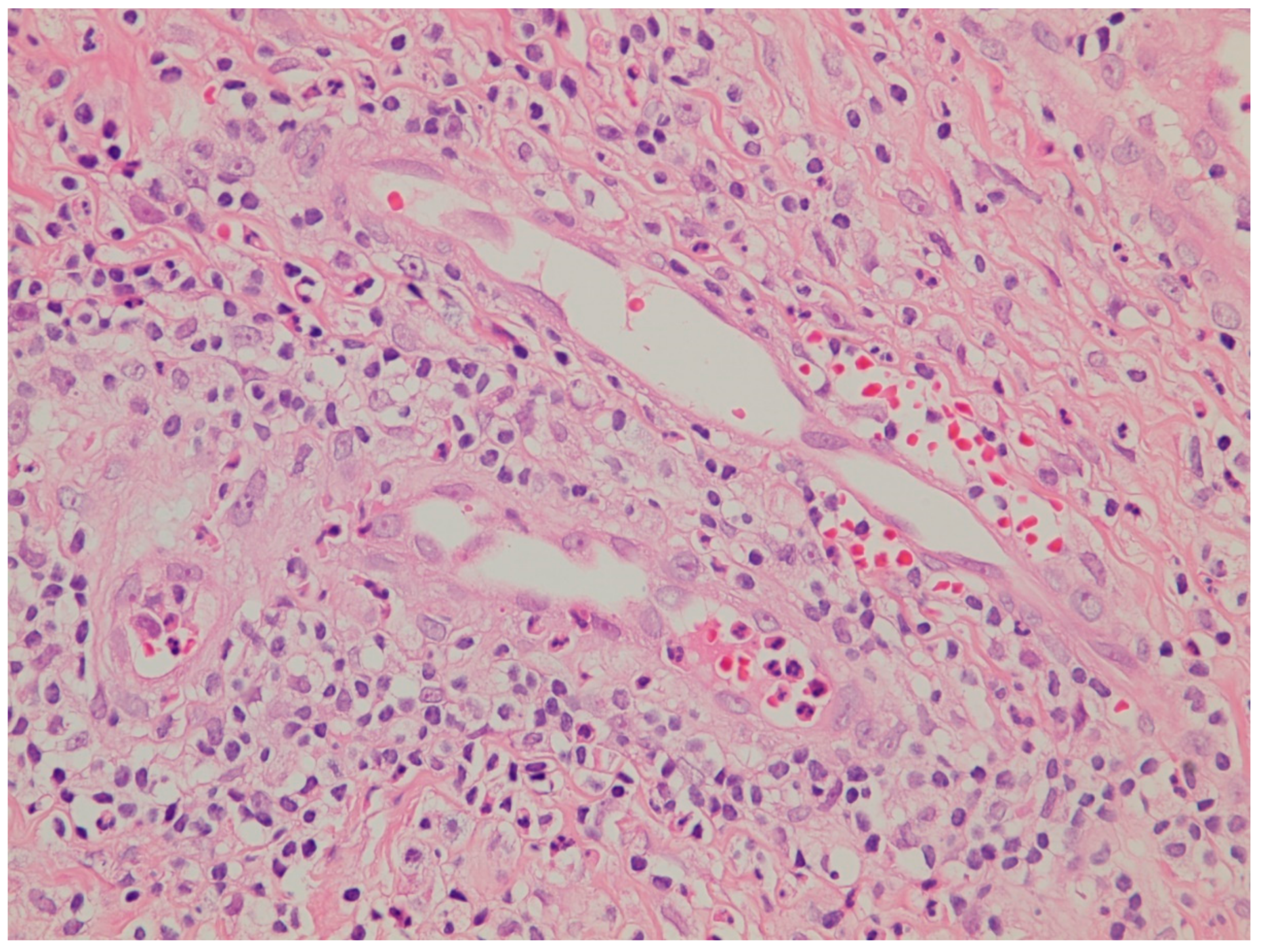
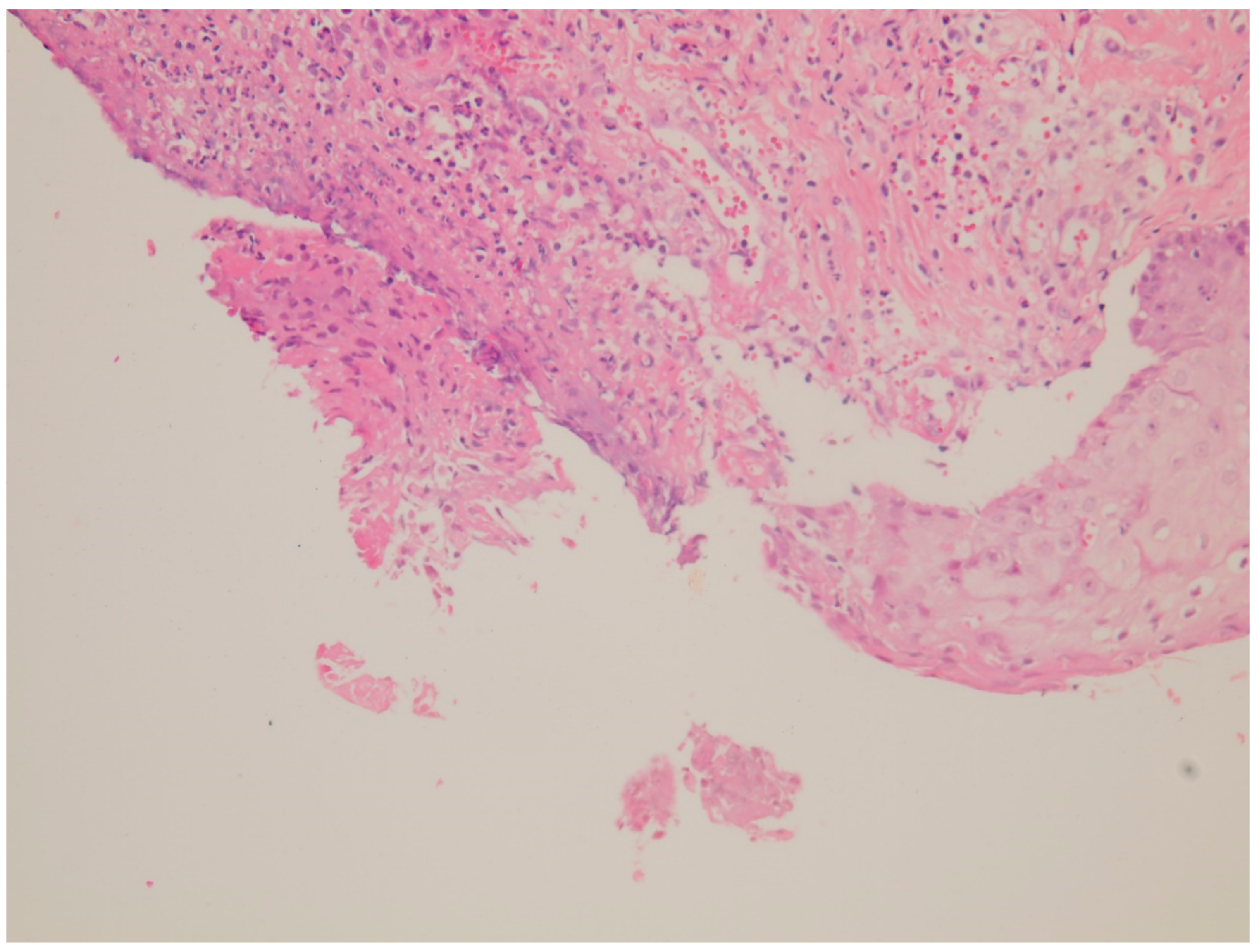
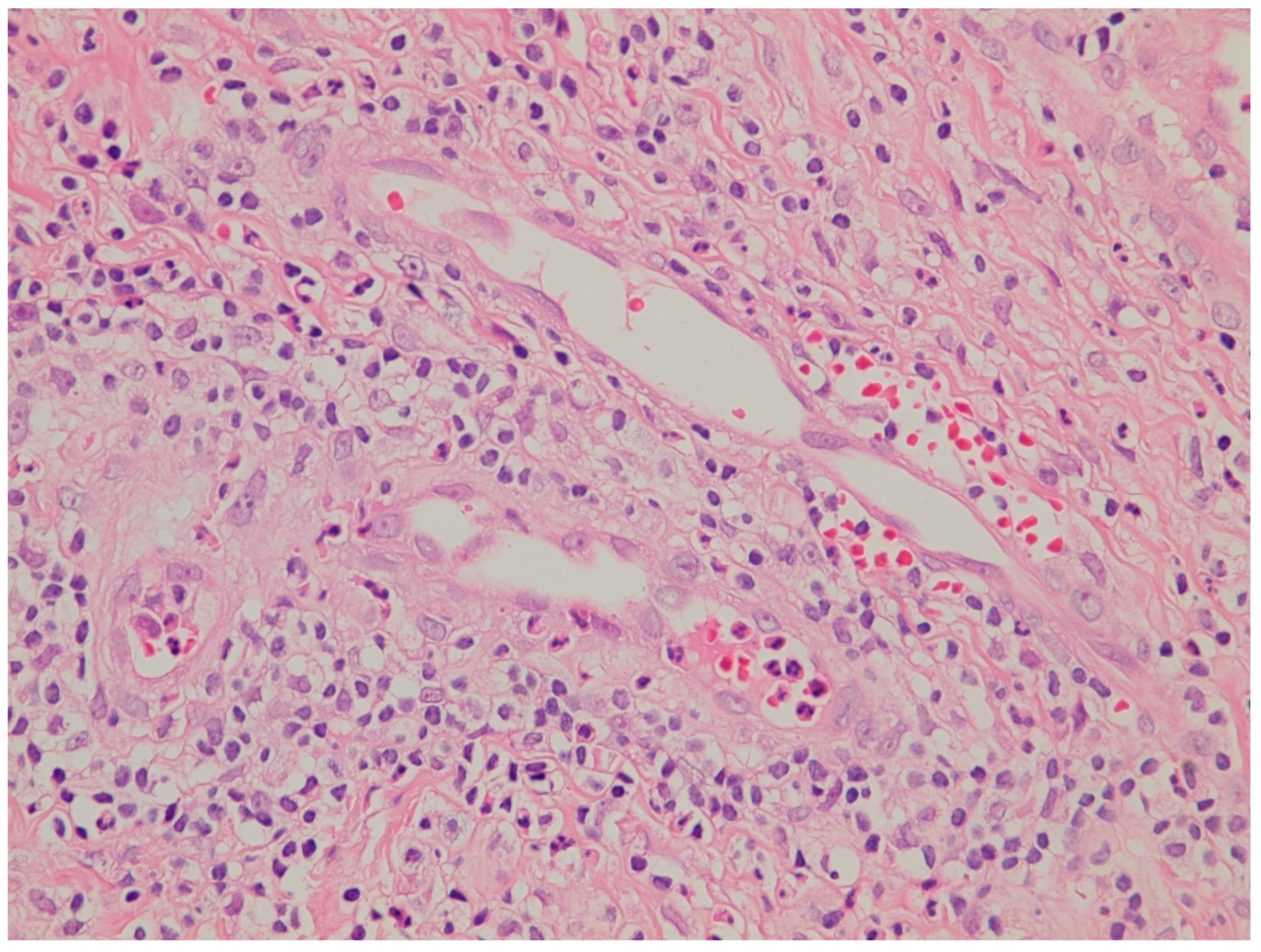
2. Case Report
3. Discussion
4. Conclusions
Author Contributions
Funding
Conflicts of Interest
References
- Dabade, T.S.; Davis, M.D. Diagnosis and treatment of the neutrophilic dermatoses (pyoderma gangrenosum, Sweet’s syndrome). Dermatol. Ther. 2011, 24, 273–284. [Google Scholar] [CrossRef] [PubMed]
- Kim, J.W.; Park, J.H.; Lee, D.; Hwang, S.W.; Park, S.W. Vegetative pyoderma gangrenosum in Behcet’s disease. Acta. Derm. Venereol. 2007, 87, 365–367. [Google Scholar] [CrossRef] [PubMed]
- Kridin, K.; Cohen, A.D.; Amber, K.T. Underlying Systemic Diseases in Pyoderma Gangrenosum: A Systematic Review and Meta-Analysis. Am. J. Clin. Dermatol. 2018, 19, 479–487. [Google Scholar] [CrossRef] [PubMed]
- Jaime-Perez, J.C.; Guerra-Leal, L.N.; Lopez-Razo, O.N.; Méndez-Ramírez, N.; Gómez-Almaguer, D. Experience with Evans syndrome in an academic referral center. Rev. Bras. Hematol. Hemoter. 2015, 37, 230–235. [Google Scholar] [CrossRef] [PubMed]
- Costallat, G.L.; Appenzeller, S.; Costallat, L.T. Evans syndrome and systemic lupus erythematosus: Clinical presentation and outcome. Joint Bone Spine 2012, 79, 362–364. [Google Scholar] [CrossRef] [PubMed]
