An Infant with Xpert® Confirmed TB Meningitis in Central Viet Nam
Abstract
:1. Introduction
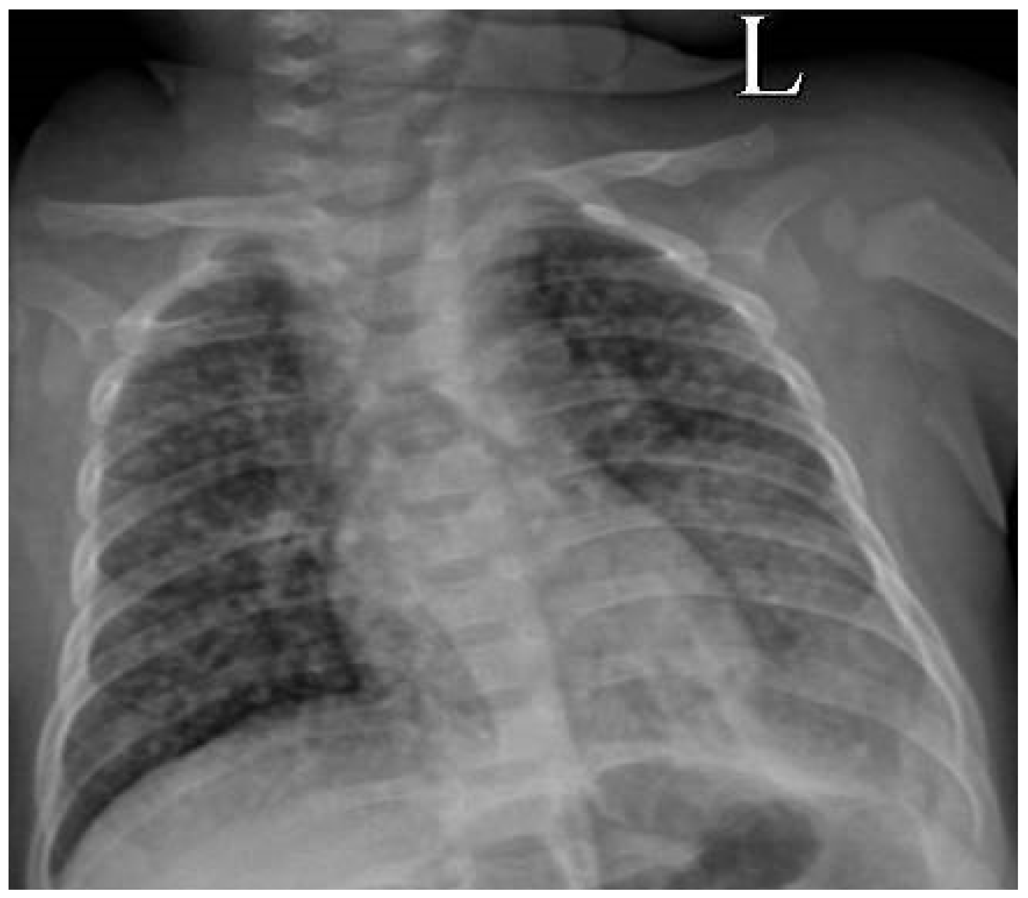
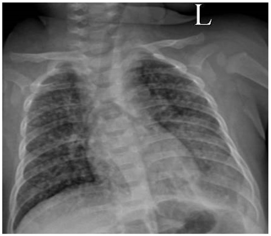
2. Additional Medical History
3. Discussion
Author Contributions
Funding
Acknowledgments
Conflicts of Interest
References
- Andronikou, S.; Smith, B.; Hatherhill, M.; Douis, H.; Wilmshurst, J. Definitive neuroradiological diagnostic features of tuberculous meningitis in children. Pediatr. Radiol. 2004, 34, 876–885. [Google Scholar] [CrossRef] [PubMed]
- Van Well, G.T.; Paes, B.F.; Terwee, C.B.; Springer, P.; Roord, J.J.; Donald, P.R.; van Furth, A.M.; Schoeman, J.F. Twenty years of pediatric tuberculous meningitis: A retrospective cohort study in the western cape of South Africa. Pediatrics 2009, 123, e1–e8. [Google Scholar] [CrossRef] [PubMed]
- Thwaites, G.E.; Hien, T.T. Tuberculous meningitis: Many questions, too few answers. Lancet Neurol. 2005, 4, 160–170. [Google Scholar] [CrossRef]
- Marais, S.; Thwaites, G.; Schoeman, J.F.; Török, M.E.; Misra, U.K.; Prasad, K.; Donald, P.R.; Wilkinson, R.J.; Marais, B.J. Tuberculous meningitis: A uniform case definition for use in clinical research. Lancet Infect. Dis. 2010, 10, 803–812. [Google Scholar] [CrossRef]
- Solomons, R.S.; Visser, D.H.; Donald, P.R.; Marais, B.J.; Schoeman, J.F.; van Furth, A.M. The diagnostic value of cerebrospinal fluid chemistry results in childhood tuberculous meningitis. Childs Nerv. Syst. 2015, 31, 1335–1340. [Google Scholar] [CrossRef] [PubMed]
- Khonga, M.; Nicol, M.P. Xpert MTB/RIF Ultra: A gamechanger for tuberculous meningitis? Lancet Infect. Dis. 2018, 18, 6–8. [Google Scholar] [CrossRef]
- Nhung, N.V.; Hoa, N.B.; Sy, D.N.; Hennig, C.M.; Dean, A.S. The fourth national anti-tuberculosis drug resistance survey in Viet Nam. Int. J. Tuberc. Lung Dis. 2015, 19, 670–675. [Google Scholar] [CrossRef] [PubMed]
- Hoa, N.P.P.; Diwan, V.K.K.; Co, N.V.V.; Thorson, A.E.K. Knowledge about tuberculosis and its treatment among new pulmonary TB patients in the north and central regions of Vietnam. Int. J. Tuberc. Lung Dis. 2004, 8, 603–608. [Google Scholar] [PubMed]
