Air Embolism: Practical Tips for Prevention and Treatment
Abstract
:1. Introduction
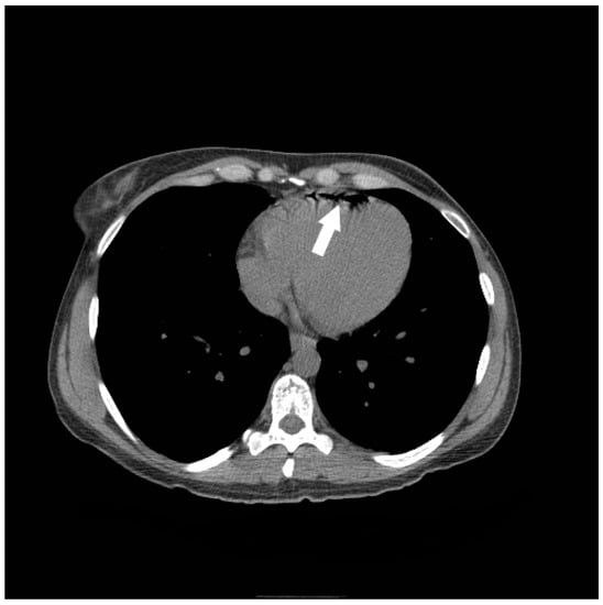
2. Etiology of Air Embolism
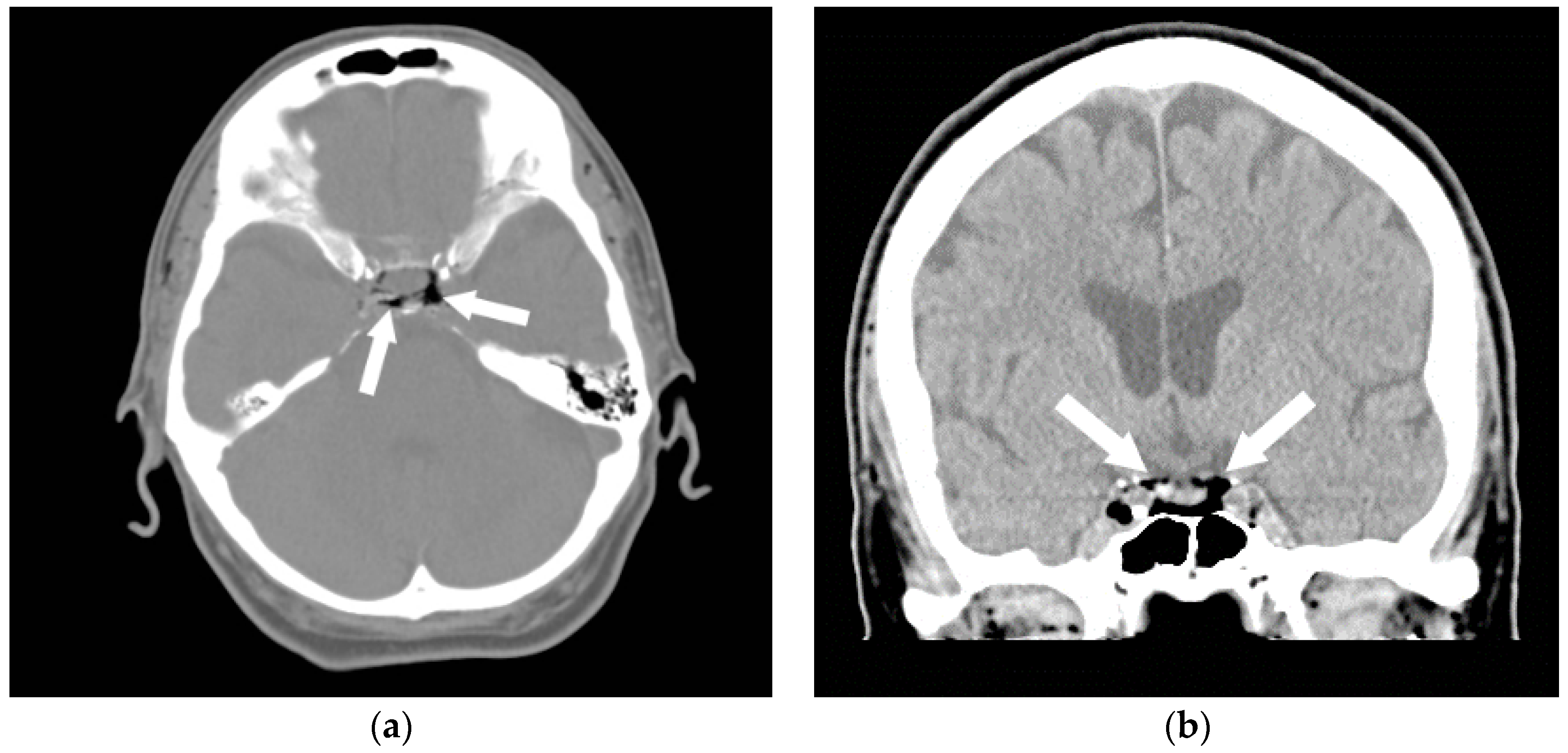
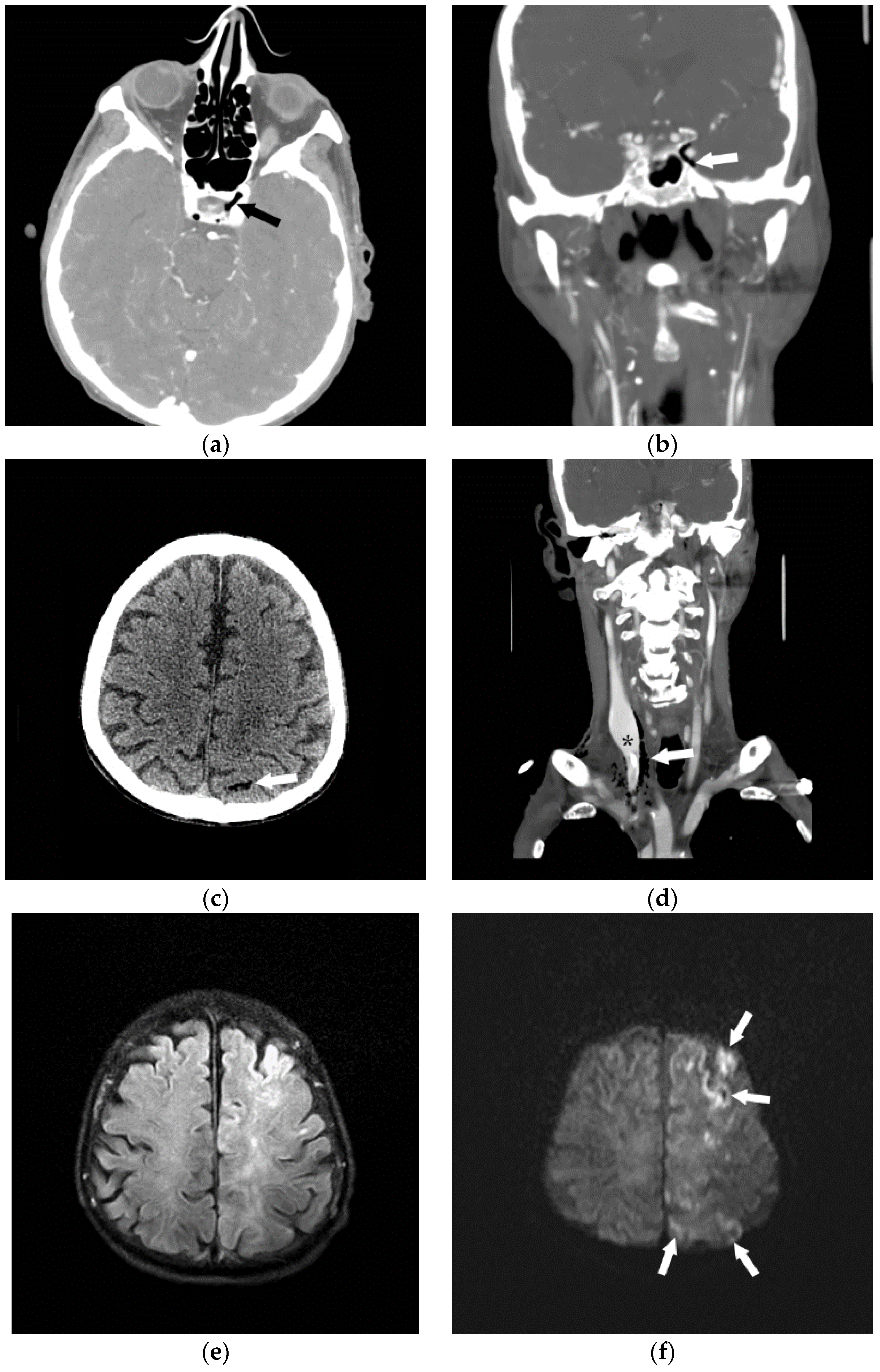
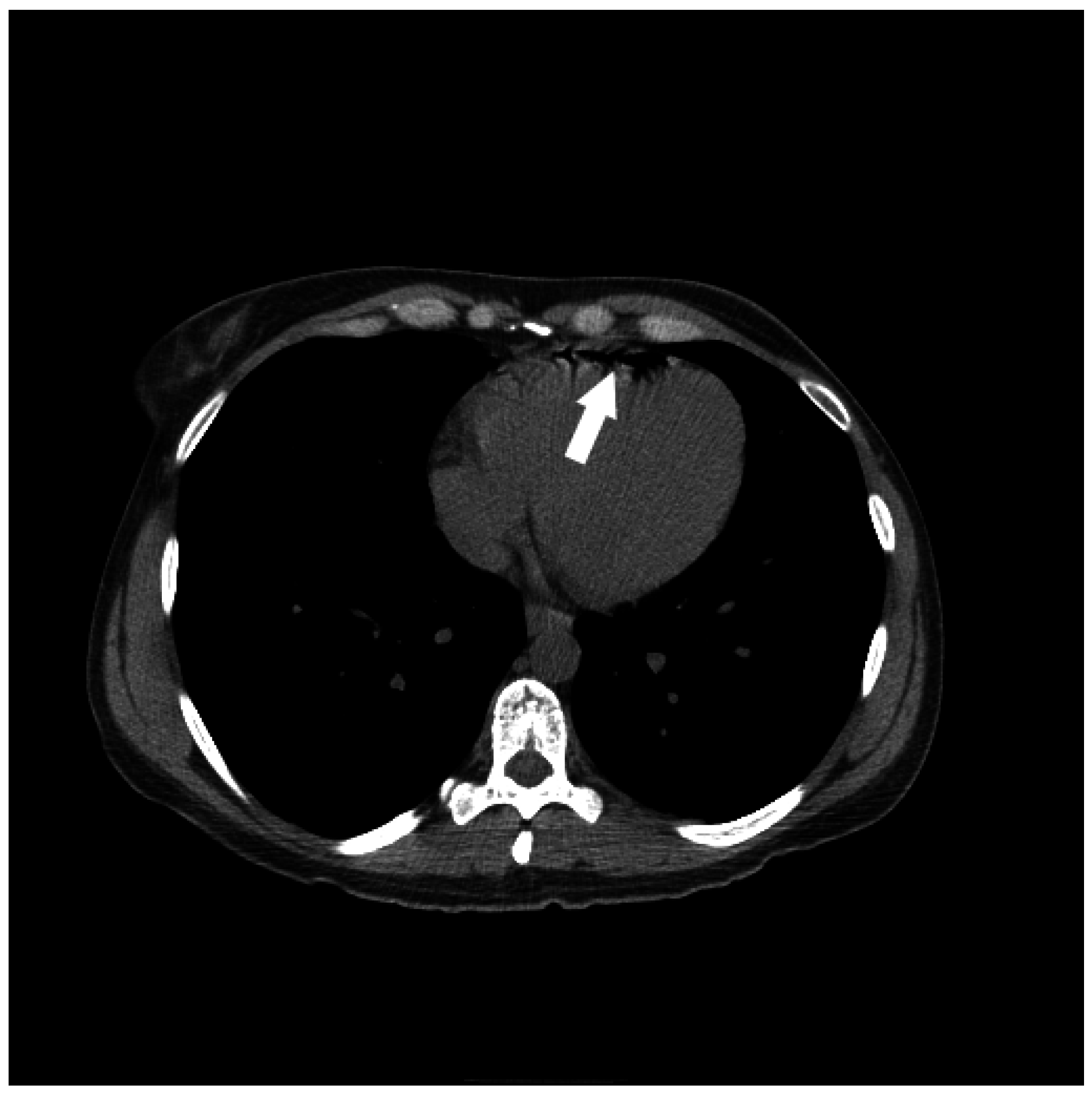
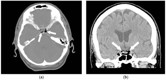
3. Clinical Presentation Following Air Embolus
4. Practical Tips to Reduce the Risk of Air Embolus
4.1. Placing and Removing Central Venous Catheters
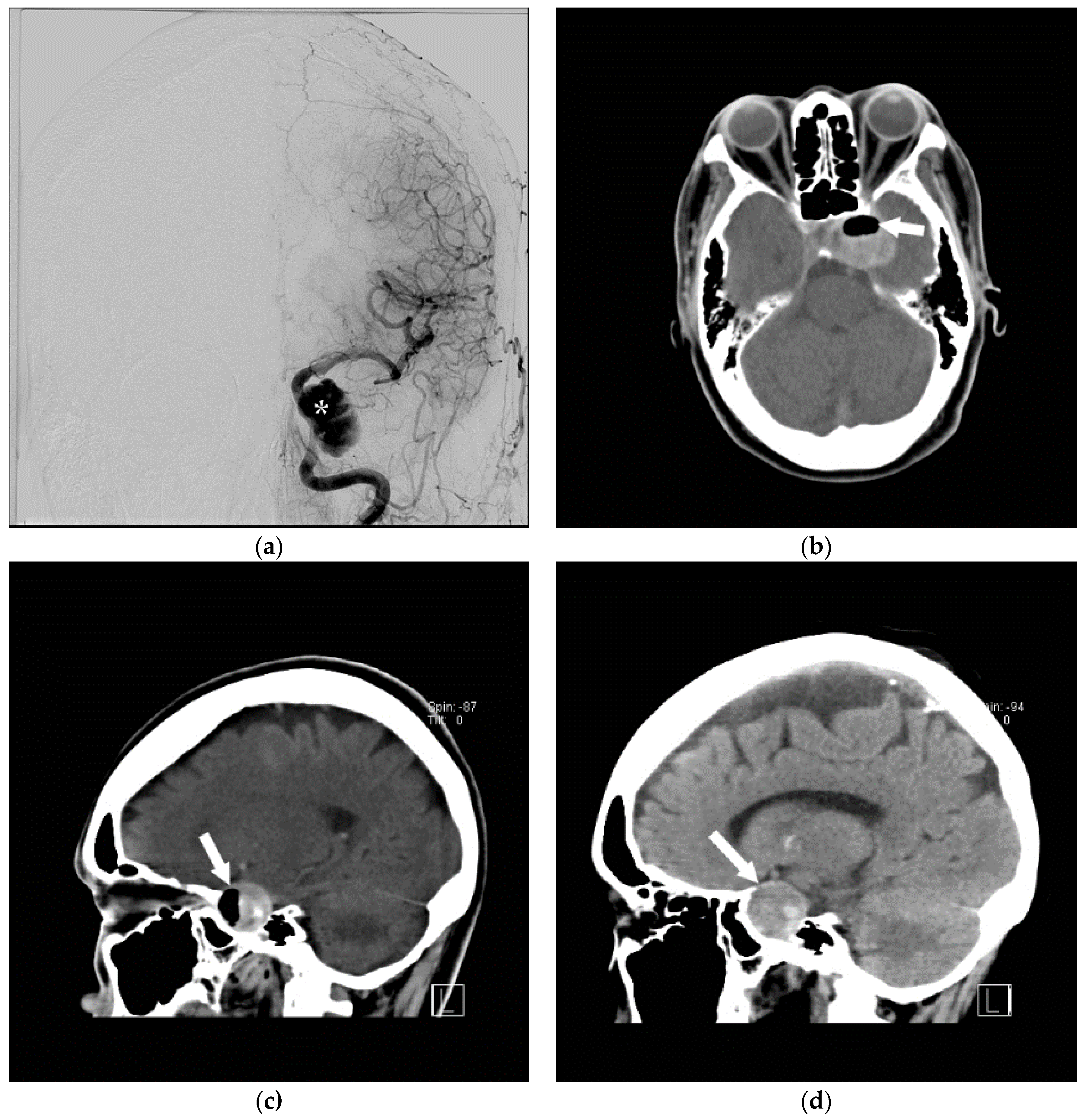
4.2. During an Angiogram or Other Invasive Procedure
5. Air Embolism Management
5.1. Initial Management Techniques
5.2. Advanced Management
5.3. Air Aspiration
