Gastrodoudenal Embolization: Indications, Technical Pearls, and Outcomes
Abstract
:1. Introduction
2. Anatomy and Embryology of Gastroduodenal Artery
3. GDA Embolization in Gastrointestinal Bleeding
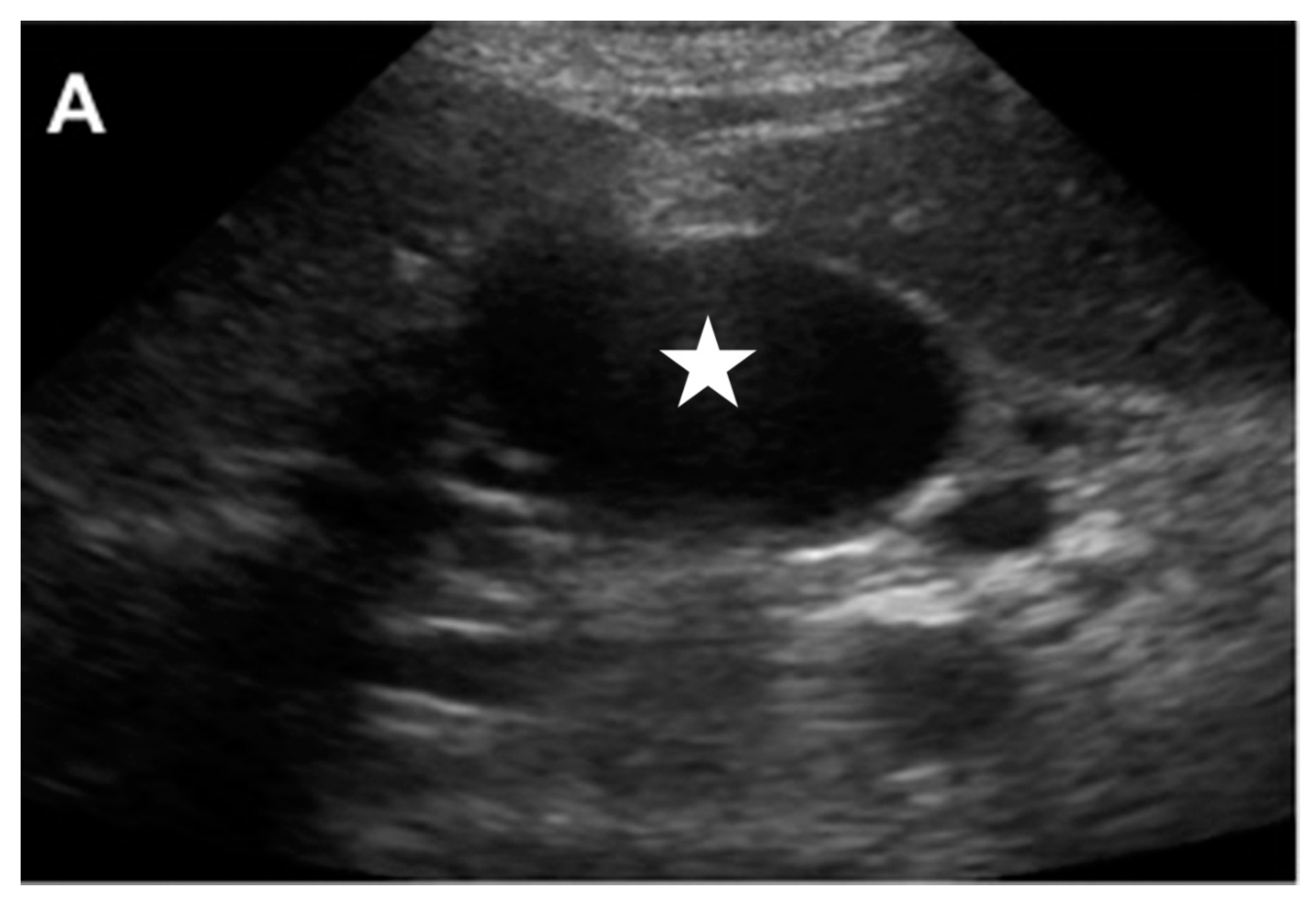
4. GDA Pseudoaneurysm Embolization
5. Pre-Y-90 GDA Embolization
6. Complications of GDA Embolization
7. Conclusions
Author Contributions
Conflicts of Interest
References
- Samuel, R.; Bilal, M.; Tayyem, O.; Guturu, P. Evaluation and management of gastrointestinal bleeding. Dis. Mon. 2018. [Google Scholar] [CrossRef] [PubMed]
- Beggs, A.D.; Dilworth, M.P.; Powell, S.L.; Atherton, H.; Griffiths, E.A. A systematic review of transarterial embolization versus emergency surgery in treatment of major nonvariceal upper gastrointestinal bleeding. Clin. Exp. Gastroenterol. 2014, 7, 93–104. [Google Scholar] [CrossRef] [PubMed]
- Edeline, J.; Gilabert, M.; Garin, E.; Boucher, E.; Raoul, J.L. Yttrium-90 microsphere radioembolization for hepatocellular carcinoma. Liver Cancer 2015, 4, 16–25. [Google Scholar] [CrossRef] [PubMed]
- Som, P.; Grapin-Botton, A. The Current Embryology of the Foregut and Its Derivatives. Neurographics 2016, 6, 43–63. [Google Scholar] [CrossRef]
- Lin, H.P.; Chaikof, E.L. Embryology, anatomy, and surgical exposure of the great abdominal vessels. Surg. Clin. N. Am. 2000, 80, 417–433. [Google Scholar] [CrossRef]
- Standring, S. Section 8, Abdomen and Pelvis. In Gray’s Anatomy E-Book: The Anatomical Basis of Clinical Practice, 41st ed.; Elsevier Health Sciences: New York, NY, USA, 2015. [Google Scholar]
- Ozbulbul, N.I. CT angiography of the celiac trunk: Anatomy, variants and pathologic findings. Diagn. Interv. Radiol. 2011, 17, 150–157. [Google Scholar] [PubMed]
- Peery, A.F.; Crockett, S.D.; Barritt, A.S.; Dellon, E.S.; Eluri, S.; Gangarosa, L.M.; Jensen, E.T.; Lund, J.L.; Pasricha, S.; Runge, T.; et al. Burden of gastrointestinal, liver, and pancreatic diseases in the United States. Gastroenterology 2015, 149, 1731–1741. [Google Scholar] [CrossRef] [PubMed]
- Haruta, I.; Isobe, Y.; Ueno, E.; Toda, J.; Mitsunaga, A.; Noguchi, S.; Kimura, T.; Shimizu, K.; Yamauchi, K.; Hayashi, N. Balloon-occluded retrograde transvenous obliteration (BRTO), a promising nonsurgical therapy for ectopic varices: A case report of successful treatment of duodenal varices by BRTO. Am. J. Gastroenterol. 1996, 91, 2591–2597. [Google Scholar]
- Monescillo, A.; Martínez-Lagares, F.; Ruiz-Del-Arbol, L.; Sierra, A.; Guevara, C.; Jiménez, E.; Marrero, J.M.; Buceta, E.; Sánchen, J.; Castellot, A.; et al. Influence of portal hypertension and its early decompression by TIPS placement on the outcome of variceal bleeding. Hepatology 2004, 40, 793–801. [Google Scholar] [CrossRef] [PubMed]