- Martinez-Valdez, L.; Deya-Martinez, A.; Giner, M.T.; Berrueco, R.; Esteve-Solé, A.; Juan, M.; Plaza-Martín, A.M.; Alsina, L. Evans Syndrome as First Manifestation of Primary Immunodeficiency in Clinical Practice. J. Pediatr. Hematol. Oncol. 2017, 39, 490–494. [Google Scholar] [CrossRef] [PubMed]
- Antoon, J.W.; Metropulos, D.; Joyner, B.L., Jr. Evans Syndrome Secondary to Common Variable Immune Deficiency. J. Pediatr. Hematol. Oncol. 2016, 38, 243–245. [Google Scholar] [CrossRef] [PubMed]
- Ho, S.A.; Tan, W.P.; Tan, A.W.; Wong, S.N.; Chua, S.H. Scrotal pyoderma gangrenosum associated with Crohn’s disease. Singap. Med. J. 2009, 50, e397–e400. [Google Scholar]
- Satoh, M.; Yamamoto, T. Genital pyoderma gangrenosum: Report of two cases and published work review of Japanese cases. J. Dermatol. 2013, 40, 840–843. [Google Scholar] [CrossRef] [PubMed]
- Farrell, A.M.; Black, M.M.; Bracka, A.; Bunker, C.B. Pyoderma gangrenosum of the penis. Br. J. Dermatol. 1998, 138, 337–340. [Google Scholar] [CrossRef] [PubMed]
- Aviles-Izquierdo, J.A.; Suarez-Fernandez, R.; Lazaro-Ochaita, P.; Longo-Imedio, I. Metastatic Crohn’s disease mimicking genital pyoderma gangrenosum in an HIV patient. Acta Derm. Venereol. 2005, 85, 60–62. [Google Scholar] [CrossRef] [PubMed]