6. Hyperbaric Oxygen Therapy
7. Conclusions
Acknowledgments
Author Contributions
Conflicts of Interest
References
- Mirski, M.A.; Lele, A.V.; Fitzsimmons, L.; Toung, T.J. Diagnosis and treatment of vascular air embolism. Anesthesiology 2007, 106, 164–177. [Google Scholar] [CrossRef] [PubMed]
- Muth, C.M.; Shank, E.S. Gas embolism. N. Engl. J. Med. 2000, 342, 476–482. [Google Scholar] [CrossRef] [PubMed]
- Vesely, T.M. Air embolism during insertion of central venous catheters. J. Vasc. Int. Radiol. 2001, 12, 1291–1295. [Google Scholar] [CrossRef]
- Wysoki, M.G.; Covey, A.; Pollak, J.; Rosenblatt, M.; Aruny, J.; Denbow, N. Evaluation of various maneuvers for prevention of air embolism during central venous catheter placement. J. Vasc. Int. Radiol. 2001, 12, 764–766. [Google Scholar] [CrossRef]
- Toung, T.J.; Rossberg, M.I.; Hutchins, G.M. Volume of air in a lethal venous air embolism. Anesthesiology 2001, 94, 360–361. [Google Scholar] [CrossRef] [PubMed]
- Martland, H. Air embolism: Fatal air embolism due to powder insufflators used in gynecological treatments. Am. J. Surg. 1945, 68, 164–169. [Google Scholar] [CrossRef]
- Dexter, F.; Hindman, B.J. Recommendations for hyperbaric oxygen therapy of cerebral air embolism based on a mathematical model of bubble absorption. Anesth Analg 1997, 84, 1203–1207. [Google Scholar] [CrossRef] [PubMed]