- Pang, S.; Leung, W.; Graham, D. Ulcers and gastritis. Endoscopy 2008, 40, 136–139. [Google Scholar] [CrossRef] [PubMed]
- Rotondano, G. Epidemiology and diagnosis of acute nonvariceal upper gastrointestinal bleeding. Gastroenterol. Clin. 2014, 43, 643–663. [Google Scholar] [CrossRef] [PubMed]
- Szura, M.; Pasternak, A. Upper non-variceal gastrointestinal bleeding-review the effectiveness of endoscopic hemostasis methods. World J. Gastrointest. Endosc. 2015, 7, 1088. [Google Scholar] [CrossRef] [PubMed]
- Levine, J.; Leontiadis, G.I.; Sharma, V.K.; Howden, C.W. Meta-analysis: The efficacy of intravenous H2-receptor antagonists in bleeding peptic ulcer. Aliment. Pharmacol. Ther. 2002, 16, 1137–1142. [Google Scholar] [CrossRef] [PubMed]
- Hwang, J.H.; Fisher, D.A.; Ben-Menachem, T.; Chandrasekhara, V.; Chathadi, K.; Decker, G.A.; Early, D.S.; Evans, J.A.; Fanelli, R.D.; Foley, K.; et al. The role of endoscopy in the management of acute non-variceal upper GI bleeding. Gastrointest. Endosc. 2012, 75, 1132–1138. [Google Scholar] [CrossRef] [PubMed]
- Barkun, A.N.; Martel, M.; Toubouti, Y.; Rahme, E.; Bardou, M. Endoscopic hemostasis in peptic ulcer bleeding for patients with high-risk lesions: A series of meta-analyses. Gastrointest. Endosc. 2009, 69, 786–799. [Google Scholar] [CrossRef] [PubMed]
- Sung, J.J.; Tsoi, K.K.; Lai, L.H.; Wu, J.C.; Lau, J.Y. Endoscopic clipping versus injection and thermo-coagulation in the treatment of bleeding non-variceal upper gastrointestinal bleeding: A meta-analysis. Gut 2007. [Google Scholar] [CrossRef] [PubMed]
- Eriksson, L.G.; Ljungdahl, M.; Sundbom, M.; Nyman, R. Transcatheter arterial embolization versus surgery in the treatment of upper gastrointestinal bleeding after therapeutic endoscopy failure. J. Vasc. Interv. Radiol. 2008, 19, 1413–1418. [Google Scholar] [CrossRef] [PubMed]
- Poultsides, G.A.; Kim, C.J.; Orlando, R., 3rd; Peros, G.; Hallisey, M.J.; Vignati, P.V. Angiographic embolization for gastroduodenal hemorrhage: Safety, efficacy, and predictors of outcome. Arch. Surg. 2008, 143, 457–461. [Google Scholar] [CrossRef] [PubMed]
- Craenen, E.M.; Hofker, H.S.; Peters, F.T.; Kater, G.M.; Glatman, K.R.; Zijlstra, J.G. An upper gastrointestinal ulcer still bleeding after endoscopy: What comes next? Neth. J. Med. 2013, 71, 355–358. [Google Scholar] [PubMed]
- Shin, J.H. Recent update of embolization of upper gastrointestinal tract bleeding. Korean J. Radiol. 2012, 13 (Suppl. 1), S31–S39. [Google Scholar] [CrossRef] [PubMed]
- Anil, G.; Tan, A.G.; Cheong, H.W.; Ng, K.S.; Teoh, W.C. Emergency gastroduodenal artery embolization by sandwich technique for angiographically obvious and oblivious, endotherapy failed bleeding duodenal ulcers. Clin. Radiol. 2012, 67, 468–475. [Google Scholar] [CrossRef] [PubMed]