- Roche, L.; Gulman, C.; O’Kane, M. A case of genital pyoderma gangrenosum successfully treated with cyclosporine without relapse of established follicular lymphoma. JAAD Case Rep. 2018, 4, 474–476. [Google Scholar] [CrossRef] [PubMed]
- Marzano, A.V.; Ortega-Loayza, A.G.; Ceccherini, I.; Cugno, M. LPIN2 gene mutation in a patient with overlapping neutrophilic disease (pyoderma gangrenosum and aseptic abscess syndrome). JAAD Case Rep. 2018, 4, 120–122. [Google Scholar] [CrossRef] [PubMed]
- Ozuguz, P.; Kacar, S.D.; Manav, V.; Karaca, S.; Aktepe, F.; Ulu, S. Genital Ulcerative Pyoderma Gangrenosum in Behcet’s Disease: A Case Report and Review of the Literature. Indian J. Dermatol. 2015, 60, 105. [Google Scholar] [CrossRef] [PubMed]
- Tsuboi, H. Case of pyoderma gangrenosum showing oral and genital ulcers, misdiagnosed as Behcet’s disease at first medical examination. J. Dermatol. 2008, 35, 289–292. [Google Scholar] [CrossRef] [PubMed]
- Perricone, G.; Vangeli, M. Pyoderma Gangrenosum in Ulcerative Colitis. N. Engl. J. Med. 2018, 379, e7. [Google Scholar] [CrossRef] [PubMed]