- Bothma, P.A.; Schlimp, C.J., II. Retrograde cerebral venous gas embolism: Are we missing too many cases? Br. J. Anaesth. 2014, 112, 401–404. [Google Scholar] [CrossRef] [PubMed]
- Bartolini, L.; Burger, K. Pearls & oysters: Cerebral venous air embolism after central catheter removal: Too much air can kill. Neurology 2015, 84, e94–e96. [Google Scholar] [PubMed]
- Furuya, H.; Suzuki, T.; Okumura, F.; Kishi, Y.; Uefuji, T. Detection of air embolism by transesophageal echocardiography. Anesthesiology 1983, 58, 124–129. [Google Scholar] [CrossRef] [PubMed]
- Orebaugh, S.L. Venous air embolism: Clinical and experimental considerations. Crit. Care Med. 1992, 20, 1169–1177. [Google Scholar] [CrossRef] [PubMed]
- Ie, S.R.; Rozans, M.H.; Szerlip, H.M. Air embolism after intravenous injection of contrast material. South. Med. J. 1999, 92, 930–933. [Google Scholar] [CrossRef] [PubMed]
- Groell, R.; Schaffler, G.J.; Rienmueller, R. The peripheral intravenous cannula: A cause of venous air embolism. Am. J. Med. Sci. 1997, 314, 300–302; discussion 299. [Google Scholar] [PubMed]
- Ingram, P.; Sinclair, L.; Edwards, T. The safe removal of central venous catheters. Nurs. Stand. 2006, 20, 42–46. [Google Scholar] [CrossRef] [PubMed]
- Clinical Care Improvement Strategies: Preventing Air Embolism; Joint Commission Resources (JCR): Oak Brook, IL, USA, 2010.