- Lieberman, D.; Keller, F.; Katon, R.; Rosch, J. Arterial embolization for massive upper gastrointestinal tract bleeding in poor surgical candidates. Gastroenterology 1984, 86 Pt 1, 876–885. [Google Scholar] [PubMed]
- Ljungdahl, M.; Eriksson, L.G.; Nyman, R.; Gustavsson, S. Arterial embolisation in management of massive bleeding from gastric and duodenal ulcers. Eur. J. Surg. 2002, 168, 384–390. [Google Scholar] [CrossRef] [PubMed]
- Yap, F.Y.; Omene, B.O.; Patel, M.N.; Yohannan, T.; Minocha, J.; Knuttinen, M.G.; Owens, C.A.; Bui, J.T.; Gaba, R.C. Transcatheter embolotherapy for gastrointestinal bleeding: A single center review of safety, efficacy, and clinical outcomes. Dig. Dis. Sci. 2013, 58, 1976–1984. [Google Scholar] [CrossRef] [PubMed]
- El Hamel, A.; Parc, R.; Adda, G.; Bouteloup, P.; Huguet, C.; Malafosse, M. Bleeding pseudocysts and pseudoaneurysms in chronic pancreatitis. Br. J. Surg. 1991, 78, 1059–1063. [Google Scholar] [CrossRef] [PubMed]
- Kim, D.Y.; Joo, J.K.; Ryu, S.Y.; Kim, Y.J.; Kim, S.K.; Jung, Y.Y. Pseudoaneurysm of gastroduodenal artery following radical gastrectomy for gastric carcinoma patients. World J. Gastroenterol. 2003, 9, 2878. [Google Scholar] [CrossRef] [PubMed]
- Santos-Rancaño, R.; Antona, E.M.; Montero, J.V.M. A challenging case of a large gastroduodenal artery pseudoaneurysm after surgery of a peptic ulcer. Case Rep. Surg. 2015, 2015, 370937. [Google Scholar] [CrossRef] [PubMed]
- Otah, E.; Cushin, B.J.; Rozenblit, G.N.; Neff, R.; Otah, K.E.; Cooperman, A.M. Visceral artery pseudoaneurysms following pancreatoduodenectomy. Arch. Surg. 2002, 137, 55–59. [Google Scholar] [CrossRef] [PubMed]
- Volpi, M.A.; Voliovici, E.; Pinato, F.; Sciuto, F.; Figoli, L.; Diamant, M.; Perrone, L.R. Pseudoaneurysm of the gastroduodenal artery secondary to chronic pancreatitis. Ann.Vasc. Surg. 2010, 24, 1136.e7–1136.e11. [Google Scholar] [CrossRef] [PubMed]
- Naitoh, I.; Ando, T.; Shimohira, M.; Nakazawa, T.; Hayashi, K.; Okumura, F.; Miyabe, K.; Yoshida, M.; Togawa, H.; Sasaki, S.; et al. Hemosuccus pancreaticus associated with segmental arterial mediolysis successfully treated by transarterial embolization. JOP 2010, 110, 625–629. [Google Scholar]
- Yamakado, K.; Nakatsuka, A.; Tanaka, N.; Takano, K.; Matsumura, K.; Takeda, K. Transcatheter arterial embolization of ruptured pseudoaneurysms with coils and n-butyl cyanoacrylate. J. Vasc. Interv. Radiol. 2000, 11, 66–72. [Google Scholar] [CrossRef]
- Hashimoto, N.; Haji, S.; Nomura, H.; Kato, M.; Ohyanagi, H. Arterial hemorrhage by pseudoaneurysms following pancreatoduodenectomy. Hepat. Gastroenterol. 2004, 51, 1847–1848. [Google Scholar]
- Bloechle, C.; Izbicki, J.; Rashed, M.; El-Sefi, T.; Hosch, S.; Knoefel, W.; Rogiers, X.; Broelsch, C.E. Hemobilia: Presentation, diagnosis, and management. Am. J. Gastroenterol. 1994, 89, 1537–1540. [Google Scholar] [PubMed]