- Kim, D.W.; Lee, B.I.; Park, S.H. Accelerated healing of pyoderma gangrenosum in Behcet patient treated with cyclosporine and split thickness skin graft. Ann. Plast. Surg. 2008, 61, 552–554. [Google Scholar] [CrossRef] [PubMed]
- Saint-Georges, V.; Peternel, S.; Kastelan, M.; Brajac, I. Tumor Necrosis Factor Antagonists in the Treatment of Pyoderma Gangrenosum, Acne, and Suppurative Hidradenitis (PASH) Syndrome. Acta. Dermatovenerol. Croat. 2018, 26, 173–178. [Google Scholar] [PubMed]
- Jasinski, S.; Weinblatt, M.E.; Glasser, C.L. Sirolimus as an Effective Agent in the Treatment of Immune Thrombocytopenia (ITP) and Evans Syndrome (ES): A Single Institution’s Experience. J. Pediatr. Hematol. Oncol. 2017, 39, 420–424. [Google Scholar] [CrossRef] [PubMed]
- Ducassou, S.; Leverger, G.; Fernandes, H.; Chambost, H.; Bertrand, Y.; Armari-Alla, C.; Nelken, B.; Monpoux, F.; Guitton, C.; Leblanc, T.; et al. Benefits of rituximab as a second-line treatment for autoimmune haemolytic anaemia in children: A prospective French cohort study. Br. J. Haematol. 2017, 177, 751–758. [Google Scholar] [CrossRef] [PubMed]




| Autoimmune diseases | Crohn’s disease |
| Ulcerative colitis | |
| Behcet’s disease | |
| Dermatomyositis. | |
| LPIN2 gene mutation related autoinflammatory syndrome | |
| Hematologic diseases | Myelodysplastic syndrome |