- O’Donoghue, J.A.; Fisher, J. A universal air-bubble detector for infusion pumps. J. Med. Eng. Technol. 1984, 8, 64–65. [Google Scholar] [CrossRef] [PubMed]
- Bou-Assaly, W.; Pernicano, P.; Hoeffner, E. Systemic air embolism after transthoracic lung biopsy: A case report and review of literature. World J. Radiol. 2010, 2, 193–196. [Google Scholar] [CrossRef] [PubMed]
- Durant, T.M.; Long, J.; Oppenheimer, M.J. Pulmonary (venous) air embolism. Am. Heart J. 1947, 33, 269–281. [Google Scholar] [CrossRef]
- Feil, M. Preventing central line air embolism. Am. J. Nurs. 2015, 115, 64–69. [Google Scholar] [CrossRef] [PubMed]
- Shaikh, N.; Ummunisa, F. Acute management of vascular air embolism. J. Emerg. Trauma Shock 2009, 2, 180–185. [Google Scholar] [CrossRef] [PubMed]
- Ericsson, J.A.; Gottlieb, J.D.; Sweet, R.B. Closed-chest cardiac massage in the treatment of venous air embolism. N. Engl. J. Med. 1964, 270, 1353–1354. [Google Scholar] [CrossRef] [PubMed]
- Garg, N.; Moorthy, N.; Goel, P.K. Intracardiac aspiration for life-threatening air embolism during cardiac catheterization in tetralogy of fallot: An aborted sudden death. J. Invasive Cardiol. 2012, 24, E294–E296. [Google Scholar] [PubMed]
- Colley, P.S.; Artru, A.A. Bunegin-albin catheter improves air retrieval and resuscitation from lethal venous air embolism in upright dogs. Anesth. Analg. 1989, 68, 298–301. [Google Scholar] [CrossRef] [PubMed]
- Hanna, P.G.; Gravenstein, N.; Pashayan, A.G. In vitro comparison of central venous catheters for aspiration of venous air embolism: Effect of catheter type, catheter tip position, and cardiac inclination. J. Clin. Anesth. 1991, 3, 290–294. [Google Scholar] [CrossRef]
- Eoh, E.J.; Derrick, B.; Moon, R. Cerebral arterial gas embolism during upper endoscopy. A A Case Rep. 2015, 5, 93–94. [Google Scholar] [CrossRef] [PubMed]
- Moon, R.E. Bubbles in the brain: What to do for arterial gas embolism? Crit. Care Med. 2005, 33, 909–910. [Google Scholar] [CrossRef] [PubMed]
- Blanc, P.; Boussuges, A.; Henriette, K.; Sainty, J.M.; Deleflie, M. Iatrogenic cerebral air embolism: Importance of an early hyperbaric oxygenation. Intensive Care Med. 2002, 28, 559–563. [Google Scholar] [CrossRef] [PubMed]
- Wherrett, C.G.; Mehran, R.J.; Beaulieu, M.A. Cerebral arterial gas embolism following diagnostic bronchoscopy: Delayed treatment with hyperbaric oxygen. Can. J. Anaesth. J. Can. d’anesth. 2002, 49, 96–99. [Google Scholar] [CrossRef] [PubMed]
- Bessereau, J.; Genotelle, N.; Chabbaut, C.; Huon, A.; Tabah, A.; Aboab, J.; Chevret, S.; Annane, D. Long-term outcome of iatrogenic gas embolism. Intensive Care Med. 2010, 36, 1180–1187. [Google Scholar] [CrossRef] [PubMed]













© 2016 by the authors; licensee MDPI, Basel, Switzerland. This article is an open access article distributed under the terms and conditions of the Creative Commons Attribution (CC-BY) license (http://creativecommons.org/licenses/by/4.0/).
Share and Cite
McCarthy, C.J.; Behravesh, S.; Naidu, S.G.; Oklu, R. Air Embolism: Practical Tips for Prevention and Treatment. J. Clin. Med. 2016, 5, 93. https://doi.org/10.3390/jcm5110093
McCarthy CJ, Behravesh S, Naidu SG, Oklu R. Air Embolism: Practical Tips for Prevention and Treatment. Journal of Clinical Medicine. 2016; 5(11):93. https://doi.org/10.3390/jcm5110093
Chicago/Turabian StyleMcCarthy, Colin J., Sasan Behravesh, Sailendra G. Naidu, and Rahmi Oklu. 2016. "Air Embolism: Practical Tips for Prevention and Treatment" Journal of Clinical Medicine 5, no. 11: 93. https://doi.org/10.3390/jcm5110093
APA StyleMcCarthy, C. J., Behravesh, S., Naidu, S. G., & Oklu, R. (2016). Air Embolism: Practical Tips for Prevention and Treatment. Journal of Clinical Medicine, 5(11), 93. https://doi.org/10.3390/jcm5110093