- Green, M.; Duell, R.; Johnson, C.; Jamieson, N. Haemobilia. Br. J. Surg. 2001, 88, 773–786. [Google Scholar] [CrossRef] [PubMed]
- Janne, P.; Bremen, J.; Bremer, A. Aneurysm of the gastroduodenal artery as a cause of hemobilia. Am. J. Surg. 1977, 133, 633–635. [Google Scholar] [CrossRef]
- Srivastava, D.N.; Sharma, S.; Pal, S.; Thulkar, S.; Seith, A.; Bandhu, S.; Pande, G.K.; Sahni, P. Transcatheter arterial embolization in the management of hemobilia. Abdom. Imaging 2006, 31, 439–448. [Google Scholar] [CrossRef] [PubMed]
- Gbolahan, O.B.; Schacht, M.A.; Beckley, E.W.; LaRoche, T.P.; O’Neil, B.H.; Pyko, M. Locoregional and systemic therapy for hepatocellular carcinoma. J. Gastrointest. Oncol. 2017, 8, 215–228. [Google Scholar] [CrossRef] [PubMed]
- Lewandowski, R.J.; Sato, K.T.; Atassi, B.; Ryu, R.K.; Nemcek, A.A., Jr.; Kulik, L.; Geschwind, J.-F.; Murthy, R.; Rilling, W.; Liu, D. Radioembolization with 90Y microspheres: Angiographic and technical considerations. Cardiovasc. Interv. Radiol. 2007, 30, 571–592. [Google Scholar] [CrossRef] [PubMed]
- Cianni, R.; Urigo, C.; Notarianni, E.; Saltarelli, A.; Salvatori, R.; Pasqualini, V.; Dornbusch, T.; Cortesi, E. Selective internal radiation therapy with SIR-spheres for the treatment of unresectable colorectal hepatic metastases. Cardiovasc. Interv. Radiol. 2009, 32, 1179–1186. [Google Scholar] [CrossRef] [PubMed]
- Schelhorn, J.; Theysohn, J.; Ertle, J.; Schlaak, J.; Mueller, S.; Bockisch, A.; Lauenstein, T. Selective internal radiation therapy of hepatic tumours: Is coiling of the gastroduodenal artery always beneficial? Clin. Radiol. 2014, 69, e216–e222. [Google Scholar] [CrossRef] [PubMed]
- Petroziello, M.F.; McCann, J.W.; Gonsalves, C.F.; Eschelman, D.J.; Anne, P.R.; Sato, T.; Doyle, L.A.; Frangos, A.; Brown, D.B. Side-branch embolization before 90Y radioembolization: Rate of recanalization and new collateral development. Am. J. Roentgenol. 2011, 197, W169–W174. [Google Scholar] [CrossRef] [PubMed]
- Liu, D.M.; Salem, R.; Bui, J.T.; Courtney, A.; Barakat, O.; Sergie, Z.; Atassi, B.; Barrett, K.; Gowland, P.; Oman, B.; et al. Angiographic considerations in patients undergoing liver-directed therapy. J. Vasc. Interv. Radiol. 2005, 16, 911–935. [Google Scholar] [CrossRef] [PubMed]
- Enriquez, J.; Javadi, S.; Murthy, R.; Ensor, J., Jr.; Mahvash, A.; Abdelsalam, M.E.; Madoff, D.C.; Wallace, M.J.; Avritscher, R. Gastroduodenal artery recanalization after transcatheter fibered coil embolization for prevention of hepaticoenteric flow: Incidence and predisposing technical factors in 142 patients. Acta Radiol. 2013, 54, 790–794. [Google Scholar] [CrossRef] [PubMed]