| Evans syndrome | |
| Malignancy | Lymphoma |
| Acute myeloid leukemia | |
| Cutaneous squamous cell carcinoma | |
| Prostate cancer | |
| Infection | human immunodeficiency virus |
| Hepatitis C infection | |
| Tuberculosis | |
| Drugs | Rituximab |
| Infliximab |
© 2018 by the authors. Licensee MDPI, Basel, Switzerland. This article is an open access article distributed under the terms and conditions of the Creative Commons Attribution (CC BY) license (http://creativecommons.org/licenses/by/4.0/).
Share and Cite
Yang, D.-H.; Yang, M.-Y. Scrotal Pyoderma Gangrenosum Associated with Evans Syndrome. J. Clin. Med. 2018, 7, 230. https://doi.org/10.3390/jcm7090230
Yang D-H, Yang M-Y. Scrotal Pyoderma Gangrenosum Associated with Evans Syndrome. Journal of Clinical Medicine. 2018; 7(9):230. https://doi.org/10.3390/jcm7090230
Chicago/Turabian StyleYang, Deng-Ho, and Meng-Yin Yang. 2018. "Scrotal Pyoderma Gangrenosum Associated with Evans Syndrome" Journal of Clinical Medicine 7, no. 9: 230. https://doi.org/10.3390/jcm7090230
APA StyleYang, D.-H., & Yang, M.-Y. (2018). Scrotal Pyoderma Gangrenosum Associated with Evans Syndrome. Journal of Clinical Medicine, 7(9), 230. https://doi.org/10.3390/jcm7090230