- Chiang, S.S.; Khan, F.A.; Milstein, M.B.; Tolman, A.W.; Benedetti, A.; Starke, J.R.; Becerra, M.C. Treatment outcomes of childhood tuberculous meningitis: A systematic review and meta-analysis. Lancet Infect. Dis. 2014, 14, 947–957. [Google Scholar] [CrossRef]
- Van Toorn, R.; Solomons, R. Update on the diagnosis and management of tuberculous meningitis in children. Semin. Pediatr. Neurol. 2014, 21, 12–18. [Google Scholar] [CrossRef] [PubMed]
- Marais, B.J.; Heemskerk, A.D.; Marais, S.S.; van Crevel, R.; Rohlwink, U.; Caws, M.; Meintjes, G.; Misra, U.K.; Mai, N.T.H.; Ruslami, R.; et al. Standardized methods for enhanced quality and comparability of tuberculous meningitis studies. Clin. Infect. Dis. 2016, 64, 501–509. [Google Scholar] [CrossRef] [PubMed]
- Prasad, K.; Singh, M.B.; Ryan, H. Corticosteroids for managing tuberculous meningitis. Cochrane Database Syst. Rev. 2008, 23. [Google Scholar] [CrossRef]
- Lammie, G.A.; Hewlett, R.H.; Schoeman, J.F.; Donald, P.R. Tuberculous cerebrovascular disease: A review. J. Infect. 2009, 59, 156–166. [Google Scholar] [CrossRef] [PubMed]


© 2018 by the authors. Licensee MDPI, Basel, Switzerland. This article is an open access article distributed under the terms and conditions of the Creative Commons Attribution (CC BY) license (http://creativecommons.org/licenses/by/4.0/).
Share and Cite
Nguyen, P.T.K.; Thai, T.T.B.; Huynh, J.; Marais, B.J. An Infant with Xpert® Confirmed TB Meningitis in Central Viet Nam. J. Clin. Med. 2018, 7, 397. https://doi.org/10.3390/jcm7110397
Nguyen PTK, Thai TTB, Huynh J, Marais BJ. An Infant with Xpert® Confirmed TB Meningitis in Central Viet Nam. Journal of Clinical Medicine. 2018; 7(11):397. https://doi.org/10.3390/jcm7110397
Chicago/Turabian StyleNguyen, Phuong T. K., Trang T. B. Thai, Julie Huynh, and Ben J. Marais. 2018. "An Infant with Xpert® Confirmed TB Meningitis in Central Viet Nam" Journal of Clinical Medicine 7, no. 11: 397. https://doi.org/10.3390/jcm7110397
APA StyleNguyen, P. T. K., Thai, T. T. B., Huynh, J., & Marais, B. J. (2018). An Infant with Xpert® Confirmed TB Meningitis in Central Viet Nam. Journal of Clinical Medicine, 7(11), 397. https://doi.org/10.3390/jcm7110397