- Fischman, A.M.; Ward, T.J.; Patel, R.S.; Arepally, A.; Kim, E.; Nowakowski, F.S.; Lookstein, R.A. Prospective, randomized study of coil embolization versus Surefire infusion system during yttrium-90 radioembolization with resin microspheres. J. Vasc. Interv. Radiol. 2014, 25, 1709–1716. [Google Scholar] [CrossRef] [PubMed]
- Barkun, A.N.; Bardou, M.; Kuipers, E.J.; Sung, J.; Hunt, R.H.; Martel, M.; International Consensus Upper Gastrointestinal Bleeding Conference Group. International consensus recommendations on the management of patients with nonvariceal upper gastrointestinal bleeding. Ann. Interv. Med. 2010, 152, 101–113. [Google Scholar] [CrossRef] [PubMed]
- Loffroy, R.; Rao, P.; Ota, S.; De Lin, M.; Kwak, B.-K.; Geschwind, J.-F. Embolization of acute nonvariceal upper gastrointestinal hemorrhage resistant to endoscopic treatment: Results and predictors of recurrent bleeding. Cardiovasc. Interv. Radiol. 2010, 33, 1088–1100. [Google Scholar] [CrossRef] [PubMed]
- Aina, R.; Oliva, V.L.; Therasse, É.; Perreault, P.; Bui, B.T.; Dufresne, M.-P.; Soulez, G. Arterial embolotherapy for upper gastrointestinal hemorrhage: Outcome assessment. J. Vasc. Interv. Radiol. 2001, 12, 195–200. [Google Scholar] [CrossRef]
- Ichiro, I.; Shushi, H.; Akihiko, I.; Yasuhiko, I.; Yasuyuki, Y. Empiric transcatheter arterial embolization for massive bleeding from duodenal ulcers: Efficacy and complications. J. Vasc. Interv. Radiol. 2011, 22, 911–916. [Google Scholar] [CrossRef] [PubMed]
- Chua, M.W.; Venkatanarasimha, N.; Damodharan, K. Acute ischemic pancreatitis: A rare complication of empirical gastroduodenal artery embolization. Indian J. Radiol. Imaging 2017, 27, 338–341. [Google Scholar] [PubMed]














© 2018 by the authors. Licensee MDPI, Basel, Switzerland. This article is an open access article distributed under the terms and conditions of the Creative Commons Attribution (CC BY) license (http://creativecommons.org/licenses/by/4.0/).
Share and Cite
Kuyumcu, G.; Latich, I.; Hardman, R.L.; Fine, G.C.; Oklu, R.; Quencer, K.B. Gastrodoudenal Embolization: Indications, Technical Pearls, and Outcomes. J. Clin. Med. 2018, 7, 101. https://doi.org/10.3390/jcm7050101
Kuyumcu G, Latich I, Hardman RL, Fine GC, Oklu R, Quencer KB. Gastrodoudenal Embolization: Indications, Technical Pearls, and Outcomes. Journal of Clinical Medicine. 2018; 7(5):101. https://doi.org/10.3390/jcm7050101
Chicago/Turabian StyleKuyumcu, Gokhan, Igor Latich, Rulon L. Hardman, Gabriel C. Fine, Rahmi Oklu, and Keith B. Quencer. 2018. "Gastrodoudenal Embolization: Indications, Technical Pearls, and Outcomes" Journal of Clinical Medicine 7, no. 5: 101. https://doi.org/10.3390/jcm7050101
APA StyleKuyumcu, G., Latich, I., Hardman, R. L., Fine, G. C., Oklu, R., & Quencer, K. B. (2018). Gastrodoudenal Embolization: Indications, Technical Pearls, and Outcomes. Journal of Clinical Medicine, 7(5), 101. https://doi.org/10.3390/jcm7050101

